Оглавление
-
Дорога к бессмертию
-
Бессмертие и религия
-
Философия бессмертия
-
Бессмертие и наука
-
История анабиоза
-
Смерть
-
Кора головного мозга
-
Бессмертие и анабиоз
-
Анабиоз, медицина и биология
-
Анабиоз и экономика
-
Анабиоз и закон
-
Анабиоз в Антарктиде
-
Техническое обеспечение анабиоза
-
Бессмертие и вера
-
Библиотека Ordo Deus
-
Контактная страница Ordo Deus
|
Гиалиноз
Гиалиноз (hyalinosis; греческий hyalinos прозрачный, стекловидный + -osis; синонимы: гиалиновое перерождение, гиалиновая дистрофия) — один из видов белковой внеклеточной дистрофии, при которой в ткани образуются однородные полупрозрачные плотные массы, напоминающие гиалиновый хрящ.
Гиалиноз может явиться проявлением общих нарушений белкового обмена, однако чаще всего это местный очаговый или же системный (в сосудах) дистрофический процесс; Гиалиноз проявляется как в физиол., так и в патологический условиях.
Понятие «гиалиноз» объединяет различные по происхождению, механизму развития и биол. сущности процессы. Основное в развитии гиалиноз — деструкция волокнистых структур соединительной ткани и повышение тканево-сосудистой проницаемости в связи с ангионевротическими (дисциркуляторными), метаболическими, воспалительными и иммунопатологический процессами (смотри Плазморрагия). В результате нарушения проницаемости происходит пропитывание ткани плазменными белками и адсорбция их неизменённых волокнистых структур с последующей преципитацией. Образующийся гиалин имеет различный, в зависимости от характера заболевания, хим. состав (например., гиалин при диабетической микроангиопатии и гиалин при так называемый иммунокомплексных заболеваниях).
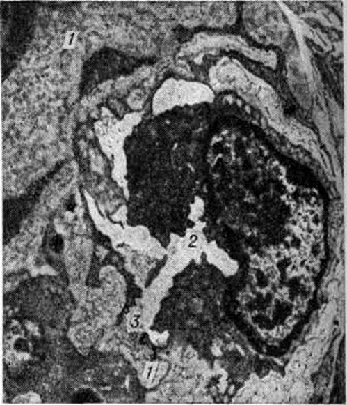
Гиалиноз относится к внеклеточным (мезенхимальным) диспротеинозам. Появление в цитоплазме гиалиновых капель (гиалиново-капельная дистрофия) или шаров (гиалиновые шары) не связано с Гиалиноз. Гиалин является фибриллярным белком (рисунок 1), в построении которого принимают участие плазменные белки, в частности фибрин. При иммуно-гистохимические исследовании в гиалине обнаруживают не только фибрин, но и компоненты иммунных комплексов (иммунные глобулины, фракции комплемента). Гиалиновые массы стойки к действию кислот, щелочей, ферментов, хорошо окрашиваются кислыми красками (эозин, кислый фуксин), пикрофуксином красятся в жёлтый или красный цвет; в массах гиалина могут откладываться липиды, соли кальция. Внешний вид органов и тканей при Гиалиноз зависит от стадии процесса; чаще Гиалиноз ничем не проявляется и обнаруживается лишь при микроскопическом исследовании. В тех случаях, когда процесс выражен резко, ткани становятся бледными, плотными, полупрозрачными. Гиалиноз, в частности артериол, может привести к деформации и сморщиванию органов (например, развитие артериолосклеротического нефроцирроза, клапанного порока сердца).
|
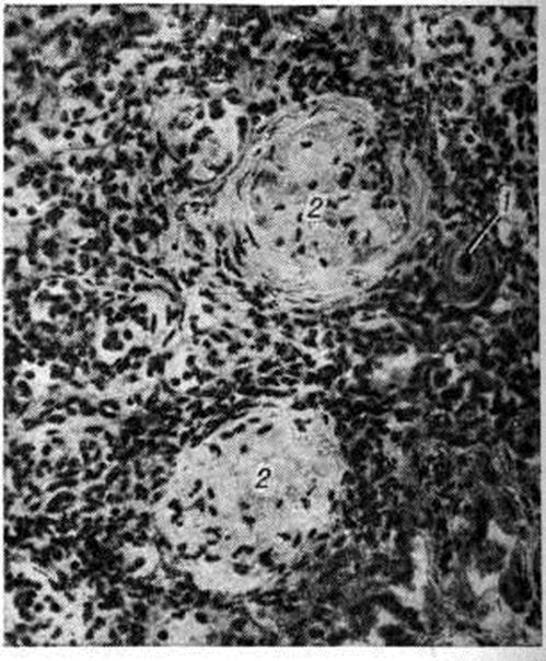
Гиалиноз наблюдается в соединительной ткани, строме органов и стенке сосудов (рисунок 2) в исходе плазматического пропитывания, фибриноидного набухания, склероза, хронический воспаления, некроза. В исходе плазматического пропитывания возникает Гиалиноз сосудов, чаще в артериальной системе. Наиболее распространён Гиалиноз мелких артерий и артериол (смотри Артериолосклероз). Гиалиноз артериол возникает в результате повреждения эндотелия, аргирофильных мембран и гладкомышечных волокон и пропитывания стенок сосуда белками плазмы крови, которые затем подвергаются ферментативным воздействиям, коагулируются и уплотняются, превращаясь в гиалиноподобное плотное вещество. Гиалиновые массы оттесняют кнаружи и разрушают эластическую пластинку, что ведёт к истончению средней оболочки; в результате артериолы превращаются в утолщённые плотные трубочки с резко суженным или полностью закрытым просветом. Гиалиноз мелких артерий и артериол, носящий системный характер, но наиболее выраженный в почках (рисунок 3 и 4), головном мозге, сетчатке глаза, поджелудочной железе, коже (рисунок 5), особенно характерен для гипертонической болезни (гипертонический артериологиалиноз). Нередко системный Гиалиноз артериол и мелких артерий наблюдается при хронический васкулярном гломерулонефрите и симптоматической артериальной гипертензии любого генеза. Распространённый Гиалиноз артерий эластического и эластическо-мышечного типов постоянно наблюдается при атеросклерозе, диабете и отражает процессы плазморрагии и инсудации, характерные для этих заболеваний. Местный Гиалиноз артерий как физиологическое явление встречается в селезёнке взрослых и пожилых людей, отражая функционально-морфологически особенности селезёнки как органа депонирования крови.
В исходе фибриноидного набухания, ведущего к деструкции коллагена и пропитыванию ткани плазменными белками и полисахаридами, соединительнотканные пучки разбухают, теряют фибриллярность и сливаются в однородную плотную хрящеподобную массу; клеточные элементы сдавливаются и подвергаются атрофии. Подобный механизм развития Гиалиноз собственно соединительной ткани и сосудистой стенки особенно часто наблюдается при заболеваниях с иммунными нарушениями. Так, системный Гиалиноз соединительной ткани и стенок сосудов выражен при коллагеновых болезнях: Гиалиноз клапанов сердца, стромы миокарда — при ревматизме, Гиалиноз синовиальных оболочек — при ревматоидном артрите, Гиалиноз кожи — при склеродермии, Гиалиноз стенок сосудов — при узелковом артериите и системной красной волчанке. Таков же механизм распространённого Гиалиноз почечных клубочков при иммунокомплексном гломерулонефрите. В этих случаях гиалин строится на иммунных комплексах, что подтверждает роль иммунологический механизмов в развитии Гиалиноз. Местный Гиалиноз может завершать фибриноидные изменения в дне хронический язвы желудка, в ткани червеобразного отростка при аппендиците, а также в очаге хронический воспаления.
Гиалиноз в исходе склероза имеет в основном местный характер. Таков Гиалиноз в рубцах (рисунок 6), фиброзных спайках серозных полостей, Гиалиноз сосудистой стенки при атеросклерозе, инволюционном склерозе артерий, при организации тромба, Гиалиноз капсулы, окружающей какой-либо патологический очаг, стромы опухоли. В основе Гиалиноз в этих случаях лежат местные метаболические нарушения соединительной ткани; подобный механизм имеет Гиалиноз некротизированных тканей, фибринозных наложений и других органических субстанций.
В большинстве случаев процесс необратим, но возможно и рассасывание гиалиновых масс. Так, гиалин в рубцах, так называемый келоидах (смотри), может подвергаться разрыхлению и рассасыванию. Обратим Гиалиноз молочной железы, причём рассасывание гиалиновых масс происходит в условиях гиперфункции железы. В ряде случаев гиалинизированная ткань ослизняется.
Функциональное значение Гиалиноз различно в зависимости от локализации, степени и распространённости процесса. Например, Гиалиноз в небольших кожных рубцах обычно не вызывает особых расстройств. Распространённый же Гиалиноз ведёт к значительным функциональным нарушениям, как это наблюдается, например, при ревматизме, склеродермии, гипертонической болезни, диабете.
|
Все статьи в полном изложении, Вы можете найти в большой медицинской энциклопедии — Главный редактор: академик АН СССР (РАН) и АМН СССР (РАМН) Б.В. Петровский. — Москва издательство «Советская энциклопедия» 1989г.
|
|
Внимание! Вы находитесь в библиотеке «Ordo Deus». Все книги в электронном варианте, содержащиеся в библиотеке «Ordo Deus», принадлежат их законным владельцам (авторам, переводчикам, издательствам). Все книги и статьи взяты из открытых источников и размещаются здесь только для чтения.
|
|
Библиотека «Ordo Deus» не преследует никакой коммерческой выгоды.
|
|
Все авторские права сохраняются за правообладателями. Если Вы являетесь автором данного документа и хотите дополнить его или изменить, уточнить реквизиты автора, опубликовать другие документы или возможно вы не желаете, чтобы какой-то из ваших материалов находился в библиотеке, пожалуйста, свяжитесь с нами по e-mail: info @ ordodeus. ru Формы для прямой связи с нами находятся в нижней части страниц: контакты и устав «Ordo Deus», для перехода на эти страницы воспользуйтесь кнопкой контакты вверху страницы или ссылкой в оглавлении сайта.
|
Вас категорически не устраивает перспектива безвозвратно исчезнуть из этого мира? Вы не желаете закончить свой жизненный путь в виде омерзительной гниющей органической массы пожираемой копошащимися в ней могильными червями? Вы желаете вернувшись в молодость прожить ещё одну жизнь? Начать всё заново? Исправить совершённые ошибки? Осуществить несбывшиеся мечты? Перейдите по ссылке:
«главная страница».
|