Гломерулонефрит

Оглавление

  1. Дорога к бессмертию
  2. Бессмертие и религия
  3. Философия бессмертия
  4. Бессмертие и наука
  5. История анабиоза
  6. Смерть
  7. Кора головного мозга
  8. Бессмертие и анабиоз
  9. Анабиоз, медицина и биология
  10. Анабиоз и экономика
  11. Анабиоз и закон
  12. Анабиоз в Антарктиде
  13. Техническое обеспечение анабиоза
  14. Бессмертие и вера
  15. Библиотека Ordo Deus
  16. Контактная страница Ordo Deus

Гломерулонефрит

Гломерулонефрит (glomerulonephritis; латинское glomerulus клубочек + нефрит) — двустороннее диффузное иммунологически-воспалительное заболевание почек с преимущественным поражением клубочков. Различают острый и хронический Гломерулонефрит

Оглавление

История

Этиология

Патогенез

Патологическая анатомия

Клиническая картина

Диагноз

Лечение

Прогноз

Профилактика

Гломерулонефрит у беременных

Гломерулонефрит у детей

.

История

Впервые в 1726 год Дж. Морганьи указал на связь отёков с изменениями почек; он описал изменённые почки у больного, страдавшего отёками. Первое упоминание об обнаружении белка в моче принадлежит Котуньо (D. Cotugno, 1770). Крукшэнк (Gruickshank, 1798) различал водянку со свёртывающейся под влиянием нагревания и азотной кислоты мочой и водянку, при которой моча этими свойствами не обладала. Однако лишь Р. Брайт в 1827 год установил, что общая водянка с белком в моче связана с диффузными заболеваниями почек, описал клинику этих заболеваний и морфологически изменения почек. Р. Брайт наряду с водянкой и альбуминурией наблюдал у больных кровь в моче, увеличение сердца, твёрдый пульс, головные боли, боли в пояснице. Он выделял три типа анатомического поражения почек: увеличенная пятнистая жёлтая почка, большая красная зернистая почка и сморщенная шероховатая почка. В 1933 год Осман (Osman) на основании изучения сохранившихся препаратов описал их как амилоидоз, злокачественный нефрит и нефритическую сморщенную почку. Труды Р. Брайта явились основой для создания учения о болезнях почек. Большим вкладом в учение о Гломерулонефрит явились исследования Фольгарда, Фара (F. Volhard, Th. Fahr, 1914). Основываясь на клиническо-анатомических параллелях, они создали классификацию болезней почек, близкую современной. Были выделены три группы поражения почек: первично-дегенеративные изменения канальцев— нефрозы; первично-воспалительные изменения клубочков — нефриты; склерозы с артериальной гипертензией — первичносморщенная почка с подразделением на доброкачественную и злокачественную. С. С. Зимницкий (1924) считал липоидный нефроз вариантом хронический Гломерулонефрит, отрицал существование первичной эпителиальной болезни почек. Позже липоидный нефроз стали относить не к канальцевым, а к клубочковым заболеваниям [к гломерулонефрозу — Фар, 1934; к мембранозному Гломерулонефрит— Белл (Е. Т. Bell), 1929, 1946] с вторичными канальцевыми поражениями.

.

Этиология

Заболевания и воздействия, предшествующие возникновению Гломерулонефрит, весьма разнообразны. Наиболее часто — от 21,5% (М. С. Вовси, Гломерулонефрит Ф. Благман, 1955) до 51% [Зарре (Н. Sarre), 1968] — Гломерулонефрит развивается после ангины, тонзиллита и заболеваний верхних дыхательных путей.

Реже ему предшествуют другие причины: пневмонии, пищевые токсикоинфекции, охлаждение, введение вакцины, сывороток, медикаментов и так далее.

Реже ему предшествуют другие причины: пневмонии, пищевые токсикоинфекции, охлаждение, введение вакцины, сывороток, медикаментов и так далее.

Типирование стрептококков, выделенных из зева больных Гломерулонефрит, показало, что в 78% случаев обнаруживается тип 12β-гемолитического стрептококка группы А. Преобладание 12 типа стрептококка отмечается как в спорадических случаях, так и при вспышках заболевания.

В жарких странах развитию Гломерулонефрит особенно часто [в 85% случаев, по данным Диллона (Н. С. Dillon), 1967] предшествуют кожные болезни (пиодермия, импетиго, рожа); у таких больных, как правило, высеиваются пиогенные стрептококки. В сыворотке крови больных Гломерулонефрит наиболее часто обнаруживаются антитела к типу 12 стрептококка. Почти у 51% больных острым Гломерулонефрит стрептококковые антигены обнаруживаются в крови и выявляются в клубочках при иммунофлюоресцентной микроскопии [Сигал (В. С. Seegal), 1965; Андрес (G. A. Andres) с соавторами, 1966]. Часто обнаруживаются также антистрептолизин-О, антигиалуронидаза и антистрептокиназа. Однако постстрептококковый острый Гломерулонефрит с 50-х годы стал встречаться реже, что связано в значительной степени с применением мощных антибактериальных препаратов. Теснее связан со стрептококковой инфекцией Гломерулонефрит при подостром септическом эндокардите, что может проявляться не только классическим очаговым эмболическим нефритом [Лелейн (М. Н. F. Lohlein), 1910], но и диффузным поражением почек. Частота поражения почек при подостром септическом эндокардите может быть высокой — до 50%, при ревматизме (по секционным данным) — до 10,5%. Описан Гломерулонефрит и при стафилококковом эндокардите. Пневмонии осложняются Гломерулонефрит в 1—3% случаев. Роль брюшного и сыпного тифа, малярии в развитии Гломерулонефрит невелика. При малярийном нефрите находят отложение малярийного антигена в клубочках в составе иммунного комплекса наряду с иммуноглобулинами, комплементом, фибрином. При туберкулёзе клинический, картина Гломерулонефрит может оказаться ведущей.

По данным В. В. Сура, А. М. Вихерта (1966), мембранозный Гломерулонефрит легко воспроизводится у животных при введении микобактериального адъюванта, то есть стимулятора процессов иммуногенеза (смотри полный свод знаний Адъюванты). Гломерулонефрит при туберкулёзе у человека описан Б. М. Коваливом и В. Ф. Подуговским (1957). Гломерулонефрит при сифилисе, протекающий обычно по нефротическому типу, редок.

К инфекционно-иммунной группе Гломерулонефрит относят также малоизученные вирусные Гломерулонефрит при кори, ветряной оспе, вирусном гепатите, энтеровирусной инфекции.

В группу Гломерулонефрит неинфекционно-иммунного происхождения входит Гломерулонефрит, развивающийся после ряда антигенных воздействий (сывороткой, вакциной, пыльцой растений, ядом насекомых, лекарственными и другими хим. веществами, пищевыми продуктами при индивидуальной непереносимости), а также Гломерулонефрит, возникающий при нарушении венозного оттока (частичный тромбоз почечных вен, нижней полой вены, сдавливающий перикардит, недостаточность трёхстворчатого клапана).

Охлаждение, особенно при высокой влажности, может способствовать возникновению Гломерулонефрит или его обострению.

.

Патогенез

Общепринятой патогенетической классификации Гломерулонефрит пока нет. Наиболее обоснованной является иммуноаллергическая концепция, подтверждаемая клинический, иммунологический, экспериментальными и иммуногистохимический данными.

Гломерулонефрит возникает обычно после инфекции или другого воздействия (вакцинация и так далее) при различной длительности латентного периода, хотя известно и его интраинфекционное развитие [Раммелькамп (С. Н. Rammelkamp), 1963]. В сыворотке крови больных Гломерулонефрит достаточно часто обнаруживают противопочечные антитела. Однако титры их не всегда коррелируют с клинический, проявлениями острого Гломерулонефрит, что позволяет ряду авторов рассматривать эти антитела как спутники процесса, не имеющие патогенетического значения. Титр комплемента при Гломерулонефрит почти постоянно снижен, что свидетельствует о потреблении комплемента в ходе иммунологический реакций.

Гломерулонефрит легко воспроизводится в эксперименте с помощью гетерологических антипочечных сывороток, получаемых при иммунизации животных почечным антигеном животного другого вида [В. К. Линдеман, Масуги (М. Masugi)]. Как показали опыты с меченой противопочечной сывороткой, связывание ее на базальной мембране клубочков происходит в течение нескольких минут [Прессман (D. Pressman), 1948], возникновение клинко-морфологически проявлений Гломерулонефрит связано с фиксацией комплемента в клубочках и зависит от комплементсвязывающей способности вводимой противопочечной сыворотки.

Для воспроизведения экспериментального Гломерулонефрит по Масуги используется противопочечная сыворотка птиц, не обладающая способностью связывать комплемент млекопитающих. Между введением сыворотки и возникновением Гломерулонефрит проходит латентный период (6—8 дней), необходимый для образования комплементсвязывающих противопочечных аутоантител. В патогенезе этого варианта экспериментального Гломерулонефрит можно выделить две иммунологический фазы — фиксацию экзогенных антител в почках и последующее образование аутоантител, способных связывать комплемент.

Эксперименты с использованием адъювантов типа Фрейнда [Хейманн (W. Heymann), 1959] демонстрируют значение общей иммунологический реактивности для возникновения Гломерулонефрит. Если введение животным гомологичного почечного антигена не вызывает у них развития Гломерулонефрит, то введение его в составе микобактериального стимулятора позволяет воспроизвести Гломерулонефрит

Иммуноаллергическая гипотеза патогенеза Гломерулонефрит подтверждается и данными, полученными при изучении роли стрептококков в его возникновении. Как показали опыты Кавелти (P. A. Cavelti, F. S. Cavelti, 1945), Гломерулонефрит удаётся вызвать введением животным смеси из ткани почки и стрептококков. Возможно, стрептококк меняет свойства белков ткани почки, делая их антигенными; не исключено и его адъювантное действие. Антиген стрептококка (М-протеин) по своей химических природе относится к гликопротеинам. Доказано антигенное сродство базальной мембраны капилляров клубочков и оболочек стрептококков нефрогенных штаммов. Часть М-протеина фиксируется в клубочках, часть циркулирует в кровяном русле, вызывая образование антител. Комплексы, образующиеся в результате реакции антиген—антитело, задерживаются клубочковым фильтром с фиксацией комплемента. Образование иммунных комплексов с фиксацией комплемента может происходить и непосредственно в клубочках. Иммунные комплексы повреждают почку. При иммуноморфологические изучении иммунокомплексного Гломерулонефрит скопления комплекса обнаруживаются субэндотелиально или субэпителиально в виде глыбок. Реже находят линейное расположение отложений (депозитов) иммунных комплексов, что свойственно для некоторых форм пролиферативного Гломерулонефрит, нефрита трансплантированной почки. В дальнейшем независимо от расположения депозитов в результате отчасти хемотаксического действия С3-комплемент системы (смотри полный свод знаний Комплемент) сегментоядерные лейкоциты фиксируются на капиллярных петлях, слущивают или отодвигают эндотелий, тесно контактируют с базальной мембраной. Лизосомальные ферменты лейкоцитов воздействуют на базальную мембрану и вызывают её повреждение.

Участие клеточных механизмов иммунитета в патогенезе Гломерулонефрит, более характерных для мембранозного Гломерулонефрит, подтверждается возможностью переноса экспериментального адъювантного нефрита лимфоцитами (но не сывороткой) больного животного [Хесс (Е. V. Hess) с соавторами, 1962] здоровому реципиенту. Механизм такого переноса объясняется цитопатическим действием лимфоцитов в эксперименте [Холм (G. Holm), 1966], в том числе в культуре почечной ткани (Т. Г. Троянова с соавторами, 1973, 1974).

Наряду с иммунными механизмами имеет значение сочетающееся с ними изменение процессов коагуляции; применение антикоагулянтов предупреждает при Масуги-нефрите тяжёлое поражение клубочков.

.

Патологическая анатомия

Морфологически изменения почек при Гломерулонефрит отличаются большим разнообразием и наблюдаются во всех их структурных элементах, но ведущим является диффузный гломерулит, в основе которого лежит воспаление обычно иммунной природы.

Изменения клубочков при Гломерулонефрит были подробно изучены после внедрения в клинический, практику пункционной биопсии почки с использованием методов гистохимии (смотри полный свод знаний Гистохимические методы исследования), электронной микроскопии (смотри полный свод знаний), иммуногистохимии (смотри полный свод знаний Иммуноморфология), авторадиографии (смотри полный свод знаний) и другие. На основании изучения почечного пунктата [В. В. Серов, Нольтениус (Н. Noltenius), Диттрих (P. Dittrich), Бруэр (D. В. Brewer)] при Гломерулонефрит различают следующие изменения клубочков: минимальные, мембранозные, пролиферативные (интра и экстракапиллярные), экссудативные (интра и экстракапиллярные), мембранознопролиферативные, фибропластические. В этой классификации гломерулярных изменений, которая является дальнейшим развитием схем Эллиса (A. Ellis) и Белла (Е. Т. Bell), пролиферативные, мембранозные и фибропластические изменения — основные.

Минимальные изменения (при световой микроскопии) сводятся к незначительному очаговому утолщению базальных мембран капилляров клубочков и гиперплазии клеток эндотелия лишь в отдельных петлях. Электронная микроскопия обнаруживает начальные изменения в виде редукции малых отростков подоцитов без выраженных изменений базальной мембраны капилляров клубочков [foot process type, по Чергу (J. Churg)]. Иммуногистохимический исследование даёт отрицательные результаты. О природе этих изменений единого мнения нет. Одни исследователи рассматривают их как проявление Гломерулонефрит, другие — как самостоятельное заболевание (липоидный нефроз детей).

Мембранозный Гломерулонефрит (II тип по Эллису) описан впервые Беллом. Он предложил относить к мембранозному Гломерулонефрит клинический, случаи липоидного нефроза (идиопатический нефротический синдром), при к-рых гистологически обнаруживается утолщение (рисунок 1 в) и расщепление базальных мембран капилляров клубочков с наличием «шипиков», выявляемых методом серебрения, при отсутствии пролиферации клеток клубочка. В дальнейшем мембранозные изменения были обнаружены при гистологический исследовании почек (биопсия) не только при идиопатическом нефротическом синдроме, но и при других клинический, формах Гломерулонефрит.



Информация об Ordo Deus Перейти в оглавление сайта

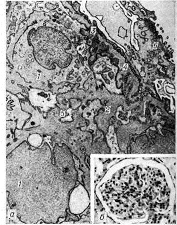
Рис. 1.
Микропрепараты (а, в) и электронограмма (б) почки при мембранозном гломерулонефрите: а—фиксация 131Jγ-глобулина иммунных комплексов на базальной мембране клубочка (прямой метод Кунса); б — мембранозная трансформация, утолщение базальной мембраны (I) гломерулярного фильтра в области субэпителиальных отложений (депозитов) (2) иммунных комплексов, базальная мембрана спаяна с малыми отростками (4) подоцита (3), эндотелий (5) вакуолизирован; ×13 500; в — клубочек при мембранозном гломерулонефрите (окраска гематоксилин-эозином); ×200.



Исходным моментом в повреждении базальной мембраны капилляров клубочков считают фиксацию на ней аутологичных иммунных комплексов (рисунок 1 а), что доказывается методами иммуногистохимии (на базальных мембранах выявляются иммуноглобулины и комплемент) и электронной микроскопии (выявление депозитов на эпителиальной стороне мембраны). При мембранозном Гломерулонефрит, обозначаемом как диффузная мембранозная гломерулопатия (перимембранозный, или экстрамембранозный, Гломерулонефрит, липоидный нефроз взрослых), на наружной стороне базальной мембраны появляются гранулярные депозиты (рисунок 1 б) иммунных комплексов и отложения плазменных белков, тогда как внутренняя сторона мембраны имеет обычные контуры. Депозиты отделены друг от друга выступами lamina densa, направленными в сторону эпителия, в результате чего мембрана имеет вид гребня (мембранозная трансформация по Чергу). В результате «вымывания» депозитов базальная мембрана становится неравномерной плотности. Со временем между депозитами и ножками подоцитов образуются перемычки, они сливаются и уплотняются. Мембрана утолщается за счёт новообразованного слоя кнаружи от депозитов, которые инкорпорируются, подвергаются резорбции и становятся менее осмиофильными. При выраженных мембранозных изменениях пролиферация клеток клубочка отсутствует.

Мембранозные изменения считаются морфологически эквивалентом идиопатического нефротического синдрома. Однако протеинурия при мембранозном Гломерулонефрит связана не только с изменениями клубочков, но и с недостаточной резорбцией белка в почечных канальцах. Морфология этой недостаточности представлена дистрофией и атрофией эпителия канальцев, склерозом стромы. Со временем дистрофические изменения почечных канальцев нарастают, выявляется гиалиноз мембран не только клубочков, но и канальцев.

При пролиферативном Гломерулонефрит, развитие которого обычно связано с воздействием стрептококка, пролиферация эндотелиоцитов и мезангиоцитов, как правило, сочетается с экссудативными изменениями, инфильтрацией клубочка полиморфно-ядерными лейкоцитами. Отслаивая эндотелий, лейкоциты проникают к базальной мембране капилляров и мигрируют в мезангии (рисунок 2). Их постоянно можно найти рядом с гранулярными субэпителиальными депозитами в виде горбов («humps»), содержащими гетерологичные иммунные комплексы, в состав которых входят стрептококк, иммуноглобулин и комплемент.

При электронной микроскопии депозиты иммунных комплексов обнаруживаются в биопсионном материале из почки через 2—4 недель от начала заболевания, но встречаются через 6 недель и более. С лейкотаксическим эффектом комплемента этих комплексов связана инфильтрация клубочка лейкоцитами, развитие иммунного воспаления в его соединительной ткани — мезангии. Повреждения базальной мембраны клубочковых капилляров также обусловлены литическим действием комплемента иммунных комплексов и лизосомальных ферментов лейкоцитов. В результате повреждения базальной мембраны и процессов внутрисосудистой коагуляции в капиллярах клубочков образуются тромбы, а также наблюдается реактивная пролиферация клеток клубочка. Пролиферация эндотелиоцитов сочетается с расширением мезангия, связанным с увеличением количества мезангиоцитов и накоплением мембраноподобного материала — мезангиального матрикса, что характерно для пролиферативного интракапиллярного диффузного Гломерулонефрит (мезангиопролиферативный Гломерулонефрит). Клинической, проявления интракапиллярного Гломерулонефрит различны, однако безусловна определённая зависимость между гематурией и выраженностью пролиферативной гломерулярной реакции.



Информация об Ordo Deus Перейти в оглавление сайта

Рис. 2.
Микропрепарат (б) и электронограмма (а) почки при пролиферативном гломерулонефрите: а — в просвете клубочкового капилляра (1) гранулоцит (2); за базальной мембраной (3) эндотелия (4) видны цитоплазматические отростки пролиферирующих мезангиальных клеток (5), окружённые мембраноподобным веществом; ×13 500; б — гистологическая картина пролиферативного гломерулонефрита, значительное увеличение количества ядер эндотелия капилляров клубочка (окраска гематоксилин-эозином).



При преобладании пролиферации эпителия капсулы клубочка возникает пролиферативный экстракапиллярный Гломерулонефрит, который рассматривают как морфологически аналог злокачественного «подострого» или прогрессирующего острого Гломерулонефрит [Дженнингс (R. В. Jennings), Эрл (D. P. Earle)]. Этот вид Гломерулонефрит имеет достаточно характерную морфологию в виде так называемый полулуний из пролиферирующих клеток (рисунок 3 а), которые заполняют просвет капсулы и сдавливают капиллярные петли клубочка. Пролиферация клеточных элементов клубочков обычно сочетается с экссудативными экстракапиллярными процессами, появлением среди клеток нитей фибрина. При этом выявляется фагоцитарная функция подоцитов, в цитоплазме которых с помощью электронной микроскопии можно обнаружить множество фаголизосом (рисунок 3 б): перерабатывающих продукты белкового распада. Экстракапиллярная пролиферация возникает как реакция на резкое повреждение капиллярных петель клубочка, которое для экстракапиллярных форм Гломерулонефрит является правилом. Довольно рано клетки «полулуний» претерпевают фибропластическое превращение. В пролиферат врастает соединительная ткань со стороны капсулы, происходит рубцовая облитерация полости капсулы, что ведёт к гибели клубочка.

Экссудативный (интра и экстракапиллярный) Гломерулонефрит как самостоятельная форма встречается крайне редко, что, вероятнее всего, связано с ранним лечением Гломерулонефрит стероидными препаратами. Обычно экссудативные изменения в виде скопления экссудата (серозного, фиброзного, геморрагического) в полости капсулы наслаиваются на морфологически проявления другой формы Гломерулонефрит, отражая остроту процесса. В ряде случаев они сочетаются с фибриноидным некрозом капиллярных петель клубочков, что позволяет говорить об экссудативно-некротическом Гломерулонефрит

Мембранозно-пролиферативный Гломерулонефрит, хронический латентный или подострый нефрит, гипокомплементарный персистирующий, хронический лобулярный, смешанный, мезангиокапиллярный Гломерулонефрит — одна и та же форма, для которой морфологически характерны пролиферация мезангиоцитов и утолщение стенок капилляров клубочка [Камерон (J. S. Cameron) и соавторами, 1970], а клинически — хронический течение, протеинурия, реже гематурия и в ряде случаев отсутствие эффекта при лечении стероидными гормонами. Хотя за этим типом Гломерулонефрит и утвердился термин «мембранозно-пролиферативный», правильнее называть его мезангиопролиферативным [Мандаленакис (N. N. MandaJenakis) и соавторами, 1971], так как гломерулярные изменения при нем, в том числе и мембранозные, связаны прежде всего с пролиферацией мезангиальных клеток и интерпозицией мезангия. С помощью электронной микроскопии (рисунок 4 а) определяется резкое расширение мезангия за счёт пролиферации его клеток и увеличения матрикса. Расширение мезангия ведёт к его интерпозиции [Аракава и Киммелстил (М. Arakawa, P. Kimmelstiel), 1969] — отростки мезангиоцитов, окружённые мембраноподобным веществом, выходят за пределы соединительной ткани клубочка и, распространяясь вдоль базальной мембраны на периферию капиллярной петли, отодвигают эндотелий. При световой микроскопии выявляется феномен утолщения (рисунок 4,6) и расщепления мембраны. Пролиферация мезангиоцитов, наблюдаемая, как правило, вблизи депозитов иммунных комплексов, может быть ограничена эндотелиальной выстилкой (при этом просвет капилляра сохраняется свободным), либо пролиферирующие клетки прорывают эндотелиальную выстилку и заполняют частично или полностью просвет капилляра. Повышенная секреция пролиферирующими мезангиоцитами тропоколлагена ведёт к накоплению мембраноподобного вещества в стенке и просвете капилляров, что лежит в основе склероза и гиалиноза клубочков. Сужению просвета капилляров способствует также пролиферация эндотелия, однако она значительно уступает пролиферации мезангиальных клеток Изменения подоцитов разнообразны от гиперплазии ультраструктур, отражающей повышенную функциональную нагрузку, до глубокой дистрофии в виде редукции малых отростков, вакуолизации цитоплазмы, ворсинчатой трансформации клеток.



Информация об Ordo Deus Перейти в оглавление сайта

Рис. 3.
Микропрепарат (а) и электронограмма (б) почки при экстракапиллярном продуктивном гломерулонефрите: а — пролиферация нефротелия с образованием характерных «полулуний» (J) в полости клубочковой капсулы (окраска гематоксилин-эозином); ×200; б — в цитоплазме подоцита (1) большое количество фаголизосом (2); ×20 000.





Информация об Ordo Deus Перейти в оглавление сайта

Рис. 4.
Микропрепарат (б) и электронограмма (а) почки при мембранозно-пролиферативном гломерулонефрите: а — пролиферация мезангиальных клеток (1), появление отростков этих клеток (2) вблизи депозитов (3) иммунных комплексов в базальной мембране (4); расширение мезангия (5); ворсинчатая трансформация подоцитов (б); ×20 000; б — гистологическая картина мембранозно-пролиферативного гломерулонефрита (окраска гематоксилинэозином); ×200.



Мембранозно-пролиферативный Гломерулонефрит делят на несколько клиническо-морфоиммунологических вариантов (форм): мембранозно-пролиферативный Гломерулонефрит с субэндотелиальными или плотными депозитами, лобулярный Гломерулонефрит, IgA-гломерулопатия (болезнь Берже).

Мембранозно-пролиферативный Гломерулонефрит с субэндотелиальными депозитами характеризуется гиперплазией клеток мезангия, расщеплением базальных мембран гломерулярных капилляров (мезангиокапиллярный Гломерулонефрит), субэндотелиальными депозитами (содержащими большое количество иммуноглобулинов, ранние фракции комплемента, пропердин), гипокомплементемией.

При мембранозно-пролиферативном Гломерулонефрит с плотными депозитами («болезнь плотных депозитов») гиперплазия мезангия представлена незначительно, и утолщение стенок капилляров обусловлено электронно-плотными депозитами внутри базальной мембраны. В депозитах обнаруживают большое количество С’З фракции комплемента, содержание которой в сыворотке крови снижено; иммуноглобулины в депозитах отсутствуют.

О лобулярном Гломерулонефрит, который, как правило, является иммунокомплексным, говорят в тех случаях, когда пролиферация мезангиоцитов происходит в пределах дольки и сопровождается её ранним склерозом и гиалинозом.

Основной признак IgA-гломерулопатии, или болезни Берже,— преобладание в субэндотелиальных и мезангиальных депозитах иммунных комплексов IgA и С’З фракции комплемента. Гистологически находят очаговую или диффузную пролиферацию мезангиальных клеток.

Фибропластический Гломерулонефрит следует рассматривать как собирательную эволютивную форму пролиферативного, мембранозного и мембранозно-пролиферативного Гломерулонефрит. При всех этих формах Гломерулонефрит в развитии склероза и гиалиноза клубочков основная роль принадлежит мезангиальной трансформации: пролиферации мезангиоцитов, гиперпродукции мембраноподобного вещества и интерпозиции мезангия, ведущей к облитерации просвета капилляров (рисунок 5 а). Пролиферация и фибропластическая трансформация эндотелия в развитии гломерулосклероза играют меньшую роль. При фибропластическом Гломерулонефрит клубочки приобретают лапчатый вид (рисунок 5 б), нередко между капиллярными петлями и наружным листком капсулы клубочка появляются синехии. Некоторая часть клубочков полностью замещается соединительной тканью (гломерулосклероз, гломерулогиалиноз). При этом в эпителии главных отделов канальцев развиваются дистрофические и субатрофические изменения, возникает склероз сосудов и стромы почки. Чаще фибропластический Гломерулонефрит является результатом длительно текущего нефротического или гипертонического нефрита и, как правило, встречается при терминальной стадии заболевания.



Информация об Ordo Deus Перейти в оглавление сайта

Рис. 5.
Микропрепарат (б) и электронограмма (а) почки при фибропластическом гломерулонефрите: а — облитерация просвета (1) и спадение гломерулярного капилляра; утолщение базальной мембраны (2); мезангиальные клетки (3); ножки подоцита (4); ×7 500; б — гистологическая картина фибропластического гломерулонефрита (окраска нитрофунгином по Ван-Гизону); ×200.



Морфологически формы, как и клинический., не являются стабильными. Они в ряде случаев отражают морфологию фаз и вариантов Гломерулонефрит Повторные биопсии почки доказывают возможность перехода одной формы Гломерулонефрит в другую.

При Гломерулонефрит, кроме изменений в клубочках, возникают дистрофические и атрофические изменения в канальцах. При этом дистрофия преобладает в эпителии проксимального, а атрофия — в эпителии дистального отдела нефрона. Встречаются различные виды белковой дистрофии (зернистая, гиалиново-капельная, вакуольная) и жировая дистрофия. В основе её развития лежит повышение проницаемости гломерулярного фильтра, повышенная реабсорбция, инфильтрация почечных канальцев и блокада различных групп ферментов эпителия. Различные виды дистрофии эпителия канальцев отражают, таким образом, разную степень и различное качество развивающейся ферментопатии. В связи с этим зернистую дистрофию эпителия канальцев, при которой характер распределения дыхательных, гликолитических и гидролитических ферментов в нефроне не меняется, а активность их повышается, вообще не относят к патологический процессам. Считается, что зернистая дистрофия эпителия канальцев отражает морфологически повышенную реабсорбционную функцию канальца главным образом в отношении белка. Гиалиново-капельная, вакуольная и жировая дистрофии, при к-рых отмечается нарушение распределения ферментов в нефроне и снижение их активности, являются морфологически эквивалентами резорбционной недостаточности канальцев (относительной или абсолютной). Накопление в цитоплазме эпителия канальцев белка, воды или липидов ведёт к некробиозу и десквамации эпителия. Слущенный эпителий, как и компоненты ультрафильтрата, служит основой образования цилиндров, обтурирующих чаще дистальные отделы нефрона, что ведёт к повышению внутриканальцевого давления, образованию кистозно расширенных канальцев. При этом нередко отмечается регенерация эпителия целых отрезков канальцев.

Атрофия канальцев, выраженная в той или иной степени, обычно дополняет дистрофические их изменения. Чаще всего это атрофия дистального отдела нефрона или группы нефронов, у которых клубочки гиалинизированы, склерозированы. Вокруг атрофичных, замещённых соединительной тканью нефронов происходит регенерационная гипертрофия соседних нефронов, которые могут длительное время обеспечивать функцию почки. Однако по мере прогрессирования Гломерулонефрит все чаще происходит «отрыв тубул» почечных канальцев от клубочков с образованием так называемый агломерулярных функционально неполноценных нефронов. Со временем атрофические процессы в почечных канальцах начинают преобладать над дистрофическими, все большее количество нефронов подвергается фиброзному замещению, конечным результатом которого является сморщивание почек.

Значительные изменения происходят как в кровеносных, так и в лимфатических, сосудах почки. В кровеносных сосудах различают несколько видов изменений [А. И. Абрикосов, Цоллингер (Н. U. Zollinger)]: 1) пролиферативный эндартериит, касающийся артериол и мелких артерий, связанный, вероятно, с почечной аллергией при Гломерулонефрит [Фольгард (F. Volhard)]; в исходе этого процесса развивается склероз внутренней оболочки сосудов с резким сужением или облитерацией просвета сосудов; 2) плазморрагию, артериолонекроз и артериолосклероз (смотри полный свод знаний), обусловленные артериальной гипертензией; эти изменения наиболее ярко представлены при гипертоническом Гломерулонефрит; 3) гиперплазию внутренней оболочки, прогрессирующий интимофиброз средних и крупных артерий почки, нередко с вторичным липоидозом, атрофией средней (мышечной) оболочки и очагами аневризматического расширения просвета артерий; эти изменения рассматривают как приспособление артерий к выключению артериол и клубочков — «периферического русла почки».

Изменения кровеносных сосудов ведут к редукции сосудистого русла, появлению «коротких путей» кровотока. В корковом веществе увеличивается количество коротких ветвей, связывающих в обход клубочка приносящую и выносящую артериолы, уменьшается число постгломерулярных (перитубулярных) капилляров коры, как и ложных прямых артерий, питающих мозговое вещество почки. Запустевает не только кровеносная, но и лимфатических, система. Недостаточность лимфатических, системы наступает вторично, прежде всего в связи с нарушениями почечного кровообращения. Редукция кровеносного и лимфатических, русла почек способствует развитию в них склеротических и атрофических изменений.

В строме почек развиваются отёк, склероз, липоидная и клеточная инфильтрация. Отёк резче выражен в мозговом веществе и служит основой рано наступающего гиалиноза пирамид, особенно их сосочков (смотри полный свод знаний Гиалиноз), что имеет значение в развитии нарушений противоточного механизма почки. Склероз, как и отёк, раньше наступает и резче выражен в мозговом веществе почек, где он имеет диффузный характер. В корковом веществе, помимо диффузного фиброза стромы, отмечают очаги склероза, замещающие группы выключенных нефронов. Со временем очаги склероза сливаются, образуя фиброзные поля, в которых замурованы гиалинизированные клубочки и атрофированные канальцы. По периферии таких полей сохраняются гипертрофированные нефроны (регенерационная гипертрофия). В ряде случаев (при нефротическом синдроме) в склерозированной строме почек находят в большом количестве двоякопреломляющие липоиды (липоидная инфильтрация стромы).

Склероз стромы, как правило, сочетается с клеточной инфильтрацией, представленной гнездными скоплениями лимфоидных элементов, гистиоцитов, плазматических клеток. Считается, что гистиолимфоцитарные инфильтраты стромы могут отражать иммунные реакции (замедленную гиперчувствительность), развивающиеся в почках при Гломерулонефрит. В пользу этого предположения свидетельствует способность клеток инфильтратов к цитопатогенному действию, проявляющемуся лизисом мембран и эпителия канальцев. Не исключено, что лимфоидные инфильтраты стромы всего лишь адаптивная реакция клеток мезенхимы на развивающуюся резорбцию и механическую недостаточность лимф, системы почки.

При остром гломерулонефрите в первые дни заболевания наблюдается гиперемия клубочков, которую довольно быстро сменяют лейкоцитарная инфильтрация мезангия и диффузная интракапиллярная пролиферация клеток (интракапиллярный экссудативно-пролиферативный Гломерулонефрит), тромбоз отдельных капиллярных петель, плазматическое пропитывание и фибриноидные изменения артериол. В дальнейшем присоединяются экстракапиллярные экссудативные изменения в виде серозно-десквамативного, фибринозного или геморрагического выпота в полость клубочковой капсулы (экссудативный экстракапиллярный Гломерулонефрит) или пролиферация нефротелия при резком повреждении базальной мембраны капилляров клубочков. В более тяжёлых случаях (смерть в первые недели заболевания) наблюдается острый некротический Гломерулонефрит, для которого характерен фибриноидный некроз петель капилляров клубочка и приносящей артериолы наряду с тромбозом капилляров и инфильтрацией нейтрофильными лейкоцитами. Очень редко развивается типичный мембранозный Гломерулонефрит

Почки при остром Гломерулонефрит несколько увеличены, набухшие, дрябловаты, пёстрые — «пёстрая почка» (цветной рисунок 5). Пирамиды темно-красные, кора серовато-коричневого цвета с мелкими красными вкраплениями на поверхности и разрезе — при геморрагической форме или с сероватыми полупрозрачными точками — при пролиферативной и фибринозной экссудативной формах. Однако в ряде случаев (смерть в первые дни болезни) почки при вскрытии могут казаться совершенно неизмененными, и лишь гистологический исследование выявляет диффузный Гломерулонефрит На основании изучения повторных биопсий выявлено, что изменения почек, характерные для острого Гломерулонефрит, могут быть полностью обратимы. Но в ряде случаев даже при полном клинический, выздоровлении гистологический изменения, свойственные Гломерулонефрит, могут сохраняться годами.

Для подострого гломерулонефрита, быстро прогрессирующего, или злокачественного, характерно сочетание экстракапиллярных продуктивных (реже экссудативных) изменений клубочков с тяжёлыми дистрофическими изменениями канальцев (подострый Гломерулонефрит с нефротическим компонентом, по старым авторам) и отечно-инфильтративными изменениями стромы. Почки при этом значительно увеличены, дряблы, корковый слой широкий, набухший, жёлто-серый, тусклый, с мелкими красными вкраплениями и хорошо отграничен от темно-красного мозгового вещества почки — «большая пестрая почка» (цветной рисунок 7) — либо он красный и сливается с полнокровными пирамидами — «большая красная почка».

Морфология хронического гломерулонефрита весьма разнообразна, обнаруживаются интракапиллярные пролиферативные, минимальные, мембранозные, мембранозно-пролиферативные, а также фибропластические изменения в различных сочетаниях с изменениями канальцев, сосудов и стромы. Чёткой зависимости между клинический, вариантами и морфологически формами при хронический Гломерулонефрит нет. Однако можно считать, что для гематурии (гематурический вариант Гломерулонефрит) наиболее характерны интракапиллярные продуктивные процессы в клубочках, для протеинурии (нефротический вариант хронический Гломерулонефрит)— минимальные и мембранозные изменения, к к-рым присоединяется тубулоинтерстициальная недостаточность, а для артериальной гипертензии (гипертонический вариант хронический Гломерулонефрит) и сочетания нефротического синдрома с гипертензией — фибропластическая реакция в клубочках и вторичные васкулярно-интерстициальные изменения.

Наиболее характерные макро-, микроскопические изменения почек наблюдаются при нефротическом варианте хронический Гломерулонефрит и в терминальной стадии заболевания. При нефротическом варианте Гломерулонефрит в ряде случаев дистрофические изменения канальцев и стромы почек, особенно жировая инфильтрация, доминируют над минимальными или мембранозными изменениями клубочков. Почки при этом становятся увеличенными, дряблыми, бело-жёлтыми или белыми — «большая белая почка» (цветной рисунок 6), и их трудно отличить от липоидного нефроза (идиопатического нефротического синдрома).



Информация об Ordo Deus Перейти в оглавление сайта

Рис. 5.
«Пёстрая почка» (острый гломерулонефрит): мелкие кровоизлияния на поверхности почки и в ткани (видны на разрезе). Рис. 6. «Большая белая почка» (нефротический вариант гломерулонефрита). Рис. 7. «Большая пёстрая почка» в разрезе (подострый гломерулонефрит): корковый слой с мелкими кровоизлияниями хорошо отграничен от полнокровного мозгового вещества. Рис. 8. Микропрепарат почки (хронический гломерулонефрит с исходом в сморщивание): 1 — склероз и гиалиноз клубочков; 2 — атрофия канальцев; 3 — разрастание соединительной ткани в строме; окраска гематоксилинэозином. Рис. 9. Почка (хронический гломерулонефрит с исходом в сморщивание): плотная мелкозернистая поверхность, образующаяся в результате чередования участков склероза и атрофии с участками гипертрофии. Рис. 10. Почка в разрезе (хронический гломерулонефрит с исходом в сморщивание): малокровная серого цвета склерозированная ткань, в корковом слое видна киста (указана стрелками).



Для терминальной стадии хронический Гломерулонефрит характерно развитие вторичного (нефритического) сморщивания почек. При этом почки уменьшаются в размерах, становятся плотными, поверхность их мелкозернистая, редко гладкая — при равномерном сморщивании (цветной рисунок 9). Зернистость поверхности почек объясняется тем, что участки склероза и атрофии (западания) чередуются с участками гипертрофированных нефронов (выбухания). На разрезе слой почечной ткани тонкий, причём особенно истончено корковое вещество; ткань почки суха, малокровна, серого цвета (цветной рисунок 10). При микроскопическом исследовании в запавших участках отмечаются атрофия клубочков и канальцев и замещение их соединительной тканью (цветной рисунок 8). Клубочки превращаются в рубчики (гломерулосклероз) или гиалиновые шарики (гломерулогиалиноз). В выбухающих участках клубочки сохранны, некоторые из них гипертрофированы. Капсула таких клубочков утолщена, капиллярные петли склерозированы (лапчатые клубочки), кое-где встречаются склерозированные «полулуния», канальцы расширены, эпителий их утолщён. Артериолы склерозированы и гиалинизированы. В мелких, средних артериях наблюдаются фиброз и гиалиноз внутренней оболочки, резко выражены склероз и гистиоцитарная инфильтрация стромы.

.

Клиническая картина

Острый гломерулонефрит может развиться в любом возрасте, однако до 2 лет он встречается редко [Фисон (Т. N. Fison), 1956].

Показатели заболеваемости колеблются от 0,55 до 0,71, а среди различных детских возрастных групп от 0,08 до 0,85 на 1000 человек. Максимальная заболеваемость среди детей приходится на возраст от 7 до 10 лет (Н. А. Чистенков, 1969). Среди взрослых показатели заболеваемости в среднем 0,62 на 1000 (А. М. Шухтина и А. Н. Бутц, 1963); больные моложе 40 лет составляют 75—90% [В. В. Пожарская, М. С. Бабицкая, 1936; Аддис (Т. Addis), 1948]; больные старше 60 лет составляют не более 3%. Различий заболеваемости мужчин и женщин не выявлено.

Клинической, проявления острого Гломерулонефрит весьма разнообразны — от крайне скудных (лишь случайно в процессе обследования выявленные изменения мочи) до чрезвычайно ярких, с бурно развивающейся классической триадой симптомов: отёков, гипертензии, гематурии. Этим симптомам может предшествовать слабость, жажда, олигурия. При развившейся картине болезни больного беспокоит одышка, сердцебиение, головная боль, тошнота, рвота, боли в пояснице, отеки разной степени выраженности. Моча при макрогематурии может быть красной или коричневатой из-за перехода гемоглобина в гематин при кислой реакции мочи.

Отеки — один из наиболее ранних и частых признаков Гломерулонефрит— отмечаются у 70—90% больных, приблизительно у половины они бывают значительными. Преимущественная локализация отёков на лице, бледность кожи и набухание шейных вен позволяют говорить (у части больных) о facies nephritica. Отеки могут начинаться и на ногах. В отёчной жидкости белка до 1—2%.

Патогенез отёков при остром Гломерулонефрит сложен и до конца не ясен. Первопричиной их является поражение клубочков, ведущее к уменьшению клубочковой фильтрации, что сопровождается снижением диуреза (смотри полный свод знаний). Повышается реабсорбция натрия (и воды) в канальцах. Роль гиперальдостеронизма при этом исключить трудно; хотя секреция альдостерона обычно не повышена, но натрийуретический и диуретический эффект антагонистов альдостерона очевиден. В возникновении отёков придаётся значение увеличению сосудистой проницаемости.

Артериальная гипертензия регистрируется у 70—90% больных (смотри полный свод знаний Гипертензия артериальная). Степень её значительно колеблется, частота возникновения и тяжесть увеличиваются с возрастом. Гипертензия, как и другие симптомы острого Гломерулонефрит, может быть «транзиторной». Снижение АД до нормального уровня происходит обычно на протяжении первых 3 недель параллельно с уменьшением других симптомов. Длительное и стойкое повышение АД прогностически неблагоприятно. Ведущее значение в патогенезе гипертензии при остром Гломерулонефрит придаётся задержке натрия и воды, увеличению объёма циркулирующей крови и ударного объёма сердца. Повышение АД по гиперкинетическому типу с увеличением сердечного выброса сочетается со снижением периферического сопротивления в первые дни заболевания. В дальнейшем по мере снижения АД периферическое сопротивление нормализуется (М. И. Франкфурт, А. К. Мерзон, 1968). При тяжёлом течении Гломерулонефрит выявляется стойкое увеличение периферического сопротивления.

Значение системы ренин — ангиотензин в возникновении гипертензии при остром Гломерулонефрит подвергается изучению. Не исключена большая чувствительность сосудистой стенки к прессорным агентам в связи с задержкой в ней натрия.

Частота гемодинамических нарушений увеличивается с возрастом. Явления сердечной недостаточности, острый отёк лёгких являются основной причиной смерти больных острым Гломерулонефрит Обычны характерные признаки левожелудочковой (одышка, ортопноэ, кровохарканье, сердечная астма, достигающая значительной степени) и правожелудочковой недостаточности (набухание шейных вен, повышение венозного давления). В основе возникновения гемодинамических нарушений лежит увеличение массы циркулирующей крови, которая может достигать 7—9 литров. При отсутствии гиперволемии гемодинамические сдвиги обычно незначительны. Возникновение гипертензии может усугубить перегрузку сердца, хотя признаки сердечной недостаточности могут появляться и без повышения АД.

Поражения сердечной мышцы в виде серозного миокардита обнаруживаются в 10% случаев.

Остро возникающая гиперволемия (смотри полный свод знаний Кровь) приводит к расширению полостей сердца; размеры его нормализуются постепенно после восстановления диуреза и спадения отёков. Сила верхушечного толчка зависит от анасарки (общей водянки), расширения полостей сердца, наличия гидроперикарда (смотри полный свод знаний). При аускультации нередко обнаруживается ослабление первого тона, акцент второго тона на аорте, систолический шум на верхушке при относительной недостаточности митрального клапана, в тяжёлых случаях — ритм галопа (смотри полный свод знаний Галопа ритм). Изменения ЭКГ разнообразны и определяются выраженностью гемодинамических и электролитных нарушений. Часто наблюдаются низкий вольтаж ЭКГ, удлинение интервала Pq, двухфазность и уплощение зубца Г, иногда смещение интервала ST. Изредка наблюдаются острые нарушения кровообращения в периферических артериях, приводящие к очаговому некрозу на конечностях.

Выраженные изменения глазного дна находят у 5% больных [Зарре (Н. Sarre), 1967]. При тяжёлом течении заболевания со стойким повышением АД наблюдается спазм сосудов, иногда точечные кровоизлияния в сетчатке (смотри полный свод знаний Глазное дно, таблица). В результате отёка диска зрительного нерва и пятна сетчатки может развиться амавроз (смотри полный свод знаний Слепота).

Со стороны нервной системы имеются субъективные и объективные нарушения. Характерны жалобы на головную боль, тяжесть в голове. Сильная головная боль в сочетании с тошнотой и рвотой, снижением зрения и мельканием «мушек» перед глазами может предшествовать ангиоспастической энцефалопатии (смотри полный свод знаний). Иногда повышается мышечная и психическая возбудимость. Предшественники энцефалопатии и типичные её приступы могут развиться при достаточном диурезе и даже полиурии; АД при этом резко повышается (у детей оно может оставаться нормальным), урежается пульс. Приступы энцефалопатии напоминают эпилепсию: зрачки расширены (а не сужены, как при уремии), сознание отсутствует, судороги клонического и тонического характера, сопровождаются прикусыванием языка, непроизвольным отхождением кала и мочи; давление цереброспинальной жидкости резко повышается. Во время приступов может наступить амавроз. Почечная энцефалопатия обычно заканчивается благоприятно, однако возможно кровоизлияние в мозг. В основе этих явлений лежит нарушение мозгового кровообращения (ангиоспазм) и отёк мозга (смотри полный свод знаний Отёк и набухание головного мозга).

Наблюдаются и другие проявления острого Гломерулонефрит Боли в области поясницы разной степени выраженности, чаще симметричные (у 34% больных), зависят от набухания почек и растяжения их капсулы, нарушения уродинамики. Дизурические явления возникают редко; они связаны, вероятно, с высокой концентрацией и повышенной кислотностью мочи. Олигурия (смотри полный свод знаний) и даже анурия (смотри полный свод знаний) возможны чаще в первые дни заболевания и продолжаются обычно 2—3 дня. Более продолжительная олигурия наблюдается редко. Для олигурии при остром Гломерулонефрит характерен высокий удельный вес мочи. Длительная олигурия, особенно у пожилых больных,— плохой прогностический признак, хотя описаны благоприятные исходы при олигурии, продолжавшейся до 8 недель [Перскофф (D. Perscoff), 1965].

Изменения функции почек разнообразны и зависят от тяжести процесса. При развёрнутой клинический, картине уменьшается клубочковая фильтрация и фильтрационная фракция почечного плазмотока, снижается функция проксимальных канальцев по максимальной реабсорбции глюкозы и секреции парааминогиппуровой к-ты или диотраста. Снижение секреции парааминогиппуровой кислоты связано скорее с обструкцией почечных канальцев белковыми массами, чем с их поражением. Почечный кровоток нормален или увеличен, за исключением наиболее тяжёлых случаев; функция дистальных отделов канальцев обычно сохранена; азотовыделительная функция не нарушена, за исключением тяжёлых случаев, сопровождающихся олигурией и анурией.

Протеинурия (смотри полный свод знаний) отмечается почти у всех больных, за исключением редких случаев анальбуминурического Гломерулонефрит, и может достигать высоких цифр (до 90%). Массивная протеинурия сохраняется обычно не более 1—2 недель, умеренная может длиться несколько месяцев. Протеинурия может быть селективной с выделением главным образом альбуминов или неселективной, когда в моче при электрофоретическом исследовании находят и другие сывороточные белки. В моче больных выявляется фактор неустановленной природы, вызывающий клеточные феномены: LE-феномен и феномен лейко и эритрофагоцитоза — при воздействии мочой больных на лейкоциты здоровых доноров. Такие же феномены наблюдаются при обострении латентно текущего хронический Гломерулонефрит (Л. В. Козловская с соавторами, 1976).

Микрогематурия (смотри полный свод знаний Гематурия) — симптом почти столь же постоянный, как и протеинурия, но держится обычно дольше. Макрогематурия наблюдается у 12—18% больных. Лейкоцитурия (смотри полный свод знаний), хотя и встречается, для Гломерулонефрит не характерна.

В крови наблюдается умеренная анемия, обычно нормохромная и нормоцитарная. Основной её причиной является понижение эритропоэза, а не гиперволемия. Изменения уровня лейкоцитов и лейкоцитарной формулы непостоянны. Ускорение РОЭ часто, а иногда значительно (до 50 миллиметров/час и выше). Уровень белка сыворотки крови нормален или незначительно снижен, что связано в основном с гидремией и в меньшей мере с потерей белка с мочой. Альбумин-глобулиновый коэффициент (смотри полный свод знаний) снижается главным образом за счёт повышения α2 и γ-глобулинов. Ацидоз, как правило, компенсированный. Гиперкалиемия наблюдается лишь при тяжёлом течении заболевания. Содержание натрия и мочевой кислоты чаще несколько повышено.

Злокачественный гломерулонефрит (подострый, экстракапиллярный, быстро прогрессирующий хронический Гломерулонефрит) характеризуется галопирующим течением без латентного периода и ремиссий; в период от 6 месяцев до 2 лет приводит к развитию хронический почечной недостаточности. В клинический, картине обычно значительно выражены все симптомы — отеки, гипертензия, протеинурия, гипопротеинемия, гиперхолестеринемия. Нередко развивается сердечная недостаточность. В особенно тяжёлых случаях признаки нарушения функциональной способности почки могут появляться уже на 4—6-й неделе заболевания, при этом быстро прогрессируют изменения глазного дна. У части больных отеки, гипертензия могут отсутствовать. Быстрое и стойкое снижение функции почек в этих случаях приобретает решающее диагностическое значение.

Хронический гломерулонефрит по этиологии, патогенезу, патоморфологии, клинике и течению неоднороден, что обусловливает трудность его классификации. В противоположность господствовавшему до середины 20 век учению Фольгарда и Фара (F. Volhard, Th. Fahr), согласно которому хронический Гломерулонефрит представляет исключительно исход острого, как правило, постстрептококкового Гломерулонефрит, с 60-х годы значительное число случаев относят к первично-хронический Гломерулонефрит без начальной острой стадии. Становится очевидным, что существует, помимо инфекционно-иммунной группы, и неинфекционно-иммунная группа Гломерулонефрит (сывороточный, лекарственный и другие).

Клинической, проявления хронический Гломерулонефрит характеризуются отёками, повышением АД, протеинурией и другими изменениями мочи, гипопротеинемией, гиперхолестеринемией, признаками хронической почечной недостаточности (смотри полный свод знаний) в далеко зашедших случаях. При отдельных вариантах хронический Гломерулонефрит этим симптомы выражены в различной степени и сочетаниях.

В зависимости от преобладания тех или иных клинический, проявлений хронический Гломерулонефрит может быть разделён на четыре основных варианта: нефротический, гипертонический, смешанный и латентный.

Хронический Гломерулонефрит с нефротическим синдромом характеризуется массивными отёками и протеинурией, гиперхолестеринемией, гипопротеинемией, особенно за счёт снижения уровня альбуминов; АД нормальное или пониженное. Течение обычно постепенное: отеки, возникающие на лице и ногах, распространяются на туловище, присоединяется водянка полостей. Реже развиваются отёк лёгких с одышкой, отёк мозга с судорогами, отёк сетчатки со слепотой. Отеки могут быть весьма упорными или носить рецидивирующий характер. Для развёрнутой картины заболевания обычны олигурия с выделением мочи высокого удельного веса, значительная потеря белка с мочой (3 грамм и более в сутки), протеинурия селективная или неселективная. Последняя чаще наблюдается при более тяжёлых морфологически изменениях почек. Могут присоединяться признаки канальцевой недостаточности. При этом выявляются гликозурия (смотри полный свод знаний), аминоацидурия (смотри полный свод знаний). Холестеринемия (смотри полный свод знаний Гиперхолестеринемия) может достигать 1000 миллиграмм% и выше, содержание альбумина в сыворотке крови снижается иногда до 1—2 грамм%. Нередки дистрофические изменения кожи и скелетной мускулатуры.

Гипертонический гломерулонефрит вначале протекает, как правило, латентно, характеризуется длительным развитием (до 20—30 лет), хорошо или удовлетворительно переносимой артериальной гипертензией и небольшими изменениями в моче. В компенсированной стадии заболевание нередко диагностируется случайно (при диспансеризации, исследовании мочи и тому подобное). Тяжёлое поражение мозговых или венечных сосудов наблюдается реже, чем при гипертонической болезни. АД ещё более повышается при развитии хронический почечной недостаточности, когда могут возникать признаки сердечной недостаточности — сердечная астма, кровохарканье, увеличение печени и так далее. Клинической, проявления в этот период сходны с картиной злокачественной гипертонии. При резком повышении АД возможна макрогематурия.

Смешанный гломерулонефрит (классический отечно-гипертонический нефрит) характеризуется отёками, обычно упорными, и гипертензией. Продолжительность течения от начала заболевания 3— 5 лет.

Латентный гломерулонефрит выявляется неожиданно, иногда при диспансерном или случайном исследовании мочи, когда выявляется протеинурия или гематурия. Нередко болезнь не распознается вплоть до развития уремии (смотри полный свод знаний). Латентным может быть начало нефротического Гломерулонефрит. Этот Гломерулонефрит может продолжаться 20 и более лет и закончиться хронический почечной недостаточностью.

Терминальная стадия хронического гломерулонефрита заканчивает любой вариант хронический Гломерулонефрит. Жалобы больных обусловлены интоксикацией и поражением сердечно-сосудистой системы. Артериальная гипертензия, нередко нарастающая или развивающаяся впервые при наступлении почечной недостаточности, иногда приобретает черты злокачественной. Ухудшение зрения наступает обычно при явно выраженной азотемии (смотри полный свод знаний). Большие отеки сохраняются редко и носят смешанный — почечно-сердечный характер. Характерна изостенурия (смотри полный свод знаний), полиурия, которая в конце заболевания может смениться олигурией. Протеинурия обычно невелика, в осадке «широкие» цилиндры, происходящие из расширенных канальцев сохранившихся гипертрофированных нефронов.

Осложнения разнообразны и определяются клинический, формой и течением заболевания, терапевтическими мероприятиями. Последние, например, гемодиализ, вследствие удлинения терминальной стадии заболевания привели к возникновению мало известных ранее осложнений (тяжёлые остеопатии, полиневриты и другие).

При злокачественном Гломерулонефрит могут наблюдаться отслойка сетчатки (смотри полный свод знаний), кровоизлияние в мозг (смотри полный свод знаний Инсульт), явления сердечной недостаточности (смотри полный свод знаний). Особенно многочисленны осложнения при нефротическом Гломерулонефрит, обусловленные присущими ему иммунными нарушениями — потерей иммуноглобулинов, комплемента и явлениями гиперкоагуляции: перитонит, рожистое воспаление с бактериемическим шоком и падением функциональной способности почек («нефротический криз»). Возникновению их может способствовать терапия кортикостероидами, в результате которой подавляется образование тучных клеток — главного источника гепарина. Ишемическая болезнь сердца (смотри полный свод знаний) встречается чаще при нефротическом Гломерулонефрит Гипертоническому Гломерулонефрит свойственны осложнения, характерные для гипертонической болезни (смотри полный свод знаний).

.

Диагноз

Затруднения в диагностике острого Гломерулонефрит возникают в случаях моносимптомных и стёртых форм. Необходима дифференциальная диагностика с очаговым эмболическим нефритом, хронический Гломерулонефрит в период его обострения, застойной почкой при сердечной недостаточности, амилоидозом почек, острым некронефрозом, острым пиелонефритом.

Очаговый эмболический нефрит возникает, как правило, у больных сепсисом или подострым септическим эндокардитом; почечные гипертензия, отеки не характерны для него.

Диагноз обострения хронический Гломерулонефрит ставится в случае, если в тщательно собранном анамнезе есть указание на заболевание почек в прошлом, у больного имеются признаки длительно существующей гипертензии, при терминальном Гломерулонефрит имеются признаки хронический почечной недостаточности с уменьшением размеров почек. «Застойную почку» от острого Гломерулонефрит отличают анамнез, признаки органического поражения сердца, динамика изменений мочи при успешной терапии сердечной недостаточности.

Бурное прогрессирование ранее скрыто протекавшего амилоидоза (смотри полный свод знаний), возникшее после перенесённых инфекций, оперативных вмешательств, вакцинаций, иногда напоминает острый Гломерулонефрит

Наибольшее значение в дифференциальной диагностике с амилоидозом имеет анамнез (данные о хронический нагноительных заболеваниях, туберкулёзе, ревматоидном артрите), выявление увеличенной плотной печени и селезёнки, а также данные биопсии почек и прямой кишки.

Возникновению острой почечной недостаточности вследствие некронефроза предшествуют обычно воздействие нефротоксических агентов, переливание несовместимой крови, шоковые и коллаптоидные состояния и так далее Отличием от острого Гломерулонефрит являются низкий удельный вес мочи, отсутствие гипертензии, сердечной недостаточности.

При остром пиелонефрите нет отёков, АД чаще нормальное, наблюдаются лихорадка, боли в пояснице, дизурия.

Диагноз хронический Гломерулонефрит в типичных случаях не представляет трудностей. Более сложным является дифференциальная диагностика с нефритом при системных заболеваниях, при которых отёк может быть почти единственным проявлением на протяжении более или менее длительного времени. Таковы нефриты при геморрагическом васкулите (смотри полный свод знаний Шенлейна—Геноха болезнь), когда другие симптомы (поражение суставов, кожные высыпания, боли в животе и так далее) могут быть выражены мало. В отличие от Гломерулонефрит возникновение нефрита у молодых женщин и связь заболевания с инсоляцией, лихорадка, даже кратковременная, небольшие боли в суставах позволяют заподозрить системную красную волчанку (смотри полный свод знаний).

Другие системные заболевания, могущие протекать с нефритом,— узелковый периартериит (смотри полный свод знаний Периартериит узелковый), склеродермия (смотри полный свод знаний), Вегенера гранулематоз (смотри полный свод знаний), Гудпасчера синдром (некротизирующий альвеолит с пролиферативным или некротическим нефритом), Мошковича болезнь (смотри полный свод знаний), характеризуются более яркими, чем при Гломерулонефрит, общими проявлениями и легко распознаются. Ревматический нефрит обычно сопровождается другими проявлениями ревматизма (смотри полный свод знаний).

Хронический пиелонефрит (смотри полный свод знаний) распознается по анамнезу: периодические как бы немотивированные ознобы, дизурические явления, нередко наличие урологический заболеваний (нефролитиаз и так далее). Протеинурия при пиелонефрите обычно невелика, в осадке преобладают лейкоциты. Нефротический синдром крайне редок. Характерно асимметричное поражение почек, изменение чашечно-лоханочной системы в поздних стадиях болезни.

Гипертоническая болезнь приводит к падению функциональной способности почек при значительной длительности заболевания. Кроме того, злокачественная гипертоническая болезнь, а также реноваскулярная гипертензия, характеризуются большей выраженностью сердечнососудистой симптоматики. Для диагноза Гломерулонефрит важно выявление в анамнезе наличия изменений осадка мочи.

Для почечной формы миеломной болезни характерны анемия, резкое ускорение РОЭ, парапротеинемия, парапротеинурия — белок Бенс-Джонса (смотри полный свод знаний Бенс-Джонса белок).

Диабетический Гломерулонефрит диагностируется на основании анамнеза, характерной ретинопатии и других проявлений диабета.

Поражение почек при подагре диагностируется с учётом проявлений заболевания и наличия высокой концентрации мочевой кислоты в крови — гиперурикемии (смотри полный свод знаний Урикемия).

.

Лечение

При остром гломерулонефрите основные терапевтические мероприятия — строгий постельный режим, диета и медикаментозное лечение. При наличии отёков, гипертензии, явлений сердечной недостаточности, гематурии больной должен соблюдать постельный режим на протяжении 3—4 недель, а при неблагоприятном течении и более длительный срок. Постельный режим необходимо соблюдать до полного исчезновения отёков, нормализации АД, ликвидации сердечной недостаточности; это способствует повышению функциональной способности почек. Тщательное соблюдение постельного режима, по мнению некоторых авторов [Зарре (Н. Sarre), 1968], препятствует переходу острого Гломерулонефрит в хронический. Незначительная протеинурия и микрогематурия не являются показанием к сохранению постельного режима, если переход к более свободному режиму не ухудшает состояния больного.

После перенесённого острого Гломерулонефрит больные в течение года и более должны избегать переутомления, длительного нахождения в вертикальном положении, охлаждений. Противопоказано введение вакцин и сывороток.

В основе диеты при остром Гломерулонефрит лежит ограничение в пище натрия, воды и отчасти белка. Лечение голодом и жаждой, как правило, применяться не должно из-за возможного эксикоза (смотри полный свод знаний Токсический синдром), ведущего к ухудшению функции почек и распаду эндогенного белка. В первые дни болезни в пище в зависимости от АД и отёков должно содержаться не более 0,5—2 грамм поваренной соли, а количество выпитой жидкости превышать диурез за предыдущие сутки на 400—500 миллилитров для компенсации внепочечных потерь. При выраженных отёках и гипертензии количество жидкости в первые дни допустимо сокращать до 400—500 миллилитров в сутки. Общая калорийность пищи должна удовлетворяться главным образом за счёт углеводов и жиров. В течение первых 3—4 недель целесообразно ограничение белка до 0,5 грамм/килограмм веса в сутки.

Антибактериальная терапия целесообразна в первые дни развития постинфекционного Гломерулонефрит, особенно при наличии активного очага инфекции (обострение тонзиллита, синуситов и так далее) или при Гломерулонефрит, тесно связанном с инфекцией, например, при подостром септическом эндокардите. Наименее нефротоксичен пенициллин и его полусинтетические производные, эритромицин. Пенициллин назначают обычно в дозе 1 миллионов ЕД в сутки в течение 7—10 дней. При снижении клубочковой фильтрации доза пенициллина должна быть уменьшена. Неомицин, мономицин, канамицин и в меньшей степени препараты тетрациклиническового ряда нефротоксичны.

Лечение сердечной недостаточности направлено прежде всего на устранение основной её причины — гиперволемии и отчасти артериальной гипертензии. Существенное значение может иметь кровопускание 400— 500 миллилитров крови и более, которое предотвращает и судороги. Показано применение сердечных гликозидов, особенно строфантина и дигитоксина. Применение мочегонных [предпочтительнее лазикс (фуросемид) по 40— 160 миллиграмм в сутки, этакриновая кислота (урегит) 50—200 миллиграмм в сутки] в сочетании с антагонистами альдостерона при отсутствии гиперкалиемии целесообразно при выраженных отёках и артериальной гипертензии. Специальное лечение артериальной гипертензии необходимо при высоких цифрах АД, признаках сердечной недостаточности; особенно активным оно должно быть при угрозе почечной энцефалопатии. Для этого внутривенно вводят рауседил. Для достижения быстрого эффекта при отсутствии олигурии и признаков почечной недостаточности вводят внутривенно ганглиоблокаторы (пентамин) по 0,2—0,4 миллилитров 5% раствора, разведённых в 20 миллилитров 5% раствора глюкозы.

При первых признаках энцефалопатии — кровопускание (500 миллилитров и более), введение 25 миллиграмм аминазина в виде 2,5% раствора внутримышечно, осмотически активных веществ (200— 250 миллилитров 20—40% раствора глюкозы, та же доза раствора полиглюкина) в течение 20—30 минут, осмотических диуретиков (маннитол 0,5—1,5 грамм сухого вещества на 1 килограмм веса тела) внутривенно.

Спинномозговая пункция (смотри полный свод знаний) проводится при продолжающихся судорогах и амаврозе; жидкость должна извлекаться медленно во избежание ущемления мозговой ткани в большом затылочном отверстии, давление снижают до 150 миллиметров водного столба.

Гемодиализ (смотри полный свод знаний) необходим при выраженной олигурии, сопровождающейся гиперкалиемией, азотемией.

Эффективность глюкокортикоидов при остром Гломерулонефрит сомнительна. Лишь при затянувшемся течении, если ранее проводимая в течение 6—8 недель терапия была безуспешной, целесообразно проведение преднизолонотерапии (60 миллиграмм в сутки на протяжении 3—4 недель с последующим постепенным уменьшением дозировки).

При хроническом гломерулонефрите режим больного, диета и лечебный мероприятия строятся на основании анализа функции почек, активности процесса, состояния сердечно-сосудистой системы. Должны быть выявлены очаги инфекции, исключён пиелонефрит, выяснена переносимость лекарств, пищевых продуктов, влияние физических нагрузок. При назначении диеты следует учитывать, что обострения хронический Гломерулонефрит с явлениями гиперволемии, тяжёлая артериальная гипертензия, отеки почечного и почечно-сердечного генеза требуют резкого ограничения натрия в пище, а в терминальной стадии заболевания необходимо ограничивать белок, избегать избытка калия и магния и не допускать недостатка кальция в пище.

При достаточной функциональной способности почек, нормальном или легко регулируемом АД, при отсутствии гиперволемии и отёков рекомендуется обычная диета. Больной должен получать 1 —1,5 грамм белка на 1 килограмм веса, из них 2/3 — полноценного животного происхождения (яйца, мясо, молочные продукты); калорийность пищи должна соответствовать выполняемой работе и весу. Допустимо жареное мясо, тушёные овощи. Не следует употреблять много фруктовых и томатного соков из-за большого содержания в них калия. Поваренную соль при тенденции к отёкам и гипертензии ограничивают.

Противоинфекционная терапия проводится при возникновении инфекционных заболеваний, при смешанных поражениях почек (нефрит-пиелонефрит), после оперативных вмешательств, а также с профилактической целью при кортикостероидной терапии. Предпочтение отдаётся полусинтетическим производным пенициллина широкого спектра действия. Антибиотики показаны чаще в случае нефротического хронический Гломерулонефрит из-за склонности этих больных к инфекционным осложнениям, преимущественно кокковым (пневмония и другие). Широко применяются мочегонные средства, главным образом салуретики (фуросемид до 80—160 миллиграмм в сутки и более; урегит до 200 миллиграмм в сутки и более и другие) в сочетании с антагонистами альдостерона (верошпирон) и осмотическими диуретиками (полиглюкин до 250 миллилитров; маннитол по 200—400 миллилитров 10—20% раствора). Рекомендуется сывороточный альбумин по 100—200 миллилитров или плазма по 150— 200 миллилитров с различными интервалами. Необходимо контролировать уровень калия в сыворотке крови и ЭКГ в связи с калийуретическим эффектом салуретиков.

Гипотензивные средства применяют при значительном повышении АД; при этом необходимо добиваться медленного его снижения во избежание ухудшения функционального состояния почек. Целесообразно сочетание препаратов раувольфии и метилдофы (обычно в средних дозах) с салуретиками. Если снижение АД сопровождается повышением содержания креатина в плазме, следует отказаться от гипотензивных препаратов. Мочегонные средства особенно осторожно следует назначать при явлениях хронический почечной недостаточности, чтобы не нарушить водно-солевой гомеостаз и не вызвать отёка лёгкого или гиповолемического шока.

Глюкокортикоиды (стероидные гормоны) наиболее эффективны при нефротическом Гломерулонефрит с минимальным поражением клубочков и значительно менее эффективны при других клинический, формах. Чаще используется преднизолон в дозах 40—60 миллиграмм в сутки в течение 3—4 недель с постепенным снижением дозы.

Иммунодепрессанты, в первую очередь азатиоприн (имуран), в дозе 1,5—2 миллиграмм на 1 килограмм веса тела в сутки применяются в сочетании с необходимыми для предотвращения гемоцитопении дозами преднизолона (10—20 миллиграмм) в течение 2—3 и более месяцев. Они целесообразны при обострении Гломерулонефрит, резистентного к стероидным гормонам, или при наличии противопоказаний для применения больших доз глюкокортикоидов (высокое АД и другие).

Антикоагулянты наиболее широко применяются в период обострения заболевания, особенно гепарин, обладающий способностью подавлять иммунные реакции немедленного и замедленного типа. Они вводятся обычно в дозе 15—25 тысяч ЕД в сутки в течение 1—2 месяцев; возможно сочетание гепарина с глюкокортикоидами, цитостатиками. Антикоагулянты непрямого действия используются реже.

4-Аминохинолиновые препараты — делагил (резохин, хлорохин), плаквенил обладают незначительным иммунодепрессивным действием, способствуют стабилизации лизосом и препятствуют высвобождению лизосомальных ферментов. Применяются длительно (до года и более) по 0,25 грамм в сутки. Увеличение дозы может вызывать лейкопению, диспепсию, поражение роговицы и сетчатки.

Индометацин по 75—100 миллиграмм в сутки применяется при различных клинический, вариантах Гломерулонефрит в течение 1—2 и более месяцев. Иногда он вызывает отчётливое снижение протеинурии, гематурии; у части больных при ослаблении активности Гломерулонефрит снижается АД.

Антилимфоцитарная сыворотка и антилимфоцитарный глобулин пока не нашли широкого применения.

Санаторно-курортное лечение показано для больных без нарушения функциональной способности почек и без высокой артериальной гипертензии; в комплексе лечебный мероприятий оно способствует восстановлению или поддержанию трудоспособности. Рекомендуются курорты с климатом пустынь (Байрам-Али и другие), Южный берег Крыма.

.

Прогноз

Летальность при остром Гломерулонефрит обычно невелика и связана главным образом с осложнениями болезни — кровоизлиянием в мозг, острой сердечной недостаточностью, инфекционными осложнениями и тромбозами. Почечная недостаточность редко приводит к смерти.

В 50% случаев острый Гломерулонефрит переходит в хронический. Условно можно говорить о переходе острого Гломерулонефрит в хронический, если в течение года сохраняется гипертензия или отеки, или протеинурия выше 1 %, однако известны случаи выздоровления спустя 2 года от начала развития этих симптомов.

Трудоспособность больных в зависимости от формы и тяжести Гломерулонефрит восстанавливается в различные сроки, обычно через 2 мес. Необходимо остерегаться физ. нагрузок; нежелательно возвращение к профессии, связанной с охлаждением.

При своевременном лечении кортикостероидами, иммунодепрессантами, резохином больные хронический Гломерулонефрит могут выздороветь. Но индивидуальный прогноз сложен. Он определяется прогредиентностью заболевания, иммунной активностью процесса, глубиной нарушений почечного кровообращения. Наиболее часто наблюдается переход хронический Гломерулонефрит в конечную стадию со сморщиванием почек. Этот процесс может протекать как в течение нескольких лет, так и десятилетий. Особенно серьёзен прогноз при азотемии у больных с артериальной гипертензией (диастолическое давление более 120 миллиметров ртутного столба) и отёке лёгких.

.

Профилактика

Профилактика состоит в раннем и энергичном лечении стрептококковой инфекции носоглотки, придаточных пазух и кожи. Лиц, находящихся в контакте с больными, страдающими стрептококковой инфекцией, обследуют и проводят профилактическое лечение. Обязательна профилактическая санация очагов инфекции; целесообразно закаливание организма. Важно учитывать индивидуальную непереносимость лекарственных препаратов, пищевых продуктов, указания на тяжёлые прививочные реакции.

.

Гломерулонефрит у беременных

Наблюдается не более 1—2 случаев на 1000 беременных. Влияние беременности на течение Гломерулонефрит в значительной степени зависит от формы заболевания. Только при хронический Гломерулонефрит без почечной недостаточности и гипертензии беременность не вызывает обострений заболевания. Возможно, этому способствует гиперсекреция глюкокортикоидов, свойственная периоду беременности. Этим же обстоятельством объясняется отчасти и редкость острого Гломерулонефрит во время беременности. О том, что беременность не ухудшает течения Гломерулонефрит с сохранной функцией почек, свидетельствует удовлетворительное состояние женщин в отдалённые сроки после родов. Если Гломерулонефрит протекает с азотемией (смотри полный свод знаний), нарушенная функция почек во время беременности ухудшается ещё больше. В норме при беременности такие показатели функции почек, как почечный кровоток, клубочковая фильтрация, фильтрационная фракция, увеличены в первом триместре беременности и постепенно уменьшаются к концу её. У больных хронический Гломерулонефрит характер изменений этих показателей сохраняется; при обострении его значительно сниженный уровень клубочковой фильтрации и фильтрационной фракции к концу беременности становится ещё меньше и нарастает уремия (смотри полный свод знаний).

Гломерулонефрит отягощает течение беременности: часто возникает поздний токсикоз беременных (11—35%), высока перинатальная смертность (14—17%) и нередко происходит преждевременная отслойка нормально расположенной плаценты с массивной кровопотерей (смотри полный свод знаний Преждевременная отслойка плаценты), афибриногенемией, что ведет к гибели женщины и ребёнка. Частота этих осложнений зависит от формы хронический Гломерулонефрит: если заболевание сопровождается повышением АД, поздний токсикоз беременных (смотри полный свод знаний) наблюдается в 4 раза, а перинатальная смертность (смотри полный свод знаний) в 12 раз чаще, чем при нормальном АД [Фелдинг (С. F. Felding)].

Для диагностики Гломерулонефрит у беременных пользуются обычными методами, но в связи с возможностью неблагоприятного воздействия на плод ограниченно применяют рентгенологическое, ангиографические, радиоизотопные методы исследования почек, пункционную биопсию почек. Большое значение имеет микроскопическое исследование осадка мочи, определение коэффициента очищения эндогенного креатинина (смотри полный свод знаний Клиренс-тест). Для дифференциальной диагностики Гломерулонефрит с нефропатией беременных (смотри полный свод знаний) важно выявление связи с недавно перенесёнными стрептококковыми заболеваниями и сенсибилизирующими факторами (вакцинация и проч.) и обнаружение повышенных титров противострептококковых антител (антистрептолизина-0 и антигиалуронидазы).

Лечение Гломерулонефрит у беременных ограничивается назначением диеты, мочегонных, гипотензивных средств, сердечных гликозидов и прочее. Активная патогенетическая терапия Гломерулонефрит у беременных невозможна, так как применяемые для этой цели большие дозы кортикостероидов, цитостатические средства и иммунодепрессанты противопоказаны из-за их эмбриотоксического действия. Поэтому острый Гломерулонефрит и обострение хронический Гломерулонефрит являются показанием для прерывания беременности в любые сроки.

Клин, наблюдения и морфологически исследование ткани почки, полученной путём пункционной биопсии спустя несколько лет после родов, подтвердили существовавшее ранее предположение об исходе позднего токсикоза беременных в Гломерулонефрит Возможность развития Гломерулонефрит после нефропатии или эклампсии (смотри полный свод знаний) обусловлена иммунологический реакциями между плодом, плацентой и организмом беременной.

.

Гломерулонефрит у детей

В детской нефрологии Гломерулонефрит рассматривают как иммуновоспалительное заболевание, по своей иммунологический и морфологически сущности склонное к длительному течению. Наиболее распространена классификация, предложенная в 1966 год. Гломерулонефрит Н. Сперанским с соавторами Схема развёрнутого диагноза Гломерулонефрит предусматривает выделение формы и характера течения, степени активности процесса, функционального состояния почек и прочее.

У детей различают гематурическую, нефротическую и смешанную формы Гломерулонефрит с острым, хроническим (затяжным) или волнообразным течением. Кроме того, в каждой форме выделяют активную и неактивную фазы.

Типичным для клинический, картины является сочетание гипертензии, отёков и изменений мочи, степень выраженности которых варьирует при разных формах заболевания. Изменения мочи могут быть трёх видов: гематурический — характеризуется выраженной эритроцитурией при небольшой протеинурии (до 1 грамм белка в суточном количестве мочи); протеинурический — отличается большой потерей белка с мочой (3 грамм и более за сутки) при значительной цилиндрурии и микрогематурии; смешанный— отмечается протеинурия, гематурия, цилиндрурия, нередко лейкоцитурия, как правило, не связанная с инфекцией.

Гематурической форме Гломерулонефрит присуща умеренная гипертензия, нерезко выраженные отеки и гематурия, которая сохраняется и после исчезновения экстраренальных признаков заболевания. Из зева у больных в большинстве случаев высевают нефритогенные штаммы гемолитического стрептококка; в крови отмечается высокий титр антистрептококковых антител. В острый период Гломерулонефрит у детей отмечают небольшое ускорение РОЭ, диспротеинемию при нормальном содержании общего белка в сыворотке. На экскреторных урограммах либо не отмечается отклонений от нормы, либо имеется картина сдавления чашечек инфильтратом вокруг них. При гистологический изучении биопсийного материала почки обычно обнаруживается пролиферативный гломерулит. Эта форма Гломерулонефрит встречается у детей школьного, реже дошкольного возраста.

Нефротической форме Гломерулонефрит свойственны отеки, протеинурия, гипои диспротеинемия, а также гиперлипемия. При этом нередко имеются асцит, гидроторакс. В острый период заболевания РОЭ резко ускорена, отмечаются значительные нарушения электролитного баланса, вторичный гиперальдостеронизм. На экскреторных урограммах выявляется увеличение размеров почек, инфильтративный тип изменений чашечно-лоханочной системы. При биопсии почек нередко выявляют минимальные изменения клубочков, однако можно наблюдать мембранозный или мембранозно-пролиферативный гломерулит. До морфологически исследования почек заболевание расценивали как идиопатический нефроз (смотри полный свод знаний Нефротический синдром). Нефротическая форма Гломерулонефрит — основная причина нефротического синдрома у детей и, по большинству наблюдений, возникает в течение первых трёх лет жизни.

Смешанная форма Гломерулонефрит характеризуется наличием у ребёнка упорной гипертензии, отёков, стойких изменений мочи, резистентностью к терапевтическим мероприятиям, склонностью к раннему снижению функции почек. Сдвиги в показателях обмена сходны с изменениями при нефротической форме заболевания, но протеинурия обычно более умеренная. Иногда выделяемый с мочой белок по своему характеру приближается к белку крови, то есть нарушается селективность протеинурии, что говорит о тяжёлом деструктивном процессе в почках. На урограммах часто наблюдаются изменения инфильтративного типа. Гистологически определяют фибропластический гломерулит, выраженные изменения в канальцах и соединительной ткани. Смешанная форма Гломерулонефрит чаще развивается у детей старшего школьного возраста.

Острое течение Гломерулонефрит у детей характеризуется бурным началом с ярко выраженными экстраренальными проявлениями, которые могут довольно быстро исчезать под влиянием лечения. У части больных в течение 1½— 2 месяцев от начала заболевания полностью исчезают изменения в моче. Такое благоприятное циклическое течение характерно для гематурической формы Гломерулонефрит Быстро прогрессирующий злокачественный Гломерулонефрит у детей встречается редко, обычно при смешанной форме заболевания. Если экстраренальные проявления Гломерулонефрит нерезко выражены, но изменения мочи не исчезают многие месяцы, можно говорить о затяжном течении Гломерулонефрит. Для волнообразного течения характерна последовательная смена рецидивов и ремиссий. Ремиссии могут быть полными или неполными, когда при хорошем состоянии у больного сохраняются лабораторные признаки патологический процесса. Волнообразное течение, даже при своевременно начатом лечении, наиболее характерно для нефротической формы Гломерулонефрит

Когда заболевание выявлено случайно, например, при диспансерном обследовании, и не имеет экстраренальных проявлений, проводится тщательное клиническийико-лабораторное, рентгенологическое, урологический и морфологически (биопсия) исследование для исключения наследственных и врождённых нефропатий.

Активность патологический процесса у ребёнка определяется степенью выраженности гипертензии, отёков, изменений мочи и характером обменных нарушений. О неактивном процессе можно говорить при нормализации мочи, основных видов обмена и иммунологический показателей.

Гломерулонефрит в детском возрасте редко заканчивается терминальной стадией почечной недостаточности. При остро протекающем Гломерулонефрит у детей довольно рано отмечается извращение суточного ритма фильтрации. Расстройства функции почечных канальцев присоединяются позднее при прогрессировании заболевания или в раннем периоде Гломерулонефрит, протекающего с тубулоинтерстициальным компонентом.

Дети с Гломерулонефрит нуждаются в последовательном лечении: в стационаре, поликлинике, местном нефрологический санатории. Постельный режим необходим в течение 3—4 недель от начала острых проявлений заболевания. В дальнейшем режим определяется выраженностью экстраренальных проявлений. Детям, в отличие от взрослых, при лечении Гломерулонефрит нецелесообразно длительно ограничивать белок в пище. В первые дни следует уменьшать соль, исключать хлориды и ограничивать содержание белка; при благоприятно развивающемся процессе рекомендуется расширить диету за счёт прибавления белка животного происхождения. При гематурической форме Гломерулонефрит назначаются препараты кальция, витамины С, РР. При нефротической и смешанной формах необходимы также витамины A, D, В6 и В15. Антибактериальная терапия проводится всем детям с Гломерулонефрит: в острый период заболевания не менее 1—1½ мес. применяют антибиотики, подавляющие рост нефритогенных штаммов стрептококка. Обязательна санация полости рта (смотри полный свод знаний). При наличии хронический тонзиллита в период ремиссии осуществляют тонзиллэктомии) на фоне антибактериальной и антигистаминной терапии (смотри полный свод знаний Тонзиллит). Преднизолон назначают при нефротической форме Гломерулонефрит в дозе 1,5—2 миллиграмм, а в некоторых случаях до 4 миллиграмм на 1 килограмм веса в сутки на протяжении 3—4 недель с постепенным переходом при развитии ремиссии на поддерживающую терапию прерывистым курсом. Кроме стероидов, применяются цитостатики (лейкеран, циклофосфамид), реже азатиоприн, 6-меркаптопурин, препараты 4-аминохинолинового ряда (резохин и его аналоги). Используются также гепарин и индометацин. Анаболические стероидные препараты (неробол, ретаболил) назначают детям очень редко и только при стихании острых явлений.

При значительных отёках необходимы антагонисты альдостерона в дозе до 5—20 миллиграмм на 1 килограмм веса ребёнка, при выраженной гипертензии применяют резерпин и его комбинации с допегитом, изобарином. Отсутствие гипотензивного эффекта даёт основание предположить аномальное строение почечных сосудов либо почечную дисплазию. Гормонорезистентный нефротический синдром может быть проявлением сочетания двух заболеваний — Гломерулонефрит и пиелонефрита (смотри полный свод знаний). Смешанную форму Гломерулонефрит следует дифференцировать с почечным синдромом при системной красной волчанке (смотри полный свод знаний) и болезни Шенлейна — Геноха (смотри полный свод знаний Шенлейна — Геноха болезнь). В случае торпидно протекающих нефропатий необходимо исключить наследственные заболевания почек. В частности, наследственный нефрит (смотри полный свод знаний) нередко напоминает гематурическую форму диффузного Гломерулонефрит Прогноз и профилактика Гломерулонефрит у детей принципиально такие же, как и у взрослых.

Игнатова М.С.; Серов В.В.; Сура В.В.; Тареев Е.М.; Шехтман М.М.

⇐ Перейти на главную страницу сайта

⇑ Вернуться в начало страницы ⇑

Библиотека Ordo Deus ⇒

⇐ Глицинурия

⇓ Полный свод знаний. Том первый А. ⇓

Гломерулосклероз диабетический ⇒

Все статьи в полном изложении, Вы можете найти в большой медицинской энциклопедии — Главный редактор: академик АН СССР (РАН) и АМН СССР (РАМН) Б.В. Петровский. — Москва издательство «Советская энциклопедия» 1989г.

Внимание! Вы находитесь в библиотеке «Ordo Deus». Все книги в электронном варианте, содержащиеся в библиотеке «Ordo Deus», принадлежат их законным владельцам (авторам, переводчикам, издательствам). Все книги и статьи взяты из открытых источников и размещаются здесь только для чтения.

Библиотека «Ordo Deus» не преследует никакой коммерческой выгоды.

Все авторские права сохраняются за правообладателями. Если Вы являетесь автором данного документа и хотите дополнить его или изменить, уточнить реквизиты автора, опубликовать другие документы или возможно вы не желаете, чтобы какой-то из ваших материалов находился в библиотеке, пожалуйста, свяжитесь с нами по e-mail:
info @ ordodeus. ru
Формы для прямой связи с нами находятся в нижней части страниц: контакты и устав «Ordo Deus», для перехода на эти страницы воспользуйтесь кнопкой контакты вверху страницы или ссылкой в оглавлении сайта.

Вас категорически не устраивает перспектива безвозвратно исчезнуть из этого мира? Вы не желаете закончить свой жизненный путь в виде омерзительной гниющей органической массы пожираемой копошащимися в ней могильными червями? Вы желаете вернувшись в молодость прожить ещё одну жизнь? Начать всё заново? Исправить совершённые ошибки? Осуществить несбывшиеся мечты? Перейдите по ссылке: «главная страница».

© Ordo Deus, 2010. При копировании ссылка на сайт http://www.ordo-deus.ru обязательна.