Гломерулосклероз диабетический

Оглавление

  1. Дорога к бессмертию
  2. Бессмертие и религия
  3. Философия бессмертия
  4. Бессмертие и наука
  5. История анабиоза
  6. Смерть
  7. Кора головного мозга
  8. Бессмертие и анабиоз
  9. Анабиоз, медицина и биология
  10. Анабиоз и экономика
  11. Анабиоз и закон
  12. Анабиоз в Антарктиде
  13. Техническое обеспечение анабиоза
  14. Бессмертие и вера
  15. Библиотека Ordo Deus
  16. Контактная страница Ordo Deus

Гломерулосклероз диабетический

Гломерулосклероз диабетический (латинское glomerulus клубочек + склероз; греческий diabetes, от diabainein проходить; синонимы: интеркапиллярный гломерулосклероз, синдром Киммелстила — Уилсона) — специфическая и наиболее частая форма поражения почек при сахарном диабете; впервые описана в 1936 году.

Гломерулосклероз диабетический является одним из наиболее тяжёлых осложнений сахарного диабета (смотри полный свод знаний Диабет сахарный). Частота Гломерулосклероз диабетический по материалам аутопсии колеблется от 19,5% [Хендерсон (L. Henderson)] до 50,9% [Уайт (White)] у больных, страдающих сахарным диабетом свыше 20 лет.

В клинике Гломерулосклероз диабетический, по данным Р. А. Хейфец и Л. И. Каминской, выявляется в 6%, по данным Э. Глоссит Москович — в 17,8% и даже в 48% случаев (В. В. Сура) от числа больных, страдающих сахарным диабетом.

У женщин, страдающих сахарным диабетом, Гломерулосклероз диабетический встречается в 30%, у мужчин — в 19,5% случаев.

Патологическая анатомия

Гистологические изменения почек при Гломерулосклероз диабетический весьма полиморфны; выделены три основных формы поражения — узелковая, диффузная и экссудативная. Некоторые авторы вместо экссудативной выделяют смешанную форму.

Узелковая форма характеризуется наличием в клубочках эозинофильных образований (узелков) округлой или овальной формы (рисунок 1), содержащих вакуоли. Они могут занимать часть или весь клубочек, по периферии которого в последнем случае располагаются сохранившиеся сдавленные капиллярные петли. Одновременно наблюдается расширение и аневризмы капилляров клубочков, утолщение их базальных мембран. При гистохимическом исследовании узелков они вначале окрашиваются как фибрин, а в дальнейшем как коллаген. Узелки содержат большое количество высокомолекулярных мукополисахаридов, небольшое количество кислых мукополисахаридов, жировых субстанций, в основном ненасыщенных жирных кислот и холестеринэстеров. При электронно-микроскопическом исследовании видно, что формирование узелков происходит в мезангии в виде скопления в нем глыбок и трабекул, сходных с веществом базальной мембраны.

Диффузная форма выражается в однородном расширении и уплотнении мезангия с вовлечением в процесс базальных мембран капилляров, которые резко утолщены. Образующиеся в мезангии мембраноподобные структуры не сливаются в сплошные массы, и образования узелков не происходит. Базальные мембраны капиллярных петель клубочков утолщены, структура их исчезает (рисунок 2).

Смешанная форма характеризуется сочетанием типичных узелков с диффузным уплотнением мезангия и утолщением базальных мембран капилляров клубочков (рисунок 3). По данным электронно-микроскопических исследований утолщение базальных мембран капилляров клубочков возникает рано, нередко до появления каких-либо клинических проявлений поражения почек, и имеет место, видимо, при всех формах Гломерулосклероз диабетический Утолщение мембран наблюдается не только у больных, но и у молодых людей из диабетически отягощённых семей.

Экссудативная форма встречается реже, чем предыдущие, и характеризуется прежде всего так называемый «фибриноидными шапочками», которые представляют собой отложения PAS-положительного материала между эндотелием и базальной мембраной капилляров (рисунок 4). При иммуногистохимическом исследовании в этих образованиях обнаруживается значительное количество комплементсвязывающих иммуноглобулинов, что даёт основание считать их комплексом антиген—антитело, а не сывороточным экссудатом. «Фибриноидные шапочки» не являются специфическими для Гломерулосклероз диабетический, но вместе с тем они обнаруживаются при тяжёлых и быстро прогрессирующих его формах. С ними часто сочетаются так называемый «капсульные капли», располагающиеся на внутренней стороне боуменовой капсулы.



Информация об Ordo Deus Перейти в оглавление сайта

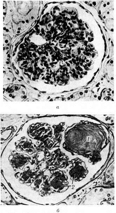
Рис. 1.
Микропрепарат клубочков почки в норме (а) и при узелковой форме гломерулосклероза (б): единичные большие узелки (1) и узелки меньших размеров (2), в интерлобулярной области (РAS-реакция; ×450).





Информация об Ordo Deus Перейти в оглавление сайта

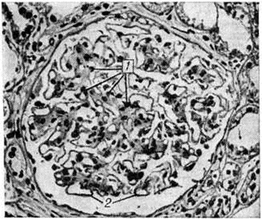
Рис. 2.
Микропрепарат почки при диффузной форме гломерулосклероза: значительная гиалинизация (1) интеркапиллярной (мезангиальной) области с утолщением базальных мембран (2) капилляров клубочка (окраска гематоксилин-эозином; ×350).





Информация об Ordo Deus Перейти в оглавление сайта

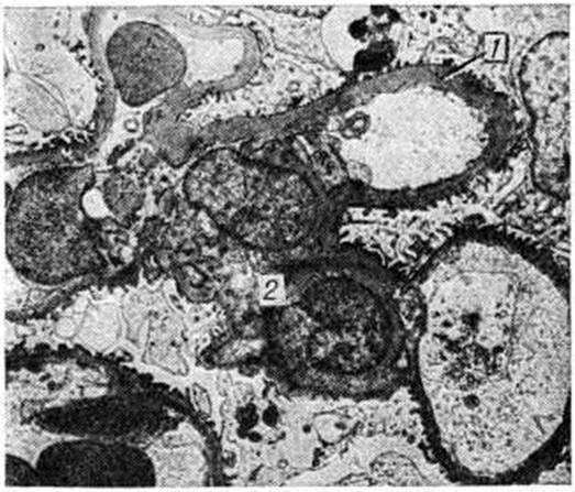
Рис. 3.
Электронограмма почки при смешанной форме диабетического гломерулосклероза (ранняя фаза): 1 — утолщение базальной мембраны, 2 — уплотнение мезангиального матрикса (базально-мембраноподобный материал); ×12 000.





Информация об Ordo Deus Перейти в оглавление сайта

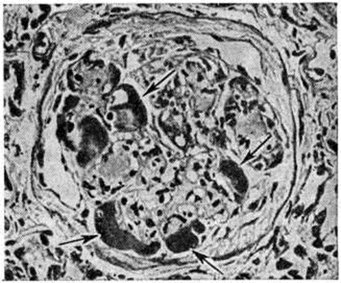
Рис. 4.
Микропрепарат почки при экссудативной форме гломерулосклероза: клубочек с хорошо выраженными «фибриноидными шапочками» (указаны стрелками); окраска гематоксилин-эозином; ×400.



Изменения канальцев характеризуются гликогеновой инфильтрацией с локализацией процесса в кортикомедуллярной зоне, вначале в терминальном сегменте проксимальных извитых канальцев с распространением на тонкий отдел петли Генле. Щёточная кайма эпителия разрыхлена, в цитоплазме обнаруживаются и белковые гранулы. В тяжёлых, далеко зашедших случаях Гломерулосклероз диабетический наблюдается выраженная атрофия канальцев, расширение их просветов с наличием в них цилиндров. Базальные мембраны канальцев разволокнены и утолщены. В мелких кровеносных сосудах почек и других органов отмечается плазматическое пропитывание, пролиферация эндотелия, утолщение базальных мембран с постепенным нарастанием обоих изменений вплоть до гиалинизации артериол.

Патогенез

Гломерулосклероз диабетический — специфическое для сахарного диабета поражение почек и связано с эндокринно-обменными нарушениями.

Возникающая у больных диспротеинемия с увеличением «α2-глобулинов и появлением патологических парапротеинов, повышение уровня мукополисахаридов, общих липидов, триглицеридов, γ-липопротеидов в сочетании с увеличением сосудистой проницаемости могут вести к их проникновению в мезангиальный матрикс, задержке там, полимеризации и, в частности, к образованию узелков. Сходство поражения почек при Гломерулосклероз диабетический с изменениями почек, наблюдаемыми при введении животным больших доз кортикостероидов, дает основание связывать эти поражения с гиперфункцией надпочечников, в частности с повышенной секрецией альдостерона.

Клиническая картина. Характерно наличие протеинурии, артериальной гипертензии, отёков. Протеинурия (смотри полный свод знаний) является первым и наиболее постоянным проявлением Гломерулосклероз диабетический Потери белка достигают 40 грамм в сутки. Практически постоянно наблюдается диабетическая ретинопатия (смотри полный свод знаний), характеризующаяся микроаневризмами с точечными кровоизлияниями, экссудатами, участками дегенерации в виде бело-жёлтых пятен, а при наиболее тяжёлых формах — пролиферирующий ретинит (смотри полный свод знаний). Осадок мочи обычно скудный. Артериальная гипертензия встречается у 60% больных и так же, как протеинурия, может быть его первым клиническим проявлением. Частота артериальной гипертензии возрастает с увеличением срока заболевания. У молодых чаще наблюдается нефротический синдром, у пожилых — артериальная гипертензия, которая может сочетаться с сердечной недостаточностью. В этих случаях отеки носят смешанный сердечно-почечный характер.

Умеренные отеки гипопротеинемического происхождения наблюдаются часто — у 47% больных по данным Хендерсона (L. Henderson) с соавторами; нефротический синдром (смотри полный свод знаний) — значительно реже — от 6 до 26%. Нефротический синдром у больных сахарным диабетом более грозный прогностический признак, чем у больных с хронический нефритом.

Уровень белка и соотношение белковых фракций сыворотки крови при отсутствии выраженной протеинурии остаётся в пределах нормы, при нефротическом синдроме наряду с гипопротеинемией и гипоальбуминемией наблюдается увеличение уровня α2 и реже γ-глобулинов. Уровень липидов повышается при нефротическом синдроме. Повышен также уровень мукополисахаридов и мукопротеидов.

Лечение

Патогенетической терапии Гломерулосклероз диабетический не существует. Имеются сообщения о благоприятном действии анаболических гормонов (ретаболил, неробол и другие), гепарина. Целесообразна замена легкоусвояемых углеводов фруктозой при достаточном общем количестве углеводов и белков (при отсутствии почечной недостаточности) и ограничении жира. Симптоматическая терапия определяется клинический, проявлениями: гипертонией, отёками, функциональной способностью почек и сердечно-сосудистой системы. Хирургические методы лечения — гипофиз и адреналэктомии, трансплантация почек одновременно с поджелудочной железой не получили распространения.

Прогноз

Течение Гломерулосклероз диабетический различно в зависимости от возраста больных, тяжести диабета и его коррекции. У молодых заболевание прогрессирует быстрее. Развитию почечной недостаточности способствует присоединение пиелонефрита. Средняя продолжительность жизни больных после появления первых симптомов Гломерулосклероз диабетический — 5—6 лет, но может колебаться от 2 до 12 лет.

Профилактика

В профилактике Гломерулосклероз диабетический основное место принадлежит тщательной коррекции диабета.

Cypa B.B.

⇐ Перейти на главную страницу сайта

⇑ Вернуться в начало страницы ⇑

Библиотека Ordo Deus ⇒

⇐ Гломерулонефрит

⇓ Полный свод знаний. Том первый А. ⇓

Гломусные опухоли ⇒

Все статьи в полном изложении, Вы можете найти в большой медицинской энциклопедии — Главный редактор: академик АН СССР (РАН) и АМН СССР (РАМН) Б.В. Петровский. — Москва издательство «Советская энциклопедия» 1989г.

Внимание! Вы находитесь в библиотеке «Ordo Deus». Все книги в электронном варианте, содержащиеся в библиотеке «Ordo Deus», принадлежат их законным владельцам (авторам, переводчикам, издательствам). Все книги и статьи взяты из открытых источников и размещаются здесь только для чтения.

Библиотека «Ordo Deus» не преследует никакой коммерческой выгоды.

Все авторские права сохраняются за правообладателями. Если Вы являетесь автором данного документа и хотите дополнить его или изменить, уточнить реквизиты автора, опубликовать другие документы или возможно вы не желаете, чтобы какой-то из ваших материалов находился в библиотеке, пожалуйста, свяжитесь с нами по e-mail:
info @ ordodeus. ru
Формы для прямой связи с нами находятся в нижней части страниц: контакты и устав «Ordo Deus», для перехода на эти страницы воспользуйтесь кнопкой контакты вверху страницы или ссылкой в оглавлении сайта.


Вас категорически не устраивает перспектива безвозвратно исчезнуть из этого мира? Вы не желаете закончить свой жизненный путь в виде омерзительной гниющей органической массы пожираемой копошащимися в ней могильными червями? Вы желаете вернувшись в молодость прожить ещё одну жизнь? Начать всё заново? Исправить совершённые ошибки? Осуществить несбывшиеся мечты? Перейдите по ссылке: «главная страница».

© Ordo Deus, 2010. При копировании ссылка на сайт http://www.ordo-deus.ru обязательна.