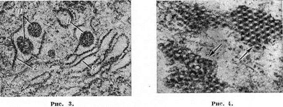
Рибонуклеопротеид вируса имеет плавучую плотность 1,34 грамм/миллилитров, геном представлен тремя фрагментами однонитчатой РНК, которые имеют молекулярный вес около 0,8 × 106; 2,0 × 106 и 3,0 × 106 дальтон. Вирионы проникают в чувствительную клетку путём виропексиса. Созревание вновь образующихся вирионов происходит почкованием на внутриклеточных плазматических мембранах пластинчатого комплекса (комплекса Гольджи — рисунок 3) и эндоплазматического ретикулума. Обычно вирионы аккумулируются в цитоплазматических вакуолях. Иногда в поражённых вирусом клетках, на поздних стадиях инфекции, обнаруживаются скопления кристаллоподобных структур (рисунок 4). Выход из клетки вирионов обычно происходит экзоцитозом, в редких случаях — в результате лизиса клетки. С 1967—1969 годы стало известно о существовании так называемый вируса Конго, который по антигенным свойствам оказался родственным вирусу Крымская геморрагическая лихорадка В отличие от Крымская геморрагическая лихорадка, болезнь, связанная с вирусом Конго, редко наблюдалась у людей (менее 20 случаев), но вирус часто обнаруживался у животных. С 1964 год известно о существовании так называемый вируса Хазара, выделенного в Пакистане от клещей Ixodes redikorzevi, который также близок вирусу Крымская геморрагическая лихорадка. Однако заболеваний, вызванных этим вирусом, среди людей и животных не зарегистрировано. Вирусы Крымская геморрагическая лихорадка чувствительны к жирорастворителям (эфир, хлороформ) или дезоксихолату натрия и детергентам (смотри полный свод знаний), разрушающим оболочку; не устойчивы во взвеси ткани мозга при t° 37°, 45°, 56°, полностью теряя инфекциозность соответственно через 20 часов, 2 часа, 5 —10 минут и почти мгновенно при кипячении. Вирусы хорошо сохраняются в замороженном субстрате и удовлетворительно в высушенном на холоду материале, содержащем белки; они инфекциозны в ограниченном диапазоне значений pH 6,0—9,0 (оптимум pH 7,0—8,0), не обладают устойчивостью к обычно используемым концентрациям дезинфицирующих средств. Большинство штаммов вируса Крымская геморрагическая лихорадка практически лишены гемагглютининов, не дают деструкции клеток в заражённых культурах ткани. Для изоляции, размножения и идентификации штаммов вируса Крымская геморрагическая лихорадка наиболее удобно использовать заражение в мозг и в брюшную полость новорожденных белых мышей. Накопление пассажного вируса Крымская геморрагическая лихорадка (после нескольких перевивок) возможно также в мозге заражённых новорожденных белых крыс и в культурах перевиваемых линий почечных клеток поросят. В заражённых культурах тканей под слоем агара появляются бляшки — колонии вируса. Пассажный вирус в мозговой взвеси или в культуральной жидкости можно сконцентрировать, например, полиэтиленгликолем и очистить для использования в качестве антигенов в серологический реакциях: связывания комплемента или диффузионной преципитации в агаре (РДПА). Вирус Крымская геморрагическая лихорадка может быть выделен из крови больных в лихорадочном периоде болезни, из секционных материалов, а также из взвеси растёртых клещей-переносчиков. Взрослые мыши, крысы, другие животные не дают клинические, картины болезни после инокуляции вируса Крымская геморрагическая лихорадка, но вырабатывают специфические антитела. Вирус без потерь фильтруется через мембранный фильтр с диаметром пор 220 нанометров и почти полностью задерживается на фильтрах с диаметром пор менее 100 нанометров. Эпидемиология. Предполагается, что источниками возбудителей Крымская геморрагическая лихорадка могут быть млекопитающие (коровы, козы, зайцы, африканские ежи и другие). Нередки внутрибольничные и семейные вспышки, связанные с заражением при контакте медперсонала или членов семьи с кровавыми рвотными массами, кровью (при кровотечениях из носа) больных людей. Возможно также случайное заражение людей при контакте с кровью больных животных. Отмечены случаи внутри лабораторного заражения персонала во время аварий при центрифугировании вируссодержащих материалов и в других условиях заражения воздушной среды вирусом Крымская геморрагическая лихорадка. Вместе с тем переносчиком и резервуаром инфекции служат иксодовые клещи (смотри полный свод знаний) многих видов, у которых обнаруживается вирус Крымская геморрагическая лихорадка,— Н. plumbeum plumbeum, Н. anatolicum, Н. asiaticum, Н. detritum; Rhipicephalus rossicus, Rh. bursa, Rh. sanguineus, Rh. pumilio; Dermacentor marginatus, D. daghestanicus; Boophilus calcaratus и аргасовый клещ — Argas persicus. Клещи некоторых видов в течение ряда поколений сохраняют вирус Крымская геморрагическая лихорадка и передают его животному при кровососании. В теле клеща Н. plumbeum plumbeum вирус размножается, передаётся потомству по ходу метаморфоза клеща и трансовариально. Родственный вирус Конго был выделен в Африке и в Азии (Пакистан) из клещей рода Hyalomma, Boophilus и Amblyomma, а также от мокрецов Culicoidessp. и из крови коров, коз (во время паразитирования на них клещей). Заболеваемость Крымская геморрагическая лихорадка имеет характерную сезонность (тёплое время года), что определяется зависящим от климатических факторов периодом активности нападающих на людей различных видов клещей-переносчиков. В эндемических сельских районах Крымская геморрагическая лихорадка заражаются преимущественно животноводы, пастухи, стригали, доярки, ветеринары и другие лица, подвергающиеся нападению иксодовых клещей. Патогенез изучен недостаточно. Возбудитель проникает в организм человека при кровососании заражённым клещом. Он фиксируется и размножается в эндотелии сосудов, эпителиальных клетках печени, почек (что доказано с помощью специфических реакций иммунофлюоресценции) и в других элементах ретикулоэндотелиальной системы. Развивается васкулит (смотри полный свод знаний) с преимущественным отечно-деструктивным поражением микроциркуляторного русла вплоть до фибриноидного некроза и разрыхления мембранных структур, с ранними и резко выраженными альтеративно-некротическими процессами в органах. В значительной степени некрозы связывают с развивающейся в процессе болезни тканевой аллергической реакцией. Поражения головного мозга, почек и других органов, вероятнее всего, связаны с циркуляторными расстройствами, а геморрагические проявления — с повышенной проницаемостью сосудов, особенно выраженной при тяжёлых формах Крымская геморрагическая лихорадка Патологическая анатомия. У умерших от Крымская геморрагическая лихорадка имеются множественные кровоизлияния (смотри полный свод знаний) в коже, на видимых слизистых оболочках; на секции они выявляются в рыхлой соединительной ткани, в различных органах, на слизистых оболочках трахеи, желудка, кишечника, в плевре, брюшине. В просвете желудка и кишечника обнаруживают жидкую кровь или жидкость в виде кофейной гущи, в толстой кишке дегтеобразное или бурого цвета содержимое. В просвете гортани и трахеи могут быть сгустки крови, а в плевральных полостях—кровянистая жидкость. Легкие багрового цвета из-за кровенаполнения; пневмонические очаги имеют геморрагический характер. Геморрагии находят в миокарде и в мозге. Мягкая мозговая оболочка умеренно отёчна. Печень иногда увеличена, почки и почти всегда селезёнка обычных размеров. Сосуды всех паренхиматозных органов полнокровны, межтканевые прослойки пропитаны кровью. В остром периоде гистологический картина характеризуется генерализованным серозно-геморрагическим воспалением (смотри полный свод знаний), обусловленным повышенной проницаемостью сосудов. В почках, печени, миокарде и железах внутренней секреции наблюдаются дистрофические изменения и очаги некрозов. Мозг отёчен, с очагами поражения нервных клеток и ишемических изменений. Типичны отёчное разрыхление стенки кровеносных сосудов, преимущественно микроциркуляторного русла, десквамация сосудистого эндотелия, периваскулярный отёк и кровоизлияния путём диапедеза в ткань различных органов. В органах кроветворения обнаруживается гипопластическая реакция с задержкой созревания лейкоцитов. Иммунитет. Перенесённая Крымская геморрагическая лихорадка приводит к развитию прочного и длительного иммунитета, что выявляется рядом серологический реакций. Клиника. Инкубационный период Крымская геморрагическая лихорадка от 2 до 14, чаще 3—5 дней. Болезнь протекает в лёгкой, среднетяжёлой и тяжёлой форме с геморрагическим синдромом или без него. При Крымская геморрагическая лихорадка с геморрагическим синдромом выделяют 3 периода: начальный, или общетоксический, период разгара, или геморрагических проявлений, и период реконвалесценции. Крымская геморрагическая лихорадка с геморрагическим синдромом и без него начинается одинаково остро, без продромальных явлений: с потрясающего озноба или познабливания, быстрого повышения температуры до 38—40°, сильной головной боли и разбитости, ломоты во всем теле, слабости, иногда тошноты и рвоты, болей в животе, в суставах и мышцах, в пояснице, иногда с положительным симптомом Пастернацкого. Кожа лица, шеи и груди часто гиперемирована, отмечается сухость кожи и слизистых оболочек. Иногда появляется герпес, что, повидимому, является следствием обострения латентно протекающей герпетической инфекции. Пульс соответствует температуре. В крови лейкопения, нейтропения, лимфоцитоз, сдвиг нейтрофилов влево, тромбоцитопения, а в моче альбуминурия и микрогематурия, иногда цилиндрурия. Длительность начального периода 3—6 дней, после чего нередко температура падает на 1 —2 дня и затем поело её повышения наступает период разгара болезни с развитием геморрагического синдрома в виде геморрагической сыпи на коже, слизистых оболочках ротовой полости, зева, носовых кровотечений (смотри полный свод знаний), гематом (смотри полный свод знаний) на местах инъекций, метроррагий (смотри полный свод знаний Маточные кровотечения), кровоточивости дёсен, иногда кровотечений из ушей, кровохарканья (смотри полный свод знаний). При наличии только геморрагической сыпи или сочетании её с кратковременными кровотечениями из носа и дёсен Крымская геморрагическая лихорадка протекает относительно легко. Наличие массивных геморрагических проявлений — обильная геморрагическая сыпь, желудочнокишечное кровотечение (смотри полный свод знаний) — отягощает течение болезни. Геморрагические проявления могут длиться от нескольких часов до 2—7 дней. Лицо больных в этот период становится бледным и несколько одутловатым, может быть акроцианоз. Наблюдается геморрагическая сыпь от точечных петехий темно-вишнёвого цвета до сине-багровых пятен различных размеров на различных участках тела (почти у всех больных). Пульс лабильный до 120—130 в 1 минут, артериальное давление снижается, возможен даже коллапс. Тоны сердца приглушены. В лёгких могут быть сухие хрипы, редко мелкоочаговая пневмония. Аппетит отсутствует, у большинства больных язык обложен, десны разрыхлены и кровоточат, могут быть различной интенсивности боли в животе, тошнота и рвота, нередко неукротимая, обильная, почти целиком кровью (смотри полный свод знаний Гематемезис). Часты микропримеси крови в кале, дёгтеобразный стул (смотри полный свод знаний Мелена), иногда чистая кровь. Часто увеличивается печень, возможна гепатаргия; реже увеличивается селезёнка. Изменения мочеполовой системы умеренно выражены и проявляются в виде непостоянного симптома Пастернацкого, олигурии, незначительной альбуминурии, выявления в осадке мочи единичных лейкоцитов и свежих эритроцитов, понижения удельного веса мочи. Обычно отмечаются сильные головные боли, сонливость, заторможенность, вялость, апатия. При тяжёлом течении сознание затемнено, возможен бред, непроизвольное мочеиспускание и редко непроизвольная дефекация. У отдельных больных обнаруживается ригидность мышц затылка, симптомы Кернига и Брудзинского. В крови отмечается резкая или умеренная гипохромная анемия, тромбоцитопения, лейкопения. Сопутствующие хронический болезни, особенно сердечно-сосудистой системы, почек, печени, крови, отягощают Крымская геморрагическая лихорадка Клиника Крымская геморрагическая лихорадка у взрослых и детей практически одинакова. У беременных Крымская геморрагическая лихорадка протекает крайне неблагоприятно. Осложнения не часты и проявляются как бронхит (смотри полный свод знаний), очаговая пневмония (смотри полный свод знаний), отёк лёгких (смотри полный свод знаний) при нарастающей сердечно-сосудистой недостаточности и гепатаргия (смотри полный свод знаний) у лиц с цирротической печенью (алкоголизм), острая почечная недостаточность (смотри полный свод знаний), тромбофлебиты (смотри полный свод знаний). Диагноз в начальный период болезни весьма труден, и обычно Крымская геморрагическая лихорадка расценивают как грипп. В период разгара болезни установлению правильного диагноза помогают геморрагические проявления на фоне общего токсикоза, характер изменений крови, эпидемиологические анамнез. Для подтверждения диагноза используют лабораторный исследования: выявление вируса Крымская геморрагическая лихорадка заражением в мозг новорожденных белых мышей кровью больного в остром периоде или взвесью ткани органов трупа мыши с последующими пассажами на новорожденных белых крысах (мозгом от заболевших мышей); идентификация вируса в реакции связывания комплемента (смотри полный свод знаний), реакции диффузионной преципитации в агаре — РДПА (смотри полный свод знаний Иммунодиффузия) и в реакции иммунофлюоресценции (смотри полный свод знаний); выявление антигена вируса Крымская геморрагическая лихорадка в отпечатках или в криостатных срезах печени трупа мыши с помощью метода флюоресцирующих антител, определение изменений титров антител в ранней и поздней пробах сыворотки крови больных в РСК, РДПА и по методу иммунофлюоресценции с культуральным антигеном на стёклах. Применима реакция непрямой гемагглютинации (PH Г А) с антигеном вируса. Идентификация выделенного вируса возможна и в реакции интерференции в культуре ткани (смотри полный свод знаний Интерференция вирусов) против цитопатогенного вируса везикулярного стоматита. Выявление в поздних пробах сыворотки крови больных антител к вирусу Крымская геморрагическая лихорадка с помощью РСК даже при сравнительно низких титрах (разведение сыворотки 1 : 4) с определённостью подтверждает диагноз. Дифференциальный диагноз. Болезнь необходимо дифференцировать с гриппом (смотри полный свод знаний), лептоспирозом (смотри полный свод знаний), эпидемическим сыпным тифом (смотри полный свод знаний Сыпной тиф эпидемический), болезнью Шенлейна — Геноха (смотри полный свод знаний Шенлейна—Геноха болезнь), болезнью Верльгофа (смотри полный свод знаний Пурпура тромбоцитопеническая), острым лейкозом (смотри полный свод знаний), алиментарно-токсической алейкией (смотри полный свод знаний Алейкия алиментарно-токсическая), апластической анемией (смотри полный свод знаний Гипопластическая анемия), жёлтой лихорадкой (смотри полный свод знаний); в Африке — с лихорадками Ласса и Эбола (смотри полный свод знаний Ласса-лихорадка, Эбола геморрагическая лихорадка). Лечение больных проводится в стационаре. В целях борьбы с интоксикацией, кровотечениями и осложнениями назначается патогенетическая терапия. Для дезинтоксикации рекомендуется обильное питье и парентеральное введение физиологический раствора, гидролизина, аминокровина и других препаратов в общей дозе до 1,5—2 литр в сутки. При кровотечениях вводят цельную кровь, сухую плазму, эритроцитную, тромбоцитную, лейкоцитную массы, фибриноген, аминокапроновую кислоту. В качестве коагулянтных средств используют аскорбиновую кислоту, хлористый кальций, витамин Р, викасол, желатиноль. При развитии картины гепатаргии назначают кортикостероиды. При необходимости дегидратации используют сернокислую магнезию, гипотиазид, фуросемид, мочевину. Сердечно-сосудистые средства, анальгетики, противорвотные и другие симптоматические препараты назначают по показаниям. Специфический гамма-глобулин и сыворотка реконвалесцентов как препараты для иммунотерапии находятся в стадии изучения. Прогноз. У большинства больных через 2—3 недель от начала болезни наступает выздоровление, которое идёт медленно. Многие больные после выписки длительное время остаются нетрудоспособными. Причиной летальных исходов является шок как следствие интоксикации, массивного кровотечения во внутренние органы, особенно в желудок и кишечник, реже — отёк лёгких, отёк мозга, острая почечная недостаточность, хроническая сердечно-сосудистая патология. Профилактика. Основной мерой предупреждения Крымская геморрагическая лихорадка является защита человека от нападения клещей. Для индивидуальной защиты людей, работающих в эндемичных районах, применяют защитную (противоклещевую) одежду — комбинезон на застёжке-молнии, края рукавов и брюк которого затягивают резиновыми тесёмками; при наличии сапог брюки заправляют в голенища, рубашку в брюки; голову закрывают капюшоном. Если нет комбинезона, то обычную одежду плотно застёгивают, рукава завязывают тесёмками. Одежда обрабатывается отпугивающими средствами (смотри полный свод знаний Репелленты). Капюшон можно заменить сеткой Павловского (смотри полный свод знаний Зацепные сетки). В течение рабочего дня необходимо каждые 1½— 2 часа производить само и взаимо-осмотры и удалять обнаруженных клещей; в обеденный перерыв и по окончании рабочего дня люди должны раздеваться и осматривать друг друга для возможного обнаружения присосавшихся клещей. Удаление присосавшихся клещей производят пинцетом, осторожно раскачивая его, чтобы не оторвать ротовой части; снятых клещей сжигают либо бросают в керосин (бензин). Домашних животных регулярно осматривают и освобождают от присосавшихся клещей, определяют видовой состав иксодовых клещей, выявляют антитела в крови у скота. Среди населения необходимо проводить повседневную санитарный-просвет, работу, обучать людей индивидуальной защите от клещей. Поскольку возможно заражение Крымская геморрагическая лихорадка при попадании крови больного человека на кожу или слизистые оболочки, госпитализация больных Крымская геморрагическая лихорадка обязательна. В стационаре соблюдается строгий противоэпидемический режим в целях предупреждения внутрибольничных заражений через кровь больного (защита рук резиновыми перчатками, дыхательных путей марлевой повязкой). В очаге проводится эпидемиологическое обследование для получения достоверной информации о месте, времени и обстоятельствах заражения (о возможном контакте с больными людьми, о нападении клеща в недалёком прошлом и прочее), а также дезинфекция выделений больного, его постельных принадлежностей, белья, посуды.
Вас категорически не устраивает перспектива безвозвратно исчезнуть из этого мира? Вы не желаете закончить свой жизненный путь в виде омерзительной гниющей органической массы пожираемой копошащимися в ней могильными червями? Вы желаете вернувшись в молодость прожить ещё одну жизнь? Начать всё заново? Исправить совершённые ошибки? Осуществить несбывшиеся мечты? Перейдите по ссылке: «главная страница».
|