Гибернома

Оглавление

  1. Дорога к бессмертию
  2. Бессмертие и религия
  3. Философия бессмертия
  4. Бессмертие и наука
  5. История анабиоза
  6. Смерть
  7. Кора головного мозга
  8. Бессмертие и анабиоз
  9. Анабиоз, медицина и биология
  10. Анабиоз и экономика
  11. Анабиоз и закон
  12. Анабиоз в Антарктиде
  13. Техническое обеспечение анабиоза
  14. Бессмертие и вера
  15. Библиотека Ordo Deus
  16. Контактная страница Ordo Deus

Гибернома

Гибернома (hibernoma; латинское hi- bernus зимний + oma) — редкая разновидность опухоли жировой ткани; термин предложен на основании сходства опухоли с бурым жиром животных, впадающих в зимнюю спячку. Описаны доброкачественные и злокачественные Гибернома жирными кислотами, фосфо- и гликолипидами). Встречаются также обычные жировые клетки. Доброкачественную Гибернома следует дифференцировать с ксантомой (смотри), миобластомой зернистоклеточной (смотри).

О генезе Гибернома имеются противоречивые мнения. Некоторые авторы её источником считают обычную эмбриональную жировую ткань. Другие полагают, что Гибернома развивается из остатков бурой жировой ткани, которая имеется на только у животных (впадающих зимой в спячку), но и у эмбриона человека, а в виде незначительных скоплений — у взрослых людей. Сопоставление локализаций, морфологически особенностей, химических состава бурого жира и Гибернома подтверждает второе мнение.

Доброкачественная Гибернома (синонимы: бурая липома, липома из липобластов и другие) локализуется в межмышечных прослойках подмышечной ямки, шеи, межлопаточной области; встречается также в средостении, реже на конечностях. Обычно возникает в молодом или среднем возрасте, одинаково часто у мужчин и женщин. Клинически Гибернома не отличается от липомы (смотри). Гибернома — опухоль мягкой консистенции, подвижна, не спаяна с кожей, растёт медленно.



Информация об Ordo Deus Перейти в оглавление сайта

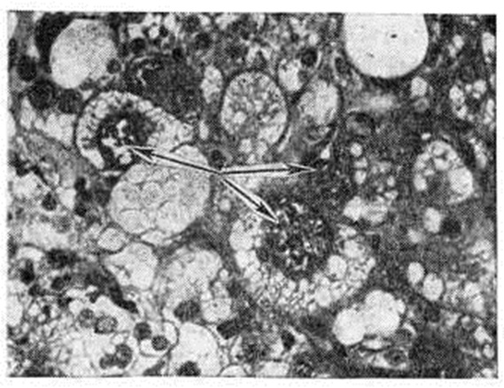
Рисунок 1.
Микроскопическая картина доброкачественной гиберномы: крупные клетки с чёткими границами и центрально расположенным ядром (указаны стрелками).



На разрезе опухоль буроватого цвета с чёткими очертаниями, дольчатого строения. Микроскопически состоит из крупных округлых или полигональных клеток с чёткими границами и центрально расположенными ядрами (рисунок 1). Клетки группируются в ячейки или дольки окружённые нежной стромой. Различают два вида клеток: одни с гомогенной, окрашивающейся в тёмно-розовый цвет цитоплазмой, содержащей небольшое количество жира, другие — мелкозернистые или пенистые, перегруженные липидами (нейтральным жиром, холестерином.

Злокачественная Гибернома выделена из группы липосарком (смотри), отличается от них более длительным течением, реже метастазирует. Локализация её, возраст и пол больных те же, что и при доброкачественных Гибернома Опухоль дольчатого вида буроватого цвета, нередко с изъязвлением и очагами некроза. Микроскопически отмечается выраженный полиморфизм клеток (рисунок 2), характерны гигантские многоядерные клетки, содержащие в цитоплазме мелкокапельный жир (уродливые «тутовые» клетки). Нередко встречаются участки, напоминающие липосаркому, полиморфноклеточную саркому, рабдомиобластому. Злокачественные Гибернома следует дифференцировать с липосаркомой, метастазом гипернефроидного рака, рабдомиосаркомой.



Информация об Ordo Deus Перейти в оглавление сайта

Рисунок 2.
Микроскопическая картина злокачественной гиберномы: полиморфизм клеток, содержащих жировые включения в протоплазме (указаны стрелками).



Гибернома удаляют оперативным путём; рентгенотерапия малоэффективна.

Результаты лечения зависят от формы Гибернома. При доброкачественной форме прогноз благоприятный.

Смотри также Опухоли.

Апатенко А.К.

⇐ Перейти на главную страницу сайта

⇑ Вернуться в начало страницы ⇑

Библиотека Ordo Deus ⇒

⇐ Гиалиноз

⇓ Полный свод знаний. Том первый А. ⇓

Гигантизм ⇒

Все статьи в полном изложении, Вы можете найти в большой медицинской энциклопедии — Главный редактор: академик АН СССР (РАН) и АМН СССР (РАМН) Б.В. Петровский. — Москва издательство «Советская энциклопедия» 1989г.

Внимание! Вы находитесь в библиотеке «Ordo Deus». Все книги в электронном варианте, содержащиеся в библиотеке «Ordo Deus», принадлежат их законным владельцам (авторам, переводчикам, издательствам). Все книги и статьи взяты из открытых источников и размещаются здесь только для чтения.

Библиотека «Ordo Deus» не преследует никакой коммерческой выгоды.

Все авторские права сохраняются за правообладателями. Если Вы являетесь автором данного документа и хотите дополнить его или изменить, уточнить реквизиты автора, опубликовать другие документы или возможно вы не желаете, чтобы какой-то из ваших материалов находился в библиотеке, пожалуйста, свяжитесь с нами по e-mail:
info @ ordodeus. ru
Формы для прямой связи с нами находятся в нижней части страниц: контакты и устав «Ordo Deus», для перехода на эти страницы воспользуйтесь кнопкой контакты вверху страницы или ссылкой в оглавлении сайта.

Вас категорически не устраивает перспектива безвозвратно исчезнуть из этого мира? Вы не желаете закончить свой жизненный путь в виде омерзительной гниющей органической массы пожираемой копошащимися в ней могильными червями? Вы желаете вернувшись в молодость прожить ещё одну жизнь? Начать всё заново? Исправить совершённые ошибки? Осуществить несбывшиеся мечты? Перейдите по ссылке: «главная страница».

© Ordo Deus, 2010. При копировании ссылка на сайт http://www.ordo-deus.ru обязательна.