Трофобластическая болезнь

Оглавление

  1. Дорога к бессмертию
  2. Бессмертие и религия
  3. Философия бессмертия
  4. Бессмертие и наука
  5. История анабиоза
  6. Смерть
  7. Кора головного мозга
  8. Бессмертие и анабиоз
  9. Анабиоз, медицина и биология
  10. Анабиоз и экономика
  11. Анабиоз и закон
  12. Анабиоз в Антарктиде
  13. Техническое обеспечение анабиоза
  14. Бессмертие и вера
  15. Библиотека Ordo Deus
  16. Контактная страница Ordo Deus

Трофобластическая болезнь

Трофобластическая болезнь (греческий trophe пища, питание + blastos росток, зародыш) — заболевание, обусловленное нарушениями развития и роста трофобласта.

Основными формами Трофобластическая болезнь являются синцитиальный эндометрит, пузырный занос (смотри полный свод знаний) и хорионэпителиома.

Трофобластическая болезнь является частым заболеванием женщин в странах Юго-Восточной Азии и островов Тихого океана и относительно редко встречается в европейских странах и США.

Этиология не выяснена. Существуют две основные теории возникновения Трофобластическая болезнь Согласно первой она обусловлена патологией плодного яйца. Вторая теория объясняет происхождение заболевания патологическими, в том числе гормональными, изменениями материнского организма и снижением его защитных сил. Определённое значение в этиологии Трофобластическая болезнь имеют особенности иммунного статуса половых партнеров, например, установлено, что хорионэпителиома чаще возникает в тех случаях, когда женщина имеет группу крови А (II), а мужчина 0 (I).

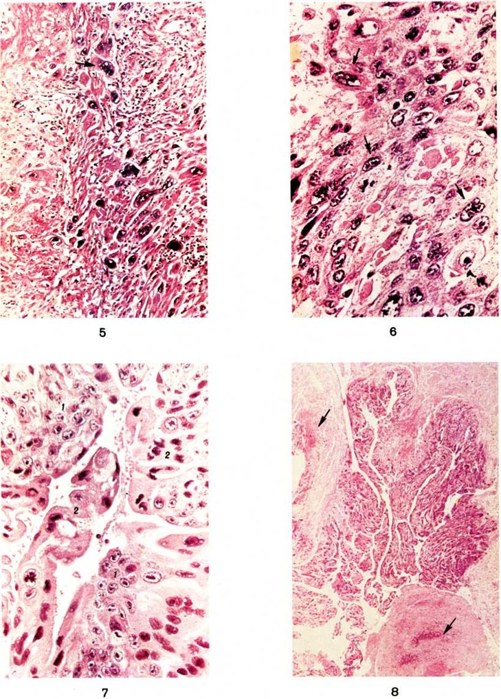
Синцитиальный эндометрит — доброкачественная форма Трофобластическая болезнь, которая встречается на ранних стадиях развития плодного яйца, а также после абортов и родов. Клинические, проявления, как правило, отсутствуют. Диагноз может быть установлен только с помощью гистологический исследования соскоба из полости матки, при котором в области плацентарной площадки (смотри полный свод знаний) обнаруживают массивную инвазию синцитиальных элементов хориона в слизистую и мышечную оболочки матки с перифокальной воспалительной инфильтрацией (цветной рисунок 5). Дифференциальный диагноз проводят с хорионэпителиомой матки: при синцитиальном эндометрите отсутствуют признаки анаплазии клеток, не выявляются очаги некроза и кровоизлияния в окружающих тканях. Лечение ограничивается выскабливанием слизистой оболочки матки (смотри полный свод знаний: Выскабливание). Прогноз благоприятный.

Хорионэпителиома (синонимы: хориокарцинома, chorionepithelioma malignum, blastoma deciduochoriocellulare, deciduoma, carcinoma serotinale) — злокачественная опухоль, развивающаяся из клеток трофобласта (смотри полный свод знаний). Возникновение хорионэпителиомы, как правило, связано с нормальной или патологический беременностью. В большинстве случаев (50%) ей предшествует пузырный занос, в 25% — нормальные роды и в 25% — аборт или внематочная беременность. Хорионэпителиома развивается главным образом у повторнородящих женщин, чаще в возрасте 20—35 лет. В редких случаях хорионэпителиома возникает в тератоме (смотри полный свод знаний) яичника у девочек и в яичке у мужчин.

Чаще хорионэпителиома локализуется в теле матки, реже в области патологической имплантации плодного яйца в фаллопиевой (маточной) трубе, яичнике или в брюшной полости (эктопическая хорионэпителиома). Макроскопически опухоль имеет вид губчатого мягкого узла синевато-багрового цвета. При экзофитном росте опухоль выступает в полость матки (рисунок 1), при эндофитном — внедряется в толщу миометрия вплоть до серозной оболочки матки. В редких случаях опухоль расположена в толще стенки матки (интрамурально) или имеет вид множественных очагов в теле и одновременно в шейке матки.

Микроскопически ткань опухоли сходна с синцитиотрофобластом и цитотрофобластом (смотри полный свод знаний: Трофобласт), состоит из клеток Лангханса (полигональной формы со светлой цитоплазмой, содержащей гликоген, и пузырьковидными ядрами, нередко с фигурами митозов) и синцитиальных элементов (цветной рисунок 6 и 7). Соотношение компонентов опухоли может быть различным: типичная форма характеризуется наличием обоих типов клеток в равных соотношениях, при атипичной форме хорионэпителиомы преобладают клетки Лангханса или синцитиальные элементы. Хорионэпителиома не содержит ворсинок хориона, в ней отсутствуют строма и собственные кровеносные сосуды; инвазия клеток опухоли в окружающие ткани не сопровождается какой-либо клеточной или сосудистой реакцией. В ткани опухоли и по её периферии встречаются обширные участки некроза и поля кровоизлияний (цветной рисунок 8).

Метастазирование (смотри полный свод знаний) преимущественно гематогенное — в лёгкие, влагалище, печень, головной мозг, реже в кишечник, почки, селезёнку.

Больные отмечают появление из половых путей кровянистых выделений (вначале умеренных, затем усиливающихся) после бывшей беременности и особенно часто, если в анамнезе был пузырный занос. Эти выделения обусловлены разрушением кровеносных сосудов в области опухоли или её метастазов во влагалище. При расположении хорионэпителиомы в толще стенки матки, фаллопиевой трубе и разрушении серозного покрова может возникнуть обильное внутрибрюшное кровотечение (смотри полный свод знаний). Кровотечение в брюшную полость может возникнуть также из метастатических узлов в печени и кишечнике. При хорионэпителиоме фаллопиевой трубы отмечаются сильные схваткообразные боли в нижней части живота, что напоминает клинические, картину внематочной беременности (смотри полный свод знаний). В результате кровотечений и интоксикации развивается быстро прогрессирующая анемия (смотри полный свод знаний), в связи с некрозом и инфицированием узлов хорионэпителиомы может наблюдаться лихорадочное состояние. В ряде случаев отмечается увеличение молочных желёз, пигментация околососковых ареол (околососковый кружок молочной железы) и выделение молозива.

При развитии метастазов появляются симптомы, обусловленные их локализацией. Так, при метастатическом поражении лёгких появляются кашель с мокротой и боли в грудной клетке; головного мозга — головные боли, рвота, гемиплегия и другие неврологический симптомы; органов желудочно-кишечные тракта — тошнота, рвота, боли в животе, желудочно-кишечные кровотечения.



Информация об Ordo Deus Перейти в оглавление сайта

Рис. 1.
Макропрепарат матки при хорионэпителиоме (полость матки вскрыта): полость матки заполнена экзофитным темного цвета опухолевым образованием.





Информация об Ordo Deus Перейти в оглавление сайта

Рис. 2.
Рентгенограмма грудной клетки при метастазах хорионэпителиомы в лёгкие (прямая проекция): видны множественные круглые тени метастазов.





Информация об Ordo Deus Перейти в оглавление сайта

Рис. 5. Микропрепарат миометрия при синцитиальном эндометрите: массивная инвазия клеток синцитиотрофобласта (указаны стрелками) в миометрий; окраска гематоксилин-эозином; ×400.
Рис. 6 — 8. Микропрепараты хорионэпителиомы матки.
Рис. 6. Хорионэпителиома матки, состоящая преимущественно из клеток типа Лангханса (указаны стрелками); окраска гематоксилин-эозином; ×400.
Рис. 7. Хорионэпителиома матки, состоящая из клеток типа Лангханса (1) и гигантских клеток цитотрофобласта (2) окраска гематоксилин-эозином; ×400. Рис.
8. Некротические изменения и кровоизлияния в ткани опухоли: широкие зоны некроза и поля кровоизлияний (указаны стрелками) по периферии сохранившегося (в центре поля зрения) участка опухолевой ткани; окраска гематоксилин-эозином; ×400.



При осмотре шейки матки с помощью зеркал можно обнаружить цианоз слизистой оболочки влагалища и шейки матки, а также метастазы опухоли во влагалище в виде темно-красных возвышений и узелков с характерным серым оттенком в случае наступления выраженных некротических изменений. Тело матки увеличено соответственно восьми и более неделям беременности, имеет мягковатую консистенцию. При бимануальном исследовании (смотри полный свод знаний: Гинекологическое исследование) определяют пульсацию маточных сосудов и увеличенные яичники. Примерно в 50% случаев обнаруживаются текалютеиновые кисты яичников (смотри полный свод знаний: Яичники).

Диагноз хорионэпителиомы основывается на клинические, данных, выявлении продуцируемого клетками опухоли хорионического гонадотропина (смотри полный свод знаний) в моче и трофобластического β-липопротеина (смотри полный свод знаний: Липопротеиды) в сыворотке крови, данных гистологический исследования соскоба из полости матки и результатах рентгенологическое исследования. Для выявления хорионического гонадотропина используют биологический реакции (смотри полный свод знаний: Ашгейма — Цондека реакция, Галли-Майнини реакция, Фридмана реакция) и иммунологический методы. Титр гормона позволяет судить о количественном содержании его в моче и крови, а определение его в моче женщин, у которых после родов или аборта кровянистые выделения из половых путей не прекратились или возникли, имеет большое значение для раннего распознавания хорионэпителиомы. При выраженном некрозе опухоли содержание хорионического гонадотропина в моче может быть низким.

Диагноз хорионэпителиомы, основанный на гистологический исследовании соскоба, не всегда достоверен, поскольку сходные картины могут наблюдаться и после прерывания беременности. Поэтому предположительный диагноз при гистологический исследовании должен быть подтвержден результатами определения хорионического гонадотропина. Отрицательные или сомнительные результаты гистологический исследования соскоба из полости матки не дают основания полностью исключить возможность хорионэпителиомы.

Цитологически исследование не нашло широкого применения в диагностике хорионэпителиомы матки, так как обнаружение элементов опухоли в мазках затруднено ввиду частого некроза её поверхности и кровянистых выделений из матки.

Рентгенологические исследование грудной клетки позволяет выявить метастазы хорионэпителиомы в лёгких (рисунок 2). При тазовой ангиографии отчётливо видна область поражения благодаря её обильной васкуляризации (смотри полный свод знаний: рисунок к статье Тазовая ангиография). С помощью гистерографии обнаруживают узлы хорионэпителиомы в матке при подслизистом их расположении (смотри полный свод знаний: Метросальпингография). На гистерограммах матка увеличена, контуры её стенок неровные, изъеденные, с дефектами наполнения, контрастное вещество проникает в глубь миометрия.

Дифференциальный диагноз проводят с синцитиальным эндометритом (смотри полный свод знаний: выше), плацентарным полипом (смотри полный свод знаний), беременностью, а хорионэпителиому фаллопиевой трубы дифференцируют с внематочной (трубной) беременностью (смотри полный свод знаний: Внематочная беременность). В дифференциальной диагностике метастатического поражения лёгких при хорионэпителиоме и туберкулёза лёгких важную роль играют данные анамнеза и определение в моче хорионического гонадотропина.

Лечение комбинированное. В настоящий, время чаще используют лечение противоопухолевыми средствами (смотри полный свод знаний), которое в ряде случаев сочетают с оперативным лечением или лучевой терапией. Из числа противоопухолевых средств применяют антиметаболиты (метотрексат, меркаптопурин), противоопухолевые антибиотики (рубомицин, дактиномицин, оливомицин, адреамицин, блеомицин), препараты растительного происхождения (винбластин, винкристин) и другие Лечение каким-либо одним противоопухолевым средством проводят при хорионэпителиоме матки с длительностью заболевания менее 6 месяцев и размерах матки не более 8 недель беременности. При длительности заболевания свыше б месяцев, возникновении хорионэпителиомы после родов, неэффективности лечения одним препаратом, а также при наличии метастазов используют различные сочетания противоопухолевых средств. Во Всесоюзном онкологическом научном центре АМН СССР разработаны и используются две основные схемы лечения хорионэпителиомы несколькими противоопухолевыми средствами: 1) метотрексат + дактиномицин + винбластин; 2) метотрексат + рубомицин + винкристин. Продолжительность одного курса лечения 2 недель перерывы между курсами 2— 3 недель После исчезновения клинические, проявлений заболевания проводят ещё два профилактических курса лечения, в дальнейшем осуществляют регулярное наблюдение в течение 2 лет.

Оперативное лечение — экстирпация матки (смотри полный свод знаний) с придатками или без них — показано при размерах матки более 12 недель беременности, обильных маточных кровотечениях, угрозе перфорации стенки матки, а также при неэффективности лечения противоопухолевыми средствами. В качестве дополнительного метода лечения может быть использована лучевая терапия (смотри полный свод знаний), которую применяют при метастазах хорионэпителиомы в параметральную клетчатку (дистанционная гамма-терапия) и во влагалище (внутриполостное облучение).

Прогноз зависит от формы опухоли, длительности заболевания и своевременности начатого лечения. По данным Всесоюзного онкологического научного центра АМН СССР (1982), при хорионэпителиоме матки без метастазов практическое излечение может быть достигнуто у 91% больных, а при метастазах в лёгкие — у 57%. При этом у женщин в репродуктивном периоде с сохраненной маткой в последующем может развиваться нормальная беременность. Известны случаи самопроизвольного исчезновения как основного узла опухоли, так и её метастазов.

Профилактика хорионэпителиомы заключается главным образом в тщательном наблюдении и профилактическом лечении больных, перенёсших пузырный занос (смотри полный свод знаний: Пузырный занос, профилактика).

Козаченко В.П.

⇐ Перейти на главную страницу сайта

⇑ Вернуться в начало страницы ⇑

Библиотека Ordo Deus ⇒

⇐ Трофические язвы

⇓ Полный свод знаний. Том первый А. ⇓

Трохантерит ⇒

Все статьи в полном изложении, Вы можете найти в большой медицинской энциклопедии — Главный редактор: академик АН СССР (РАН) и АМН СССР (РАМН) Б.В. Петровский. — Москва издательство «Советская энциклопедия» 1989г.

Внимание! Вы находитесь в библиотеке «Ordo Deus». Все книги в электронном варианте, содержащиеся в библиотеке «Ordo Deus», принадлежат их законным владельцам (авторам, переводчикам, издательствам). Все книги и статьи взяты из открытых источников и размещаются здесь только для чтения.

Вся информация на сайте Ordo Deus находится в свободном доступе. Ordo Deus не предоставляет информацию на платной основе.

Все авторские права сохраняются за правообладателями. Если Вы являетесь автором данного документа и хотите дополнить его или изменить, уточнить реквизиты автора, опубликовать другие документы или возможно вы не желаете, чтобы какой-то из ваших материалов находился в библиотеке, пожалуйста, свяжитесь с нами по e-mail:
info @ ordodeus. ru
Формы для прямой связи с нами находятся в нижней части страниц: контакты и устав «Ordo Deus», для перехода на эти страницы воспользуйтесь кнопкой контакты вверху страницы или ссылкой в оглавлении сайта.

Вас категорически не устраивает перспектива безвозвратно исчезнуть из этого мира? Вы не желаете закончить свой жизненный путь в виде омерзительной гниющей органической массы пожираемой копошащимися в ней могильными червями? Вы желаете вернувшись в молодость прожить ещё одну жизнь? Начать всё заново? Исправить совершённые ошибки? Осуществить несбывшиеся мечты? Перейдите по ссылке: «главная страница».

© Ordo Deus, 2010. При копировании ссылка на сайт http://www.ordo-deus.ru обязательна.