Зоб диффузный токсический

Оглавление

  1. Дорога к бессмертию
  2. Бессмертие и религия
  3. Философия бессмертия
  4. Бессмертие и наука
  5. История анабиоза
  6. Смерть
  7. Кора головного мозга
  8. Бессмертие и анабиоз
  9. Анабиоз, медицина и биология
  10. Анабиоз и экономика
  11. Анабиоз и закон
  12. Анабиоз в Антарктиде
  13. Техническое обеспечение анабиоза
  14. Бессмертие и вера
  15. Библиотека Ordo Deus
  16. Контактная страница Ordo Deus

Зоб диффузный токсический

Зоб диффузный токсический (синонимы: базедова болезнь, экзофтальмический зоб) — заболевание с характерной клинической картиной, в основе которого лежит диффузное увеличение и гиперфункция щитовидной железы, вызывающая нарушение обмена веществ и развитие патологических изменений в различных органах и системах.

Термин «зоб диффузный токсический» введён в клинический, классификацию заболеваний щитовидной железы Международным конгрессом социалистических стран по проблеме эндемического зоба (1961). Иногда применяемый термин «тиреотоксикоз», определяющий состояние токсического поражения тканей и органов при различных заболеваниях, неприемлем для номенклатурного обозначения конкретного заболевания. Термин «экзофтальмический зоб» неудачен, так как экзофтальм — непостоянный симптом заболевания.

Первое клинический, наблюдение, проведённое Парри (С. Н. Parry) в 1786 год, опубликовано в 1825 год; Флаяни (G. Flajani) в 1802 год и Грейвс (R. J. Graves) в 1835 год описали больных с тахикардией и экзофтальмом. В 1840 год нем. врач из Мерзебурга К. Базедов привёл чёткое описание 4 больных с тремя постоянными симптомами («мерзебургская триада»): зобом (смотри полный свод знаний), экзофтальмом (смотри полный свод знаний) и тахикардией (смотри полный свод знаний). В 1886 год Мебиус (P. J. Mobius) впервые указал на патогенетическую роль щитовидной железы в развитии заболевания. Хирургическое лечение — резекция щитовидной железы, успешно применённое Тийо (P. J. Tillaux, 1880), широко проводилось Т. Кохером (1907) и другими хирургами. Результаты оперативного лечения значительно улучшены Пламмером (Н. S. Plummer, 1923), который ввел в предоперационную подготовку препараты йода. Первая струмэктомия по поводу Зоб диффузный токсический в России произведена в 1893 год И. Д. Сарычевым; в 1929 год операция была значительно модифицирована А. В. Мартиновым. В СССР широко распространена методика субтотальной субфасциальной резекции щитовидной железы, разработанная О. В. Николаевым (1952). В 1942 год две группы исследователей: Хертц, Робертс, Эванс (S. Hertz, A. Roberts, Pi. D. Evans, 1942) и Хамилтон, Лоренс (J. G. Hamilton, J. Н. Lawrence, 1942) одновременно впервые применили терапию радиоактивным йодом — «радиойодрезекцию» щитовидной железы. В 1943 год был предложен эффективный метод консервативного лечения тиреостатическими препаратами [Аствуд (Е. В. Astwood) с сотрудники.]. В СССР вопросы этиологии, патогенеза, клинической и лечения Зоб диффузный токсический успешно изучались В. Д. Шервинским (1926), Н. А. Шерешевским (1962), Б. В. Петровским (1961), В. Г. Барановым (1966) и другие

Зоб диффузный токсический — одно из распространённых эндокринных заболеваний; по данным Троттера (W. R. Trotter, 1962), заболеваемость Зоб диффузный токсический составляет 0,19% среди женщин, 0,03% среди мужчин. Болезнь развивается в любом возрасте, но наиболее часто в 30—50 лет. Во всех возрастных группах женщины болеют чаще, чем мужчины.

Этиология точно не установлена. Полагают, что развитию заболевания предшествуют компенсированные нарушения деятельности щитовидной железы (генетического, аутоиммунного или воспалительного генеза). Неблагоприятные факторы (психические травмы, респираторные инфекции, обострение хронический тонзиллита, перегревание на солнце) могут вызвать у таких лиц активизацию деятельности щитовидной железы и развитие заболевания. По данным Н. А. Шерешевского (1957), психические травмы в анамнезе установлены у 80% больных, инфекционные заболевания — у 10%. В. Г. Баранов (1966) указывает, что развитию Зоб диффузный токсический предшествует особая форма невроза — нейроциркуляторная дистония, рассматриваемая им как предстадия Зоб диффузный токсический Имеёт значение и неблагоприятная наследственность — передача заболевания по рецессивному типу.

Патогенез

Ведущая роль гиперпродукции йодсодержащих тиреоидных гормонов в развитии Зоб диффузный токсический подтверждена как созданием экспериментальных моделей с введением животным больших доз тиреоидных гормонов, так и ликвидацией большинства его симптомов после соответствующего хирургического или консервативного лечения. Механизмы стойкой гиперфункции щитовидной железы неясны.

Экспериментальные и клинический, попытки связать усиление интратиреоидного гормоногенеза и продукции гормонов с тиреотропной активацией гипоталамогипофизарной системы не дали чётких результатов. В 1958 год Адамс (D. D. Adams) выявил в крови больных Зоб диффузный токсический стимулятор деятельности щитовидной железы — «длительно действующий тиреоидный стимулятор» (long acting thyreoid stimulator — LATS), отличающийся от тиреотропного гормона гипофиза длительностью эффекта. Максимальное действие его при тестировании на мышах и морских свинках определяется по повышению радиоактивного йода в крови через 7—16 часов, тогда как тиреотропный гормон оказывает тот же эффект через 1½—3 часа. LATS обладает специфическими свойствами иммуноглобулина и взаимодействует с тканью щитовидной железы; предполагают, что он является антителом и вырабатывается лимфоцитами. Наличие LATS в крови большинства больных Зоб диффузный токсический при отсутствии повышения уровня тиреотропного гормона послужило основанием для создания теории аутоиммунного патогенеза заболевания. Согласно этой теории, гиперфункция щитовидной железы связана с воздействием антитела — LATS (или LATS-протектора) на гипотетический тиреоидный антиген, так называемый депрессор функции щитовидной железы. Однако В. Г. Баранов и Б. В. Потин (1977) рассматривают тиреостимулирующий субстрат крови больных Зоб диффузный токсический как особую транспортную форму тиреотропного гормона, находящегося в комплексе с белком-носителем. Существенную роль в патогенезе Зоб диффузный токсический играет нарушение функции симпатико-адреналовой системы.

Основная симптоматика Зоб диффузный токсический определяется тиреотоксическим поражением организма, вызванным как избыточной продукцией тироксина (смотри полный свод знаний) и трийодтиронина (смотри, полный свод знаний), так и, возможно, повышением чувствительности к ним периферических тканей. Тиреотоксикоз (смотри полный свод знаний) характеризуется постоянным усилением диссимиляторных процессов. Форсирование окислительных процессов ведёт к повышению потребления кислорода, разобщению окислительного фосфорилирования и уменьшению аккумуляции энергии (образование макроэргов). Нарушение энергетического баланса, вначале компенсируемое напряжением всех систем организма, в дальнейшем отражается на состоянии внутренних органов, в первую очередь сердечно-сосудистой системы. Увеличение проницаемости сосудистой стенки, выход в ткани грубодисперсных белков, затрудняющих гематотканевой обмен, приводят к гипоксии тканей и отягощают дистрофический процесс. Обмен веществ характеризуется ускорением катаболизма белков, липолиза и окисления жирных кислот, отрицательным азотистым балансом, усилением гликогенолиза в печени и мышцах, значительным обезвоживанием организма. Возникновение офтальмопатии связывают с действием гуморальных факторов: LATS и особого экзофтальмического фактора, предположительно образующегося в гипофизе, а также с нарушением двигательной и трофической иннервации глаз. Основной причиной экзофтальма является накопление кислых мукополисахаридов в ретробульбарной клетчатке; резкое увеличение её объёма за счёт активного связывания воды и вызывает протрузию глазного яблока. Накопление в соединительной ткани мукополисахаридов, гиалуроновой и хондроитинсерной кислоты имеет место и при локализованной, или претибиальной, микседеме, часто сопутствующей офтальмопатии.

Патологическая анатомия

Щитовидная железа увеличена в 2—5 раз, иногда и более. Увеличение размеров железы не всегда соответствует тяжести заболевания. Консистенция её обычно умеренно плотная; на разрезе она сочная, полнокровная, розово-серого цвета. Гистологический картина органа может демонстрировать различные виды зобной трансформации железы и зависит от вида ранее проводившейся терапии.

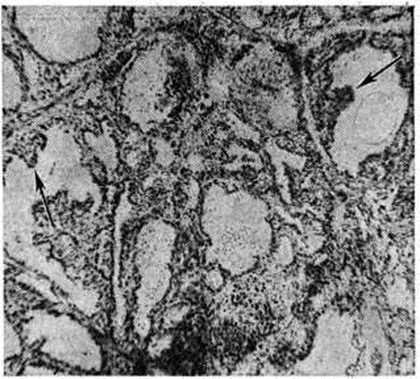
При отсутствии предварительного лечения в щитовидной железе чаще выявляются диффузные изменения с полиморфизмом фолликулов; их контуры неправильны, просвет может быть щелевидным или звездчатым. Фолликулярный эпителий цилиндрический, нередко многослойный, образует в просвете фолликулов разрастания папилломатозного типа (рисунок 1). Коллоид жидкий, слабо эозинофилен, содержит большое количество резорбционных вакуолей. Кровеносные сосуды переполнены кровью. В интерфолликулярной соединительной ткани обнаруживаются скопления лимфоцитов с образованием лимфоидных фолликулов (рисунок 2). Эпителиальные клетки нередко деструктивно изменены, слущиваются и могут быть обнаружены в просвете фолликулов. Приведённые изменения, возникающие в интактной щитовидной железе, получили название базедовского зоба.



Информация об Ordo Deus Перейти в оглавление сайта

Рис. 1.
Микропрепарат щитовидной железы при диффузном токсическом зобе: стрелками указаны выросты эпителия папилломатозного типа, растущего в полость фолликула; × 300.



После лечения Зоб диффузный токсический препаратами йода консистенция щитовидной железы становится более плотной, кровенаполнение сосудов менее выражено, фолликулярный эпителий становится кубическим, значительно уменьшается вакуолизация коллоида. При длительном применении препаратов йода гистологический картина снова может приобрести все признаки, характерные для базедовского зоба.

При лечении Зоб диффузный токсический тиреостатическими препаратами (производными тиоурацила или имидазола) в течение 1 — 2 месяцев консистенция щитовидной железы становится более мягкой, кровенаполнение сосудов увеличивается, гистологический картина указывает на повышенную деятельность желёз. При применении тиреостатических препаратов более года и стабилизации эутиреоидного состояния значительная часть щитовидной железы приобретает нормальное строение, в некоторой части фолликулов сохраняется высокий цилиндрический эпителий и значительная вакуолизация коллоида, выявляются участки атрофии ткани. В эксперименте длительное введение метилтиоурацила в больших дозах приводило к развитию злокачественных опухолей щитовидной железы, но в клинике подобные наблюдения отсутствуют.

При тяжёлой форме Зоб диффузный токсический могут возникать изменения в поперечнополосатых мышцах; между пучками мышечных волокон и отдельными волокнами обнаруживаются жировые клетки, расположенные рядами или группами, возможна атрофия мышечных волокон. Наиболее значительные изменения обнаруживаются в глазодвигательной мускулатуре при офтальмопатии: выраженный отёк и мелкоклеточная инфильтрация стромы, чередование атрофичных и резко набухших волокон. При тяжёлых формах развивается фиброз тканей глазницы. При длительном течении болезни у части больных выявляется умеренно выраженный остеопороз (смотри полный свод знаний).

Значительные изменения при тяжёлой форме болезни возникают в миокарде и печени. Сердце нередко увеличено, его полости расширены. Как показали экспериментальные исследования, увеличение веса миокарда связано с гидратацией ткани. При гистологический исследовании в перикапиллярных пространствах выявляется плазморрагический выпот, отмечаются отёк и разволокнение мышечной ткани, частичное исчезновение поперечной исчерченности в кардиомиоцитах, полинуклеарная и лимфоцитарная инфильтрация стромы, иногда очаги некроза и фиброза.

В печени при гистологический исследовании выявляются гиперемия, дилатация капилляров и вокруг синусоидных пространств (пространств Диссе), которые заполняются жидкостью, содержащей белок. Стенки капилляров набухают, иногда между печёночными балками обнаруживаются кровоизлияния. В перипортальной зоне встречаются скопления лимфоидных клеток. Гепатоциты дискомплексируются и подвергаются зернистой и гидроиической дистрофии, изредка жировой дегенерации и бурой атрофии. Эти могут привести к очаговым некрозам с последующим разрастанием соединительной ткани преимущественно в субкапсулярных отделах и развитием очагового цирроза печени.

Изменения в почках непостоянны, возможны дистрофические изменения эпителиальных клеток нефрона, накопление серозной жидкости в полости капсул (клубочков Шумиловянского—Боумена).

В центральная нервная система выявляются дистрофические изменения ганглиозных клеток, периваскулярные инфильтраты, кровоизлияния. В высшая нервная система, преимущественно в шейных симпатических узлах, обнаруживаются деструктивные процессы в ганглиозных клетках, их атрофия, утолщение и зернистый распад нейрофибрилл.

Лимфатических, узлы нередко гиперплазированы, возможно увеличение вилочковой железы в результате гиперплазии её коркового слоя. Эти нарушения чаще встречаются у детей при тимико-лимфатическом состоянии. Истончение коркового вещества надпочечников, в основном пучковой зоны, выраженная её делипоидизация, кровоизлияния отмечаются при тяжёлом и длительном тиреотоксикозе.

При гистологический исследовании передней доли гипофиза иногда обнаруживается увеличение количества хромафинобластов и уменьшение хромафиноцитов. При тяжёлой форме Зоб диффузный токсический у детей, особенно у девочек, возможна задержка развития половых желёз, у женщин наблюдаются атрофические процессы в яичниках и умеренная атрофия молочных желёз, у мужчин обнаруживают гинекомастию (смотри полный свод знаний) с ограниченным развитием железистой ткани вокруг сосков, иногда значительную гиперплазию ткани.

Клиническая картина. Заболевание развивается остро или постепенно. Обычно формы с острым началом в дальнейшем приобретают хронический течение; тяжёлые психических, и физических травмы, интеркуррентные инфекции, перегревание на солнце, беременность и лактация могут привести к обострению заболевания.

Согласно Ш. Милку (1954), выделяют 4 стадии заболевания: I — нейрогенная, II — нейрогормональная, III — висцеропатическая, IV — кахектическая (дистрофическая). В клинический, практике чаще используется классификация форм заболевания по степени тяжести: лёгкая, средней тяжести, тяжёлая. Основные критерии: общее состояние больных и выраженность симптомов, степень потери веса (до 10, 20 и свыше 20%), повышение основного обмена (до 30, 30—60, свыше 60%), частота пульса (до 100, 120, свыше 120 ударов в 1 минут), изменения со стороны сердечно-сосудистой системы, желудочно-кишечного тракта и печени.

Наиболее характерные симптомы: увеличение размеров щитовидной железы, тахикардия, офтальмопатия, повышенная психическая возбудимость, мелкое дрожание тела и конечностей, похудание при повышенном аппетите, общая слабость, потливость, субфебрильная температура.

Кожа у больных эластичная и влажная, иногда с выраженной пигментацией и явлениями локализованной микседемы (утолщение кожи на передней поверхности голеней и тыле стопы). Подкожный жировой слой уменьшен, при тяжёлой. форме заболевания возможно резкое исхудание с практически полным исчезновением подкожной клетчатки (рисунок 3). Аппетит обычно сохранен, нередко повышен. Больные отмечают жажду, плохо переносят повышенную температуру окружающей среды. Для большинства больных характерна мышечная слабость, при тяжёлой форме возникает атрофия мышц, более выраженная в проксимальных отделах конечностей, изредка утолщение пальцев кистей и стоп, обычно сочетающееся с выраженной офтальмопатией или претибиальной микседемой.

Щитовидная железа диффузно увеличена, в ней у пожилых лиц обычно обнаруживают уплотнения. Наиболее часто встречается зоб II и III степени, несколько реже IV (смотри полный свод знаний Зоб). Увеличение размеров железы отчётливо выявляется с помощью радиол, метода исследования — сканирования (рисунок 4). При прощупывании зоба ощущают обычно пульсацию сосудов; при его аускультации у части больных выслушиваются сосудистые шумы.



Информация об Ordo Deus Перейти в оглавление сайта

Рис. 2.
Микропрепарат щитовидной железы при диффузном токсическом зобе: скопление лимфоцитов (указано стрелками) в интерфолликулярной соединительной ткани.





Информация об Ordo Deus Перейти в оглавление сайта

Рис. 3.
Больная с тяжёлой формой тиреотоксического зоба: резкое исхудание с практически полным исчезновением подкожной клетчатки.



Поражение глаз, или офтальмопатия, при Зоб диффузный токсический возникает у 40—80% больных. Наиболее типичен экзофтальм (смотри полный свод знаний), обычно более или менее равномерный, иногда асимметричный. Нередко отмечают необычный блеск глаз. Характерные глазные симптомы: Грефе — появление белой полоски склеры между краем века и краем радужки при движении глазного яблока книзу (рисунок 5); Штелльвага — редкое мигание; Дальримпля — широкое раскрытие глазной щели; Мебиуса — нарушение конвергенции. Реже наблюдаются симптомы: Кохера — ретракция верхнего века и появление белой полоски склеры между краем нижнего века и краем роговицы при быстром движении глазного яблока кверху; Зенгера — Энрота — подушкообразная припухлость век; Еллинека — Телле — усиленная пигментация век; Жоффруа — отсутствие морщин на лбу при взоре вверх. При прогрессирующей офтальмопатии экзофтальм возрастает, увеличиваются отёки век, появляются гиперемия и отёчность конъюнктивы, резь, чувство «песка», боли в глазах, слезоточивость, светобоязнь, нарушается функция глазодвигательных мышц — экзофтальмическая офтальмоплегия (рисунок 6). Наиболее часто ограничено движение глазных яблок кверху и кверху-кнаружи. Возникает двоение предметов. При значительном экзофтальме может развиться повышение внутриглазного давления — вторичная глаукома. Из-за нарушения смыкания век при резкой протрузии глазного яблока наступает высыхание и изъязвление роговицы, создающие угрозу зрению.

Тиреотоксическое сердце — симптомокомплекс нарушений в системе кровообращения при Зоб диффузный токсический, вызванных повышенной концентрацией йодтиреоидных гормонов в крови. Термин введён Краусом (R. Kraus) в 1899 год. В развитии тиреотоксического сердца основное значение придаётся нарушению метаболизма миокарда, характеризующемуся снижением энергетического потенциала миокардиоцитов, преобладанием в них катаболических процессов над анаболическими, уменьшением содержания гликогена, калия, магния при повышении содержания натрия. Повышенная потребность периферических тканей в кислороде вызывает компенсаторное усиление работы сердца и значительные изменения гемодинамики: увеличиваются минутный объем сердца, скорость кровотока, объем циркулирующей крови; уменьшаются артериовенозная разность по кислороду и периферическое сопротивление в большом круге кровообращения.

Наиболее постоянным симптомом Зоб диффузный токсический, в значительной степени отражающим тяжесть тиреотоксикоза (смотри полный свод знаний), является тахикардия (смотри полный свод знаний). Она носит постоянный характер и сохраняется даже во время сна. Пароксизмальная тахикардия при Зоб диффузный токсический наблюдается редко и возникает на фоне постоянного учащения сердечных сокращений.

При тяжёлой форме Зоб диффузный токсический может возникнуть мерцание предсердий (тахиаритмическая форма), иногда трепетание предсердий. Эти явления связывают с токсическим действием тиреоидных гормонов на миокард, образованием гетеротропных очагов возбуждения в мышце предсердий, замедлением проводимости импульса по предсердиям и укорочением рефрактерного периода. Мерцательная аритмия (смотри полный свод знаний) вначале имеет пароксизмальный характер, затем становится постоянной.

Артериальное давление характеризуется большой пульсовой амплитудой. Повышение пульсового давления приводит к выраженной пульсации крупных сосудов, видимой в области шеи.

Границы сердца в начале заболевания и при его лёгкой форме не расширены, при тяжёлой — увеличивается левый, а изредка и правый желудочек. Тоны сердца, особенно первый, усилены, над верхушкой и лёгочной артерией часто прослушивается систолический шум. Рентгенологическое исследование выявляет небольшое выбухание конуса лёгочного ствола с выпрямлением левой границы сердца, обычно без увеличения левого предсердия. На ЭКГ чаще отмечается нормальное положение оси сердца. В начале заболевания регистрируется высокий вольтаж зубцов Р и Т; для прогрессирующего Зоб диффузный токсический характерны снижение, уплощение и инверсия зубца Т. У части больных обнаруживаются признаки гипертрофии левого желудочка, чаще отражающие обменные нарушения в миокарде и исчезающие после эффективного лечения. При Зоб диффузный токсический возможно возникновение стенокардии. На ЭКГ могут появиться изменения, характерные для коронарной недостаточности: депрессия сегмента ST и отрицательный зубец Т. Однако при отсутствии артериальной гипертензии и выраженного атеросклероза изменения конечной части желудочкового комплекса могут исчезнуть после эффективного лечения Зоб диффузный токсический.



Информация об Ordo Deus Перейти в оглавление сайта

Рис. 4.
Сканограмма щитовидной железы: слева — в норме (для сравнения); справа — увеличение щитовидной железы II степени при тиреотоксическом зобе.



Дополнительные методы исследования, в том числе катетеризация полостей сердца, выявляют уменьшение сократительной способности миокарда соответственно тяжести заболевания.

Дисфункция желудочно-кишечные тракта проявляется учащением стула из-за повышения перистальтики кишечника, при тяжёлой форме — снижением аппетита, тошнотой, рвотой, поносами, желудочной ахилией. При формах заболевания лёгкой и средней тяжести аппетит часто повышен. Нарушение функции печени вначале незначительное и выявляется лишь функциональными пробами. При прогрессировании Зоб диффузный токсический печень увеличивается, в крови повышается содержание билирубина, возможно развитие желтухи. У больных с предшествующей патологией печени могут развиться дистрофия и атрофический цирроз печени. Появление желтухи всегда указывает на неблагоприятное течение процесса.

При Зоб диффузный токсический нарушается также деятельность других эндокринных желёз. Функция коры надпочечников в начале заболевания при лёгкой форме нередко слегка усилена; по мере ухудшения состояния у больных развивается гипокортицизм с гиперпигментацией кожных покровов. При тяжёлой форме значительно нарушается функция половых желёз: у женщин возникают дисменорея и аменорея, у мужчин снижается потенция и в результате изменения эстрогенного фона может развиться гинекомастия. После устранения тиреотоксикоза обмен стероидов в организме постепенно нормализуется, гинекомастия подвергается обратному развитию. У части больных, обычно молодого возраста, возникает status thymicolymphaticus (смотри полный свод знаний). При длительном тиреотоксикозе у больных могут появиться симптомы сахарного диабета — тиреогенный диабет.

Психические расстройства чрезвычайно характерны для Зоб диффузный токсический. Это дало основание выделять специальную, нервную (нервно-психическую, нервно-вегетативную) форму тиреотоксикоза. Структура и динамика психопатологический симптоматики Зоб диффузный токсический отражают выделенные Блейлером (М. Bleuler) закономерности развития психических сдвигов при эндокринопатиях: формирование эндокринного психосиндрома на ранних этапах болезни; в случаях относительно доброкачественного его течения — постепенный переход в амнестическо-органический синдром; развитие острых и затяжных психозов — при нарастании тяжести токсикоза. Свойственные эндокринному психосиндрому три группы нарушений — снижение психической активности, изменение влечений и расстройства настроения — при тиреотоксикозе представлены очень ярко.Понижение психической активности выражается в астении с повышенной психической и физических утомляемостью и быстрой истощаемостью, затруднении концентрации внимания и значительном снижении работоспособности; реже встречаются апатия и вялость.

Расстройства со стороны эмоциональной сферы при тиреотоксикозе выступают на первый план и выявляются почти у всех больных. Наблюдается повышенная аффективная лабильность с чертами дистимии: «недержание аффекта» — от слабодушия и слезливости до выраженной склонности к бурным аффективным вспышкам и гневливости. Лабильность настроения наблюдается на фоне постоянного ощущения больными внутренней напряжённости, беспокойства, тревоги и проявляется повышенной возбудимостью, немотивированной вспыльчивостью, раздражительностью, торопливостью, иногда двигательной гиперактивностью с малой продуктивностью. Если у больных развиваются выраженные депрессивные состояния, то они редко представляют собой так называемый чистые депрессии; чаще наблюдаются смешанные тревожно-депрессивные состояния или состояния типа «дисфорической депрессии», «слезливой депрессии», «гневливой депрессии» и тому подобное Нередки также депрессивно-ипохондрические состояния, в основе которых могут лежать сенестопатические ощущения (неприятные ощущения во внутренних органах, коже).



Информация об Ordo Deus Перейти в оглавление сайта

Рис. 6.
Экзофтальмическая офтальмоплегия при диффузном токсическом зобе: на рисунке справа — ограничение движения глазных яблок кверху (появление белой полоски склеры между верхним краем века и радужкой); слева — глаза здорового человека при том же движении.





Информация об Ordo Deus Перейти в оглавление сайта

Рис. 5.
Офтальмопатия при диффузном токсическом зобе: на рисунке справа — экзофтальм (пучеглазие), широкое раскрытие глазной щели, симптом Грефе (появление белой полоски склеры между краем века и краем роговой оболочки при движении глазного яблока книзу); слева — глаза здорового человека при том же движении.



Большое место в клинический, картине занимают расстройства сна — бессонница, поверхностный сон, укороченный сон, тревожный сон с соответствующими сновидениями.

Интеллектуальные нарушения, как правило, на этапе эндокринного психосиндрома отсутствуют. Отмечаются лишь изменения темпа течения мыслительных процессов в сторону ускорения, затруднения в длительной концентрации внимания и связанная с ними сниженная продуктивность психической деятельности. При тяжёлой форме заболевания, когда начинают развиваться симптомы амнестическо-органического синдрома, может обнаружиться лёгкое интеллектуальное снижение с потерей критики к своему состоянию и благодушием. Как правило, на этой стадии более выражены и неврологический нарушения: повышение сухожильных рефлексов, неустойчивость в позе Ромберга (смотри полный свод знаний Ромберга симптом), усиление тремора и так далее

Психозы при Зоб диффузный токсический редки и различны по своей клинической, картине (депрессивные, депрессивно-бредовые, делириозные, делириозно-аментивные, шизофреноподобные и другие).

В периферической крови больных Зоб диффузный токсический не отмечается существенных изменений, при тяжёлой форме возможны гипохромная анемия, иногда со значительным снижением гемоглобина, лейкопения с лимфоцитозом и относительной нейтропенией. В крови выявляют уменьшение количества альбуминов и увеличение глобулинов, преимущественно их α-фракций. Содержание холестерина снижается в результате его ускоренного метаболизма и быстрого выведения с желчью. Отмечаются наклонность к гипергликемии и диабетическое изменение гликемической кривой после нагрузки глюкозой, что чаще связано с ускоренным всасыванием глюкозы в кишечнике. При своевременной эффективной терапии показатели углеводного обмена нормализуются. Содержание электролитов в крови обычно нормальное. Нарушения водного обмена выражаются в дегидратации.

Основной обмен при тяжёлой форме Зоб диффузный токсический повышен до 100%, характерно ускорение и повышение поглощения радиоактивного йода щитовидной железой. В крови повышено содержание белково-связанного йода, иногда до 25 микрограмм% (норма 4,0—8,5 микрограмм%), и бутанолэкстрагируемого йода до 10—12 микрограмм% (норма 3—6,5 микрограмм%), что отражает увеличение секреции тироксина и трийодтиронина. Наблюдается повышение содержания в крови тироксина до 20—30 микрограмм%, определяемого методом конкурентного связывания (норма 5,0—13,7 микрограмм%), и трийодтиронина до 400—500 нанограмм% (норма 100—300 нанограмм%). Показателем гипертиреоза служит повышение коэффициента эффективного тироксина (КЭТ) выше 1,13. Этот диагностический тест отражает уровень общего тироксина и тироксинсвязывающей способности белков сыворотки крови.

Зоб диффузный токсический в детском возрасте (в допубертатный период) наблюдается реже, чем у взрослых (1— 2% больных). Клин, картина имеет свои особенности: склонность к быстрому прогрессированию, выраженность исхудания, ускорение роста при задержке полового развития у девочек, хореоидные подёргивания. Сердечно-сосудистая патология обычно является ведущей в клинике Зоб диффузный токсический у детей, проявляясь высокой тахикардией (140—160 ударов в минут), лабильностью пульса, расширением границ сердца, более резкими, чем у взрослых, изменениями ЭКГ (особенно деформация конечной части желудочкового комплекса). При этом мерцательная аритмия и выраженная недостаточность кровообращения у детей чрезвычайно редки. Изменения психики — плаксивость, ослабление способности концентрировать внимание и памяти — ярко выражены и могут ограничить возможности ребёнка продолжать учёбу в школе, способствуют возникновению конфликтных ситуаций. При обследовании детей противопоказаны пробы с введением в организм радиоактивных веществ.

Зоб диффузный токсический у пожилых людей. Отличительные черты клиники Зоб диффузный токсический в этом возрасте определяются развитием тиреотоксикоза на фоне атеросклероза, что приводит к более частому возникновению мерцательной аритмии и недостаточности кровообращения, более тяжёлым дистрофическим изменениям внутренних органов.

У мужчин более быстро прогрессирует тиреотоксикоз, чаще, чем у женщин, наблюдается офтальмопатия, мерцательная аритмия и декомпенсация сердечной деятельности.

Осложнения: тиреотоксические кризы, сердечная недостаточность, мерцательная аритмия, острая и подострая дистрофия и цирроз печени. Психозы возникают при тяжёлом течении заболевания и недостаточно эффективном лечении. Тиреотоксические кризы могут развиться после психической травмы, острых инфекций, операции или лечения радиоактивным йодом и характеризуются быстрым и резким нарастанием симптомов тиреотоксикоза, гипертермией, дегидратацией, ухудшением деятельности сердца и усилением явлений гипокортицизма. При нарастании интоксикации возможно развитие коматозного состояния. К редким осложнениям относятся пароксизмальная миоплегия, характеризующаяся резкой слабостью мышц нижних конечностей, и периодическая тетания, связанная, по-видимому, с избытком кальцитонина (смотри полный свод знаний), которые устраняются при достижении эутиреоидного состояния.

Диагноз

Ранняя диагностика позволяет своевременно устранить симптомы тиреотоксикоза, избежать осложнений и добиться выздоровления. Наибольшее диагностическое значение имеет сочетание таких симптомов, как стойкая тахикардия, похудание при повышенном аппетите и диффузный зоб, а также наличие экзофтальма, симптома Шарко—Мари (дрожание пальцев вытянутых рук), потливости и большой пульсовой амплитуды. Дифференциальный диагноз — с ревмокардитом, туберкулёзом, гипертонической болезнью в начальном её периоде, неврозами. Правильной диагностике способствуют данные лабораторных анализов: повышение основного обмена (смотри полный свод знаний), содержания в крови белково-связанного йода (смотри полный свод знаний) и бутанолэкстрагируемого йода (смотри полный свод знаний); изменение показателей радиойодиндикации щитовидной железы (смотри полный свод знаний Щитовидная железа, радиоизотопное исследование). Дифференциальный диагноз облегчает проведение пробной терапии мерказолилом в дозе 20—40 миллиграмм в день в течение 2—3 недель: стойкое урежение пульса и прибавка веса указывают на наличие тиреотоксикоза. Однако отсутствие в указанные сроки выраженного эффекта от лечения не является основанием для полного исключения диагноза Зоб диффузный токсический, так как для устранения тиреотоксикоза может требоваться более длительное лечение.

Выраженные формы поражения сердца при Зоб диффузный токсический, сопровождающиеся мерцательной аритмией, появлением сердечных шумов, значительным увеличением левого желудочка, сердечной недостаточностью, приходится дифференцировать с пороками сердца, миокардитами, атеросклеротическим кардиосклерозом, кардиомиопатией.

Лечение

При тяжёлой и среднетяжёлой формах Зоб диффузный токсический лечение следует начинать в стационаре. Вне зависимости от выбора метода лечения больным необходимо назначать полноценное калорийное питание с введением в рацион легкоусвояемых продуктов, витаминов и минеральных солей, обеспечить психический и физических покой, соблюдение режима дня, глубокий 9—12-часовой сон; показаны препараты брома, снотворные средства.

Общепринятые методы лечения Зоб диффузный токсический: лечение антитиреоидными средствами, радиойодтерапия и хирургическое лечение.

Наиболее эффективны производные тиоурацила (метилтиоурацил, пропил тиоурацил) и имидазола (мерказолил, синонимы: метотирин, метимазол). Основной механизм их действия сводится к торможению синтеза тиреоидных гормонов на уровне йодированных тирозинов. Длительное (на протяжении года и более) лечение этими препаратами со стойким сохранением эутиреоза у значительной части больных приводит к выздоровлению. Антитиреоидные препараты используются также для устранения тиреотоксикоза перед оперативным лечением или применением радиойодтерапии. Начальные дозы метилтиоурацила 0,2—0,25 грамм 2—3 раза в день, мерказолила 0,01 грамм 2—3 раза в день. У некоторых больных при тяжёлой форме тиреотоксикоза или наличии резистентности к препарату суточная доза мерказолила может быть повышена до 40—60 миллиграмм и более. После устранения тиреотоксикоза дозы препаратов снижают и в тех случаях, когда длительная антитиреоидная терапия избирается самостоятельным методом лечения, постепенно переходят к поддерживающим дозам, составляющим для мерказолила 5—10 миллиграмм в сутки, для метилтиоурацила 50—100 миллиграмм в сутки. Непременным условием поддерживающей терапии является применение доз препаратов, достаточных для поддержания эутиреоза (смотри полный свод знаний). Благоприятным признаком, указывающим на вероятность выздоровления, являются нормализация захвата 131I щитовидной железой и уменьшение размеров зоба.

Начальные дозы перхлората калия, оказывающего действие путём блокады накопления йода щитовидной железой, составляют 600— 1000 миллиграмм в сутки. Ввиду того, что терапевтический эффект наблюдается при снижении захвата 131I ниже 10%, подбор дозы перхлората калия целесообразно проводить под контролем за поглощением 131I щитовидной железой. Перхлорат калия может назначаться одновременно с мерказолилом, действие которого он потенцирует.

Эти препараты могут оказывать токсическое действие на костномозговое кроветворение, вплоть до агранулоцитоза. При их назначении необходимо наблюдение за составом периферической крови вначале 1 раз в неделю, при поддерживающей терапии— 1 раз в 2—3 недель. При возникновении ангины у больных препараты следует отменить до проведения анализа крови. Изредка наблюдаются аллергические реакции. Перхлорат калия в рекомендуемых дозах малотоксичен.

Назначение препаратов йода ввиду их преходящего, хотя и быстрого тормозящего действия на синтез тиреоидных гормонов ограничивается специальными показаниями: при необходимости быстрейшего снижения тиреотоксикоза из-за тяжёлого состояния больных, невозможности применения других антитиреоидных препаратов в связи с лактацией, аллергическими и агранулоцитарными реакциями. Препараты йода применяются также на фоне устранённого тиреотоксикоза перед оперативным лечением с целью уменьшения кровенаполнения щитовидной железы. Препараты йода могут назначаться в сочетании с мерказолилом или метилтиоурацилом, но не с перхлоратом калия.

Введение антитиреоидных препаратов нередко сочетают с препаратами раувольфии, обычно резерпином, и витаминами С, В, А. Дозы резерпина: 0,1 — 0,25 миллиграмм 2—3 раза в день до устранения тиреотоксикоза. Сочетание тиреостатических средств с препаратами раувольфии ускоряет наступление эутиреоидного состояния. Более быстрое устранение симптомов тиреотоксикоза наблюдается также при сочетанном применении тиреостатических средств и p-адреноблокаторов (анапримерилин, синонимы: обзидан и другие) по 10—40 миллиграмм 2—3 раза в день.

При снижении питания могут быть назначены анаболические стероиды (неробол, ретаболил и другие) в обычных дозах и инсулин. Препараты коры надпочечников показаны больным с тяжёлым течением при наличии гипокортицизма, тимико-лимфатического состояния, выраженной офтальмопатии, лейкопении с гранулоцитопенией. Дозы препаратов индивидуальны. При явлениях сердечно-сосудистой недостаточности и мерцательной аритмии проводят соответствующую кардиальную терапию. При выраженных психических нарушениях больным Зоб диффузный токсический показаны нейролептики различного спектра действия, антидепрессанты и тому подобное

При тиреотоксическом кризе необходима энергичная комплексная терапия: парентеральное (предпочтительнее внутривенное) введение 1000 миллиграмм гидрокортизона в сутки, 5— 10 миллилитров раствора Люголя капельно с глюкозой, сердечных гликозидов (коргликон или строфантин), при выраженной тахиаритмии — β-адреноблокаторов, кокарбоксилазы, внутривенное введение 5% раствора глюкозы с инсулином, раствора Рингера — Локка, неокомпенсана, жаропонижающих (анальгина, реопирина, амидопирина). Как правило, необходимо ввести 1,5—2, реже 3 литров жидкости, количество которой контролируется диурезом и величиной потоотделения. Применяют физических охлаждение: пузыри со льдом на область магистральных сосудов бёдер, печени.

Лечебный действие радиоактивного йода 131I (смотри полный свод знаний Йод, радиоактивный) основано на разрушении Р-частицами гиперплазированной тиреоидной ткани. Показания к радиойодтерапии: отсутствие стойкого эффекта от медикаментозной терапии у больных (преимущественно старше 40 лет) с диффузным зобом II—III степени, осложнённые формы Зоб диффузный токсический, при которых невозможно оперативное вмешательство, рецидивы Зоб диффузный токсический при наличии послеоперационных осложнений. Противопоказания: Зоб диффузный токсический у детей и подростков, беременность, лактация, загрудинный и кольцевой зоб, сдавливающий трахею. Препарат назначают перорально. Лечение должно обеспечить деструкцию 9/10 паренхимы железы. Рекомендуется одномоментно вводить от 60 до 120 микро-кюри изотопа на 1 грамм щитовидной железы. Расчёт веса органа основан на данных пальпации (при I, II, III и IV степени увеличения вес железы соответственно достигает 30—40, 50—60, 80—110, 120—150 грамм) или сканирования. Производится также расчёт радиации, воздействующей на железу; при этом доза 131I выражается в радах. Лечение оказывается эффективным при дозе 1311 в 5000—7000 рад. Используются 2 метода радиойодтерапии: одномоментный и «дробный», фракционный, при котором изотоп вводят в 2—3 порциях с интервалом в 2— 3 дня. При необходимости курс повторяют через 2—6 месяцев Осложнения: обострение тиреотоксикоза, изредка с тиреотоксическим кризом, и гипотиреоз (иногда через несколько лет после радиойодтерапии). Для предупреждения обострений Зоб диффузный токсический рекомендуется предварительное лечение больных тиреостатическими препаратами — до наступления стойкой ремиссии. Использование фракционного метода введения изотопа также снижает частоту осложнений.

При лечении детей назначается полноценное питание и витамины С, В и А. Медикаментозную антитиреоидную терапию проводят теми же средствами, что и у взрослых. Наиболее эффективен мерказолил, начальная доза которого 10—30 миллиграмм на м² поверхности тела, в среднем 15—20 миллиграмм в день. Уменьшение суточной дозы проводится постепенно после устранения тиреотоксикоза; дозы, поддерживающие эутиреоидное состояние, обычно соответствуют поддерживающим дозам у взрослых. Длительность лечения у большинства больных до 1 — 1½ лет. Наблюдение за картиной крови осуществляется каждые 7—14 дней. Лечение мерказолилом первые 2—4 месяцев сочетают с введением препаратов раувольфии, обычно резерпина: 0,05 миллиграмм 2 раза в день детям 5—7 лет и 0,1 миллиграмм 2 раза в день детям школьного возраста.

Оперативное лечение. Струмэктомия — широко распространённый термин для обозначения операций различного объёма на щитовидной железе. В буквальном переводе струмэктомия означает удаление зоба, то есть экстирпацию его. Повидимому, более целесообразно уточнять характер проведённого вмешательства, например, субтотальная резекция щитовидной железы, энуклеация узла или энуклеация с частичной резекцией одной или обеих долей.

Наиболее радикальным методом лечения Зоб диффузный токсический является субтотальная резекция щитовидной железы. Методика операции должна обеспечивать надёжность гемостаза, целость гортанных нервов и околощитовидных желёз, сохранность 5— 6 грамм щитовидной железы. Субтотальная резекция щитовидной железы осуществляется двумя методами. Первый, предложенный Т. Кохером и модифицированный Л ахи (F. Н. Lahey, 1949), заключается в субтотальной резекции щитовидной железы после предварительной изолированной перевязки четырех основных артерий, выделения гортанных нервов и околощитовидных желёз для предупреждения их травмы. Эта методика широко применяется амер. и западноевропейскими хирургами. Второй метод предложен и детально разработано. В. Николаевым (1952).

При нем область вмешательства ограничивается пределами внутришейной фасции, перевязка сосудов производится только в пределах её висцеральной пластинки без предварительного лигирования основных артериальных стволов. Оставляемая ткань щитовидной железы располагается в виде двух пластинок (весом 2—3 грамм каждая) по бокам трахеи, прикрывая зоны расположения околощитовидных желёз и гортанных нервов.

Метод Николаева может быть применён и при рецидиве Зоб диффузный токсический: имеющиеся рубцы рассматриваются как утолщения фасции щитовидной железы, и операция принципиально осуществляется так же, как при первичном вмешательстве.

Показания к операции: отсутствие стойкого эффекта от правильно проведённой медикаментозной терапии, крупные размеры зоба и наличие в нем узлов, трудности при проведении консервативного лечения (например, гранулоцитопеническая или аллергические реакции), наличие сопутствующих заболеваний или осложнений (например, сахарный диабет, мерцательная аритмия), которые могут усугубляться при рецидивах тиреотоксикоза.

Абсолютных противопоказаний к хирургическому лечению Зоб диффузный токсический, независимо от возраста больного, тяжести основного и наличия сопутствующих заболеваний, не существует.

Основная цель предоперационной подготовки — максимальная компенсация висцеропатических последствий тиреотоксикоза и достижение эутиреоидного состояния.

Применяемый для этого комплекс средств должен включать и высококалорийную физиол. диету. Несмотря на возможность выраженного струмогенного эффекта, применение тиреостатиков, в частности мерказолила (в дозе 40 миллиграмм в сутки), в сочетании с дийодтирозином (150—200 миллиграмм в сутки), позволяет в большинстве случаев достигнуть эутиреоидного состояния.

Подготовка к операции включает кардиальную терапию. Недостаточность функции коры надпочечников является показанием к назначению стероидных гормонов (преднизолона по 5—10 миллиграмм в сутки внутрь или гидрокортизона 25—50 миллиграмм в сутки внутримышечно). Длительность применения и дозы гормонов зависят от выраженности гипокортицизма. Для уменьшения психомоторного возбуждения целесообразно назначение транквилизаторов (элениум, седуксен), психотерапия.

Улучшение сердечно-сосудистой деятельности, нормализация артериальное давление, прибавка в весе, уменьшение выраженности пигментации кожи, психомоторного возбуждения, нормализация сна являются клинический, признаками достаточной подготовленности больного к операции.

Для обезболивания наиболее оптимален эндотрахеальный наркоз, который абсолютно показан при операциях у детей и в случаях со значительными техническими трудностями (рецидив заболевания, большой ретротрахеально расположенный зоб). У взрослого больного с небольшим зобом субтотальная резекция щитовидной железы может быть проведена под местным обезболиванием 0,25—0,5% раствором новокаина. В случаях непереносимости новокаина применяются 0,25% растворы ксикаина (лидокаина) или тримекаина (при отсутствии реакции на введение указанных веществ при внутрикожной пробе).

Методически правильно проведённая операция у адекватно подготовленного больного, как правило, проходит без осложнений. Осложнения (кровотечение, ларингоспазм, повреждение гортанных нервов и околощитовидных желёз, тиреотоксичесдшй криз, гипотиреоз), как правило, являются результатом погрешностей самого оперативного вмешательства или непредвиденных клинико-анатомических особенностей заболевания. Частота осложнений возрастает при повторных операциях.

Отдалённые результаты операции зависят от длительности и тяжести заболевания, эффективности предоперационной подготовки, своевременности и радикальности операции. Процент выздоровления и восстановления трудоспособности при своевременной операции составляет 90— 98%.

Прогноз

Своевременное лечение приводит к выздоровлению и восстановлению трудоспособности у подавляющего большинства больных. Наиболее длительно может сохраняться офтальмопатия, в отдельных случаях необратимая. Хирургическое лечение и радиойодтерапия у части больных могут привести к гипотиреозу, требующему постоянной заместительной терапии. Прогноз ухудшается при развитии стойкой декомпенсации тиреотоксического сердца, дистрофии и цирроза печени. Опасность для жизни представляют тяжёлые тиреотоксические кризы и нераспознанное status thymicolymphaticus (при стрессовой ситуации).

Профилактика. Соблюдение правильного режима труда и отдыха, психогигиена, мероприятия по закаливанию организма, занятия физкультурой, профилактика респираторных инфекций, тонзиллитов.

Казеев К.Н.; Клячко В.Р.; Орловская Д.Д.

⇐ Перейти на главную страницу сайта

⇑ Вернуться в начало страницы ⇑

Библиотека Ordo Deus ⇒

⇐ Затёки

⇓ Полный свод знаний. Том первый А. ⇓

Зоб спорадический ⇒

Все статьи в полном изложении, Вы можете найти в большой медицинской энциклопедии — Главный редактор: академик АН СССР (РАН) и АМН СССР (РАМН) Б.В. Петровский. — Москва издательство «Советская энциклопедия» 1989г.

Внимание! Вы находитесь в библиотеке «Ordo Deus». Все книги в электронном варианте, содержащиеся в библиотеке «Ordo Deus», принадлежат их законным владельцам (авторам, переводчикам, издательствам). Все книги и статьи взяты из открытых источников и размещаются здесь только для чтения.

Библиотека «Ordo Deus» не преследует никакой коммерческой выгоды.

Все авторские права сохраняются за правообладателями. Если Вы являетесь автором данного документа и хотите дополнить его или изменить, уточнить реквизиты автора, опубликовать другие документы или возможно вы не желаете, чтобы какой-то из ваших материалов находился в библиотеке, пожалуйста, свяжитесь с нами по e-mail:
info @ ordodeus. ru
Формы для прямой связи с нами находятся в нижней части страниц: контакты и устав «Ordo Deus», для перехода на эти страницы воспользуйтесь кнопкой контакты вверху страницы или ссылкой в оглавлении сайта.

Вас категорически не устраивает перспектива безвозвратно исчезнуть из этого мира? Вы не желаете закончить свой жизненный путь в виде омерзительной гниющей органической массы пожираемой копошащимися в ней могильными червями? Вы желаете вернувшись в молодость прожить ещё одну жизнь? Начать всё заново? Исправить совершённые ошибки? Осуществить несбывшиеся мечты? Перейдите по ссылке: «главная страница».

© Ordo Deus, 2010. При копировании ссылка на сайт http://www.ordo-deus.ru обязательна.