Остеоид-остеома

Оглавление

  1. Дорога к бессмертию
  2. Бессмертие и религия
  3. Философия бессмертия
  4. Бессмертие и наука
  5. История анабиоза
  6. Смерть
  7. Кора головного мозга
  8. Бессмертие и анабиоз
  9. Анабиоз, медицина и биология
  10. Анабиоз и экономика
  11. Анабиоз и закон
  12. Анабиоз в Антарктиде
  13. Техническое обеспечение анабиоза
  14. Бессмертие и вера
  15. Библиотека Ordo Deus
  16. Контактная страница Ordo Deus

Остеоид-остеома

Остеоид-остеома (греческий osteon кость + eidos вид; остеома; синонимы остеоидная остеома) — доброкачественная опухоль остеогенной природы, характеризующаяся образованием остеоида в центральных её отделах и зоной остеосклероза в прилежащей костной ткани. Описана впервые в 1935 год Яффе (Н. L. Jaffe). Остеоид-остеома встречается в 1—2% случаев всех новообразований костей. Чаще наблюдается у лиц мужского пола, встречается обычно в возрасте от 5 до 25 лет. Опухоль обычно локализуется в плотном веществе длинных трубчатых костей, преимущественно в диафизе бедренной или большеберцовой кости.

Этиология и патогенез Остеоид-остеома не выяснены. Неоднократно предпринимались попытки связать возникновение этого патологический процесса с воспалением, однако, по мнению большинства исследователей, Остеоид-остеома имеет опухолевую природу.

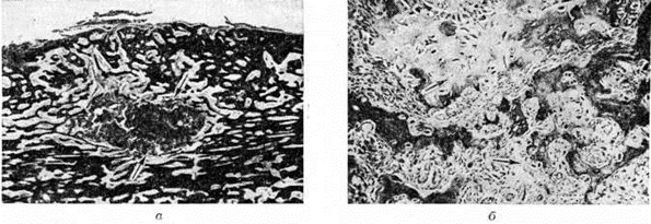
Остеоид-остеома имеет вид очага круглой или овальной формы величиной около 1 сантиметров в диаметром (рисунок 1, а), обозначаемого термином nidus (гнездо, ядро). В центральных отделах опухоли ткань красного или серо-красного цвета, рыхлой консистенции. Вокруг очага поражения видна характерная Остеосклеротическая зона или поясок ткани плотной или очень плотной консистенции в зависимости от степени остеосклероза (смотри полный свод знаний).

Микроскопически центр Остеоид-остеома образован остеогенной тканью с переплетающимися волокнами остеоида, которые подвергаются обызвествлению и превращаются в костные пластинки различной степени зрелости на периферии опухоли (рисунок 1, б). В некоторых случаях удаётся определить радиальную ориентировку костных пластинок, что, по-видимому, связано с особенностями кровоснабжения. В опухоли обычно обнаруживают большое количество клеток типа остеобластов, выстилающих новообразованные остеоидные и молодые костные пластинки, и остеокластов. Клетки костного мозга и жировая ткань в опухоли не обнаруживаются. Иногда могут встретиться отдельные лимфоциты и плазматические клетки.

Информация об Ordo Deus Перейти в оглавление сайта

Рис. 1.
Микропрепараты остеоид-остеомы: а — опухоль (указана стрелками) располагается в кортикальном веществе кости, × 8; б — остеоидные массы в центральных отделах опухоли (указаны стрелками), × 100.

Разновидностью Остеоид-остеома является так называемый остеобластома (гигантская остеоид-остеома), обычно локализующаяся в губчатом веществе тел позвонков, подвздошной кости, рёбер, костей кисти и стопы. Остеобластома превышает 4—5 сантиметров в диаметром и не имеет периферической зоны остеосклероза.

Основной клинические, симптом — постепенно нарастающие боли в зоне поражения, которые появляются или усиливаются в ночное время. В области поражения отмечают отёк ткани и повышение кожной температуры. При пальпации она может быть болезненной. Возможна атрофия мышц поражённой конечности, а при локализации Остеоид-остеома вблизи сустава иногда развивается синовит (смотри полный свод знаний).

Рентгенологические картина Остеоид-остеома обусловлена её морфологический особенностями и зависит от локализации опухоли, длительности заболевания и возраста больного. Количественное соотношение остеоидной и обызвествленной костной ткани в очаге поражения, а также характер реактивного костеобразования обусловливают различную рентгенологическое картину.

На рентгенограммах Остеоид-остеома видна как субкортикально расположенный участок окостенения (рисунок 2) величиной от 0,5 до 1,0 сантиметров, окружённый склеротическим ободком реактивного костеобразования, ширина которого увеличивается при длительном течении заболевания. При близком расположении очага Остеоид-остеома к надкостнице в ней может наблюдаться массивное утолщение или продольный слоистый оссифицирующий периостит (смотри полный свод знаний). Степень склероза кости при локализации Остеоид-остеома в губчатом веществе минимальна и резко выражена при кортикальном или субпериостальном её расположении. При длительном течении заболевания очаг просветления может маскироваться нарастающим склерозом.

В случаях, когда на рентгенограммах пояс просветления не определяется, очаг поражения выявляют с помощью томографии (смотри полный свод знаний). При ангиографическом исследовании Остеоид-остеома в артериальной фазе можно видеть мелкие вновь образованные сосуды, создающие картину гиперваскуляризации; в венозной фазе заметно пропитывание Остеоид-остеома контрастным веществом.



Информация об Ordo Deus Перейти в оглавление сайта

Рис. 2.
Рентгенограмма проксимальной части голени и коленного сустава при остеоидостеоме: в области бугристости большеберцовой кости виден субкортикальный участок окостенения (1), окружённый светлым ободком и зоной остеосклероза; массивные периостальные наслоения (2).



Дифференциальный диагноз при гистологический исследовании проводят с остеогенной саркомой (смотри полный свод знаний). При рентгенологическое исследовании Остеоид-остеома иногда принимают за кортикальный абсцесс (корковый остит) или абсцесс Броди (смотри полный свод знаний Броди абсцесс).

Лечение оперативное — резекция поражённого отдела кости.

Прогноз после оперативного лечения благоприятный.

Рыбакова H.И.; Соловьев Ю.H.

⇐ Перейти на главную страницу сайта

⇑ Вернуться в начало страницы ⇑

Библиотека Ordo Deus ⇒

⇐ Остеодистрофия

⇓ Полный свод знаний. Том первый А. ⇓

Остеоклазия ⇒

Все статьи в полном изложении, Вы можете найти в большой медицинской энциклопедии — Главный редактор: академик АН СССР (РАН) и АМН СССР (РАМН) Б.В. Петровский. — Москва издательство «Советская энциклопедия» 1989г.

Внимание! Вы находитесь в библиотеке «Ordo Deus». Все книги в электронном варианте, содержащиеся в библиотеке «Ordo Deus», принадлежат их законным владельцам (авторам, переводчикам, издательствам). Все книги и статьи взяты из открытых источников и размещаются здесь только для чтения.

Вся информация на сайте Ordo Deus находится в свободном доступе. Ordo Deus не предоставляет информацию на платной основе.

Все авторские права сохраняются за правообладателями. Если Вы являетесь автором данного документа и хотите дополнить его или изменить, уточнить реквизиты автора, опубликовать другие документы или возможно вы не желаете, чтобы какой-то из ваших материалов находился в библиотеке, пожалуйста, свяжитесь с нами по e-mail:
info @ ordodeus. ru
Формы для прямой связи с нами находятся в нижней части страниц: контакты и устав «Ordo Deus», для перехода на эти страницы воспользуйтесь кнопкой контакты вверху страницы или ссылкой в оглавлении сайта.

Вас категорически не устраивает перспектива безвозвратно исчезнуть из этого мира? Вы не желаете закончить свой жизненный путь в виде омерзительной гниющей органической массы пожираемой копошащимися в ней могильными червями? Вы желаете вернувшись в молодость прожить ещё одну жизнь? Начать всё заново? Исправить совершённые ошибки? Осуществить несбывшиеся мечты? Перейдите по ссылке: «главная страница».

© Ordo Deus, 2010. При копировании ссылка на сайт http://www.ordo-deus.ru обязательна.