С. А. Рейнберг считает, что Остеомаляция— вторичное системное заболевание, которое может возникнуть в результате нарушения поступления кальция и фосфора из организма в костную систему или вследствие их чрезмерных потерь. Так, при почечном ацидозе нередко наблюдается вторичная Остеомаляция, выражающаяся в характерных изменениях в костях (диффузный, или распространённый, остеопороз, деформации костей, переломы и надломы) . Первичный гиперпаратиреоз вследствие аденомы паращитовидной железы также протекает с остеомалятическими симптомами. Это дало основание В.В. Хворову и другим авторам отнести остеопоротическую форму паратиреоидной остеодистрофии к Остеомаляция Однако патогенетическая связь Остеомаляция с поражением паращитовидных желёз отрицается рядом крупных специалистов во главе с С. А. Рейнбергом. Признаки Остеомаляция встречаются при болезни Иценко — Кушинга (смотри полный свод знаний Иценко — Кушинга болезнь), так называемый почечном рахите (смотри полный свод знаний Остеопатия нефрогенная), синдроме де Тони—Дебре — Фанкони, который расценивается как разновидность Остеомаляция детского возраста. До сих пор крайне трудно отдифференцировать остеодистрофию от Остеомаляция при заболеваниях желудочно-кишечные тракта (Остеомаляция кишечная, желчная, печёночная и так далее). По мнению Мейленграхта (Е. Meulengracht), развитие Остеомаляция у пожилых людей может быть связано с ахилией, вызывающей понижение ассимиляции организмом солей кальция; при этом рентгенологически изменения определяются преимущественно в позвонках. Патологическая анатомия. Морфологически субстратом Остеомаляция является повышенное по сравнению с нормой количество неминерализованной костной ткани (остеоида), замещающей минерализованные костные структуры. От степени этого замещения зависят макроскопические изменения. В тяжёлых случаях Остеомаляция при обычных нагрузках обнаруживаются патологический гибкость и деформация костей. Остеоид как в условиях патологии, так и в норме состоит из коллагена, гликозаминогликанов, воды и включает остеоциты. Значительная масса остеоида наблюдается и при Остеомаляция как синдроме — проявлении или возможном осложнении ряда болезней и состояний, в том числе при поражении почек, заболеваниях печени и так далее Остеомаляция как синдром отличается от Остеомаляция как самостоятельной болезни наличием поражения соответствующих внутренних органов и ферментных систем; изменения же в костях в обоих случаях одинаковы. Исключение составляют паратиреоидная и гипертиреоидная остеодистрофии, при которых возникающие как осложнение остеомалятические явления наслаиваются на характерные для заболевания изменения в костях. Остеоид всегда является новообразованным и не возникает в результате прижизненной декальцинации (галистереза) костных структур. При Остеомаляция остеоид, как правило, возникает в отделах скелета, подверженных в данном возрасте наибольшей перестройке. У взрослых «размягчению» и деформациям подвергаются преимущественно позвоночник (кифоз или кифосколиоз с клиновидными или «рыбьими» позвонками), ребра (они сближаются), грудина (вдавливается или выпячивается), таз (вход в него может приобретать форму червонного туза). У юношей изменения сосредоточиваются в метафизах трубчатых костей и могут привести к резкому варусному или вальгусному искривлению нижних конечностей. У стариков процесс наиболее сильно выражен в позвоночнике и рёбрах. Степень деформаций зависит от выраженности Остеомаляция Другие кости, за исключением крайних степеней Остеомаляция, обычно не искривляются. При слабо выраженной Остеомаляция форма и твёрдость костей существенно не изменяются и Остеомаляция выявляется лишь случайно при микроскопическом исследовании. Могут развиваться периостальные остеофиты. Иногда наблюдаются переломы костей (обычно рёбер), часты надломы и так называемый зоны перестройки Лоозера, иногда множественные и симметричные (смотри полный свод знаний Милкмена болезнь), рассматриваемые некоторыми исследователями, например А. В. Русаковым, часть П. Виноградовой., как результат микропереломов.
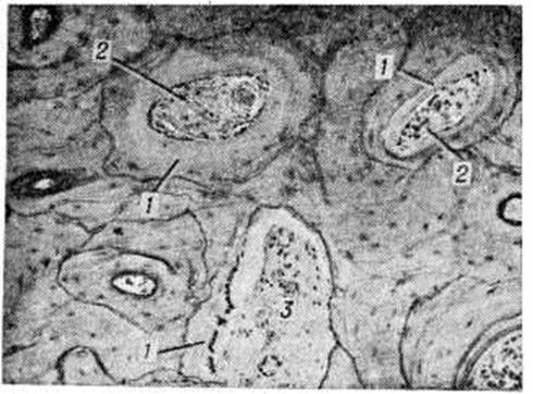
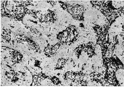
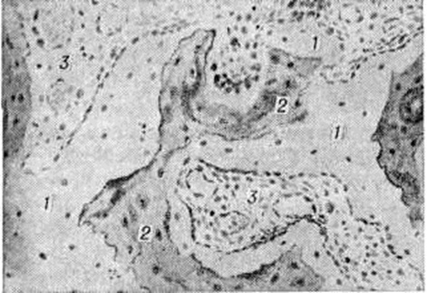
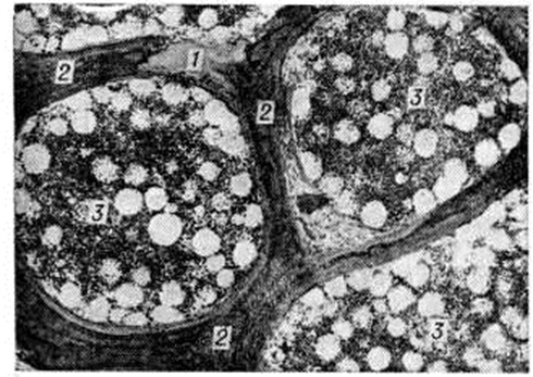
При микроскопическом исследовании костей обнаруживается аппозиция (отложение) остеоида на предсуществующие костные структуры (рисунок 1—3), а также образование остеонов и костных перекладин, целиком представленных остеоидом (рисунок 4). Лишь в отдельных участках остеоида иногда имеются небольшие отложения минерала (рисунок 5). Старые костные структуры подвергаются рассасыванию, нередко с развитием выраженного остеопороза. Слой остеоида на них по распространённости и толщине превышает остеоидные зоны, наблюдаемые в физиологический условиях (обычно не шире одной костной пластинки; в недекальцинированных срезах толщина этих зон в среднем 1 × 103 — 1,6 × 103 нанометров). При Остеомаляция толщина остеоида от 2 × 103 нанометров и более. Для него характерно малое содержание остеоцитов и неравномерное их распределение (рисунок 1). Рассасывание остеоида резко заторможено, поэтому при тяжёлой Остеомаляция остеоид может накапливаться в больших количествах (Остеосклеротическая Остеомаляция). Между остеоидными структурами обнаруживается остеогенная клеточно-волокнистая ткань (часто её неправильно называют фиброзным костным мозгом) — источник образования остеоида (рисунок 1, 4, 5). Нередко встречаются микропереломы и иногда переломы с массивной остеоидной мозолью. При лечении Остеомаляция остеоид постепенно минерализуется и в соответствии с этим рассасывается и замещается костными структурами. С помощью современный методов исследования костей получены некоторые новые данные, имеющие как теоретическое, так и практическое значение. Поляризационная микроскопия остеоида при Остеомаляция обычно (но не всегда) выявляет двоякое лучепреломление, отражающее пластинчатую организацию коллагеновых волокон в нем. Электронная микроскопия этих волокон, как правило, обнаруживает свойственные им периодические структуры, свидетельствующие об их зрелости в остеоиде. При микроскопии в ультрафиолетовом свете шлифов образцов недекальцинированных костей больных с Остеомаляция, которым предварительно повторно вводился тетрациклин, обнаруживают уменьшение в сравнении с нормой или вообще не находят включения тетрациклиновой метки в остеоид, что говорит о снижении темпа его минерализации (этот антибиотик включается только в минерализующиеся структуры). Незначительность или отсутствие минерализации остеоида при Остеомаляция чётко выявляется при микроскопии или микрорентгенографии недекальцинированных срезов (шлифов) костей. Клиническая картина. На фоне медленного и неуклонного прогрессирования Остеомаляция иногда отмечаются ремиссии. Степень и тяжесть выраженности изменений в костях определяются возрастом больного, формой Остеомаляция и длительностью существования патологический процесса, особенностями этиологии и патогенеза в каждом случае (рисунок 6, 7).
Детская и юношеская форма Остеомаляция развивается чаще у девочек и проявляется распространённым остеопорозом (смотри полный свод знаний), нередко осложняется компрессионными переломами тел позвонков. Непуэрперальная форма встречается у взрослых, чаще у женщин. Эта форма Остеомаляция течёт относительно доброкачественно и длительно, характеризуется нарастанием разрежения костной ткани; лишь в последующем она осложняется множественными переломами, преимущественно тел позвонков, ещё позднее присоединяются переломы плоских и трубчатых костей. Старческая форма Остеомаляция проявляется у женщин в климактерическом и постклимактерическом периодах, у мужчин старше 50 лет. Старческая Остеомаляция прогрессирует очень медленно и сравнительно поздно вызывает деформации и переломы костей. Переломы тел позвонков доминируют над переломами остальных костей. Пуэрперальная форма Остеомаляция— хронический заболевание, встречается крайне редко. Обычно возникает в детородном возрасте женщины (20—35 лет), начинается во время беременности, осложняет её течение и продолжается в послеродовом периоде. В начале заболевания беременные жалуются на быструю утомляемость, мышечную слабость, затруднения при движении, боли в области тазовых костей и нижних конечностей; происходит нарушение статики («утиная походка»). При пальпации поражённых костей отмечается локальная болезненность. Затем постепенно костная ткань размягчается и кости деформируются, могут развиваться парезы и параличи. Заболевание протекает волнообразно с периодами обострения и ремиссии. При значительных изменениях костей таза роды через естественные родовые пути делаются невозможными, показано кесарево сечение. При тяжёлых формах болезни беременность обычно прерывается самопроизвольно.
Диагноз клинически выраженных форм Остеомаляция обычно затруднений не представляет. Диагностика начальных форм Остеомаляция должна быть комплексной и основываться на результатах клинических, рентгенологических и лабораторных исследований. Выявляют сопутствующие заболевания и обусловленную ими патологический перестройку скелета. В зависимости от уточнения этиологического факторов и патогенетических механизмов проводят дальнейшее клинические, обследование. Основным методом диагностики Остеомаляция является рентгенологическое исследование костей. В отдельных случаях может иметь значение радиоизотопная диагностика (смотри полный свод знаний). Для определения степени остеопороза и для динамического контроля за течением патологический процесса рекомендуют рентгеноденситометрию (смотри полный свод знаний), рентгенограмметрию с определением индекса толщины коркового вещества костей. Рентгенологические картина Остеомаляция выражается в появлении системного остеопороза скелета. В начальных стадиях заболевания остеопороз выявляется в костях таза и в позвонках. Постепенно в патологический процесс вовлекаются все новые кости; при выраженной Остеомаляция весь скелет, включая мелкие кости кистей и стоп, подвергается рарефикации в связи с остеопорозом (рисунок 8, 9). Иногда остеопороз выражен неравномерно, изменённые кости становятся прозрачными, трабекулярный рисунок костной структуры определяется нечётко. Корковое вещество истончается, особенно его внутренняя пластинка, и оно приобретает слоистый вид. На фоне порозных костей плохо дифференцируются анатомические линии, образованные истончённым корковым веществом. Замыкающие пластинки тел позвонков и субхондральные пластинки суставных поверхностей костей истончаются и местами едва контурируются. Из-за выраженного остеопороза отсутствует чёткая дифференциация между истончённой поверхностью коркового вещества кости и прилежащими мягкими тканями. Просвет костномозгового канала длинных трубчатых костей расширяется. Изменённые кости искривляются и изгибаются. Характер деформации зависит от анатомической формы кости, особенностей нагрузки на данный отдел скелета и возраста больного. Поэтому кости, особенно конечностей, искривляются почти симметрично, нередко с образованием угловых деформаций. Искривлению костей способствуют множественные надломы и лоозеровские зоны перестройки, локализующиеся иногда на разных уровнях в одной кости, что весьма характерно для Остеомаляция. Реже наблюдаются переломы со значительным смещением отломков. Отмечается преимущественная локализация лоозеровских зон перестройки и надломов в лонных и седалищных костях, на внутренней поверхности шеики и наружной поверхности метафиза бедренной кости, наружном крае лопатки, в костях предплечий и голени, плюсневых и пястных костях, в дужках позвонков. Лоозеровские зоны перестройки выявляются в виде поперечно расположенных линий просветлений, края их нечёткие, смазанные. С началом консолидации края лоозеровских зон уплотняются и между ними появляются костные перемычки. Восстановление замедлено, и костная мозоль обычно бывает неплотной. Истинные переломы встречаются редко. В детском и юношеском возрасте наблюдаются преимущественно деформации костей конечностей; в костях таза и позвонках изменения менее выражены. При пуэрперальной и непуэрперальной формах на первом месте стоит деформация таза, а при старческой форме поражаются грудная клетка и позвоночник. Поражённые кости своеобразно деформируются, таз сужается во фронтальном направлении. Вход в таз напоминает «карточное сердце» (рисунок 10) за счёт сближения его половин. Отмечается угловая деформация симфиза с выступанием его кпереди в виде мыса. Крестец как бы продавлен в таз. Запирательные отверстия деформированы и имеют вид горизонтально лежащих овалов. Ямки подвздошных костей вытянуты и сужены. В отличие от плоского рахитического таза при Остеомаляция резко уменьшается межвертельное расстояние, что имеет решающее дифференциально-диагностическое значение. Позвоночник искривлён, в грудном отделе усилен кифоз (рисунок 11, а), а в поясничном — лордоз. При выраженном остеопорозе тела позвонков напоминают рыбьи позвонки (рисунок 11, б), верхние и нижние площадки вдавливаются в тело (блюдцеобразная деформация). Реже отмечаются пологие вдавления по передней и задней поверхностям тел позвонков, их компрессионные переломы. Чем ярче выражена деформация тел позвонков, тем больше расширяются межпозвоночные пространства. Патологически изменённая грудная клетка напоминает колокол: верхняя часть закруглена, средняя вдавлена, а нижняя расширена; нижние ребра располагаются почти горизонтально. Расстояние между грудной клеткой и тазом уменьшено. Грудина дугообразна или углообразно деформирована и выдаётся кпереди, напоминая пострахитическую деформацию. Кости черепа по сравнению с другими отделами скелета реже вовлекаются в патологический процесс. Чем сильнее выражена степень разрежения костной ткани, тем отчётливее на рентгенограмме проявляется деформация череп а. Средняя черепная ямка как бы приподнята, а передняя и задняя ямки уплощены и опущены. Лобные и затылочные кости нависают над основанием черепа. Череп имеет мелкозернистую или равномерно просветлённую структуру, на фоне которой нивелируются изображения анатомических элементов — швов черепа, сосудистых борозд и грануляций паутинной оболочки (пахионовых грануляций). Наружная и внутренняя пластинки черепа истончены. Длинные трубчатые кости дугообразно искривлены с образованием варусных деформаций бедренной и плечевой костей. Эпифизы костей уплощены. В коротких трубчатых костях кистей и стоп на первое место выступают изменения структуры, расслоение коркового вещества и лоозеровские зоны перестройки.
Дифференциальную диагностику в первую очередь проводят с первичным гиперпаратиреозом (смотри полный свод знаний Паратиреоидная остеодистрофия), нефрогенной остеопатией (смотри полный свод знаний Остеопатия нефрогенная), несовершенным остеогенезом (смотри полный свод знаний Остеогенез несовершенный), витаминной недостаточностью (смотри полный свод знаний), рахитом (смотри полный свод знаний), миеломной болезнью (смотри полный свод знаний). Лечение. Проводят лечение основного заболевания, вызвавшего изменения в скелете. Кроме того, рекомендуется полноценное питание, богатое витаминами A, D, С, солями кальция и фосфора с дополнительным введением белка. Для исправления искривлённых конечностей рекомендуется корригирующая остеотомия (смотри полный свод знаний). При пуэрперальной форме Остеомаляция в случае неэффективности консервативных методов лечения показано прерывание беременности, а в случае родов — прекращение кормления грудью; в исключительных случаях — кастрация. Профилактика пуэрперальной формы Остеомаляция заключается в соблюдении беременной правильного гигиенические режима и диеты. Особое значение имеет полноценное питание с достаточным содержанием солей кальция, фосфора и витамина D. Прогноз зависит от характера и течения основного заболевания. В лёгких случаях Остеомаляция прогноз относительно жизни благоприятный. В тяжёлых случаях Остеомаляция смерть может наступить не столько от основного заболевания, сколько от сопутствующих заболеваний внутренних органов.
Вас категорически не устраивает перспектива безвозвратно исчезнуть из этого мира? Вы не желаете закончить свой жизненный путь в виде омерзительной гниющей органической массы пожираемой копошащимися в ней могильными червями? Вы желаете вернувшись в молодость прожить ещё одну жизнь? Начать всё заново? Исправить совершённые ошибки? Осуществить несбывшиеся мечты? Перейдите по ссылке: «главная страница».
|
||||||||||||||||||||||||||||||||||||||||||||||||||||||||||||||||||||||||