Арренобластома

Оглавление

  1. Дорога к бессмертию
  2. Бессмертие и религия
  3. Философия бессмертия
  4. Бессмертие и наука
  5. История анабиоза
  6. Смерть
  7. Кора головного мозга
  8. Бессмертие и анабиоз
  9. Анабиоз, медицина и биология
  10. Анабиоз и экономика
  11. Анабиоз и закон
  12. Анабиоз в Антарктиде
  13. Техническое обеспечение анабиоза
  14. Бессмертие и вера
  15. Библиотека Ordo Deus
  16. Контактная страница Ordo Deus

Арренобластома

Арренобластома (arrhenobla-stoma; греческое arren мужской + blastos росток, зародыш + -ота; синонимы: андробластома, арренома, маскулинома, опухоль из сертолиевых и лейдиговских клеток, аденома сети яичника, тубулярная тестикулярная аденома) — опухоль яичника, обладающая гормональной активностью. Источником возникновения арренобластомы считают остатки недифференцированной половой железы, представленные в яичнике мозговыми тяжами с окружающими стромальными компонентами. Арренобластома относятся к весьма редким опухолям, наблюдаются в любом возрасте, преимущественно в детородном.

В большинстве случаев арренобластома являются доброкачественными. Злокачественные арренобластомы возникают чаще при маскулинизирующей форме (смотрии ниже). Метастазирует арренобластома в регионарныелимфатические узлы.

Патологическая анатомия.

Арренобластома имеет вид солитарного узла диаметром от микроскопического до 20 см. Опухоли микроскопических размеров обнаруживаются всегда в области ворот яичника. Форма узлов овальная или округлая, поверхность их нередко бугристая. Цвет опухоли на разрезе серый или серовато-желтый. Строение ткани носит однородный характер с очагами некрозов и кровоизлияний.

Информация об Ordo Deus Перейти в оглавление сайта

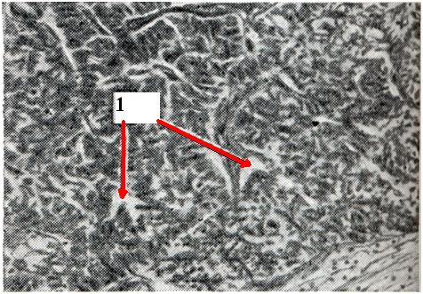
Рис. 1.
Тубулярная аденома: 1—канальцы; ×140.

Микроскопическое строение арренобластомы характеризуется наличием структурных компонентов яичка — канальцев с эпителиальными клетками сустенцитами и стромальных клеток, подобных гландулоцитам. Сустенциты (клетки Сертоли) являются продуцентами эстрогенов, а гландулоциты (клетки Лейдига) выделяют андрогены.

На основании степени дифференцировки опухолевых структур и соотношения эпителиальных и стромальных элементов выделяют три гистологические формы А.: тубулярную аденому, арренобластому промежуточного типа и недифференцированную арренобластому [Мейер (R. Meyer), M. Ф. Глазунов].

Тубулярная аденома (аденома Пика) — самая редкая форма — относится к числу наиболее дифференцированных форм и обладает наименьшим гормональным эффектом. Она состоит из скоплений канальцев (рис. 1), имеющих большое сходство с эмбриональными канальцами семенника. Эпителий канальцев имеет цилиндрическую или призматическую форму с базальио расположенными темными ядрами. Строма опухоли развита слабо и содержит незначительное число богатых липидами интерстициальных лейдиговских клеток.


Арренобластома промежуточного типа состоит из эпителиальных клеток сертолиева типа, располагающихся в виде ветвящихся трабекул, тубулярных образований и отдельных мелких скоплений, окруженных интенсивно развитой стромой (рис. 2). Среди клеток стромы определяются оксифильные, богатые липидами клетки с гиперхромными ядрами, имеющие большое сходство с клетками Лейдига. Арренобластома недифференцированного типа имеет саркомоподобное строение и состоит из разрастаний веретенообразных и отростчатых клеток. Эпителиальные клетки образуют небольшие трабекулярные тяжи. Такой тип арренобластомы дает наибольший маскулинизирующий эффект.

Информация об Ordo Deus Перейти в оглавление сайта

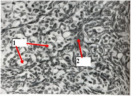
Рис. 2.
Арренобластома промежуточного типа: 1 — тубулярные образования; 2 -строма; ×200.

Клиническая картина.

Клинические проявления при арренобластомы определяются способностью опухоли продуцировать избыток андрогенов или эстрогенов. По степени гормонального эффекта различают маскулинизирующую и феминизирующую формы. Степень выраженности этих форм может быть различной. При маскулинизирующей (наиболее часто встречающейся форме) основным симптомом является дефеминизация: нарушение менструального цикла с последующей стойкой аменореей, огрубение голоса, уменьшение размеров молочных желез. При выраженной андрогенемии развиваются явления вирилизации: гипертрихоз, гипертрофия клитора, телосложение по мужскому типу.

Клинические симптомы при феминизирующей форме связаны с гиперэстрогенемией и сопровождаются маточными кровоте¬чениями, обусловленными развитием железисто-кистозной гиперплазии эндометрия.

Диагноз устанавливается путем пробной лапаротомии и гистологического исследования опухоли.

Дифференциальную диагностику арренобластомы следует проводить с заболеваниями, при которых наблюдается вирилизация, и в первую очередь с андростеромой и болезнью Иценко — Кушинга (смотрии Иценко — Кушинга болезнь). При оценке гистологической картины необходимо исключить другие гормональноактивные опухоли яичника — гранулезо-клеточные, текаклеточные (смотри Текома, Фолликулема).

Особенно большие затруднения возникают при недифференцированной форме аррозии, обнаруживающей большое сходство с текаклеточной опухолью. В этих случаях для установления диагноза необходимым является обнаружение канальцев и тяжей, построенных из клеток сертолиева типа.

Прогноз при доброкачественных формах арренобластомы благоприятный, при злокачественном перерождении — неблагоприятный.

Лечение хирургическое; при злокачественной форме следует произвести кастрацию с удалением матки и придатков с последующей лучевой терапией.

Зайратьянц В.Б.

⇐ Перейти на главную страницу сайта

⇑ Вернуться в начало страницы ⇑

Библиотека Ordo Deus ⇒

⇐ Аритмии сердца

⇓ Каталог систематический ⇓

Артериит ⇒

Все статьи в полном изложении, Вы можете найти в большой медицинской энциклопедии — Главный редактор: академик АН СССР (РАН) и АМН СССР (РАМН) Б.В. Петровский. — Москва издательство «Советская энциклопедия» 1989г.

Внимание! Вы находитесь в библиотеке «Ordo Deus». Все книги в электронном варианте, содержащиеся в библиотеке «Ordo Deus», принадлежат их законным владельцам (авторам, переводчикам, издательствам). Все книги и статьи взяты из открытых источников и размещаются здесь только для чтения.

Библиотека «Ordo Deus» не преследует никакой коммерческой выгоды.

Все авторские права сохраняются за правообладателями. Если Вы являетесь автором данного документа и хотите дополнить его или изменить, уточнить реквизиты автора, опубликовать другие документы или возможно вы не желаете, чтобы какой-то из ваших материалов находился в библиотеке, пожалуйста, свяжитесь с нами по e-mail:
info @ ordodeus. ru
Формы для прямой связи с нами находятся в нижней части страниц: контакты и устав «Ordo Deus», для перехода на эти страницы воспользуйтесь кнопкой контакты вверху страницы или ссылкой в оглавлении сайта.

Вас категорически не устраивает перспектива безвозвратно исчезнуть из этого мира? Вы желаете прожить ещё одну жизнь? Начать всё заново? Исправить ошибки этой жизни? Осуществить несбывшиеся мечты? Перейдите по ссылке: «главная страница».

© Ordo Deus, 2010. При копировании ссылка на сайт http://www.ordo-deus.ru обязательна.