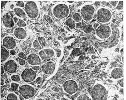
При гранулематозном миозите, представляющем собой мышечную форму саркоидоза, находят узелковые или диффузные инфильтраты из эпителиопдных клеток, гистиоцитов, лимфоцитов и единичных гигантских клеток типа Пирогова — Лангханса (смотри полный свод знаний Гигантские клетки). При токсических Миозит преобладают некротические изменения мышечных волокон (миолиз, коагуляционный некроз) с сохранением сарколеммы и скудной воспалительной реакцией в эндои перимизии. При профессиональных Миозит, обусловленных длительным физических напряжением, определяются очаговые дистрофические и атрофические изменения мышечных волокон, склероз эндо и перимизия. Гетеротопическая оссификация, являющаяся патологический формой костеобразования (смотри полный свод знаний Кость), может развиваться во многих тканях и органах, в том числе и в мышцах. Наиболее важной формой гетеротопической оссификации является оссифицирующий Миозит При травматическом оссифицирующем Миозит в центре очагов уплотнения определяется молодая соединительная ткань с активно пролиферирующими фибробластами, на периферии — кальцифицированное основное вещество, незрелые и зрелые костные перекладины. Оссифицирующий Миозит нетравматического генеза представляет собой универсальный кальциноз мышц (смотри полный свод знаний Кальциноз), в основе которого лежит фибродисплазия. Гистологически в узлах уплотнения на ранних стадиях патологический процесса находят активно пролиферирующие фибробластоподобные клетки. Их цитоплазма содержит большое количество гликопротеида, богатого маннозой. Электронно-микроскопически клетки напоминают опухолевые (гиперхромные ядра, гиперплазированные цитоплазматический ретикулум и пластинчатый комплекс). В межуточной ткани отмечается накопление гликозаминогликанов (гиалуроновая и хондроитинсерная кислоты). Сформированный узел имеет зональное строение: в центре — фиброзная ткань из фибробластоподобных клеток, по периферии — участки остеоида. В дальнейшем в новообразованные костные перекладины откладывается известь. Кроме метаплазии соединительной ткани в костную, отмечается метаплазия её в хрящ с последующим энхондральным окостенением. Костные участки принимают ветвистую форму с губчатым строением во внутренних отделах и компактным в наружных. В старых костных образованиях появляется костный мозг.
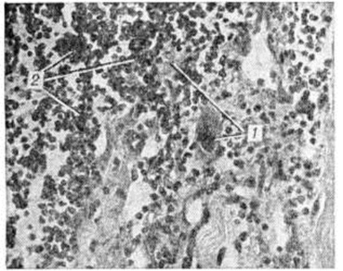
Отдельные клинические формы миозита. Гнойный миозит вызывается чаще всего стафилококком, а также стрептококком, пневмококком, анаэробной инфекцией и другими возбудителями. Развивается обычно остро на фоне очагового гнойного процесса или в связи с септикопиемией (смотри полный свод знаний Сепсис). Иногда поражение мышц возникает спустя некоторое время после стихания воспалительных явлений в первичном очаге. Источниками инфекций могут быть различные гнойничковые заболевания кожи, кариозные зубы, гнойные процессы в миндалинах, придаточных полостях носа (околоносовых, Т.), среднем ухе, у женщин — в гениталиях и другие. Чаще всего гнойный Миозит бывает локализованным, хотя наблюдаются и множественные очаги поражения. В основе патогенеза — развитие воспаления в мышечной ткани в ответ на гнойную инфекцию. Охлаждение или травма могут способствовать локализации воспалительного процесса в той или иной мышце. Клинические, картина характеризуется локальными болями, интенсивность которых быстро нарастает. Боли резко усиливаются при движениях, вызывающих сокращение поражённых мышц, а также при пальпации. Появляется припухлость, отёчность мягких тканей; иногда гиперемия кожи. Развивается защитное напряжение мышц, ограничение движений в суставах. Как правило, отмечаются общие симптомы в виде высокой температуры, озноба, головной боли, а также увеличение регионарных лимфатических, узлов. В крови — лейкоцитоз со сдвигом влево, повышенная РОЭ. В месте развивающегося инфильтрата через несколько дней может появиться флюктуация, при пункции получают гной. Лечение острых гнойных Миозит: антибиотики, физиотерапия, оперативное вмешательство. Прогноз при правильном и своевременном лечении благоприятный. Инфекционный негнойный миозит возникает как осложнение после гриппа, респираторных заболеваний, брюшного тифа, а также при ревматизме и на фоне таких хронический инфекций, как туберкулёз, бруцеллёз, сифилис. Особыми формами инфекционные Миозит является борнхольмская болезнь, которая вызывается вирусом из группы Коксаки (смотри полный свод знаний Плевродиния эпидемическая), а также так называемый мышечный ревматизм. Патогенез инфекционные Миозит— появление воспалительных изменений в мышечной ткани специфического или неспецифического характера. При туберкулёзном Миозит специфический процесс распространяется на мышцы лимфогенно или гематогенно. Сифилитический Миозит характеризуется локальным поражением какой-либо мышечной группы в результате солитарной гуммы или диффузным поражением с развитием склеротической формы Миозит Инф. Миозит может развиваться остро, подостро или иметь хронический течение. Для клинические, картины характерен главным образом местный болевой синдром. Боли как спонтанные, так и при пальпации и активных движениях. Особенно болезненны места прикрепления мышц. Может отмечаться припухлость и мышечное напряжение. Резко ограничена подвижность соответствующей части тела. При пальпации поражённых мышц в месте наиболее выраженной патологии мышечной ткани можно обнаружить болезненные, подвижные на ощупь, плотные образования размером от просяного зерна до боба, округлой или неправильной формы (синдром Корнелиуса). Иногда, особенно в ягодичных, икроножных, трапециевидных, дельтовидных мышцах, определяются болезненные уплотнения, меняющие при надавливании свою форму (синдром гипертонуса Мюллера). В средних или глубоких слоях мышц можно обнаружить также круглые или продолговатые уплотнения студнеобразной консистенции — миогелозы. Помимо болей может отмечаться кожная гиперестезия в области поражённых мышц. Мышечная слабость — вторичная и обычно развивается в связи с наличием болевого синдрома. Атрофия мышц для этой формы Миозит малохарактерна. Общие симптомы, как правило, отсутствуют, хотя в зависимости от этиологии могут наблюдаться проявления общего инфекционные процесса (особенно при хронический инфекциях). Ревматический Миозит характеризуется тянущими, нередко «летучими» болями в скелетных мышцах, при пальпации которых отмечается резкая болезненность. Боли могут усиливаться в ночное время или при перемене погоды. Течение ревматического Миозит— подострое или хроническое. При этой форме может развиваться атрофия мышц, обычно умеренно выраженная. Лечение при инфекционные Миозит— болеутоляющие средства, препараты типа реопирина, в отдельных случаях антибиотики. При ревматизме, а также при туберкулёзном или сифилитическом Миозит проводится специфическая терапия. Прогноз благоприятный. Полимиозит — воспалительное поражение мышц, в основе которого лежит инфекционно-аллергический процесс (смотри полный свод знаний Инфекционная аллергия). Наряду с воспалительными реакциями в мышечной ткани развиваются и дистрофические изменения. Первое сообщение о случае полимиозита было сделано Вагнером (Е. L. Wagner) в 1863 год Полимиозит встречается в любом возрасте, но чаще от 5 до 15 лет и от 50 до 60 лет. Женщины болеют в два раза чаще мужчин. Есть данные о росте частоты этой формы Миозит Этиология и патогенез процесса до конца не выяснены. Не исключено, что полимиозит — полиэтиологическое заболевание, поскольку имеется целый ряд факторов, предшествующих развитию клинические, симптомов. Так, различные инфекции (особенно ангина), травма, массивная инсоляция, применение больших количеств различных медикаментов, в частности сульфаниламидов и антибиотиков, рассматриваются как факторы, приводящие к развитию гиперчувствительности (смотри полный свод знаний Аллергия). Имеют значение эндокринные сдвиги во время беременности, родов, климакса. Большинство учёных ведущее место в патогенезе полимиозита отводят аутоиммунным процессам с образованием антител к мышечной ткани. Клинически заболевание проявляется болевым синдромом (смотри полный свод знаний Миалгия), как правило умеренно выраженным, и мышечной слабостью. Парезы локализуются преимущественно в проксимальных отделах мышц рук и ног, в мышцах тазового и плечевого поясов. В мышцах могут быть уплотнения, иногда развивается умеренная атрофия. Сухожильные рефлексы (смотри полный свод знаний) обычно снижаются, иногда выпадают. Объективных расстройств чувствительности не отмечается, симптомы натяжения отсутствуют. Клинические, картина может напоминать миодистрофию типа Эрба (смотри полный свод знаний Миопатия). В некоторых случаях развивается напряжение мышц и даже их резкое уплотнение (индурация). В поздних стадиях процесса появляются сухожильные контрактуры (смотри полный свод знаний), чаще в двуглавой мышце плеча и в ахилловых (пяточных, Т.) сухожилиях. Висцеральные поражения редки. Иногда отмечается гипотония мышц пищевода. У части больных полимиозит протекает очень легко. Больные отмечают лишь боли, мышечную слабость и утомляемость. В то же время могут иметь место тяжелые, остро протекающие формы с быстрым нарастанием резко выраженной слабости вплоть до тетраплегии. У детей чаще встречается картина дерматомиозита (смотри полный свод знаний) в виде острой или хронический формы. Нередко при хронический течении в поражённых мышцах образуются кальцификаты. У взрослых полимиозит может сочетаться с карциномой или являться компонентом клиники «сухого» синдрома Шегрена (гипосекреция слёзных, слюнных, желудочных и кишечных желёз, полиартрит). В тяжёлых случаях острого полимиозита в крови отмечается лейкоцитоз, нейтрофилия, увеличение РОЭ, нередко бывает креатинурия и уменьшение экскреции с мочой креатинина. В сыворотке крови может быть повышена активность ферментов, особенно креатинфосфокиназы, альдолазы, трансаминазы. В белковых фракциях иногда отмечается увеличение α2 и α-глобулинов. В лёгких случаях полимиозита биохимический сдвигов может не быть. На ЭМГ с использованием игольчатых электродов (смотри полный свод знаний Электромиография) выявляется характерная триада изменений: 1) короткие, низкие полифазные потенциалы двигательных единиц, 2) потенциалы фибрилляций и ирритация на введение электрода, 3) причудливые высокочастотные разряды. Очень важно гистологический подтверждение диагноза Миозит При биопсии выявляется некроз, фагоцитоз, атрофия и дистрофия волокон I и II типов, чёткая воспалительная инфильтрация, картина васкулитов. Полимиозит следует дифференцировать от других мышечных синдромов, сопровождающихся болями, и в первую очередь от эндокринных миопатий (при гиперпаратиреозе, гипокортицизме, тиреотоксикозе). Хронический полимиозит у взрослых нужно отличать от спорадических форм миопатии и спинальной амиотрофии (смотри полный свод знаний), миастении (смотри полный свод знаний), болезни Мак-Ардла (смотри полный свод знаний Гликогенозы), а также гранулематозного Миозит (мышечная форма саркоидоза). При лёгких формах полимиозита применяют десенсибилизирующие средства, бутадион, резохин, делагил в сочетании с АТФ, аскорбиновой кислотой, витамин Е, при затихании воспалительных явлений — массаж, ЛФК. При выраженных формах с чёткими биохимический сдвигами, особенно в сочетании с поражением внутренних органов, проводят лечение стероидными гормонами. Предпочтительно назначение преднизолона, так как другие препараты могут усугубить поражение мышц (стероидная миопатия). Хороший эффект получен при использовании больших доз преднизолона прерывистым методом (двухсуточная доза в количестве 80—100 миллиграмм принимается сразу в течение 1—2 часов через день). Длительность курса лечения зависит от тяжести процесса, переносимости препарата, клинические, эффекта. Как правило, максимальную дозу препарата назначают в течение 5—6 месяцев, после чего её постепенно, очень медленно снижают. Поддерживающую дозу 10—20 миллиграмм назначают до 11/2 лет. Если мышечная слабость не исчезает при лечении преднизолоном в течение 2 месяцев, рекомендуется комбинация его с метотрексатом в начальной дозе 10—15 миллиграмм внутривенно. При хорошей переносимости дозу постепенно увеличивают до 30—50 миллиграмм. Интервал между вливаниями 5—7 дней. Длительность терапии 12— 15 месяцев. Дневной приём преднизолона в этих случаях постепенно снижается (до 20 миллиграмм через 6 месяцев и до 10 миллиграмм через 12 месяцев). Одновременно с приёмом преднизолона назначают антацидные средства (смотри полный свод знаний), препараты калия, осуществляют контроль за АД, уровнем сахара крови. Побочные явления при прерывистом методе стероидной терапии, как правило, не возникают или слабо выражены. Прогноз при лёгких формах благоприятный, при тяжёлых зависит от полноценности и своевременности лечения. Паразитарный миозит в большинстве случаев следует рассматривать как полимиозит. Причиной его являются трихинеллёз, цистицеркоз, токсоплазмоз, редко эхинококкоз. Заболевание рассматривается как токсико-аллергический процесс с развитием воспалительных реакций в местах внедрения паразитов в мышечную ткань. Чаще страдают проксимальные отделы рук и ног. Больные жалуются на боли, утомляемость мышц. Нередко имеются общие симптомы: субфебрильная температура, изменения со стороны крови (эозинофилия, лимфоцитоз и другие), кожные проявления (крапивница, зуд). Процесс нередко носит волнообразный характер, что связано с циклом жизнедеятельности паразитов. В мышцах обнаруживаются псевдоцисты и кальцинаты, что может быть установлено при рентгенологическое или гистологический исследовании. Лечение — десенсибилизирующие средства, противопаразитарные препараты. Полное выздоровление наступает редко. Токсический миозит наблюдается при ряде интоксикаций. Так, при тяжёлом алкоголизме могут иметь место болезненные отеки мышц с парезами, миоглобинурией и вторичной почечной недостаточностью. К поражению мышц может приводить применение некоторых фармакологических средств (колхицин, винкристин и другие), а также укусы некоторых животных п насекомых, особенно в тропических странах. Лечение — необходимо исключить действие фактора, вызвавшего токсический Миозит, и провести дезинтоксикационную терапию. При процессе алкогольной этиологии показано назначение тиоловых препаратов (унитиол. тиосульфат натрия), а также больших доз витамина В1. В тяжёлых случаях производят гемодиализ. Прогноз относительно благоприятный. Нейромиозит выделяется из общей группы Миозит в связи с тем, что при этой форме, помимо воспалительных изменений в мышечной ткани, имеются изменения в интрамускулярных нервных волокнах, а иногда и в дистальных отделах аксонов нервов. Клинически эта форма характеризуется выраженным болевым синдромом; боли резко усиливаются при пальпации, могут отмечаться болезненные точки Валле (смотри полный свод знаний Диагностические болевые точки). Слабоположительны симптомы натяжения. Подтверждению диагноза (помимо данных биопсии) помогает ЭМ Г, на которой отмечаются элементы денервационных изменений. Лечение — анальгетики, противовоспалительные средства, физиотерапия (тепловые процедуры, токи Бернара), иногда местная новокаиновая блокада. Прогноз относительно благоприятный. Полифибромиозит некоторыми учёными относится к системным заболеваниям, при которых воспалительные изменения в мышцах сопровождаются выраженной реакцией со стороны соединительной ткани с развитием в ней фиброзных изменений. Клинически заболевание проявляется болями при движениях, резкой болезненностью в точках прикрепления мышц, образованием уплотнений в виде узелков, тяжей. Могут страдать сухожилия мышц, они становятся резко болезненными, нередко утолщаются, развиваются контрактуры. Описаны очень тяжёлые формы заболевания, при которых в связи с развитием грубого фиброза мышц наступает прогрессирующее ограничение движений, особенно в мышцах спины, плечевого пояса, и формирование патологических поз. Подтверждением распространённого фиброзирующего процесса, помимо данных гистологический исследования, является отсутствие расслабления поражённых мышц во время сна и при проведении общей анестезии. Хронический форма полифибромиозита может быть следствием полимиозита или обширного травматического миозита. Лечение — противовоспалительные средства, инъекции лидазы, массаж, ЛФК, физиотерапевтические процедуры, бальнеотерапия. Прогноз зависит от степени тяжести и распространённости процесса. Оссифицирующий миозит (болезнь Мюнхмейера) — метапластический процесс, при котором происходит обызвествление, а в последующем истинное окостенение соединительнотканных прослоек в толще мышц, а также фасций, апоневрозов, сухожилий. Имеется несколько гипотез патогенеза внескелетного костеобразования — гетеротопической оссификации: воспалительная, трофоневротическая, эндокринная, эмбриогенетическая (как аномалия развития мезенхимы). Оссифицирующий Миозит, или гетеротопические оссификаты, могут быть самостоятельными образованиями, но возникают и вследствие травмы. Иногда оссифицирующий Миозит может быть исходной стадией дерматомиозита (смотри полный свод знаний). Оссифицирующий Миозит— прогрессирующее заболевание, которое наблюдается преимущественно в детском возрасте, очень редко после 20 лет. Чаще страдают лица мужского пола. Клинические, картина характеризуется постепенным ограничением движений, скованностью мышц шеи, спины, проксимальных отделов конечностей, иногда мышц головы. Меняется осанка, развиваются патологический позы. При пальпации мышц определяются плотные образования различной величины и формы. Дополнительные травмы усугубляют локальную оссификацию. Оссифицирующий травматический Миозит следует рассматривать как внутримышечный фиброзит, возникающий в виде ответной реакции на повреждение мягких тканей. Он может развиться в результате однократной травмы или вследствие часто повторяющейся травматизации одной и той же мышцы, например, при занятиях спортом. В первое время после травмы Миозит проявляется симптоматикой ушиба мягких тканей в виде ограниченного и болезненного их уплотнения, местного повышения температуры кожи, её покраснения и нарушения функции всей конечности или чаще её одного сегмента. Постепенно острые явления стихают, наступает безболезненный период, продолжающийся иногда несколько недель и даже месяцев. В последующем через различные промежутки времени больные обращают внимание на твердое образование, иногда плотно связанное с костью и близко прилегающее к подкожной клетчатке. Известны случаи, когда до рентгенологическое исследования эти плотные образования в мышцах ошибочно принимались за саркомы костей или мягких тканей, особенно за параоссальную саркому. Излюбленной локализацией оссифицирующего травматического Миозит является область плечевой мышцы, группа мышц на уровне диафиза бедренной кости и ягодичная область. Кроме оссифицирующего Миозит, гетеротопическое окостенение может проявляться в виде обызвествления и окостенения сухожилий у мест их прикреплений к костям или околосуставных оссификатов. Существуют типичные локализации оссификатов, например, болезнь Пеллегрини — Штиды (смотри полный свод знаний Пеллегрини — Штиды болезнь), локтевая «шпора», так называемый посттравматические косточки в приводящих мышцах бедра у наездников, в двуглавой мышце плеча, в дельтовидной мышце у гимнастов и так далее Эти образования не следует смешивать с обызвествлениями в слизистых сумках. Прогрессирующий (множественный) оссифицирующий Миозит имеет весьма характерную рентгенологическое картину. Тени неправильной кораллоподобной формы на рентгенограмме отмечаются в начале заболевания в мышцах спины, шеи, затылка, а в дальнейшем в мышцах конечностей и живота. При оссифицирующем Миозит трофоневротического генеза (при сухотке спинного мозга, сирингомиелии, травмах спинного мозга и крупных нервных стволов, поперечном миелите, полиневритах) рентгенологическое изменения выявляются в виде малоинтенсивных хлопьевидных теней, которые в дальнейшем становятся более плотными. Они локализуются обычно у тазобедренных, коленных суставов, вдоль малоберцовой кости. Такое продольное расположение теней следует принимать во внимание при дифференциации оссифицирующего Миозит, например, с саркомой, при которой тени обызвествлений располагаются преимущественно в поперечном направлении к длиннику кости. Трофоневротические костеобразования нередко сочетаются с узурами, деструкциями костей, например, больших вертелов, седалищных бугров и других выступающих костных образований. Рентгенологические картина оссифицирующего травматического Миозит в большинстве случаев выражается тенью неправильной формы с нечёткими очертаниями. Вначале тень малоинтенсивна, облаковидна, но с течением времени она уплотняется, и впоследствии в ней часто различается костная структура. Тень окостенения обычно лежит изолированно от кости конечности, но впоследствии нередко сливается с тенью кости. Особенно значительное окостенение наблюдается в мышцах области локтевого сустава, в плечевой мышце. Лечение оссифицирующего прогрессирующего Миозит малоэффективно. Имеются попытки воздействовать на обмен кальция применением комплексонов (тетацин-кальций). Ранее применявшаяся операция удаления паращитовидных желёз не эффективна. При оссифицирующем травматическом Миозит при наличии гематомы (смотри полный свод знаний) назначают холод, давящую повязку для предупреждения нарастания кровоизлияния, через 2—3 дня для рассасывания гематомы рекомендуется сухое тепло. В ранних стадиях формирования гетеротопической оссификации применяют аппликации озокерита, физиотерапевтическое лечение с применением ультразвука, гидрокортизона. Консервативное лечение оссификатов неэффективно. После созревания до костной плотности образование не растёт, как правило, обратно не развивается, но может уменьшиться в объёме. Наиболее радикальным методом лечения является оперативное вмешательство. Показаниями к нему служат нарушение функции сустава, сдавление и раздражение нервного ствола или сдавление и близкое расположение оссификата у магистральных сосудов. После удаления оссификата необходима иммобилизация конечности до 10 дней. Прогноз благоприятный. Рецидивов без повторных травм не бывает. Профилактика травматического оссифицирующего Миозит— это бережное отношение к мягким тканям, особенно при занятиях спортом и при профессиональных нагрузках на определённые сегменты скелета. Профессиональный миозит развивается вследствие нарушения трофики мышц, подвергающихся интенсивному перенапряжению в процессе трудовой деятельности, особенно при выполнении однообразных дифференцированных движений или при длительном статическом напряжении. Характеризуется болевыми ощущениями, снижением мышечной силы, развитием фиброзных образований в определённых группах мышц в виде узелков, тяжей (фиброзиты, целлюлиты), обычно сопровождается поражением сухожильных влагалищ (тендовагиниты). Чаще страдают мышцы верхних конечностей и плечевого пояса. Лечение — массаж, местные тепловые процедуры (парафин, тёплые ванны), диатермия, электрофорез. Однако полного излечения добиться трудно.
Вас категорически не устраивает перспектива безвозвратно исчезнуть из этого мира? Вы не желаете закончить свой жизненный путь в виде омерзительной гниющей органической массы пожираемой копошащимися в ней могильными червями? Вы желаете вернувшись в молодость прожить ещё одну жизнь? Начать всё заново? Исправить совершённые ошибки? Осуществить несбывшиеся мечты? Перейдите по ссылке: «главная страница».
|
||||||||||||||||||||||||||||||||||||||||||||||||