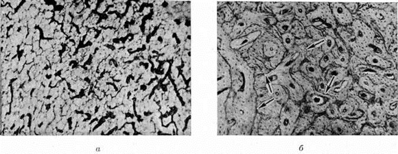
В результате костное вещество убывает, что выражается в остеопорозе (смотри полный свод знаний). В других — зрелая костная ткань в значительной мере замещается незрелым патологический костным веществом — остеоидом, например, при рахите, или в связи с ускорением темпов перестройки новые костные структуры имеют примитивное строение (рисунок 1, а), что характерно для паратиреоидной Остеодистрофия Иногда вновь образованная костная ткань выглядит относительно зрелой, но в связи с ускорением темпов рассасывания и созидания в костном веществе появляется большое число линий резорбции, а также «обломочных» структур в виде островков старых костных пластин среди новообразованной костной ткани. Реже Остеодистрофия выражается в усилении костеобразовательных процессов, в результате чего развивается остеосклероз (смотри полный свод знаний), например, в некоторых случаях почечной Остеодистрофия Присутствующая в костях кроветворная ткань замещается волокнистой соединительной, нередко остеобластической, тканью (рисунок 1, б). При резко выраженных трофических сдвигах, например, при паратиреоидной Остеодистрофия, костных кистах, спонтанном массивном остеолизе, появляются большие очаги деструкции костей, даже исчезновение целых сегментов. Исчезнувшие костные структуры замещаются волокнистой соединительной тканью. При резком ускорении темпа рассасывания костные структуры не успевают формироваться и в костях появляются очаги деструкции с опухолевидным разрастанием костеобразующей мезенхимы — «бурые опухоли» (рисунок 1, в). Местной Остеодистрофия, помимо выделенной А. В. Русакович ангионевротической Остеодистрофия, можно считать морфологический изменения, которые возникают при некоторых статических нарушениях. Например, при таких деформациях, как genu valgum или genu varum, Hallux valgus (смотри полный свод знаний), болезнь Бланта (смотри полный свод знаний Бланта болезнь) и другие, в области поражения кости обнаруживаются морфологический признаки Остеодистрофия: очаги перестройки, умеренно выраженная атрофия кости или остеопороз, частичное замещение кроветворной ткани волокнистой соединительной. Кроме того, морфологически к Остеодистрофия можно отнести обширную группу заболеваний, называемых остеохондропатиями (смотри полный свод знаний). Как было показано рядом исследователей, в том числе Аксхаузеном (G. Axhausen, 1923), в связи с местным нарушением кровообращения кость теряет свои механические свойства. Остео дистрофические изменения развиваются также в результате травмы или перегрузки кости. Подобные же изменения в связи с перераспределением регионарного кровообращения (рисунок 2, а) и интенсивной перестройкой костной ткани (рисунок 2, б) наблюдают при перегрузках костей одной нижней конечности при длительном выпадении функции другой, при перегрузках неокрепшей костной мозоли. часть о., остеохондропатии и близкие к ним изменения в свете современный представлений о дистрофии и нарушениях микроциркуляции вернее называть не асептическими некрозами, а Остеодистрофия дисциркуляторного типа. Токсические остеодистрофии. Генерализованные формы Остеодистрофия нередко возникают при длительном воздействии токсических веществ — фтористых соединений (так называемый криолитовая болезнь), препаратов мышьяка, ртути, свинца, избыточного введения железа — уровская болезнь (смотри полный свод знаний Кашина—Бека болезнь). Эта форма Остеодистрофия встречается также у детей грудного возраста при хронический отравлении матери свинцом: выделяясь с грудным молоком и попадая в организм ребёнка, свинец вызывает изменения в костях, напоминающие рахит или врождённый сифилис. Основным процессом является развитие зоны остеосклероза вблизи ростковой хрящевой пластинки. Наиболее выраженными эти изменения бывают в костях голени и предплечий. Алиментарные остеодистрофии голодающих хорошо изучены во время и после первой и второй мировых войн. При этом виде Остеодистрофия развивается выраженный остеопороз позвоночника, а у детей — и конечностей. Картина детских поражений напоминает рахит. В детском возрасте после нормализации питания остеопороз исчезает в течение нескольких месяцев, и кости приобретают нормальный вид. У взрослых после длительного голодания (например, во время ленинградской блокады) остеопороз позвоночника оказывается необратимым и определяется даже через 15—20 лет, в то время как остеопороз костей конечностей после нормализации питания исчезает уже через 3—5 лет. Алиментарные гипотрофии и дистрофии у детей грудного возраста в СССР встречаются крайне редко, лишь как следствие какого-либо другого тяжёлого заболевания. Для них характерен системный остеопороз. Алиментарные Остеодистрофия развиваются, в частности, при отсутствии витаминов, недостаточном или избыточном поступлении их в организм. При С-витаминной недостаточности нарушается рост и регенерация костной ткани (смотри полный свод знаний Цинга), недостаток кальциферола (D-витаминная недостаточность) приводит к изменениям скелета в форме рахита (смотри полный свод знаний), остеомаляции (смотри полный свод знаний), основным патогенетическим процессом при которых является остеодистрофия. D-гипервитаминоз вызывает рассасывание костной структуры, сопровождается остеопорозом и массивным разрастанием эндостальной ткани. Эндокринные остеодистрофии встречаются чаще других; они имеют разнообразные патогенетические механизмы развития. При нарушении функции и строения гипофиза наблюдается акромегалия (смотри полный свод знаний), нанизм — карликовый рост больных с задержкой полового созревания (смотри полный свод знаний Карликовость). При дисфункции коры надпочечников происходит выделение избыточного количества стероидных гормонов, нарушается белковый и минеральный обмен и развивается распространённый остеопороз (смотри полный свод знаний Кушинга синдром). При поражении паращитовидных желёз возникает паратиреоидная остеодистрофия (смотри полный свод знаний). При гипертиреозе (смотри полный свод знаний Тиреотоксикоз) усиленное в связи с повышенным обменом веществ рассасывание костной ткани приводит к развитию остеопороза. При гипотиреозе (смотри полный свод знаний), вызванном недоразвитием щитовидной железы, наблюдается нарушение роста костей, ведущее к карликовости. Генерализованные остеодистрофические процессы в костях могут возникать при длительном лечении гормональными препаратами (кортикостероидами), диуретиками. Остеодистрофии при заболеваниях внутренних органов имеют чаще всего генерализованные проявления: печёночные, лёгочные (смотри полный свод знаний Бамбергера—Мари периостоз), кишечные Остеодистрофия— остеопороз при хронический поносах после высокой резекции тонкой кишки. Почечные Остеодистрофия развиваются в результате почечной недостаточности и сопровождаются нарушением фосфорно-кальциевого обмена, тяжёлыми деформациями скелета, замедленным ростом костей (смотри полный свод знаний Остеопатия нефрогенная). Остеодистрофия при нарушении липоидного обмена приводит к болезни Хенда— Шюллера— Крисчена (смотри полный свод знаний Хенда — Шюллера —Крисчена болезнь), болезни Гоше (смотри полный свод знаний Гоше болезнь). Так называемый желчная, печёночная, поджелудочная, желудочная, кишечная Остеодистрофия встречаются редко, при хронический поражениях соответствующих органов. Изменения скелета при свищах кишок, желчных путей, поджелудочной железы у собак впервые отмечены И. П. Павловым в 1905 г.: при длительном существовании свищей развивались остеопороз и даже остеомаляция позвоночника, таза, рёбер, пояса передних конечностей, при желудочных свищах таких явлений не отмечалось. Остеодистрофические изменения скелета возможны при тяжёлых длительных, изнуряющих энтеритах, вызывающих глубокие нарушения жирового, углеводного, солевого и витаминного обмена. Чётко выраженный дистрофический характер имеют изменения скелета при амилоидозе внутренних органов, наблюдающемся при хронический гнойных процессах, например, при костносуставном туберкулёзе, осложнённом свищами и вторичной инфекцией, хронический остеомиелите. Изменения в скелете проявляются более или менее выраженным системным остеопорозом с преимущественным поражением позвоночника.
Ангионевротические остеодистрофии. В основе их развития лежит нарушение сосудистой и нервной трофики кости. В одних случаях — это лишь клинико-рентгенологические симптомы костной атрофии и остеопороза, в других — самостоятельные заболевания, связанные с более глубокими дистрофическими или некротическими изменениями. При резко выраженных трофических нарушениях в костной ткани нередко появляются большие очаги деструкции костей, вплоть до рассасывания целых сегментов. Ангионеврогенный генез может лежать в основе как генерализованной Остеодистрофия (например, при сирингомиелитической остеоартрогхатии), так и местной Остеодистрофия— при таких заболеваниях, как полиомиелит, гемиплегия, заболевания центральной и периферической нервной системы, нарушение целости нервных стволов, костная атрофия Зудека (смотри полный свод знаний Зудека атрофия), спонтанный остеолиз (смотри полный свод знаний), остеохондропатия. Патогенез костных изменений во всех случаях сложен — часть их обусловлена нарушением функции органа, часть — структурными нарушениями, развившимися вслед за повреждением нервной системы. Спонтанный остеолиз сопровождается рассасыванием разных отделов правильно сформированного скелета, что позволяет не связывать процесс с пороком развития костей, а отнести его к группе Остеодистрофия Можно предположить, что повреждения иннервирующих кость нервов или внутрикостных сосудов играют роль в развитии этого местного дистрофического процесса. Остеолиз начинается с остеопороза, истончения кости по ширине, затем наступает патологический перелом, с рассасыванием костных фрагментов в обе стороны. Наиболее правильно отражает существо процесса термин «прогрессирующий остеолиз», так как остановить его невозможно. Резекция поражённой кости с замещением дефекта аллокостью ведёт, как правило, к дальнейшему остеолизу. Рентгенодиагностика. Независимо от вызвавшего фактора различные формы Остеодистрофия за небольшим исключением имеют ряд общих рентгенологическое признаков, основным из которых является остеопоротическая перестройка скелета; степень перестройки зависит от длительности и тяжести основного заболевания. Степень остеопороза различна в разных костях. Обычно наиболее страдают позвоночник, таз, тазобедренные суставы. Костные перекладины становятся тоньше, количество их уменьшается, корковое вещество истончается и выглядит как бы подчёркнутым. В дальнейшем, в процессе перестройки, порозные позвонки, не выдерживая обычной функциональный нагрузки, начинают изменять форму. Часть их приобретает клиновидную форму, затем верхние и нижние площадки блюдцевидно вдавливаются, из-за чего межпозвоночные диски в средних отделах выглядят утолщёнными и позвонки деформируются — так называемый рыбьи позвонки (рисунок 3), что нередко ошибочно расценивают как свежий или старый компрессионный перелом. Однако степень остеопороза может быть настолько значительной, что возможен перелом одного или нескольких тел позвонков, чаще в грудном отделе. Свежему перелому присущи такие признаки, как нарушение целости площадок и стенок позвонка, иногда наличие отломков. Дифференциальная диагностика Остеодистрофия с патологический переломом на почве опухолевого метастаза не всегда проста. При Остеодистрофия обычно к моменту перелома вследствие остеопороза деформированы многие позвонки. Окончательно вопрос решается при сопоставлении рентгенологическое картины с клинические, картиной и лабораторный данными. В трубчатых костях остеодистрофические изменения могут повести к их деформации, изгибам, образованию лоозеровских зон перестройки (смотри полный свод знаний Лоозера зоны) вследствие функциональный недостаточности кости (рисунок 4). У детей в растущих костях наибольшей выраженности остеопороз достигает в метафизах, вблизи хрящевых зон роста. При некоторых токсических Остеодистрофия на фоне остеопороза может образоваться полоса остеосклероза вдоль зоны роста, подобная той, какая бывает в период ремиссии рахита. Лечение направлено на основное заболевание, вызвавшее ту или иную форму остеодистрофии (смотри полный свод знаний выше). Прогноз также определяется этиологией процесса. Прогноз в отношении жизни для большинства остеодистрофий благоприятный. Восстановление формы и функции поражённых участков скелета нередко представляет большие трудности, особенно если не удаётся остановить сам процесс Остеодистрофия Смотри полный свод знаний Кость.
Вас категорически не устраивает перспектива безвозвратно исчезнуть из этого мира? Вы не желаете закончить свой жизненный путь в виде омерзительной гниющей органической массы пожираемой копошащимися в ней могильными червями? Вы желаете вернувшись в молодость прожить ещё одну жизнь? Начать всё заново? Исправить совершённые ошибки? Осуществить несбывшиеся мечты? Перейдите по ссылке: «главная страница».
|
||||||||||||||||||||||||||||||||||||||||||