Миобластома зернисто-клеточная

Оглавление

  1. Дорога к бессмертию
  2. Бессмертие и религия
  3. Философия бессмертия
  4. Бессмертие и наука
  5. История анабиоза
  6. Смерть
  7. Кора головного мозга
  8. Бессмертие и анабиоз
  9. Анабиоз, медицина и биология
  10. Анабиоз и экономика
  11. Анабиоз и закон
  12. Анабиоз в Антарктиде
  13. Техническое обеспечение анабиоза
  14. Бессмертие и вера
  15. Библиотека Ordo Deus
  16. Контактная страница Ordo Deus

Миобластома зернисто-клеточная

Миобластома зернисто-клеточная (греческий mys, my[os] мышца + blastos росток, зародыш + -onia; синонимы: зернисто-клеточная опухоль, миобластомиома, миома из миобластов, опухоль Абрикосова) — опухоль мышечной ткани, характеризующаяся зернистым строением цитоплазмы клеток и, в основном, доброкачественным течением. Впервые Миобластома зернисто-клеточная описана в 1854 год Вебером (Weber) и детально изучена в 1926 год А. И. Абрикосовым.

Миобластома зернисто-клеточная встречается в любом возрасте. Опухоль чаще располагается в языке, мышцах верхних и нижних конечностей, встречается также в коже, гортани, дёснах и гипофизе.

Макроскопически Миобластома зернисто-клеточная имеет вид узла величиной до 3,5 сантиметров в диаметре, беловато-розового, иногда белесоватого цвета на разрезе, не всегда чётко отграниченного от окружающих тканей. В редких случаях опухолевые узлы Миобластома зернисто-клеточная могут иметь гигантские размеры — до 20 сантиметров и более в диаметре.

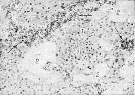
Микроскопически опухоль состоит из комплексов крупных, величиной от 40 до 100 микрометров в диаметре, овальных, полигональных, иногда вытянутой формы клеток (рисунок), в цитоплазме которых содержатся крупные, равномерно расположенные зерна, дающие слабоположительную реакцию на липиды и ШИК-реакцию; иногда в цитоплазме клеток Миобластома зернисто-клеточная обнаруживаются капельки жира. Ядра опухолевых клеток округлой формы, расположены центрально; фигуры митоза обычно отсутствуют, однако часто бывают видны ядра с перетяжкой или делящиеся амитотическим путём. Строма нежноволокнистая, бедная сосудами.



Информация об Ordo Deus Перейти в оглавление сайта

Рис
Микропрепарат зернисто-клеточной миобластомы: видны комплексы опухолевых клеток (1), инфильтрирующих жировую ткань (2), в строме опухоли отмечается очаговая инфильтрация лимфоидными клетками (указана стрелками); окраска гематоксилин-эозином; × 100.



Гистогенез Миобластома зернисто-клеточная не выяснен. Обнаружение в её клетках миофибрилл и формирование атипических мышечных волокон являются, по мнению А. И. Абрикосова и некоторых других исследователей, признаком происхождения Миобластома зернисто-клеточная из миобластов; обнаружение в опухоли миелина, леммоцитов (шванновских клеток), нервных волокон позволяет ряду других исследователей предполагать нейрогенное происхождение опухоли.

Леру (R. P. Н. Leroux) с соавторами высказал мнение о гистиоцитарной природе этих новообразований; Пирс (А. Е. Pearse) считает, что Миобластома зернисто-клеточная имеют фибробластическую природу; Тото (P. Toto) с соавторами и некоторые другие исследователи связывают гистогенез Миобластома зернисто-клеточная с недифференцированными клетками мезенхимы.

Рост опухоли, как правило, экспансивный, но может сопровождаться инфильтрацией окружающих тканей, особенно при локализации Миобластома зернисто-клеточная в языке. Злокачественная Миобластома зернисто-клеточная встречается крайне редко, характеризуется незначительным полиморфизмом клеток, наличием большого числа митозов и способностью к метастазированию.

Клинические, картина Миобластома зернисто-клеточная зависит от локализации опухоли: могут возникать боли, в ряде случаев появляются симптомы сдавления окружающих тканей.

Диагноз устанавливают при гистологический исследовании. Дифференциальный диагноз проводят с альвеолярной саркомой, ксантомой (смотри полный свод знаний), онкоцитомой (смотри полный свод знаний) и пираганглиомой (смотри полный свод знаний)

Лечение оперативное. Прогноз благоприятный, однако после операции могут быть рецидивы.

Петровичев H.H.

⇐ Перейти на главную страницу сайта

⇑ Вернуться в начало страницы ⇑

Библиотека Ordo Deus ⇒

⇐ Милкмена болезнь

⇓ Полный свод знаний. Том первый А. ⇓

Миозит ⇒

Все статьи в полном изложении, Вы можете найти в большой медицинской энциклопедии — Главный редактор: академик АН СССР (РАН) и АМН СССР (РАМН) Б.В. Петровский. — Москва издательство «Советская энциклопедия» 1989г.

Внимание! Вы находитесь в библиотеке «Ordo Deus». Все книги в электронном варианте, содержащиеся в библиотеке «Ordo Deus», принадлежат их законным владельцам (авторам, переводчикам, издательствам). Все книги и статьи взяты из открытых источников и размещаются здесь только для чтения.

Вся информация на сайте Ordo Deus находится в свободном доступе. Ordo Deus не предоставляет информацию на платной основе.

Все авторские права сохраняются за правообладателями. Если Вы являетесь автором данного документа и хотите дополнить его или изменить, уточнить реквизиты автора, опубликовать другие документы или возможно вы не желаете, чтобы какой-то из ваших материалов находился в библиотеке, пожалуйста, свяжитесь с нами по e-mail:
info @ ordodeus. ru
Формы для прямой связи с нами находятся в нижней части страниц: контакты и устав «Ordo Deus», для перехода на эти страницы воспользуйтесь кнопкой контакты вверху страницы или ссылкой в оглавлении сайта.

Вас категорически не устраивает перспектива безвозвратно исчезнуть из этого мира? Вы не желаете закончить свой жизненный путь в виде омерзительной гниющей органической массы пожираемой копошащимися в ней могильными червями? Вы желаете вернувшись в молодость прожить ещё одну жизнь? Начать всё заново? Исправить совершённые ошибки? Осуществить несбывшиеся мечты? Перейдите по ссылке: «главная страница».

© Ordo Deus, 2010. При копировании ссылка на сайт http://www.ordo-deus.ru обязательна.