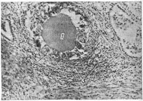
Болеют чаще женщины в возрасте 20—50 лет, редко дети. Подострый Тиреоидит развивается, как правило, в нормальной щитовидной железе и почти никогда — в в зобно-измененной. Этиология подострого Тиреоидит окончательно не выяснена, однако предполагают, что заболевание имеет вирусную природу, так как обычно оно развивается вскоре после вирусных инфекций — гриппа (смотри полный свод знаний), кори (смотри полный свод знаний), эпидемического паротита (смотри полный свод знаний: Паротит эпидемический) и другие, а в крови больных в разгаре болезни могут определяться антитела к соответствующим вирусам. В течении подострого Тиреоидит в зависимости от содержания в крови тиреоидных гормонов выделяют несколько стадий. В I стадии подострого Тиреоидит в результате нарушения целостности мембран тиреоцитов и фолликулов щитовидной железы и выхода их содержимого в строму железы в крови повышается концентрация тироксина (смотри полный свод знаний) — Т4 и трийодтиронина (смотри полный свод знаний) — Т3, а также негормональных соединений йода, что увеличивает разницу между количеством белково-связанного йода (смотри полный свод знаний) и бутанолэкстрагируемого йода (смотри полный свод знаний) и блокирует захват йода щитовидной железой. Строма щитовидной железы инфильтрирована сегментоядерными лейкоцитами, лимфоцитами и тканевыми макрофагами. У некоторых больных в крови появляются антитиреоидные антитела. Во II стадии происходит снижение интенсивности деструктивных процессов в щитовидной железе, что ведёт к уменьшению концентрации негормональных соединений йода в крови и восстановлению механизма захвата йода железой. В строме железы отмечается скудная инфильтрация макрофагами и лимфоцитами с примесью плазматических клеток и исчезновение нейтрофилов. Массы излившегося в строму из разрушенных фолликулов коллоида окружены гистиоцитами и гигантскими клетками (смотри полный свод знаний), сходными с так называемый клетками инородных тел (рисунок 1). Для III стадии в связи с уменьшением объёма функционирующей железистой ткани характерны понижение содержания в крови тиреоидных гормонов и иногда транзиторный гипотиреоз. В этой стадии воспалительный процесс стихает, выявляются очаги регенерации фолликулов. В IV стадии — стадии выздоровления — нередко отмечается повышенный захват йода железой, которая прежде была обеднена им, поэтому данное явление носит компенсаторный характер. В то же время содержание Т3 и Т4 в крови снижено или находится в норме. При электронно-микроскопическом исследовании щитовидной железы у больных подострым тиреоидитом III —IV стадии отмечают признаки повышения функциональной активности тиреоцитов, но апикальных псевдоподий, содержащих капли коллоида, нет, а гигантские клетки мезенхимного происхождения представляют собой группы гистиоцитов без признаков фагоцитоза частиц коллоида. В конце стадии выздоровления все показатели нормализуются. Клинические, картина подострого Тиреоидит характеризуется острым началом, появлением болей, часто интенсивных, в области щитовидной железы, иррадиирующих в уши, нижнюю челюсть, затылок и шею. Иногда отмечают боль при глотании и повороте головы. Общее самочувствие ухудшается, температура тела повышена (иногда значительно). Щитовидная железа увеличена диффузно или очагово (чаще увеличивается одна её доля), плотна на ощупь, резко болезненна при пальпации. Иногда в начале поражается одна доля (чаще правая) с последующим вовлечением в процесс другой доли железы. Кожа над щитовидной железой горячая на ощупь. Регионарные лимфатических, узлы не увеличены. РОЭ обычно ускорена, иногда до 60— 90 миллиметров/час, может наблюдаться лимфоцитоз, лейкоцитарная формула обычно не изменена, количество лейкоцитов в норме, в сыворотке крови повышено относительное содержание γ-глобулинов и фибриногена. Характерным признаком подострого Тиреоидит является снижение захвата железой 131I. На последующих стадиях функциональные способности и состояние щитовидной железы постепенно нормализуются. Общее самочувствие также возвращается к норме. Продолжительность подострого Тиреоидит от 1 месяцев до 1½—2 лет. Диагноз устанавливают на основании характерной клинические, картины (плотная, болезненная щитовидная железа, не спаянная с окружающими тканями при интактных регионарных лимфатических, узлах), результатов лабораторный исследований, а также анамнестических данных (перенесенное 6—8 недель назад вирусное заболевание и другие). Подтверждает диагноз блокада захвата щитовидной железой 131I. Дифференциальный диагноз проводят с острым гнойным Тиреоидит в основном по характеру гемограммы (отсутствие лейкоцитоза), с ангиной (смотри полный свод знаний), при которой отсутствуют характерные изменения щитовидной железы, с диффузным токсическим зобом (смотри полный свод знаний: Зоб диффузный токсический) и токсической аденомой щитовидной железы. С опухолями щитовидной железы, которые также могут сопровождаться выраженным болевым синдромом, подострый Тиреоидит дифференцируют по показателям функциональной активности железы, в том числе по захвату ею 131I, а также по отсутствию спаяния с соседними тканями шеи и местного лимфаденита (см..). Диагностически важным тестом служит реакция на лечение глюкокортикоидами, высокие дозы которых (до 60 миллиграмм преднизолона в сутки) в течение 14— 18 дней приводят к улучшению состояния больного подострым тиреоидитом. В дифференциальной диагностике со специфическим Тиреоидит при туберкулёзе (смотри полный свод знаний) и сифилисе (смотри полный свод знаний) важную роль играют реакции Манту (смотри полный свод знаний: Туберкулинодиагностика) и Вассермана (смотри полный свод знаний: Вассермана реакция), а также данные биопсии (смотри полный свод знаний). Лечение подострого Тиреоидит обычно консервативное, назначают в основном преднизолон (начальная доза 20—30 миллиграмм в сутки). Уменьшение дозы преднизолона часто вызывает рецидив заболевания, поэтому постепенное снижение дозы следует проводить под постоянным контролем РОЭ и наличия болевого синдрома. Уменьшать дозу преднизолона при отсутствии болезненности в щитовидной железе надо приблизительно на 5 миллиграмм каждые 7—10 дней, однако все-таки основным показателем служит снижение РОЭ. В лёгких случаях можно ограничиться назначением салицилатов (ацетилсалициловой кислоты 2—4 грамм и более в сутки) или индометацина, бруфена, бутадиона, амидопирина. Назначение антибиотиков и антитиреоидных средств неэффективно. Прогноз благоприятный; как правило, наступает выздоровление. Рецидивы и упорное течение заболевания могут привести к склерозу щитовидной железы и, как следствие, к гипотиреозу. Хронический тиреоидит. К хронический Тиреоидит относят лимфоцитарный (аутоиммунный) Тиреоидит, или болезнь Хасимото (смотри полный свод знаний: Хасимото болезнь), фиброзно-инвазивный Тиреоидит и специфические Тиреоидит Фиброзно-инвазивный тиреоидит [синонимы: тиреоидит Риделя (наиболее употребимый синоним), зоб Риделя, деревянистый тиреоидит, хронический инвазивный тиреоидит, хронический фиброзный тиреоидит] — заболевание неясной этиологии, при котором паренхиму щитовидной железы замещает фиброзная ткань. Впервые описан в 1896 год Б. Риделем. Фиброзно-инвазивный Тиреоидит чаще встречается у лиц старше 50 лет, преимущественно у женщин. По данным, приведенным в 1957 год Вулнером (L. В. Woolner) и другие, он выявлен у 0,05% больных, оперированных по поводу заболеваний щитовидной железы. Щитовидная железа увеличена, плотная и при выраженном процессе кольцом охватывает трахею. Паренхиматозные элементы имеют вид отдельных островков в фиброзной, иногда гиалинизированной соединительной ткани (рисунок 2). Отмечают полное исчезновение дольчатости. Тиреоциты сохранившихся фолликулов уплощены. Коллоида в просвете фолликулов нет или его очень мало. Выявляются очаговые лимфоидные скопления, иногда с примесью многоядерных гигантских клеток. Фиброз при фиброзно-инвазивном Тиреоидит носит агрессивный характер и характеризуется обширными разрастаниями фиброзной ткани. Последняя распространяется за пределы капсулы щитовидной железы и поражает соседние мышцы, нервы, сосуды, нередко сочетается с идиопатическим фиброзом других областей (ретроперитонеальным, медиастинальным и другие). При фиброзно-инвазивном Тиреоидит происходит смещение и сдавление трахеи, в результате которого развивается выраженное изменение голоса. При вовлечении в процесс обоих возвратных гортанных нервов может развиться паралич гортани. Иногда фиброз распространяется на средостение. Больные жалуются на сдавление в области шеи, затруднение дыхания и глотания. Кожа над щитовидной железой не изменена и легко собирается в складки. Осложнением фиброзно-инвазивного Тиреоидит может быть гипотиреоз, хотя неповрежденные участки паренхимы щитовидный железы обычно обеспечивают эутиреоидное состояние. Фиброзно-инвазивный Тиреоидит может сочетаться с фиброзом околоушных желёз, языка, ретробульбарным и ретроперитонеальным фиброзом (синдромом Ормонда). Диагноз ставят на основании специфической клинические, картины, наличия плотного зоба (смотри полный свод знаний), спаянного с окружающими тканями и медленно увеличивающегося в размерах. При сканировании железы обнаруживают так называемый холодные очаги. Тиреоидные аутоантитела определяют редко и в низких титрах. Диагностически особенно информативна биопсия щитовидной железы. Дифференциальный диагноз с амилоидозом и раком щитовидной железы основывается главным образом на результатах гистологический исследования. От узлового нетоксического зоба фиброзно-инвазивный Тиреоидит отличает чрезвычайная плотность щитовидной железы и её спаяние с соседними тканями; от болезни Хасимото — спаяние зоба с соседними тканями, отсутствие в организме выраженных иммуно л. сдвигов, редкое и позднее развитие гипотиреоза; от подострого Тиреоидит— течение заболевания. отсутствие специфических изменений картины крови, характерных для подострого Тиреоидит, отсутствие болевого синдрома и спаяние зоба с соседними тканями. Лечение оперативное. Показаниями к операции являются большие размеры зоба, смещение и сдавление соседних органов. При диффузном поражении рекомендуется удаление части обеих долей и экстирпация перешейка железы, при одностороннем процессе — резекция соответствующей доли. Оперативное удаление частей щитовидной железы, кроме того, задерживает фиброз. Описаны случаи спонтанного прекращения такого процесса, а также обратного его развития после биопсии железы. При развившемся гипотиреозе необходима заместительная терапия тиреоидными гормонами. Прогноз при наличии симптомов сдавления зависит от своевременности операции, так как при значительном прорастании фиброзной ткани в соседние органы послеоперационный период может протекать особенно тяжело. Специфические тиреоидиты (туберкулезный, сифилитический, актиномикозный и другие) встречаются крайне редко и обычно являются локальными проявлениями системных заболеваний. Туберкулёзный Тиреоидит развивается в результате гематогенной диссеминации. Щитовидная железа имеет плотную консистенцию, иногда с бугристой поверхностью. В ней обнаруживаются туберкулёзные гранулемы или более крупные казеозные очаги, окруженные специфической грануляционной тканью. Характерно увеличение регионарных лимфатических, узлов. Обнаружение первичного очага и положительные реакции на туберкулин позволяют поставить правильный диагноз. При сифилитическом Тиреоидит щитовидная железа плотна и малоподвижна в связи с её сращением с окружающими тканями. Диагноз подтверждается положительными серологический пробами. При актиномикозе (смотри полный свод знаний) щитовидная железа вначале уплотняется, затем появляются характерные свищи и гной. Обнаружение в гное друз актиномицетов позволяет подтвердить диагноз. Лечение специфических Тиреоидит направлено на основное заболевание. Прогноз зависит от своевременной диагностики и рационального лечения. Смотри полный свод знаний: Щитовидная железа.
Вас категорически не устраивает перспектива безвозвратно исчезнуть из этого мира? Вы не желаете закончить свой жизненный путь в виде омерзительной гниющей органической массы пожираемой копошащимися в ней могильными червями? Вы желаете вернувшись в молодость прожить ещё одну жизнь? Начать всё заново? Исправить совершённые ошибки? Осуществить несбывшиеся мечты? Перейдите по ссылке: «главная страница».
|