Амебиаз

Оглавление

  1. Дорога к бессмертию
  2. Бессмертие и религия
  3. Философия бессмертия
  4. Бессмертие и наука
  5. История анабиоза
  6. Смерть
  7. Кора головного мозга
  8. Бессмертие и анабиоз
  9. Анабиоз, медицина и биология
  10. Анабиоз и экономика
  11. Анабиоз и закон
  12. Анабиоз в Антарктиде
  13. Техническое обеспечение анабиоза
  14. Бессмертие и вера
  15. Библиотека Ordo Deus
  16. Контактная страница Ordo Deus

Амебиаз

Амебиаз (amoebiasis; синоним: амебная дизентерия) — протозойная болезнь человека, вызываемая Entamoeba histolytica и характеризующаяся развитием рецидивирующего геморрагически-язвенного колита, иногда осложняющегося абсцессами различных органов.

Распространение.

Достоверной статистики заболеваемости амебиазом нет. При изучении инфицированности Е. histolytica населения разных стран получены неодинаковые данные. Это связано с рядом причин и, в частности, с тем, что некоторые авторы относили к Е. histolytica непатогенную Е. hartmanni. Средняя частота обнаружения Е. histolytica — 10 — 15%. Преобладающее большинство инфицированных — амебоносители. Клинически выраженные формы амебиоза среди больных кишечными расстройствами в зоне умеренного климата составляют 1—2%, а в Африке, Южной Азии, Центральной и Южной Америке — до 20%. Возможность эпидемических вспышек амебиаза сомнительна.

Этиология амебиаза.

Возбудитель амебиаза Entamoeba histolytica, дизентерийная амеба (синонимы: Amoeba coli, Entamoeba dysenteriae, Entamoeba tetragena). Entamoeba histolytica принадлежит к семейству Entamoebidae, отряду Amoebida, подклассу Rhizopoda, классу Sarcodina, типу Protozoa. Возбудитель амебиаза описан в 1875 г. русским ученым Ф. А. Лешем. Леш экспериментально доказал патогенность амебы, обнаруженной у больного кровавым поносом.

В цикле развития Е. histolytica имеются две стадии: вегетативная и стадия покоя, или цисты. В вегетативной стадии различают следующие формы: тканевую, большую вегетативную, просветную и предцистную. Тканевая и большая вегетативная формы обнаруживаются при остром амебиазе, просветная и нредцистная формы — в период реконвалесценции и у цистовыделителей.

Тканевая форма (рис.1, 1) обнаруживается при гистологическом исследовании участков пораженных тканей. Иногда тканевую форму можно обнаружить в выделениях из кишечника. Тканевая форма имеет размер 20—25 мкм. Цитоплазма гомогенная без заглоченных частиц, по периферии имеется узкий ободок эктоплазмы. В свежих препаратах можно наблюдать эктоплазматические псевдоподии, активные поступательные движения. На окрашенных гематоксилином препаратах цитоплазма серого цвета, ядро в виде правильного кольца черного цвета с маленькой кариосомой в центре.

Большая вегетативная форма (рис. 1, 2). Размер 30 — 60 мкм. У свежевыделенной амебы ясно видно разделение цитоплазмы на экто- и эндоплазму. В последней могут быть видны фагоцитированные эритроциты; такие амебы называются эритрофагами. В окрашенных препаратах морфологические признаки цитоплазмы и ядра сходны с таковыми у тканевой формы. Эритроциты окрашиваются в черный цвет.

Просветная форма (рис. 1, 3) может быть обнаружена в фекалиях цистоносителей после приема слабительного. Размер 15—20 мкм. Цитоплазма мелко вакуолизирована. В спокойном состоянии разделения цитоплазмы на экто- и эндоплазму не видно. При движении образует эктоплазматические псевдоподии. Эритроцитов не фагоцитирует. Строение ядра такое же, как у тканевой формы.

Предцистная форма (рис. 1, 4). Размер 15—20 мкм. Цитоплазма гомогенная без вакуолей и фагоцитированных частиц. У свежих амеб движение слабо выражено. Ядро такоеже, как у других форм.

Цисты обнаруживаются у больных в период реконвалесценции или у цистоносителей. Форма круглая, редко овальная. Размер 9—14 мкм. В зависимости от зрелости цисты имеют от 1 до 4 ядер (рис. 2). Строение ядер такое же, как у вегетативных форм. В цистах имеется гликоген и хроматоидные тела, последние в окрашенных препаратах имеют вид палочек или брусочков черного цвета.



Эпидемиология.

Амебиаз широко распространен на территориях с жарким климатом. Основным источником инфекции при амебиазе является человек, выделяющий с калом во внешнюю среду в некоторые дни до 6 млн. цист амеб в 1 г кала. Е. histolytica изредка находили у обезьян, собак, кошек, свиней, крупного рогатого скота, крыс. Цисты амеб в фекалиях при ta 13 —17° остаются жизнеспо¬собными до 15 дней. На поверхности почвы летом при t° 10—50° они погибают через 2—3 дня. В кишечнике мухи цисты жизнеспособны 22 часа, в испражнениях мух — 1 час. Вегетативные формы в фекалиях дегенерируют уже через 15—20 минут. Заражение амебиазом происходит при проглатывании цист амеб с загрязненной пищей и водой. Цисты заносятся на продукты питания инфицированными руками и мухами.

Информация об Ordo Deus Перейти в оглавление сайта

Рис. 1.
Entamoeba histolytica — вегетативная стадия: 1 — тканевая форма; 2 — большая вегетативная форма; з — просветная форма; 4 — предцистная форма.
Рис. 2.
Entamoeba histolytica — цисты (сверху вниз): 1, 2, 3 и 4-ядерные.

Патологическая анатомия амебиаза.

Вегетативные формы Entamoeba histolytica вызывают в толще кишечной стенки или в других органах отечное набухание (рис. 3) и некроз тканей. В местах паразитирования амеб ткань утрачивает ядра, становится гомогенной и постепенно расплавляется. Клеточная реакция на повреждение выражена очень слабо: лишь кое-где накапливается немного лимфоцитов или происходит небольшая пролиферация гистиоцитов. Значительное скопление лейкоцитов является признаком присоединения вторичной бактериальной инфекции, часто (особенно в кишечнике) осложняющей амебиаз. Вторичная инфекция (стафилококковая, стрептококковая или вызванная кишечными бактериями) ускоряет расплавление тканей, поврежденных амебами, и придает очагу гнойный, а в случае анаэробной инфекции — гангренозный характер. Амебные поражения разных органов в общем сходны, но их развитие и исходы отличаются некоторыми важными особенностями.

Амебиаз кишечника является основной формой заболевания. В отличие от бактериальной дизентерии, для которой типична (хотя и не обязательна) преимущественная .локализация воспалительного процесса в слизистой оболочке дистального участка кишечника, при амебиазе поражения возникают главным образом в слепой и восходящей ободочной кишках. Наибольшие изменения (10—17,5%, по разным авторам) обнаруживаются в толстой, сигмовидной и прямой кишках. На секционном материале (при тяжелых и запущенных формах болезни) почти в половине случаев наблюдались множественные поражения всей толстой кишки.

Информация об Ordo Deus Перейти в оглавление сайта

Рис. 3.
Амебы (в верхнем углу слева) в резко набухшей и бедной клеточными элементами подслизистой оболочке под мало измененной слизистой оболочкой толстой кишки (×220).

При амебиазе кишечника наиболее ранние изменения слизистой оболочки обнаруживаются в виде красного пятнышка с желтовато-белой точкой посредине. В дальнейшем развиваются очень характерные язвы, похожие на округлые или овальные бляшки, достигающие 1— 2 см в поперечнике и несколько возвышающиеся над поверхностью почти не измененной слизистой оболочки. Края таких очажков умеренно гиперемированы, а в их центральных участках отсутствует слизистая оболочка. Дефект долгое время бывает выполнен некротизи-рованной тканью, разволокненной (как бы волосатой), окрашенной в зеленовато-серый, желтоватый или грязно-бурый цвет. Некроз и набухание захватывают в основном подслизистый слой, распространяясь в стороны и под сохранившуюся слизистую оболочку. При микроскопических исследованиях на границе омертвения тканей обнаруживаются амебы.

При амебиазе в кишечнике наблюдаются поражения разной давности. После расплавления омертвевших тканей образуются язвы с подрытыми и нависающими краями. Они могут зажить почти без следа. При углублении язв возможны прободения. На секционном материале прободения, иногда множественные, отмечаются у 11—40% больных амебиазом. Если язва углубляется медленно, перфорация может быть предотвращена развитием спаек с соседними органами и брюшиной. Спайки и рубцевание язв изредка приводят к сужению просвета кишечника. Еще реже происходит избыточное развитие грануляционной ткани с образованием опухолевидных утолщений кишечной стенки — «амебом». В регионарных лимф, узлах кишечника специфических изменений при амебиазе не бывает (некоторые исследователи, описавшие такие изменения, принимали за амеб похожие на них гиперплазированные макрофаги). Распространение амеб по кровяному руслу происходит довольно часто. Метастатические очаги возникают преимущественно в печени.

Абсцессы печени на вскрытиях обнаруживаются в 36,5% всех случаев амебиаза. По существу, это не абсцессы, а крупные очаги некроза. Они имеют неправильно округлую форму, студенисты и окрашены в желтоватый или сероватый цвет.

При расплавлении некротических масс образуются полости с полужидким грязно-серым или коричневатым (из-за примеси крови) содержимым. Остатки соединительнотканных прослоек придают внутренней поверхности таких полостей волосатость или сходство с губкой. Зона некроза долгое время ничем не отграничена, и отдельные очажки сливаются друг с другом. На их периферии можно найти амебы, редко встречающиеся в содержимом «абсцессов». Со временем образуется фиброзная капсула, а небольшие очажки некроза под влиянием терапии полностью рубцуются. Настоящие гнойники образуются при вторичной бактериальной инфекции. Кишечная палочка и анаэробы придают гною резкое зловоние. Абсцессы печени, одиночные и множественные, чаще наблюдаются в правой ее доле.

При отсутствии лечения они достигают очень больших размеров — до головы ребенка и больше.

К довольно редким осложнениям амебиаза относятся метастатические абсцессы мозга. Они, как и в печени, представляют собой очаги некроза и размягчения со слабой клеточной реакцией и амебами на границе с сохранившимися тканями.

Сравнительные электронномикро-скопические исследования показали, что трофозоиты Е. histolytica, культивируемые in vitro, не имеют существенных отличий от трофозоитов, полученных из кишечника больного человека [Эль-Хашими и Питтмен (W. El-Hashimi, F. Pittman), 1970] или находящихся в ткани печени искусственно зараженных хомяков [Лоу и Мегрейт (С. Y. Lowe, В. G. Maegraith), 1970]. Первые из упомянутых авторов, не обнаружив ультраструктурных признаков внеклеточного выделения паразитами энзимов, пришли к выводу, что литические энзимы, с которыми связаны патогенные свойства Е. histolytica, освобождаются лишь после отмирания амеб.

С 1965 г. публикуются сообщения о первичных амебных менингоэнцефалитах, возникающих в виде небольших эпидемий в разных странах, в том числе и в европейских. Эти заболевания, быстро приводящие к смерти, вызывают не Е. histolytica, а свободноживущие амебы из рода Naegleria. Заражение происходит во время купания в бассейнах. Амебы проникают в слизистую оболочку носа, а затем по ходу нитей обонятельного нерва — в полость черепа. Наиболее тяжелые деструктивные и воспалительные изменения происходят в bulbus olfactorius, но распространяются и на оболочки мозга (особенно его основания), в поверхностных слоях которого обнаруживаются геморрагические некрозы. Воспалительный экссудат в оболочках состоит из полиморфноядерных лейкоцитов и макрофагов, среди которых находятся амебы, особенно многочисленные в периваскулярных пространствах мелких кровеносных сосудов.

Патогенез.

В основе патогенеза амебиаза лежит внедрение амеб в стенку и иногда в кровеносные сосуды кишечника, что обусловливается их подвижностью и выделением ими гиалуронидазы и, возможно, других ферментов, лизирующих ткани. Проникновению амеб способствуют и некоторые бактерии, продуцирующие гиалуронидазу. В кишечнике возникают язвы, а при гематогенной диссеминации амеб — поражения печени и других органов. Следует учитывать и сенсибилизацию аллергенами амеб и аутоаллергенами больного. У значительной части инфицированных Е. histolytica остается в просвете кишечника и на поверхности его стенки, не вызывая специфических изменений. Эти различия зависят от вирулентности штаммов амеб, индивидуальных особенностей заразившихся амебиазом людей. Клинически выраженные формы амебиаза и его осложнения встречаются чаще в зоне тропического и субтропического климата, что, возможно, связано с перегреванием, расстройствами водного и солевого обмена, особенностями питания и быта населения.

Клиническая картина. Инкубационный период — от недели до нескольких месяцев. Болезнь начинается остро или с продромального периода, когда больные жалуются на недомогание, слабость, понижение аппетита, нередко боли в животе, головные боли. Затем появляется понос до 5 — 15 раз в сутки и более. Кал содержит стекловидную слизь и часто кровь. Последняя иногда пропитывает слизь, и тогда фекалии приобретают вид малинового желе. В особо тяжелых случаях амебиаза, обычно при сочетании с бактериальной дизентерией, при обширных некрозах в кишечнике стул приобретает зловонный запах. Обычны схваткообразные боли в животе, тенезмы, жжение в дистальном отделе толстой кишки. Температура, как правило, нормальная или субфебрильная. Язык обложен беловатым налетом. Живот вздут, болезнен при пальпации в подвздошных областях. Слепая кишка утолщена и пастозна, сигмовидная — спастически сокращена. При ректороманоскопии видна отечность и очаговая гиперемия слизистой оболочки прямой и сигмовидной кишок, усиленная продукция слизи, эрозии и часто с подрытыми, приподнятыми краями язвы, содержащие некротические массы и окруженные пояском гиперемии (цветной рисунок). При отсутствии специфического лечения понос продолжается от одной до нескольких недель. Число дефекаций постепенно уменьшается, кровь, а позднее и слизь из стула исчезают.

Информация об Ordo Deus Перейти в оглавление сайта

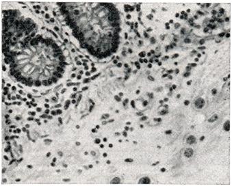
Рис. 3.
Хронический кишечный амебиаз (ампула прямой кишки): 1 — кишечный просвет; 2 — нагноившиеся лимфоидные фолликулы.
Рис. 4.
Хронический кишечный амебиаз (ампула прямой кишки): 5 — кишечный просвет; 2 — язва (в центре — наложение гноя, окруженное зоной грануляции; на периферии — геморрагический поясок).
Рис. 5.
Поражение кишечника при амебной дизентерии.

Однако самопроизвольное излечение наступает редко, обычно болезнь принимает хроническое течение со сменой периодов обострений и ремиссий. Клиническая картина обострений аналогична проявлениям острой формы амебиаза. При длительном течении хронический амебиаз развивается астения, упадок питания, гипоавитаминозы, иногда кахексия. Существуют и стертые формы амебиаза, при которых время от времени наступают незначительные кишечные расстройства.

У детей острый амебиаз иногда начинается с повышения температуры, которая обычно не бывает высокой; через 3—5, реже через 8 дней лихорадка прекращается. Появляется бледность, сонливость, вялость, понижение аппетита, тошнота, реже рвота, вздутие живота, стул до 10 —15 раз в сутки.Испражнения вначале кашицеобразные или жидкие, у детей первого года жизни — зеленого цвета. Через несколько дней в кале появляется примесь слизи и крови.

При пальпации живота болезненность и спастическое состояние толстой кишки. При поражении сигмовидной и прямой кишок — болезненность при дефекации, тенезмы; у маленьких детей при этом покраснение лица; они кричат; иногда наблюдается выпадение слизистой оболочки прямой кишки. Нередко наступает анемизация. У некоторых больных нейтрофильный лейкоцитоз со сдвигом формулы влево; иногда лейкопения. РОЭ часто ускорена. Общий белок сыворотки крови снижен за счет альбуминов. Пульс учащен, тоны сердца приглушены. Артериальное давление часто снижено. У детей раннего возраста нередко возникают бронхиты, пневмонии. В тропических странах у новорожденных амебиаз иногда вначале протекает как токсическая диспепсия. Острая форма кишечного амебиаз обычно продолжается 2 — 3 недели. Стул постепенно нормализуется, исчезают слизь и кровь. Однако при отсутствии правильного лечения через несколько недель, иногда месяцев и даже лет наступает рецидив болезни. При затяжном течении амебиаза понижается успеваемость школьников, наступает слабость, вялость, появляются головокружения, похудание, боли в животе, полигиповитаминозы с преимущественным дефицитом витаминов комплекса В.

Осложнения бывают кишечные и внекишечные. К первым относятся перитонит, сужение кишечника, амебома и другое, ко вторым — поражения печени и других органов, обусловленные заносом в них амеб из кишечника гематогенным путем. Общий и местный перитонит возникает в результате перфорации стенки кишечника при язвенно-некротическом процессе или при периколите. Симптоматология перитонита обычно такая же, как и при перфоративных перитонитах другой этиологии, но нередко, особенно при назначении большого количества антибиотиков, он протекает вяло, при слабо выраженном болевом синдроме. При образовании в кишечнике на месте глубоких язв рубцов, при спайках в брюшной полости и изредка при амебоме возникает относительная непроходимость его. Другие кишечные осложнения — выпадение прямой кишки, амебный аппендицит, кишечные кровотечения.

Из внекишечных осложнений чаще встречаются амебный гепатит и абсцесс печени, которые возникают во время острого амебиаза кишечника, вслед за ним или спустя несколько месяцев или лет. Лишь у отдельных больных в таких случаях наличие в прошлом амебиаза установить не удается. При амебном гепатите печень увеличена, уплотнена, функции ее нарушены.

Больные амебным абсцессом печени жалуются на боли в правом, реже левом подреберье, эпигастрии. У большинства больных возникает лихорадка — ремиттирующая или гектическая, постоянная, неправильная. Окраска кожи нормальная или бледная. Желтуха, обусловленная сдавлением абсцессом общего желчного протока, встречается редко. Ходят больные осторожно, согнувшись в сторону поражения. Печень увеличенная, болезненная. Иногда удается определить перигепатический шум трения и наличие на поверхности органа куполообразного выпячивания. Рентгенологически устанавливают высокое стояние правого, изредка левого купола диафрагмы, иногда локальное выпячивание ее. При гепатолиенографии абсцесс выглядит на фоне печени как просветление с нечеткими контурами. Иногда возникает сухой или экссудативный плеврит, базальная пневмония. При крупном абсцессе левой доли печени — смещение сердца. В крови — нейтрофильный лейкоцитоз со сдвигом влево, изредка нормальное количество лейкоцитов и даже лейкопения; РОЭ ускорена. При длительном течении болезни — вторичная гипохромная анемия.

Различают острые, подострые и хронические формы амебного абсцесса печени. При первой — высокая лихорадка, тяжелая интоксикация. Летальный исход может наступить через 1—2 недели, реже позднее. При подострой форме бурное течение болезни быстро сменяется более доброкачественным, температура снижается, интоксикация уменьшается. Среди хронических форм абсцесса печени различают первично- и вторично-хронические. При первой форме болезненный процесс развивается медленно, температура нормальная или субфебрильная, боли в животе незначительные, аппетит понижен. При вторично-хронической форме острое вначале течение болезни становится вялым, затяжным. Абсцесс печени может вскрыться в желчный пузырь, общий желчный проток, под диафрагму, в плевру, легкие, перикард, брюшную полость, желудок, правую почку, воротную, нижнюю полую и печеночные вены.

Поражения легких возникают и вследствие проникновения в них амеб из кишечника гематогенным путем. Различают две формы амебиаза легких — пневмопатию и абсцесс. При пневмопатии — боли в груди, кашель сухой или со скудной мокротой, имеющей иногда примесь крови. Температура нормальная или субфебрильная. При перкуссии — притупление, при аускультации — субкрепитирующие хрипы, рентгенологически — затемнение без признаков полости. РОЭ ускорена, число лейкоцитов в норме или имеется небольшой нейтрофильный лейкоцитоз. Течение вялое, при отсутствии специфического лечения — с переходом в абсцесс легкого, который характеризуется кашлем с обильной мокротой шоколадного цвета, язвенным ларингитом и трахеитом; рентгенологически — полость с горизонтальным уровнем жидкости, иногда эмпиема плевры.

В головном мозге при заносе в него амеб возникает абсцесс с очаговыми и общемозговыми симптомами. Амебные абсцессы описаны в селезенке и других органах. Проникновение амеб в кожу приводит к язвам и некрозам на промежности, ягодицах, на месте прорыва абсцессов печени и легких, около фистул кишечника. Описаны амебные поражения влагалища, шейки матки.

Диагноз.

Амебиаз кишечника необходимо дифференцировать с бактериальной дизентерией, балантидиазом, язвенным неспецифическим колитом. В распознавании амебного язвенного колита решающее значение имеет обнаружение в фекалиях вегетативной формы Е. histolytica с фагоцитированными эритроцитами, для чего иногда необходимо предварительное назначение слабительного. При хронических, подострых и стертых формах амебного колита и у паразитоносителей можно обнаружить лишь цисты и предцистные формы амеб; первые необходимо дифференцировать от более мелких цист непатогенной Е. hartmanni. При невозможности исследования на месте испражнения пересылают в лабораторию, размешав 1 г их в 3 мл консерванта следующего состава: 0,2% водного раствора азотнокислого натрия — 80 мл, формалина — 10 мл, раствора Люголя — 2 мл, глицерина — 2 мл.

В отличие от бактериальной дизентерии, при амебиазе общая интоксикация обычно отсутствует, температура нормальная или субфебрильная, поражения слизистой оболочки прямой и сигмовидной кишок очагового характера. В стуле при амебиазе макрофаги, эозинофилы, кристаллы Шарко — Лейдена, скудное количество нейтрофилов. Амебиаз и бактериальная дизентерия нередко сочетаются. Балантидиаз распознается при обнаружении в стуле инфузории Balantidium coli. При неспецифическом язвенном колите — частые кишечные кровотечения, интермиттирующая или гектическая лихорадка, фекалии имеют вид мясного фарша, РОЭ до 40—90 мм в 1 час.

При распознавании абсцесса печени учитывают данные пальпации, рентгенологического исследования, сканограммы, иногда прибегают к пункции органа; получение гноя шоколадного цвета указывает на амебиаз.

На амебный абсцесс мозга указывает наличие неврологических симптомов и амебиаза кишечника в настоящем или прошлом. Для амебиаза кожи характерна локализация процесса и изъязвления с некротическим ободком. При всех формах амебиаза ценные данные получают от серологических реакций — преципитации в геле и флуоресцирующих антител.

Прогноз при своевременном распознавании и лечении благоприятный, он становится серьезным при осложнениях, но и в этом случае сочетание специфической терапии с хирургическим вмешательством, как правило, спасает жизнь больного.

Лечение.

Специфическая терапия проводится преимущественно эметином и метронидазолом. Эметин эффективен только при остром кишечном и внекишечном амебиазе. Лечение им проводится лишь в больничных условиях. Препарат вводят под кожу или внутримышечно в виде 1 или 2% раствора. Суточную дозу взрослому (0,06 г, реже 0,08 г препарата) делят на два введения. Суточные дозы для детей: от 6 мес. до 1 года — 0,005 г; от 1 года до 2 лет — 0,01 г; от 2 до 5 лет — 0,015—0,02 г; от 5 до 9 лет — 0,03 г; от 9 до 15 лет — 0,04 г. Детям до 6 месяцев эметин не назначают. Цикл лечения — 6—8 дней, при необходимости через 10—15 дней его повторяют. Возможны побочные явления: рвота, миалгии, невриты, поражения миокарда. Тогда препарат отменяют. При стихании симптомов острого кишечного амебиаза назначают хиниофон или антибиотики. Хиниофон (синоним ятрен) применяют внутрь по 0,5 г три раза в день в течение 5 дней; после перерыва в 5 дней — второй цикл лечения. Суточные дозы детям: 1—2 лет — 0,1 г; 2—3 лет — 0,15 г; 3—4 лет — 0,2 г; 4—5 лет — 0,25 г; 5—6 лет — 0,3 г; 6—8 лет — 0,45 г; 8—12 лет — 0,6 г; 12—13 лет — 0,7 г; 13—15 лет — 1,0 г; 16 лет и старше — 1,5 г. Мономицин дают внутрь в течение 5 дней по 150 000 ЕД четыре раза в день; проводят два цикла с интервалом в 5 дней. Детям до 5 лет — по 10 000—25 000 ЕД на 1 кг веса в сутки, детям 5 лет и старше — по 100 000 ЕД три-четыре раза в день. Хлортетрациклин (син. биомицин) назначают внутрь по 0,2—0,3 г четыре раза в день в течение 7 —10 дней; детям до 3 лет — 25 мг на 1 кг веса в сутки в четыре приема, детям старше 3 лет — по 0,075—0,1 г три-четыре раза в день. Окситетрациклин (синоним террамицин) применяется по 0,2 г четыре раза в день в течение 10 дней; детям до 3 лет — 25 мг на 1 кг веса в сутки, детям старше 3 лет по 0,075—0,1 г три-четыре раза в день.

Антибиотики не обладают свойством прямого амебоцидного действия, но они изменяют микрофлору кишечника и создают неблагоприятные условия для жизни амеб.

Метронидазол (синонимы: трихопол, флагил) эффективен при всех формах амебиаза. Препарат назначают по 0,5 г три раза в день в течение 3—5 дней; детям суточная доза 25—30 мг на 1 кг веса. При амебных абсцессах и амебиазах кожи его дают по 2,5 г в день в течение 1—3 дней.

При внекишечном амебиазе эффективно применение делагила (синонимы: резохин, хингамин, хлорохин) в сочетании с эметином. Первый препарат назначают внутрь по 0,25 г два раза в день в течение 2—3 недель или по 0,25 г три раза в день в течение 7 дней. Эметин в виде 1% раствора вводят под кожу в суточной дозе 0,01 г (1 мл раствора) в течение 20 дней. Для подавления кишечного амебиаза при лечении хлорохином и эметином дают дополнительно хиниофон или антибиотики. Крупные абсцессы вскрывают или опорожняют с помощью пункции, после чего в полость вводят жидкость следующего состава: делагила 5% — 5 мл, пенициллина — 500 000 ЕД7 стрептомицина — 0,5 г, изотонического раствора хлорида натрия — 20 мл.

Важное значение имеет общая укрепляющая терапия — калорийная диета, витамины, железо, мышьяк, аутогемотерапия и прочее. Диета: слизистые супы, протертые каши, мясные паровые блюда, простокваша, сухари, соки, крепкий чай, кофе.

В упорных случаях хорошие результаты может дать перемена климата.

Профилактика.

Больной амебиазом подлежит госпитализации на весь период лечения. Персонал учреждений общественного питания подлежит обследованию 2 раза в год. При обнаружении у работников общественного питания и детских учреждений цист или просветных форм Е. histolytica производится санация хиниофоном без отстранения от работы, а при расстройстве кишечника — лечение. Необходимо соблюдение мер общественной и личной гигиены. В больницах фекалии больных смешивают с двукратным по объему количеством 0,5% раствора лизола и смесь оставляют стоять 15—20 минут. Мероприятия по прерыванию путей передачи амебиаза такие же, как и при других кишечных инфекциях.

Войно-Ясенецкий M.В., Павлова Б.А., Плотников H.H.

⇐ Перейти на главную страницу сайта

⇑ Вернуться в начало страницы ⇑

Библиотека Ordo Deus ⇒

⇐ Амавротическая идиотия (БМЭ)

⇓ Каталог систематический ⇓

Аменорея ⇒

Все статьи в полном изложении, Вы можете найти в большой медицинской энциклопедии — Главный редактор: академик АН СССР (РАН) и АМН СССР (РАМН) Б.В. Петровский. — Москва издательство «Советская энциклопедия» 1989г.

Внимание! Вы находитесь в библиотеке «Ordo Deus». Все книги в электронном варианте, содержащиеся в библиотеке «Ordo Deus», принадлежат их законным владельцам (авторам, переводчикам, издательствам). Все книги и статьи взяты из открытых источников и размещаются здесь только для чтения.

Библиотека «Ordo Deus» не преследует никакой коммерческой выгоды.

Все авторские права сохраняются за правообладателями. Если Вы являетесь автором данного документа и хотите дополнить его или изменить, уточнить реквизиты автора, опубликовать другие документы или возможно вы не желаете, чтобы какой-то из ваших материалов находился в библиотеке, пожалуйста, свяжитесь с нами по e-mail:
info @ ordodeus. ru
Формы для прямой связи с нами находятся в нижней части страниц: контакты и устав «Ordo Deus», для перехода на эти страницы воспользуйтесь кнопкой контакты вверху страницы или ссылкой в оглавлении сайта.

Вас категорически не устраивает перспектива безвозвратно исчезнуть из этого мира? Вы желаете прожить ещё одну жизнь, начав всё заново? Вы желаете прожить ещё одну жизнь без ошибок совершённых в этой жизни? Вы желаете прожить ещё одну жизнь, осуществив в ней мечты несбывшиеся в этой жизни? То, что Вам нужно, Вы найдете, щёлкнув по ссылке: «главная страница».

© Ordo Deus, 2010. При копировании ссылка на сайт http://www.ordo-deus.ru обязательна.