Слоновость

Оглавление

  1. Дорога к бессмертию
  2. Бессмертие и религия
  3. Философия бессмертия
  4. Бессмертие и наука
  5. История анабиоза
  6. Смерть
  7. Кора головного мозга
  8. Бессмертие и анабиоз
  9. Анабиоз, медицина и биология
  10. Анабиоз и экономика
  11. Анабиоз и закон
  12. Анабиоз в Антарктиде
  13. Техническое обеспечение анабиоза
  14. Бессмертие и вера
  15. Библиотека Ordo Deus
  16. Контактная страница Ordo Deus

Слоновость

Слоновость (elephantiasis; синонимы элефантиаз) — стойкое диффузное увеличение объёма той или иной части тела, обусловленное нарушением лимфооттока и характеризующееся в начале развития хроническим отёком, а затем необратимыми фиброзными изменениями кожи, подкожной клетчатки и фасции.

Термин «слоновость» впервые встречается у А. Цельса. Попытки заменить его такими терминами, как «лимфостаз» и «лимфедема» нельзя признать обоснованными, так как обозначаемые ими процессы являются лишь начальными звеньями в патогенезе н клинические, картине слоновости.

Чаще всего наблюдается Слоновость нижних конечностей, реже наружных половых органов, верхних конечностей, лица и другие

В зависимости от этиологии различают первичную и вторичную Слоновость К первичной Слоновость относится так называемый идиопатическая (эссенциальная) слоновость, которая развивается, как правило, в молодом возрасте. По мнению некоторых исследователей, в возникновении первичной идиопатической Слоновость имеет значение врождённая лимфангиопатия. К первичной относятся также некоторые виды врождённой Слоновость Так, в 1892 год Милрой (W. F. Milroy) описал наследственную Слоновость (болезнь Милроя), которую он проследил в шести поколениях одной семьи, обнаружив Слоновость нижних конечностей у 20 человек из 97, особенно прогрессирующую в период полового созревания. Первичная врождённая Слоновость (без указаний на неё в семейном анамнезе) может быть связана с пороками развития лимфатической системы (смотри полный свод знаний) в виде аплазии (смотри полный свод знаний), гипоплазии (смотри полный свод знаний) или гиперплазии (смотри полный свод знаний) коллекторных лимфатических сосудов (смотри полный свод знаний) с недостаточностью клапанного аппарата. У взрослых первичная врождённая Слоновость составляет, по различным данным, от 2 до 6,2% от общего числа больных Слоновость Некоторые исследователи связывают отдельные случаи возникновения первичной Слоновость с поражением центральной нервной системы, эндокринными расстройствами и другие

Вторичная Слоновость может быть связана, например, с развитием амниотических перетяжек, которые, сдавливая циркулярно мягкие ткани конечности плода, препятствуют нормальному лимфооттоку (смотри полный свод знаний: Амниотические нити, перетяжки, сращения). Как правило, вторичная Слоновость является осложнением многих воспалительных и невоспалительных заболеваний. Наиболее часто Слоновость развивается после перенесённого рожистого воспаления (смотри полный свод знаний: Рожа), изредка при туберкулёзе костей, суставов, лимфатических, узлов и кожи (смотри полный свод знаний: Туберкулёз внелёгочный), лимфадените (смотри полный свод знаний), лимфангиите (смотри полный свод знаний), фурункулёзе (смотри полный свод знаний: Фурункул), пиодермии (смотри полный свод знаний), сифилитических гранулемах (смотри полный свод знаний: Сифилис), хроническом воспалении влагалища (смотри полный свод знаний), прямой кишки (смотри полный свод знаний) и другие

Особое место в возникновении и развитии Слоновость занимает рожистое воспаление. Рожа нередко возникает на фоне уже развившегося расстройства лимфообращения, однако, несомненно, что каждый её рецидив резко усугубляет нарушение лимфообращения. Некоторые исследователи считают, что возникновение Слоновость при роже, как и при других воспалительных заболеваниях, во многих случаях обусловлено скрытой врождённой лимфангиопатией. В тропических и субтропических странах в этиологии Слоновость нижних конечностей, наружных половых органов большую роль играют гельминты — филярии (смотри полный свод знаний: Филяриатозы), которые, проникая в лимфатических, сосуды кожи мошонки (смотри полный свод знаний), полового члена (смотри полный свод знаний), реже больших и малых половых губ, вызывают хронический, торпидно протекающий воспалительный процесс и, кроме того, своей массой закупоривают лимфатических, капилляры. Ко вторичной Слоновость при определённых условиях могут приводить сдавление проксимальных отделов конечности рубцами после механических травм, глубоких ожогов (смотри полный свод знаний), оперативное удаление коллекторных лимфатических, сосудов и узлов, лучевая терапия (смотри полный свод знаний).

Слоновость наружных половых органов, кроме того, могут обусловить мочевая инфильтрация тканей при стриктуре уретры, паховые лимфогранулемы (смотри полный свод знаний: Лимфогранулематоз паховый), эризипелоид (смотри полный свод знаний) и другие.

От Слоновость следует отличать так называемый вторичный лимфатический отёк, возникающий при патологии магистральных кровеносных сосудов — артерий (смотри полный свод знаний) и вен (смотри полный свод знаний).

Патогенез. Возникновение Слоновость обусловлено нарушением проходимости лимфатических, сосудов и капилляров. При инфекционные процессе эти нарушения являются следствием воспаления и последующих склеротических изменений, при опухолях — сдавления лимфатических, сосудов и капилляров опухолью. При филяриатозе, помимо механического воздействия гельминтов (филярий) на лимфатических, сосуды, приводящего к их варикозному расширению, воспалению и закупорке, могут наблюдаться токсико-аллергические реакции с развитием вторичной бактериальной инфекции.

Стойкое нарушение проходимости лимфатических, сосудов приводит к лимфостазу (смотри полный свод знаний), хронический отеку (смотри полный свод знаний), диспротеинозу и другим нарушениям тканевого обмена, которые возникают в подкожной клетчатке и, медленно прогрессируя, распространяются на фасцию и кожу. Происходит имбибиция интерстициальной ткани (смотри полный свод знаний: Соединительная ткань) высокомолекулярными белками и их метаболитами, что ведёт к развитию склероза, прогрессированию недостаточности лимфатических, капилляров и сосудов, нарастанию отёка. Нередко процесс осложняется воспалением, которое способствует развитию Слоновость, усугубляя патологический изменения в поражённом органе. В исходе слоновости развивается необратимый фиброз кожи, подкожной клетчатки и фасции.

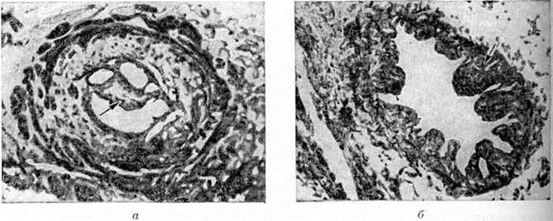
Патологическая анатомия. Различают так называемый мягкую стадию, или лимфедему, которая соответствует наличию выраженного, сначала преходящего, а затем стойкого отёка, смешанную, или промежуточную, стадию, когда фибредема локализуется лишь на периферии конечности, а в проксимальной её части ещё имеет место лимфедема, и твёрдую стадию, или фибредему, которая соответствует развитию тотального фиброза тканей. В начальной стадии Слоновость поражённый орган увеличен в объёме за счёт отёка. Кожа остаётся гладкой, без трофических изменений. Гистологически отмечается отёк и умеренный фиброз подкожной клетчатки, в которой обнаруживаются расширенные лимфатических, сосуды. В стадии хронический лимфедемы поражённый орган (особенно нижние конечности) резко увеличивается в объёме, деформируется, кожа нависает складками, утолщается, появляются трещины, язвы, наблюдаются папилломатозные разрастания. В поверхностных лимфатических, сосудах, а нередко и в глубоких лимфатических, коллекторах обнаруживаются лимфангиит и перилимфангиит, продуктивные облитерирующие воспалительные процессы — подострый и хронический эндолимфангиит (рисунок 1, а), гипертрофия (рисунок 1, б), склероз и гиалиноз стенок и клапанов лимфатических, сосудов и другие В лимфатических, сосудах могут быть изменения и без признаков воспаления, например, облитерирующая и дистрофическая лимфангиопатия, лимфангиэктазия (смотри полный свод знаний). Как следствие нарушения лимфооттока по магистральным коллекторам появляются признаки вторичной перестройки лимфатических, капилляров и сосудов кожи: рост и деформация лимфатических, капилляров, деформация, варикозное расширение и появление атипичных (спиралевидных) лимфатических сосудов, лимфангиэктазии кожи. В разных участках эпидермиса отмечаются атрофия (смотри полный свод знаний: Атрофия кожи), гиперкератоз (смотри полный свод знаний), акантоз (смотри полный свод знаний) паракератоз (смотри полный свод знаний) и вакуолизация эпителия. Атрофия эпидермиса особенно резко выражена при образовании лимфангиэктазий. При этом расширенные лимфатических, капилляры образуют в сосочковом слое дермы более или менее широкие полости, оказывающие давление на эпидермис, вызывая его атрофию (рисунок 2), местами до полного истончения и разрыва с истечением лимфы наружу (смотри полный свод знаний: Лимфорея). Лимфорея может быть продолжительной, особенно при наличии рефлюкса (смотри полный свод знаний), то есть ретроградного движения лимфы в связи с недостаточностью клапанов лимфатических, сосудов.



Информация об Ordo Deus Перейти в оглавление сайта

Рис. 1.
Микропрепараты глубоких лимфатических коллекторов кожи при вторичной слоновости: а — пролиферативный эндолимфангиит с поражением клапанов (указано стрелкой); окраска гематоксилин-эозином; ×120; б — гипертрофия стенки лимфатического сосуда (указано стрелкой); импрегнация по Гомори; ×120.





Информация об Ordo Deus Перейти в оглавление сайта

Рис. 2.
Микропрепарат кожи при врождённой слоновости: стрелками указаны полости в сосочковом слое дермы, покрытые истончённым атрофированным эпидермисом; окраска азаном по Гейденгайну; ×60.





Информация об Ordo Deus Перейти в оглавление сайта

Рис. 3.
Внешний вид нижних конечностей при первичной идиопатической слоновости в стадиях лимфедемы (а) и фибредемы (б): а — выраженная асимметрия конечностей, отёк левого бедра и голени с нависанием кожной складки в области левого голеностопного сустава; б — резкая деформация нижних конечностей за счёт бесформенных бугров, разделённых складками различной глубины.



В стадии фибредемы в дерме и подкожной клетчатке обнаруживаются резко расширенные лимфатических, капилляры, значительное снижение уровня кислых мукополисахаридов (смотри полный свод знаний), отёк, тотальный фиброз и гиалиноз (смотри полный свод знаний), очаговые (пери и параваскулярные) инфильтраты из лимфоцитов, плазматических и тучных клеток, гипертрофия мышц, поднимающих волос, изменения эластических и аргирофильных волокон (гипертрофического и гиперпластического характера), а также вторичные изменения стенок кровеносных сосудов. Фасция значительно утолщена, тусклая, с матовым оттенком, однако внутренняя её поверхность остаётся гладкой, блестящей.

Клиническая картина. Первичная идиопатическая Слоновость нижних конечностей чаще наблюдается у женщин в молодом возрасте и начинается незаметно. Иногда отёк нижней конечности впервые обнаруживают при подборе обуви или после длительного пребывания на ногах. Начинаясь обычно со стопы и голеностопного сустава, он затем распространяется в проксимальном направлении, захватывая всю голень, иногда и бедро (рисунок 3, а). Длительное время единственным симптомом Слоновость является отёк, который первоначально носит преходящий характер, увеличиваясь после ортостатических нагрузок, а также в жаркую погоду и уменьшаясь или исчезая при горизонтальном положении больного. В этой так называемый мягкой стадии (стадии лимфедемы) больного беспокоят лишь некоторая тяжесть и повышенная утомляемость конечности. Поражённые ткани имеют тестоватую консистенцию. Кожа в этой области не изменена, обычной окраски, легко смещается и собирается в складки. На ней после надавливания остаются углубления. В последующем, чаще после перенесённых воспалительных заболеваний, отёк становится постоянным и продолжает постепенно нарастать. При одностороннем поражении асимметрия конечностей довольно рано становится заметной, и этот косметический недостаток больше всего беспокоит больного. Ткани дистальных отделов конечности вследствие фиброзных изменений приобретают плотность, которая постепенно нарастает и распространяется в проксимальном направлении, обусловливая сначала картину смешанной (т. е. наличие мягких и твёрдых участков), а затем преобладание твёрдой стадии — фибредемы. Болевой синдром обычно отсутствует, отмечается лишь чувство тяжести и распирания в поражённой конечности. Кожа обычного цвета или бледная, утолщена, в складку собирается с трудом, мало смещается по отношению к подлежащим тканям, при надавливании ямок на ней не остаётся . Поверхность кожи чаще гладкая, иногда по внешнему виду напоминает лимонную корку. На месте перенесённого рожистого воспаления появляется пигментация кожи. Выраженных трофических нарушений не наблюдается. Участки кожи в поперечных складках над суставами длительное время сохраняют своё нормальное строение, затем присоединяются гиперкератоз и папилломатоз, возможно разрастание ткани в виде плотных, бесформенных бугров («подушек»), местами причудливо разделённых глубокими складками (рисунок 3, б). Иногда после травмы кожи возникает лимфорея, сопровождающаяся уменьшением объёма и веса конечности (нередко больные умышленно прокалывают кожу для облегчения своего состояния). У некоторых больных на поражённой конечности отмечается повышенная потливость, способствующая рецидиву рожистого воспаления, и гипертрихоз. Общее состояние (за исключением угнетения психики) долгое время не нарушается.

Для развития вторичной Слоновость характерны те же стадии, что и для первичной Слоновость, но её течение в большей мере зависит от этиологического фактора. Например, Слоновость, обусловленная рожей, начинается бурно, с повышения температуры тела, гиперемии кожи и быстрого последующего появления стойкого отёка, который носит упругий характер в связи с рано наступающим фиброзом мягких тканей. Воспалительный процесс в дальнейшем может не возобновляться или проявляется в виде стёртых форм дерматита (смотри полный свод знаний: Дерматиты). Однако более характерны рецидивы острого рожистого воспаления, которые с годами учащаются, повторяясь у некоторых больных 10 и более раз в год, причём каждый последующий рецидив приводит к нарастанию клинических симптомов Слоновость, вызывая, в конечном итоге, стойкие необратимые изменения.

Особенностью Слоновость при паховом лимфадените является первоначальное появление отёка на бедре и нередко с обеих сторон.

Слоновость, обусловленная невоспалительными заболеваниями, встречается одинаково часто у мужчин и женщин. Развитие патологический процесса находится в прямой зависимости от степени повреждения путей лимфооттока. При незначительном повреждении коллекторных лимфатических, сосудов и узлов, которое может быть в результате травмы мягких тканей, после венэктомии, операции по поводу грыжи и другие, медленно нарастает отёк и фиброз мягких тканей. Процесс может прогрессировать постепенно, на протяжении многих лет, если не присоединяется рожистое воспаление. Слоновость, развивающаяся после обширного нарушения путей лимфооттока, проходит все стадии развития с исходом в необратимый фиброз значительно быстрее. Такая Слоновость верхних конечностей часто развивается после радикальной мастэктамии (смотри полный свод знаний) в комбинации с лучевой терапией. Слоновость нижних конечностей — после расширенных операций по поводу онкологических заболеваний с удалением подвздошных и паховых лимфатических, узлов. В последнем случае, как и при паховом лимфадените, отёк может начинаться с бедра.

Своеобразно протекает Слоновость наружных половых органов. Чаще она бывает вторичной, но также описаны случаи врождённой и идиопатической Слоновость мошонки. Независимо от причины возникновения процесс большей частью начинается с кожи мошонки и затем переходит на половой член, не распространяясь на кавернозные тела, уретру, яички. Слоновость наружных половых органов у женщин встречается крайне редко; поражаются большие и (или) малые половые губы без вовлечения в процесс клитора (смотри полный свод знаний: Вульва). Клинически слоновость наружных половых органов у мужчин и женщин проявляется утолщением кожи и подкожной клетчатки и резким увеличением мошонки, больших или малых половых губ, достигающих иногда огромных размеров. Кожа часто принимает темно-бурую или коричневую окраску и может оставаться гладкой (гладкая форма Слоновость). Нередко при длительном течении Слоновость на мошонке, промежности и крайней плоти отмечается гиперкератоз, возникают бородавчатые и папилломатозные разрастания (бородавчатая форма Слоновость). В запущенных случаях возможно появление изъязвлений, экскориаций (смотри полный свод знаний), дерматита (смотри полный свод знаний) экзематозного характера. Кроме местных симптомов, нередко наблюдаются аллергические явления, повышение температуры, экссудативные высыпания, водянка яичка (смотри полный свод знаний: Гидроцеле). При присоединении стафилококковой и стрептококковой инфекции процесс приобретает гнойно-септический характер (смотри полный свод знаний: Сепсис).

Слоновость наружных половых органов чаще развивается медленно и тянется годами. Периоды относительного затишья сменяются обострениями, нередко обусловленными присоединением вторичной инфекции. Каждое обострение процесса сопровождается припухлостью и гиперемией кожи мошонки (полового члена, половых губ), размеры которых ещё больше увеличиваются. Иногда отмечается хоботкообразное увеличение крайней плоти, затрудняющее акт мочеиспускания. Слоновость наружных половых органов приводит к нарушениям половой функции: у мужчин эрекция становится болезненной, наступает импотенция.

Осложнения при Слоновость наблюдаются обычно в запущенных случаях. К ним относятся развитие дерматита, образование язв, длительная лимфорея, присоединение гнойно-септической инфекции. В редких случаях возможна малигнизация папиллом, возникших на почве Слоновость Описаны также случаи стойких психических расстройств.

Диагноз в типичных случаях не представляет затруднений и основывается на тщательно собранном анамнезе, характерной клинические, картине, а также данных прямой лимфографии (смотри полный свод знаний). При врождённой Слоновость на лимфограммах отмечают либо аплазию (полное отсутствие) коллекторных лимфатических, сосудов, либо выраженное их расширение. При идиопатической Слоновость наряду с аплазией выявляются также гипоплазия (уменьшение числа и диаметра коллекторных лимфатических, сосудов на протяжении всей конечности или только в периферическом или проксимальном её отделе) и гиперплазия (увеличение числа и диаметра коллекторных лимфатических, сосудов вплоть до варикозного их расширения, иногда с клапанной недостаточностью сосудов); лимфатических, узлы при этом, как правило, не изменены. При вторичной Слоновость чаще, чем при первичной, наблюдается ретроградное заполнение коллекторных лимфатических, сосудов, иногда с экстравазацией контрастного вещества, объясняемое обычно встречающейся в этих случаях локальной блокадой лимфооттока и связанной с ней недостаточностью клапанного аппарата коллекторных лимфатических, сосудов.

Решающее значение в диагностике Слоновость, обусловленной филяриатозом, имеет обнаружение в крови и моче филярий (смотри полный свод знаний: Филяриатозы). При этом нужно иметь в виду, что филярии одних видов можно обнаружить в крови только ночью, а других видов — только днём.

Дифференциальную диагностику проводят с заболеваниями, протекающими с синдромом хронический отёка. К ним относятся заболевания кровеносных сосудов — врождённые аномалии глубоких вен, артериовенозные свищи, посттромбофлебитический синдром и другие, при которых характерные изменения обнаруживаются с помощью артериографии (смотри полный свод знаний) и флебографии (смотри полный свод знаний). Иногда (особенно в начале развития) затруднена дифференциальная диагностика Слоновость и отёков почечного и сердечного происхождения, некоторых форм ожирения (смотри полный свод знаний), врождённого частичного гигантизма (смотри полный свод знаний), синдрома Педжета — Шреттера (смотри полный свод знаний: Педжета—Шреттера синдром), трофедемы (смотри полный свод знаний). В этих случаях, помимо рентгеноконтрастных исследований лимфатических, и кровеносных сосудов, проводят кожную термометрию (смотри полный свод знаний), реографию (смотри полный свод знаний), осциллографию, капилляроскопию (смотри полный свод знаний).

Лечение Слоновость на ранних стадиях консервативное. Оно включает соблюдение двигательного режима без ортостатических перегрузок, длительную компрессию конечности с помощью эластического бинта или чулка днём и её возвышенное положение ночью, отсасывающий волнообразный массаж (смотри полный свод знаний). Лекарственная терапия заключается в назначении мочегонных средств, кортикостероидов (смотри полный свод знаний), проведении новокаиновой блокады (смотри полный свод знаний), внутримышечных инъекций трипсина (смотри полный свод знаний); Из физиотерапевтических процедур назначают УФ-облучение (смотри полный свод знаний: Ультрафиолетовое излучение), электрофорез (смотри полный свод знаний) с лидазой, ронидазой, гиалуронидазой, трипсином. При слоновости наружных половых органов, вызванной филяриями, проводится антигельминтная терапия.

При неэффективности консервативного лечения (после образования стабильного отёка) применяют оперативное лечение. В стадии лимфедемы оно направлено на дренирование лимфы в венозное русло путём создания различных вариантов искусственных лимфовенозных анастомозов (смотри полный свод знаний: Микрохирургия) или отведения её в субфасциальное пространство посредством фасциотомии или перемещения лоскутов подкожной клетчатки к глубокому сосудистому пучку и кости. В стадии фибредемы полностью иссекают патологически изменённые ткани (подкожную клетчатку, фасцию, а в некоторых случаях и кожу). Раневой дефект закрывают одномоментно или поэтапно смещёнными кожными лоскутами или свободными кожными аутотрансплантатами, взятыми с поражённой или здоровой области тела (смотри полный свод знаний: Кожная пластика).

При оперативном вмешательстве по поводу Слоновость наружных половых органов полностью удаляют поражённые участки мошонки или половых губ и устраняют основные причины, вызвавшие развитие Слоновость (восстанавливают проходимость уретры, ликвидируют мочевые затеки, удаляют опухоль п другие). Ткани мошонки иссекают с обязательной резекцией париетального листка собственной оболочки яичка и формируют искусственную мошонку за счёт здоровых тканей. Если процесс ограничен только половым членом, то его скальпируют (смотри полный свод знаний: Скальпирование), а кожный покров восстанавливают кожей мошонки или бедра, взятой в бедренном треугольнике. При наличии грубых изменений в оболочках яичка или эпидидимита (смотри полный свод знаний) показана (особенно у лиц пожилого возраста) гемикастрация (смотри полный свод знаний: Кастрация).

Прогноз при своевременно проведённом лечении благоприятный. Консервативное лечение, начатое в ранней стадии, нередко предотвращает дальнейшее прогрессирование Слоновость Радикальная операция тяжёлых хорошие ближайшие и отдалённые результаты; при слоновости наружных половых органов операция обеспечивает положительный эффект как в отношении восстановления половой функции, так и в косметическом отношении.

Профилактика заключается в предупреждении и своевременном лечении заболеваний, обусловливающих возникновение Слоновость При этом исключительно важное значение имеет профилактика рожистого воспаления.

Особенности слоновости у детей.

Первичная врождённая Слоновость, как наследственная (болезнь Милроя), так и обусловленная пороками развития коллекторных лимфатических, сосудов и лимфатических, узлов, наблюдается у детей относительно чаще, чем у взрослых. П. М. Медведев (1964) отметил врождённую Слоновость у 12 из 73 детей, больных Слоновость, что составляет 16,4%. Значительно реже встречается вторичная врождённая (вследствие амниотических перетяжек, врождённой опухоли типа лимфангиомы и другие) п приобретённая Слоновость (после острых воспалительных процессов в лимфатических, сосудах и узлах, травм, оперативных вмешательств и другие). Болезни Милроя особенно присущи двустороннее поражение, выраженные изменения кожи и частые местные воспалительные процессы, поражение почек и развитие почечной недостаточности (смотри полный свод знаний), являющейся часто причиной летального исхода.

Врождённая Слоновость, обусловленная пороком развития лимфатических, сосудов, чаще отмечается у девочек. Она может сочетаться с другими пороками развития, например, незаращением артериального протока (смотри полный свод знаний), так называемый крыловидной шеей (смотри полный свод знаний), пороками развития вен и другие Как правило, патологический процесс односторонний; двустороннее поражение наблюдается редко.

Признаки Слоновость у ряда детей выявляются уже при рождении или в первые 2—3 года жизни, но чаще в возрасте 7—12 лет. Как и у взрослых, процесс развивается медленно п проходит три стадии — от лимфедемы до фибредемы. В поздней стадии у детей более выражены нарушения кровообращения и трофические изменения кожи — повышенная потливость, пигментация, бородавчатые разрастания, образование папиллом, пузырьков и трещин, которые являются входными воротами для возбудителей инфекции и причиной длительной лимфореи. В связи со сниженной сопротивляемостью тканей детского организма к патогенной микрофлоре повторные воспалительные процессы (рожистое воспаление, лимфангиит и другие) протекают тяжело — с высокой температурой, картиной септикопиемии.

Из общих расстройств первостепенное значение имеет нарушение психики. Увеличенные размеры конечности, затруднение движений, лимфорея, частые воспалительные процессы лишают ребёнка возможности нормально развиваться; он сторонится сверстников, становится раздражительным, замкнутым, отстаёт в физическом и психическом развитии.

Для диагностики Слоновость у детей используют те же методы, что и у взрослых. Особенно большое значение имеет изучение состояния лимфатических и кровеносных сосудов поражённой конечности (лимфография и венография).

Для лечения Слоновость конечностей, вызванной пороками развития лимфатических, сосудов (первичная врождённая и наследственная Слоновость), предпочтительно оперативное вмешательство, состоящее в полном удалении кожи вместе с подкожной клетчаткой и фасцией, реплантации обработанной дерматомом по Красовитову кожи на мышцы конечности. В случаях вторичной врождённой Слоновость устраняют причины, вызывающие нарушение лимфообращения в конечности. Современный микрохирургическая техника позволяет у некоторых больных с приобретённой Слоновость при соответствующих показаниях восстановить проходимость лимфатических, коллекторов или наложить Лимфовенозный анастомоз, обеспечивающий отток лимфы в венозные сосуды.

Прогноз и профилактика такие же, как у взрослых.

Абалмасов К.Г.; Зербино Д.Д.; Тихонов Ю.А.; Шаповал В.И.

⇐ Перейти на главную страницу сайта

⇑ Вернуться в начало страницы ⇑

Библиотека Ordo Deus ⇒

⇐ Слепота

⇓ Полный свод знаний. Том первый А. ⇓

Слюнные свищи ⇒

Все статьи в полном изложении, Вы можете найти в большой медицинской энциклопедии — Главный редактор: академик АН СССР (РАН) и АМН СССР (РАМН) Б.В. Петровский. — Москва издательство «Советская энциклопедия» 1989г.

Внимание! Вы находитесь в библиотеке «Ordo Deus». Все книги в электронном варианте, содержащиеся в библиотеке «Ordo Deus», принадлежат их законным владельцам (авторам, переводчикам, издательствам). Все книги и статьи взяты из открытых источников и размещаются здесь только для чтения.

Вся информация на сайте Ordo Deus находится в свободном доступе. Ordo Deus не предоставляет информацию на платной основе.

Все авторские права сохраняются за правообладателями. Если Вы являетесь автором данного документа и хотите дополнить его или изменить, уточнить реквизиты автора, опубликовать другие документы или возможно вы не желаете, чтобы какой-то из ваших материалов находился в библиотеке, пожалуйста, свяжитесь с нами по e-mail:
info @ ordodeus. ru
Формы для прямой связи с нами находятся в нижней части страниц: контакты и устав «Ordo Deus», для перехода на эти страницы воспользуйтесь кнопкой контакты вверху страницы или ссылкой в оглавлении сайта.

Вас категорически не устраивает перспектива безвозвратно исчезнуть из этого мира? Вы не желаете закончить свой жизненный путь в виде омерзительной гниющей органической массы пожираемой копошащимися в ней могильными червями? Вы желаете вернувшись в молодость прожить ещё одну жизнь? Начать всё заново? Исправить совершённые ошибки? Осуществить несбывшиеся мечты? Перейдите по ссылке: «главная страница».

© Ordo Deus, 2010. При копировании ссылка на сайт http://www.ordo-deus.ru обязательна.