Ангиоэндотелиома

Оглавление

  1. Дорога к бессмертию
  2. Бессмертие и религия
  3. Философия бессмертия
  4. Бессмертие и наука
  5. История анабиоза
  6. Смерть
  7. Кора головного мозга
  8. Бессмертие и анабиоз
  9. Анабиоз, медицина и биология
  10. Анабиоз и экономика
  11. Анабиоз и закон
  12. Анабиоз в Антарктиде
  13. Техническое обеспечение анабиоза
  14. Бессмертие и вера
  15. Библиотека Ordo Deus
  16. Контактная страница Ordo Deus

Ангиоэндотелиома

Ангиоэндотелиома (angioendothelioma; греческое angeion — сосуд + эндотелий + -oma; синонимы: гемангиоэндотелиома, злокачественная ангиоэндотелиома, гемангиоэндотелиобластома, злокачественная ангиома) — злокачественная опухоль, развивающаяся из эндотелия кровеносных или лимф, сосудов (соответственно гемангио- и лимфангиоэндотелиома). Встречается редко. Термин «ангиоэндотелиома» неправильно используют для обозначения как доброкачественных, так и злокачественных опухолей; его следует применять только при определении злокачественных новообразований.



Макроскопически ангиоэндотелиома обычно представляет собой один или несколько узлов (диаметром до 10 см), располагающихся в коже, мягких тканях туловища и конечностей, придаточных пазухах носа, внутренних органах, костях. Узлы мягкой консистенции, белого, розового или темно-красного цвета в зависимости от количества сосудов и степени их кровенаполнения. Ангиоэндотелиома кожи нередко подвергаются изъязвлению.

Информация об Ordo Deus Перейти в оглавление сайта

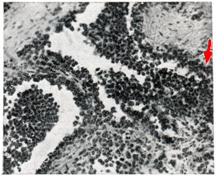
Ангиоэндотелиома (микропрепарат). Пролиферация эндотелия сосудов (указана стрелкой).

Микроскопически ангиоэндотелиома имеет разнообразное строение, но чаще напоминает структуру пролиферирующей капиллярной ангиомы. Между атипичными кровеносными сосудами и в их просветах, в той или иной степени заполненных кровью или белковыми массами, располагаются очаги пролиферирующего эндотелия, формирующего солидные тяжи и альвеолярные комплексы (рис.). Иногда опухолевые клетки целиком заполняют просвет атипичных сосудов, и ангиогенную природу опухоли удается установить только с помощью метода импрегнации, выявляющего сосудистые мембраны. Гистогенез связывают с сосудистым эндотелием, адвентициальными камбиальными элементами и зародышевой ретикулярной тканью. Клиника ангиоэндотелиомы определяется локализацией опухоли и скоростью ее роста. Ангиоэндотелиома мягких тканей конечностей обычно отличаются агрессивным течением и быстро рецидивируют. Метастазирование изучено недостаточно, происходит гематогенным и лимфогенным путями. Лечение чаще комбинированное — облучение с последующей хирургической операцией. В некоторых случаях временный эффект дает химиотерапия алкилирующими препаратами. Прогноз в большинстве случаев неблагоприятный.

Смотри также Опухоли.

Соловьев Ю.Н.






⇐ Перейти на главную страницу сайта

⇑ Вернуться в начало страницы ⇑

Библиотека Ordo Deus ⇒

⇐ Ангиофиброма

⇓ Каталог систематический ⇓

Андростерома ⇒

Все статьи в полном изложении, Вы можете найти в большой медицинской энциклопедии — Главный редактор: академик АН СССР (РАН) и АМН СССР (РАМН) Б.В. Петровский. — Москва издательство «Советская энциклопедия» 1989г.

Внимание! Вы находитесь в библиотеке «Ordo Deus». Все книги в электронном варианте, содержащиеся в библиотеке «Ordo Deus», принадлежат их законным владельцам (авторам, переводчикам, издательствам). Все книги и статьи взяты из открытых источников и размещаются здесь только для чтения.

Библиотека «Ordo Deus» не преследует никакой коммерческой выгоды.

Все авторские права сохраняются за правообладателями. Если Вы являетесь автором данного документа и хотите дополнить его или изменить, уточнить реквизиты автора, опубликовать другие документы или возможно вы не желаете, чтобы какой-то из ваших материалов находился в библиотеке, пожалуйста, свяжитесь с нами по e-mail:
info @ ordodeus. ru
Формы для прямой связи с нами находятся в нижней части страниц: контакты и устав «Ordo Deus», для перехода на эти страницы воспользуйтесь кнопкой контакты вверху страницы или ссылкой в оглавлении сайта.

Вас категорически не устраивает перспектива безвозвратно исчезнуть из этого мира? Вы желаете прожить ещё одну жизнь, начав всё заново? Вы желаете прожить ещё одну жизнь без ошибок совершённых в этой жизни? Вы желаете прожить ещё одну жизнь, осуществив в ней мечты несбывшиеся в этой жизни? Перейдите по ссылке: «главная страница».

© Ordo Deus, 2010. При копировании ссылка на сайт http://www.ordo-deus.ru обязательна.