Круп

Оглавление

  1. Дорога к бессмертию
  2. Бессмертие и религия
  3. Философия бессмертия
  4. Бессмертие и наука
  5. История анабиоза
  6. Смерть
  7. Кора головного мозга
  8. Бессмертие и анабиоз
  9. Анабиоз, медицина и биология
  10. Анабиоз и экономика
  11. Анабиоз и закон
  12. Анабиоз в Антарктиде
  13. Техническое обеспечение анабиоза
  14. Бессмертие и вера
  15. Библиотека Ordo Deus
  16. Контактная страница Ordo Deus

Круп

Круп (английский croup, от шотландского croup каркать) — термин, применяемый для обозначения клинического симптомокомплекса, характеризующегося хриплым голосом, лающим кашлем и затруднённым дыханием.

Термин «круп» имеет и другое значение. В патологоанатомическом понимании — это фибринозное воспаление слизистой оболочки трахеи, кишки, мочевого пузыря и другие, при котором выпадение фибрина происходит лишь в пределах эпителиального покрова (в отличие от дифтеритического воспаления, когда фибринозный экссудат пронизывает и субэпителиальную ткань).

Многие авторы различают истинный и ложный Круп и связывают истинный Круп с воспалительным процессом в гортани, обусловленным только дифтерийной палочкой, а ложный Круп— с воспалительным процессом в гортани недифтерийной этиологии (например, Круп при гриппе, острых респираторных заболеваниях, кори, ветряной оспе и других инфекционных и неинфекционных заболеваниях). Некоторые авторы к ложному Круп относят только острый подскладочный ларингит, характеризующийся значительным отёком слизистой оболочки под голосовыми складками. В современной литературе термином «круп» обозначают воспаление гортани и трахеи различной этиологии с многообразными морфологическими изменениями, сопровождающимися затруднением дыхания вследствие спазматического сужения (стеноза) гортани. Учитывая условность понятий «истинный» и «ложный», правильнее определять Круп как клинические, симптомокомплекс по виду основного заболевания: Круп дифтерийный, коревой, гриппозный и так далее

История. Круп известен давно; Гиппократ называл Круп «эпидемическим воспалением шеи». Круп Галек описал больных с затруднённым дыханием и глотанием, выкашливающих плёнки. В 1658 год лондонским врачом Беннетом (Bennet) был описан случай Круп с выделением плёнок при кашле. Бретонно (P. F. Bretonneau) в 1821 год описал плёнчатый Круп и предложил называть его «дифтерит».

Этиология. Дифтерийный Круп является одной из клинические, форм дифтерии. В этиологии Круп при других заболеваниях (грипп, парагрипп, аденовирусные инфекции, корь, скарлатина и другие), помимо возбудителя основного заболевания, большую роль играет сопутствующая, главным образом кокковая, флора.

Эпидемиология. Наибольшее число заболеваний Круп приходится на осенние и весенние месяцы, то есть на то время, когда чаще встречаются заболевания гриппом и острыми респираторными вирусными инфекциями.

Заболевают Круп чаще дети в возрасте от одного года до 3—4 лет. Во второй половине 20 век дифтерийный Круп, как и вообще дифтерия, почти не встречается; в детской заболеваемости наибольшее значение имеет Круп при гриппе и острых респираторных инфекциях (аденовирусной, парагриппозной и другие).

Патологоанатомическая картина. Для дифтерийного Круп характерно образование фибринозных плёнок в гортани (смотри рисунок 4); При распространённом Круп эти плёнки могут быть и в трахее, иногда в бронхах.

При гриппе и острых респираторных заболеваниях изменения в гортани и трахее могут варьировать от простого слизисто-серозного или серозно-гнойного катара до некротически-геморрагического и даже фибринозного (смотри полный свод знаний Воспаление). В лёгких случаях в гортани находят лишь покраснение слизистой оболочки, сужение голосовой щели в результате отёка подскладочного пространства.

При лёгком коревом Круп, развивающемся обычно в начале болезни, наблюдается только катар в области голосовых складок с более или менее выраженной воспалительной инфильтрацией и отёком.

Для коревого Круп в позднем периоде кори типичны некротические изменения в слизистой оболочке гортани, трахеи, иногда бронхов; при этом нередко некроз бывает довольно глубокий, так что образуются язвы с некротическим дном.

Патологическая физиология. В развитии стенотического дыхания, возникающего при Круп различной этиологии, основную роль играет рефлекторный спазм мышц гортани, проявляющийся смыканием голосовых и преддверных складок (смотри полный свод знаний Ларингоспазм).

Спазм мышц гортани возникает вследствие раздражения слизистой оболочки гортани и трахеи, вызванного воспалительным процессом и отторгающимися фибринозными плёнками или образующимися корками. Причиной спазма могут быть также некрозы и язвы, повышающие раздражимость слизистой оболочки при прохождении струи воздуха.

В пользу неврогенно-рефлекторной теории стенотического дыхания при Круп говорит и то обстоятельство, что нередко у ребёнка наблюдается резко выраженный стеноз, приводящий к асфиксии (смотри полный свод знаний), а при патологоанатомическом исследовании находят лишь незначительную плёнку в области голосовых складок или небольшой участок некроза, которые сами по себе никак не могли механически препятствовать нормальному дыханию.



Информация об Ordo Deus Перейти в оглавление сайта

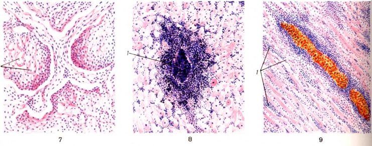
Рис. 7. Крупозная пневмония. Обилие нитей фибрина (1) с примесью лейкоцитов в просветах альвеол; × 200.
Рис. 8. Эмболический абсцесс миокарда. В центре абсцесса — бактериальный эмбол (7).
Рис. 9. Острый интерстициальный миокардит. Очаговый периваскулярный (вокруг полнокровного сосуда) и диффузный (7), между мышечными волокнами круглоклеточные инфильтраты.



Клинические проявления и диагноз. Типичными клинические, проявлениями дифтерийного Круп являются сиплый, иногда афоничный голос, грубый лающий кашель и стеноз дыхательных путей (шумное дыхание, втяжение межрёберных промежутков грудной клетки, напряжение вспомогательной дыхательной мускулатуры).

В зависимости от выраженности различают стеноз I, II и III степени. В течении Круп при дифтерии выделяют три периода, или стадии: первая — катаральная, или стадия крупозного кашля, вторая — стеноза и третья — асфиксии. Резких границ между стадиями нет, одна переходит в другую постепенно и незаметно. Длительность стадий также строго не определена. Подробнее клинические, картину дифтерийного Круп— сантиметров Дифтерия.

Наибольшие трудности для диагностики представляет Круп при гриппе и острых респираторных вирусных заболеваниях, который является одним из частых и нередко начальных проявлений болезни; в ряде случаев синдром Круп присоединяется к гриппу или острому респираторному заболеванию спустя несколько дней после начала болезни. При этих заболеваниях синдром Круп обычно проявляется внезапно (в отличие от дифтерийного Круп, при к-ром, как правило, развивается постепенно), начинается чаще ночью. Ребёнок вечером перед сном был здоров или у него был небольшой насморк; ночью он внезапно просыпается от приступа кашля, у него сразу появляется затруднённое дыхание; он испуган, мечется в постели, быстро появляется цианоз носогубного треугольника. Важно отметить, что голос при этом бывает хриплым или сипловатым, но во время крика почти всегда прослушиваются звонкие нотки, в отличие от дифтерийного Круп, при котором голос вначале становится сиплым, а к моменту развития стеноза, как правило, афоничным (за исключением редких случаев, когда плёнки располагаются в подскладочном пространстве). Кашель при гриппе и острых респираторных заболеваниях вначале сухой, но очень быстро, к концу первых суток, увлажняется, чего обычно не бывает при дифтерийном Круп

Течение Круп при парагриппе и аденовирусной инфекции обычно более лёгкое, чем при гриппе; остро развившийся стеноз при этом быстро ослабевает или полностью проходит через несколько часов после применения тепловых процедур (горячие общие и ножные ванны, тёплое питье, грелки к ногам, горчичники на область гортани). В ряде случаев явления стеноза могут повториться в следующую ночь, но так же благополучно проходят, как и в первый раз.

Круп при гриппе часто протекает более тяжело; остро развившийся стеноз может быстро, в течение нескольких часов, прогрессировать. В ряде случаев течение стеноза при гриппе носит волнообразный характер — то усиливается, то уменьшается даже в течение суток, продолжаясь от 7 до 10 дней. Тяжесть и длительность гриппозного Круп зависят не только от выраженности некротического процесса в гортани, трахее и бронхах, но и от нередко присоединяющейся пневмонии. Установить этиологию острого респираторного заболевания, на фоне которого возник синдром Круп, можно только при учёте всех клинические, проявлений болезни, а также результатов вирусологический и серологический исследований на респираторную группу вирусов (смотри полный свод знаний Вирусологические исследования, Серологические исследования).

Не меньшие трудности для диагностики представляет иногда коревой Круп Коревой Круп может быть ранним, если он развивается в период продрома кори (смотри полный свод знаний); при этом тяжёлого стеноза обычно не наблюдается и к моменту появления сыпи он значительно ослабевает. Более тяжело протекает поздний коревой Круп, появляющийся в период пигментации. При этом изменения в гортани и трахее чаще носят некротический характер и течение стеноза бывает таким же длительным, а нередко и волнообразным, как и при гриппозном Круп Диагностика позднего коревого Круп в прежние годы особенно затруднялась тем, что в период пигментации сыпи вследствие ослабления иммунобиологических состояния организма могла присоединиться дифтерийная инфекция. Иметь в виду это следует и теперь. Хотя дифтерия во второй половине 20 век встречается исключительно редко, возможен контакт с дифтерийным бактерионосителем.

Диагностика Круп при скарлатине (смотри полный свод знаний), ветряной оспе (смотри полный свод знаний), афтозном стоматите (смотри полный свод знаний), при молочнице (смотри полный свод знаний Кандидоз) не представляет особых трудностей. Основные симптомы данных заболеваний и клинические, проявления Круп в большинстве случаев позволяют правильно ориентироваться в отношении его этиологии.

Затруднённое дыхание, возникающее иногда при заглоточном абсцессе (смотри полный свод знаний), отличается от Круп тем, что у ребёнка всегда сохраняется звонкий голос, он только становится невнятным (с носовым оттенком), но афонии и грубого кашля при этом никогда не бывает. Обнаружение выпячивания задней стенки глотки при фарингоскопии (смотри полный свод знаний), нередко флюктуирующего при пальпации, даёт возможность поставить правильный диагноз.

При остром отёке гортани (смотри полный свод знаний Гортань), вызванном ожогом (щёлочью или другими веществами), стеноз развивается очень быстро, в течение нескольких часов после ожога. Отеки гортани аллергического происхождения возможны при сывороточной болезни (смотри полный свод знаний) или идиосинкразии (смотри полный свод знаний).

При папилломе гортани развитие болезни длительное, до появления стеноза проходит полгода или год; затруднённое дыхание более выражено во время сна и не сопровождается беспокойством, как при Круп другой этиологии.

Круп, обусловленный туберкулёзом или сифилисом гортани, встречается очень редко. Эти заболевания имеют свои особенности, и при правильной оценке их клинические, симптомов установление причины Круп не представляет трудностей.

Иногда за Круп принимают приступ бронхиальной астмы (смотри полный свод знаний). Затруднённое дыхание при инородном теле в дыхательных путях (смотри полный свод знаний Инородные тела) также нередко трактуется как проявление Круп Тщательный анализ анамнестических данных (острое развитие удушья у здорового ребёнка при инородном теле) и клинические, проявлений болезни (свистящее дыхание с затруднённым выдохом при бронхиальной астме) помогает в диагностике.

Необходимо помнить о ларингоспазме (смотри полный свод знаний), который наблюдается у детей раннего возраста, страдающих рахитом (смотри полный свод знаний) и спазмофилией (смотри полный свод знаний), а также о врождённом стридоре (смотри полный свод знаний), когда наблюдается шумное дыхание с особым призвуком на вдохе, но голос остаётся звонким; это состояние проявляется обычно в первые месяцы жизни.

Во всех случаях при установлении причины стенотического дыхания надо прежде всего исключить дифтерийный Круп, так как при нем своевременное введение противодифтерийной сыворотки может предупредить у ребёнка асфиксию и необходимость оперативного вмешательства.

Осложнения. Одним из наиболее частых осложнений при Круп является очаговая пневмония (смотри полный свод знаний). При пневмонии усиливаются явления стеноза и кислородного голодания, что способствует быстрому наступлению асфиксии.

Лечение. При лечении больного Круп надо исходить прежде всего из этиологии и обязательно учитывать клинические, течение, форму и стадию Круп. При дифтерийном Круп лечение направлено на ликвидацию специфической интоксикации, вводится противодифтерийная сыворотка в соответствующей дозировке, в зависимости от тяжести состояния больного. Если противодифтерийную сыворотку ввели поздно и стенотическое дыхание держится не ослабевая в течение нескольких часов, ребёнок становится крайне беспокойным, появляются выраженные симптомы дыхательной недостаточности (цианоз носогубного треугольника, бледность, потливость головки, выпадение пульсовой волны на вдохе и другие), то показана интубация (смотри полный свод знаний) или трахеотомия (смотри полный свод знаний).

Подробно лечение дифтерийного Круп — смотри, полный свод знаний Дифтерия.

Лечение Круп при острых респираторных вирусных заболеваниях более трудное, так как специфической терапии нет; при гриппозном Круп рекомендуется применять противогриппозный гамма-глобулин внутримышечно (смотри полный свод знаний Грипп). Учитывая частоту возникновения пневмонии при Круп любой этиологии (особенно при гриппе и острых респираторных заболеваниях), рекомендуется применять антибиотики.

Лечебный мероприятия при Круп любой этиологии должны быть направлены на ликвидацию стеноза; поскольку в патогенезе стенотического дыхания играют роль различные факторы, лечебный мероприятия должны быть комплексными. В первую очередь необходимо организовать правильный уход и охранительный режим, устраняющий все моменты, способствующие травмированию нервной системы ребёнка, чрезмерному его возбуждению; создать условия, которые способствовали бы продолжительному сну ребёнка. Ребёнок с явлениями стеноза требует особого обслуживания и наблюдения со стороны персонала; его необходимо помещать в отдельную палату, где соблюдается тишина, имеется хорошая аэрация, игрушки для отвлечения ребёнка. К уходу за маленьким ребёнком следует допускать мать. Показаны тепловые процедуры: горячая общая ванна (t° 38°) на 7 — 10 минут или ножные ванны, озокеритовые «сапожки», тёплое питье (чай, молоко с содой), горчичники на грудную клетку, паровые ингаляции с раствором соды, эфедрином. Обязательны антигистаминные и седативные препараты (димедрол, пипольфен, седуксен). Если тепловые и отвлекающие процедуры не оказывают выраженного эффекта и стеноз прогрессирует, необходимо периодически давать тёплый увлажнённый кислород. При усилении явлений стеноза (когда развивается стеноз II степени) рекомендуется применение преднизолона внутрь из расчёта 1—2 миллиграмм на 1 килограмм веса тела ребёнка, пипольфен и седуксен вводятся внутримышечно. По показаниям производится прямая ларингоскопия (смотри полный свод знаний) под масочным фторотановым наркозом, во время которой удаляют корки и смазывают слизистую оболочку гортани раствором эфедрина и персиковым маслом. При стенозе III степени преднизолон вводится внутримышечно, но если все вышеперечисленные мероприятия оказались не эффективными и появились симптомы асфиксии, показана назотрахеальная интубация или трахеостомия.

Прогноз обычно благоприятный, зависит от основного заболевания и своевременности начатого лечения.

Нисевич Н.И.

⇐ Перейти на главную страницу сайта

⇑ Вернуться в начало страницы ⇑

Библиотека Ordo Deus ⇒

⇐ Крости Джанотти болезнь

⇓ Полный свод знаний. Том первый А. ⇓

Крымская геморрагическая лихорадка ⇒

Все статьи в полном изложении, Вы можете найти в большой медицинской энциклопедии — Главный редактор: академик АН СССР (РАН) и АМН СССР (РАМН) Б.В. Петровский. — Москва издательство «Советская энциклопедия» 1989г.

Внимание! Вы находитесь в библиотеке «Ordo Deus». Все книги в электронном варианте, содержащиеся в библиотеке «Ordo Deus», принадлежат их законным владельцам (авторам, переводчикам, издательствам). Все книги и статьи взяты из открытых источников и размещаются здесь только для чтения.

Библиотека «Ordo Deus» не преследует никакой коммерческой выгоды.

Все авторские права сохраняются за правообладателями. Если Вы являетесь автором данного документа и хотите дополнить его или изменить, уточнить реквизиты автора, опубликовать другие документы или возможно вы не желаете, чтобы какой-то из ваших материалов находился в библиотеке, пожалуйста, свяжитесь с нами по e-mail:
info @ ordodeus. ru
Формы для прямой связи с нами находятся в нижней части страниц: контакты и устав «Ordo Deus», для перехода на эти страницы воспользуйтесь кнопкой контакты вверху страницы или ссылкой в оглавлении сайта.

Вас категорически не устраивает перспектива безвозвратно исчезнуть из этого мира? Вы не желаете закончить свой жизненный путь в виде омерзительной гниющей органической массы пожираемой копошащимися в ней могильными червями? Вы желаете вернувшись в молодость прожить ещё одну жизнь? Начать всё заново? Исправить совершённые ошибки? Осуществить несбывшиеся мечты? Перейдите по ссылке: «главная страница».

© Ordo Deus, 2010. При копировании ссылка на сайт http://www.ordo-deus.ru обязательна.