Зоб эндемический

Оглавление

  1. Дорога к бессмертию
  2. Бессмертие и религия
  3. Философия бессмертия
  4. Бессмертие и наука
  5. История анабиоза
  6. Смерть
  7. Кора головного мозга
  8. Бессмертие и анабиоз
  9. Анабиоз, медицина и биология
  10. Анабиоз и экономика
  11. Анабиоз и закон
  12. Анабиоз в Антарктиде
  13. Техническое обеспечение анабиоза
  14. Бессмертие и вера
  15. Библиотека Ordo Deus
  16. Контактная страница Ordo Deus

Зоб эндемический

Зоб эндемический (греческий endemos местный, свойственный данной местности; синонимы эндемическая зобная болезнь) — заболевание, характеризующееся увеличением щитовидной железы, различными клиническими проявлениями и поражающее население определённых географических районов с недостаточностью йода в окружающей среде.

Зоб эндемический был известен врачам древности. Его развитие связывалось с проживанием в горной местности и недоброкачественностью питьевой воды; для лечения Зоб эндемический использовались морские водоросли, морская соль, оперативные методы. В течение последних 100 лет Зоб эндемический широко изучался в разных странах. Существенным вкладом в разработку проблемы Зоб эндемический явилось предложение в 1856 год франц. врачей Шатена (G. А. Chatin) и Прево (J. L. Prevost) проводить в районах эндемии зоба йодную профилактику, впоследствии теоретически обоснованную в работах И. Вернадского, Фелленберга (Т. Fellenberg), Мерайна (D. Marine), Эггенбергера (Н. Eggenberger) и других исследователей. В России пионерами изучения Зоб эндемический явились М. Ф. Кондаратский, К, Шалыгин, Н. И. Кашин и другие.

После Великой Октябрьской социалистической революции решение проблемы Зоб эндемический стало государственной задачей. Были проведены фундаментальные исследования эпидемиологии, этиологии, патогенеза, клиники и лечения Зоб эндемический Большую роль в этом сыграл О. В. Николаев, Б. В. Алешин, А. Н. Виноградов, И. К. Ахунбаев, Р. К. Исламбеков, А. Т. Лидский, А. Н. Сызганов, Я. X. Туракулов и другие. Начиная с 30-х годы в СССР проводится массовая йодная профилактика, создана система противозобных, _ диспансеров, деятельность которых направлена на изучение эпидемиологии Зоб эндемический и организацию мероприятий по его профилактике и лечению. Социально-экономические изменения, происшедшие в СССР, противозобные мероприятия позволили ликвидировать Зоб эндемический как массовое заболевание уже к середине 50-х годы.

Эпидемиология. Зоб эндемический является самым распространённым заболеванием щитовидной железы. По данным ВОЗ (1960), на земном шаре насчитывается около 200 миллионов таких больных. Эндемии зоба встречаются как в горных (Альпы, Алтай, Анды, Гималаи, Кавказ, Карпаты, Кордильеры, Тянь-Шань и другие), так и в равнинных районах (тропические р-ны Африки, Южной Америки, страны Восточной Европы). В СССР районами эндемии являются Западная Украина, Полесье, верховья Волги, Урал, Центральный и Северный Кавказ, некоторые р-ны Средней Азии, Алтай, ряд районов Забайкалья и Дальнего Востока, долины больших сибирских рек. Р-ны эндемии зоба являются биогеохимический провинциями с недостаточностью йода в биосфере. Район считается эндемичным, если более 10% населения имеют клинические, признаки зоба. Зоб эндемический чаще встречается у женщин, однако в районах тяжёлой эндемии он наблюдается также часто и у мужчин. Эндемии зоба различаются по тяжести. Эндемия считается тяжёлой, если частота Зоб эндемический выше 60%, индекс Ленца — Бауэра (отношение числа больных мужчин к числу больных женщин) 1 : 3—1 : 1, частота узловых зобов выше 15%, встречаются случаи кретинизма. Эндемия считается средней при частоте Зоб эндемический выше 30%, индексе Ленца—Бауэра 1 : 6— — 1:3, частоте узловых форм Зоб эндемический выше 5%. Эндемия считается лёгкой при частоте Зоб эндемический выше 10%, индексе Ленца — Бауэра 1 : 6 и выше, частоте узловых форм до 5%, при преимущественно гипертиреоидном течении заболевания.

Этиология. Причиной развития Зоб эндемический является дефицит йода в биосфере, что наглядно подтверждается экспериментальными данными, результатами геохимический анализа и успехами профилактики Зоб эндемический йодированной солью и препаратами йода. Помимо йодной недостаточности, в очагах эндемии зоба существует ряд факторов, способствующих проявлению и развитию зоба: поступление в организм различных струмогенных веществ (тиоцианаты, соединения типа винилтиооксизолидина — гоэтрин, прогоитрин, содержащиеся в некоторых овощах вида Brassica) и йода в недоступной для всасывания форме (при высоком содержании в воде и почве гуминовых веществ), наследственные нарушения йодного обмена, приводящие к относительной йодной недостаточности: высокий уровень почечного клиренса, сокращённый период полураспада тироксина. Существует мнение, что в происхождении Зоб эндемический имеет значение увеличение или уменьшение содержания в биосфере кобальта, молибдена, меди, цинка, ртути; определённая роль в возникновении зобной трансформации отводится кальцию.

К числу внешних этиологического факторов относят бактериальную и глистную загрязнённость окружающей среды, что позволило Мак-Каррисону (Mc Carrison) выдвинуть токсико-инфекционную теорию этиологии Зоб эндемический, однако попытки выделить микробного возбудителя Зоб эндемический оказались безуспешными. Проявлению йодной недостаточности могут способствовать различные физиологический состояния (пубертатный период, беременность, лактация) и интеркуррентные заболевания.



Информация об Ordo Deus Перейти в оглавление сайта

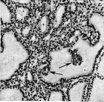
Рис. 1.
Микропрепарат щиторицной железы при эндемическом парен иуттозном зобе: диффузная интрафолликулярная пролиферация эпителия; сосочковидные выпячивания эпителия в полость фолликула (указаны стрелками); окраска гематоксилин-эозином; × 75.





Информация об Ordo Deus Перейти в оглавление сайта

Рис. 2.
Микропрепарат щитовидной железы при эндемическом коллоидном зобе: фолликулы заполнены густым коллоидом, богатым мукополисахаридами (на рисунке чёрного цвета); ШИК-реакция, × 500.



Патогенез. Йодная недостаточность ведёт к снижению секреции и продукции тиреоидных гормонов. Дефицит этих гормонов вызывает в организме развитие компенсаторно-приспособительной реакции, направленной на поддержание гормонального гомеостаза и выражающейся в активизации тиреотропной функции гипофиза, гипертрофии и гиперплазии тироцитов, повышении захвата йода щитовидной железой, ускорении йодирования тирозинов и увеличении образования йодтиронинов (в основном трийодтиронина). Все это обеспечивает сохранение эутиреоидного состояния (смотри полный свод знаний Эутиреоз). Повышение уровня йодтиронинов в крови угнетает тиреотропную функцию гипофиза и опосредованно секреторную активность щитовидной железы, что вызывает развитие гипотиреоза (смотри полный свод знаний). При воздействии определённых факторов возможно стойкое повышение функции щитовидной железы и развитие гипертиреоза. На основании общности патогенеза и клиники Зоб эндемический и зоб спорадический (смотри полный свод знаний) рассматриваются рядом исследователей как разновидности единого заболевания.



Информация об Ordo Deus Перейти в оглавление сайта

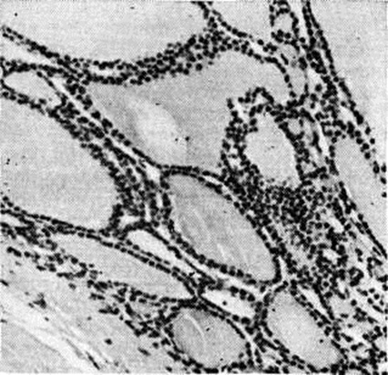
Рис. 3.
Микропрепарат щитовидной железы при эндемическом коллоидном зобе: полиморфизм заполненных коллоидом фолликулов; окраска гематоксилин-эозином; × 75.



Патологическая анатомия характеризуется наличием трёх морфологический форм Зоб эндемический: разлитой (диффузной), узловой (нодозной) и смешанной (диффузно-узловой). В начале заболевания наблюдается диффузная форма с равномерным увеличением железы при неизменённых её контурах. Образование отдельных центров пролиферации приводит к развитию узловой или смешанной формы зоба. При узловой гиперплазии иногда обнаруживаются множественные узлы, различные по форме, плохо отграниченные от окружающей ткани, но сохраняющие тенденцию к росту. Микроскопически Зоб эндемический гетерогенен. Диффузный зоб представлен нормальной или микрофолликулярной тканью. В зависимости от функционального состояния фолликулы содержат базофильный, «густой» или только просвечивающий, почти прозрачный эозинофильный коллоид. В покое эпителий фолликулов кубический или плоский; в состоянии функциональной активности он становится высоким, светлым, образует сосочковидные выпячивания в полость фолликула (рисунок 1). В диффузных и узловых зобах встречаются трабекулярные и тубулярные структуры. Предполагается, что чем тяжелее эндемия зоба, тем чаще встречаются малодифференцированные формы паренхиматозного зоба (тубулярная и трабекулярная). Коллоидный зоб построен из фолликулов различной величины (макро и микрофолликулярный), богатых коллоидом, дающим положительную реакцию на РНК, белки и мукополисахариды. Комбинация фолликулов различной величины создаёт пёструю картину коллоидного зоба (рисунок 2 и 3). В зобах могут обнаруживаться инволюционные изменения (кровоизлияния, дистрофические процессы) с дальнейшим отложением в изменённых участках извести и холестерина. Паренхиматозные и коллоидные формы зоба могут трансформироваться в фиброзную форму с увеличением соединительнотканных образований. Солитарные аденомы (узлы) быстрее подвергаются различным инволюционным изменениям в связи с особым типом кровообращения. Узловой зоб может подвергаться малигнизации. Хотя нет достаточно убедительных данных о том, что Зоб эндемический чаще малигнизируется по сравнению со спорадическим, однако солитарная аденома в условиях эндемии зоба рассматривается как проблема онкологическая.

Клиническая картина определяется формой и величиной зоба, а также функциональным состоянием щитовидной железы. Обычно больные жалуются только на косметические неудобства. Иногда они отмечают давление в области шеи (женщины чаще в период менструаций, эмоциональных стрессов).

Зоб эндемический различается по степени увеличения щитовидной железы (смотри полный свод знаний Зоб). При увеличении щитовидной железы I — II степени больными считаются люди с расстройствами функции железы или с узловой формой зоба. Клинически выявляются диффузная, узловая и смешанная формы Зоб эндемический. При диффузной форме железа увеличена равномерно в обеих долях, она эластичная, хорошо подвижная при глотании, безболезненная при пальпации. Иногда в железе обнаруживают отдельные уплотнения — мелкие аденомы. Узловая форма характеризуется наличием одного или нескольких узлов, различных по локализации и размерам. В последнем случае речь идёт о конгломератном зобе. При пальпации определяются узлы различной плотности и подвижности. Расположение зоба бывает атипичным, что связано с вариантами эмбрионального развития щитовидной железы. Иногда величина и положение зоба таковы, что вызывают сдавление соседних органов (трахеи, пищевода, кровеносных сосудов). Нарушения кровообращения, связанные с компрессией сосудов, могут приводить к расширению сосудов шеи и передней поверхности грудной клетки, что чаще наблюдается при загрудинном зобе и сопровождается симптомами сдавления возвратного нерва и симптомокомплексом Бернара — Горнера (смотри полный свод знаний Бернара — Горнера синдром). Функциональное состояние щитовидной железы при Зоб эндемический в подавляющем большинстве случаев эутиреоидное, однако длительное существование зоба может приводить к снижению функции щитовидной железы и развитию гипотиреоза. В районах тяжёлой эндемии в прошлом нередко встречались больные эндемическим кретинизмом (смотри полный свод знаний). В районах лёгкой и средней эндемии чаще можно встретить Зоб эндемический с гипертиреоидным течением. При эутиреоидном зобе иногда наблюдается клиника «зобного» сердца, характеризующаяся нарушениями кровообращения с одновременным нарушением дыхания, повышением кровяного давления в малом круге кровообращения, гипертрофией и расширением правого сердца, иногда высоким зубцом Р на ЭКГ. Осложнением Зоб эндемический являются струмиты (смотри полный свод знаний). При кровоизлиянии в зоб размеры его быстро увеличиваются, он становится напряжённым. болезненным, иногда определяется флюктуация. Обызвествление зоба наблюдается сравнительно редко. Возможна малигнизация зоба, к которой более склонны аберрантные формы.

Диагноз основывается на данных анамнеза (проживание в эндемичных районах), осмотра, пальпации щитовидной железы. Лабораторные и функциональные исследования щитовидной железы (определение основного обмена, содержания белково-связанного йода, холестерина и общего тироксина в плазме крови) при эутиреоидной форме Зоб эндемический чаще не определяют отклонений от нормы. Поглощение радиоактивного йода щитовидной железой может быть повышенным (смотри полный свод знаний Щитовидная железа, радиоизотопное исследование). Проба с тиреотропным гормоном гипофиза обнаруживает незначительное или полное отсутствие увеличения поглощения радиоактивного йода. Дифференциальный диагноз Зоб эндемический проводится с зобом диффузным токсическим (смотри полный свод знаний) и подострыми хронический тиреоидитами (смотри полный свод знаний). Иногда Зоб эндемический приходится дифференцировать с опухолями каротидного синуса, загрудинный зоб — с опухолями и дермоидными кистами средостения. В этих случаях помогает рентгенологическое исследование (смотри полный свод знаний Щитовидная железа) или исследование с помощью радиоактивного йода. Различить Зоб эндемический и рак щитовидной железы трудно. Признаком малигнизации зоба является его быстрый и неравномерный рост, ограниченная подвижность, изменение фонации голоса. Малозрелые формы рака могут не поглощать радиоактивный йод, но хорошо поглощают радиоактивный фосфор, что служит дифференциально-диагностическим признаком.

Лечение зависит от формы зоба, функционального состояния щитовидной железы и сопутствующих заболеваний. В случае диффузного Зоб эндемический при небольшой степени увеличения щитовидной железы эффективны препараты йода. Йод показан в дозе не более 500 микрограмм в сутки (обычно 200—300 микрограмм) в течение 3 месяцев (назначают антиструмин, одна таблетка которого содержит 500 микрограмм йода). Если положительного эффекта не определяется, лечение прекращают, длительное применение больших доз йода может привести к развитию гипертиреоза — «йод-базедов». В этом случае, а также при гипотиреоидном Зоб эндемический показана терапия тиреоидными гормонами и препаратами щитовидной железы. Их применение индивидуально и зависит от возраста больного, наличия у него артериальной гипертензии, кардиальных нарушений. Тиреоидин назначается внутрь обычно по 0,1 грамм в день или через день, при крупном зобе и хорошей переносимости препарата доза иногда может быть повышена до 0,2—0,3 грамм в день. Лечение тиреоидином обычно продолжается в течение 4—8 месяцев, иногда нескольких лет и прекращается после достижения эффекта. Лечение тироксином (по 200 микрограмм в день) также эффективно и проводится в течение 4—8 месяцев Показано и применение трийодтиронина: начальную дозу 10—20 микрограмм постепенно увеличивают под контролем состояния больного до 40—60 микрограмм. При повышении функции щитовидной железы используются тиреостатические препараты (смотри полный свод знаний Антитиреоидные средства).

При узловой, смешанной и диффузной форме зоба IV—V степени, сопровождающейся явлениями сдавления органов шеи, при атипичном расположении щитовидной железы, при зобе с выраженными деструктивными изменениями (фиброз, кровоизлияния, кальциноз) абсолютно показано оперативное лечение. В предоперационную подготовку входит назначение тиреоидина. В СССР широкое распространение получила методика субтотальной субфасциальной резекции щитовидной железы (смотри полный свод знаний Зоб диффузный токсический).

Прогноз благоприятный, при малигнизации зоба сомнительный. Трудоспособность при эутиреоидном Зоб эндемический сохраняется, при изменении функции щитовидной железы снижается.

Летальность после операции по поводу зоба составляет 0,25—1%, по данным де Кервена (F. de Quervain). Отдалённые результаты в подавляющем большинстве случаев благоприятные. При проведении послеоперационной йодной профилактики антиструмином по 1 таблетке 2 раза в неделю частота рецидивов зоба значительно снижается.

Профилактика сводится к применению в районах эндемии йодированной поваренной соли, содержащей по стандартам СССР 25 г йодистого калия в одной тонне соли (массовая, или немая, профилактика). Она утверждена МЗ СССР и проводится во всех районах эндемии с 1930-х годы Санитарно-эпидемической станции в районах эндемии и противозобные диспансеры систематически проводят контроль за содержанием йодистого калия в поваренной соли, её хранением, транспортировкой. Йодированная соль применяется также в качестве подкормки для скота, что повышает содержание йода в мясо-молочных продуктах (80% суточного количества йода поступает в организм человека с пищей). В организованных коллективах, среди детей, у беременных и кормящих матерей проводится групповая профилактика антиструмином. В СССР применение массовой и групповой профилактики и коренные изменения социально-экономических условий жизни позволили ликвидировать Зоб эндемический как массовое заболевание.

В тропических странах в профилактике Зоб эндемический используется внутримышечное введение 2—3 раза в год йодированного раствора масла, в странах Дальнего Востока в пищу идут морские водоросли, содержащие значительные количества йода (в 1 килограмм морской капусты до 2 грамм).

Мазовецкий А.Г.; Одинокова В.А.

⇐ Перейти на главную страницу сайта

⇑ Вернуться в начало страницы ⇑

Библиотека Ordo Deus ⇒

⇐ Зоб спорадический

⇓ Полный свод знаний. Том первый А. ⇓

Золлингера — Эллисона синдром ⇒

Все статьи в полном изложении, Вы можете найти в большой медицинской энциклопедии — Главный редактор: академик АН СССР (РАН) и АМН СССР (РАМН) Б.В. Петровский. — Москва издательство «Советская энциклопедия» 1989г.

Внимание! Вы находитесь в библиотеке «Ordo Deus». Все книги в электронном варианте, содержащиеся в библиотеке «Ordo Deus», принадлежат их законным владельцам (авторам, переводчикам, издательствам). Все книги и статьи взяты из открытых источников и размещаются здесь только для чтения.

Библиотека «Ordo Deus» не преследует никакой коммерческой выгоды.

Все авторские права сохраняются за правообладателями. Если Вы являетесь автором данного документа и хотите дополнить его или изменить, уточнить реквизиты автора, опубликовать другие документы или возможно вы не желаете, чтобы какой-то из ваших материалов находился в библиотеке, пожалуйста, свяжитесь с нами по e-mail:
info @ ordodeus. ru
Формы для прямой связи с нами находятся в нижней части страниц: контакты и устав «Ordo Deus», для перехода на эти страницы воспользуйтесь кнопкой контакты вверху страницы или ссылкой в оглавлении сайта.

Вас категорически не устраивает перспектива безвозвратно исчезнуть из этого мира? Вы не желаете закончить свой жизненный путь в виде омерзительной гниющей органической массы пожираемой копошащимися в ней могильными червями? Вы желаете вернувшись в молодость прожить ещё одну жизнь? Начать всё заново? Исправить совершённые ошибки? Осуществить несбывшиеся мечты? Перейдите по ссылке: «главная страница».

© Ordo Deus, 2010. При копировании ссылка на сайт http://www.ordo-deus.ru обязательна.