Туберкулёз органов дыхания

Оглавление

  1. Дорога к бессмертию
  2. Бессмертие и религия
  3. Философия бессмертия
  4. Бессмертие и наука
  5. История анабиоза
  6. Смерть
  7. Кора головного мозга
  8. Бессмертие и анабиоз
  9. Анабиоз, медицина и биология
  10. Анабиоз и экономика
  11. Анабиоз и закон
  12. Анабиоз в Антарктиде
  13. Техническое обеспечение анабиоза
  14. Бессмертие и вера
  15. Библиотека Ordo Deus
  16. Контактная страница Ordo Deus

Туберкулёз органов дыхания

Туберкулёз органов дыхания (латынь tuberculum бугорок + -osis) — заболевание органов дыхания, вызываемое микобактериями туберкулёза.

Оглавление

Первичный туберкулёзный комплекс

Туберкулёз внутригрудных лимфатических узлов

Диссеминированный туберкулёз лёгких

Очаговый туберкулёз лёгких

Инфильтративный туберкулёз лёгких

Туберкулема лёгкого

Кавернозный туберкулёз лёгких

Фиброзно-кавернозный туберкулёз лёгких

Цирротический туберкулёз лёгких

Туберкулёзный плеврит

Туберкулёз верхних дыхательных путей, трахеи, бронхов и другие

Туберкулёз органов дыхания, комбинированный с пылевыми профессиональными заболеваниями лёгких

Особенности туберкулёза органов дыхания при его сочетании с другими заболеваниями

Органы дыхания при туберкулёзе (смотри полный свод знаний) поражаются наиболее часто. Возбудителем Туберкулёз органов дыхания являются, как правило, микобактерии туберкулёза человеческого вида (смотри полный свод знаний: Туберкулёз, этиология). Реже встречается туберкулёз органов дыхания, вызываемый микобактериями бычьего вида, передающимися человеку от больных туберкулёзом животных. Поражение органов дыхания, вызываемое микобактериями птичьего вида, которое ранее относили к туберкулёзу, в настоящий, время большинством исследователей расценивается как микобактериоз (смотри полный свод знаний: Микобактерии).

Туберкулёз органов дыхания может быть первичным, то есть развиваться в результате проникновения, чаще аэрогенным путём, возбудителя туберкулёза в организм человека, не инфицированного микобактериями туберкулёза, и вторичным — развивающимся вследствие реактивации старых туберкулёзных очагов или, реже, в результате экзогенной суперинфекции.

Первичный Туберкулёз органов дыхания чаще возникает в детском и юношеском возрасте, проявляется в виде первичного туберкулёзного комплекса, туберкулёза внутригрудных лимфатических, узлов, плеврита, а также очагового, инфильтративного и диссеминированного туберкулёза. Во многих случаях при первичном туберкулёзе поражаются бронхи, а также плевра, что приводит к развитию эндобронхита и плеврита. Возможно сочетание первичного туберкулёза органов дыхания с туберкулёзным поражением других органов. Прогрессирование первичного Туберкулёз органов дыхания может приводить к развитию милиарного туберкулёза, казеозной пневмонии и образованию первичной каверны. В настоящий, время в связи с широко применяющейся противотуберкулёзной вакцинацией прогрессирующий первичный Туберкулёз органов дыхания встречается редко.

Вторичный Туберкулёз органов дыхания в подавляющем большинстве случаев возникает в зрелом возрасте. При этом встречаются очаговый, инфильтративный, диссеминированный туберкулёз лёгких, туберкулема, туберкулёз внутригрудных лимфатических, узлов и туберкулёзный плеврит. Деструктивный процесс в лёгком может завершаться образованием каверны с развитием кавернозного, фиброзно-кавернозного, а в дальнейшем и цирротического туберкулёза лёгких.

В современных условиях значительно реже встречаются казеозная и инфильтративно-казеозная пневмония, а также милиарный туберкулёз, что послужило основанием для исключения этих форм из клинические, классификации туберкулёза (смотри полный свод знаний: Туберкулёз). Внедрение бронхологических методов исследования позволило чаще выявлять специфическое поражение бронхов, обусловленное осложнённым течением туберкулёза внутригрудных лимфатических, узлов. Специфические изменения наиболее часто локализуются в верхушках и подключичных зонах лёгких, однако в настоящий время нередко наблюдается поражение средних и нижних отделов лёгких (базальных и 6-го сегментов), а также 4—5-го сегментов, что ранее считали характерным только для пневмонии и рака лёгкого. В последнее время Туберкулёз органов дыхания чаще, чем прежде, отмечается у лиц пожилого и старческого возраста и значительно реже наблюдается у беременных и родильниц.

Туберкулёз органов дыхания часто сочетается с другими заболеваниями — язвенной болезнью желудка и двенадцатиперстной кишки, сахарным диабетом, гипертонической болезнью и другими заболеваниями сердечно-сосудистой системы, а также с профессиональными заболеваниями лёгких. У больных Туберкулёз органов дыхания могут наблюдаться также острые и хронический пневмонии, хронический бронхит и другие неспецифические заболевания лёгких, которые в ряде случаев имеют характер метатуберкулёзных. Довольно часто при Туберкулёз органов дыхания встречается рак лёгкого, который может в течение длительного времени не выявляться в связи с маскирующими его проявлениями активного туберкулёзного процесса и метатуберкулёзными изменениями (смотри полный свод знаний: Легкие).

Больные активными формами Туберкулёз органов дыхания, выделяющие микобактерии, находятся под наблюдением в противотуберкулёзном диспансере в I группе учёта. По мере затихания обострения больного с сохранившимися клинические, проявлениями заболевания переводят во II группу учёта. При этом необходимым условием является отсутствие роста микобактерий туберкулёза в течение предшествующих двух лет. Лица, излечившиеся от активного Туберкулёз органов дыхания, переводятся в III (контрольную) группу учёта и остаются под наблюдением в противотуберкулёзном диспансере в течение двух лет (смотри полный свод знаний: Диспансер, Диспансеризация).

Туберкулёз органов дыхания, в соответствии с принятой в нашей стране клинические, классификацией туберкулёза, включает первичный туберкулёзный комплекс, туберкулёз внутригрудных лимфатических, узлов, диссеминированный туберкулёз лёгких, очаговый туберкулёз лёгких, инфильтративный туберкулёз лёгких, туберкулему лёгких, кавернозный туберкулёз лёгких, фиброзно-кавернозный туберкулёз лёгких, цирротический туберкулёз лёгких, туберкулёзный плеврит, туберкулёз верхних дыхательных путей, трахеи, бронхов и другие, туберкулёз органов дыхания, комбинированный с пылевыми профессиональными заболеваниями лёгких.

Первичный туберкулёзный комплекс

Первичный туберкулёзный комплекс характеризуется специфическим поражением участка лёгкого (первичный аффект), регионарного лимфатических, узла (туберкулёзный лимфаденит) и лимфатических, сосудов (туберкулёзный лимфангиит). По мнению большинства исследователей, первичный туберкулёзный аффект (первичный очаг) возникает в месте внедрения возбудителя и развивается в результате первичного инфицирования.

До середины 60-х годы первичный туберкулёзный комплекс встречался чаще других форм первичного Туберкулёз органов дыхания у детей и составлял, по данным разных исследователей, от 40 до 50%. В последние годы его частота в структуре впервые диагностированного Туберкулёз органов дыхания у детей снизилась примерно в 3 раза. Частота обнаружения первичного туберкулёзного комплекса при Туберкулёз органов дыхания у подростков составляет 3,2—4,5%. У взрослых первичный туберкулёзный комплекс, по данным А. Е. Рабухина (1976), встречается в 1% случаев.

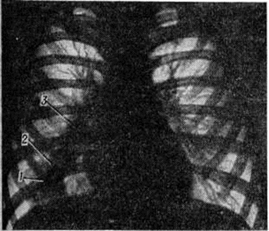
Первичный аффект (смотри полный свод знаний: Аффект первичный) формируется чаще во 2—5-м сегментах лёгких под плеврой в виде очага казеозного бронхиолита или альвеолита. Вокруг очага казеозного некроза имеется слой специфической грануляционной ткани, состоящей из эпителиоидных, лимфоидных и гигантских клеток Пирогова—Лангханса (смотри полный свод знаний: Гигантские клетки). Первичный аффект обычно окружён широкой зоной перифокального воспаления (серозного или серозно-фибринозного). В лимфатических сосудах, по которым осуществляется отток лимфы от первичного аффекта к корню лёгкого, обнаруживаются воспалительные изменения — туберкулёзный лимфангиит. Регионарные лимфатических, узлы корня лёгкого увеличены, уплотнены. Некоторые из них полностью замещены массами казеозного некроза, другие содержат лишь отдельные очаги некроза и туберкулёзные гранулемы (рисунок 1). При прогрессировании процесса изменения наблюдаются как в первичном очаге, так и в регионарных лимфатических, узлах. Первичный очаг при этом увеличивается в размерах, в нем нарастают экссудативные казеозно-некротические изменения; казеозному некрозу подвергается и зона перифокального воспаления. В грануляционной ткани появляется большое количество сегментоядерных лейкоцитов. При вовлечении в процесс бронхов в их стенках развивается воспаление по типу казеозного эндо-, мезо и панбронхита, наблюдаются казеозный бронхиолит и казеозная бронхолобулярная пневмония. При расплавлении в первичном очаге масс казеозного некроза может наступить их прорыв в просвет прилежащих бронхов с образованием острой каверны (смотри полный свод знаний). Распространение туберкулёзного процесса по бронхам ведёт к острой бронхогенной диссеминации с формированием ацинозных или ацинозно-лобулярных очагов казеозной пневмонии. В настоящий, время такие остро прогрессирующие формы первичного Туберкулёз органов дыхания встречаются редко. Чаще наблюдается ограничение первичного очага и рассасывание перифокального воспаления. Затем по периферии первичного очага образуется фиброзная капсула. Позднее массы казеозного некроза подвергаются уплотнению с отложением в них солей кальция (смотри полный свод знаний: Петрификат). Такой инкапсулированный обызвествлённый очаг называется очагом Гона. Воспаление в лимфатических, сосудах стихает, в них развиваются фиброзные изменения. Аналогичные процессы наблюдаются в очагах бронхогенной или гематогенной диссеминации, если они имели место.



Информация об Ordo Deus Перейти в оглавление сайта

Рис. 1.
Гистотопограмма лёгкого при первичном туберкулёзном комплексе: 1 — очаг казеозного некроза в лёгочной ткани в стадии начавшегося отграничения; 2 — казеозный некроз лимфатических узлов в области корня лёгкого; 3 — воспалительные изменения лимфатических сосудов, соединяющих очаг в лёгком с лимфатическими узлами корня лёгкого — туберкулёзный лимфангиит.



Прогрессирование процесса может происходить и в поражённых лимфатических, узлах; наблюдается оно в настоящий, время чаще, чем в первичном очаге. При этом очаги казеозного некроза в лимфатических, узле увеличиваются, в процесс вовлекаются соседние лимфатических, узлы, которые сливаются в крупные конгломераты. Воспалительные изменения могут переходить на капсулу лимфатических, узлов, прилежащие мягкие ткани, средостение, прикорневые отделы лёгкого с образованием прикорневого инфильтрата. В последнем преобладает неспецифическая экссудативная реакция и формируются мелкие, преимущественно эпителиоидно-гигантоклеточные очаги с казеозным некрозом в центре, иногда сливающиеся между собой. Воспалительные изменения с капсулы лимфатических, узлов распространяются на стенки прилежащих бронхов, в которых наблюдается инфильтрация всех слоёв и особенно слизистых желёз. Очаги казеозного некроза в лимфатических, узлах могут подвергаться расплавлению и при разрушении их капсулы прорываются в просвет бронха, образуя бронхиальные свищи (смотри полный свод знаний). Массивный прорыв в просвет бронха масс казеозного некроза обычно приводит к острой бронхогенной диссеминации. При заживлении туберкулёзных очагов в лимфатических, узлах происходит уплотнение масс казеозного некроза с отложением в них солей кальция, рассасывание перифокальных воспалительных изменений, развитие фиброзной ткани в капсуле лимфатических, узлов и прилежащих тканях, в частности в области корня лёгкого. Значительный фиброз в корне лёгкого ведёт к образованию бронхоэктазов (смотри полный свод знаний) и пневмосклерозу (смотри полный свод знаний). Рубцевание бронхиальных свищей сопровождается значительной деформацией бронхиального дерева.

По данным В. И. Пузик (1958), заживление в первичных туберкулёзных очагах происходит значительно полнее, а процессы рассасывания и фиброзирования более выражены, чем в лимфатических, узлах, в которых преобладают явления инкапсуляции.

Клинические, картина зависит от выраженности перифокальной зоны воспаления и распространённости казеозного некроза. Чаще клинические, проявления при первичном туберкулёзном комплексе выражены слабо. При обширном процессе болезнь протекает по типу пневмонии (смотри полный свод знаний) — с высокой температурой и другими симптомами интоксикации (ночные поты, раздражительность, снижение аппетита), ускоренной РОЭ, лейкоцитозом со сдвигом лейкоцитарной формулы влево. Характерным признаком является лимфопения. Над участком поражения определяется укорочение лёгочного звука, ослабление дыхания. При наличии деструктивных изменений, сопутствующем эндобронхите и пневмосклерозе выслушиваются хрипы. У детей первичный туберкулёзный комплекс часто протекает под маской повторных респираторных заболеваний, бронхитов (смотри полный свод знаний); у подростков и взрослых — под маской пневмонии, бронхиальной астмы (смотри полный свод знаний) и других поражений органов дыхания.

Течение первичного туберкулёзного комплекса принято делить на неосложнённое и осложнённое. При неосложнённом течении, имеющем тенденцию к благоприятному исходу, в процесс вовлечены лёгочная ткань и регионарные лимфатических узлы.

Осложнениями первичного туберкулёзного комплекса являются плеврит (смотри полный свод знаний), диссеминация, распад лёгочной ткани. К редким осложнениям относится прорыв казеозных масс из лимфатических, узлов в просвет бронха с образованием бронхиальных свищей. Чаще наблюдается диффузное воспаление слизистой оболочки бронха, вследствие которого нарушается проходимость последнего и возникает ателектаз (смотри полный свод знаний) соответствующего отдела лёгкого. При несвоевременном лечении в этом участке может развиться вначале метатуберкулёзный, а затем посттуберкулёзный пневмосклероз.

В диагностике основную роль играют рентгенологические методы исследования. Рентгенологические картина первичного комплекса характеризуется, четырьмя признаками: появлением, чаще во 2—5-м сегментах лёгких, крупного очага или участка уплотнения лёгочной ткани средней интенсивности, однородной структуры с чёткими очертаниями, расположенного кортикально (очаг первичной пневмонии); расширением и уплотнением за счёт увеличения регионарных лимфатических, узлов корня лёгкого на этой же стороне; наличием связующей дорожки между очагом в лёгком и корнем лёгкого, обусловленной инфильтрацией лёгочной ткани вокруг сосудов и бронхов; уплотнением плевры или появлением плевропульмонального тяжа на уровне лёгочного очага (рисунок 2). В фазе рассасывания на месте первичного аффекта формируются очаги, которые уплотняются и кальцинируются, образуя небольшой одиночный кальцинированный очаг (очаг Гона) или несколько крошковидных кальцинатов; в регионарных лимфатических, узлах также образуются кальцинаты — формируется картина кальцинированного первичного комплекса. На месте первичного аффекта могут образоваться крупные, чётко очерченные, с выраженным кальцинозом (смотри полный свод знаний) участки уплотнения — первичные туберкулемы. Редко при прогрессировании процесса наблюдается возникновение каверн (смотри полный свод знаний: Каверна), иногда развиваются ателектаз, плеврит.

Дифференциальный диагноз проводят с другими формами туберкулёза лёгких (у детей — с бронхаденитом, осложнённым ателектазом лёгкого, у подростков и взрослых — чаще с инфильтративным туберкулёзом и туберкулемой), с поражениями лёгких другой этиологии — пневмониями, вызванными кокковой флорой, грибковыми поражениями лёгких — актиномикозом (смотри полный свод знаний), аспергиллёзом лёгких (смотри полный свод знаний: Аспергиллез, Пневмомикозы) и другие, эхинококком лёгкого (смотри полный свод знаний: Эхинококкоз), с кистозными изменениями лёгких (смотри полный свод знаний) в период активации воспалительного процесса в стенках кист на фоне положительных туберкулиновых проб, а также с опухолевыми процессами. При проведении дифференциального диагноза между первичным туберкулёзным комплексом и неспецифической пневмонией следует учитывать, что при острых неспецифических пневмониях уплотнение лёгочной ткани имеет неравномерный характер и отличается большой динамичностью, не наблюдается увеличения лимфатических, узлов; при хронический неспецифических пневмониях изменения чаще локализуются в нижнезадних отделах лёгких с наличием выраженных тяжисто-сетчатых структур и бронхоэктазов. При проведении дифференциальной диагностики с другими перечисленными заболеваниями решающим является цитологическое и бактериологическое исследование отделяемого бронхов, материала, полученного при бронхоскопии.

Лечение начинают с назначения противотуберкулёзных средств 1 ряда (смотри полный свод знаний: Противотуберкулёзные средства), так как почти всегда при этой форме туберкулёза возбудитель туберкулёза оказывается чувствительным к этим препаратам. Используются обычно стрептомицин, ПАСК и изониазид. Лечение осложнённых процессов проводят этими средствами в сочетании с аэрозольными ингаляциями 2% раствора салютизона или 10% раствора изониазида; одновременно назначают витамин В6.

При неосложнённом течении заболевания под действием лечения, как правило, в течение первых недель снижается температура тела, исчезают симптомы интоксикации, появляется аппетит, происходит постепенное рассасывание патологический изменений в лёгочной ткани. Лимф, узлы корня лёгкого уменьшаются значительно медленнее. Если назначенное лечение недостаточно эффективно, решают вопрос о замене препаратов: вместо стрептомицина назначают канамицин, вместо ПАСК — этионамид или Этамбутол. На ранних этапах лечения при отсутствии противопоказаний используют также рифампицин. Общая продолжительность лечения составляет 12—16 месяцев При осложнённом первичном туберкулёзном комплексе для профилактики туберкулёзного поражения бронхов вводят противотуберкулёзные средства и кортикостероиды в виде аэрозолей. Последние, обладая выраженным противовоспалительным и гипосенсибилизирующим эффектом, способствуют лучшему рассасыванию воспалительных изменений.



Информация об Ordo Deus Перейти в оглавление сайта

Рис. 2.
Рентгенограмма грудной клетки при первичном туберкулёзном комплексе (прямая проекция): 1 — участок уплотнения лёгочной ткани (очаг первичной пневмонии); 2 — инфильтрация периваскулярной и перибронхиальной ткани между очагом в лёгком и корнем лёгкого (дорожка); 3 — расширенный и уплотнённый корень правого лёгкого.



ЛФК показана в форме утренней гимнастики (смотри полный свод знаний: Зарядка), дозированной ходьбы, терренкура (смотри полный свод знаний), гимнастических упражнений (смотри полный свод знаний: Гимнастика), подвижных игр (смотри полный свод знаний: Игры), танцев, упражнений спортивно-прикладного вида, а также физической работы в парке и мастерских ручного труда. Причём нагрузку повышают постепенно. Занятия ЛФК и трудовая терапия (смотри полный свод знаний) проводятся ежедневно на протяжении от 1 до 3 часов с перерывами. Противопоказаны переутомление, переохлаждение, перегревание, гиперинсоляция.

В результате лечения достигается почти полное рассасывание патологический изменений в лёгких и лимфатических, узлах даже при осложнённых процессах. Остаточные изменения отсутствуют или проявляются в виде ограниченной тяжистости лёгочной ткани и мелких вкраплений солей кальция. Однако при поздно выявленном процессе, несмотря на интенсивную терапию, на месте первичного аффекта образуется первичная туберкулема. В таких случаях показано оперативное лечение — резекция поражённого лёгкого, а также казеозно-изменённых лимфатических, узлов, если процесс в них не ликвидировался под влиянием антибактериальной терапии. Лечение больных с первичным туберкулёзным комплексом завершается в санатории.

Отдалённый прогноз благоприятный, рецидивы, как правило, не наступают.

Профилактика включает общие санитарный-проф. мероприятия, а также специфическую профилактику — вакцинацию, ревакцинацию, химиопрофилактику и другие (смотри полный свод знаний: Туберкулёз).

Туберкулёз внутригрудных лимфатических узлов

Туберкулёз внутригрудных лимфатических узлов — самостоятельная форма локального туберкулёза или компонент первичного туберкулёзного комплекса, когда первичный аффект в лёгких отсутствует или очень мал, а доминирует поражение лимфатических, узлов. Встречается преимущественно в детском и подростковом возрасте, но бывает и у взрослых.

На основании клинико-рентгенологическое данных различают опухолевидный и инфильтративный туберкулёз внутригрудных лимфатических, узлов. У детей благодаря проведению массовой противотуберкулёзной вакцинации встречается также так называемый малая форма бронхаденита, протекающая со слабовыраженной симптоматикой п незначительным увеличением внутригрудных лимфатических, узлов.



Информация об Ordo Deus Перейти в оглавление сайта

Рис. 3.
Гистотопограмма внутригрудных лимфатических узлов при туберкулёзном бронхадените: 1 — очаги казеозного некроза в лимфатических узлах; 2 — стенка лёгочной артерии.



Развитие заболевания у детей связано с первичным инфицированием, чаще аэрогенным путём, а также в результате проникновения микобактерий туберкулёза через нёбные миндалины и слизистую оболочку полости рта. У взрослых заболевание чаще развивается вследствие реактивации ранее перенесённого процесса во внутригрудных лимфатических, узлах. В этом случае бронхаденит (смотри полный свод знаний) осложняется развитием бронхожелезистого свища и распространением процесса на лёгочную ткань. Эта форма известна как железисто-бронхогенная, железисто-бронхолёгочная форма туберкулёза или аденогенный, бронхолёгочный туберкулёз.

Поражаются преимущественно бронхолёгочные лимфатических, узлы средней доли правого лёгкого, язычкового сегмента и верхних долей лёгких. При этом в лимфатических, узлах формируются очаги казеозного некроза, занимающие иногда всю ткань лимфатических, узла (рисунок 3). При прогрессировании процесса специфические изменения переходят на окружающие ткани, вовлекая в процесс стенку бронха, нередко с образованием свища. Процессы заживления протекают с частичным рассасыванием и рубцеванием туберкулёзных очагов.

Клинические, картина туберкулёза внутригрудных лимфатических, узлов многообразна и зависит от генеза заболевания, выраженности морфологический изменений и их локализации. Развитие бронхаденита, как правило, сопровождается повышением чувствительности к туберкулину (смотри полный свод знаний), нередко развитием узловатой эритемы (смотри полный свод знаний: Эритема узловатая), фликтенулёзного кератоконъюнктивита (смотри полный свод знаний: Конъюнктивит), скрофулодермы (смотри полный свод знаний: Туберкулёз внелёгочный, туберкулёз кожи и подкожной клетчатки), экссудативного плеврита (смотри полный свод знаний). Отмечается повышение температуры тела, недомогание, появление ночных потов, ухудшение аппетита, потеря в весе, сухой кашель. Малая форма бронхаденита, как правило, протекает скрыто, иногда с подъёмом температуры, лёгким недомоганием, что требует особенно тщательного обследования.

В зависимости от реактивности организма больного (смотри полный свод знаний: Реактивность организма) и его иммунологический статуса течение туберкулёза внутренних лимфатических, узлов может быть различным. При благоприятном течении вслед за острой вспышкой наступает снижение температуры до субфебрильных цифр и уменьшаются явления интоксикации. Одновременно происходит рассасывание воспаления вокруг увеличенных лимфатических, узлов и уменьшение их размеров. Повышенная чувствительность к туберкулину может сохраняться в течение нескольких лет. Динамика рентгенологическое изменений длительна, уменьшение размеров лимфатических, узлов сопровождается отложением в них (преимущественно в их периферических отделах) крошковидных, а затем более крупных кальцинированных включений.

Осложнённое течение туберкулёза внутригрудных лимфатических, узлов отличается большей длительностью и менее благоприятным исходом. Несмотря на рассасывание перифокального воспаления вокруг лимфатических, узлов, процесс в них не затихает, и микобактерии туберкулёза контактным или лимфогенным путём распространяются на другие группы лимфатических, узлов и на другие органы.

Наиболее частым осложнением туберкулёзного бронхаденита является плеврит (смотри полный свод знаний). Симптоматика бронхаденита, осложнённого плевритом (железисто-плевральная форма первичного туберкулёза), зависит от локализации и выраженности процесса. При этом отмечаются боли, одышка, кашель, при рентгенологическое исследовании — экссудат в плевральной полости или плевральные сращения. При своевременно начатом лечении сопутствующий бронхадениту плеврит рассасывается без каких-либо последствий.

Нередким осложнением при туберкулёзе внутригрудных лимфатических, узлов является поражение бронхов, ведущим клинические, признаком которого является сухой приступообразный кашель, иногда астматическое состояние, локальные сухие хрипы. В результате закупорки, сдавления или спазма бронха может развиться ателектаз, который в зависимости от калибра поражённого бронха бывает долевым, сегментарным, субсегментарным. Сравнительно часто наблюдается ателектаз всей средней доли или язычка — так называемый синдром средней доли (смотри полный свод знаний: Ателектаз). При постепенной закупорке просвета бронха на почве рубцового стеноза или постепенного сдавления бронха извне увеличенными лимфатических, узлами возможен склероз интерстициальной ткани лёгкого с образованием множественных мелких бронхоэктазов и буллезной эмфиземы. При обтурации просвета бронха казеозными массами, гноем или слизью может развиться острая легочно-сердечная недостаточность (смотри полный свод знаний: Лёгочное сердце) и даже асфиксия (смотри полный свод знаний). В связи с особенностями строения органов дыхания и своеобразием тканевой реакции при туберкулёзе у взрослых нарушение бронхиальной проходимости не так резко выражено, как у детей. По мере улучшения проходимости бронхов уменьшаются одышка и кашель, нормализуется температура, исчезает притупление перкуторного звука, нормализуется дыхание в зоне бывшего ателектаза. В отдельных случаях после отхождения расплавившихся казеозных масс ателектаз исчезает, а в лимфатических, узле формируется полость, сообщающаяся с дренирующим бронхом.

Течение туберкулёза внутригрудных лимфатических, узлов может также осложняться специфическим поражением лёгочной ткани вследствие бронхогенного, лимфогенного или гематогенного распространения инфекции.

Диагноз туберкулёза внутригрудных лимфатических, узлов основывается на результатах всестороннего обследования больных. Учитываются недавний вираж туберкулиновых проб (переход отрицательной реакции на туберкулин в положительную) и выраженная реакция на внутрикожное введение туберкулина, наличие стойкой интоксикации, узловатой эритемы, фликтенулёзного кератоконъюнктивита, данные лабораторного исследования. В крови выявляется нейтрофильный лейкоцитоз, относительная лимфопения, ускорение РОЭ, гиперглобулинемия, повышение содержания α2 и γ-глобулинов. Микобактерии туберкулёза в мокроте обнаруживаются редко, главным образом при развитии перифокальных воспалительных изменений в лёгочной ткани и при прорыве масс казеозного некроза из лимфатических, узла в бронх.

Для распознавания увеличения лимфатических, узлов используют ряд перкуторно-аускультативных приёмов (смотри полный свод знаний: Бронхаденит), однако основным в диагностике является рентгенологическое метод исследования.

При туберкулёзе внутригрудных лимфатических, узлов рентгенологически определяются выраженные и маловыраженные формы поражения. Маловыраженные формы проявляются асимметрией корневых теней вследствие небольшого расширения, уплотнения и выпуклости наружных очертаний одного из корней лёгкого.

Опухолевидная форма характеризуется расширением и уплотнением (чаще односторонним) корней лёгких за счёт значительного увеличения лимфатических, узлов. На этой же стороне в ряде случаев отмечается увеличение трахеобронхиальных и околотрахеальных лимфатических, узлов. Очертания корней лёгких и средостения имеют волнистый или бугристый характер, лимфатических, узлы раздельно не дифференцируются — так называемый спёкшиеся лимфатических, узлы (смотри полный свод знаний: рисунок 1, 2, 3 к статье Бронхаденит). Иногда расширенная тень верхнего средостения приобретает прямые очертания — симптом дымовой трубы. При инфильтративной форме отмечается деформация, расширение, повышение интенсивности и понижение структурности теней корней лёгких: выпуклость очертания и нечёткость их границ (смотри полный свод знаний: рисунок 4 к статье Бронхаденит). В ряде случаев при поражении внутригрудных лимфатических, узлов выявляются осложнения: ателектаз, плеврит, бронхогенная диссеминация.

У больных с длительно и торпидно текущими процессами в увеличенных и уплотнённых лимфатических, узлах определяются хаотически расположенные крошковидные или глыбчатые тени петрификатов (смотри полный свод знаний), кольцевидные тени, образованные кальцинированной капсулой лимфатических узла. Характерно прилегание изменённых лимфатических, узлов к бронхам, наибольший диаметр тени лимфатических, узла располагается параллельно просвету трахеи, бронха. На уровне изменённых лимфатических, узлов может определяться компрессия бронхов, их деформация, стеноз. Дифференциальный диагноз проводят с лимфогранулематозом (смотри полный свод знаний), лимфосаркомой (смотри полный свод знаний), прикорневой формой центрального рака лёгкого (смотри полный свод знаний), лимфолейкозом (смотри полный свод знаний: Лейкозы), саркоидозом (смотри полный свод знаний). Решающее значение в большинстве случаев имеет бронхологическое исследование, а также морфологический исследование материала, полученного при биопсии.

Лечение больных туберкулёзом внутригрудных лимфатических, узлов должно быть комплексным и длительным (при малых формах — 8—10 месяцев, при выраженных — 12 месяцев, при осложнениях — 18 месяцев). В острой фазе заболевания показано лечение с использованием не менее трёх противотуберкулёзных препаратов одновременно, а также гипосенсибилизирующих средств. На разных этапах заболевания целесообразно применение средств патогенетической терапии с целью ускорения процессов рассасывания (смотри полный свод знаний: Туберкулёз, основные принципы лечения). Занятия ЛФК проводят в том же объёме, что и при первичном туберкулёзном комплексе. При отсутствии эффекта от лечения противотуберкулёзными средствами внутригрудные лимфатических, узлы с массивными казеозными изменениями подлежат оперативному удалению.

Прогноз чаще благоприятный и зависит главным образом от характера присоединившихся осложнений.

Профилактика сводится к проведению общих профилактических мероприятий и к специфической профилактике туберкулёза (смотри полный свод знаний: Туберкулёз).

Смотри полный свод знаний: Бронхаденит.

Диссеминированный туберкулёз лёгких

Диссеминированный туберкулёз лёгких — клинические, форма туберкулёза, характеризующаяся образованием множественных очагов различной величины, возникновение которых связано с рассеиванием микобактерий туберкулёза в организме чаще гематогенным, реже лимфогенным путём. Диссеминированный туберкулёз, возникший в результате гематогенного распространения возбудителей инфекции (бактериемии), называют гематогенно-диссеминированным туберкулёзом. Нередко источником бактериемии являются казеозные очаги в лимфатических, узлах либо частично зажившие или активизировавшиеся старые очаги в лёгких, костях, половых и других органах при вторичном туберкулёзе. Бактериемия не всегда влечет за собой развитие диссеминированного туберкулёза. Диссеминации способствуют гиперсенсибилизация и снижение реактивности организма на почве суперинфекции, гиповитаминоза, голодания, гиперинсоляции, гриппа, эндокринных нарушений, язвенной болезни, длительного лечения глюкокортикоидами и другие У детей и подростков развитию заболевания могут способствовать также дефекты в проведении вакцинации БЦЖ и химиопрофилактики туберкулёза (смотри полный свод знаний: Туберкулёз).

Диссеминированный туберкулёз лёгких, по данным А. Г. Хоменко (1981), встречается у 5—6% впервые выявленных больных активным туберкулёзом.

В зависимости от течения диссеминированный туберкулёз лёгких может быть острым, подострым и хроническим.

К острому гематогенно-диссеминированному туберкулёзу относится милиарный туберкулёз, характеризующийся равномерным высыпанием в лёгких мелких просовидных бугорков — туберкулёзных гранулем (смотри полный свод знаний: Гранулема) и генерализацией процесса с поражением многих органов и систем (серозных оболочек, печени, селезёнки, сетчатки глаза и другие). В настоящий, время острый милиарный туберкулёз встречается редко. В основном болеют люди старшего возраста, но заболевание встречается и у детей.

При остром милиарном туберкулёзе в лёгких обнаруживают симметрично расположенные множественные мелкие гранулемы преимущественно продуктивного, продуктивно-экссудативного или экссудативно-некротического характера. Гранулемы нередко располагаются в стенках мелких сосудов (артериол и венул), иногда непосредственно в их внутренней оболочке. Они образуются и в других органах, в том числе и в мозговых оболочках, что наблюдается при туберкулёзном менингите (смотри полный свод знаний).

Клинические, картина милиарного туберкулёза характеризуется симптомами выраженной интоксикации. Отмечаются высокая температура тела, ускоренный пульс, одышка, головная боль, нарастающая слабость. Максимальное развитие клинические, симптомов отмечается на 7—8-й день заболевания. Бронхолёгочная симптоматика выражена в меньшей степени. Больные жалуются на сухой кашель, в лёгких выслушиваются сухие и единичные влажные мелкопузырчатые хрипы, шум трения плевры.

В зависимости от преобладания отдельных симптомов выделяют тифоидную, лёгочную и менингеальную клинические, формы острого милиарного туберкулёза. При тифоидной форме преобладают симптомы интоксикации, течение болезни, особенно вначале, напоминает брюшной тиф, сепсис и другие острые инфекционные болезни. Лёгочная форма острого милиарного туберкулёза с самого начала проявляется бронхолёгочным синдромом: надсадным сухим кашлем, одышкой, поверхностным дыханием, цианозом. Температура повышается до 39—40°. В лёгких выслушивается жёсткое дыхание, сухие хрипы, шум трения плевры, однако аускультативные изменения не соответствуют тяжести состояния больного. При прогрессировании болезни развивается острая легочно-сердечная недостаточность. Менингеальная форма острого милиарного туберкулёза проявляется в основном менингеальными симптомами (смотри полный свод знаний: Менингит). Крайне редко встречается острейшая форма милиарного туберкулёза — туберкулёзный сепсис (тифобациллёз Покровского — Ландузи), развивающийся у лиц, резко ослабленных каким-либо заболеванием, например, при лейкозе или тяжёлой форме сахарного диабета. В лёгких и в других органах образуются мелкие, склонные к некрозу и гнойному расплавлению очажки, содержащие огромное количество микобактерий. Заболевание начинается остро, протекает с высокой температурой, спутанностью сознания, бредом, одышкой, увеличением печени и селезёнки, тахикардией, легочно-сердечной недостаточностью.

В отличие от генерализованного милиарного туберкулёза с острым началом и тяжёлым течением встречаются ограниченные мил парные процессы в лёгких с подострым и хронический течением. При ограниченном милиарном туберкулёзе множественные мелкие очаги одинакового размера располагаются симметрично в надключичных и подключичных зонах, преимущественно в кортикальных отделах лёгких. Течение более благоприятное, обострения сменяются ремиссиями, а иногда — спонтанным излечением. В ряде случаев при длительном, относительно благоприятном течении, ограниченный милиарный туберкулёз переходит в хронический гематогенно-диссеминированную форму.

Описан вариант мигрирующего подострого милиарного туберкулёза лёгких, при котором время от времени образуются мелкие очаги, % которые поэтажно распространяются на всем протяжении лёгких. При длительном течении подострый процесс трансформируется в хронический диссеминированный туберкулёз.

Подострый диссеминированный туберкулёз лёгких возникает при распространении возбудителя по кровеносным и лимфатических, сосудам, а при специфическом эндобронхите — и по бронхам. Очаги локализуются в верхних отделах лёгких, характеризуются одинаковой плотностью и величиной. Для лимфогенной диссеминации характерно наличие очагов в прикорневых и нижних отделах лёгкого. Подострый диссеминированный туберкулёз лёгких протекает по-разному. У некоторых больных после периода недомогания довольно быстро нарастают симптомы интоксикации, повышается температура, и заболевание напоминает картину острой инфекционные болезни (гриппа, брюшного тифа, очаговой пневмонии). Довольно часто больные обращаются к врачу с жалобами на затруднение глотания, осиплость голоса, кровохарканье, кашель с выделением слизисто-гнойной мокроты. В других случаях симптоматика болезни стёртая, обострения бывают кратковременными, а ремиссии тянутся многие месяцы и годы. Заболевание чаще выявляется при массовых флюорографических обследованиях населения. Несвоевременное выявление и недостаточное лечение приводят к прогрессированию процесса, а у ряда больных — к развитию хронического диссеминированного туберкулёза лёгких.

Хронический диссеминированный туберкулёз характеризуется волнообразным течением, симметричным поражением обоих лёгких. При этом интенсивность высыпаний различна, максимально выражена в верхних отделах лёгких и уменьшается в области базальных сегментов. Очаги различаются по величине, времени возникновения, по характеру клеточных реакций. Преобладает продуктивный тип воспаления. Процесс может осложняться образованием симметрично расположенных тонкостенных (в связи с отсутствием выраженного фиброза в стенках) каверн округлой формы — так называемый штампованных каверн (смотри полный свод знаний). При заживлении гематогенно-диссеминированного туберкулёза наблюдается фиброз очагов и междольковых, межальвеолярных перегородок (рисунок 4), а также эмфизема, особенно выраженная в верхних отделах лёгких.

Клинические, картина хронический диссеминированного туберкулёза многообразна и зависит от фазы процесса, его распространённости и давности. Начало заболевания постепенное, часто незаметное для больного и окружающих. Течение волнообразное; в начале заболевания обострения возникают редко. При обострении (вспышке), соответствующем образованию свежих очагов в лёгких, обмечаются субфебрильная температура, снижение аппетита, слабость. Эти явления выражены нерезко и непродолжительны (1—2 недель). Возможны слабый кашель или покашливание, иногда кровохарканье. В период между вспышками клинические, проявления исчезают, общее состояние улучшается, иногда может сохраняться в течение длительного времени субфебрильная температура. В это же время наступает частичное рассасывание очагов и их уплотнение. Заболевание может протекать и скрыто, на протяжении нескольких лет.

Со временем периоды обострений удлиняются, интоксикация становится более выраженной, постепенно появляется и медленно нарастает одышка. Возникающий в период обострения кашель сопровождается выделением мокроты, в которой могут быть обнаружены микобактерии туберкулёза, особенно при распаде и образовании каверны; нередко возникают кровохарканье (смотри полный свод знаний) и лёгочное кровотечение (смотри полный свод знаний). Характерным для хронический диссеминированного туберкулёза лёгких является несоответствие между скудными физикальными данными и результатами рентгенологическое исследования. На любом этапе заболевания может происходить распад лёгочной ткани с формированием каверн. Эти изменения сопровождаются бронхогенной диссеминацией, и при отсутствии лечения формируется фиброзно-кавернозный туберкулёз (смотри полный свод знаний: ниже).



Информация об Ordo Deus Перейти в оглавление сайта

Рис. 4.
Гистотопограмма лёгкого при хроническом гематогенно-диссеминированном туберкулёзе: 1 — очаги казеозного некроза, окружённые фиброзной капсулой; 2 — уплотнённые междольковые перегородки.





Информация об Ordo Deus Перейти в оглавление сайта

Рис. 5.
Рентгенограмма грудной клетки при милиарном туберкулёзе (прямая проекция): видны множественные тени во всех отделах лёгких, образованные мелкими очагами и инфильтративными интерстициальными изменениями; сосудистый лёгочный рисунок не определяется.



Осложнениями подострого и хронического диссеминированного туберкулёза лёгких являются туберкулёз гортани, кишечника, почек, половых органов (смотри полный свод знаний: Туберкулёз внелёгочный), лёгочные кровотечения, спонтанный пневмоторакс (смотри полный свод знаний), эмпиема плевры (смотри полный свод знаний: Плеврит), дыхательная недостаточность (смотри полный свод знаний) и лёгочное сердце (смотри полный свод знаний), амилоидоз внутренних органов (смотри полный свод знаний: Амилоидоз).

Диагноз диссеминированного туберкулёза лёгких ставят на основании бактериологического, иммунологического, бронхологического, а также микроскопического исследования материала, полученного с помощью пункционной биопсии. Однако ведущая роль в распознавании этой формы туберкулёза лёгких принадлежит рентгенологическое методу исследования. На основании рентгенологическое данных выделяют различные типы диссеминированного процесса. Острый диссеминированный туберкулёз характеризуется наличием в лёгких множественных очагов. В зависимости от их размеров выделяют мелкоочаговый (милиарный), среднеочаговый и крупноочаговый типы диссеминации.

При мелкоочаговом типе диссеминации размеры очагов не превышают 3 миллиметров в диаметре, очаги имеют однотипный характер, ясные очертания и равномерно рассеяны по обоим лёгочным полям. Очаги образуют комплексные тени с инфильтративно-уплотнённой интерстициальной тканью; структура лёгких при этом приобретает мелкосетчатый, петлистый характер; сосудистый рисунок не прослеживается (рисунок 5).

При среднеочаговом типе диссеминации очаги имеют размеры 5 миллиметров в диаметре; они однотипны по форме, размерам, интенсивности, имеют нечёткие очертания и располагаются на фоне сетчато-тяжистых интерстициальных изменений.

Крупноочаговый тип диссеминации характеризуется наличием очагов диаметром до 12—15 миллиметров. Очаги имеют неправильно-круглую форму, однородную структуру; некоторые из них чётко очерчены, что свидетельствует об их осумковании; очаги склонны к слиянию и распаду. Помимо сетчатых определяются и тяжистые тени перибронхиальных интерстициальных уплотнений.

При всех типах диссеминации отмечается эмфизема, корни лёгких теряют чёткость очертаний, у ряда больных выявляется бронхаденит.

Дифференциальный диагноз острого милиарного туберкулёза лёгких, особенно в начале болезни, проводят с брюшным тифом (смотри полный свод знаний). При туберкулёзе температура повышается быстро и на 1—2-й день достигает 39—40°; на 2-й неделе лихорадка становится неправильного типа (смотри полный свод знаний: Лихорадка), пульс учащённым, отмечаются резко выраженная одышка, цианоз, лимфопения без лейкоцитоза, на 7—8-й день болезни выявляются изменения на рентгенограмме. Исследование глазного дна позволяет обнаружить на нем милиарные бугорки. При брюшном тифе температура повышается постепенно и образует типичную кривую, отмечаются относительная брадикардия, дикротия пульса. Одышка не выражена, лейкопения сопровождается лимфоцитозом, появляются тифозные розеолы и другие Отмечается положительная реакция Видаля (смотри полный свод знаний: Видаля реакция) и обнаруживается возбудитель брюшного тифа в крови. Рентгенограмма не изменена. Туберкулинодиагностика и бактериологические исследования мокроты и крови часто оказываются безрезультатными. Решающее значение имеют данные рентгенографии лёгких.

Дифференциальный диагноз подострого и хронического диссеминированного туберкулёза проводят с мелкоочаговой пневмонией (смотри полный свод знаний), с мелкими абсцессами лёгких, метастатическим поражением лёгких, саркоидозом (смотри полный свод знаний). Пневмония в отличие от туберкулёза проявляется резко выраженным бронхолёгочным синдромом. В лёгких выслушиваются мелкопузырчатые хрипы, на рентгенограмме определяются очаги более крупных размеров в нижних отделах лёгких, в крови выражен лейкоцитоз. Мелкие абсцессы лёгких при рентгенологическое исследовании имеют сходство с туберкулёзными поражениями, однако очаги при абсцессах крупнее, чем при туберкулёзе, в верхних отделах лёгких патологии не выявляется, изменения крови характерны для гнойной инфекции. Диссеминированный туберкулёз лёгких дифференцируют также с метастатическими поражениями лёгких — карциноматозом, метастазами хорионэпителиомы и другие Для последних характерно значительное количество метастатических очагов, образующих густую мелко-петлистую сеть, преимущественно в нижних отделах лёгких, верхние отделы поражены меньше. Решающее значение имеет бронхологическое исследование с последующим микроскопическим исследованием соскоба слизистой оболочки бронхов, гистологический исследование периферических лимфатических, узлов, а также обнаружение первичного очага опухоли (смотри полный свод знаний: Легкие, опухоли; Трофобластическая болезнь). При саркоидозе (смотри полный свод знаний) температура обычно нормальная, самочувствие удовлетворительное, отмечается несоответствие между выраженностью изменений в лёгких и удовлетворительным общим состоянием; кожная реакция на туберкулин отрицательная или слабоположительная; каверн не бывает; наблюдается хороший лечебный эффект от лечения кортикостероидными препаратами при неэффективности противотуберкулёзных средств.

В редких случаях диссеминированный туберкулёз лёгких дифференцируют с идиопатическим гемосидерозом лёгких (смотри полный свод знаний), с очаговой пневмонией различной этиологии (смотри полный свод знаний: Пневмония), орнитозной пневмонией (смотри полный свод знаний: Орнитоз), диффузным аденоматозом (смотри полный свод знаний: Легкие, опухоли), некоторыми формами лимфогранулематоза (смотри полный свод знаний), синдромом Хаммена—Рича (смотри полный свод знаний: Хаммена — Рича синдром), системной красной волчанкой (смотри полный свод знаний), узелковым периартериитом (смотри полный свод знаний: Периартериит узелковый), гранулематозом Вегенера (смотри полный свод знаний: Вегенера гранулематоз), пневмомикозами (смотри полный свод знаний), пневмокониозами (смотри полный свод знаний) и другими заболеваниями, одним из признаков которых являются диссеминированные очаговые изменения в лёгких.

Лечение больных диссеминированным туберкулёзом длительное (12 месяцев и более) и комплексное. Основное значение в достижении клинические, излечения или стойкой стабилизации процесса принадлежит химиотерапии. При остром милиарном и подостром диссеминированном туберкулёзе антибактериальная терапия должна быть весьма интенсивной. Целесообразно назначать одновременно изониазид, рифампицин и стрептомицин или этамбутол в сочетании с патогенетическими средствами, кортикостероидными препаратами (преднизолоном), витаминами и другие

При хронический диссеминированном туберкулёзе лёгких назначают противотуберкулёзные средства. Изониазид и рифампицин комбинируют с этамбутолом или этионамидом (протионамидом); через 3—6 месяцев лечения переходят на два препарата, причём комбинацию подбирают индивидуально в зависимости от лекарственной чувствительности микобактерий и переносимости лекарственных средств. При образовании каверны, не заживающей под влиянием химиотерапии, после рассасывания очагов и отграничения деструктивного процесса может применяться оперативное лечение. При осложнениях должно проводиться соответствующее лечение — гемостатическая терапия при кровохарканьях и кровотечениях (смотри полный свод знаний: Кровохарканье, Лёгочное кровотечение), дренирование плевральной полости при спонтанном пневмотораксе (смотри полный свод знаний), оксигенотерапия (смотри полный свод знаний: Кислородная терапия) и сердечные средства при легочно-сердечной недостаточности (смотри полный свод знаний: Лёгочное сердце).

При распространённом диссеминированном туберкулёзе лёгких, сопровождающемся нарушением микроциркуляции, пневмосклерозом и эмфиземой, показано раннее назначение дозированной ходьбы и специальных дыхательных упражнений, направленных на увеличение резервного выдоха. Такая форма занятий ЛФК способствует репаративным процессам в лёгких и улучшает лёгочную вентиляцию, нарушенную, как правило, по обструктивному типу.

Прогноз при раннем выявлении болезни и правильном лечении благоприятный.

Профилактика заключается в полноценном лечении исходных форм туберкулёза.

Очаговый туберкулёз лёгких

Очаговый туберкулёз лёгких — клинические, форма туберкулёза, характеризующаяся ограниченным, преимущественно продуктивным воспалительным процессом. Очаговый туберкулёз лёгких относят к так называемый малым формам туберкулёза, характеризующимся ограниченным воспалительным туберкулёзным процессом, относительно доброкачественным течением и отсутствием распада (у ряда больных, при снижении иммунитета, заболевание может принять прогрессирующее течение с образованием каверны). Очаговый туберкулёз лёгких возникает вследствие реактивации старых туберкулёзных очагов или (реже) в результате экзогенной суперинфекции. При соответствующих условиях происходит превращение персистирующих форм микобактерий в старых очагах в жизнеспособные, размножающиеся микобактерии. В настоящий, время реактивация старых очагов и развитие очагового туберкулёза нередко наблюдается в пожилом возрасте (период между первичным заражением и возникновением очагового туберкулёза может составлять десятки лет). Эта форма туберкулёза иногда возникает также при хронически текущем первичном туберкулёзе лёгких (при гематогенной диссеминации очаги возникают в верхушках лёгких, при лимфо-бронхогенном обсеменении — в средних и нижних отделах лёгких). Часто очаговый туберкулёз лёгких бывает исходом других клинические, форм туберкулёза лёгких — инфильтративного, кавернозного, диссеминированного. Практически любая форма лёгочного туберкулёза в процессе инволюции может трансформироваться в очаговую форму.



Информация об Ordo Deus Перейти в оглавление сайта

Рис. 6.
Гистотопограмма лёгкого при очаговом туберкулёзе: I — старый инкапсулированный очаг казеозного некроза в прикорневом лимфатическом узле; 2 — очаги казеозного некроза различной величины и давности в лёгочной ткани.



Свежие очаги (очаги Абрикосова) представляют собой казеозно-изменённые стенки внутридольковых бронхов с переходом процесса на лёгочные альвеолы и образованием вокруг поражённого бронха очага казеозной пневмонии и перифокального отёка. Более старые очаги, называемые очагами Ашоффа — Пуля, состоят из подвергающихся обызвествлению масс казеозного некроза, окружённых выраженной фиброзной капсулой (рисунок 6). Между капсулой и казеозными массами имеется узкий слой специфической грануляционной ткани. В лёгочной ткани вокруг очагов обнаруживаются разрастания соединительной ткани. В лимфатических, узлах отмечается гиперплазия лимфоидной ткани. В фазе прогрессирования процесса массы казеозного некроза в очагах подвергаются расплавлению, наблюдается инфильтрация фиброзной капсулы лимфоидными клетками и многочисленными сегментоядерными лейкоцитами, по периферии появляется зона неспецифического экссудативного воспаления. В дальнейшем специфическая грануляционная ткань и казеозный некроз могут распространяться на эту зону и расположенные рядом бронхи, поражать их стенку и перибронхиальную ткань. Прорыв казеозных масс в просвет бронха нередко приводит к бронхогенной диссеминации. Иногда обострение туберкулёзного процесса в очаге не сопровождается выраженным перифокальным воспалением, а проявляется инфильтрацией капсулы лимфоидными клетками и сегментоядерными лейкоцитами, расплавлением капсулы и стенки прилежащего бронха, прорывом казеозных масс в просвет бронха с формированием аутолитической каверны.

При заживлении рассасывается перифокальное воспаление, развивается фиброзная капсула и формируется фиброзно-очаговый туберкулёз. В этом случае очаги весьма разнообразны и представляют собой окружённые фиброзной тканью остатки туберкулёзной гранулемы, нередко с казеозными включениями разной величины. Очаги поражения могут быть одиночными или множественными, диаметром до 1 сантиметров, локализуются чаще в 1—2-м сегментах правого лёгкого в глубине лёгочной ткани или, реже, под плеврой. Такие петрифицированные очаги могут скрыто существовать в организме и не проявляются клинически.

Клинические, проявления очагового туберкулёза лёгких можно разделить на две группы: симптомы общей интоксикации и симптомы, обусловленные поражением органов дыхания. При очаговом туберкулёзе симптоматика выражена, как правило, в период обострения, в фазе инфильтрации или распада. Лишь у некоторых больных симптомы интоксикации сохраняются длительно, даже в период затихания процесса. Больные жалуются на усталость, снижение работоспособности. В период обострения процесса отмечается непродолжительное, в течение 10—12 дней, повышение температуры. В некоторых случаях длительный субфебрилитет сохраняется и после затихания процесса. Отмечаются повышенная потливость, иногда тахикардия, кашель без мокроты или с выделением небольшого количества мокроты. При распаде может появиться кровохарканье.

Очаговый туберкулёз лёгких протекает, как правило, длительно, волнообразно, со сменой фаз обострения и затихания, но даже в период вспышки характерно отсутствие выраженных клинические, проявлений. Поэтому больные могут не подозревать о своей болезни и не обращаются к врачу. Заболевание у них выявляется в основном при профилактическом флюорографическом обследовании, а также при обращении за медпомощью по другому поводу.

Фиброзно-очаговый туберкулёз, легко определяемый при физикальном исследовании, был хорошо известен в прошлом и назывался апицитом (верхушечный туберкулёз). Однако его рассматривали как начало туберкулёзного процесса в лёгких. В настоящий, время благодаря рентгенологическое методам исследования верхушечный туберкулёз с фиброзно-очаговыми изменениями рассматривают как старый процесс с фиброзным превращением — результат инволюции ранее активного очагового туберкулёза или других клинические, форм туберкулёза лёгких.

Большинство больных с фиброзно-очаговыми изменениями в верхних долях лёгких жалоб не предъявляют, у других отмечается лишь неустойчивая субфебрильная температура. При осмотре больного с фиброзно-очаговым туберкулёзом часто выявляются западение надключичных и подключичных ямок, отставание при дыхании одной половины грудной клетки, резкое расширение подкожных вен около ости лопатки (симптом Франка). Верхний край трапециевидной мышцы на стороне поражения более дряблый и тонкий, чем на здоровой, вследствие дистрофии мышц при хроническом патологический процессе в лёгких (симптом Поттенджера). При фиброзно-очаговых процессах в верхушках лёгких определяется притупление перкуторного звука, усиление дыхания, имеющего бронхиальный оттенок (ослабление дыхания наблюдается только при присоединении верхушечного плеврита), выслушиваются сухие и влажные разнокалиберные, звучные, трескучие хрипы. В их возникновении значительную роль играет деформация бронхов в рубцовой ткани. Хрипы могут выслушиваться в течение длительного времени и не являются признаком воспалительного процесса.

Наиболее информативным методом в диагностике очагового туберкулёза лёгких является рентгенологическое исследование, благодаря которому можно установить не только форму заболевания, но и определить локализацию процесса, количество очагов, их плотность и характер контуров. Рентгенологические картина очагового туберкулёза лёгких характеризуется наличием очагов с одной или с обеих сторон, преимущественно в верхних отделах (1-й и 2-й сегменты); при двустороннем поражении отмечается асимметрия изменений. При свежем процессе очаги чаще имеют неодинаковую величину, среднюю интенсивность, нечёткие очертания; некоторые очаги имеют округлую форму, однородную структуру и чёткие очертания, что указывает на казеозный некроз лёгочной ткани и его осумкование. Выявляется также сетчато-петлистый и тяжевидный рисунок вследствие интерстициальных изменений лёгочной ткани. Об инфильтративном характере последних свидетельствует их большая ширина, небольшая интенсивность и нечёткость очертаний. При затихании процесса может наблюдаться полное рассасывание очаговых и интерстициальных изменений или остаются сетчатый фиброз и отдельные уплотнённые очаги.



Информация об Ordo Deus Перейти в оглавление сайта

Рис. 7.
Рентгенограмма грудной клетки при фиброзно-очаговом туберкулёзе лёгких (прямая проекция): стрелкой указаны различной величины и плотности (местами в виде конгломератов) очаги и фиброзные изменения в верхушечно-подключичной области справа.



При хроническом фиброзно-очаговом процессе очаги обычно сгруппированы, имеют различную величину, неправильно-округлую форму, значительную интенсивность. Вокруг очагов определяются фиброзные изменения (рисунок 7), клиновидные тени плевропульмональных рубцов и участки локальной эмфиземы. Признаками обострения процесса являются укрупнение очагов, развитие перифокальных инфильтративных изменений вокруг отдельных групп очагов или в области всего участка поражения, появление полостей распада и очагов диссеминации.

Большое значение в диагностике очагового туберкулёза имеет также обнаружение микобактерий туберкулёза в мокроте. При отсутствии мокроты следует прибегать к провоцирующим кашель ингаляциям раствора хлорида натрия, а также производить исследование промывных вод бронхов. Необходимо исследовать не менее 3 ежедневно собираемых порций мокроты и произвести 2—3-кратный посев материала на питательные среды. Как правило, у больных очаговым туберкулёзом бактериовыделение скудное. В фазе инфильтрации микобактерии туберкулёза обнаруживаются при микроскопическом исследовании лишь у 3% больных. Однако при посеве материала частота выявления микобактерий у больных активным очаговым туберкулёзом лёгких в фазе инфильтрации (без распада), по данным разных исследователей, достигает 30—50%.

В крови отмечается сдвиг лейкоцитарной формулы влево, незначительное ускорение РОЭ. Количество лейкоцитов чаще не изменяется.

Очаговый туберкулёз в фазе инфильтрации дифференцируют с диссеминированным туберкулёзом лёгких. В пользу очагового туберкулёза говорит преимущественно одностороннее поражение, чаще 1—2-го сегмента, неравномерность тени на фоне фиброзно-изменённой ткани лёгкого. Очаговый туберкулёз, лёгких дифференцируют также с бронхопневмонией, для которой характерно поражение средних и нижних отделов лёгкого, отсутствие выраженных плевральных изменений, равномерность тени. Решающее значение имеет быстрая положительная рентгенологическое динамика при лечении неспецифическими препаратами.

Лечение больных очаговым туберкулёзом в фазе инфильтрации проводится противотуберкулёзными средствами, чаще всего комбинацией изониазида, стрептомицина и ПАСК в течение 2—3 месяцев При благоприятной динамике процесса стрептомицин отменяют; ПАСК может быть заменён этамбутолом или этионамидом (протионамидом). Общая продолжительность химиотерапии 6—9 месяцев При торпидном течении процесса и медленной инволюции показано лечение на климатических курортах.

При трудностях в определении активности очагов приходится прибегать к превентивному в течение 2—3 месяцев лечению противотуберкулёзными средствами.

Прогноз в большинстве случаев благоприятный. Правильно проведённое лечение обычно приводит к излечению больных с полным рассасыванием очагов или образованием остаточных изменений. При нерегулярном лечении, а также у больных со сниженным иммунитетом, при тяжёлых сопутствующих заболеваниях, беременности очаговый туберкулёз может прогрессировать и переходить в другие клинические, формы.

Профилактика заключается в своевременном выявлении и лечении начальных форм туберкулёза.

Инфильтративный туберкулёз лёгких

Инфильтративный туберкулёз лёгких — клинические, форма туберкулёза, характеризующаяся наличием туберкулёзного инфильтрата, представляющего собой бронхо-пневмонический воспалительный фокус в лёгком, с казеозным некрозом в центре.

Туберкулёзный лёгочный инфильтрат — понятие клинико-рентгенологическое. В 1924 год Ассманн (Н. Assmann) один из первых описал тень округлой формы в подключичной зоне лёгкого, получившую название раннего подключичного инфильтрата типа Ассманна. Сам Ассманн и его современники считали, что инфильтрат возникает вследствие экзогенной суперинфекции. Редекер (F. Redeker) установил, что причиной инфильтративных изменений в лёгких является реактивация старых очагов. Подтверждением этого стали исследования Б. М. Хмельницкого, обнаружившего в мокроте больных с ранними инфильтратами типа Ассманна не только микобактерии туберкулёза, но и кристаллы холестерина, соли кальция, обызвествлённые эластические волокна (тетрада Эрлиха), что свидетельствовало о распаде старых туберкулёзных очагов и о патогенетической связи инфильтративного процесса со старыми обострившимися очагами.

Инфильтративный туберкулёз лёгких может возникать также в результате прогрессирования свежего очагового процесса. В этом случае инфильтрату предшествует свежий очаговый туберкулёз, что было доказано Г. Р. Рубинштейном и И. Е. Кочновой. Инфильтративный туберкулёз лёгких может быть результатом лимфо-бронхогенного распространения микобактерий из казеозно-изменённых лимфатических, узлов средостения. Нередко у таких больных отмечается эндобронхит. Инфильтративный процесс в этих случаях обычно локализуется в средних и нижних отделах лёгких. Источники возникновения очагового и инфильтративного туберкулёза по существу одни и те же, но у одних больных возникает очаговая форма заболевания, то есть ограниченный преимущественно продуктивный воспалительный процесс с хронический течением и склонностью к заживлению, а у других — инфильтративная форма, т.е. преимущественно экссудативный воспалительный процесс со склонностью к распаду. В. А. Равич-Щербо объяснял развитие инфильтрата наличием зон гиперсенсибилизации, то есть участков в лёгких, которые способны ответить бурной гиперергической реакцией на повторное внедрение в них микобактерий туберкулёза. Рич (A. Rich, 1944), считал, что гиперсенсибилизация лёгочной ткани не зависит от анатомических или врождённых особенностей, а является приобретённым свойством лёгочной ткани. Гиперергия обычно развивается в том случае, если в лёгочной ткани скапливается большое количество микобактерий при быстром размножении бактериальной популяции.

Морфологически картина инфильтративного туберкулёза лёгких характеризуется преобладанием пневмонических, то есть экссудативных воспалительных изменений. Чаще в 1-м и 2-м сегментах появляется уплотнение диаметром 2—3 сантиметров. В его центре определяются мелкие очаги казеозного некроза с широкой зоной перифокального воспаления. При благоприятном течении процесса перифокальное воспаление рассасывается, казеозный очаг отграничивается, уплотняется, подвергается инкапсуляции и обызвествлению. Таким образом, инфильтрат может трансформироваться в очаговый туберкулёз или туберкулему. Такие старые инкапсулированные казеозные очаги при неблагоприятных для организма условиях могут вновь обостряться с образованием инфильтрата. При этом вокруг них возникает перифокальное воспаление, и туберкулёзный процесс распространяется контактным путём. При прогрессировании процесса очаги казеозного некроза в центре инфильтрата увеличиваются, расширяется и зона перифокального воспаления, которая может занять всю долю лёгкого. Микроскопически наряду с участками казеозного некроза, окружёнными эпителиоидными, лимфоидными и гагантскими клетками Пирогова — Лангханса, можно обнаружить обширные зоны неспецифического воспаления, в которых просветы альвеол заполнены фибрином, клетками десквамированного альвеолярного эпителия или бесклеточным экссудатом. Расплавление масс казеозного некроза и их прорыв в бронхи завершается образованием на месте инфильтрата острой каверны (смотри полный свод знаний).

По характеру рентгенологическое данных и отчасти в связи с особенностями клинические, картины и течения заболевания выделяют несколько клиникорентгенологическое вариантов инфильтративного туберкулёза.

Облаковидный инфильтрат, описанный Г. Р. Рубинштейном, характеризуется наличием нежной слабоинтенсивной гомогенной тени с нечёткими, размытыми контурами, быстрым распадом и формированием свежей каверны.

Круглый инфильтрат типа Ассманна характеризуется наличием округлой гомогенной тени слабой интенсивности с чёткими контурами. В этом случае также возможен распад в виде просветления, определяемого на ранних этапах преимущественно при томографии.

Лобит — обширный инфильтративный процесс, захватывающий долю лёгкого. Тень чаще всего негомогенного характера с наличием одиночных или множественных полостей распада (иногда больших и гигантских размеров).

Перисциссурит — обширная инфильтративная тень с наличием, с одной стороны, чёткого, с другой — размытого края, обусловленная поражением одного-двух сегментов, располагающихся вдоль междолевой щели, нередко с вовлечением в процесс междолевой плевры, накоплением экссудата и возможным распадом в лёгочной ткани.

Лобулярный инфильтрат характеризуется негомогенной тенью, представляющей собой слившиеся в один или несколько конгломератов крупные и мелкие очаги, в центре которых часто выявляется распад.

Для всех клинико-рентгенологическое вариантов характерно наличие инфильтративной тени, часто с распадом. При этом в результате бронхогенной диссеминации образуются очаги в нижних отделах одного или обоих лёгких.

У большинства больных клинические, картина заболевания характеризуется повышением температуры до 38— 38,5°, которая может держаться 5—10 дней, а также другими симптомами интоксикации—потливостью, снижением работоспособности. Кашель незначительный, но с выделением мокроты, особенно при деструктивном процессе. Чаще, чем при очаговом туберкулёзе, отмечается кровохарканье. При обширном поражении, и особенно при наличии распада, выслушиваются хрипы, которые после начала лечения быстро исчезают. При обширных инфильтратах может быть некоторое притупление лёгочного звука, изменение дыхания. У части больных инфильтративный туберкулёз протекает бессимптомно или со скудной симптоматикой.

Выделяют два основных варианта течения инфильтративного туберкулёза лёгких: прогрессирующий и инволютивный. Прогрессирующий вариант течения, характеризующийся обширными инфильтративными изменениями и быстрым распадом, наблюдается в основном при отсутствии лечения, снижении иммунитета, сопутствующих заболеваниях. Повышенная температура, характерная для начала болезни, постепенно снижается, уменьшается выраженность симптомов со стороны органов дыхания или они полностью исчезают. Наступает диссоциация между клинические, проявлениями заболевания и динамикой морфологический изменений в лёгких, в которых формируются полости распада. Такое улучшение в состоянии больного при наличии деструктивного процесса и бактериовыделения В. А. Равич-Щербо называл мнимым выздоровлением. В этих случаях после непродолжительного периода клинические, благополучия возникает новая вспышка и течение заболевания принимает волнообразный характер.

Инволютивный вариант течения наблюдается в условиях рационального лечения. Для него характерно постепенное исчезновение всех симптомов, улучшение самочувствия, прекращение выделения с мокротой в течение первых 3 месяцев микобактерий туберкулёза. Однако инволюция структурных изменений в лёгких (рассасывание воспаления, закрытие полости) происходит медленнее.

Инфильтрат может рассасываться полностью, не оставляя видимых остаточных изменений. Чаще на его месте остаются выраженные в разной степени очаговые и фиброзные изменения. Центр инфильтрата, содержащий массы казеозного некроза, может заживать с образованием рубца. При незначительных некротических изменениях рубец бывает настолько мал, что практически не выявляется. В таком случае говорят о полном рассасывании инфильтрата. Гораздо чаще наблюдается уплотнение инфильтрата за счёт образования фиброзной ткани, содержащей остатки специфической грануляционной ткани. В последней могут находиться способные к реактивации очаги. О стойкости заживления судят по клинико-рентгенологическое картине и данным лабораторного исследования. В одних случаях воспалительно-некротический очаг инкапсулируется и образуется туберкулема; в других — развивается цирроз доли или сегмента лёгкого. Такие варианты инволюции инфильтративного туберкулёза не могут считаться благоприятными. Исход инфильтративного туберкулёза во многом определяется как своевременностью выявления больных, так и эффективностью химиотерапии.

Особой формой инфильтративного туберкулёза является казеозная пневмония, при которой в морфологический картине преобладает казеозный некроз. В зависимости от размеров поражения различают ацинозную, лобулярную и лобарную казеозную пневмонию. Казеозно-измененные долькп могут сливаться, формируя сегментарные, лобарные очаги или приводя к тотальной казеозной пневмонии. При лобарной казеозной пневмонии казеозный некроз захватывает большую часть поражённой доли, в центре которой может наблюдаться расплавление некротических масс и образование полостей распада. Для казеозной пневмонии характерно крайне тяжёлое течение с резко выраженной интоксикацией, высокой температурой (39° и выше), адинамией, профузным потом, кашлем, одышкой, тахикардией, иногда кровохарканьем или лёгочным кровотечением. Диагностика казеозной пневмонии трудна, особенно в первые дни; иногда она возможна только после разжижения казеозных масс и формирования гигантской полости или множественных каверн небольших размеров, что сопровождается выделением гнойной мокроты, содержащей большое количество микобактерий туберкулёза. В настоящий, время такое течение процесса встречается редко. Чаще развивается инфильтративно-казеозная пневмония, при которой имеется относительно небольшая протяжённость участков казеозного некроза и преимущественно экссудативный тип воспаления, что определяет клинические, картину и течение болезни, напоминающие пневмонию.



Информация об Ordo Deus Перейти в оглавление сайта

Рис. 8.
Рентгенограмма грудной клетки при инфильтративном туберкулёзе лёгких (прямая проекция): стрелкой указан инфильтрат округлой формы.



Диагноз инфильтративного туберкулёза лёгких ставят на основании результатов рентгенологическое обследования, при котором определяются ограниченные инфильтративные, а также разлитые, часто обширные процессы (сегментарные или долевые) в зависимости от клинико-рентгенологическое варианта заболевания.

Инфильтраты на рентгенограммах обычно представлены изолированными фокусами округлой формы, захватывающими группу долек, часть сегмента, реже сегмент лёгкого. Они комбинируются с очагами и фиброзными изменениями. Тень инфильтрата имеет слабую или среднюю интенсивность (рисунок 8), иногда в ней определяются очаговые уплотнения. Очертания инфильтрата отчётливые, но не такие резкие, как, например, контуры туберкулемы. Округлые инфильтраты склонны к рассасыванию и уплотнению.

В части случаев при прогрессирующем течении выявляются нечёткость их очертаний, наличие отводящей дорожки к корню лёгкого, полости распада и свежие очаги. Разлитые, обширные инфильтраты чаще имеют неправильную треугольную форму. Очертания их обычно нечёткие и неровные, интенсивность тени средняя; при выраженном казеозном некрозе, ателектазе поражённого участка или значительных размерах инфильтрата тень весьма интенсивна. Структура этих инфильтратов часто неоднородна за счёт наличия более плотных очагов и полостей распада (рисунок 9, 10); обычно выражены тяжистые тени, свидетельствующие о перибронхиально-периваскулярных изменениях.

Казеозная пневмония рентгенологически проявляется образованием множественных бронхолобулярных фокусов или уплотнений, захватывающих долю или два сегмента лёгкого, полостей распада и множественных очагов бронхогенной диссеминации.

В диагностике инфильтративного туберкулёза лёгких важную роль играет бактериологические исследование. У 96—97% больных инфильтративным туберкулёзом с формирующейся или сформировавшейся полостью удаётся обнаружить микобактерии туберкулёза в мокроте. Труднее найти микобактерии у больного, принимавшего уже противотуберкулёзные средства или пенициллин в комбинации со стрептомицином. Поэтому при выявлении инфильтративных изменений в лёгких обязательно нужно провести тщательное исследование мокроты до начала лечения. При отсутствии мокроты необходимо применить провоцирующие кашель аэрозоли. Если полость видна только на томограмме, если она только формируется или у больного отмечается фаза распада, обычное микроскопическое исследование позволяет обнаружить микобактерии туберкулёза примерно у 1/3 больных, у остальных 2/я больных микобактерии можно обнаружить методом посева. При наличии пневмонической тени в лёгком и выявлении бактериовыделения диагноз инфильтративного туберкулёза является обоснованным. Однако не следует переоценивать роль бактериовыделения при постановке диагноза инфильтративного туберкулёза, так как у больных пневмонией с сопутствующим туберкулёзом на почве реактивации старых очагов также может наблюдаться однократное или повторное бактериовыделение. Диагноз инфильтративного туберкулёза может быть поставлен лишь на основании комплекса признаков, одним из которых является обнаружение микобактерий.



Информация об Ordo Deus Перейти в оглавление сайта

Рис. 9.
Томограмма правого лёгкого при инфильтративном туберкулёзе лёгких (боковая проекция): стрелкой указан инфильтрат в лёгочной ткани с полостью распада.





Информация об Ordo Deus Перейти в оглавление сайта

Рис. 10.
Рентгенограмма грудной клетки при инфильтративном туберкулёзе лёгких (прямая проекция): стрелкой указан инфильтрат в верхней доле правого лёгкого (лобит) с полостью распада.



При инфильтративном туберкулёзе лёгких довольно характерна картина крови — отсутствие высокого лейкоцитоза и сдвига лейкоцитарной формулы влево при ускоренной РОЭ. Кроме того, у больных инфильтративным туберкулёзом выявляется высокий титр туберкулёзных антител в крови. Туберкулиновая проба у них положительная, однако большого диагностического значения она не имеет.

Дифференциальный диагноз проводят с пневмонией (смотри полный свод знаний), в том числе с крупозной пневмонией, раком лёгкого (смотри полный свод знаний: Легкие, рак лёгкого). Для пневмонии характерна более выраженная лёгочная симптоматика, а также яркая стетоакустическая картина (хрипы, изменение дыхания и другие), наличие более грубых интерстициальных изменений в лёгких и значительная динамика рентгенологическое картины. При подозрении на неспецифическую пневмонию следует сделать посев мокроты на неспецифическую микрофлору. Особое значение имеет сочетанное бактериологические и иммунологический исследование у больных с развивающейся пневмонией на фоне метатуберкулёзных изменений, в том числе старых очагов. Особенно трудна дифференциальная диагностика инфильтративного туберкулёза и пневмонии при локализации воспалительного процесса в средней доле или язычке лёгкого. Важным диагностическим методом в этом случае является бронхоскопия (смотри полный свод знаний). Банальный эндобронхит с большим количеством гноя чаще встречается при пневмонии; для туберкулёзного процесса более характерно ограниченное воспаление в бронхах. Трудна дифференциальная диагностика между инфильтративным туберкулёзом и пневмонией у больных со старыми туберкулёзными очагами, которые часто ошибочно считают бесспорным признаком развившегося инфильтративного туберкулёза.

Трудности представляет дифференциальная диагностика между инфильтративным туберкулёзом и раком лёгкого. Периферический рак лёгкого часто приходится дифференцировать с инфильтратом округлой формы центральный рак, осложнённый ателектазом,— с перисциссуритом и инфильтратом с поражением сегмента. При отсутствии в мокроте микобактерий туберкулёза и сходной рентгенологическое картине решающее значение имеет бронхологическое исследование с морфологический анализом материала биопсии, а также микроскопическое исследование материала на наличие в нем микобактерий туберкулёза и элементов туберкулёзной гранулемы.

Инфильтративный туберкулёз в фазе распада следует дифференцировать с абсцедирующей пневмонией, распадающимся раком лёгкого. Диагноз туберкулёза в этом случае подтверждается выявлением микобактерий туберкулёза в мокроте и наличием в ней эпителиоидных и гигантских клеток типа Пирогова — Лангханса.

Лечение больных инфильтративным туберкулёзом длительное. Назначают изониазид и рифампицин, в качестве третьего препарата в течение первых 3 месяцев применяют стрептомицин или этионамид (протионамид), а также этамбутол. После прекращения бактериовыделения, рассасывания инфильтративных изменений и закрытия каверны химиотерапия может продолжаться двумя противотуберкулёзными средствами (обычно изониазидом и ПАСК или этамбутолом). Общая продолжительность химиотерапии 6—9 месяцев При обширной воспалительной реакции в лёгком, замедленной регрессии воспалительных явлений, а также при плохой переносимости противотуберкулёзных средств применяют кортикостероиды и другие патогенетические средства (смотри полный свод знаний: Туберкулёз, основные принципы лечения). Лечение кортикостероидами проводят в течение 3—6 недель при контроле за клинико-лабораторными показателями. Больным с замедленной регрессией заболевания рекомендуется стимулирующая терапия.

Прогноз при своевременно начатом лечении благоприятный даже в случае деструктивного процесса. Профилактика заключается в своевременном выявлении ранних форм туберкулёза.

Туберкулема лёгкого

Туберкулема лёгкого — клинические, форма туберкулёза, характеризующаяся наличием в лёгком округлых образований (одного или нескольких) разной величины. По данным разных исследователей, эта форма составляет около 4,2—6,3% от других клинические, форм Туберкулёз органов дыхания Начиная с 50-х годы 20 век отмечено повсеместное учащение выявления больных с туберкулемой лёгкого. Среди больных, страдающих этой формой туберкулёза, преобладают мужчины. Туберкулема лёгкого может быть обнаружена в любом возрасте, но чаще она наблюдается у лиц молодого и зрелого возраста. Однако за последние годы отмечено увеличение числа больных туберкулемой лёгкого в старших возрастных группах, и в настоящий, время лица старше 50 лет составляют около ¼ контингента больных туберкулемой лёгкого.

Важное значение в формировании туберкулемы лёгкого придают местной гиперсенсибилизации лёгочной ткани. Предрасполагающими факторами могут быть нарушения обменных процессов (например, её чаще обнаруживают у больных сахарным диабетом). Более чем у ½ больных туберкулема лёгкого является исходом других клинические, форм туберкулёза лёгких. Чаще всего ей предшествует очаговый туберкулёз, реже она образуется на фоне инфильтративного процесса в результате рассасывания перифокального воспаления и осумкования его казеозного центра, ещё реже (в 2—3% случаев) при закупорке дренирующего полость бронха у больных кавернозным туберкулёзом.

Туберкулема располагается чаще всего в 1—2-м или 6-м сегментах, непосредственно под плеврой или в более глубоких отделах лёгкого, вокруг неё наблюдаются незначительные фиброзные изменения, может быть одиночной или множественной. По строению различают солитарную, слоистую и конгломератную туберкулему (смотри полный свод знаний). При прогрессировании процесса туберкулема может увеличиваться, казеозные массы в ней подвергаются расплавлению в центральной или, чаще, периферической части, воспалительный инфильтрат с капсулы переходит на прилежащие бронхи, в просвет которых выделяются казеозные массы, а на месте туберкулемы образуется каверна. Распространение процесса по бронхам может вызвать бронхогенную диссеминацию, вначале вблизи туберкулемы, а затем и в более отдалённых участках лёгкого. В то же время выделение из туберкулемы через бронхи казеозных масс может способствовать её рубцеванию. При стабилизации туберкулемы или её заживлении наблюдается рассасывание перифокального воспаления и клеточной инфильтрации капсулы, нарастание в капсуле фиброза и частичное замещение казеозных масс молодой соединительной тканью.

Клинические, картина при туберкулёме лёгкого определяется фазой процесса. Вне обострения клинические, признаки болезни отсутствуют. Однако и при обострении симптомы заболевания выражены незначительно. Общее состояние больных не страдает. Благодаря ограниченному характеру процесса и сравнительной редкости поражения крупных бронхов при физика льном обследовании (осмотре, перкуссии, аускультации) патологический

признаки обычно не выявляются. Туберкулема лёгкого вне обострения характеризуется отсутствием патологический сдвигов в крови и бактериовыделения, а также стабильной рентгенологическое картиной на протяжении многих месяцев и даже лет. Такое стационарное течение заболевания наблюдается в 60—70% случаев, чаще при туберкулемах небольшого размера (до 2 сантиметров в диаметре) у больных, не страдающих серьёзными сопутствующими заболеваниями (сахарным диабетом, язвенной болезнью и другие). Многолетняя стабильность процесса и отсутствие клинико-рентгенологическое и лабораторных признаков активности процесса не исключает существования вегетирующих микобактерий туберкулёза в казеозных массах туберкулемы, а также морфологический признаков сохранённой активности специфического процесса в её капсуле, а следовательно, и возможности реактивации заболевания, которая отмечается приблизительно у 10% больных с длительной стабилизацией процесса. Поэтому при стационарном течении туберкулемы лёгкого даже на протяжении пяти лет и более следует с большой осторожностью говорить об излечении и считать его допустимым только у больных с туберкулемой, диаметр которой не превышает 1½ — 2 сантиметров.

У ряда больных (в 30—40% случаев) наблюдается обострение процесса. При этом выделяют фазы инфильтрации, распада и диссеминации, которые чаще сочетаются одна с другой. Клинически отмечается небольшой кашель с мокротой, непродолжительный субфебрилитет, нерезко выраженные сдвиги в картине крови (невысокий лейкоцитоз, сдвиг лейкоцитарной формулы влево, ускорение РОЭ). Фазы распада и диссеминации в 30—40% случаев сопровождаются бактерио-выделением.

Туберкулёзный процесс при туберкулёме лёгкого в фазе обострения при отсутствии лечения, как правило, приводит к прогрессированию заболевания: увеличению размеров туберкулемы, появлению просветления на рентгенограмме вследствие опорожнения через дренирующий бронх и новых очагов бронхогенной диссеминации, чаще в нижних отделах лёгких, а также образованию дочерних туберкулем контактным путём. В этом случае через 3—5 лет процесс может перейти в фиброзно-кавернозный туберкулёз лёгких. Лечение противотуберкулёзными средствами быстро приводит к дезинтоксикации, прекращению бацилло-выделения, у 2/3 больных — к затиханию процесса (регрессирующий вариант) и у 40—45% больных — к излечению.

Ранняя диагностика туберкулемы лёгкого в связи с бессимптомным течением процесса возможна лишь при профилактическом флюорографическом обследовании, а также при систематическом контроле за течением других форм Туберкулёз органов дыхания



Информация об Ordo Deus Перейти в оглавление сайта

Рис. 11.
Томограмма левого лёгкого при туберкулёме (прямая проекция): 1 — туберкулема; 2 — полость распада; 3 — инфильтративные изменения по ходу бронхо-сосудистого пучка.



При рентгенологическое исследовании туберкулемы лёгких выявляются в виде фокусов округлой формы. Туберкулемы диаметром 1,5—2 сантиметров относят к мелким. Чаще выявляются туберкулемы средних размеров — диаметром 2—4 сантиметров крупные туберкулемы — более 4 сантиметров в диаметре занимают объём одного-двух сегментов лёгкого. Интенсивность их тени значительная, структура чаще неоднородная за счёт фиброза, уплотнённых масс казеозного некроза, включений кальцинатов, участков распада. Очертания обычно чёткие, неровные (фестончатые). На уровне туберкулем определяются плевропульмональные рубцы, очаги в окружающей лёгочной ткани, выраженная тяжистость по ходу бронхо-сосудистого пучка.

При прогрессировании процесса туберкулемы приобретают эллипсоидную форму, нечёткие очертания, в них выявляются одиночные и множественные полости распада, неправильной (полулунной, щелевидной) формы, располагающиеся близ устья дренирующего бронха особенно по ходу бронхо-сосудистого пучка (рисунок 11).

У больных с туберкулемой лёгкого в 70—80% случаев отмечается положительная проба Манту (смотри полный свод знаний: Туберкулинодиагностика). Причём в отличие от других форм вторичного туберкулёза при туберкулёме лёгкого чаще наблюдается гиперергическая реакция на туберкулин. При впервые диагностированной туберкулёме лёгкого выявить активность процесса в ряде случаев помогают определение белковых фракций крови до и после введения туберкулина, показатель повреждаемости нейтрофилов, реакция торможения миграции лейкоцитов (смотри полный свод знаний: Лейкоцитарные тесты), а также бластотрансформация лимфоцитов (смотри полный свод знаний). Большое значение имеет бронхологическое исследование. При бронхоскопии у 1,2—3,3% больных туберкулемой лёгкого удаётся обнаружить туберкулёз устьев сегментарных, реже — долевых бронхов; при бронхографии выявляется симптом ампутации мелких бронхов вблизи капсулы, их деформация, нередко мелкие бронхоэктазы. Производится также гистологический исследование материала, полученного с помощью биопсии.

Дифференциальный диагноз проводят с круглым туберкулёзным инфильтратом, имеющим сходную с туберкулемой рентгенологическое картину, с другими шаровидными образованиями в лёгких, реже — с грибковыми поражениями (смотри полный свод знаний: Пневмомикозы), паразитарными заболеваниями (смотри полный свод знаний: Легкие, паразитарные заболевания), осумкованным плевритом (смотри полный свод знаний) и другие Инфильтративный туберкулёз отличается более острым началом с признаками интоксикации и изменениями крови, более выраженной динамикой рентгенологическое картины, склонностью к деструкции, а также положительной динамикой процесса (через 1,5—2 месяцев после начала лечения противотуберкулёзными средствами). Большие трудности возникают при дифференциальной диагностике бессимптомно протекающей туберкулемы с шаровидными образованиями лёгких другой этиологии — с бессимптомно протекающим периферическим раком лёгкого, заполненной ретенционной бронхиальной кистой, а также с доброкачественными опухолями, локализующимися в 1-м, 2-м и 6-м лёгочных сегментах, особенно у лиц, перенёсших в прошлом туберкулёз, у которых имеются остаточные изменения в виде кальцинированных очагов в лёгких и лимфатических, узлах корня лёгкого. Однако, несмотря на сходство клинические, и рентгенологическое картины этих заболеваний, между ними существуют и различия. Так, узел периферического рака лёгкого имеет бугристые очертания; для него характерно сочетание бугристости и лучистости по контурам тени, увеличение прикорневых лимфатических, узлов; размеры узла периферического рака лёгкого увеличиваются в несколько раз в течение года. Ретенционную заполненную бронхиальную кисту лёгкого помогает отличить от туберкулемы её локализация в глубине сегмента, по ходу расширенного бронха, а также форма тени с пальцеобразными выступами, гомогенность структуры, а при обызвествлении — отложение солей кальция по контуру кисты. При дифференциальной диагностике туберкулем и доброкачественных опухолей лёгких учитывают, что последние чаще располагаются в передних отделах лёгких, имеют чёткие ровные очертания, равномерную структуру. Решающая роль в установлении диагноза принадлежит пункционной трансторакальной биопсии (смотри полный свод знаний: Легкие, операции), трансбронхиальной биопсии. В отдельных случаях прибегают к диагностической торакотомии (смотри полный свод знаний). Известную помощь в дифференциальной диагностике могут оказать иммунологический методы исследования (смотри полный свод знаний: Туберкулёз, основные принципы диагностики).

Лечебный тактика при туберкулёме лёгкого определяется фазой заболевания, динамикой процесса, а также условиями жизни больного. В фазе обострения проводят комплексное лечение противотуберкулёзными средствами в течение 9—12 месяцев При выраженной перифокальной реакции назначают кортикостероиды. По мере рассасывания перифокального воспаления и отграничения процесса, а также в тех случаях, когда болезнь с самого начала протекает без выраженного перифокального воспаления, отдают предпочтение препаратам, хорошо проникающим через фиброзную капсулу (рифампицину, изониазиду, пиразинамиду), а некоторые исследователи — и циклосерину. В ряде случаев положительный эффект оказывает применение туберкулина. При поражении бронхов показаны эндобронхиальные вливания или ингаляции аэрозолей. Основными критериями эффективности лечения являются быстрота исчезновения из мокроты микобактерий туберкулёза, рассасывание перифокального воспаления и очагов лимфо-бронхогенной диссеминации. В последующий период происходит уплотнение казеозных масс, отграничение очага. Однако лечение противотуберкулёзными средствами следует продолжать, руководствуясь клинико-рентгенологическое и лабораторными показателями активности процесса, так как излечение туберкулемы может затянуться на 1½—2 года н даже на 5 лет. Такие больные нуждаются в сезонных курсах химиотерапии в условиях санатория.

Прогрессирование заболевания является абсолютным показанием для оперативного лечения. Стабильное состояние и отсутствие выраженного эффекта от химиотерапии при туберкулёме средних и больших размеров (диаметром 3 сантиметров и более) в связи с высоким риском реактивации туберкулёзного процесса также являются показанием для оперативного лечения (смотри полный свод знаний: Легкие, операции) — клиновидной, сегментарной и долевой резекции лёгкого. Учитывая клинические, данные, социальные условия и пожелания больного, отдают предпочтение или оперативному лечению, или длительной химиотерапии.

Прогноз, как правило, благоприятный. Прогрессирование процесса с переходом в фиброзно-кавернозную форму туберкулёза лёгких наблюдается примерно у 3—5% больных, преимущественно у тех, которым в силу разных причин своевременно не было проведено рациональное лечение. Оперативное лечение при туберкулёме лёгкого является высокоэффективным методом, при котором выздоровление с быстрым и полным восстановлением трудоспособности наступает в 97% случаев.

Профилактика сводится к полноценному лечению инфильтративной и других предшествующих форм туберкулёза.

Кавернозный туберкулёз лёгких

Кавернозный туберкулёз лёгких — клинические, форма туберкулёза, характеризующаяся наличием сформированной каверны при отсутствии выраженного перифокального воспаления, обширной бронхогенной диссеминации и фиброзных изменений в окружающей каверну лёгочной ткани. Кавернозный туберкулёз лёгких может явиться следствием прогрессирования инфильтративного, очагового, диссеминированного туберкулёза лёгких, распада туберкулемы и является промежуточным этапом прогрессирующего течения деструктивного туберкулёза. Кавернозный туберкулёз лёгких выделен как самостоятельная клинические, форма на VIII Всесоюзном съезде фтизиатров (1973).

Каверны могут быть пневмогенными, образующимися на месте инфильтративно-пневмонического процесса, и бронхогенными, формирующимися в области поражённых бронхов. В зависимости от строения стенок и выраженности фиброзного слоя каверны могут быть эластическими, легко спадающимися, со слабо развитым фиброзом и ригидными с более плотными фиброзными изменениями в стенках (смотри полный свод знаний: Каверна). Фиброзные каверны при кавернозном туберкулёзе наблюдаются редко. По величине различают малые каверны — диаметром до 2 сантиметров, средние — от 2 до 4 сантиметров, большие от 4 до 6 сантиметров и гигантские — больше б см. В отличие от фиброзно-кавернозного туберкулёза для кавернозного туберкулёза лёгких более характерно наличие одной каверны без выраженных фиброзных изменений в стенках и окружающей её лёгочной ткани. Чаще всего каверна располагается в 1-м, 3-м или 6-м сегментах, непосредственно под плеврой или в более глубоких отделах лёгкого. Каверны в лёгком образуются при расплавлении казеозных масс, разрушении стенки близлежащего бронха и выделении через его просвет расплавившихся казеозных масс. При расплавлении казеозных масс по краю туберкулёзного очага они могут отделяться по типу секвестров. Такая каверна называется секвестрирующей. Каверна имеет трёхслойную стенку. Внутренний казеозно-некротический слой обращён в просвет полости, за ним расположен слой специфической грануляционной ткани, содержащий эпителиоидные, лимфоидные и гигантские клетки Пирогова — Лангханса, наружный фиброзный слой развит слабо и граничит с окружающей лёгочной тканью. Туберкулёзная грануляционная ткань со стенки каверны распространяется и на слизистую оболочку дренирующих бронхов. Интенсивность воспалительных изменений в бронхах уменьшается по мере удаления их от просвета каверны, и в области долевых и главных бронхов наблюдаются обычно лишь лимфоцитарная инфильтрация и эпителиоидно-гигантоклеточные бугорки в подслизистом слое. При заживлении каверн наблюдается отторжение казеозно-некротического слоя, уменьшение просвета полости за счёт сморщивания стенок, разрастания грануляционной ткани и фиброза. В конечном итоге на месте каверны может образоваться рубец линейной или звездчатой формы. Заживление в стенке каверны сочетается с очищением от казеозных масс дренирующих бронхов, пролиферацией бронхиального эпителия, который может переходить с устьев бронхов на внутреннюю поверхность каверны. В этих случаях цилиндрический эпителий бронхов подвергается метаплазии в многослойный плоский (смотри полный свод знаний: Метаплазия). При уменьшении эластичности стенки каверны заживление её происходит медленно (через 9— 12 месяцев после начала химиотерапии) с образованием очага небольших размеров и фиброзных изменений небольшой протяжённости в окружающей лёгочной ткани. В процессе заживления каверны просвет дренирующих бронхов может облитерироваться, и образуется так называемый блокированная каверна — инкапсулированный очаг казеозного некроза типа туберкулемы. При неблагоприятных условиях казеозный некроз в таком очаге может вновь подвергнуться расплавлению с открытием просвета бронха и образованием каверны. Поэтому такой тип заживления является неполноценным. Ригидные каверны при заживлении чаще всего трансформируются в кистоподобную полость. В этих случаях наблюдается отторжение казеозно-некротического слоя, замещение специфической грануляционной ткани соединительной тканью. Процесс трансформации каверны в кистоподобную полость очень длителен. При прогрессировании кавернозного туберкулёза происходит увеличение казеозно-некротического слоя, который может распространяться на слой специфической грануляционной ткани и фиброза. В окружающей лёгочной ткани наблюдается перифокальное воспаление и могут формироваться очаги казеозной пневмонии. В лёгких образуются очаги острой бронхогенной диссеминации в виде ацинозной или лобулярной казеозной пневмонии.

Кавернозный туберкулёз лёгких характеризуется волнообразным течением. Частота вспышек зависит от особенностей организма, его сопротивляемости и от эффективности и длительности химиотерапии. При успешном лечении процесс стабилизируется. При неэффективности химиотерапии, например, при беспорядочном применении противотуберкулёзных средств, у больных удлиняются периоды вспышек и укорачиваются интервалы между ними. Вспышка характеризуется симптомами интоксикации — повышением температуры тела, общей слабостью, снижением аппетита, а также кашлем с выделением небольшого количества мокроты, иногда кровохарканьем, обусловленным аневризматическими изменениями небольших артерий или варикозным расширением вен бронхов или разрушением сосуда, расположенного в стенке каверны. Симптомы интоксикации довольно быстро исчезают при возобновлении химиотерапии. Показателем активности туберкулёзного процесса является бактериовыделение. Микобактерии туберкулёза обнаруживают с помощью микроскопического исследования и посева. При неэффективности химиотерапии или лекарственной резистентности микобактерий туберкулёза может наблюдаться постоянное бактериовыделение даже при клиническом благополучии, свидетельствующее о сохранении активности процесса; периодическое бактериовыделение также является признаком активного туберкулёза. У некоторых больных может наблюдаться синдром падения и подъёма бактериальной популяции, то есть прекращение бактериовыделения и его возобновление через какой-то период, что чаще бывает обусловлено развитием лекарственной резистентности микобактерий и обострением туберкулёза. Признаками обострения процесса являются также ускорение РОЭ, сдвиг лейкоцитарной формулы влево, лимфопения. Нередко кавернозный туберкулёз сопровождается эндобронхитом, препятствующим заживлению каверны. Эндобронхит может стать причиной феномена раздувания, или растяжения каверны, что наблюдается при нарушении проходимости бронха по вентильному типу, когда воздух, попадая в полость каверны, не выходит обратно, и размеры каверны увеличиваются, значительно превышая площадь деструкции. Феномен раздутой, или растянутой, каверны является признаком только эластической каверны. При лечении эндобронхита или отсасывании содержимого бронхов и восстановлении их дренирующей функции такая каверна резко уменьшается в размерах.



Информация об Ordo Deus Перейти в оглавление сайта

Рис. 12.
Томограмма левого лёгкого при кавернозном туберкулёзе (прямая проекция): стрелкой указана тонкостенная каверна на малоизменённом лёгочном фоне.



Диагноз кавернозного туберкулёза ставят на основании клинико-рентгенологического, лабораторного и бронхологического исследования.

Рентгенологические признаками кавернозного туберкулёза лёгких являются ограниченность специфического поражения лёгких пределами одного-двух сегментов и наличие одиночной сформированной, то есть имеющей стенку, каверны (рисунок 12) на малоизменённом лёгочном фоне. Стенки каверны чаще тонкие, чётко очерченные, с неровными наружными очертаниями. В лёгочной ткани определяются немногочисленные очаги.

Дифференциальный диагноз проводят с хронический абсцессами лёгких (смотри полный свод знаний), стенка которых обычно широкая и от неё в лёгочную ткань отходят грубые тяжи; с воздушными кистами лёгких (смотри полный свод знаний), отличающимися от каверны более правильной формой, равномерной тонкой стенкой и отсутствием очаговых образований.

Лечение должно осуществляться в условиях стационара. Срок его не менее 9 месяцев В течение первых 2— 3 месяцев предпочтительно назначать изониазид и рифампицин в комбинации со стрептомицином. Затем стрептомицин заменяют протионамидом или этамбутолом и проводят лечение до закрытия каверны. При плохой переносимости отдельных препаратов или выявлении лекарственной резистентности микобактерий больному индивидуально подбирают комбинацию противотуберкулёзных средств. Химиотерапия позволяет добиться быстрого (в течение 3—6 месяцев) закрытия эластической каверны с образованием линейного или звездчатого рубца. Снижение эластичности лёгочной ткани вокруг каверны, уменьшение её кровоснабжения может тормозить процесс заживления каверны. Заживление ригидной или фиброзной каверны происходит медленно в течение 9—12 месяцев с постепенным уменьшением размеров полости, очищением её стенок и последующим гранулированием. Фиброзные каверны больших размеров закрываются редко. Крайне невыгодные условия для заживления создаются при субплевральной локализации каверны. Субплевральные полости редко заживают даже при эластичности их стенок. При эффективном лечении бактериовыделение прекращается через 2—3 месяцев и ранее после начала химиотерапии. Однако в ряде случаев в мокроте больных при микроскопическом исследовании или посеве обнаруживаются L-формы микобактерий (смотри полный свод знаний: L-формы бактерий). Наличие возбудителя туберкулёза подтверждается также положительной биологический пробой (заболевание туберкулёзом лабораторный животных после заражения их мокротой от больных). Поэтому критерием эффективности лечения наряду с прекращением бактериовыделения является также закрытие каверны в лёгком. При медленном уменьшении размеров каверны больным с прекратившимся бактерио-выделением, помимо противотуберкулёзных средств, назначают средства, стимулирующие процессы заживления (туберкулин, пирогенал, продигиозан, лидазу), а также физиотерапевтические методы — ультразвук (смотри полный свод знаний: Ультразвуковая терапия), индуктотермию (смотри полный свод знаний). При наличии эндобронхита больным дополнительно назначают аэрозоли или эндобронхиальные вливания.

При отсутствии заживления каверны прибегают к оперативному вмешательству. Вопрос об операции рассматривается обычно через 6 месяцев после начала химиотерапии, в отдельных случаях, например, при наличии фиброзной или ригидной каверны, особенно при продолжающемся бактерио-выделении или при субплевральном её расположении, при повторном кровохарканьи и лёгочном кровотечении, при недисциплинированности больного и нерегулярном приёме противотуберкулёзных средств — в более ранние сроки. Оперативное лечение включает сегментэктомию (смотри полный свод знаний), лобэктомию (смотри полный свод знаний), пневмонэктомию (смотри полный свод знаний), торакопластику (смотри полный свод знаний). После закрытия каверны дальнейшее лечение можно продолжать в амбулаторных условиях и в, санатории.

Прогноз серьёзный, так как очередное обострение может привести к развитию хронический деструктивных форм туберкулёза.

Профилактика заключается в своевременном выявлении и лечении предшествующих форм туберкулёза.

Фиброзно-кавернозный туберкулёз лёгких

Фиброзно-кавернозный туберкулёз лёгких — деструктивная форма туберкулёза, характеризующаяся наличием в лёгких каверны или каверн с выраженной фиброзной капсулой и фиброзных изменений в окружающей каверну лёгочной ткани; развивается при несвоевременной диагностике и недостаточном лечении диссеминированного, очагового, инфильтративного и кавернозного туберкулёза лёгких.

При фиброзно-кавернозном туберкулёзе лёгких отмечаются также эмфизема лёгких, бронхоэктазы, смещение органов средостения в поражённую сторону, бронхогенная диссеминация и длительное волнообразное течение болезни. Наличие на внутренней стенке каверны некротических масс с большим количеством микобактерий туберкулёза обусловливает постоянное бактериовыделение, что представляет большую эпидемиологические опасность для окружающих, особенно в период обострения процесса. Каверны чаще локализуются в 1-м, 2-м или 6-м сегментах одного или обоих лёгких. Каверны бывают различной формы. При наличии множественных полостей распада они могут образовать сообщающуюся систему каверн. Трёхслойная стенка каверны имеет резко выраженный наружный фиброзный слой, средний слой, состоящий из туберкулёзной грануляционной ткани, и внутренний казеозно-некротический слой. Два последних выражены неодинаково и бывают различной толщины. Внутренняя поверхность каверны обычно неровная. Иногда на ней имеются балки, представляющие собой остовы облитерированных кровеносных сосудов, проходящих через полость, а также беловато-серые образования размером в несколько миллиметров (так называемый линзы Коха), представляющие собой скопления колоний микобактерий туберкулёза. Вблизи каверн обычно имеются ацинозные, лобулярные или нодозные очаги бронхогенной диссеминации, инкапсулированные или свежие, не имеющие капсулы. При прогрессировании фиброзно-кавернозного туберкулёза в стенке каверн преобладают экссудативно-некротические процессы, бронхогенная диссеминация выражена больше в нижних отделах лёгких. Имеет место апико-каудальное распространение процесса с возможным формированием новых полостей распада с тонкими плохо сформированными стенками и выраженной перифокальной реакцией. При хронический длительном течении процесса нарастают явления межуточного склероза лёгочной ткани, эмфизема, деформация бронхов, происходит перестройка сосудов с последующими явлениями гипертензии в малом круге кровообращения (смотри полный свод знаний: Гипертензия малого круга кровообращения).

Клинические, картина обусловлена разнообразными морфологический изменениями в лёгких и характеризуется волнообразным течением со сменой периодов обострения и затихания процесса. Ведущими, особенно в периоды обострения, являются симптомы интоксикации: слабость, быстрая утомляемость, повышение температуры, потливость, снижение аппетита, похудание. Отмечаются усиление кашля, увеличение выделения мокроты, иногда с примесью крови. Над пораженным участком лёгких на фоне бронхиального, а при полостях свыше 6 сантиметров в диаметре —амфорического дыхания выслушиваются разнокалиберные влажные и сухие хрипы, свидетельствующие о воспалительных изменениях в окружающей каверну лёгочной ткани. При вовлечении в процесс бронхов, дренирующих каверну, на высоте вдоха выслушиваются скрипучие хрипы, обусловленные разлипанием воспалённых стенок бронхов.

По клинические, течению различают ограниченный и прогрессирующий фиброзно-кавернозный туберкулёз, а также фиброзно-кавернозный туберкулёз с осложнениями.

Ограниченный фиброзно-кавернозный туберкулёз лёгких является относительно стабильным и характеризуется наличием фиброзной каверны и ограниченным фиброзом в пределах сегмента или доли лёгкого. Под влиянием химиотерапии процесс обычно стабилизируется, воспалительная реакция в стенке каверны несколько угасает, частично или полностью рассасываются очаги бронхогенной диссеминации. Вследствие этого может наступать некоторое очищение внутренней стенки каверны от масс казеозного некроза, уменьшается массивность бактериальной популяции. Интервалы между обострениями растягиваются на несколько месяцев, а иногда и лет. В ряде случаев на протяжении длительного времени бактериовыделение может отсутствовать или бывает периодическим и скудным. При этом у некоторых больных микобактерии туберкулёза выявляются лишь при микроскопическом исследовании, но не дают роста на питательных средах, что обусловлено изменением их жизнедеятельности и культуральных свойств под влиянием химиотерапии. Такое течение фиброзно-кавернозного туберкулёза отмечается главным образом у больных, длительно и систематически получающих противотуберкулёзные средства, строго соблюдающих рекомендованный врачом режим. При несоблюдении режима, злоупотреблении алкоголем стабилизация процесса сменяется его прогрессированием.

Для прогрессирующего фиброзно-кавернозного туберкулёза лёгких характерны длительные обострения и короткие интервалы между ними. В период обострения резко выражена интоксикация, которая уменьшается при затихании процесса. Отмечаются кашель с мокротой, кровохарканье, боли в грудной клетке; в дальнейшем развивается одышка. Эти симптомы в период обострения обусловлены перифокальным воспалением вокруг каверны, бронхогенной диссеминацией и эндобронхитом. В ряде случаев поражается плевра с развитием гнойного плеврита (смотри полный свод знаний). Прогрессирующее течение фиброзно-кавернозного туберкулёза может привести к развитию туберкулёзного менингита (смотри полный свод знаний). У некоторых больных развиваются обширные инфильтративно-казеозные изменения, приводящие к казеозной пневмонии с образованием многокамерных полостей — гигантских каверн. При прогрессирующем течении фиброзно-кавернозного туберкулёза, как правило, имеются постоянное массивное бактериовыделение и лекарственная устойчивость микобактерий, которая препятствует стабилизации туберкулёзного процесса.

Фиброзно-кавернозный туберкулёз лёгких с осложнениями характеризуется прогрессирующим, волнообразным течением болезни. Иногда в результате прорыва каверны в плевральную полость возникает спонтанный пневмоторакс (смотри полный свод знаний), сопровождающийся гнойным плевритом. Ведущее место в клинические, картине занимают симптомы легочно-сердечной недостаточности (смотри полный свод знаний: Лёгочное сердце). Нередко присоединяется амилоидоз внутренних органов (смотри полный свод знаний: Амилоидоз), хронический почечная недостаточность (смотри полный свод знаний), наблюдаются повторные лёгочные кровотечения (смотри полный свод знаний) и повторное кровохарканье (смотри полный свод знаний), которые могут принимать затяжной характер. Кровохарканье и лёгочное кровотечение нередко сопровождаются аспирационной пневмонией, а также могут привести к асфиксии (смотри полный свод знаний).

К осложнениям фиброзно-кавернозного туберкулёза лёгких относятся также артралгии и неспецифический полиартрит, генерализованный гиперпластический периостит (смотри полный свод знаний: Бамбергера—Мари периостоз), нарушения эндокринной системы. Последние могут проявляться синдромом Иценко — Кушинга (смотри полный свод знаний: Кушинга синдром), гипофизарной кахексией (смотри полный свод знаний), ожирением разного типа (смотри полный свод знаний: Ожирение), гипотиреозом (смотри полный свод знаний), гипертиреозом (смотри полный свод знаний: Тиреотоксикоз), аддисонизмом (смотри полный свод знаний: Аддисонова болезнь), сахарным диабетом (смотри полный свод знаний: Диабет сахарный).

Рентгенологические картина фиброзно-кавернозного туберкулёза лёгких полиморфна. Процесс может быть односторонним и двусторонним; для двустороннего процесса характерна асимметрия поражения. Обязательными компонентами этой формы туберкулёза являются хронический сформированная каверна, полиморфные очаги в лёгких, фиброз бронхолёгочной ткани и плевры. Каверны могут быть одиночными и множественными, крупных или средних размеров (рисунок 13), тень каверны имеет неправильную кольцевидную форму с участком просветления внутри. Ширина стенки обычно неодинакова. Внутренние очертания кольцевидной тени (стенки каверны) чёткие, в отличие от нечётких и неровных её наружных очертаний. Для фиброзно-кавернозного туберкулёза характерно наличие тени перибронхиально-периваскулярных уплотнений по ходу дренирующего бронха, отходящей от внутренней стенки каверны к корню лёгкого (бронхокавитарный тяж — дорожка), тени плевропульмональных рубцов между наружной стенкой каверн и плеврой (плеврокавитарный тяж), а также очаговых образований в окружающей лёгочной ткани или в отдалённых сегментах.

Фиброзные изменения лёгочной ткани отображаются в виде сетчатых, сетчато-тяжистых структур и участков уплотнения лёгочной ткани с уменьшением объёма сегментов, долей, а иногда и всего лёгкого. При дальнейшем развитии фиброза отмечаются смещение трахеи, крупных бронхов pi сосудов в сторону поражения, подтягивание корней лёгких кверху, буллезные образования в лёгочной ткани, плевральные наслоения, смещения висцеральной (междолевой) плевры. Прогрессирование процесса проявляется увеличением размеров каверн, появлением бухтообразных выпячиваний, нечёткости наружных очертаний стенки и бронхососудистого пучка, инфильтративных и очаговых изменений в окружающей лёгочной ткани. Инволюция проявляется уменьшением размеров каверны, истончением её стенки, рассасыванием инфильтративных и очаговых образований, иногда рубцеванием каверны. Бронхографически, как правило, выявляются нарушения топографии бронхов, стеноз бронхов, бронхоэктазы.



Информация об Ordo Deus Перейти в оглавление сайта

Рис. 13.
Рентгенограмма грудной клетки при фиброзно-кавернозном туберкулёзе лёгких (прямая проекция): 1 — множественные каверны в левом лёгком; 2 — очаги в окружающей лёгочной ткани; 3 — очаги и фиброзные изменения в верхнем отделе правого лёгкого.



Дифференциальный диагноз проводят с хронический неспецифическими воспалительными заболеваниями лёгких, при которых изменения чаще локализуются в нижних и средних долях лёгких, участки поражения имеют грубую тяжистую структуру, выражены явления перибронхиального, периваскулярного склероза, имеются бронхоэктазы, а также с поликистозом, буллезными образованиями лёгких, для которых характерна множественность и однотипность кольцевидных теней, отсутствие очагов в окружающей лёгочной ткани.

Лечение комплексное, длительное, проводится в условиях стационара и санатория и включает антибактериальную терапию с учётом лекарственной чувствительности микобактерий, патогенетические методы лечения. Однако закрытие каверны при консервативном лечении наблюдается редко и не превышает 12%. Поэтому основным при этой форме туберкулёза является оперативный метод лечения—сегментарная резекция (смотри полный свод знаний: Сегментэктомия), лобэктомия (смотри полный свод знаний), пневмонэктомия (смотри полный свод знаний), плевропневмонэктомия (смотри полный свод знаний: Плеврэктомия), кавернотомия (смотри полный свод знаний), торакопластика (смотри полный свод знаний). Оперативное вмешательство проводится, как правило, в фазе ремиссии, после проведения курса антибактериальной терапии. В ряде случаев у больных с тяжёлыми осложнениями туберкулёза и сопутствующими заболеваниями оперативное лечение противопоказано.

Одним из методов восстановления. функции лёгких у больных, подвергшихся оперативному лечению, является ЛФК. Занятия начинаются со 2-го дня после операции. При этом используют специальные дыхательные и корригирующие (при нарушениях осанки) упражнения. Небольшие нагрузки постепенно увеличивают; индивидуальные занятия под руководством инструктора сменяют групповыми и самостоятельными.

Прогноз зависит от распространённости процесса, наличия лекарственной устойчивости и отягощающих сопутствующих заболеваний.

Профилактика заключается в своевременном выявлении и полноценном лечении туберкулёза лёгких на более ранних этапах его развития.

Цирротический туберкулёз лёгких

Цирротический туберкулёз лёгких — клинические, форма туберкулёза, для которой характерны обширные разрастания грубой соединительной ткани в лёгких и плевре с выраженным преобладанием фиброзных изменений над специфическими. Цирротический туберкулёз лёгких развивается в результате недостаточного рассасывания специфических изменений у больных с несвоевременно выявленным процессом. При этом отмечается переход специфического воспаления в неспецифическое с последующим массивным разрастанием соединительной ткани и вовлечением в патологический процесс всех структурных элементов лёгкого. Односторонний цирротический туберкулёз является исходом фиброзно-кавернозного туберкулёза лёгкого, может сформироваться в результате инволюции обширного инфильтративного процесса типа лобита, на месте ателектаза сегмента или доли лёгкого при первичном и вторичном туберкулёзе (при наличии в коллабированной лёгочной ткани туберкулёзных изменений), а также у больных с длительно протекавшим экссудативным туберкулёзным плевритом и пневмоплевритом (плевритом, возникшим при спонтанном или лечебном пневмотораксе) при наличии в лёгком туберкулёзных изменений (плеврогенный цирроз, плевро-пневмоцирроз). Двусторонний цирротический туберкулёз является следствием длительно протекающего хронический диссеминированного туберкулёза лёгких.

Цирротический туберкулёз лёгких характеризуется развитием в лёгочной ткани грубого склероза (цирроза) и некавернозных полостей (бронхоэктазов, кист, эмфизематозных булл) или каверн без признаков прогрессирования. Между рубцами могут определяться разного размера и строения туберкулёзные очаги (рисунок 14). Цирротически изменённое лёгкое резко деформировано, уменьшено в объёме, уплотнено. При плевро-пневмоциррозе плевра утолщена, иногда значительно, напоминает панцирь, покрывающий все лёгкое, может содержать очаги обызвествления и оссификации. В связи с наличием массивных фиброзных тяжей воздушность лёгочной ткани резко снижена, на разрезе видны участки ателектаза, чередующиеся с участками эмфиземы. Резко деформировано бронхиальное дерево, имеются бронхоэктазы различной формы и размеров. Перестройка кровеносных сосудов сопровождается изменением их просветов, появлением сосудов замыкающего типа и множественных артериовенозных анастомозов. В стенках, обнаруживаемых иногда среди фиброзной ткани каверн, превалирует наружный фиброзный слой с распространением его на окружающую лёгочную ткань и плевру. Слой специфической грануляционной ткани богат кровеносными сосудами, казеозно-некротический слой обычно выражен неравномерно, иногда отсутствует. В стенках расширенных бронхов, бронхоэктатических полостей и очищенных каверн обычно отмечается неспецифическое воспаление.



Информация об Ordo Deus Перейти в оглавление сайта

Рис. 14.
Гистотопограмма лёгкого при цирротическом туберкулёзе: 1 — цирротически деформированная ткань лёгкого; 2 — бронхоэктазы; 3 — обызвествлённый очаг казеозного некроза.



Клинические, картина зависит от распространённости морфологический изменений, компенсаторных возможностей организма, степени функциональных расстройств, фазы развития специфического и неспецифического воспалительного процесса, его длительности.

Цирротический туберкулёз лёгких может протекать длительно с маловыраженной симптоматикой. Постепенно нарастают одышка и общая слабость, отмечается кашель с мокротой, появляются тахикардия, усиливающаяся при физической нагрузке, тянущие боли в грудной клетке, кровохарканье, связанное с гипертензией в малом круге кровообращения и разрывом ангиэктазий в деформированных стенках бронхов. Повышение температуры тела, ускорение РОЭ, умеренный лейкоцитоз и гипохромная анемия чаще обусловлены обострением пневмонии или воспалительного процесса в лёгких и бронхах при бронхоэктазах. Одновременно могут отмечаться признаки активности туберкулёза: интоксикация, склонность к обострениям, периодическое скудное выделение микобактерий туберкулёза, быстро прекращающееся после назначения противотуберкулёзных средств.

При осмотре больных с односторонним цирротическим туберкулёзом отмечаются опущение плеча на стороне поражения, атрофия мышц плечевого пояса, уменьшение объёма грудной клетки, западение ткани в надключичных и подключичных зонах, сужение межрёберных промежутков и пространства между позвоночником и внутренним краем лопатки, втянутость межрёберных промежутков при вдохе, смещение трахеи, границ сердечно-сосудистого пучка и верхушечного толчка сердца в сторону поражения. Вследствие эмфиземы нижние границы лёгких на стороне цирроза смещены вверх, а на противоположной стороне — вниз. Перкуторный звук над цирротически изменённым участком лёгкого укорочен, на остальном протяжении имеет коробочный оттенок. Дыхание ослабленное или бронхиальное, над остальными отделами лёгких — жёсткое. Выслушиваются сухие и влажные скрипучие хрипы; их количество зависит от фазы воспалительного процесса.

При двустороннем цирротическом туберкулёзе, развивающемся на почве хронический гематогенно-диссеминированного туберкулёза, грудная клетка симметрична. Отмечается выраженное западение ткани в надключичных и подключичных зонах и уплощение верхних отделов грудной клетки с расширением нижних межрёберных промежутков вследствие викарной эмфиземы. Обострения туберкулёзного процесса при цирротическом туберкулёзе возникают сравнительно редко, протекают с нерезко выраженными симптомами интоксикации и кратковременным выделением микобактерий туберкулёза.

Течение и исход цирротического туберкулёза зависят от того, как быстро прогрессируют нарушения функции дыхания и кровообращения. Замещение части лёгочной паренхимы рубцовой тканью, развитие эмфиземы лёгких приводит к ухудшению альвеолярного газообмена, развитию альвеолярной гипоксии, артериальной гипоксемии, гиперкапнии, увеличению минутного объёма сердца, а также к склерозу ветвей лёгочных артерий, сужению и частичной облитерации их просвета, повышению давления в системе лёгочной артерии и правом желудочке и к постепенному развитию лёгочного сердца (смотри полный свод знаний). Дыхательная недостаточность (смотри полный свод знаний) при цирротическом туберкулёзе носит рестриктивную форму. Снижение жизненной ёмкости и максимальной вентиляции лёгких наблюдается у больных с распространённым цирротическим туберкулёзом и массивными плевральными изменениями.

К осложнениям цирротического туберкулёза лёгких относят также профузное лёгочное кровотечение из эрозированных сосудов стенки бронхоэктатической полости либо фиброзной каверны, обусловленное гипертензией в малом круге кровообращения или вследствие развития вторичной инфекции. У ряда больных отмечаются повторные лёгочные кровотечения (смотри полный свод знаний: Лёгочное кровотечение) и амилоидоз (смотри полный свод знаний) внутренних органов вследствие хронический гнойного процесса в бронхах.

Диагноз основывается на данных рентгенологическое исследования: определяются участки уплотнения лёгочной ткани различной протяжённости. Изменения могут быть односторонними, двусторонними, иногда распространяются на все лёгкое (картина фиброторакса). В последнем случае определяется интенсивное затемнение соответствующей половины грудной клетки, уменьшение её объёма. В области цирроза могут выявляться кальцинированные очаги, бронхоэктазы. При одностороннем циррозе лёгкого тень сердца, крупных сосудов и трахея смещаются в сторону поражения. Противоположное лёгкое обычно увеличено в объёме, в нем могут определяться очаги уплотнения. Про двустороннем цирротическом процессе тень сердца сужена и вытянута, корни лёгких подтянуты вверх, сосуды расположены вертикально и напоминают ветви плакучей ивы. При поражении верхних долей лёгких они полностью могут проецироваться в области верхушек. Корни лёгких резко подтянуты кверху, сосудистый рисунок имеет вид падающего дождя, что свидетельствует об уменьшении объёма верхних долей и увеличении объёма других отделов лёгких, в которых наряду со склерозом и эмфиземой выявляются очаги уплотнения (рисунок 15). Диафрагма расположена низко, уплощена, амплитуда её движений уменьшена. Скрытые цирротическими изменениями бронхоэктазы и очищенные каверны могут быть выявлены на томограммах, а также с помощью бронхографии. При проведении последней выявляются специфический бронхит, деформация и стеноз бронхов.



Информация об Ordo Deus Перейти в оглавление сайта

Рис. 15.
Рентгенограмма грудной клетки при цирротическом туберкулёзе лёгких (прямая проекция): верхняя доля правого лёгкого уменьшена в объёме, уплотнена; плотные очаги в верхних отделах лёгких (указаны стрелками).



Дифференциальный диагноз проводят с пневмосклерозом (смотри полный свод знаний) не туберкулёзной этиологии, развившимся после пневмоний, абсцессов, на фоне бронхоэктазов, ателектазов и плеврита, для которого характерно стойкое отсутствие в мокроте микобактерий туберкулёза при наличии влажных хрипов, отсутствие в лёгких уплотнённых и обызвествленных очагов, локализация процесса преимущественно в средней, нижней долях и язычке лёгкого, низкая чувствительность больных к туберкулину. С дифференциально-диагностической целью может быть проведено превентивное лечение антибактериальными средствами с учётом чувствительности к ним микрофлоры и исключением противотуберкулёзных средств в течение первых 10 дней. От цирротического туберкулёза лёгких следует отличать остаточные без признаков активности относительно благоприятные изменения после клинические, излечения туберкулёза.

Лечение больных цирротическим туберкулёзом лёгких проводят в соответствии с принципами комплексного лечения больных туберкулёзом (смотри полный свод знаний), которое включает применение противотуберкулёзных средств (при обострении туберкулёзных очагов в зоне цирроза), неспецифическую антибактериальную терапию при обострении неспецифического воспалительного процесса, а также патогенетическую и симптоматическую терапию сердечно-сосудистыми средствами, витаминами, кислородом и другие Больным с односторонним цирротическим туберкулёзом, выраженными бронхоэктазами, склонностью к повторному кровохарканью и обострениям специфических и неспецифических воспалительных процессов при удовлетворительных показателях функционального состояния органов дыхания, кровообращения и почек показано оперативное лечение (смотри полный свод знаний: лобэктомия, Пневмонэктомия). С целью профилактики лёгочных кровотечений следует избегать физических и эмоциональных перегрузок, контролировать уровень АД.

При цирротическом туберкулёзе без каверн или с санированными остаточными полостями показаны лечебный гимнастика, специальные дыхательные упражнения и дозированная ходьба. Выбор рациональных упражнений, исходного положения, объём и интенсивность нагрузки определяются с учётом степени дыхательной недостаточности и наличия хронический лёгочного сердца. Обязательны повторные в течение дня самостоятельные занятия специальными упражнениями. Возникающее при цирротическом туберкулёзе лёгких нарушение дренажной функции бронхов требует ежедневного активного откашливания при соответствующем постуральном дренаже. Сан.-кур. лечение проводят в санаториях, расположенных в местностях с тёплым и сухим климатом — в степной зоне или на Южном берегу Крыма. Пребывание на высокогорных курортах противопоказано.

Прогноз неблагоприятный. Причиной смерти являются осложнения туберкулёза — лёгочное кровотечение, амилоидно-липоидный нефроз, хронический легочно-сердечная недостаточность, тромбоэмболия лёгочной артерии и другие

Профилактика цирротического туберкулёза лёгких состоит в своевременном выявлении и правильном этиопатогенетическом лечении предшествующих форм туберкулёза. При этом особое внимание должно быть обращено на своевременную диагностику и местное лечение специфических изменений в бронхах. При обострениях, даже в случае отсутствия признаков активного специфического процесса рекомендуется проводить сезонные курсы химиопрофилактики (смотри полный свод знаний: Туберкулёз, профилактика).

Туберкулёзный плеврит

Туберкулёзный плеврит — клинические, форма туберкулёза лёгких, проявляющаяся воспалением плевры и накоплением экссудата в плевральной полости. Чаще наблюдается при очаговом, диссеминированном, инфильтративном туберкулёзе лёгких, туберкулёзе внутригрудных лимфатических, узлов, как правило, у лиц молодого возраста. Туберкулёзный плеврит может быть одним из ранних проявлений первичного туберкулёза.

Воспалительную реакцию плевры вызывают микобактерии туберкулёза, проникающие в неё лимфогенным или гематогенным путём. При этом большое значение имеет гиперсенсибилизация плевры. По генезу различают аллергический, перифокальный плеврит и туберкулёз плевры; в зависимости от локализации — костальный, верхушечный, реже — парамедиастинальный, наддиафрагмальный, междолевой плеврит.

В зависимости от характера экссудата (смотри полный свод знаний) различают серозный, серозно-фибринозный, серозно-гнойный, гнойный, геморрагический, хилёзный, холестериновый плеврит (смотри полный свод знаний). По клеточному составу экссудат может быть лимфоцитарным, эозинофильным, нейтрофильным. При преобладании в экссудате нейтрофильных лейкоцитов он становится серозно-гнойным или гнойным, что свидетельствует об обширных казеозно-некротических изменениях и наблюдается при туберкулёзе плевры. При этой форме плеврита в экссудате можно обнаружить и туберкулёзные микобактерии. Туберкулёзный плеврит с гнойным экссудатом называют эмпиемой плевры.

Клинические, картина разнообразна и зависит от возраста больного, состояния его организма, степени сенсибилизации, характера морфологический изменений, локализации и формы плеврита (аллергический, перифокальный плеврит или туберкулёз плевры).

По характеру течения процесса различают острый, подострый и хронический плеврит. Острый и подострый плеврит характеризуются повышением температуры до 38— 39°, болями в боку, сухим кашлем, тахикардией, постепенным нарастанием одышки. В начальном периоде костального плеврита может выслушиваться шум трения плевры, который исчезает по мере накопления экссудата. Отмечается притупление перкуторного звука с верхней границей в виде параболической кривой (линия Эллиса — Дамуазо — Соколова) и другие симптомы (смотри полный свод знаний: Плеврит). Хронический течение плеврита отличается стёртостью клинические, картины, часто отсутствием температурной реакции, постепенным нарастанием симптоматики.

Диагноз ставят на основании данных физикального и рентгенологическое исследования. Решающей в распознавании природы заболевания является плевральная пункция (смотри полный свод знаний) с последующим цитологическим исследованием полученной жидкости.

Дифференциальный диагноз проводят с плевритом другой этиологии.

Лечение может быть консервативным и оперативным. Консервативную терапию проводят противотуберкулёзными средствами — изониазидом, стрептомицином и ПАСК. При наличии туберкулёзных изменений в лёгких назначают также рифампицин, а при обильном экссудате — преднизолон. Длительность химиотерапии тремя препаратами 1-го ряда составляет не менее 2—3 месяцев Далее стрептомицин и ПАСК заменяют этамбутолом или протионамидом. Общая длительность химиотерапии — 6—9 месяцев При значительном накоплении экссудата на фоне антибактериальной терапии производят повторную аспирацию экссудата. Проведение при туберкулёзном плеврите ЛФК способствует рассасыванию экссудата и плевральных наложений, препятствует развитию нарушений лёгочной вентиляции и атрофии мышц грудной клетки на стороне плеврита. При начинающемся рассасывании экссудата и до ликвидации остаточных проявлений перенесённого плеврита необходимы специальные упражнения, усиливающие дыхательные экскурсии грудной клетки на стороне поражения. При хронический гнойном плеврите прибегают к оперативному лечению — плеврэктомии (смотри полный свод знаний).

Прогноз, как правило, благоприятный.

Профилактика заключается в предупреждении первичного туберкулёза (смотри полный свод знаний: Туберкулёз), а также в своевременном и правильном лечении таких его клинические, форм, которые могут явиться причиной плеврита.

Подробно патологическую анатомию, клиническую картину, диагноз и лечение — см. Плеврит.

Туберкулёз верхних дыхательных путей, трахеи, бронхов и другие

Туберкулёз верхних дыхательных путей, трахеи, бронхов и другие включает также туберкулёз полости рта, нёбного язычка, нёбных миндалин, дужек и гортани.

Туберкулёз полости рта, верхних дыхательных путей и гортани рассматривают как вторичное проявление туберкулёза при деструктивных формах заболевания. Благодаря профилактическим мероприятиям, раннему выявлению больных и успешному лечению туберкулёза частота специфических поражений верхних дыхательных путей и гортани резко снизилась. По данным А. Н. Вознесенского (1975), туберкулёз носа, полости рта, глотки и гортани наблюдается у 0,1—0,5% больных с активными формами туберкулёза.

Известны четыре основных возможных пути локального поражения слизистой оболочки верхних дыхательных путей и гортани: спутогенный (через мокроту), лимфогенный, гематогенный и контактный. Различают две формы туберкулёзного поражения слизистых оболочек носа, рта, глотки и гортани — инфильтрат и язву. Инфильтрат может быть ограниченным и диффузным, редко опухолевидным. Слизистая оболочка розового, красного или серого цвета утолщена, мягкая в случае преобладания экссудативного компонента воспаления, и плотная при продуктивном воспалительном процессе. Туберкулёзная язва обычно имеет неправильную форму, неглубокая, с неровными краями. Дно язвы покрыто грануляционной тканью и тканевым детритом. В зависимости от фазы воспалительного процесса различают инфильтрацию, распад, обсеменение, а также уплотнение, обызвествление и рассасывание.

Туберкулёз носа при различных активных формах туберкулёза лёгких встречается редко — в 0,1% случаев. Это объясняют тем, что мокрота не попадает на слизистую оболочку носа, а также предполагаемым активным бактерицидным действием носовой слизи на микобактерии туберкулёза.

Клинические, картина не является патогномоничной — отмечаются сухость в носу, закладывание носа, нарушение носового дыхания, отделение корок, окрашенных кровью. Чаще поражается носовая перегородка (смотри полный свод знаний: Нос), что может привести к перфорации хряща и деформации носа (при туберкулёзной волчанке в комбинации с поражением наружного носа). В диагностике важную роль играют данные риноскопии (смотри полный свод знаний), морфологический и бактериологические исследования. Дифференциальный диагноз проводят с банальным ринитом (смотри полный свод знаний), экземой (смотри полный свод знаний), опухолевыми процессами и другими заболеваниями носа.

Туберкулёз полости рта наблюдается также довольно редко у больных с прогрессирующими формами деструктивного туберкулёза лёгких. Протекает в форме туберкулёзной волчанки (смотри полный свод знаний: Туберкулёз внелёгочный, туберкулёз кожи и подкожной клетчатки), нередко имеет бессимптомное течение. Диагноз устанавливают с помощью морфологический п бактериологические методов исследования. Дифференциальный диагноз проводят со стоматитом (смотри полный свод знаний), грибковыми поражениями полости рта, сифилисом (смотри полный свод знаний), красным плоским лишаем (смотри полный свод знаний: Лишай красный плоский) п другими заболеваниями.

Туберкулёз глотки, нёбного язычка, нёбных миндалин и дужек чаще сочетается с туберкулёзом полости рта и гортани у больных с фиброзно-кавернозным туберкулёзом лёгких при неуклонном его прогрессировании и массивном выделении микобактерий туберкулёза. Острые и подострые формы туберкулёза глотки (смотри полный свод знаний) встречаются редко. Для клинической картины хронический форм характерны боли при глотании, чувство саднения и жжения, то есть симптомы, свойственные многим неспецифическим заболеваниям носоглотки (носовая часть глотки) и ротоглотки (ротовая часть глотки). Для туберкулёзной волчанки характерно бессимптомное течение. Диагноз устанавливают на основании результатов морфологический и бактериологические исследований. Дифференциальный диагноз проводят с ангиной Симановского—Плаута — Венсана (смотри полный свод знаний: Ангина), лимфогранулематозом (смотри полный свод знаний), лейкозом (смотри полный свод знаний), раком, сифилисом глотки (смотри полный свод знаний: Глотка).

Туберкулёз гортани встречается менее чем в 0,5% случаев у взрослых, больных активным и прогрессирующим деструктивным туберкулёзом лёгких. Частота поражения различных отделов гортани (смотри полный свод знаний), по данным А. Н. Вознесенского (1959), различна: чаще всего поражаются голосовые связки, затем межхрящевая часть голосовой щели (межчерпаловидное пространство), затем желудочки гортани (морганиевы желудочки), связки преддверия, подсвязочное пространство (подголосовая полость), надгортанник, черпаловидные хрящи.

Клинические, симптоматика специфического поражения гортани определяется характером течения процесса, которое бывает острым, подострым и хроническим. Больные предъявляют жалобы на першение, жжение, сухость, боль в горле, охриплость голоса вплоть до полной афонии. При этом различают дисфонию I степени (перемежающаяся охриплость), II степени (стойкая охриплость) и III степени (афония). В зависимости от выраженности болевого синдрома определяют дисфагию I степени (боли непостоянные — при проглатывании пищи), II степени (боли постоянные, усиливающиеся при глотании, кашле, разговоре) и дисфагию III степени (боли постоянные, мучительные, иррадиирующие в уши). Инфильтрация, отёк наружных и внутренних отделов гортани обусловливают затруднённое стенотическое дыхание. Кашель и кровохарканье для туберкулёза гортани не характерны.

Диагноз ставят на основании данных ларингоскопии (смотри полный свод знаний), при которой обнаруживают инфильтрат или язву гортани. Инфильтрат захватывает часть гортани, реже распространяется на весь орган. В острой экссудативной фазе воспаления инфильтрат имеет ярко-красную окраску, в продуктивной фазе — бледный. Туберкулёзные язвы (поверхностные и глубокие) имеют неровные изъеденные края. При заживлении процесса в гортани образуются мелкие рубцы. В случаях затруднения в диагностике показана биопсия. Дифференциальный диагноз проводят с неспецифическим ларингитом (смотри полный свод знаний), опухолями, сифилисом гортани (смотри полный свод знаний), склеромой (смотри полный свод знаний) и поражениями гортани при лейкозах (смотри полный свод знаний).

Острые неспецифические ларингиты характеризуются диффузным поражением, отёком гортани, тотальной гиперемией, воспалительными изменениями в зеве и нёбных миндалинах. Доброкачественные опухоли гортани (фиброма, лимфангиома, ангиома) не представляют больших трудностей для диагностики, так как располагаются, как правило, на ограниченном участке и имеют характерный вид. Диагностические затруднения могут вызвать папилломы, так как продуктивная фаза туберкулёзного воспаления также сопровождается нередко папилломатозными разрастаниями. При раке гортани отмечается широкая инфильтрация поражённых частей органа, плотность и ригидность окружающих элементов гортани, застойный сосудистый рисунок, часто увеличение регионарных лимфатических, узлов.

Лечение туберкулёза полости рта, верхних дыхательных путей и гортани проводят стрептомицином, изониазидом и другими противотуберкулёзными средствами. Для снятия болевого синдрома применяют масляные ингаляции, закапывания в нос, а также полоскания растворами анестезирующих веществ. При наличии язв производят их прижигание 5—20% раствором нитрата серебра. Больному назначают щадящую диету.

Прогноз благоприятный, местный процесс затихает в течение 1 месяцев.

Профилактика сводится к предупреждению и своевременному лечению различных форм туберкулёза лёгких.

Туберкулёз трахеи и бронхов развивается вторично при активном туберкулёзном процессе в лёгких и внутригрудных лимфатических, узлах. У детей наиболее часто специфическое поражение бронхов выявляется при первичном туберкулёзе. Благодаря широким профилактическим мероприятиям и эффективному лечению туберкулёза лёгких частота специфического поражения трахеи и бронхов заметно снизилась. Значительно уменьшилась частота поражений бронхов и при всех формах вторичного туберкулёза лёгких. В настоящий, время фиброзно-кавернозный туберкулёз лёгких осложняется специфическими поражениями крупных бронхов в 13—20% случаев, кавернозный туберкулёз — в 8—10% случаев, диссеминированный — в 9— 12%, инфильтративный — в 4— 12%, очаговый — в 4—6% случаев. Активный туберкулёз бронхов у вакцинированных детей и подростков, по данным М. И. Бугаевой (1974), развивается в 2,4 раза реже, чем у невакцинированных.

Пути заражения при туберкулёзе трахеи и бронхов различны и определяются главным образом характером и активностью основного процесса. Чаще происходит их инфицирование содержимым каверны или очага деструкции. При спутогенном пути распространения возбудитель туберкулёза проникает через крипты слизистых желёз в подслизистый слой стенки трахеи или бронха и вызывает специфическое воспаление. Контактный путь передачи характеризуется инфицированием трахеи и бронхов в связи с распространением специфического туберкулёзного процесса из основного очага (лимф, узла, каверны). Чаще это наблюдается при первичном туберкулёзе с поражением внутригрудных лимфатических, узлов. А. И. Абрикосов (1904) впервые обратил внимание на поражение бронхов у больных туберкулёзом внутригрудных лимфатических, узлов за счёт распространения туберкулёзной грануляционной ткани в стенку бронхов из поражённых внутригрудных лимфатических, узлов. Вероятен также лимфогенный путь инфицирования трахеи и бронхов, который встречается как при первичном, так и при вторичном туберкулёзе. Гематогенное инфицирование трахеи и бронхов у больных туберкулёзом долгое время оспаривалось. Хуцли (A. Huzly) в 1962 год установил его возможность, а М. В. Шестерина (1976) экспериментально доказала гематогенное специфическое поражение трахеи и бронхов.

Патологоанатомическая картина туберкулёза бронхов характеризуется преимущественно продуктивной воспалительной реакцией. Инфильтраты, как правило, ограниченные, плотноватые, плоские, бледно-розового цвета; в случае преобладания экссудативной реакции они отёчны, более крупные, красного цвета (цветной рисунок 20). Язвенное поражение трахеи и бронхов при широком использовании противотуберкулёзных средств наблюдается примерно у 9—10% больных активным туберкулёзом лёгких. При язвенном поражении нередко образуются лимфобронхиальные свищи (цветной рисунок 21) как результат перехода специфического процесса с лимфатических, узла на стенку бронха. Язвы чаще единичные, небольшие, иногда кратерообразные. При первичном туберкулёзе язвенное поражение бронхов преобладает над инфильтративным. При этом язвы или лимфобронхиальные свищи представляют собой микроперфорации; у большинства больных отмечается продуктивное воспаление.



Информация об Ordo Deus Перейти в оглавление сайта

Туберкулёз органов дыхания (туберкулёз верхних дыхательных путей, трахеи, бронхов).
Рис. 20—22. Эндоскопическая картина поражения бронхов при туберкулёзе.
Рис. 20. Инфильтративный туберкулёз бронха (стрелками указан инфильтрат).
Рис. 21. Язвенный туберкулёз сформированием лимфобронхиального свища, выделяющиеся из свища казеозные массы указаны стрелкой.
Рис. 22. Рубцовый стеноз бронха: разрастание фиброзной ткани, резко суживающее просвет бронха (указан стрелкой).



Клинические, картина туберкулёза бронхов в большинстве случаев развивается постепенно. Часто туберкулёз бронхов протекает бессимптомно. Симптоматика зависит от реактивности организма, фазы процесса, клинические, формы и особенностей течения туберкулёза лёгких. Наиболее характерными симптомами туберкулёза бронхов являются кашель, иногда с болью в груди, выраженная одышка, ателектаз части или всего лёгкого, наличие блокированных, раздутых каверн. Однако эти симптомы могут отсутствовать даже при язвенном туберкулёзе бронхов. У детей возможны острые формы специфического процесса, обусловленные прорывом в бронхи казеозных масс из лимфатических, узлов. Клинические, картина при этом может напоминать симптомокомплекс, развивающийся при попадании в бронх инородных тел (смотри полный свод знаний). При туберкулёзе бронхов у детей обнаруживаются ателектазы сегментов или доли лёгкого, свидетельствующие о нарушении бронхиальной проходимости. После клинические, излечения туберкулёза бронхов часто наблюдаются остаточные изменения: рубчики, рубцы, деформации, стенозы и другие (цветной рисунок 22). Характер и степень остаточных изменений зависят от своевременной диагностики бронхиального поражения, продолжительности направленной терапии и выраженности туберкулёзного бронхолёгочного процесса.



Информация об Ordo Deus Перейти в оглавление сайта

Рис. 16.
Бронхограмма при концентрическом стенозе левого главного бронха: стрелкой указан участок стеноза.



Л. К. Богуш с соавторами (1967) различают концентрический рубцовый стеноз (рисунок 16), пристеночный стеноз с поражением одной стенки бронха и стеноз бронха вследствие полной атрофии стенок (так называемый атрофичный бронх).

Иногда, при реактивации туберкулёза внутригрудных лимфатических, узлов, в просвете крупного (главного или долевого) и более мелкого (сегментарного или субсегментарного) бронха образуется бронхолит, представляющий собой секвестр кальцинированной части лимфатических, узла или кальцинированные казеозные массы, проникшие в бронх через бронхиальный свищ. Различают эндобронхиальный бронхолит, при котором кальцинат находится полностью в просвете бронха, трансмуральный бронхолит, характеризующийся частичным выходом кальцината в просвет бронха, и интрамуральный бронхолит, при котором кальцинат находится в толще стенки бронха. Клинические, картина при образовании бронхолита характеризуется разнообразной симптоматикой и может напоминать бронхит, пневмонию, опухоль и другие (смотри полный свод знаний: Бронхолитиаз).

Диагноз туберкулёза трахеи и бронхов устанавливают при бронхоскопии (смотри полный свод знаний) с биопсией и бактериологические исследованием полученного материала. При рентгенологическое исследовании следует учитывать прямые и косвенные признаки поражения. Прямыми признаками поражения трахеи, главных и долевых бронхов являются их деформация и сужение вплоть до полного закрытия просветов, локальные утолщения стенок; в области прилегания к стенке бронхов уплотнённых лимфатических, узлов, иногда с кальцинатами, отмечается выбухание стенок бронхов. К косвенным признакам относятся различные вентиляционные нарушения: ателектаз, гиповентиляция, различные по объёму участки эмфиземы.

Дифференциальный диагноз проводят прежде всего с острым и хронический неспецифическим эндобронхитом. Основным критерием при этом служит распространённость поражения слизистой оболочки: ограниченное— при туберкулёзе и диффузное, двустороннее,— при неспецифическом процессе. Туберкулёз бронхов дифференцируют с доброкачественными опухолями (смотри полный свод знаний: Бронхи), бронхогенным раком, исходящим из эпителия крупных бронхов в начальной стадии его развития, с саркоидозом (смотри полный свод знаний) органов дыхания, который, по данным ряда исследователей, в 12% случаев сопровождается появлением в слизистой оболочке крупных бронхов пролиферативных изменений в виде бляшек и бугорков, сходных с туберкулёзными, а в ряде случаев — с лимфогранулематозом (смотри полный свод знаний), сифилисом (смотри полный свод знаний), ксантоматозом (смотри полный свод знаний).

Лечение туберкулёза трахеи и бронхов комплексное с учётом переносимости больным лекарственных препаратов, а также устойчивости к ним микобактерий туберкулёза. Специфическое поражение трахеи и бронхов свидетельствует об осложнённом течении лёгочного процесса. Поэтому возникает необходимость усиления терапевтического воздействия на организм в целом. При этом сроки лечения удлиняются в зависимости от формы основного процесса. Используют комбинации различных противотуберкулёзных средств (не менее 3—4) в сочетании с патогенетическими. Один из препаратов вводят эндобронхиально шприцем или в виде аэрозоля с учётом индивидуальной переносимости того или иного способа введения. При распространённом поражении слизистой оболочки бронхов показана аэрозольная терапия, при локализованном процессе — эндобронхиальное введение лекарственных средств. Противопоказанием к местной терапии является склонность больного к аллергическим реакциям, а также возникающие после процедуры бронхоспазм и сильный непрекращающийся кашель.

Для ингаляции лекарственных средств используют отечественные ингаляторы АИ-1, ПАИ-2 и другие, а также ультразвуковые аэрозольные аппараты УЗИ-3, выпускаемые в ГДР, и другие Ингаляции лекарственных средств следует проводить 1—2 раза в сутки, продолжительность процедуры не превышает 15—20 минут Срок лечения устанавливают индивидуально с учётом динамики процесса; в среднем оно продолжается от 2 до 6 месяцев Перед проведением ингаляций противотуберкулёзных средств в течение 5—7 дней назначают смесь средств, обладающих антиспастическим действием. В качестве аэрозолей используют стрептомицин, стрептосалюзид, тубазид, канамицин, солютизон, флоримицина сульфат и другие При лечении туберкулёза бронхов, осложнённого лимфобронхиальными свищами, необходимо проводить бронхоскопическую санацию с удалением слизи, казеозных масс, иногда грануляционной ткани. Использование в лечении рифампицина и этамбутола даёт возможность значительно увеличить (с 2 недель до l½ — 2 месяцев) интервалы между лечебный бронхоскопиями. В лечении туберкулёза бронхов используют также кортикостероиды (по 20— 25 миллиграмм гидрокортизона в течение 20 дней) с целью уменьшения инфильтрации, отёка и гиперемии слизистой оболочки. При присоединении неспецифических осложнений в комплекс лечебный мероприятий включают сульфаниламиды и антибиотики широкого спектра действия. При рубцовых стенозах II и III степени крупных (главных, долевых) бронхов показано оперативное лечение: пластика бронха (при условии сохранения части или всего лёгкого), резекция части лёгкого или пульмонэктомия (при наличии деструктивных специфических и неспецифических изменений в лёгком).

Прогноз благоприятный. В подавляющем большинстве случаев наступает излечение. При ограниченных формах туберкулёза лёгких клинические, излечение туберкулёза бронхов, сопровождающееся минимальными остаточными изменениями, может быть достигнуто во всех случаях.

Профилактика заключается в предупреждении и своевременном рациональном лечении туберкулёза лёгких.

Туберкулёз органов дыхания, комбинированный с пылевыми профессиональными заболеваниями лёгких

Туберкулёз органов дыхания может сочетаться с пылевыми профессиональными заболеваниями лёгких — пневмокониозами (смотри полный свод знаний), чаще с наиболее распространённым из них — силикозом (смотри полный свод знаний). Заболеваемость туберкулёзом лиц, подвергающихся воздействию пыли, содержащей свободную двуокись кремния, выше, чем у остального населения. Особенно часто туберкулёз отмечается при узелковой и узловой формах силикоза, а также у больных с тяжёлым течением этого заболевания.

Различают силикоз с последующим присоединением туберкулёза, туберкулёз с присоединением силикоза, а также силикотуберкулёз, при котором установить характер первичного поражения не представляется возможным. Хотя туберкулёзные изменения чаще локализуются в верхних отделах лёгких, а силикотические — в средних и нижних, такое разграничение далеко не всегда чётко выражено.

Патогенез силикотуберкулёза полностью не выяснен. Как правило, туберкулёз при силикозе является вторичным. Источником туберкулёзного процесса служат старые очаги, локализованные в верхушечных и кортикальных отделах лёгкого или в лимфатических, узлах корня лёгкого. Распространение процесса происходит лимфогенным и бронхогенным, реже гематогенным путём. Предполагают, что своеобразие распространения туберкулёзного процесса при силикозе заключается в избирательном поражении лимфатических, системы.

Силикотуберкулёзные очаги имеют своеобразное строение. Их периферия представляет собой пояс гиалинизированной бедной клетками соединительной ткани, а центр — участок некроза. В очагах обнаруживают частицы двуокиси кремния, а иногда — туберкулёзные микобактерии. Туберкулёзный процесс при силикозе характеризуется сочетанием некроза с выраженным фиброзом, развитием вокруг очагов некроза рубцовой ткани. Прогрессирование силикотуберкулёза ведёт к образованию в лёгких крупных полостей распада с плотными фиброзными стенками. Обычно в процесс вовлекаются и внутригрудные лимфатических, узлы, в которых на фоне силикоза и резкого фиброза определяются туберкулёзные очаги и гранулемы.

Благодаря значительным компенсаторным возможностям организма силикотуберкулёз длительное время клинически не проявляется. По истечении определённого периода повышается температура тела, появляется кашель, отмечается похудание. По мере прогрессирования заболевания симптоматика становится многообразнее; она зависит от степени патоморфологические изменений, реактивности организма, наличия сопутствующих заболеваний. Ухудшается общее состояние, усиливается интоксикация, нарушается функция дыхания и кровообращения. Однако при силикотуберкулёзе интоксикация менее выражена, чем при аналогичных формах туберкулёза лёгких, не сочетающихся с силикозом, а бактериовыделение даже при далеко зашедшем туберкулёзном процессе отсутствует. В очень редких случаях при гематогенном распространении процесса силикотуберкулёз может осложниться туберкулёзным менингитом, туберкулёзом кишечника, гортани, трахеи.

Общепринятой классификации силикотуберкулёза нет. В практике используют классификацию силикоза и туберкулёза. При относительно слабом развитии силикотического фиброза форму туберкулёзного процесса нетрудно установить рентгенологически. Чаще всего при силикотуберкулёзе встречается очаговая форма туберкулёза; поражение нередко двустороннее с полиморфными очагами до 1,5 сантиметров в диаметре, локализующимися, как правило, в подключичных зонах и верхних отделах лёгких. Диагноз очагового туберкулёза на фоне выраженного силикоза сложен, так как туберкулёзные очаги трудно отличить от слившихся силикотических узелков. Инфильтративный туберкулёз при силикозе может быть представлен лобулярным, округлым инфильтратом, перисциссуритом, лобитом, редко казеозной пневмонией с преимущественной локализацией во 2-м, 3-м и 4-м сегментах лёгких. Рассасывания инфильтрата почти не наблюдается, чаще всего происходит его уплотнение и превращение в крупные фиброзные узлы, называемые силикотуберкулемами. При диссеминированном туберкулёзе в сочетании с силикозом туберкулёзные очаги полиморфны, располагаются преимущественно в верхних отделах лёгких. При хронический диссеминированном туберкулёзе определяются очаги различной плотности, плевральные изменения, иногда признаки цирроза лёгких. При фиброзно-кавернозном силикотуберкулёзе с обеих или с одной стороны на фоне несимметрично расположенных массивных участков фиброза определяются крупные каверны неправильной, часто бобовидной формы, нередко с уровнем жидкости. В отдалённых участках лёгких на фоне силикотического фиброза и эмфиземы выявляются очаги бронхогенной диссеминации. При всех формах силикотуберкулёза наблюдаются изменения корней лёгких, обусловленные увеличением, уплотнением, иногда кальцинозом лимфатических, узлов, фиброзом лёгких и явлениями гипертензии в малом круге кровообращения. Классификация туберкулёза в ряде случаев оказывается несостоятельной в связи со своеобразием течения туберкулёза при силикозе. Поэтому предложена клинико-рентгенологическое классификация, в которой выделены четыре основных группы атипичных форм силикотуберкулёза: 1) силикотуберкулёзный бронхаденит с преимущественной локализацией туберкулёзного процесса во внутригрудных лимфатических, узлах, характеризующийся расширением и уплотнением корневых теней, полицикличностью их очертаний; в ряде случаев кальцинозом по типу яичной скорлупы; 2) мелкоузелковая форма силикотуберкулёза с образованием отдельных затемнений диаметром до 3 сантиметров, в которых невозможно дифференцировать элементы туберкулёзного и силикотического процесса; 3) крупноузелковый силикотуберкулёз с единичными или множественными затемнениями диаметром от 3 до 8 сантиметров округлой формы — силикотуберкулемами; 4) массивный силикотуберкулёз соответствующий рентгенологически III стадии силикоза, при котором клинические, форму туберкулёзного процесса уточнить невозможно.

В дифференциальной диагностике слившихся силикотических узелков с туберкулёзными очагами важное значение имеет томография (смотри полный свод знаний), с помощью которой удаётся выявить полости распада, невидимые на обзорных снимках.

Существенную роль для установления диагноза силикотуберкулёза играет бронхоскопия (смотри полный свод знаний), позволяющая установить специфичные для туберкулёза изменения в бронхах, лимфобронхиальные свищи. Наиболее достоверным признаком специфического процесса является обнаружение микобактерий туберкулёза и наличие сформированной каверны. При силикотуберкулёзе наблюдаются изменения в крови: ускоренная РОЭ, сдвиг формулы влево, лимфопения, моноцитоз. Определённое диагностическое значение имеет положительный эффект лечения противотуберкулёзными средствами. В сложных для диагностики случаях производят биопсию глубоких шейных лимфатических, узлов (метод Даниэлса) и медиастиноскопию (смотри полный свод знаний).

Другие пневмокониозы реже сочетаются с туберкулёзом. Встречаются такие виды кониотуберкулёза, как антрако-туберкулёз, сидеро-силикотуберкулёз, сочетание туберкулёза с пневмокониозом сварщиков, сидерозом (смотри полный свод знаний), асбестозом (смотри полный свод знаний: Силикатозы), редко с бериллиозом (смотри полный свод знаний: Бериллий).

Проявления кониотуберкулёза отличаются большим многообразием; течение его относительно доброкачественное.

Диагностика туберкулёза на фоне этих пневмокониозов сложна. Наряду с клиническими и лабораторными данными в распознавании туберкулёзных изменений при пневмокониозах важную роль играет рентгенологическое метод исследования. Однако и его диагностические возможности ограничены и диагноз туберкулёза можно установить с помощью этого метода лишь при наличии теней туберкулёзных изменений и признаков воспалительного процесса в поражённых отделах лёгкого.

Лечение больных силико-туберкулёзом и другими видами кониотуберкулёза проводится по тем же принципам, что и лечение больных туберкулёзом. Оно основано на длительном применении комбинации противотуберкулёзных средств (от 10—12 до 18 месяцев и более). Продолжительность лечения определяется давностью и выраженностью туберкулёзного процесса и эффективностью препаратов. У больных со свежими инфильтративными формами силикотуберкулёза и другими видами кониотуберкулёза благоприятное действие оказывают глюкокортикоиды в сочетании с антибактериальными средствами. Однако результаты химиотерапии при силикотуберкулёзе хуже, чем при соответствующих формах туберкулёза, не сочетающегося с силикозом, и зависят не только от формы туберкулёза, но и от тяжести силикоза.

Оперативные вмешательства при силикотуберкулёзе применяются редко. Показания к ним определяются степенью развития фиброза, состоянием функции дыхания и кровообращения, распространённостью туберкулёзных изменений.

Прогноз зависит от распространённости процесса, а также от проведения профилактических и лечебных мероприятий. Большое значение придают химиопрофилактике у больных пневмокониозом и, в первую очередь, силикозом, особенно предрасположенных к заболеванию туберкулёзом. Ежедневно назначают однократно суточную дозу изониазида непрерывно в течение 3—4 месяцев в году (в осенне-зимнее время) в течение 3 лет подряд. Химиопрофилактика должна осуществляться в комплексе с санитарно-гигиенических и медицинский мероприятиями по борьбе с туберкулёзом (смотри полный свод знаний) и пневмокониозом (смотри полный свод знаний) на данном производстве.

Особенности туберкулёза органов дыхания при его сочетании с другими заболеваниями

Одна из основных черт патоморфоза туберкулёза лёгких в современных условиях — повышение частоты сочетания его с различными заболеваниями.

Сочетание туберкулёза и рака лёгкого имеет тенденцию к росту в связи б повышением заболеваемости населения раком лёгких и продлением жизни больных туберкулёзом. Частота бронхогенного рака у больных туберкулёзом лёгких, по данным Д. Д. Яблокова и А. И. Галибиной (1976), составляет в среднем 0,4%, а частота туберкулёза у больных раком лёгкого — около 9,5%. Сочетание этих заболеваний встречается преимущественно у мужчин старше 50 лет. По наблюдениям разных исследователей, рак лёгкого чаще встречается на фоне неактивных остаточных очагово-склеротических изменений, а также при хронический фиброзно-кавернозном pi цирротическом туберкулёзе. Патоморфологические субстратом, способствующим развитию опухолевого процесса, являются хронические воспалительные и дистрофические изменения в паренхиме лёгкого различной, в том числе туберкулёзной, природы; метаплазия (смотри полный свод знаний) цилиндрического эпителия бронхов в многослойный плоский; очаги в лёгких и во внутригрудных лимфатических, узлах с кальцинатами и кристаллами холестерина; фиброзные стенки старых каверн и рубцы на слизистой оболочке бронхов. В зоне таких рубцов может возникать так называемый рубцовый рак, в частности верхушечный рак типа Панкоста (смотри полный свод знаний: Легкие, опухоли). При прогрессировании опухолевого процесса туберкулёз также может приобретать прогрессирующий характер. Туберкулёз не влияет существенно на течение бронхогенного рака лёгкого, но последний может способствовать обострению туберкулёза лёгких вследствие понижения сопротивляемости организма, интоксикации или вовлечения в зону роста опухоли старых туберкулёзных очагов.

Клинические, картина такого комбинированного поражения лёгких разнообразна в зависимости от стадии и формы рака и туберкулёза. Отмечается усиление сухого кашля, одышки, болей в груди, появление упорного кровохарканья, лихорадки неправильного типа, резкое похудание, быстрое изменение аускультативной картины.

Своевременное распознавание рака лёгкого при сочетании его с туберкулёзом связано с большими трудностями ввиду сходной симптоматики этих заболеваний. Кроме того, рак и туберкулёз нередко протекают под масками хронический неспецифических заболеваний лёгких. Наиболее часто приходится дифференцировать периферический рак лёгкого с туберкулемой. Исключительно труден дифференциальный диагноз пневмониеподобной формы рака лёгкого и инфильтративного туберкулёза, мил парного карциноматоза и диссеминированного туберкулёза, полостной формы рака лёгкого и кавернозного туберкулёза или абсцесса лёгкого, верхушечного рака Панкоста и инфильтративного туберкулёза. Только с помощью комплексного обследования больного, включая клинико-рентгенологические, инструментальные, лабораторные, иммунологический методы исследования, удаётся своевременно поставить диагноз.

Наибольшее диагностическое значение имеют обнаружение опухолевых клеток в мокроте, выраженные патологический сдвиги в биохимический показателях (повышение уровня фибриногена крови и другие), повторяющееся кровохарканье, а также данные рентгенологическое и бронхологического исследования. Выделяют 4 основных типа рентгенологическое изменений при сочетанном поражении лёгких туберкулёзом и раком: 1) появление в зоне стационарных или регрессирующих туберкулёзных изменений новой одиночной изолированной крупноочаговой тени или фокуса неправильной округлой формы с волнистыми контурами и однородной структурой; 2) возникновение на фоне активных туберкулёзных изменений или вне их новой тени, подобной описанной выше, которая, несмотря на проведение специфической химиотерапии, увеличивается в размерах при регрессии туберкулёзных изменений; 3) появление на фоне остаточных изменений или активного туберкулёза признаков гиповентиляции, эмфиземы, пневмонита, ателектаза сегмента, доли или всего лёгкого; нарастающих перибронхиальных, интерстициальных или расположенных по ходу междолевой плевры уплотнений, исходящих из корня лёгкого; одностороннего увеличения и уплотнения корня лёгкого за счёт внутригрудных лимфатических, узлов; 4) возникновение асимметричного утолщения стенки старой туберкулёзной каверны с полипообразными бугристыми разрастаниями в просвете или вокруг неё при отсутствии перифокального воспаления и очагов бронхогенной диссеминации.

Возможности современной торакальной хирургии, химиотерапии и лучевой терапии изменили прогноз при бронхогенном раке, сочетающемся с туберкулёзом лёгких. В случаях раннего распознавания сочетанной патологии решается вопрос об оперативном лечении. При оперативном вмешательстве в дои послеоперационном периоде, а также при лечении цитостатическими средствами и ионизирующим излучением для предупреждения реактивации туберкулёза проводят длительную туберкулостатическую терапию.

Туберкулёз органов дыхания выявляется у больных сахарным диабетом в 3—5 раз чаще, чем среди остального населения. Лица с тяжёлой формой сахарного диабета (смотри полный свод знаний: Диабет сахарный) заболевают туберкулёзом чаще, чем с лёгкой. Более выражен риск заболевания туберкулёзом у мужчин старше 50 лет, больных сахарным диабетом. При сочетании этих заболеваний преобладают инфильтративная и фиброзно-кавернозная формы туберкулёза, прогрессирующие туберкулемы с преимущественной локализацией процесса в нижних долях лёгких. Более частому развитию туберкулёза у больных сахарным диабетом способствуют усиленный распад белков, пониженное содержание гликогена в печени и её жировая инфильтрация, выраженный ацидоз, нарушение липидного обмена, дисфункция симпато-адреналовой и гипофизарно-надпочечниковой систем, обезвоживание и истощение организма. Особенностью комбинированной патологии является, как правило, малосимптомное начало туберкулёза.

Течение последнего определяется тяжестью сахарного диабета. Так, при тяжёлой форме сахарного диабета в туберкулёзном воспалении преобладает экссудативно-некротическая реакция, процессы заживления и фиброзирования выражены слабо. В то же время при компенсированном сахарном диабете и эффективном комплексном лечении туберкулёза наблюдаются регрессия специфического воспаления и заживление деструктивных изменений.

Клинические, картина туберкулёза лёгких и сахарного диабета при их сочетании зависит от тяжести обменных нарушений и процесса в лёгких, возраста больных и от последовательности развития заболеваний. Присоединившийся к туберкулёзу сахарный диабет обычно утяжеляет его течение.

Для выявления скрытых нарушений углеводного обмена у больных туберкулёзом пользуются пробой толерантности к глюкозе (смотри полный свод знаний: Диабет сахарный). Её применяют при обследовании лиц, излеченных от туберкулёза и имеющих большие остаточные изменения в лёгких, больных хронический формами туберкулёза, с лекарственной непереносимостью, симптомами сахарного диабета и отягощённой им наследственностью. Больных с впервые диагностированным туберкулёзом также необходимо обследовать с помощью теста толерантности к глюкозе, так как скрытый сахарный диабет нередко провоцирует туберкулёз, а последний способствует переходу латентного сахарного диабета в явный.

Лечение проводят в специализированном отделении туберкулёзной больницы противотуберкулёзными (смотри полный свод знаний: Противотуберкулёзные средства), патогенетическими и противодиабетическими средствами (диета, инсулин и другие). Противотуберкулёзные препараты следует назначать с осторожностью ввиду частого возникновения у больных сахарным диабетом побочных реакций. Частота побочных реакций повышается при прогрессировании диабетической микроангиопатии и туберкулёза. Этионамид, вызывающий диспептические явления, понижающий аппетит и нарушающий всасываемость в кишечнике, на фоне инсулинотерапии может способствовать гипогликемии, поэтому его заменяют лучше переносимым больными протионамидом. Этамбутол противопоказан при диабетической ретинопатии (смотри полный свод знаний), в этом случае предпочтение отдают фтивазиду и метазиду (а не изониазиду, оказывающему выраженное симпатикотропное действие). Процессы заживления у больных сахарным диабетом протекают медленнее, поэтому длительность противотуберкулёзной терапии при сочетанной патологии должна вдвое превышать таковую при тех же формах туберкулёза, не осложнённых сахарным диабетом. Для профилактики побочного действия лекарственных средств и нормализации обменных нарушений следует применять патогенетические средства, улучшающие микроциркуляцию и повышающие иммунологический реактивность. Необходимо ликвидировать кетоз, подавляющий иммунитет и снижающий активность противотуберкулёзных средств. Больным с трудно компенсируемым и осложнённым сахарным диабетом при плохой переносимости противотуберкулёзных препаратов, у которых имеется каверна и сохраняется бактериовыделение, показан краткосрочный (длительностью до 1 года) искусственный пневмоторакс (смотри полный свод знаний). По показаниям в период стабилизации обоих заболеваний проводят оперативное лечение.

Прогноз при сахарном диабете, сочетающемся с туберкулёзом лёгких, в настоящий, время благоприятный. Больных удаётся излечить от туберкулёза и возвратить им трудоспособность при условии своевременной диагностики туберкулёза и рационального лечения сахарного диабета.

Больные сахарным диабетом являются группой повышенного риска заболевания туберкулёзом, поэтому профилактика туберкулёза (смотри полный свод знаний) в этой группе должна осуществляться путём систематических рентгенофлюорографических осмотров, изоляции от бактериовыделителей, ревакцинации БЦЖ неинфицированных, химиопрофилактики инфицированных и лиц с большими остаточными посттуберкулёзными изменениями в лёгких, лечения сахарного диабета (смотри полный свод знаний: Диабет сахарный). При ухудшении течения последнего, снижении эффективности инсулинотерапии, возникновении симптомов, подозрительных на туберкулёз, необходимо детальное клинико-рентгенологическое обследование больного.

Язвенная болезнь желудка и двенадцатиперстной кишки (смотри полный свод знаний: Язвенная болезнь), по данным Д. Д. Яблокова и А. И. Галибиной (1976), выявляется у больных туберкулёзом лёгких в 2,6—6,3% случаев, что превышает заболеваемость остального населения. Частота туберкулёза лёгких у лиц, перенёсших гастрэктомию (смотри полный свод знаний), выше, чем среди кооперированных. Данная сочетанная патология преобладает у мужчин в возрасте 30—50 лет. Язвенная болезнь в большинстве случаев предшествует туберкулёзу. Чаще она сочетается с фиброзно-кавернозной и инфильтративной его формами. Обострение туберкулёза у больных язвенной болезнью, особенно после резекции желудка, может быть связано со снижением сопротивляемости организма под влиянием нервно-вегетативных и диспептических расстройств и другие

Клинические, картина при сочетании этих заболеваний определяется последовательностью их развития. Язвенная болезнь, возникающая на фоне туберкулёза, протекает с незначительными клинические, проявлениями; туберкулёз же при этом чаще имеет прогрессирующий характер. Более благоприятно протекает туберкулёз, присоединившийся к язвенной болезни. При комбинированной патологии наблюдаются симптомы обоих заболеваний. Однако слабость, пониженный аппетит, похудание, вегетативные и обменные нарушения, вовлечение в патологический процесс других органов желудочно-кишечные тракта отмечаются чаще, а изжога, тошнота и рвота — реже, чем при язвенной болезни, не сочетающейся с туберкулёзом. При локализации язвы в двенадцатиперстной кишке у больных туберкулёзом повышенная кислотность определяется чаще, но уровень её ниже, чем у лиц только с язвенной болезнью. Распознавание язвенной болезни у больных туберкулёзом затруднено в связи со скудностью её симптоматики, а также потому, что диспептические расстройства нередко расцениваются как проявления побочного действия противотуберкулёзных средств. Поэтому при появлении у больных туберкулёзом диспептических нарушений необходимо тщательное исследование желудочно-кишечные тракта.

Лечение туберкулёза лёгких у больных язвенной болезнью в стадии обострения осложняется плохой переносимостью лекарственных средств, появлением диспептических расстройств, болей в животе и другие В этих случаях предпочитают отказаться от их назначения внутрь и вводить внутривенно, капельно, внутримышечно, ректально и интратрахеально. По мере затихания обострения язвенной болезни возможно применение ряда препаратов внутрь на фоне противоязвенной терапии. Больные с сопутствующей язвенной болезнью в стадии ремиссии хорошо переносят, особенно при прерывистом лечении, этамбутол, изониазид, циклосерин, хуже — рифампицин и протионамид. Исключается пероральный приём этионамида, ПАСК, тиоацетазона, пиразинамида. Оперативное лечение обоих заболеваний проводят в период ремиссии. Лиц с язвенной болезнью, особенно перенёсших гастрэктомию, относят к группе повышенного риска заболевания туберкулёзом. При обострении какого-либо из двух заболеваний необходима госпитализация больных в специализированное отделение туберкулёзной больницы. Больные с комбинированной патологией должны длительное время находиться под диспансерным наблюдением; в этой группе больных проводят комплекс лечебный-профилактические мероприятий, включая курсы противорецидивной терапии язвенной болезни. Прогноз зависит от тяжести каждого из заболеваний.

В последние годы отмечается учащение сочетания туберкулёза лёгких с неспецифическими заболеваниями органов дыхания (эмфиземой, хронический бронхитом, бронхоэктазами, острыми и хронический пневмониями). Это связано с ростом числа лиц, излеченных от туберкулёза, но имеющих выраженные остаточные изменения в лёгких, а также с увеличением среди данного контингента людей пожилого возраста. Основой для развития неспецифических заболеваний при туберкулёзном процессе служат фиброзные изменения ткани лёгких, деформация и нарушение проходимости бронхов, нарушение вентиляции. У лиц с посттуберкулёзными изменениями неспецифические заболевания лёгких диагностируют в 2— 3 раза чаще, чем среди остального населения. Они могут развиваться как при активном туберкулёзе (чаще при фиброзно-кавернозном), так и на фоне неактивных специфических изменений. Неспецифическая инфекция нередко предшествует туберкулёзу, маскируя его проявления и утяжеляя течение. Чаще неспецифические заболевания лёгких встречаются у лиц с длительным туберкулёзным процессом, что подтверждает их метатуберкулёзный генез. Они препятствуют репаративным процессам, затрудняют лечение туберкулёза, ускоряют развитие легочно-сердечной недостаточности, что обусловливает высокую летальность в этой группе больных.

Диагноз сопутствующего неспецифического заболевания лёгких ставится на основании анамнеза, данных клинико-рентгенологического, лабораторного и бронхологического исследований, проводимых в динамике на фоне пробной терапии антибиотиками широкого спектра действия.

Лечение больных с сопутствующими туберкулёзу неспецифическими заболеваниями лёгких должно быть комплексным, направленным на подавление жизнедеятельности специфической и неспецифической микрофлоры, восстановление функции самоочищения бронхов. При комбинированной лёгочной патологии показана интенсивная антибактериальная терапия с использованием рифампицина, обладающего широким спектром действия, и других антибиотиков. Возможности оперативного лечения таких больных ограничены из-за распространённости процесса.

Прогноз определяется распространённостью процесса как туберкулёзного, так и неспецифического, а также состоянием дренажной функции бронхов, наличием бронхоэктазов. Больные неспецифическими заболеваниями лёгких составляют группу повышенного риска в отношении заболевания туберкулёзом. Поэтому необходимо раннее выявление этих заболеваний и их полноценное лечение.

Александрова А.В.; Воробьёва И.И.; Жингель И.П.; Келеберда К.Я.; Лебедева Л.В.; Мамолат А.С.; Смурова Т.Ф.; Соловьева В. А.; Уварова О.А.; Уткин В.В.; Филиппов В.П.; Хоменко А.Г.

⇐ Перейти на главную страницу сайта

⇑ Вернуться в начало страницы ⇑

Библиотека Ordo Deus ⇒

⇐ Туберкулёз внелёгочный

⇓ Полный свод знаний. Том первый А. ⇓

Туберкулёма ⇒

Все статьи в полном изложении, Вы можете найти в большой медицинской энциклопедии — Главный редактор: академик АН СССР (РАН) и АМН СССР (РАМН) Б.В. Петровский. — Москва издательство «Советская энциклопедия» 1989г.

Внимание! Вы находитесь в библиотеке «Ordo Deus». Все книги в электронном варианте, содержащиеся в библиотеке «Ordo Deus», принадлежат их законным владельцам (авторам, переводчикам, издательствам). Все книги и статьи взяты из открытых источников и размещаются здесь только для чтения.

Вся информация на сайте Ordo Deus находится в свободном доступе. Ordo Deus не предоставляет информацию на платной основе.

Все авторские права сохраняются за правообладателями. Если Вы являетесь автором данного документа и хотите дополнить его или изменить, уточнить реквизиты автора, опубликовать другие документы или возможно вы не желаете, чтобы какой-то из ваших материалов находился в библиотеке, пожалуйста, свяжитесь с нами по e-mail:
info @ ordodeus. ru
Формы для прямой связи с нами находятся в нижней части страниц: контакты и устав «Ordo Deus», для перехода на эти страницы воспользуйтесь кнопкой контакты вверху страницы или ссылкой в оглавлении сайта.

Вас категорически не устраивает перспектива безвозвратно исчезнуть из этого мира? Вы не желаете закончить свой жизненный путь в виде омерзительной гниющей органической массы пожираемой копошащимися в ней могильными червями? Вы желаете вернувшись в молодость прожить ещё одну жизнь? Начать всё заново? Исправить совершённые ошибки? Осуществить несбывшиеся мечты? Перейдите по ссылке: «главная страница».

© Ordo Deus, 2010. При копировании ссылка на сайт http://www.ordo-deus.ru обязательна.