Артриты

Оглавление

  1. Дорога к бессмертию
  2. Бессмертие и религия
  3. Философия бессмертия
  4. Бессмертие и наука
  5. История анабиоза
  6. Смерть
  7. Кора головного мозга
  8. Бессмертие и анабиоз
  9. Анабиоз, медицина и биология
  10. Анабиоз и экономика
  11. Анабиоз и закон
  12. Анабиоз в Антарктиде
  13. Техническое обеспечение анабиоза
  14. Бессмертие и вера
  15. Библиотека Ordo Deus
  16. Контактная страница Ordo Deus

Артриты

Артриты (arthritis, единственное число; греческое arthron сустав + -itis) — воспалительные заболевания суставов. Термин «артрит», введенный еще Гиппократом, в последующие столетия использовали для обозначения любой суставной патологии. Начиная с 16 в. стали постепенно выделять отдельные нозологические формы артритов.

Оглавление

1 — Общие сведения об артритах

2 — Классификация

3 — Этиология и патогенез

4 — Патологическая анатомия

5 — Клиническая картина

6 — Диагноз

7 — Прогноз

8 — Лечение

9 — Самостоятельные нозологические формы артритов

10 — Артриты, связанные с другими заболеваниями

11 — Острый гнойный артрит

12 — Артриты у детей

Так, Байю (G. de Baillou) выделил среди артритов ревматизм. В 17 в. Сиденгам (Т. Sydenham) описал как самостоятельные нозологические формы подагру и ревматоидный артрит. Несколько десятилетий спустя инфекционные специфические артриты были объединены Бушаром (С. J. Bouchard) под общим названием «инфекционный псевдоревматизм». В 19 в. Мюллер (F. Muller), сделав первую попытку классифицировать патологию суставов, четко отграничил воспалительные заболевания суставов (артриты) от дистрофических (артрозов). Это подразделение сохраняет свое значение и по настоящее, время.

1 — Общие сведения об артритах

2 — Классификация

Согласно отечественной рабочей классификации, принятой первым Всесоюзным съездом ревматологов в 1971 г., выделяют две основные группы артритов: 1) артрит ы— самостоятельные нозологические формы; 2) артриты, связанные с другими заболеваниями.

К самостоятельным нозологическим формам относятся: ревматоидный артрит, ревматический полиартрит (болезнь Сокольского — Буйо), анкилозирующий спондило-артрит (болезнь Бехтерева), инфекционные специфические артриты (гонорейный, туберкулезный, дизентерийный, вирусный и другие), инфекционно-аллергический полиартрит (включая палиндромный ревматизм и перемежающуюся водянку сустава), псориатический полиартрит, болезнь Рейтера.

К артритам при других заболеваниях отнесены: артриты при аллергических заболеваниях, диффузных заболеваниях соединительной ткани, метаболических нарушениях (подагра и другие), заболеваниях легких, крови, пищеварительного тракта, саркоидозе, злокачественных опухолях и некоторых синдромных заболеваниях.

Кроме двух основных групп, в отдельную группу выделены травматические артриты (вследствие особенностей их возникновения и лечения).

В последние годы уточнена нозологическая принадлежность многих форм суставной патологии. В частности, установлено, что так называемый обменный полиартрит, климактерический и микротравматический артрит по своей сущности являются не воспалительными, а дистрофическими заболеваниями суставов и должны быть отнесены не к артритам, а к деформирующему остеоартрозу (смотри Артрозы).

Причиной развития воспалительного процесса в суставе может быть местная или общая инфекция, аллергия, аутоаллергия, местная травма и другое. Однако этиология некоторых тяжелых воспалительных суставных заболеваний (например, ревматоидный артрит, анкилозирующий спондилоартрит и другие) до сих пор недостаточно ясна. Факторами, способствующими развитию артрита, являются переохлаждение, физическая перегрузка сустава.

Патогенез артритов сложен и многообразен. Особенности структуры суставных тканей — хорошая васкуляризация синовиальной оболочки и наличие многочисленных нервных окончаний — обусловливают способность суставов быстро отвечать воспалительной реакцией на различные прямые и опосредованные воздействия.

3 — Этиология и патогенез

При инфекционных специфических артритах возможен бактериально-метастатический и токсико-аллергический путь поражения суставов. В первом случае возбудитель болезни гематогенным или лимфатическим путем заносится непосредственно в полость сустава и может быть обнаружен в синовиальной жидкости. Это наблюдается при туберкулезных, септических, гонорейных и других специфических артритах. Поражение суставов в таких случаях наиболее тяжелое, с пролиферативными и деструктивными явлениями в тканях. Иногда имеет место токсико-аллергический механизм развития инфекционных артритов, когда воздействие микробных токсинов вызывает при наличии повышенной чувствительности суставных тканей развитие аллергического синовита. Последний под влиянием лечения исчезает обычно без остаточных явлений (синовит при туберкулезном артрите, аллергическая форма гонорейного, дизентерийного, бруцеллезного и других инфекционных артритов).

Менее изучен патогенез так называемых неспецифических артритов, к числу которых относятся такие широко распространенные заболевания, как ревматоидный артрит, анкилозирующий спондилоартрит, псориатический полиартрит и другие. Участие инфекции в их происхождении до настоящего, времени остается недоказанным.

Согласно современным представлениям важнейшим патогенетическим фактором этих артритов. является изменение общей и тканевой реактивности организма, развитие аллергии и аутоаллергии.

Предполагается, что под влиянием еще неизвестного первичного аллергена, возможно, исходящего из очага хронической инфекции, происходит стимуляция иммунокомпетентных лимфоидных клеток. На последующих этапах образуется измененный 7S гамма-глобулин, обладающий свойствами аутоантигена. По отношению к нему вырабатываются ауто-антитела, к которым относится и так называемый ревматоидный фактор (19S иммуноглобулин, обнаруженный в крови у 80—90% больных ревматоидным артритом). В дальнейшем происходит постоянное воспроизведение реакции аутоантиген — аутоантитело. Образование патологических иммунных комплексов происходит главным образом в синовиальной оболочке.

Такой механизм развития неспецифических артритов не является полностью доказанным и относится в основном к ревматоидному артриту, но наличие иммунных сдвигов при ряде неспецифических артритов в наст, время не вызывает сомнений. Это подтверждается наличием в сыворотке больных ревматоидным артритом аутоантител к суставным тканям и ревматоидного фактора, а также выявлением у больных неспецифическими артритами пролиферации лимфоидных и плазматических клеток синовиальной оболочки с образованием множественных клеточных инфильтратов.

В механизме развития синовиального воспаления при неспецифических артритах в настоящее время большая роль отводится фагоцитозу образовавшихся иммунных комплексов лейкоцитами синовиальной жидкости. Установлено, что при этом происходит повреждение лейкоцитов, сопровождающееся выходом из их лизосом протеолитических ферментов, поддерживающих воспалительную реакцию в суставе.

В клинической картине артритов имеются признаки, указывающие на то, что в развитии заболевания играют роль сдвиги со стороны нервной системы и особенно ее вегетативной части (симметричность поражения суставов, нарушение трофики мышц, костей, кожи, нарушение потоотделения, сосудистого тонуса и так далее). Однако конкретно роль нервной системы в патогенезе артритов пока не ясна. Также недостаточно изучена роль эндокринных нарушений. Гипотеза Селье (Н. Selye), придающая основное значение в патогенезе ряда неспецифических артритов нарушению гормональной регуляции гомеостаза, не получила прямого подтверждения. Однако роль эндокринных нарушений в формировании общей патологической реактивности организма, предрасполагающей к заболеванию суставов, не вызывает сомнений. Подтверждением этому является частое развитие (или обострение) неспецифических артритов (например, ревматоидного) у женщин в период менопаузы.

4 — Патологическая анатомия

Патологоанатомические изменения при артритах определяются его нозологическими особенностями и зависят от остроты и продолжительности процесса, а также от глубины поражения. В воспалительный процесс могут быть вовлечены все элементы, формирующие сустав (кости, хрящи, синовиальные оболочки, связки, суставная жидкость и тому подобное), однако в большинстве случаев заболевание начинается с экссудативного синовита (синовиоартрита).

По характеру экссудата различают серозный, серозно-фибринозный, гнойный, гнилостный артрит. Серозный и серозно-фибринозный экссудат наблюдается часто при инфекционных специфических артритах, а также при ревматическом и ревматоидном артрите.

Клинико-морфологически различают острые, подострые и хронические формы серозного и серозно-фибринозного артрита, которые в то же время могут быть последовательными фазами развития болезни. Макроскопически в острой фазе находят отек и гиперемию синовиальной оболочки, капсулы и периартикулярных тканей, увеличение количества и помутнение суставной жидкости. Суставной хрящ, как правило, не изменен. Микроскопически в суставной жидкости обнаруживают сгустки фибрина, полинуклеары и лимфоидные элементы. Бактериологическое исследование экссудата обычно показывает его стерильность, что дает основание говорить о токсико-аллергической природе серозного артрита.

Информация об Ordo Deus Перейти в оглавление сайта

Рис. 1.
Гипертрофия ворсин синовиальной оболочки при артрите; ×30.

В синовиальной оболочке наряду с гиперемией и отеком микроскопически обнаруживают пролиферацию и десквамацию покровных синовиоцитов, гипертрофию ворсин (рис. 1), пленки фибрина на поверхности, очаги фибриноидного набухания, диффузные инфильтраты, преимущественно из лимфо-гистиоцитарных элементов и единичных плазматических клеток. Наблюдается также разволокнение и фибриноидное набухание стенок мелких артерий и вен не только синовиальной оболочки, но и капсулы сустава и периартикулярных тканей. В воспалительный процесс вовлекаются нервы и чувствительные нервные окончания, что обусловливает резкую болезненность сустава. Суставной хрящ микроскопически не изменен. Может быть остеопороз эпифизарных отделов костей.

В подострой фазе отмечается стихание альтеративно-экссудативных явлений, и при микроскопии на первый план выступает пролиферация элементов соединительной ткани. На внутренней поверхности синовиальной оболочки, лишенной покровных синовиоцитов, формируются своеобразные «клеточные подушки», представленные 10—20 слоями фибробластов.

По мере созревания соединительной ткани процесс переходит в хроническую фазу. Образуются грубые рубцы, которые приводят к сморщиванию капсулы, связок и параартикулярных образований (сухожилия, фасции, апоневрозы), что значительно ограничивает подвижность суставов.

Клеточный состав экссудата в подострой и хронической фазе представлен как нейтрофильными, так и лимфоидными элементами.

При микроскопии суставного хряща наблюдается его разволокнение, очаги некроза с образованием дефектов хрящевого покрытия и узурированием кости. Дефекты хряща замещаются грануляционной тканью, наползающей на суставную поверхность в виде различной толщины пленки (паннуса) — паннозный артрит. (рис. 2 и 3).

Однако такая последовательность развития изменений хряща не всегда имеет место. Установлено, что при ревматоидном артрите явления дезорганизации основного вещества хряща со снижением содержания кислых мукополисахаридов наблюдаются уже в начальном периоде артрита. Дистрофия хондроцитов развивается постепенно вследствие ухудшения трофики, связанного с уплотнением и распадом основного вещества. Электронномикроскопически в хондроцитах наблюдается редукция митохондрий и эндоплазматического ретикулума, увеличение количества лизосом, По-видимому, и при специфическом артрите. суставной Хрящ в силу лабильности в отношении обменных нарушений повреждается в начале заболевания.

При паннозном артрите в субхондральных отделах кости наблюдается перестройка, сопровождающаяся разрастанием эндоста и формированием кист. Отмечается дальнейшее развитие остеопороза. Реже регистрируется уплотнение (эбурнеация) субхондральных отделов; нередко возникают краевые костные разрастания, характерные для деформирующего артроза. Эндостальные разрастания проникают в полость сустава с развитием в ней костной ткани. В исходе хронических форм серозного и серозно-фибринозного артрита могут образовываться фиброзные и костные анкилозы, чему способствует обездвиженность сустава, обусловленная резкой болезненностью.

При гнойном воспалении суставов морфологически может быть: 1) гнойный синовит, или эмпиема; 2) флегмона капсулы; 3) гнойный панартртп. В начальных стадиях гнойного синовита экссудат может быть прозрачным, однако вскоре он становится гнойным или гнойно-геморрагическим. При наличии анаэробной и гнилостной флоры в нем могут образоваться пузырьки газа (гнилостный артрит). Микроскопически в синовиальной оболочке от- мечается лейкоцитарная инфильтрация, очаги некроза и развитие грануляционной ткани, наползающей в виде паннуса на суставной хрящ (рис. 4). В суставном хряще очень рано обнаруживаются участки дистрофии и некроза. В дальнейшем развивается некроз и секвестрация значительных участков хряща, а при травматических артритах — даже целиком всей костно-хрящевой пластинки. Хрящевые секвестры вначале образуются в зоне контакта с воспаленной синовиальной оболочкой и паннусом, что связывают с протеолитическим действием лейкоцитов и абсорбционными свойствами грануляционной ткани.

Информация об Ordo Deus Перейти в оглавление сайта

Рис. 2.
Очаговая дистрофия гиалинового суставного хряща с замещением дефекта грануляционной тканью в виде паннуса (на поверхности препарата) при артрите. Окраска гематоксилин-эозином; ×70.

Информация об Ordo Deus Перейти в оглавление сайта

Рис. 3.
Воспалительные инфильтраты в грануляционной ткани паннуса при артрите (верхняя часть рисунка). Окраска гематоксилин-эозином; × 70.

Информация об Ordo Deus Перейти в оглавление сайта

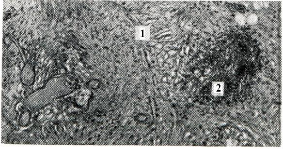
Рис. 4.
Замещение суставного хряща фиброзной (1) тканью при гнойном артрите; очаговые воспалительные инфильтраты (2) Окраска гематоксилин-эозином; × 70.

Флегмона капсулы является следствием прогрессировать гнойного синовита и сопровождается резкими изменениями конфигурации сустава в связи с отечностью и гнойной инфильтрацией тканей. В результате дальнейшего распространения воспаления на окружающие сустав ткани развивается гнойный панартрит, сопровождающийся значительными разрушениями хряща, внутрисуставных связок и эпифизов костей. В последующем может развиться параартикулярная флегмона, тромбофлебит, сепсис. В исходе гнойного артрита часто возникают фиброзные и костные анкилозы.

5 — Клиническая картина

Течение артрита может быть острым, подострым и хроническим. Общая клиническая симптоматика — боль суставах, деформация их, нарушение функции, изменение температуры и окраски их кожных покровов.

Боль при артрите носит спонтанный характер, наиболее интенсивна во вторую половину ночи и утром, уменьшается после движения (так называемые воспалительный тип боли).

Деформация сустава является следствием изменения мягких тканей (экссудативные, пролиферативные и склеротические процессы), подвывихов и контрактур.

Нарушение функции сустава может быть обусловлено как болью, так и морфологическими изменениями суставных тканей. Оно бывает выражено в различной степени — от легкой, не лишающей больных трудоспособности, до полной неподвижности сустава вследствие фиброзного или костного анкилоза, При острых артритах ограничение подвижности обычно носит обратимый характер. Для хронических форм характерно прогрессирующее ограничение подвижности, вначале обусловленное болью, затем развитием пролиферативного и фиброзного процессов. В редких случаях вследствие остеолитических процессов, подвывихов, наоборот, отмечается развитие патологической подвижности сустава.

Изменение температуры кожных покровов сустава — довольно частый симптом артрита. Повышение температуры может отмечаться при острых, подострых артритов и обострении хронических; возможна сопутствующая гиперемия кожи. Понижение температуры наблюдается при нейро-дистрофических артритов, в этих же случаях отмечается цианотичность кожных покровов.

Больные обычно жалуются на боли, изменение формы и ограничение подвижности суставов. Характер жалоб может указывать на наличие в суставе воспалительного процесса (сильная спонтанная боль, прогрессирующее ухудшение функции сустава, быстро возникшая деформация и другое).

При остром артрите боль в суставе обычно очень сильная и постоянная. Характерно значительное болевое ограничение функции сустава. При осмотре может наблюдаться гиперемия кожных покровов, увеличение сустава в размере и его дефигурация. Пальпация устанавливает разлитую резкую болезненность, флюктуацию вследствие наличия выпота в суставной полости, отечность периартикулярных тканей. Подвижность резко ограничена. В крови выявляется лейкоцитоз (иногда до 25 000), значительное ускорение РОЭ (до 70 мм/час), резкие сдвиги биохимических показателей, указывающие на наличие острого воспалительного процесса.

При подостром артрите все вышеописанные проявления выражены в меньшей степени.

При хроническом артрите боль возникает главным образом при движении в суставе. При осмотре обнаруживают изменение формы суставов, обусловленное не столько воспалительным отеком периартикулярных тканей, сколько пролиферативно-фиброзными изменениями, контрактуры, подвывихи, анкилозы. Пальпация показывает наличие плотной болезненной припухлости мягких тканей. Лабораторные показатели свидетельствуют о меньшей выраженности воспалительного процесса.

Течение артрита отличается большой вариабельностью. Наблюдаются острые, непродолжительные и полностью обратимые формы (аллергические, ревматические артриты и другие), а также длительно текущие, прогрессирующие хронические артриты исходом которых может быть полная утрата функции суставов (костный или фиброзный анкилоз при ревматоидном, септическом артрите и других). Хронические формы нередко приводят к инвалидизации больных.

6 — Диагноз

Основным принципом диагностики артрита является комплексное исследование больного с применением различных методов.

Диагноз ставится на основании: 1) анамнеза, который устанавливает связь поражения суставов с инфекционными заболеваниями, очаговой инфекцией, травмой, аллергией или другими патологическими процессами, и особенности начала течения суставного процесса; 2) характерных клинических данных («воспалительный» тип болей, припухлость или деформация суставов за счет экссудативных или пролиферативных явлений в мягких суставных или околосуставных тканях, прогрессирующее ограничение подвижности в суставе); 3) наличия лабораторных показателей воспалительного процесса; 4) характерных рентгенологических данных (эпифизарный остеопороз, сужение суставной щели, узурация суставных поверхностей костей, анкилозы); 5) результатов исследования синовиальной жидкости, морфологического исследования биопсированной синовиальной оболочки (наличие синовита пролиферативного типа).

Важную роль в диагностике артритов играет анамнез. Он помогает выяснить, носят ли изменения в суставе воспалительный характер и является ли данный артрит основным заболеванием или связан с наличием другого патологического процесса.

Воспалительный характер заболевания определяется при физикальном исследовании сустава (местная припухлость, болезненность при пальпации, изменение кожной температуры, наличие выпота, уплотнение мягких тканей).

Один из важнейших диагностических методов, позволяющий установить наличие и активность процесса в суставе, — пунктирование сустава с извлечением и анализом синовиальной жидкости. Пониженная вязкость, плохой муциновый сгусток, увеличение количества лейкоцитов (до 50 000 в 1 мм3) говорят о воспалительном характере синовиальной жидкости. Качественная характеристика цитоза (например, преобладание нейтрофилов при ревматоидном артрите, лимфоцитов при туберкулезном), наличие кристаллов (например, мочевой кислоты при подагрическом артрите), иногда наличие инфекционных возбудителей в синовиальной жидкости позволяют установить точный диагноз болезни.

Ценные сведения дает морфологическое исследование бионсированной (с помощью пункции или иссечения) синовиальной оболочки.

В последнее время в целях более точной диагностики применяется артроскопия, позволяющая произвести визуальный осмотр и фотографирование синовиальной оболочки.

Сдвиги многих лабораторных показателей при артрите являются неспецифическими и характерны для любого воспалительного процесса (ускоренная РОЭ, лейкоцитоз, повышение показателей ДФА-реакции, серомукоида, изменение белковых фракций в сторону увеличения содержания грубодисперсных белков, обнаружение С-реактивного протеина).

Информация об Ordo Deus Перейти в оглавление сайта

Рис. 5.
Подагрический полиартрит. Видны множественные краевые и глубинные деструктивные дефекты в костях первых пальцев обеих стоп при отсутствии остео-пороза (рентгенограммы с прямым увеличением изображения).

Наряду с этим имеется ряд серологических тестов, позволяющих в комплексе с клиникой установить нозологический диагноз,— реакция Вассермана (смотри Вассермана реакция), реакция Райта (смотри Райта реакция), реакция Хаддлсона (смотри Хаддлсона реакция), реакция Борде — Жангу (смотри Реакция связывания комплемента), определение ревматоидного фактора — реакция Валера — Роуза, латекс-тест (смотри Ревматоидный артрит).

Рентгенодиагностика.

Основной методикой рентгенологического исследования при артрите является рентгенография в двух стандартных проекциях с применением при наличии показаний дополнительных проекций, демонстрирующих более детально локальные изменения суставных поверхностей пораженных суставов (смотри Артрография). С этой же целью, особенно при исследованинии мелких суставов, используют рентгенографию с прямым увеличением изображения(рис. 5).

Информация об Ordo Deus Перейти в оглавление сайта

Рис. 6.
Ревматоидный артрит кисти в подострой стадии. Регионарный остеопороз в костях пястно-фаланговых сочленений. Сужение суставных щелей и умеренная деформация суставных поверхностей (электрорентгенограмма).

В ряде случаев для уточнения характера изменений в глубоко расположенных участках эпифизов, невидимых или недостаточно хорошо различимых при обычной рентгенографии из-за суперпозиции (наложения) теневых элементов, применяют томографию. Для обнаружения воспалительных изменений в мягких тканях сустава производят так называемые мягкие контрастные рентгенограммы, иногда без применения усиливающих экранов.

Хорошие результаты удается получить при электрорентгенографии пораженных суставов, позволяющей наиболее отчетливо выявить мягкие ткани и суставные поверхности (рис. 6).

Первым и наиболее постоянным рентгенологическим признаком при артритах, особенно в подострой стадии, является остеопороз. Поэтому очень важно как выявление той или иной разновидности остеопороза (местный, диффузный, неравномерный, пятнистый и так далее), так и особенно его динамики, обычно соответствующей степени нейро-трофических и функциональных нарушений в пораженных суставах.

При этом существенную помощь оказывает рентгеноденситометрия, проведение которой весьма целесообразно при сравнительном динамическом изучении одноименных суставов, особенно при одностороннем поражении. Рентгеноденситометрия может быть использована не только для целей диагностики, но и для контроля эффективности проводимого лечения, поскольку она точно отражает как процессы деминерализации кости при активно протекающих артритов (рис. 7), так и репаративные процессы при обратном развитии воспалительных изменений.

Рентгенологическая симптоматика артрита многообразна и включает следующие признаки: остеопороз во всех его разновидностях; иногда расширение суставной щели или чаще ее сужение (тотальное или частичное) в связи с наличием деструктивных изменений в костно-хрящевых элементах сустава; краевые костные дефекты, так наз. узуры, на суставных поверхностях как следствие деструктивных процессов; наличие очагов деструкции в околосуставных участках костей; образование секвестров, нередко наблюдаемое при специфических, в частности туберкулезных, артритов (рис. 8); периостальные наложения в области метафизов длинных трубчатых костей, а также реактивный остеосклероз; изменения рельефа суставных поверхностей костей и краевые костные разрастания на костях, образующих сустав; вывихи и подвывихи, возникающие в результате деформации суставов при некоторых формах артрита (рис. 9).

Несмотря на то, что рентгенологическая картина, наблюдаемая при различных формах артритов, в существенной мере отражает характер патологоанатомических изменений в костно-хрящевом аппарате сустава, дифференциальная диагностика всех многообразных форм артритов и стадий их развития представляет значительные трудности вследствие частого несоответствия клинической картины артритов и данных рентгенологического исследования.

Так, например, при остром или под-остром ревматическом артрите, когда патологические изменения развиваются в синовиальной оболочке, данные рентгенологического исследования, как правило, отрицательны, несмотря на бурную и характерную клиническую картину. Первые рентгенологические симптомы, в частности остеопороз, обнаруживаются тогда, когда клинический диагноз уже не представляет особых затруднений. Тем не менее рентгенологическое исследование полезно и в этих случаях, так как несоответствие клинических и рентгенологических данных может иметь дифференциально-диагностическое значение.

Информация об Ordo Deus Перейти в оглавление сайта

Рис. 7.
Кисть при подостром артрите (справа). Слева — кисть того же больного через 28 дней. В центре рисунка калиброванный клин. Денситометрия указывает на прогрессирование остеопороза (рентгено-денситограмма).

Информация об Ordo Deus Перейти в оглавление сайта

Рис. 8.
Специфический (туберкулезный) гонит. Крупный подхрящевой секвестр в медиальном мыщелке бедренной кости. Краевая деструкция мыщелков бедра и большеберцовой кости в области прикрепления суставной сумки. Сужение суставной щели. Остеопороз (рентгенограмма).
Рис. 9.
Кисть и луче-запястный сустав женщины, страдающей ревматоидным артритом более 20 лет. Резкая деформация суставов с наличием патологических вывихов и подвывихов. Мощные костные разрастания на краях эпифизов пястно-фаланговых суставов (рентгенограмма).

Известное значение имеет не только сам факт наличия остеопороза, но и его качественная характеристика.

В частности, диффузный остеопороз наблюдается при длительном, медленном нарастании клинических проявлений с нейротрофическими изменениями и резким ограничением функции пораженного сустава. Пятнистый остеопороз встречается обычно при бурно прогрессирующем течении артрита. Гипертрофический остеопороз даже при отсутствии деструктивных изменений в костях свидетельствует о давности возникновения воспалительного процесса, имевшего в прошлом острое клиническое течение.

При инфекционно-аллергичсских полиартритах, характеризующихся острым началом и бурным течением, типичные клинические проявления вначале не имеют подтверждения при рентгенологическом исследовании.

При инфекционных же специфических артритах и полиартритах рентгенологическая картина может в значительной степени способствовать как установлению диагноза артрит, так и определению фазы или стадии его развития, а динамическая оценка рентгенологических данных помогает правильно оценить эффективность проводимого лечения и лучше определить прогноз заболевания.

При дифференциальной рентгенологической диагностике артритов и артрозов необходимо иметь в виду возможность развития при артрите вторичного артроза.

7 — Прогноз

В связи с большой склонностью к хроническому течению артрита часто приводят к утрате трудоспособности. Так, по данным Всемирной организации здравоохранения, 3,1% общей инвалидности обусловлено хроническими артритом.

8 — Лечение

Применение этиотропной терапия возможно лишь при артритах, вызванных специфической инфекцией (туберкулезом, гонореей, бруцеллезом и другими). Во всех других случаях должна быть применена комплексная патогенетическая терапия, направленная на: а) изменение общей и иммунологической реактивности больного (применение десенсибилизирующих, иммуно депрессивных средств, воздействие на очаг хронической инфекции, нормализация обмена, витаминного баланса и так далее), б) снижение общих и местных воспалительных реакций (применение медикаментозных, гормональных, физиотерапевтических средств, курортного лечения), в) восстановление нарушенной функции сустава (лечебная гимнастика, массаж, физио-бальнео-терапия, трудотерапия), г) лечение основного патологического процесса (при артрите, связанных с другими заболеваниями).

Информация об Ordo Deus Перейти в оглавление сайта

Рис. 10.
Методика проведения пассивных движений: 1 — в локтевом суставе; 2—4 — в плечевом суставе; 5 — в коленном и тазо-бедренном суставах.

Важнейшим принципом терапии хронического артрита является длительное этапное лечение (стационар — поликлиника — курорт), различное в зависимости от природы артрита, его формы и так далее.

Лечебная физкультура при артрите является обязательным компонентом комплексного лечения, однако в остром периоде противопоказана.

Информация об Ordo Deus Перейти в оглавление сайта

Рис. 11.
Варианты упражнений для суставов верхних конечностей: 1 — для локтевого сустава; 2—12 — для плечевого сустава (12 — перебирание пальцами по стене).

В подостром периоде используют активные, преимущественно облегченные, элементарные упражнения по основным осям движений в суставах в сочетании с общеукрепляющими и дыхательными упражнениями с постепенно возрастающей нагрузкой в положении лежа, а затем сидя и стоя. Наряду с активными упражнениями используют осторожные пассивные движения при возможно более полном расслаблении упражняемой конечности, считаясь с болевыми ощущениями (рис. 10).

В терапии хронических артритов лечебная физкультура занимает важное место в клинической, в поликлинической и санаторно-курортной практике. При поражении суставов верхних конечностей упражнения выполняют преимущественно в положении сидя и стоя (рис. 11). При патологии суставов нижних конечностей в положении лежа, сидя и стоя тренируют опорную функцию ног (рис. 12). При заболеваниях позвоночника рекомендуют также и разгрузочные для позвоночника положения, например на четвереньках (рис. 13). Применяют упражнения активные: свободные, с усилием, с широким использованием различных снарядов, предметов и специальных приспособлений (особенно для восстановления функции кисти, в целях бытовой и трудовой реабилитации и так далее). Дополнительно используют упражнения на механотерапевтических аппаратах. Больным рекомендуется выполнение самостоятельных занятий с повторением заданий в течение дня до 4—6 раз продолжительностью по 5 — 7 мин. в целях тренировки пораженных суставов. Кроме того, полезна утренняя гигиеническая гимнастика, прогулки. Целесообразно лечебную физкультуру проводить в сочетании с массажем, бальнео- и грязелечением.

Информация об Ordo Deus Перейти в оглавление сайта

Рис. 12.
Варианты упражнений для суставов нижних конечностей: 1 и 2 — для тазо-бедренного сустава; 3—9 — для коленного, тазо-бедренного и голено-стопного суставов.

Информация об Ordo Deus Перейти в оглавление сайта

Рис. 13.
Варианты упражнений при заболеваниях позвоночника.

Хорошие результаты дают занятия лечебной гимнастикой в воде.

При оперативном лечении ревматоидного артрита лечебная гимнастика применяется перед операцией для повышения общего тонуса и сопротивляемости организма. В послеоперационном периоде продолжают гимнастические упражнения для неоперированных суставов. Затем, когда оперированный сустав освобождается от постоянной иммобилизации, назначают пассивные движения, постепенно увеличивая их объем. Активные упражнения назначают сначала облегченные, свободные, а при достижении в суставе значительного объема движений — с напряжением.

Ортопедо-хирургическое лечение артрита проводится в основном при недостаточной эффективности комплексной терапии. Оно противопоказано обычно при тяжелом общем состоянии больного, выраженных изменениях со стороны внутренних органов и систем, во время обострения общего или местного патологического процесса, в раннем детском возрасте (до 5 лет) и так далее.

Чаще всего оперативному лечению при ревматоидном артрите подвергаются наиболее важные в функциональном отношении суставы: коленные, тазо-бедренные, локтевые, пястнофаланговые и реже — межфаланговые, лучезапястные, голеностопные и плечевые.

Характер оперативного вмешательства определяется в зависимости от стадии местного патологического процесса и функции сустава. В начальной стадии, когда имеется выраженный синовит, без деструкции хряща и кости, делают профилактические операции типа синовэктомии. Операция заключается в максимальном удалении патологически измененной и гиперплазированной синовиальной оболочки, что оказывает благоприятное воздействие не только на оперированный сустав, но нередко и на общее течение заболевания. В дальнейшем, когда поражается не только синовиальная оболочка, но и капсулы связочного аппарата, отмечается деструкция хряща и кости, развиваются контрактуры, показано более радикальное вмешательство — расширенная синовкапсулэктомия. При этом одновременно с синовиальной оболочкой иссекается капсула сустава, грануляционная ткань по ходу связочного аппарата, мениски, гипертрофированное надколенниковое жировое тело, фиброзные спайки, остеофиты вокруг мыщелков бедра и голени; нередко резецируется надколенник, в луче-запястном суставе головка лучевой и дистальный конец локтевой кости и так далее.

При резких деструктивных изменениях в суставе, стойких контрактурах и анкилозах производятся реконструктивно - восстановительные операции: подвертельная или над-мыщелковая остеотомия бедра для устранения сгибательной контрактуры, тотальное эндопротезирование с помощью металлических (тазобедренного, коленного, локтевого суставов) или силиконовых (пястно-фаланговых и межфаланговых) эндопротезов, артропластика с интерпозицией гомо- или аутофасции, металлических пластинок различного типа (на коленном суставе) и так далее.

Артродез суставов при ревматоидном артрите показан в исключительных случаях.

При поражении многих суставов ортопедо-хирургическое лечение начинают с ведущего сустава (коленного, тазо-бедренного).

При специфических артритах (туберкулезном, гонорейном, бруцеллезном, сифилитическом и других) проводится специфическая терапия, которая нередко, в частности при туберкулезных артритах, сочетается с хирургическим лечением (синовэктомия, удаление некротических очагов и костная пластика, резекция суставных концов и артродез, артропластика и так далее). Смотри также Артродез, Артропластика, Костная пластика, Синовэктомия.

9 — Самостоятельные нозологические формы артритов

Анкилозирующий спондилоартрит — смотри Бехтерева болезнь.

Болезнь Рейтера — смотри Рейтера болезнь.

Водянка суставов перемежающаяся — смотри Гидрартроз.

Инфекционно-аллергический полиартрит — смотри статью Инфекционные специфические артриты

Инфекционные специфические артриты

Артриты инфекционные специфические составляют группу поражений суставов при бактериальных, вирусных, грибковых и паразитарных заболеваниях. Хотя возникновение этих артритов связано с наличием в организме общего инфекционного процесса, однако после ликвидации последнего они могут длительно протекать уже как самостоятельные нозологические формы. По механизму развития различают две формы инфекционных специфических артритов: бактериально-метастатическую и токсико-аллергическую. Для первой формы характерно тяжелое поражение одного или нескольких суставов с наличием возбудителя в синовиальной жидкости. Вторая форма проявляется множественным синовитом или полиартралгиями без видимых объективных изменений. Существуют также смешанные формы артрита с поражением многих суставов и наличием возбудителя в синовиальной жидкости.

Характерные поражения опорно-двигательного аппарата в сочетании с клиническими, бактериологическими и серологическими данными, подтверждающими наличие инфекционного заболевания, дают возможность диагностировать инфекционные специфические артриты. Большое дифференциально-диагностическое значение имеет исследование синовиальной жидкости (пунктата) и биопсийного материала.

Бруцеллезный артрит

Бруцеллезный артрит (arthritis brucellosa) является одним из частых проявлений бруцеллезной инфекции. В большинстве случаев он имеет токсико-аллергическую и редко — бактериально-метастатическую природу. Бруцеллезные поражения суставов чаще, чем артрит другой этиологии, сопровождаются периартритами, тендовагинитами, бурситами, невритами и другими внесуставными поражениями мягких тканей опорно-двигательного аппарата. В соединительной ткани апоневрозов, суставных сумок и мышц образуются цел-люлиты и фиброзиты в виде соединительнотканных узелков и инфильтратов. Характерной локализацией бруцеллезного артрита являются крестцово-подвздошные сочленения. Сакроилеит чаще бывает односторонним, его необходимо дифференцировать с сакроилеитом при болезни Бехтерева (смотри Бехтерева болезнь), псориатическом полиартрите, дизентерийном артрите и болезни Рейтера (смотри Рейтера болезнь). Кроме того, поражаются коленные, голено-стопные, плечевые, локтевые, луче-запястные суставы, грудино-ключичное сочленение и поясничная часть позвоночника. Особенно характерным для бруцеллеза является сочетание спондилита поясничного отдела позвоночника с сакроилеитом.

Решающее значение в диагностике имеет обнаружение у данного больного бруцеллеза — по анамнестическим и клиническим данным, а также на основании результатов кожных и серологических реакций: реакции агглютинации Райта (смотри Райта реакция), реакции Хаддлсона (смотри Хаддлсона реакция), кожной пробы Бюрне (смотри Бруцеллез), опсоно-фагоцитарной реакции.

Прогноз при токсико-аллергической форме бруцеллезного артрита благоприятный. Хронический бруцеллезный артрит с предполагаемым бактериально-метастатическим генезом протекает как остеоартрит с развитием стойких воспалительных изменений в суставах и признаков костно-хрящевой деструкции, что приводит к значительному нарушению их функции.

Лечение: в остром периоде заболевания — антибактериальная терапия, в период ремиссии показаны ЛФК, массаж, парафиновые, озокеритовые и грязевые аппликации на суставы, курортное лечение (радоновые и сероводородные ванны, грязелечение). Смотри также Бруцеллез.

Вирусный артрит

Вирусный артрит, иногда сопровождающий вирусные заболевания, может появляться в любом периоде болезни. Так, своеобразным артритом может начинаться инфекционный гепатит.

Артриты при гриппе считаются самым редким его осложнением, более характерны артралгии и миалгии, связанные с общей интоксикацией, но грипп может активировать латентную кокковую и другую инфекцию, что является причиной обострений специфических и неспецифических артритов и ревматизма.

Артритом (полиартритом) могут начинаться или сопровождаться такие заболевания, как краснуха, эпидемический паротит, корь, а также паховый лимфогранулематоз.

Лечение: применение антибиотиков или сульфаниламидов для лечения основного заболевания, а также антиревматических препаратов.

Гонорейный артрит, полиартрит

Гонорейный артрит, полиартрит (arthritis gonorrhoica) развивается у больных острой и хронической гонореей, преимущественно у людей молодого возраста. Он может быть бактериально-метастатическим и токсико-аллергическим. Чаще всего развивается острый синовит с серозным, серозно-фибринозным или (реже) гнойным выпотом, затем в процесс вовлекаются суставные сумки, связки, сухожилия. Начало почти всегда острое, с исключительно сильными полиартралгиями. В дальнейшем процесс локализуется в одном суставе, обычно в коленном, голено-стопном или луче-запястном.

Наиболее характерен метастатический гонит (моноартрит с острым и подострым течением). Морфологически острый гонит может быть серозным или гнойным, подострый — серозно-фибринозным. При всех формах отмечаются мучительные боли, высокая температура, тяжелое общее состояние больного. Развитие патологических изменений в суставе резко выражено: быстро развивается деформация, сгибательные контрактуры (рис. 14), мышечная атрофия. Показатели лабораторных исследований говорят об активности воспалительного процесса. В пунктате можно обнаружить гонококки. При неправильном или запоздалом лечении быстро развивается выраженная деструкция суставных элементов и анкилоз.

В настоящее, время значительно чаще стали наблюдаться острые и хронические гонорейные олиго- и полиартриты токсико-аллергической природы. Острый полиартрит может провоцироваться травмой, охлаждением. Процесс быстро фиксируется в 2—3 крупных суставах. При правильном и своевременном лечении в большинстве случаев прогноз благоприятный, но могут развиться хронический гонококковый полиартрит и спондилоартрит, очень напоминающие ревматоидный артрит и деформирующий спондилоартрит.

Частым и типичным поражением опорно-двигательного аппарата при гонорейной инфекции является поражение стопы — ахиллодиния (боль в пяточном сухожилии), обусловленная ахиллобурситом, быстрое развитие «шпор», тендовагиниты, атрофия мышц стопы и голени, с последующим вторичным плоскостопием.

Информация об Ordo Deus Перейти в оглавление сайта

Рис. 14.
Острый гонорейный артрит левого коленного сустава. Резкое опухание и увеличение в объеме левого коленного еустава. Сгибательная контрактура.

Диагностика гонорейного артрита очень затруднительна ввиду того, что больные скрывают или не знают о перенесенном заболевании, а клиническая картина может быть сходна с ревматоидным артритом.

Диагностическое и дифференциально-диагностическое значение имеют анамнез, наличие первичного гонорейного очага, положительная реакция Борде — Жангу, положительная кожная проба с гоновакциной, в некоторых случаях наличие гонококков в суставном выпоте, данные общего анализа крови, рентгенологического исследования.

Прогноз в большинстве случаев благоприятный, но острые гнойные формы могут привести к значительным нарушениям функции сустава, а подострые — принять хроническое рецидивирующее течение.

Лечение: в острой стадии заболевания необходимо провести курс лечения антибиотиками, в тяжелых случаях применяют кортикостероиды и аутогемотерапию; при хроническом течении заболевания в период ремиссии показаны ЛФК, массаж, парафиновые, озокеритовые и грязевые аппликации на суставы, курортное лечение (радоновые и сероводородные ванны, грязелечение). Смотри также Гонорея.

Грибковый артрит

Грибковый артрит может встречаться при актиномикозе, бластомикозе, кокцидиозе и мадурской стопе. В сустав процесс, как правило, переходит из близлежащей пораженной микозом кости. В некоторых случаях актиномикоз распространяется также гематогенным путем, поэтому могут поражаться кости и суставы, расположенные далеко от первичного очага, например стопа (рис. 15). Для всех грибковых поражений костно-суставного аппарата характерно образование свищей и длительное рецидивирующее течение. Диагноз всегда должен быть подтвержден обнаружением соответствующего грибка. Дифференцировать грибковый артрит следует с туберкулезным и сифилитическим поражением костно-суставного аппарата.

Лечение — антибиотики, сульфаниламиды, иногда актинолизат и другие, — хирургическое вмешательство (удаление очага).

Дизентерийный артрит

Дизентерийный артрит (arthritis dysenterica) развивается сразу или спустя несколько недель после перенесенной дизентерии. В настоящее время встречается редко. Как правило, это токсико-аллергические серозные или серозно-фибринозные синовиты, которые протекают в виде полиартрита, а иногда моноартрита коленного или голено-стопного суставов. Суставы очень болезненны, отмечается припухлость, деформация. Суставной выпот богат фибрином, полинуклеарами, но возбудитель обнаруживается чрезвычайно редко. Общее состояние больного меняется незначительно, несмотря на длительное и стойкое поражение суставов. В процесс часто вовлекаются крестцово-подвздошные суставы, характерна умеренная атрофия мышц. На рентгенограммах отмечается обычная картина артрита (остеопороз, изменения суставной щели, неровность суставных поверхностей).

Информация об Ordo Deus Перейти в оглавление сайта

Рис. 15.
Грибковый артрит. Стопа больного актиномикозом. Очаговый остеопороз (участки просветления) и умеренный остеосклероз (рентгенограмма).

Прогноз благоприятный, но при хроническом рецидивирующем течении могут развиться контрактуры, стойкая деформация и даже фиброзный анкилоз.

Лечение: антиревматическая терапия не эффективна. Необходим полный покой, удобное положение сустава, сухое тепло. Хороший эффект дает применение антибиотиков. В тяжелых случаях, кроме обычной десенсибилизирующей терапии, применяются кортикостероиды, при уменьшении активности процесса — ЛФК, массаж, парафиновые, озокеритовые или грязевые аппликации.

Паразитарный артрит

Паразитарный артрит (arthritis pa-rasitaria) может развиться при эхинококковом поражении костей. Эхинококк чаще всего локализуется в позвонках, межпозвонковых дисках, реже в костях таза и длинных трубчатых костях. Суставные боли обычно связаны с реактивным синовитом, вызванным процессом в близлежащей костной ткани.

Лечение — смотри Эхннококкоз.

Пневмококковый артрит

Пневмококковый артрит наблюдается очень редко, в основном у детей и людей молодого возраста при крупозном воспалении легких. Бактериально-метастатическая форма чаще всего поражает один сустав (коленный, голено-стопный) и протекает как гнойный артрит (в суставном пунктате обнаруживаются пневмококки). При токсико-аллергической форме поражаются многие суставы, но процесс протекает легко, с полной обратимостью всех явлений, специфических лечебных мероприятий не требуется.

Лечение гнойных форм — смотри ниже Острый гнойный артрит.

Септический артрит

Септический артрит (arthritis septica) развивается на фоне общего сепсиса, чаще всего вызванного кокковой микрофлорой, кишечной палочкой и другим. В большинстве случаев артрит имеет бактериально-метастатический (острый гнойный артрит), а иногда токсико-аллергический генез. При бактериально-метастатической форме развивается острый гнойный артрит, чаще крупных суставов, с ярко выраженной клинической картиной — смотри ниже Острый гнойный артрит.

Токсико-аллергическая форма септического артрита — это острый и подострый мигрирующий полиартрит с небольшим выпотом серозного или серозно-фибринозного характера. Процесс протекает с обратимостью всех явлений.

Лечение: антибактериальная терапия сепсиса, противовоспалительные препараты (салицилаты, индометацин), а при необходимости применяют глюкокортикоидные гормоны.

Сифилитический артрит

Сифилитический артрит (arthritis syphilitica) может появляться при врожденном и во всех стадиях приобретенного сифилиса. В наст, время встречается редко. При врожденном сифилисе может быть несколько форм артрита: сифилитический остеохондрит Парро, синовит коленных суставов со значительным количеством выпота и шарообразной формой коленных суставов — суставы Клаттона, сифилитический дактилит и другое. Артрит в первой стадии сифилиса может проявляться кратковременной поли-артралгией. Во второй стадии также отмечаются боли в суставах, костях и мышцах, усиливающиеся ночью. Иногда наблюдается полиартрит летучего характера, при котором не помогают салицилаты, но хороший эффект дает лечение пенициллином. В третьей стадии может быть гуммозный артрит крупных суставов, который проявляется гидрартрозом с выпячиванием заворотов синовиальной оболочки (рис. 16). На рентгенограммах могут наблюдаться признаки артроза (вторичный артроз). Если процесс локализован в одном суставе, его внешне трудно отличить от костно-суставного туберкулеза. Сифилитический артрит в четвертой стадии проявляется табетической артропатией, которая чаще всего поражает коленный сустав и отличается большими структурными изменениями при сохраненной функции.

Информация об Ordo Deus Перейти в оглавление сайта

Рис. 16.
Сифилитический экссудативный синовит коленных суставов с выпячиванием заворотов синовиальной оболочки суставной сумки.

Диагноз ставится на основании клинической картины, серологических и рентгенологических данных (округлые костные дефекты в эпифизах, периоститы). Часто бывает положительной реакция Вассермана с синовиальной жидкостью. Особенно нужно учитывать несоответствие между структурными изменениями и функцией суставов. Большое диагностическое значение имеет обнаружение сифилитических поражений внутренних органов.

Прогноз зависит от тяжести течения основного заболевания.

Лечение — смотри Сифилис.

Туберкулезный артрит, остеоартрит

Туберкулезный артрит, остеоартрит (arthritis, osteoarthritis tuberculosa) может быть бактериально-метастатическим и токсико-аллергическим. Первая форма обычно представляет собой моноартрит с локализацией в позвоночнике, коленных, тазо-бедренных, локтевых, луче-запястных и других суставах. Туберкулезная палочка в синовиальную оболочку сустава или прилегающую к суставу часть кости попадает обычно гематогенным путем из первичных очагов туберкулеза в легких, кишечнике или лимфатических, узлах. Часто туберкулезный процесс может переходить из прилегающих костей. Поэтому вместо термина «туберкулезный артрит» нередко используется термин «костно-суставной туберкулез».

Туберкулезный артрит является хроническим заболеванием, протекающим с признаками общей интоксикации и местными симптомами синовита. При рентгенологическом исследовании в эпифизарной части кости можно обнаружить ограниченный очаг декальцинации (рис. 17), иногда в виде костного дефекта, секвестрацию и сужение суставной щели.

Окончательным доказательством туберкулезного процесса в суставе является обнаружение туберкулезных палочек в суставной жидкости или характерных для туберкулеза изменений (туберкулезные бугоргеи) в биопсийном материале синовии. Немаловажное диагностическое значение отводится кожным пробам с туберкулином. Нелеченый или плохо леченный костно-суставной туберкулез может осложняться натечным абсцессом, который прорывается наружу, оставляя затем долго не заживающие и часто вновь открывающиеся свищи (смотри Натечник).

Токсико-аллергическая форма туберкулезного артрита, описанная Понсе (A. Poncet) в 1902 г., характеризуется поражением многих, преимущественно мелких суставов конечностей. По клинической картине полиартрит Понсе напоминает ревматоидный артрит, поэтому некоторые авторы оспаривают существование этой формы туберкулезного артрита в качестве самостоятельной нозологической единицы и считают, что в таких случаях речь идет о ревматоидном артрите на фоне туберкулеза

Информация об Ordo Deus Перейти в оглавление сайта

Рис. 17.
Туберкулезный артрит луче-запястного сустава у больной, страдающей костно-суставным туберкулезом. Типичный туберкулезный очаг в дистальном конце лучевой кости (рентгенограмма).

Описанные формы туберкулезного артрита в наст, время встречаются реже, чем артралгии и полиартралгии у больных туберкулезом. Причиной последних необходимо считать как туберкулезную интоксикацию, так и сенсибилизацию организма к лекарственным веществам.

Диагноз туберкулезного артрита ставится на основании клинических, рентгенологических и бактериологических данных с учетом кожных аллергических проб.

Прогноз и лечение — смотри Туберкулез костей и суставов.

Палиндромный ревматизм — смотри статью псориатический полиартрит

Псориатический полиартрит

Псориатический полиартрит (polyarthritis psoriatica) развивается чаще у больных, уже имеющих кожные проявления псориаза, в среднем через 6 лет после их появления, но иногда может им предшествовать или появиться одновременно. Псориатический полиартрит в наст, время выделен в самостоятельную нозологическую форму. Клиническая картина его чрезвычайно похожа на ревматоидный артрит, однако имеет некоторые особенности: 1. Почти всегда поражаются дистальные межфаланговые суставы пальцев рук. Одновременно, как правило, поражаются ногти (рис. 18). 2. В процесс вовлекается обычно небольшое количество других периферических суставов (2—3, редко больше), при этом поражение носит асимметричный характер. В тяжелых случаях суставной процесс может быть генерализованным. 3. Поражаются межпозвонковые суставы поясничной области и крестцово-подвздошные суставы, где могут развиваться анкилозы, поэтому псориатический полиартрит нужно дифференцировать с болезнью Бехтерева. 4. Течение обычно ремиттирующее, резкие обострения часто чередуются с частичными ремиссиями. При этом отмечается определенный параллелизм с кожными проявлениями псориаза.

Информация об Ordo Deus Перейти в оглавление сайта

Рис. 18.
Псориатический артрит межфаланговых суставов кисти. Выраженные трофические изменения ногтей. Утолщение дистальных мешфаланговых суставов.

На рентгенограмме кистей часто обнаруживается лизис дистальных фаланг пальцев (мутилирующий артрит), что характерно и для склеродермии. В остальном рентгенологическая картина мало отличается от картины при ревматоидном артрите.

Реакция Валера — Роуза и проба с латексом или дерматолом (смотри Ревматоидный артрит), как правило, отрицательные. Лабораторные данные показывают сдвиги, характерные для воспалительного процесса (ускорение РОЭ, лейкоцитоз, гипер-гаммаглобулинемия).

Прогноз: по мере прогрессирования процесса развиваются значительные нарушения функции суставов.

Лечение: лечение основного заболевания (смотри Псориаз) и назначение средств, применяемых при ревматоидном артрите. Препараты золота противопоказаны, так как они могут вызвать обострение кожных симптомов. При высокой активности процесса показаны кортикостероиды. Хороший эффект наблюдается от применения иммунодепрессантов, особенно метотрексата.

Ревматический полиартрит — смотри Ревматизм

Ревматоидный артрит — смотри статью артриты, связанные с другими заболеваниями

10 — Артриты, связанные с другими заболеваниями

При аллергических и диффузных заболеваниях соединительной ткани, метаболических нарушениях, болезнях легких, крови и пищеварительного тракта, саркоидозе, интоксикациях, злокачественных опухолях и вегетативно-сосудистых дистониях

Артриты являются частым, но непостоянным проявлением. Обычно они имеют нестойкий характер, в основе их лежат экссудативные изменения в суставах, что клинически проявляется болями и более или менее выраженной припухлостью суставов. Лечение этих форм артритов должно быть направлено на ликвидацию основного заболевания. В качестве симптоматических средств используются анальгетики.

Артриты наблюдаются при следующих аллергических заболеваниях: лекарственной и сывороточной болезнях, капилляротоксикозе и узловатой эритеме. Длительное применение медикаментов может привести к лекарственной болезни и сопровождающему ее аллергическому артриту (множественный синовит летучего характера). Летучие синовиты аллергического характера наблюдаются в суставах и при сывороточной болезни. При капилляротоксикозе боли в суставах обусловлены геморрагическим васкулитом. Узловатая эритема независимо от этиологии проявляется болями в суставах, особенно коленных, иногда их припуханием. Суставные симптомы обычно исчезают вместе с эритемой.

Артриты при коллагенозах носят более стойкий характер, их часто трудно отличить от начальных форм ревматоидного артрита.

При системной красной волчанке поражение суставов наблюдается почти у всех больных, часто являясь первым симптомом болезни. Клинически это подострый, затяжной, но мигрирующий артрит, главным образом мелких суставов, напоминающий ревматоидный. Он сочетается с поражением периартикулярных тканей (тендовагинит, миозит, бурсит), что и является главной причиной образующихся иногда деформаций суставов (подвывихов, контрактур). Особенностью этого артрита является наблюдаемая иногда над пораженным суставом кожная эритема, а также скудность рентгенологических изменений по сравнению с ревматоидным артритом (небольшое сужение суставной щели, единичные мелкие эрозии суставных поверхностей). При дифференциальной диагностике с ревматоидным артритом важно учитывать данные лабораторного (наличие LE-клеток, антинуклеарного фактора) и морфологического (скудность клеточных реакций, выраженная ядерная патология в синовиальной ткани) исследований.

Для системной склеродермии характерен суставной синдром двух типов — истинный синовит (ревматоидноподобный артрит) и периартрит (псевдоартрит), обусловленный фиброзно-склеротическим процессом в коже, сухожилиях и других мягких периартикулярных тканях, ведущим к контрактурам и деформациям суставов. Особенностью склеродермического суставного синдрома является значительное преобладание фиброзно-склеротических явлений над экссудативными, наличие плотного отека кожи, покрывающей сустав; рентгенологически определяется небольшая костная деструкция (единичные мелкие узуры с четкими контурами) и такие характерные для склеродермии признаки, как остеолиз концевых фаланг и кальциноз периартикулярных тканей. При исследовании биопсированной синовиальной оболочки выявляется выраженный склероз сосудов и синовии.

При дерматомиозите боли в суставах обычно обусловлены околосуставными изменениями кожи и мышц. Нередко наблюдаются также контрактуры суставов преимущественно верхних конечностей миогенного происхождения. На рентгенограммах суставов, как правило, никаких изменений не обнаруживается.

При узелковом периартериите могут наблюдаться артриты аллергического характера, но чаще боли не локализованы в суставе, а носят диффузный характер и связаны с неврогенными и сосудистыми нарушениями.

Артриты могут развиваться при легочных заболеваниях: при силикозе (смотри Каплана синдром), саркоидозе, раке легкого. Синдром Каплана описан в 1953 г. у шахтеров, страдающих антракосиликозом. Суставные изменения при синдроме Каплана ничем не отличаются от ревматоидного артрита (клинически, рентгенологически и серологически).

При саркоидозе, являющемся генерализованным гранулематозом, поражающим преимущественно лимфатическую, систему, легкие и кожу, наблюдаются боли в суставах, иногда их веретенообразное припухание. В некоторых случаях полиартрит принимает хроническое течение. Диагноз может быть уточнен в процессе динамического наблюдения.

Паракарциноматозные артриты в виде упорного полиартрита или полиартралгии токсико-аллергического происхождения могут иметь место при раке желудка, легких, печени, долгое время оставаясь единственным симптомом заболевания.

Этот синдром, описанный французскими ревматологами только в 50-х годах нашего столетия, клинически проявляется в виде подострого артрита с болями и небольшой припухлостью, главным образом мелких суставов рук и ног, что сопровождается ускорением РОЭ, и может симулировать начальные формы многих артритов. Следует иметь в виду, что ошибочно применяемая этим больным физиотерапия (при несвоевременном распознавании основного заболевания) способствует быстрому росту опухоли.

Артриты являются одним из основных проявлений подагры; встречаются также при острых и хронических лейкозах (развиваются в результате аутоиммунных процессов или связаны с лейкемическими инфильтратами в синовиальной оболочке); при гемофилии (в результате повторных кровоизлияний в суставы).

Артриты при язвенном колите и регионарном илеите по клинике напоминают ревматоидный. Однако в этих случаях отмечаются также признаки анкилозирующего спондилита и сакроилеита, поэтому их необходимо дифференцировать и с болезнью Бехтерева.

Доброкачественный профессиональный полиартрит в наст, время относится к группе симптоматических поражений суставов при общей вегетативно-сосудистой дистонии (смотри Дистопия сосудистая).

11 — Острый гнойный артрит

Острый гнойный артрит — острый воспалительный процесс, связанный с попаданием и развитием в суставе гноеродной инфекции (стафилококковой, стрептококковой, пневмококковой, гонококковой и других). Так как острый гнойный артрит протекает очень тяжело, а лечение имеет свою специфику, описание его выделено в отдельный раздел. Острые гнойные артриты бывают первичные и вторичные. При первичных инфицирование сустава связано с его ранением при производственной и бытовой травме, огнестрельном ранении, а также после пункции, операции и тому подобное. При вторичном гнойном артрите микрофлора попадает в сустав per continuitatem из соседних тканей (при флегмоне, инфицированной ране и тому подобном), из близко расположенных гнойных очагов при их прорыве (при бурсите, пара-оссальной флегмоне, остеомиелите и другом), гематогенным и лимфогенным путем (при сепсисе, тромбофлебите, остеомиелите, тонзиллите, отите и других).

Клиническая картина. Характерно острое начало заболевания. Жалобы на сильные боли и ограничение подвижности в пораженном суставе, повышение температуры, недомогание.

Местно: кожные покровы над суставом напряжены, могут быть гиперемированы, конфигурация сустава изменена за счет воспалительной инфильтрации тканей, скопления выпота и возможных деструктивных изменений в эпифизах. Конечность находится в вынужденном, полусогнутом, положении, при котором увеличивается объем суставной полости, что приводит к уменьшению болезненности. При пальпации отмечается боль, местная гипертермия и при значительном количестве выпота — флюктуация, в коленном суставе при этом — симптом баллотирования надколенника. Функция пораженного сустава нарушена — уменьшается объем активной и пассивной подвижности. При распространении гнойного воспаления на ткани, окружающие сустав, обнаруживаются симптомы, характерные для флегмоны.

К общим клиническим симптомам относятся проявления гнойной интоксикации: тяжелое общее состояние, угнетение сознания, интермиттирующая температура, слабость, озноб, прогрессирующая анемия и другое.

При лабораторном исследовании: лейкоцитоз с палочкоядерным сдвигом формулы, ускоренная РОЭ, в крови снижение уровня альбуминов, повышение уровня глобулиновой фракции, особенно альфа-2- и гамма-глобулинов. Исследование содержимого, полученного при пункции сустава, позволяет установить характер воспаления, микрофлору и ее чувствительность к антибиотикам.

При остром гнойном артрите возможны осложнения: пара- и периартикулярная флегмона, панартрит, остеоартрит, остеомиелит, сепсис.

Диагноз острого гнойного артрита ставится на основании анамнестических, клинических, рентгенологических данных и результатов бактериологического исследования пунктата из сустава.

Прогноз зависит от распространенности и глубины патологических изменений в тканях сустава; возможны неблагоприятные последствия — ограничение подвижности в суставе вплоть до анкилоза.

Лечение должно быть комплексным, сочетающим местные и общие, консервативные и оперативные лечебные мероприятия.

Местное лечение: иммобилизация конечности (гипсовые лонгеты, шины и другое), при наличии значительного количества гнойного выпота периодические пункции сустава (рис. 19) с эвакуацией гнойного экссудата и промыванием полости сустава растворами антисептиков. Первая пункция сустава заканчивается введением антибиотиков широкого спектра действия, при всех последующих пункциях используются антибиотики с учетом чувствительности микрофлоры к ним; частота подобной санации полости сустава зависит от темпов накопления и количества вновь образующегося выпота. Пункции прекращают, когда выпот приобретает серозный характер и количество его становится незначительным. Иногда после первой пункции в полости сустава оставляют ниппельный дренаж.

Информация об Ordo Deus Перейти в оглавление сайта

Рис. 19.
Пункция коленного сустава для эвакуации гнойного экссудата и последующего промывания полости сустава растворами антисептиков.

При остром гнойном артрите с тяжелыми осложнениями (остеоартрит, панартрит и другие) целесообразны внутриартериальные инфузии антибиотиков, а также внутривенные и внутри-костные введения антибиотиков. При стихании гнойного процесса для рассасывания воспалительного инфильтрата местно назначают физиотерапию (УВЧ, УФО, ионо-гальванизация и прочее), в дальнейшем массаж и лечебную физкультуру, что способствует восстановлению функции сустава.

К общим лечебным мероприятиям относится применение антибиотиков с учетом чувствительности микрофлоры, сульфаниламидных и нитро-фурановых препаратов, а также производных пиримидина — метилурацила, пентоксила; применение иммунобиологических средств: лечебных сывороток, стафилококкового анатоксина, бактериофагов, вакцин и аутовакцин, антифагина, протеолитических ферментов и так далее; необходимо переливание крови, плазмы, вливания белковых гидролизатов, гемодеза, растворов глюкозы, жидкостей с коррекцией электролитного баланса и тому подобного; важно обеспечить больного витаминами и питанием, богатым белками.

К оперативным вмешательствам при остром гнойном артрите прибегают при безуспешности консервативного лечения. Артротомию лучше производить под наркозом с обязательным дренированием полости сустава и заворотов. При возникновении околосуставных флегмон производится их вскрытие и дренирование. К обширным хирургическим вмешательствам (резекция сустава, ампутация или экзартикуляция конечности) прибегают при осложнениях острого гнойного артрита: остеоартрите, панартрите, при неуклонном прогрессировали гнойного процесса с явлениями тяжелой интоксикации, угрожающей жизни больного.

Профилактика острого гнойного артрита состоит в тщательной первичной хирургической обработке различных ран сустава, строжайшем соблюдении асептики при плановых операциях на суставе, в своевременном и правильном лечении общих септических процессов и гнойных заболеваний в тканях, прилежащих к суставу.

12 — Артриты у детей

Артриты у детей имеют чаще всего инфекционное происхождение и связаны с общей или очаговой инфекцией, реже причиной их могут быть травма, обменные нарушения. Особенности реактивности детского организма определяют некоторое патогенетическое своеобразие артрита в различные возрастные периоды. В младшем возрасте артриты инфекционного происхождения развиваются, как правило, бактериально-метастатическим путем, причем поражаются один-два, иногда несколько суставов. Течение нередко тяжелое, возможен неблагоприятный исход (например, при септическом артрите у грудных детей). В старших возрастных группах чаще имеют место артриты токсико-аллергического генеза, протекающие по типу синовита, доброкачественно, циклически с полной ликвидацией симптомов.

Инфекционные специфические артриты

Инфекционные специфические артриты протекают у детей несколько иначе, чем у взрослых.

При бруцеллезе поражение опорно-двигательного аппарата — одно из самых частых и ярких проявлений инфекции — отличается большим многообразием. Могут развиваться пери- и параартриты, синовиты, остеоартриты, но для детей наиболее типична артралгия (у 68— 80%), которая, как правило, не сопровождается видимыми изменениями в суставах.

Острый бруцеллезный артрит наблюдается примерно у 25% всех заболевающих бруцеллезом детей, преимущественно школьного возраста. Развивается как аллергический синовит. В процесс вовлекаются крупные суставы (коленные, голено-стопные, плечевые, локтевые, луче-запястные). Больные жалуются на боли и ограничение подвижности в пораженных суставах, суставы опухают, отмечается местная гипертермия, иногда гиперемия. Значительный интраартикулярный выпот — у детей большая редкость. Рентгенологические изменения в суставах обычно отсутствуют. Обратное развитие процесса начинается через несколько дней — 1—3 недели.

Хронический бруцеллезный артрит у детей в настоящее, время почти не встречается. Не наблюдаются в детском возрасте и поражения крестцово-подвздошного сочленения, столь типичные для взрослых.

Как и у взрослых, для бруцеллезной инфекции в детском возрасте характерно поражение соединительной ткани суставов в виде бурсита, а также фиброзита и целлюлита. При этом в мягких тканях суставов пальпируются плотные, болезненные узелки и тяжи или (реже) тестоватые инфильтраты. Тендовагиниты встречаются у детей сравнительно редко.

Дифференциальный диагноз проводится с ревматическими, ревматоидным, туберкулезным, септическим артритом и прочим. Диагноз ставится на основании комплекса эпидемиологических, клинических и лабораторных данных. Наиболее надежно использование одновременно серологических реакций Райта и Хаддлсона и аллергической внутрикожной пробы Бюрне. Реакция Хаддлсона с суставным выпотом используется не часто, так как экссудативные явления у детей обычно слабо выражены.

Прогноз благоприятный. Лечение — смотри Бруцеллез.

Артрит и артралгии при вирусных инфекциях у детей наблюдаются реже, чем у взрослых. При эпидемическом гепатите они могут возникнуть в продромальном периоде, с появлением желтухи исчезают. Как и у взрослых, у детей описаны артриты как редкое проявление краснухи, гриппа, ветряной оспы, кори и других вирусных заболеваний.

Гонорейный артрит в детском возрасте протекает как и у взрослых, наблюдается чаще у девочек. Принципы диагностики и лечения аналогичны таковым у взрослых. Профилактика у детей сводится к предупреждению заражения гонореей и в первую очередь от больной матери.

Грибковый артрит у детей встречается редко и только при системных микозах (актиномикозе, кокцидиозе и некоторых других) как следствие генерализации возбудителя. Характерных особенностей течения не имеет. Диагноз ставят с учетом микотического поражения других органов и систем, данных микробиологических, серологических методов исследования и кожно-аллергических проб. Имеет значение исследование биопсированных кусочков тканей. Прогноз серьезный. Лечение антимикотическое.

Дизентерийный артрит в настоящее, время у детей практически не встречается.

Пневмококковый артрит (гнойный) развивается при пневмонии, имеет бактериально-метастатическое происхождение. Протекает так же, как септический артрит.

Септический артрит, так же как у взрослых,— одно из проявлений общего сепсиса. Развивается чаще в раннем детском возрасте, преобладает бактериально-метастатический генез. На фоне картины тяжелого сепсиса возникает гнойный артрит одного или двух суставов обычно коленного, тазо-бедренного, реже — других, с характерной для него симптоматикой: острые боли, припухлость, покраснение кожи, повышение температуры над суставом, вынужденное положение конечности. У резко ослабленных больных симптомы артрита могут быть стертыми. Наличие гноя при пункции сустава служит подтверждением диагноза. Бактериол. исследование суставного выпота и крови позволяет у большинства больных определить возбудителя.

Прогноз серьезен, особенно при поражении тазо-бедренного сустава. Лечение проводят по общим принципам терапии сепсиса и гнойного артрита. (смотри выше Острый гнойный артрит).

Сифилитический артриту детей возникает преимущественно как проявление позднего врожденного сифилиса в виде синовита коленных суставов, описанного Клаттоном (Н. Н. Clutton, 1886). Развивается чаще в возрасте 8—16 лет остро или подостро, иногда после травмы, и характеризуется слабо или умеренно выраженным воспалением обычно обоих суставов. Суставы опухают, в них скапливается экссудат, характерны нерезкие боли, повышение местной температуры, иногда — гиперемия кожи, слабое нарушение функции. В крови — ускорение РОЭ, нейтрофильный лейкоцитоз. Рентгенография суставов обычно не выявляет изменений. Течение затяжное. Если заболевание начинается остро, с высокой температурой, а другие признаки врожденного сифилиса и указания о заболевании матери отсутствуют, то диагноз затруднителен. Сочетание синовита с симптомами врожденного сифилиса встречается относительно редко.По дадным Бореллы (L. Borella) с соавторами (1962), из 8 детей с сифилитическим артритом такое сочетание имелось лишь у двоих (у одного — с паренхиматозным кератитом, у другого — с лабиринтной глухотой, гетчинсоновскими зубами и деформацией носа). Решающее значение в диагностике приобретает положительная реакция Вассермана с кровью и синовиальной жидкостью. Под влиянием специфического лечения (смотри Сифилис) артрит проходит. Предупреждение данной формы артрита — это раннее предупредительное лечение детей, родившихся от больных матерей.

Туберкулезный артрит в большинстве случаев является бактериально-метастатическим и протекает в виде моноартикулярного остеоартрита с локализацией в позвоночнике, тазо-бедренных и коленных, реже других суставах. В детском и юношеском возрасте возникает чаще, чем у взрослых; протекает так же.

Значительно реже отмечается токсико-аллергическая форма туберкулезного артрита (болезнь Понсе) с асимметричным поражением нескольких суставов, в том числе и мелких суставов кистей. По клинической картине этот артрит при остром течении напоминает ревматический, а при затяжном течении — ревматоидный артрит. В дифференциальной диагностике болезни Понсе с ревматизмом и ревматоидным артритом помогает наличие признаков туберкулезной инфицированности и специфических изменений в легких. Изменения в сердце и стойкая деформация суставов отсутствуют. Лечение — противотуберкулезное.

Псориатический полиартрит

Псориатический полиартрит в детском возрасте встречается значительно реже, чем у взрослых. По данным А. А. Студницына с соавторами (1971), из 350 детей, больных псориазом, артрит наблюдался у одного. Клиническая картина псориатического артрита сходна с картиной ревматоидного артрита с подострым, медленно прогрессирующим течением. Отмечается несимметричное поражение отдельных крупных суставов; в отличие от взрослых, суставы стоп и концевые межфаланговые сочленения кистей вовлекаются в процесс редко. Рентгенологически выявляется остеопороз, редко — признаки костно-хрящевой деструкции. Может наблюдаться повышение РОЭ, небольшой нейтрофилез; ревматоидный фактор в крови не определяется. Течение затяжное, с периодическими обострениями.

Диагноз устанавливается с учетом характерных для псориаза кожных высыпаний, однако необходимо помнить, что у детей кожные высыпания скудны и локализация их атипична.

Прогноз благоприятный.

Лечение — лечение основного заболевания (смотри Псориаз) и назначение средств, применяемых при ревматоидном артрите, кроме глюкокортикоидов и препаратов золота.

Кроме того, боли в суставах, мышцах могут наблюдаться при так называемых стероидном псевдоревматизме, являющемся следствием экзогенного гиперкортизонизма при длительном и в больших дозах лечении глюкокортикоидами. Симптомы ликвидируются при снижении дозы гормонов или после их отмены.

При применении некоторых медикаментов, втом числе антибиотиков, сульфаниламидных препаратов, бромидов, йодидов, тиоурацила и других у детей, так же как у взрослых, возможно проявление лекарственной непереносимости в виде артралгии или аллергического медикаментозного артрита. С прекращением введения этих препаратов все явления обычно проходят. При сывороточной болезни возможно развитие синовита аллергического характера.

Астапенко M.Г., Гуобис Г.Я., Канорский И.Д., Михельман М.Д., Пермяков Н.К., Свиридов С.А., Федорова Г.С., Фрейдин Л.М., Эрялис П.С., Яковлева А.А.

⇐ Перейти на главную страницу сайта

⇑ Вернуться в начало страницы ⇑

Библиотека Ordo Deus ⇒

⇐ Артритизм

⇓ Каталог систематический ⇓

Артрогрипоз ⇒

Все статьи в полном изложении, Вы можете найти в большой медицинской энциклопедии — Главный редактор: академик АН СССР (РАН) и АМН СССР (РАМН) Б.В. Петровский. — Москва издательство «Советская энциклопедия» 1989г.

Внимание! Вы находитесь в библиотеке «Ordo Deus». Все книги в электронном варианте, содержащиеся в библиотеке «Ordo Deus», принадлежат их законным владельцам (авторам, переводчикам, издательствам). Все книги и статьи взяты из открытых источников и размещаются здесь только для чтения.

Библиотека «Ordo Deus» не преследует никакой коммерческой выгоды.

Все авторские права сохраняются за правообладателями. Если Вы являетесь автором данного документа и хотите дополнить его или изменить, уточнить реквизиты автора, опубликовать другие документы или возможно вы не желаете, чтобы какой-то из ваших материалов находился в библиотеке, пожалуйста, свяжитесь с нами по e-mail:
info @ ordodeus. ru
Формы для прямой связи с нами находятся в нижней части страниц: контакты и устав «Ordo Deus», для перехода на эти страницы воспользуйтесь кнопкой контакты вверху страницы или ссылкой в оглавлении сайта.

Вас категорически не устраивает перспектива безвозвратно исчезнуть из этого мира? Вы желаете прожить ещё одну жизнь? Начать всё заново? Исправить ошибки этой жизни? Осуществить несбывшиеся мечты? Перейдите по ссылке: «главная страница».

© Ordo Deus, 2010. При копировании ссылка на сайт http://www.ordo-deus.ru обязательна.