Аденоакантома

Оглавление

  1. Дорога к бессмертию
  2. Бессмертие и религия
  3. Философия бессмертия
  4. Бессмертие и наука
  5. История анабиоза
  6. Смерть
  7. Кора головного мозга
  8. Бессмертие и анабиоз
  9. Анабиоз, медицина и биология
  10. Анабиоз и экономика
  11. Анабиоз и закон
  12. Анабиоз в Антарктиде
  13. Техническое обеспечение анабиоза
  14. Бессмертие и вера
  15. Библиотека Ordo Deus
  16. Контактная страница Ordo Deus

Аденоакантома

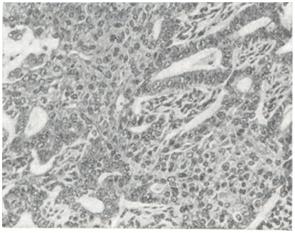
Аденоакантома (adenoacanthoma; греческое aden—железа, akantha — шип + -oma) — злокачественная опухоль с признаками диморфной дифференцировки по железистому и плоскоклеточному типу.

В большинстве случаев аденоакантома относят к аденокарциномам различных органов с явлениями плоскоклеточной метаплазии (повидимому, ложной) железистого эпителия (смотри Рак), иногда с образованием роговых масс, вплоть до формирования раковых «жемчужин». Аденоакантома встречается в пищеводе, обычно в зоне пищеводно-желу-дочного перехода, в желудке, желчном пузыре, поджелудочной железе, прямой кишке, анальном канале, влагалище, матке, яичниках (рис. 1.), коже, потовых железах. Макроскопически аденоакантома практически не отличима от картины железистого рака соответствующего органа. Микроскопически в опухоли наряду со структурой аденокарциномы обычно обнаруживают ряд фаз гетероплазии железистого эпителия в многослойный плоский. Оба структурных компонента аденоакантомы с различными признаками дифференцировки эпителия бывают, расположены в одних и тех же участках и интимно связаны между собой.

Информация об Ordo Deus Перейти в оглавление сайта

Рис. 1.
Гиперплазия фолликулов в аденоидной ткани.

Клиника и лечение — смотри Рак.

Соловьев Ю.Н.

⇐ Перейти на главную страницу сайта

⇑ Вернуться в начало страницы ⇑

Библиотека Ordo Deus ⇒

⇐ Аддисонова болезнь

⇓ Каталог систематический ⇓

Аденовирусные болезни ⇒

Все статьи в полном изложении, Вы можете найти в большой медицинской энциклопедии — Главный редактор: академик АН СССР (РАН) и АМН СССР (РАМН) Б.В. Петровский. — Москва издательство «Советская энциклопедия» 1989г.

Внимание! Вы находитесь в библиотеке «Ordo Deus». Все книги в электронном варианте, содержащиеся в библиотеке «Ordo Deus», принадлежат их законным владельцам (авторам, переводчикам, издательствам). Все книги и статьи взяты из открытых источников и размещаются здесь только для чтения.

Библиотека «Ordo Deus» не преследует никакой коммерческой выгоды.

Все авторские права сохраняются за правообладателями. Если Вы являетесь автором данного документа и хотите дополнить его или изменить, уточнить реквизиты автора, опубликовать другие документы или возможно вы не желаете, чтобы какой-то из ваших материалов находился в библиотеке, пожалуйста, свяжитесь с нами по e-mail:
info @ ordodeus. ru
Формы для прямой связи с нами находятся в нижней части страниц: контакты и устав «Ordo Deus», для перехода на эти страницы воспользуйтесь кнопкой контакты вверху страницы или ссылкой в оглавлении сайта.


Вас категорически не устраивает перспектива безвозвратно исчезнуть из этого мира? Вы пытаетесь найти ответ на вопрос как победить смерть? То, что Вам нужно, Вы найдете, щёлкнув по ссылке: «главная страница».

© Ordo Deus, 2010. При копировании ссылка на сайт http://www.ordo-deus.ru обязательна.