Актиномикоз

Оглавление

  1. Дорога к бессмертию
  2. Бессмертие и религия
  3. Философия бессмертия
  4. Бессмертие и наука
  5. История анабиоза
  6. Смерть
  7. Кора головного мозга
  8. Бессмертие и анабиоз
  9. Анабиоз, медицина и биология
  10. Анабиоз и экономика
  11. Анабиоз и закон
  12. Анабиоз в Антарктиде
  13. Техническое обеспечение анабиоза
  14. Бессмертие и вера
  15. Библиотека Ordo Deus
  16. Контактная страница Ordo Deus

Актиномикоз

Актиномикоз (actinomycossi; греческое. aktis — луч + mykes — гриб + -osis) — хроническое инфекционное неконтагиозное заболевание человека и животных, вызываемое лучистыми грибками.

Оглавление

1 — Актиномикоз

2 — Статистика и географическое распространение

3 — Эпидемиология

4 — Патогенез

5 — Патологическая анатомия

6 — Клиническая картина

7 — Торакальный актиномикоз

8 — Абдоминальный актиномикоз

9 — Параректальный актиномикоз

10 — Актиномикоз моче-половых органов

11 — Актиномикоз костей

12 — Актиномикоз центральной нервной системы

13 — Актиномикоз кожи

14 — Актиномикоз лица

15 — Генерализованный актиномикоз

16 — Осложнения

17 — Диагностика и дифференциальная диагностика

18 — Рентгенодиагностика актиномикоза

19 — Эндоскопические методы исследования

20 — Лабораторные методы исследования

21 — Прогноз

22 — Лечение

Первые указания на связь лучистых грибков с гнойным заболеванием у рогатого скота принадлежат Боллингеру (О. Bollinger, 1877); он же предложил и современное название заболевания, хотя колонии лучистых грибков наблюдались и ранее [Лангенбек (B.Langenbeck), 1845; Лебер (Н. Lebert), 1848]. Культура аэробных лучистых грибков была получена в 1885 г. [Бострем (Е. W. Bostroem)], а в 1891 г. Израэль и Вольфф (J. Israel, M. Wolff) выделили из актиномикозного узла у человека культуру анаэробного лучистого грибка.

Большинство зарубежных авторов считает истинным возбудителем актиномикоза лишь анаэробные лучистые грибки, тогда как отечественные ученые, основываясь на работах С. Ф. Дмитриева, признают возбудителями актиномикоза и аэробные, и анаэробные лучистые грибки (смотриАктиномицеты).

Значительный вклад в развитие учения об актиномикозе внесли С. Ф. Дмитриев, Г. О. Сутеев, Д. И. Аснин, М. В. Фирюкова и другие.

2 — Статистика и географическое распространение

Учет актиномикоза в России и за рубежом не является обязательным. Случаи заболевания актиномикозом зарегистрированы почти во всех странах мира. Данные о числе больных актиномикозом в той или иной стране приводятся в литературе на основании суммации опубликованных описаний отдельных наблюдений. Г. О. Сутеев (1951) объяснял рост актиномикоза улучшением диагностики заболевания.

По данным Института медицинской паразитологии и тропической медицины МЗ СССР им. Е. И. Марциновского, в СССР ежегодно регистрируется около 800 выявленных случаев актиномикоза.

Больные актиномикозом составляют 2,5— 10% среди больных с хроническими гнойными процессами различных локализаций.

Мужчины болеют актиномикозом в 2 раза чаще, чем женщины. Преимущественно поражаются лица в возрасте 21—40 лет.

3 — Эпидемиология

Актиномикоз развивается чаще в осенне-зимний период, что объясняется учащением простудных заболеваний как благоприятного фона для возникновения заболевания.

Нет оснований считать актиномикоз профессиональным заболеванием: распределение больных актиномикозом по профессиям пропорционально соотношению общественных групп населения на данной территории. Случаи заболевания актиномикозом регистрируются чаще там, где лучше развито медицинское обслуживание населения.

Описаны энзоотии актиномикоза у рогатого скота.

4 — Патогенез

Экзогенная теория заражения утратила к настоящему, времени доминирующее значение. Согласно эндогенной теории, возбудителями актиномикоза у человека являются, как правило, лучистые грибки, постоянно сапрофитирующие в организме (полость рта, желудочно-кишечный тракт, верхние дыхательные пути и другое).

Возникновению заболевания способствует снижение сопротивляемости организма вследствие заболевания (грипп, туберкулез, диабет и другие), переохлаждения, беременности и прочее. Защитная функция слизистой оболочки нарушается предшествующим местным воспалительным процессом или травмой, нарушающей ее целость, в том числе в результате оперативного вмешательства. В патогенезе актиномикоза своеобразную роль играют слюнные, желчные, мочевые, каловые конкременты: они являются одновременно и травмирующим фактором и носителями лучистых грибков. Подтверждением эндогенной теории заражения актиномикозом является развитие заболевания на месте закрытой травмы.

Информация об Ordo Deus Перейти в оглавление сайта

Рис. 1.
Некоторые пути распространения лучистого грибка в организме больного актиномикозом: 1 — прорыв в полость плевры с образованием наружных свищей; 2 — метастатический актиномикоз печени. Распространение актиномикоза через диафрагму на легкие (первичный очаг—слепая кишка); 3 — распространение актиномикоза в легкие (первичный очаг — нижняя челюсть); 4 — гематогенные метастазы в легких (первичный очаг —легкие).

Примером экзогенного генеза актиномикоза служит развитие заболевания в области открытой травмы, кожного заболевания (например, экземы). Развитие актиномикоза в урахусе, эпителиальном копчиковом ходе, бранхиогенных свищах с последующим распространением на окружающие ткани может иметь как эндо-, так и экзогенное происхождение.

Определенное значение в патогенезе актиномикоза имеет неспецифическая микрофлора; частота выделения ее прямо пропорциональна давности актиномикоза. При наличии сопутствующей неспецифической микрофлоры актиномикоз протекает тяжелее, с частыми обострениями, имеет выраженную тенденцию к распространению и требует более длительного лечения.

Вокруг внедрившегося в подслизистый слой или в подкожную клетчатку лучистого грибка формируется специфическая гранулема — актино-микома, имеющая характерное строение (смотри ниже). Закономерности развития актиномикомы определяют пути распространения актиномикоза в организме больного (рис. 1). Преимущественный путь — контактный по «кратчайшей прямой», независимо от анатомических границ, от центра очага к периферии и по направлению к поверхности кожи. Доказана возможность распространения актиномикоза по лимфатическим, сосудам с поражением лимфатических, узлов. Гематогенный путь распространения инфекции очень редок.

Изучение актиномикоза в эксперименте связано с трудностью создания модели заболевания, так как актиномикоз у лабораторных животных имеет тенденцию к самоизлечению.

5 — Патологическая анатомия

Для макроскопической картины актиномикоза характерно образование гранулем, распад, нагноение их и параллельно с этим фиброз нагноившихся гранулем с образованием рубцовой, хрящеподобной ткани. Последняя пронизана мелкими множественными гнойниками, что придает тканям губчатый вид, напоминающий соты.

Вокруг внедрившегося в ткань лучистого грибка развивается пролиферативная реакция и возникает гранулема, отграничивающая инфекционный очаг от окружающих тканей. С помощью микроскопии обнаруживают, что клеточный состав гранулемы по мере развития процесса меняется. В то время как в центральной части узелка происходит некроз и распад клеток, в окружающей грануляционной ткани наблюдается формирование волокнистых структур. Типично для актиномикотической гранулемы наличие ксантомных клеток и процесс фиброза. Хотя взаимоотношения ксантомных клеток с колониями грибка окончательно не выяснены, имеется определенная закономерность: при большом скоплении друз грибка ксантомных клеток мало, при отсутствии их — много. Степень выраженности фиброза различна и зависит от реакции организма.

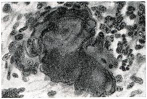
Различают два варианта строения актиномикотической гранулемы — деструктивный и деструктивно-продуктивный. Первый (начальная стадия) характеризуется наличием грануляционной ткани, состоящей преимущественно из молодых соединительнотканных клеток и полиморфно-ядерных лейкоцитов со склонностью к распаду и нагноению; второй вариант (вторая стадия) характеризуется пестрым составом грануляционной ткани, в которой, кроме вышеуказанных, имеются эпителиоидные, лимфоидные, плазматические, ксантомные клетки, гиалиновые шары, коллагеновые волокна и отмечается наличие гиалинизированных рубцов и разной величины гнойников. В диагностике актиномикоза наряду с изучением тканевых реакций большое значение имеет также обнаружение друз актиномицетов (рис. 2).

Информация об Ordo Deus Перейти в оглавление сайта

Рис. 2.
Актиномикотические друзы (крупные темные включения) среди гнойного экссудата (окраска по Шабадашу): 1 — малое увеличение; 2 — большое увеличение.

В срезах ткани встречаются друзы актиномицетов различных размеров (от 20 до 320 мкм). Они состоят из сплетения тонких нитей мицелия диаметром 0,4—0,7 мкм, имеют неравномерное, чаще дольчатое строение. Концы располагающихся радиально нитей мицелия представляются колбовидно утолщенными. В центре друзы обнаруживается иногда мицелий палочковидной формы без вздутия на концах. Считают, что друзы с «колбами» образует анаэробная форма актиномицета. Характерно, что в тяжелых по клиническому течению случаях «колбы», как правило, не образуются. Истинные актиномикотические друзы в срезах ткани необходимо дифференцировать от друзоподобных скоплений, образованных микробами и другими грибками. Это достигается, помимо окраски срезов ткани гематоксилинэозином, применением различных модификаций окрасок с генцианвиолетом, окраской по Цилю — Нельсену и применением PAS-реакции. Указанные методики позволяют обнаружить актиномицеты даже тогда, когда нити мицелия распадаются на отдельные короткие фрагменты.

Друзы актиномицетов чаще всего наблюдаются в центральных частях гранулем и окружены зоной лейкоцитарной инфильтрации. При отмирании гриба эта зона представляется более разреженной. Вокруг лейкоцитов, окруженных в свою очередь эпителиоидными клетками, можно нередко наблюдать гигантские клетки инородных тел.

Наряду с обнаружением друз необходимо оценивать их состояние, которое зависит от тканевой реакции. Изменение друз в ткани можно разделить на четыре группы: 1) лизис (выражается в краевом или тотальном растворении друз); 2) кальцификация друз; 3) поглощение друзы гигантскими клетками (рис. 3); 4) превращение друз в стекловидные аморфные массы. Фагоцитоз друз и явления лизиса свидетельствуют о повышении иммунных сил организма. Сопоставление тканевой реакции и состояния друз особенно важно при оценке эффективности применяемых методов лечения, когда речь идет о патоморфозе актиномикоза.

При одной из наиболее частых локализаций актиномикоза в области илеоцекального угла различают две формы: первую, когда на слизистой оболочке видны сероватые бляшки из колоний грибка, отдельные нити которых выполняют кишечные железы, и вторую (тканевую), при которой основное поражение наблюдается в подслизистой основе и мышечной оболочке, где образуются узелки. При переходе процесса на брюшную стенку образуются типичные актиномикотические гранулемы. Поражение печени выражается в развитии одного или нескольких гнойников, состоящих из массы ячеек, разделенных прослойками соединительной ткани.

Информация об Ordo Deus Перейти в оглавление сайта

Рис. 3.
Гомогенная, лишенная мицеальной структуры актиномикотическая друза, фагоцитированная гигантской многоядерной клеткой (окраска гематоксилин-эозином; среднее увеличение).

В легких изменения представлены плотными узлами, состоящими из грануляционной ткани, сдавливающими и разрушающими ткань легких. При поражении головного мозга вокруг абсцессов, окруженных слоем васкуляризированной соединительной ткани, отмечается уменьшение количества нервных клеток, отек и увеличение микроглии. При поражении костей образуются множественные полости, стенки которых состоят из грануляционной ткани. По периферии отмечается склероз костной ткани.

6 — Клиническая картина

Отсутствие единой классификации актиномикоза создает значительные трудности для его регистрации, учета и изучения.

Предложенные варианты классификаций применимы лишь для определенных локализаций актиномикоза или отражают отдельные черты этого своеобразного процесса. Клиническая характеристика и оценка актиномикоза должны базироваться на результатах исследования процесса с точек зрения: 1) локализации процесса; 2) периода развития (начальный, хронический, выздоровление); 3) формы (локализованная, распространенная, диссеминированная); 4) стадии заболевания.

Инкубационный период при актиномикозе варьирует от нескольких дней до многих лет.

7 — Торакальный актиномикоз

Торакальный актиномикоз составляет 10—20% среди других локализаций этого заболевания. Наиболее часто встречается актиномикоз легких.

При локализации первичного очага в центральных участках легкого начало актиномикоза остается обычно незаметным. В анамнезе отмечают простудные и респираторные заболевания. Позднее присоединяются тупые боли в груди.

Актиномикоз верхушки легкого сопровождается непостоянными болями в области плеча, лопатки.

При субплевральной локализации первичный актиномикоз развивается остро, сопровождается сухим мучительным кашлем, быстро нарастающими болями, усиливающимися при дыхании и движении. Грудная клетка на стороне поражения отстает при дыхании, иногда определяется шум трения плевры.

Актиномикоз с преимущественной локализацией в мягких тканях грудной стенки клинически характеризуется развитием обширного инфильтрата с участками абсцедирования, сужением межреберных промежутков, часто при этом имеет место актиномикоз ребер. В стадии абсцедирования заболевание имеет все признаки острово-спалительного и даже септического процесса. Прорыв абсцесса в крупный бронх сопровождается отхождением значительного количества гнойной мокроты. По мере прогрессирования процесса ухудшается состояние больных, нарастает слабость, понижается аппетит, прогрессирует похудание вплоть до кахексии. Обращает внимание несоответствие между тяжестью процесса и небольшим количеством слизистой или слизисто-гнойной мокроты с прожилками крови.

В последние годы стали встречаться случаи заболевания, когда актиномикоз легких ограничивается поражением одного из сегментов легкого, без тенденции к распространению процесса, что объясняется ранним применением антибактериальной терапии. Перкуторно над очагом поражения может определяться притупление перкуторного звука. В области очага отмечается ослабленное, с жестким оттенком дыхание, рассеянные непостоянные влажные хрипы, чаще мелкопузырчатые, усиленная бронхофония, ослабленное голосовое дрожание.

При первичном аэрогенном актиномикозе легких наиболее часто поражаются верхняя правая и нижняя левая доли легких. Вторичный легочный актиномикоз при распространении инфекции из брюшной полости в подавляющем числе случаев поражает нижние доли, чаще правую.

Актиномикоз, локализующийся в плевральной полости, сопровождается образованием ограниченных соединительнотканными перегородками полостей, содержащих густой гной и соединенных между собой свищевыми ходами.

Поражение молочной железы при актиномикозе обычно первичное, ограниченное пределами железы. Вторичный актиномикоз молочной железы развивается в результате распространения из легких, средостения. Клинически актиномикоз молочной железы протекает как хронический гнойный мастит.

Одно из осложнений торакального актиномикоза — специфическое поражение сердца.

8 — Абдоминальный актиномикоз

Абдоминальный актиномикоз составляет 10—20% среди других локализаций этого заболевания. В большинстве случаев абдоминальный актиномикоз развивается в слепой кишке, что объясняется стазом каловых масс в этом отрезке пищеварительного тракта. Доказана важная роль червеобразного отростка в патогенезе абдоминального актиномикоза: в 60,3% случаев из удаленных по поводу острого воспаления отростков выделяется культура анаэробного лучистого грибка; в 10,8% — гистологически обнаружена тканевая форма (друзы лучистого грибка) на разных стадиях их формирования.

Заболевание начинается остро, проявляется сильными схваткообразными или постоянными болями в животе коликообразного, тупого или режущего характера, высокой температурой. Боли могут иррадиировать в область мочевого пузыря, прямую кишку, тазобедренные суставы. Иногда к этим симптомам присоединяются диспептические, реже перитонеальные явления.

Информация об Ordo Deus Перейти в оглавление сайта

Рис. 4.
Актиномикоз забрюшинной клетчатки (фистулограмма).

Значительно реже входными воротами актиномикоза является желудок, двенадцатиперстная кишка; еще реже — ободочная кишка (восходящая, поперечная, нисходящая, сигмовидная); очень редко — активно перистальтирующая тонкая кишка. У женщин, страдающих абдоминальным актиномикозом, часто выявляется специфическое поражение внутренних половых органов.

Прогрессирование процесса при абдоминальном актиномикозе выражается в увеличении инфильтрата и необычайно обширном развитии спаек, объединяющих в общий конгломерат собственно актиномикозный инфильтрат и ближайшие органы и ткани, что может привести к развитию спаечной болезни. Слизистая оболочка кишечника остается интактной даже при значительных размерах очага актиномикоза и сдавлении просвета кишки. Реже абдоминальный актиномикоз протекает в форме абсцедирования с клиникой межкишечного абсцесса или с образованием склеротического процесса в кишечной стенке.

Наиболее часто актиномикоз от места первичного аффекта распространяется в сторону передней брюшной стенки, формируя в ней абсцедирующий инфильтрат, вскрывающийся свищом на поверхности кожи.

Второе по частоте направление распространения актиномикоза из слепой кишки — в забрюшинную клетчатку (рис. 4) — ретроабдоминальный актиномикоз. Ретроабдоминальный актиномикоз характеризуется необычной для этой инфекции диффузной инфильтрацией клетчатки, отсутствием четких границ очага, значительным отеком окружающих тканей, гнойным расплавлением по типу флегмоны и часто осложняется амилоидозом внутренних органов. Один из наиболее постоянных клинических симптомов при ретроабдоминальном актиномикозе — псоит.

Из забрюшинной клетчатки актиномикоз может распространиться на позвоночник, грудную клетку, кости малого таза, нижних конечностей. Осложнением абдоминального актиномикоза может быть поражение печени, солитарное при контактном распространении, диссеминированное — при гематогенном.

9 — Параректальный актиномикоз

Параректальный актиномикоз (парапроктит актиномикозный) характеризуется появлением в клетчатке плотного неподвижного инфильтрата с относительно четкими границами. Возникшая инфильтрация распространяется по клетчатке, абсцедирует, образуя характерную бугристость, сдавливающую прямую кишку, иногда до полной обтурации. Вскрытие параректальных абсцессов при актиномикозе происходит, как правило, на кожу, крайне редко — в просвет кишки. Выявляется небольшая отечность слизистой оболочки прямой кишки, симптом пелотирования — выпячивание плотного инфильтрата в просвет кишки, реже — кровоточивость слизистой оболочки. Больные отмечают тенезмы, запоры. При фистулографии выявляется сеть анастомозпрующих свищевых ходов в параректальиой клетчатке.

Первичный актиномикоз ягодичной области может развиться на месте ушиба, инъекции лекарственного вещества. Актиномикоз крестцовой области исходит, как правило, из эпителиальной копчиковой кисты. Из параректальиой или ягодичной клетчатки актиномикоз может распространиться на промежность, моче-половые органы.

10 — Актиномикоз моче-половых органов

Актиномикоз моче-половых органов развивается в результате распространения процесса по контакту или гематогенно.

Актиномикоз почек проявляется локальными болями, иногда в виде почечной колики, пальпируемым инфильтратом, гематурией. Если очаг актиномикоза локализуется в корковом веществе почки, то даже при большой его величине он может не иметь сообщения с полостью лоханки. Расположение очага в мозговом слое приводит к относительно раннему нарушению функции почки. При пиелографии в этих случаях наблюдается дефект наполнения почечных лоханок. При распространении процесса в околопочечную клетчатку развиваются явления паранефрита, ретроабдоминального актиномикоза. Из почки распространение актиномикоза возможно по нисходящим мочевыводящим путям, а также в другую почку.

Поражение мочеточников характеризуется их деформацией, «изъеденностью», зазубренностью стенок, сужением просвета, что хорошо выявляется при контрастном рентгенологическом исследовании.

Первичный актиномикоз мочевого пузыря встречается редко и связан обычно с инородными телами. Актиномикоз мочевого пузыря проявляется болезненным и учащенным мочеиспусканием, гематурией и протекает в дальнейшем по типу язвенногеморрагического или фибринозно-пленчатого цистита. На цистограмме может определяться дефект наполнения, при цистоскопии видна «опухоль» с редкими и относительно широкими полипозными образованиями.

Актиномикоз наружных половых органов у мужчин и женщин развивается обычно как осложнение травмы, реже — в результате распространения процесса из тазовой клетчатки или мочевыводящих путей. Актиномикоз наружных половых органов у женщин обычно сопровождается гнойными выделениями из свищей, а у мужчин характеризуется развитием плотного, малоболезненного инфильтрата, что ведет, особенно при локализации у корня полового члена или на промежности, к дизурии. Абсцедирование актиномикоза сопровождается сильными болями и завершается образованием свища.

Особенность актиномикоза полового члена — множественные свищи на коже и главным образом на головке, где «язвы» образуются не в результате некроза и отторжения тканей, а вследствие слияния близко расположенных устьев свищей. Эти свищи периодически закрываются, в отличие от мочевых, которые функционируют постоянно из-за стойкой рубцовой деформации мочеиспускательного канала. Часть мочи проникает и пропитывает клетчатку промежности, мошонки, таза, кавернозные тела полового члена, что значительно ухудшает состояние больных и облегчает присоединение вторичной инфекции. Описан случай актиномикоза полового члена, закончившийся гангреной последнего.

Актиномикоз мошонки характеризуется множественными свищами, лимфостазом вплоть до слоновости ее. Кожа мошонки утолщается и уплотняется, бороздчатость ее становится грубой. Пальпировать яички и придатки удается с трудом. Снижения половой функции, как правило, не отмечается.

Описаны единичные случаи актиномикоза предстательной железы, яичек и придатков, периуретральных желез.

Актиномикоз внутренних половых органову женщин характеризуется значительных размеров очагом поражения, выходящим за пределы малоготаза; образуются сращения с кишечником и сальником. Влагалище сужается настолько, что влагалищное исследование становится невозможным или резко затрудненным. Наиболее часто поражаются придатки, реже — матка.

Свищи могут открываться на кожу передней брюшной стенки, бедра, в область наружных половых органов и промежности, поясничную и ягодичную области, во влагалище, прямую кишку, мочевой пузырь и тому подобное.

У некоторых больных в начале заболевания из половых путей появляются выделения белого цвета или гноевидные, количество выделений иногда достигает 1 л в сутки. Иногда отмечаются нарушение менструального цикла, ациклические кровотечения.

11 — Актиномикоз костей

Изменения в костях при актиномикозе имеют разнообразный характер и зависят от путей проникновения инфекции, преобладания одного из одновременно протекающих процессов (деструктивного, остеомиелогического и продуктивного, склеротического).

При контактном пути распространения актиномикоза в первую очередь поражается надкостница, затем корковое вещество кости и, наконец, губчатое. Надкостница утолщается, уплотняется. В дальнейшем может обыз-вествляться (оссифицирующий периостит). Обызвествление межпозвоночных связок обусловливает деформацию позвоночника в форме бамбуковой палки.

При гематогенном пути очаг актиномикоза напоминает центральный костный абсцесс, отличаясь от последнего зоной склероза вокруг, которая может быть едва заметна или резко выражена. Выраженность и увеличение зоны склероза вокруг очага актиномикоза в кости — благоприятный прогностический признак. Размеры очагов деструкции варьируют: солитарный очаг имеет обычно относительно большие размеры, множественные — меньшие.

Актиномикоз не поражает хрящевую ткань и, как правило, суставы. Повидимому, именно поэтому актиномикоз позвоночника даже при обширном поражении не осложняется его искривлением.

Своеобразная клинико-рентгенологическая картина наблюдается при поражении стопы (смотри Мадурская стопа).

12 — Актиномикоз центральной нервной системы

Актиномикоз головного мозга, развившийся в результате распространения инфекции контактно или по лимфатическим, путям из очага на лице и шее, в ретрофарингеальной клетчатке, протекает по типу гнойного, чаще базилярного менингита, менингоэнцефалита, солитарного абсцесса, который может достигать значительных размеров в той или иной части головного мозга, что и определяет клинику заболевания. Гематогенный актиномикоз головного мозга характеризуется множественными рассеянными актиномикомами в мозговой ткани и в оболочках мозга, что клинически проявляется как энцефалит, пахилептоменингит. Возможно сочетание контактного и гематогенного путей проникновения инфекции в головной мозг.

Актиномикоз спинного мозга может развиться в результате контактного проникновения инфекции из средостения через межпозвоночные отверстия, эпидуральное пространство и клинически проявляется как радикуломенингит, острый гнойный менингит. Метастатические очаги в спинном мозге встречаются чрезвычайно редко, Спинной мозг при актиномикозе страдает чаще от сдавления, чем от непосредственного поражения. Имеются описания распространения актиномикоза по оболочкам сначала головного, затем спинного мозга с клиникой цереброспинального менингита.

Очаг актиномикоза центральной нервной системы может в течение многих лет существовать латентно.

13 — Актиномикоз кожи

Актиномикоз кожи может быть первичным и вторичным.

Первичый актиномикоз кожи развивается в результате проникновения актиномнпетов извне при травмах, ранениях. Вторичный актиномикоз кожи наблюдается чаще, он развивается вследствие распространения инфекции из первичного очага во внутренних органах.

Различают следующие клинические формы актиномикоза кожи.

Узловатая форма. При первичном актиномикозе кожи — плотный или плотноэластический малоподвижный безболезненный инфильтрат в глубоких слоях кожи размером 3×4 см и более. Увеличиваясь, инфильтрат выступает над уровнем окружающей кожи, которая приобретает темно-красный цвет с фиолетовым оттенком (Цветной рис. 1 и 2). Рядом с основным очагом нередко развиваются новые, дочерние, эволюция их такая же. При вторичном актиномикозе кожи узлы крупнее, залегают глубже, спаиваясь с окружающими тканями. Узлы абсцедируют и вскрываются с образованием нескольких свищей — гуммозная форма актиномикоза кожи.

Информация об Ordo Deus Перейти в оглавление сайта

Рис. 1 и 2.
Актиномикоз кожи.
Рис. 3.
Актиномикоз челюстно - лицевой области.

В гнойном отделяемом свищей часто можно обнаружить желтоватые зерна — друзы актиномицета. Часть свищей рубцуется, но вскоре возникают новые. Эту форму следует дифференцировать с сифилитическими и туберкулезными гуммами, новообразованиями, хронической пиодермией.

Бугорковая форма обычно развивается при первичном актиномикозе кожи в виде мелких (0,5×0,5 см), не сливающихся между собой, плотных, безболезненных, полушаровидных, темно-красных бугорков. Большая часть их абсцедирует, вскрываясь с выделением капли гноя. Позже образуются свищи, периодически по врывающиеся корками буро-желтого цвета. Процесс имеет тенденцию поражать подкожную жировую клетчатку и распространяться на соседние топографические области. Иногда глубоко залегающие бугорки пустулизируются (бугор-ково-пустулезная форма актиномикоза), напоминая бугорковый сифилис.

Язвенная форма обычно возникает у ослабленных больных на месте абсцедировавших инфильтратов. Края язв мягкие, подрытые, неровные, кожа вокруг них синеватого цвета. Дно язв покрыто некротизированными тканями, вялыми грануляциями. Язвы чаще возникают в местах, где имеется рыхлая подкожная клетчатка (над- и подключичные области, подмышечные впадины и другом).

Атером атозная форма чаще возникает у детей. Инфильтрат округлой формы, до 5 см в диаметре, эластической консистенции (псевдофлуктуация), с четкими границами, напоминает истинную атерому; в последующем инфильтрат абсцедирует с выделением гноя и образованием свища.

Актиномикоз кожи может иметь особенности в зависимости от локализации. При актиномикозе кожи анальной области образуются множественные свищи, окруженные вегетациями вокруг устьев.

При актиномикозе кожи крестцовой области часто образуется плотный инфильтрат с единичными свищами. Актиномикоз кожи ягодиц локализуется в гиподерме. Процесс захватывает поверхность обеих ягодиц и распространяется на соседние области, образуя множество безболезненных сливающихся инфильтратов со свищами.

Регионарные лимфатические, узлы при актиномикозе кожи вовлекаются в процесс редко, обычно лишь при челюстно-лицевом актиномикозе.

14 — Актиномикоз лица

Актиномикоз лица наблюдается примерно у 58% от общего числа больных актиномикозом и почти у 6% больных, обращающихся в лечебные учреждения по по иоду воспалительных заболеваний челюстей и областей лица.

Актиномицеты, являясь постоянными обитателями полости рта, находятся в зубном налете, патологических зубо-десневых карманах, в кариозных полостях зубов, составляют основную строму зубного камня.

Такие воспалительные процессы, как пародонтоз, перикоронит, одонтогенный воспалительный процесс, тонзиллит, сиалодохит и другие, а также повреждения слизистой оболочки рта способствуют развитию актиномикоза.

Актиномикоз лица характеризуется хрон. течением, однако большое влияние на клиническую картину оказывает присоединение вторичной гноеродной инфекции. Это обостряет и значительно меняет характер течения заболевания; причем обострения наблюдаются многократно.

Информация об Ordo Deus Перейти в оглавление сайта

Рис. 5.
Подкожно-межмышечная (глубокая) форма актиномикоза поднижнечелюстной, щечной и околоушно-жевательной областей.
Рис. 6.
Кожная форма актиномикоза под-подбородочной области.
Рис. 7.
Подкожная форма актиномикоза щечной области.

При актиномикозе лица представляется целесообразным различать следующие клинические формы (рис. 5—7): кожную, подкожную, подкожно-межмышечную (глубокую), актиномикоз лимфатических, узлов, первичный актиномикоз челюсти, актиномикоз органов полости рта — слюнных желез, языка, миндалин (Т. Г. Робустова). Наиболее часто встречаются подкожная и подкожно-межмышечная формы, а также актиномикоз лимфатических, узлов.

Кожная форма наблюдается редко, патологический процесс обычно локализуется в щечной, подчелюстной и подбородочной областях (Цветной рис. 3). Характеризуется наличием на коже пустул или бугорков, а также их сочетанием, создающим отдельные мелкие или сливающиеся инфильтраты, возвышающиеся над окружающими непораженными участками. Часто процесс распространяется на соседние участки кожи.

При подкожной форме возникает ограниченный инфильтрат в подкожной клетчатке, в непосредственной близости от участка тканей, явившегося входными воротами инфекции. При этой форме актиномикоза, наиболее часто локализующейся в щечной области, на уровне верхней или нижней челюсти, а также в поднижнечелюстной области в одних случаях наблюдается превалирование экссудативных процессов, в других — пролиферативных. Нередко отмечается распространение по протяжению и образование новых очагов.

Подкожно-межмышечная форма.

Начало заболевания иклиническая картина разнообразны. Характерно появление воспалительного отека мягких тканей с последующим уплотнением их.

При локализации процесса в околоушно-жевательной и височной областях, позадичелюстной ямке, в крыловидно-челюстном пространстве, подвисочной ямке наблюдается стойкая воспалительная контрактура нижней челюсти II — III степени. Это может явиться одним из ранних симптомов заболевания.

Нередко на протяжении недель и месяцев отмечается медленное, вялое течение болезни, не сопровождающееся болевым синдромом и повышением температуры. В дальнейшем наступает постепенное размягчение инфильтрата в одном или нескольких участках и абсцедирование. Это сопровождается появлением болей, подъемом температуры до 38—39°. В последующем возможно постепенное рассасывание инфильтрата или распространение его на соседние ткани с образованием новых очагов, вовлечение в процесс костной ткани челюсти.

При этой форме актиномикоза наиболее ярко проявляется влияние присоединившейся вторичной гноеродной инфекции, что делает течение заболевания более острым и бурным и обычно способствует распространению процесса по протяжению.

Актиномикоз лимфатических узлов.

Вовлечение лимф, узлов, в противоположность утверждению, что лимфоидная ткань не поражается этим патологическим процессом [Траунер (F. Trauner)], при челюстно-лицевом актиномикозе встречается нередко. Наиболее часто поражаются лимф, узлы поднижнечелюстной области, щечные, надчелюстные и шейные. Заболевание отличается медленным и вялым течением. Проявляется чаще в виде абсцедирующего лимфаденита, иногда гиперпластического лимфаденита и аденофлегмоны с вовлечением в процесс окружающей клетчатки.

Актиномикоз костной ткани челюсти.

Особое место занимает первичное поражение актиномикозом костной ткани челюсти, протекающее как деструктивный или продуктивно-деструктивный процесс. По клинической и рентгенологической картине заболевание напоминает развитие одонтогенной опухоли или злокачественного новообразования.

При деструктивном процессе отмечается один или несколько сливающихся очагов деструкции кости с нечеткими, а иногда резко очерченными границами. Чаще поражается нижняя челюсть, хотя описаны случаи поражения верхней челюсти [Ярмер, Тома (К. Jarmer, К. H.Thoma)].

Продуктивно-деструктивный процесс наблюдается при поражении актиномикозом нижней челюсти у детей, подростков или молодых людей [Вассмунд (М. Wassmund)]. Характеризуется значительным утолщением пораженных участков кости.

Актиномикоз органов полости рта (языка, слюнных желез, миндалин) наблюдается сравнительно редко. Значительным многообразием проявлений характеризуется актиномикоз языка, что зависит от локализации специфической гранулемы в его тканях. Процесс может поражать поверхностные отделы языка, располагаться в толще мышечной ткани спинки или кончика языка в виде ограниченных инфильтратов; наблюдаются также диффузные поражения, напоминающие банальный абсцесс и флегмону основания языка.

В ряде случаев актиномикоз вторично поражает нижнюю челюсть, реже верхнюю, редко скуловую и височную кости. При этом возникает картина обширного оссифицирующего периостита, подчас в сочетании с рядом узур коркового вещества кости, иногда отмечается прогрессирующее разрушение значительных ее участков. В случаях присоединения гнойной инфекции может наступить омертвение кортикальных участков челюсти с последующей их секвестрацией (картина кортикального остеомиелита). Это является показанием к оперативному вмешательству — секвестрэктомии.

15 — Генерализованный актиномикоз

Случаи множественного гематогенного метастазирования актиномикоза в различные органы и ткани в наст, время почти не встречаются. В ряде работ (Б. Л. Осповат, 1963, и других) утверждается, что для гематогенной диссеминации актиномикоза достаточно прорыва специфической гранулемы в просвет кровеносного сосуда. Однако имеющиеся в современной литературе данные ставят под сомнение абсолютность этого утверждения: даже прорастание актиномикомы в просвет нижней полой вены и образование значительного по протяженности тромба из специфических грануляций не всегда обусловливает гематогенную диссеминацию. Повидимому, необходимы условия, при которых может наступить гематогенная диссеминация.

Клиническая картина генерализованного актиномикоза напоминает сепсис с метастазами в различных органах, где сформировались специфические очаги, которые затем проходят обычные для актиномикоза стадии развития. Исходный (первичный) очаг актиномикоз может локализоваться в любом органе или ткани организма больного.

16 — Осложнения

Свойственное актиномикозу интенсивное развитие соединительной ткани может привести к рубцовой деформации органа, вовлеченного в процесс, и нарушению его функции (например, сдавление мочеточников, просвета кишки). Длительно существующий очаг актиномикоза может подвергнуться бластоматозной трансформации, обусловить развитие амилоидоза внутренних органов.

17 — Диагностика и дифференциальная диагностика

Распознавание актиномикоза остается трудной задачей: частота ошибочных диагнозов велика и обусловливает позднюю диагностику, задерживает начало рационального лечения, значительно удлиняет его сроки. Для своевременной диагностики актиномикоза необходимо комплексное обследование больного, включающее клинические, рентгенологические и лабораторные методы исследования. Актиномикоз. следует дифференцировать с процессами, вызванными банальной гноеродной флорой, новообразованиями, туберкулезом. Актиномикоз червеобразного отростка может симулировать острый аппендицит. Аппендэктомия при этом является вполне оправданной.

В отличие от абсцесса, вызванного банальной гноеродной флорой, очаг актиномикоза не подвергается тотальному гнойному расплавлению, имеет тенденцию к распространению на окружающие ткани; после вскрытия специфического абсцесса выявляется свищ, идущий в глубь тканей (кроме случаев первичного актиномикоза кожи).

Ошибочный диагноз новообразования того или иного генеза ставится при значительных размерах очага актиномикоза, неэффективности антибактериальной терапии. В отличие от злокачественных опухолей, при актиномикозе не образуются язвы (кроме очень редкого первичного актиномикоза кожи), не поражаются, как правило, регионарные лимф, узлы; боли появляются лишь в начальных стадиях заболевания. При доброкачественных новообразованиях, в отличие от актиномикоза, не наблюдается абсцедирования очага поражения.

Диагноз туберкулеза чаще ошибочно ставится у больных легочным актиномикозом, обычно в связи с пневмопатией, не поддающейся антибактериальной терапии. В отличие от актиномикоза, туберкулез органотропен, тогда как при актиномикозе поражается главным образом клетчатка вокруг органа.

18 — Рентгенодиагностика актиномикоза

Рентгенологическое исследование при актиномикозе должно в зависимости от локализации и соответствующих показаний включать весь доступный комплекс современных методов.

При первичном актиномикозе легких в случае аэрогенного пути инфицирования наблюдаются очагово-инфильтративные формы заболевания, часто схожие с туберкулезными инфильтратами как по клинической картине, так и по рентгенологическим признакам. В дальнейшем при подобном типе поражения возникает перибронхит и периваскулит, в корне легкого появляются увеличенные лимфатические, узлы, связанные с наличием микотического инфильтрата. Для актиномикоза характерно раннее вовлечение в процесс плевральных листков (утолщение плевры в виде грубых шварт), а также ребер (рис. 8). При неблагоприятном течении развиваются долевые поражения с крупными и мелкими полостями распада, вовлечением в процесс клетчатки средостения, пищевода, с образованием внутренних и наружных свищей. Наличие массивного поражения доли легкого, сопровождающееся увеличением лимфатических, узлов соответствующего корня и средостения, заставляет в первую очередь подозревать рак легкого. Но при актиномикозе, в отличие от опухоли, долевые границы не являются первоначальным барьером для распространения процесса. Томография и бронхография подтверждают отсутствие важнейшего признака брон-хо-легочного рака — бронхостеноза — и наличие крупных и мелких полостей деструкции на фоне обширного пери- и эндобронхита. Ценным диагностическим признаком являются сопутствующие изменения в ребрах в виде диффузного, реже локального остеолиза, остеосклероза и периостальных наслоений, что отличает актиномикозы от картины прорастания и метастазирования рака легкого в ребра (деструкции костной ткани).

Информация об Ordo Deus Перейти в оглавление сайта

Рис. 8.
Актиномикоз левого легкого. Инфильтративная форма с поражением грудной стенки. Остеосклероз и периостит ребер.

При более благоприятном (преимущественно продуктивном) типе течения актиномикоза легких возникает рентгенологическая картина, очень схожая с хронической интерстициальной пневмонией вплоть до цирроза легкого. Наступают смещение средостения, сужение межреберий и другие признаки фиброторакса.

Актиномикоз трахео-бронхиальных и бронхо-пульмональных лимфатических, узлов рентгенологически проявляется интенсивным затемнением с полициклическими очертаниями в прикорневой зоне легкого.

В редких случаях А. Е. Прозоров наблюдал картину первично-милиарного актиномикоза легких. В отличие от милиарного туберкулеза, интерстициальные изменения при данном типе актиномикоза легких носят более грубый характер, очаги более плотны, тяжистые уплотнения стромы легкого отчетливо направлены к корню. Наряду с грубыми интерстициальными изменениями в зоне наибольшего поражения при актиномикозе в более ранних фазах могут наблюдаться и нежные линейные тени перибронхита как в смежных отделах пораженного легкого, так и на здоровой стороне. При успехе лечения такие изменения исчезают в первую очередь.

При вторичном актиномикозе легких наблюдается распространение процесса с клетчатки средостения к периферии. При этом определяются:

1) расширение корней легких и средостения;

2) массивные медиастинальные и костальные шварты;

3) грубая тяжистость, радиальнораспространяющаяся от увеличенных корней легких к периферии;

4) очаги и инфильтраты по ходу образовавшихся тяжей. При контрастировании пищевода выявляются егодеформации и сужения, а иногдасвищи. Почти всегда возникают достаточно характерные изменения вребрах, часто со свищами.

При актиномикозе скелета вторичные изменой ни вследствие распространения процесса с мягких тканей наблюдаются значительно чаще, чем первичные. Различия в рентгенологической картине между первичным и вторичным актиномикозом существенны. При первичном поражении на рентгенограммах выявляется картина так называемый актиномикотической гуммы, то есть очага (очагов) остеолиза округлой или овальной формы с зоной умеренного, но чаще выраженного склероза по периферии. Нередки периостальные наслоения и свищи. Характерный признак — отсутствие сужения прилежащей суставной щели, а также секвестров, если только нет вторичного инфицирования. Первичный актиномикоз позвоночника ведет к значительным разрушениям тел поз вонков и межпозвоночных дисков, распространяется на дуги и отростки позвонков (рис. 9). В отличие от туберкулезного спондилита, наблюдаются значительные склеротические реакции и окостенение связок, а в противоположность кокковому спондилиту — гораздо более медленное и скрытое течение, несмотря на наличие свищей. При вторичном актиномикозе скелета наиболее часты поражения челюсти при шейно-лицевой локализации первичного процесса. Реже наблюдаются поражения позвоночника при медиастинальном актиномикозе, а также распространение актиномикоза органов брюшной полости на стенки таза и поясничные позвонки. Характерно: 1) раннее вовлечение периоста с его окостенением; 2) образование мелких очагов остеолиза с реактивным остеосклерозом; 3) отсутствие секвестров. При поражении челюстей бывают как массивные гиперостозы вплоть до картины псевдоопухоли, так и преимущественно остеолитические формы. Распространенный лигаментит при поражении позвоночника может симулировать картину болезни Бехтерева, если не принять во внимание очаги остеолиза в телах позвонков и их дугах. При свищах фистулография уточняет распространение процесса в мягких тканях, а томография выявляет наличие мелких очагов остеолиза в кости.

Информация об Ordo Deus Перейти в оглавление сайта

Рис. 9.
Изолированный актиномикоз правого поперечного отростка I поясничного позвонка (указано стрелкой).

Рентгенодиагностика актиномикоза внутренних органов (желудка, кишечника, моче-половой системы) представляет большие трудности. При наиболее частых локализациях в области илеоцекального перехода и в прямой кишке описаны рентгенологические картины, весьма схожие с инфильт-ративным раком, туберкулезом, болезнью Крона и даже с тяжелыми формами амебной дизентерии. Иногда выявляют мелкую зубчатость стенки пораженного участка («симптом пилы»),

Характерно возникновение не только внутренних, но и наружных свищей, а также образование обширных инфильтратов.

19 — Эндоскопические методы исследования

Эндоскопические методы исследования при актиномикозе мало результативны, так как со стороны слизистой оболочки патология не выявляется, а со стороны серозной оболочки очаг поражения маскируется спаечным процессом.

20 — Лабораторные методы исследования

Наиболее распространенным методом лабораторного исследования при актиномикозе является микроскопия гноя, мокроты и другое, проводимая с целью обнаружения в патологическом материале колоний (друз) или мицелия лучистых грибков. Выделение культуры лучистых грибков существенно дополняет микроскопическую диагностику (смотри Актиномицеты). При оценке результатов микробиологического исследования следует иметь в виду постоянное присутствие лучистых грибков в организме здоровых людей, а также возможность формирования различных друзоподобных образований, например колоний возбудителей других глубоких микозов, скоплений стафилококков (стафилококковый актинофитоз), кристаллов жирных кислот и другого.

Важным и достоверным является патогистологический метод исследования, цель которого заключается не только в поисках друз лучистых грибков, но и в выявлении характерной структуры актиномикомы.

Иммунологические реакции при актиномикозе имеют ориентировочное значение.

Все лабораторные исследования актиномикоза вполне доступны и могут быть выполнены в условиях обычной лаборатории.

21 — Прогноз

При своевременно начатом рациональном лечении прогноз при актиномикозе следует считать благоприятным. После первого курса лечения больные обычно возвращаются к трудовой деятельности, продолжая лечение в амбулаторных условиях. Во время обострений показана госпитализация. Лица, занятые тяжелым физическим трудом, переводятся временно на более легкую работу. В большинстве случаев заболевание излечивается полностью. У небольшого числа больных после излечения от актиномикоза сохраняются остаточные явления, связанные с развитием рубцовой ткани в области очага заболевания: в легких — фиброз с бронхоэктазами и кистами, в брюшной полости — спаечная болезнь и тому подобное.

22 — Лечение

Большое число средств и методов, предложенных для лечения больных актиномикозом, в значительной мере свидетельствует об их недостаточной эффективности и необходимости комплексного лечения больных, основу которого составляет иммунотерапия. Дополнительно могут быть применены антибактериальные препараты, стимулирующие средства, хирургическое лечение.

Специфическая иммунотерапия проводится отечественными препаратами — актинолизатом, актиномицетной поливалентной вакциной (АПВ). Актинолизат представляет собой фильтрат бульонной культуры спонтанно лизирующихся штаммов аэробных лучистых грибков; АПВ изготовляется из спороносных штаммов аэробных лучистых грибков. Введение актинолизата осуществляется путем внутрикожных (по Д. И. Аснину) или внутримышечных (по Г. О. Сутееву) инъекций. Внутрикожные инъекции: в толщу кожи сгибательной поверхности предплечья препарат вводится в повышающихся дозах от 0,5 до 2 мл: 0,5 — 0,7 — 0,9 — 1,0 — 1,1 — 1,2 и так далее до 2 мл. В каждую точку вводится не более 0,5 мл, так что начиная с 14-й инъекции актинолизат вводится в 4 точки (по 2 на каждой руке). Внутримышечные инъекции: актинолизат вводитсяв толщу верхне-наружного квадранта ягодичной мышцы по 3 мл. По обоим методам инъекции препарата производятся дважды в неделю. Длительность одного курса — 3 месяца; интервал между курсами — 1 месяц.

Метод внутримышечных инъекций более прост, внутрикожных — более экономичен и, по некоторым данным, более эффективен.

После клинического выздоровления обязательны 1—2 противорецидивных курса иммунотерапии и контрольное наблюдение в течение 2—3 лет.

АПВ вводится внутрикожно в толщу сгибательных поверхностей предплечий ежедневно в постепенно возрастающих дозах, начиная с 0,1 мл, затем 0,2—0,3—0,4 мл и так далее до 1,0 мл. В каждую точку АПВ в разведении 1 млрд. микробных тел в 1 мл по оптическому стандарту мутности вводится не более 0,1 мл, так что начиная с 10-й инъекции АПВ вводится в 10 точек. Длительность одного полного курса лечения АПВ — 3 месяца, интервалы между курсами —1 месяц. Опубликованные данные свидетельствуют, что в ряде случаев АПВ более эффективна, чем актинолизат.

Антибактериальные препараты (антибиотики, сульфаниламиды) воздействуют не только на сопутствующую микрофлору, но и на лучистый грибок. Целесообразно поэтому определять вначале чувствительность к этим препаратам сопутствующей микрофлоры и лучистых грибков из очага актиномикоза. Подобранные препараты применяются по существующим схемам. Клиническими показаниями для применения антибиотиков и сульфаниламидов служат частые обострения, сопровождающиеся абсцедированием очага, особенно на новых участках; наличие постоянно функционирующих свищей с гнойными выделениями.

Стимулирующее лечение состоит главным образом из курсов переливаний крови в небольших, постепенно повышающихся дозах: 1 раз в неделю по 50 — 75 — 100 — 125 — 150 — 175 — 200 мл; всего на курс в зависимости от показаний — 4 — 6 гемотрансфузий. Стимулирующая терапия проводится при сниженной реактивности организма больного.

Вопрос о необходимости и характере хирургического лечения решается следующим образом. Радикальные операции с целью иссечения очага поражения (в один этап или поэтапно) производятся, когда весь комплекс консервативных средств оказывается недостаточным и очаг поражения отграничен, а также в случаях развития актиномикоза из анатомических аномалий. Цель паллиативных операций — удаление скопления гноя или инородного тела из очага поражения, секвестротомия и другого. Рассечение свищей и их кюретаж бесполезны.

Рентгенотерапия и препараты йода в лечении актиномикоза имеют ограниченное применение.

Комбинация тех или иных средств лечения актиномикоза должна подбираться индивидуально в зависимости от состояния больного, локализации и характера заболевания.

Васильев Г.А., Лещенко B.М., Минскер О.Б. Робустова Т.Г., Тагер И.Л., Хмельницкий О.К.

⇐ Перейти на главную страницу сайта

⇑ Вернуться в начало страницы ⇑

Библиотека Ordo Deus ⇒

⇐ Актинобациллёз

⇓ Каталог систематический ⇓

Алалия ⇒

Все статьи в полном изложении, Вы можете найти в большой медицинской энциклопедии — Главный редактор: академик АН СССР (РАН) и АМН СССР (РАМН) Б.В. Петровский. — Москва издательство «Советская энциклопедия» 1989г.

Внимание! Вы находитесь в библиотеке «Ordo Deus». Все книги в электронном варианте, содержащиеся в библиотеке «Ordo Deus», принадлежат их законным владельцам (авторам, переводчикам, издательствам). Все книги и статьи взяты из открытых источников и размещаются здесь только для чтения.

Библиотека «Ordo Deus» не преследует никакой коммерческой выгоды.

Все авторские права сохраняются за правообладателями. Если Вы являетесь автором данного документа и хотите дополнить его или изменить, уточнить реквизиты автора, опубликовать другие документы или возможно вы не желаете, чтобы какой-то из ваших материалов находился в библиотеке, пожалуйста, свяжитесь с нами по e-mail:
info @ ordodeus. ru
Формы для прямой связи с нами находятся в нижней части страниц: контакты и устав «Ordo Deus», для перехода на эти страницы воспользуйтесь кнопкой контакты вверху страницы или ссылкой в оглавлении сайта.

Вас категорически не устраивает перспектива безвозвратно исчезнуть из этого мира? Вы желаете прожить ещё одну жизнь, начав всё заново? Вы желаете прожить ещё одну жизнь без ошибок совершённых в этой жизни? Вы желаете прожить ещё одну жизнь, осуществив в ней мечты несбывшиеся в этой жизни? То, что Вам нужно, Вы найдете, щёлкнув по ссылке: «главная страница».

© Ordo Deus, 2010. При копировании ссылка на сайт http://www.ordo-deus.ru обязательна.