Остеома

Оглавление

  1. Дорога к бессмертию
  2. Бессмертие и религия
  3. Философия бессмертия
  4. Бессмертие и наука
  5. История анабиоза
  6. Смерть
  7. Кора головного мозга
  8. Бессмертие и анабиоз
  9. Анабиоз, медицина и биология
  10. Анабиоз и экономика
  11. Анабиоз и закон
  12. Анабиоз в Антарктиде
  13. Техническое обеспечение анабиоза
  14. Бессмертие и вера
  15. Библиотека Ordo Deus
  16. Контактная страница Ordo Deus

Остеома

Остеома (osteoma; греческий osteon кость + -oma) — доброкачественное опухолеподобное костное образование.

Остеома локализуется главным образом в придаточных (околоносовых, часть) пазухах, особенно во фронтальных, реже в костях крыши черепа и в нижней челюсти.

В ряде случаев множественные Остеома нижней челюсти, крыши черепа и длинных трубчатых костей сочетаются с диффузным полипозом желудочно-кишечные тракта и доброкачественными опухолями кожи и других мягких тканей, что составляет синдром Гарднера (смотри полный свод знаний Гарднера синдром). Макроскопически Остеома может быть периостальной, кортикальной или эндостальной. Остеома придаточных пазух бывают множественными и располагаются в полости синусов.

Остеома костей черепа имеет вид диффузного уплотнения или чётко ограниченного очага. Микроскопически различают Остеома компактную, губчатую и остеоид-остеому (смотри полный свод знаний). Компактная Остеома не имеет костных балок и образована почти сплошной костной массой волокнистого или пластинчатого строения с очень узкими сосудистыми каналами (рисунок 1). Губчатая Остеома состоит из беспорядочно расположенных костных балок, межбалочные пространства в ней заполнены клеточно-волокнистой тканью. Компактную Остеома большинство исследователей рассматривают как проявление нарушения тканевого развития или как костную гамартому (смотри полный свод знаний); губчатую остеому относят к опухолям или к фиброзной дисплазии.

Клинические, течение заболевания может быть долгое время бессимптомным, и иногда Остеома обнаруживают случайно при рентгенологическое исследовании. Клинические, симптоматика при локализации Остеома в придаточных пазухах обычно связана с нарушением оттока секрета или. появлением симптомов со стороны глазницы при разрушении её стенок.

При локализации остеомы на основании черепа могут возникнуть очаговые неврологический симптомы, наступить аррозия синусов твёрдой мозговой оболочки или внутричерепных сосудов.

Информация об Ordo Deus Перейти в оглавление сайта

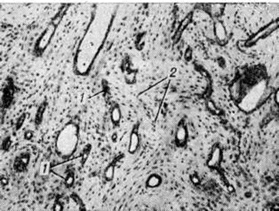
Рис. 1.
Микропрепарат компактной остеомы: узкие сосудистые каналы (I) в костной массе (2) волокнистого и пластинчатого строения; окраска гематоксилин-эозином; × 64.

Рентгенологические исследование позволяет не только обнаружить Остеома, но и спреде лить её форму, структуру, положение, размеры и взаимоотношение с соседними органами. Компактная Остеома на рентгенограмме имеет форму округло-овальной интенсивной бесструктурной тени (рисунок 2). Губчатая





Информация об Ordo Deus Перейти в оглавление сайта

Рис. 2.
Прямая томограмма черепа при остеоме: в левой гайморовой полости видна округлая тень компактной остеомы (указана стрелкой).





Информация об Ordo Deus Перейти в оглавление сайта

Рис. 3.
Рентгенограмма правого плечевого сустава, части грудной клетки и плечевой кости с губчатой остеомой (указана стрелкой).



Остеома располагается на более или менее широком основании, имеет чёткие, ровные контуры (рисунок 3). Нарушения целости кортикального слоя кости при Остеома не наблюдается.

Дифференциальный диагноз проводят главным образом с множественными экзостозами (смотри полный свод знаний) и оссифицирующим миозитом (смотри полный свод знаний).

Лечение бессимптомной Остеома, если она не увеличивается в размерах, как правило, не требуется. При появлении клинические симптомов проводится оперативное удаление Остеома

Прогноз благоприятный, рецидивов после операции обычно не наступает.

Китаев В.В.; Соловьев Ю.H.

⇐ Перейти на главную страницу сайта

⇑ Вернуться в начало страницы ⇑

Библиотека Ordo Deus ⇒

⇐ Остеолиз

⇓ Полный свод знаний. Том первый А. ⇓

Остеомаляция ⇒

Все статьи в полном изложении, Вы можете найти в большой медицинской энциклопедии — Главный редактор: академик АН СССР (РАН) и АМН СССР (РАМН) Б.В. Петровский. — Москва издательство «Советская энциклопедия» 1989г.

Внимание! Вы находитесь в библиотеке «Ordo Deus». Все книги в электронном варианте, содержащиеся в библиотеке «Ordo Deus», принадлежат их законным владельцам (авторам, переводчикам, издательствам). Все книги и статьи взяты из открытых источников и размещаются здесь только для чтения.

Вся информация на сайте Ordo Deus находится в свободном доступе. Ordo Deus не предоставляет информацию на платной основе.

Все авторские права сохраняются за правообладателями. Если Вы являетесь автором данного документа и хотите дополнить его или изменить, уточнить реквизиты автора, опубликовать другие документы или возможно вы не желаете, чтобы какой-то из ваших материалов находился в библиотеке, пожалуйста, свяжитесь с нами по e-mail:
info @ ordodeus. ru
Формы для прямой связи с нами находятся в нижней части страниц: контакты и устав «Ordo Deus», для перехода на эти страницы воспользуйтесь кнопкой контакты вверху страницы или ссылкой в оглавлении сайта.

Вас категорически не устраивает перспектива безвозвратно исчезнуть из этого мира? Вы не желаете закончить свой жизненный путь в виде омерзительной гниющей органической массы пожираемой копошащимися в ней могильными червями? Вы желаете вернувшись в молодость прожить ещё одну жизнь? Начать всё заново? Исправить совершённые ошибки? Осуществить несбывшиеся мечты? Перейдите по ссылке: «главная страница».

© Ordo Deus, 2010. При копировании ссылка на сайт http://www.ordo-deus.ru обязательна.