Склеродермия

Оглавление

  1. Дорога к бессмертию
  2. Бессмертие и религия
  3. Философия бессмертия
  4. Бессмертие и наука
  5. История анабиоза
  6. Смерть
  7. Кора головного мозга
  8. Бессмертие и анабиоз
  9. Анабиоз, медицина и биология
  10. Анабиоз и экономика
  11. Анабиоз и закон
  12. Анабиоз в Антарктиде
  13. Техническое обеспечение анабиоза
  14. Бессмертие и вера
  15. Библиотека Ordo Deus
  16. Контактная страница Ordo Deus

Склеродермия

Склеродермия (sclerodermia; греческий skleros твёрдый, плотный + derma кожа; синонимы склеродерма). Термин «склеродермия» впервые предложен Гентраком (Е. Gintrac) в 1847 год. Различают системную и ограниченную Склеродермия. Системная Склеродермия характеризуется генерализованным прогрессирующим склерозом кожи и внутренних органов, ограниченная — преимущественно очаговым поражением кожи без признаков системности.

Системная склеродермия (sclerodermia systemica; синонимы: прогрессирующая, универсальная, генерализованная, диффузная склеродермия, прогрессирующий системный склероз) относится к группе ревматических заболеваний, в частности к диффузным болезням соединительной ткани (смотри полный свод знаний: Коллагеновые болезни). Она представляет собой полисиндромное заболевание, проявляющееся прогрессирующим фиброзом кожи, внутренних органов (сердца, лёгких, желудочно-кишечные тракта, почек), своеобразной сосудистой патологией типа облитерирующего эндартериолита с распространенными вазоспастическими нарушениями.

Заболеваемость, по данным различных исследователей, колеблется от 0,27—1,2 на 100 тысяч населения. Смертность, по данным Мази (А. Т. Masi) с соавторами, составляет 0,14— 0,53 на 100 тысяч Болеют преимущественно женщины. По различным статистическим данным, отношение между заболеваемостью женщин и мужчин составляет 3:1 — 7:1. Средний возраст заболевших 20—50 лет. По отечественной классификации Н. Г. Гусевой (1975), различают острую (быстро прогрессирующую), подострую и хроническую системную Склеродермия (последние два варианта течения встречаются чаще); типичную Склеродермия с характерным генерализованным поражением кожи и атипичные её формы с очаговым поражением кожи; Склеродермия с преимущественным поражением внутренних органов; Склеродермия, сочетающуюся с другими ревматическими заболеваниями. Роднан (G. P. Rodnan) и другие выделяют следующие формы системной Склеродермия: классическую форму с диффузным поражением кожи; CREST-синдром — сочетание кальциноза (смотри полный свод знаний), синдрома Рейно (смотри полный свод знаний: ниже), поражения пищевода, склеродактилии и телеангиэктазий (смотри полный свод знаний); название синдрома образовано из первых букв названий составляющих его симптомов; Склеродермия, сочетающуюся с другими ревматическими заболеваниями.

Первые описания поражения отдельных внутренних органов при Склеродермия и попытки представить её как генерализованный процесс принадлежат Стивену (J. L. Steven), У. Ослеру (1898), А. Е. Янишевскому и Г. И. Маркелову (1907). Учение Клемперера (P. Klemperer) о коллагеновых болезнях послужило мощным толчком к изучению системных проявлений этого заболевания. В 1945 год Гетц (R. Н. Goetz) был предложен термин «прогрессирующий системный склероз». Последующее изучение клинические, проявлений заболевания способствовало совершенствованию диагностики, в том числе атипичных и ранних вариантов Склеродермия, послужило основой для дальнейших патогенетических и терапевтических исследований, для создания классификаций, обобщающих работ монографического плана, из которых наибольшего внимания заслуживают работы Е. М. Тареева, Н. Г. Гусевой, Г. Я. Высоцкого, С. И. Довжанского, Яблонской (St. Jablonska), Роднана (G. P. Rodnan), Лероя (E. С. LeRoy) и другие

Этиология не выяснена; обсуждается вероятность вирусного и наследственного происхождения заболевания. О возможном участии вирусной инфекции в этиологии системной Склеродермия косвенно свидетельствуют обнаружение вирусоподобных частиц в поражённых тканях, вирусоспецифического фермента (обратной транскриптазы) в костном мозге, повышение титра противовирусных антител в сыворотке крови больных. Дискутируется возможность трансплацентарной «вертикальной» и «горизонтальной» трансмиссии вируса, интеграции вируса с геномом клетки, активации латентной вирусной инфекции.

Концепция наследственной передачи системной Склеродермия основывается главным образом на наличии семейных случаев заболевания, нередком обнаружении иммунологический нарушений у клинически здоровых родственников заболевших, большой частоте хромосомных аберраций (смотри полный свод знаний: Мутация) у больных системной Склеродермия


Охлаждение, вибрация, травма, контакт с некоторыми химический агентами (кремниевая пыль, хлорвинил и другие), инфекции, нейроэндокринные нарушения, предшествующие у ряда больных развитию системной Склеродермия, могут рассматриваться как провоцирующие факторы. Они сохраняют своё значение в теории полигенного мультифакториального наследования системной Склеродермия

Патогенез сложен, он включает характерные изменения метаболизма соединительной ткани (смотри полный свод знаний) с увеличением биосинтеза коллагена (смотри полный свод знаний) и неофибриллогенеза как основы генерализованного фиброза, иммунные нарушения и поражение сосудистого, микроциркуляторного русла с развитием своеобразной склеродермической ангиопатии (облитерирующий эндартериолит, редукция капилляров, распространённые вазоспастические реакции).

Для системной Склеродермия характерна гиперактивность фибробластов с избыточным коллагено и фибриллообразованием при нарушении межклеточного и внутритканевого взаимодействия компонентов соединительной ткани. Наблюдаются увеличение содержания оксипролина (смотри полный свод знаний: Пролин) в моче и плазме крови больных, значительное повышение скорости биосинтеза коллагена в коже, увеличение растворимой фракции коллагена и энзима протоколлагенпролин-гидроксилазы у части больных, ультраструктурные признаки повышенной функциональной активности фибробластов кожи и усиленного неофибриллогенеза. Склеродермоподобный синдром при лечении блеомицином также связан с избыточной продукцией коллагена вследствие стимулирующего воздействия препарата на фибробласты. При исследовании монослойной культуры фибробластов кожи больных системной Склеродермия обнаружена фенотипически устойчивая гиперпродукция компонентов соединительной ткани, главным образом коллагена, выявлено нарушение функциональных свойств мембраны фибробластов (аномальная реакция на адреналин и другие). Изменение функций коллагенсинтезирующих клеток со сниженным или «дефектным» восприятием сигнала со стороны регуляторных систем организма может вести к аномалии процессов фибриллообразования (агрегации коллагеновых волокон, сборки фибрилл и другие) и характерному для системной Склеродермия фиброзированию тканей.

Системной Склеродермия свойственны также нарушения гуморального и клеточного иммунитета (смотри полный свод знаний), о чем свидетельствует сочетание с различными аутоиммунными заболеваниями и синдромами — гемолитической анемией (смотри полный свод знаний), тиреоидитом Хасимото (смотри полный свод знаний: Хасимото болезнь), синдромом Шегрена (смотри полный свод знаний: Шегрена синдром) и другие При ней нередко выявляются: антинуклеолярные и антинуклеарные антитела, включая антитела к антигену Scleroderma-70, антицентромерные (к центромерному хроматину) аутоантитела; антитела и клеточные иммунные реакции на коллаген; снижение содержания Т-супрессоров при нормальном содержании В-лимфоцитов в крови; цитопатический эффект лимфоцитов; сходство кожных и сосудистых изменений при системной Склеродермия с реакциями, наблюдаемыми при трансплантации костного мозга и другие

Важное патогенетическое значение имеют нарушения микроциркуляции (смотри полный свод знаний) и собственно склеродермическая ангиопатия, играющая ведущую роль в происхождении многих клинические, проявлений системной Склеродермия и нередко определяющая прогноз, в частности при развитии так называемый истинной склеродермической почки.

Сыворотка крови больных системной Склеродермия обладает цитотоксической активностью в отношении эндотелия, повреждение которого сопровождается адгезией и агрегацией тромбоцитов (смотри полный свод знаний), активацией коагуляции (смотри полный свод знаний), фибринолизом (смотри полный свод знаний), высвобождением медиаторов воспаления (смотри полный свод знаний), увеличением проницаемости сосудистой стенки с последующим плазматическим её пропитыванием и отложением фибрина. Медиаторы воспаления усиливают деструкцию эндотелия, микротромбоз и внутрисосудистую коагуляцию, поддерживая повреждение. Последующая репарация сосудистой стенки сопровождается редупликацией базальных мембран, интимальной миграцией и пролиферацией гладкомышечных клеток. Последние, являясь разновидностью фибробластов, способны синтезировать коллаген преимущественно III типа и ответственны в значительной степени (в указанных условиях) за развитие сосудистого и периваскулярного фиброза.

Таким образом, микроциркуляторное русло играет роль органа-мишени, где осуществляется контакт с гипотетическим повреждающим агентом, и оно активно участвует, наряду с соединительной тканью и иммунной системой, в развитии характерного для системной склеродермии патологический процесса.

Патологическая анатомия. Системная Склеродермия морфологически характеризуется выраженным фиброзом различных органов и тканей. В основе тканевых повреждений лежит поражение сосудов и избыточная продукция коллагена (смотри полный свод знаний).

Наиболее характерные изменения отмечаются в коже. Как при системной, так и при ограниченной Склеродермия выделяют три стадии кожных изменений: 1) стадию плотного отека; 2) стадию индурации; 3) стадию атрофии. В стадии плотного отёка преобладают признаки повышенной сосудистой проницаемости (смотри полный свод знаний). Выявляются гидропическая дистрофия клеток базального слоя эпидермиса (смотри полный свод знаний: Вакуольная дистрофия), расширение лимфатических, щелей, незначительное разволокнение коллагеновых пучков дермы за счёт отёка, васкулиты (смотри полный свод знаний), телеангиэктазии (смотри полный свод знаний),воспалительная инфильтрация вокруг сосудов, придатков кожи и в подкожной клетчатке. Среди клеток воспалительного инфильтрата в поражённых тканях отмечается резкое преобладание Т-лимфоцитов и макрофагов с признаками интенсивно протекающего фагоцитоза (смотри полный свод знаний). Утолщённые гиалинизированные пучки коллагеновых волокон встречаются в стадии плотного отёка лишь в глубоких отделах сетчатого (ретикулярного) слоя дермы. Флейшмайером (R. Fleischmajer) с соавторами (1980) с помощью иммунофлюоресценции (смотри полный свод знаний) и электронной микроскопии (смотри полный свод знаний) установлено, что склероз начинается вокруг капилляров и вблизи подкожной клетчатки. Фибробласты в участках фиброза имеют развитый шероховатый эндоплазматический ретикулум (смотри полный свод знаний), окружены скоплениями тонких фибрилл (диаметром 10—30 нанометров) отмечается увеличение количества тонких коллагеновых волокон, незрелые пучки которых аналогичны тем, которые выявляются в коже в эмбриональный период.

Стадия индурации (рисунок 1) характеризуется склерозом сосочкового и Сетчатого слоёв дермы с запустеванием капилляров, склерозом стенок сосудов, уменьшением количества клеток, утолщением коллагеновых пучков сетчатого слоя и гиалинозом (смотри полный свод знаний), атрофией эпидермиса и придатков кожи, склерозом и гиалинозом подкожной клетчатки. Васкулиты на этой стадии выявляются редко. Клеточные инфильтраты обычно скудные, представлены 3—5 клетками лимфоидного типа.

Стадия атрофии развивается через много лет после начала заболевания. При гистологический исследовании кожи и подкожной клетчатки выявляются поля гиалинизированной ткани с диффузной атрофией эпидермиса, выравниванием сосочков, резким запустеванием сосудов микроциркуляторного русла, уменьшением количества клеток, атрофией придатков кожи. Эти изменения кожи сопровождаются некрозами (смотри полный свод знаний) и трофическими язвами (смотри полный свод знаний). При синдроме Тибьержа — Вейссенбаха (смотри полный свод знаний: ниже) в подкожной клетчатке выявляются отложения извести. В участках внешне не изменённой кожи отмечается утолщение коллагеновых пучков глубокого отдела сетчатого слоя дермы.

При активном течении патологический процесса васкулиты артериол и мелких артерий имеют пролиферативный характер с циркулярным разрастанием внутренней оболочки (рисунок 2). При электронной микроскопии в капиллярах поражённых тканей обнаруживается вакуолизация и деструкция эндотелия, а также многослойная базальная мембрана. По данным К луга (Н. Кlug) с соавторами (1977) и другие, при иммунофлюоресцентном исследовании материала, полученного при биопсии почек, мышц и кожи в стенках мелких артерий и капилляров, а также под сарколеммой мышечных волокон обнаружены депозиты IgM и комплемента.

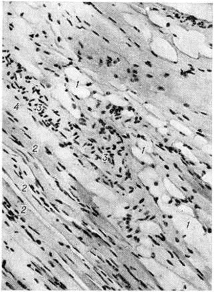
Поражение кожи при системной Склеродермия часто сочетается с поражением суставов, костей и мышц. При поражении суставов обнаруживается экссудативно-пролиферативный синовит (смотри полный свод знаний) с фибринозными наложениями на поверхности синовиального слоя суставной капсулы, очаговой пролиферацией синовиоцитов, единичными продуктивными васкулитами, умеренно выраженным ангиоматозом, лимфоидно-макрофагальной инфильтрацией в субсиновиальном и фиброзном слоях. Суставной хрящ при системной Склеродермия теряет эластичность, становится ломким и быстро изнашивается; отмечается околосуставной остеопороз (смотри полный свод знаний). При отсутствии признаков артрита в суставной полости фактически отсутствует синовиальная жидкость, макроскопически синовиальный слой суставной капсулы становится плотным, лишённым ворсинок. При гистологический исследовании с трудом удаётся найти её органоспецифические особенности: синовиоциты на большем протяжении отсутствуют, синовиальный слой покрыт гиалиноподобными массами, субсиновиальный слой представлен бедной сосудами фиброзной соединительной тканью с обширными полями гиалиноза. При системной Склеродермия, сопровождающейся миопатическим синдромом, гистологический исследование скелетных мышц выявляет картину хронический миозита (смотри полный свод знаний) с разнокалиберностью мышечных волокон, гидропической дистрофией и миолизом части их, периваскулярными инфильтратами из лимфоцитов, макрофагов, полинуклеаров, васкулитами, разрастанием грануляционной и фиброзной соединительной ткани в эн дои перимизии. Более характерен фиброзирующий интерстициальный миозит (рисунок 3) с выраженным склерозом, липоматозом, гиалинозом эпи и перимизия, склерозом стенок сосудов, запустеванием капиллярного русла, мелкоочаговой периваскулярной лимфоидно-макрофагальной инфильтрацией, единичными васкулитами, очаговой перифасцикулярной или диффузной атрофией мышечных волокон.

В желудочно-кишечные тракте отмечаются атрофия слизистой оболочки и гладких мышц, склероз и гиалиноз подслизистой основы и серозной оболочки иногда с развитием эрозий и язв. Особенно резко выражена атрофия гладких мышц кругового слоя. При подостром течении системной Склеродермия находят эзофагит (смотри полный свод знаний), энтерит (смотри полный свод знаний: Энтерит, Энтероколит), колит (смотри полный свод знаний) с пролиферативными, реже деструктивно-пролиферативными васкулитами артерий брыжейки и стенок пищевода и кишечника. В печени отмечается перидуктальный, периваскулярный, реже внутридольковый фиброз, склероз и гиалиноз стенок сосудов, жировая дистрофия гепатоцитов. Реже встречаются хронический активный гепатит (смотри полный свод знаний), первичный билиарный и крупноузловой цирроз печени (смотри полный свод знаний).



Информация об Ordo Deus Перейти в оглавление сайта

Рис. 1.
Микропрепарат кожи при системной склеродермии (стадия индурации): 1 — склероз и гиалиноз сосочкового и сетчатого слоёв дермы и подкожной клетчатки, 2 — скудная лимфоидно-гистиоцитарная инфильтрация по ходу сохранившихся капилляров, 3 — атрофия эпидермиса, 4 — атрофия фолликула волоса; окраска гематоксилин-эозином; ×120.





Информация об Ordo Deus Перейти в оглавление сайта

Рис. 2.
Микропрепарат синовиальной оболочки коленного сустава при системной склеродермии: 1 — хронический продуктивный васкулит, 2 — пролиферация внутренней оболочки сосуда; окраска гематоксилин-эозином; ×200.





Информация об Ordo Deus Перейти в оглавление сайта

Рис. 3.
Микропрепарат скелетной мышцы при системной склеродермии: 1 — липоматоз перимизия, 2 — истончение мышечных волокон, з — пролиферация ядер сарколеммы, 4 — склероз перимизия; окраска гематоксилин-эозином; ×160.





Информация об Ordo Deus Перейти в оглавление сайта

Рис. 7. Кисть больного с склеродактилией: участки депигментации и гиперпигментации кожи, деформация и укорочение пальцев кисти за счёт остеолиза.
Рис. 8. Маскообразность лица у больной системной склеродермией.
Рис. 9. Лицо больной системной склеродермией: бледность кожи лица, телеангиэктазии.
Рис. 10. Пальцы кисти больного системной склеродермией: истончение, очаговая гиперпигментация, натянутость кожи, что придаёт ей блеск (обсосанные пальцы); рубец на месте бывшего некроза у основания II пальца и свежий некроз в области межфалангового сустава II пальца.
Рис. 11. Дистальная часть стопы больного системной склеродермией: частичная ампутация II пальца, дистрофические изменения ногтей.
Рис. 12. Бедро больной бляшечной склеродермией: очаг поражения кожи в виде участка уплотнения цвета слоновой кости с блестящей поверхностью и сиреневым ободком.



В лёгких отмечается картина интерстициальной пневмонии (смотри полный свод знаний) и базального пневмосклероза (смотри полный свод знаний). Преобладает субплевральная локализация патологический процесса; при этом очаги склероза чередуются с эмфизематозными участками и мелкими кистами.

Поражение сердца морфологически характеризуется диффузным мелкоочаговым или крупноочаговым кардиосклерозом (смотри полный свод знаний), гипертрофией миокарда как правого, так и левого желудочков, адгезивным перикардитом (смотри полный свод знаний). В 1/3 случаев встречается диффузное утолщение эндокарда, как пристеночного, так и клапанного, иногда с развитием пороков сердца. При подостром течении системной Склеродермия обнаруживают своеобразный межуточный миокардит (смотри полный свод знаний) с отёком и разрастанием соединительной ткани, пролиферативными, реже деструктивно-пролиферативными васкулитами мелких ветвей коронарных (венечных) артерий и артериол. Изредка выявляется гиалиноз внутренней и наружной оболочек основных стволов коронарных артерий.

При так называемый истинной склеродермической почке отмечаются тромбоз, инфаркты, некрозы её коркового вещества. При гистологический исследовании определяются пролиферация интимы, мукоидный отёк, тромбоваскулиты междольковых артерий, фибриноидный некроз приводящих артериол, воспалительная инфильтрация, дистрофия и некроз эпителия канальцев. Изредка встречаются фибриноидный некроз и «проволочные петли» в клубочках почечных телец. Однако, чаще при системной Склеродермия, в почках отмечается картина очагового или хронического интракапиллярного пролиферативно-мембранозного гломерулонефрита (смотри полный свод знаний). В исходе последнего может развиться вторичное сморщивание почек.

С васкулитами, склерозом и гиалинозом стенок сосудов связывают поражение центральная нервная система В вегетативных нервных окончаниях, узлах симпатического ствола и вегетативных центрах мозгового ствола выявляют дистрофические изменения. В случае развития при системной Склеродермия полиневрита (смотри полный свод знаний) или полиневропатии (смотри полный свод знаний: Невропатия, в неврологии) отмечается как васкулит мелких сосудов, питающих нервы, так и склероз эпиневрия, периневрия нервных стволов и разрушение аксонов.

Клиническая картина полисиндромна, отражает системный, прогрессирующий характер заболевания. Системная Склеродермия чаще начинается постепенно с сосудистых нарушений, характерных для болезни Рейно (смотри полный свод знаний: Рейно болезнь), умеренных артралгий (смотри полный свод знаний), реже с артрита (смотри полный свод знаний: Артриты), плотного отёка пальцев рук с ограничением движений и склонностью к образованию контрактур (смотри полный свод знаний); в отдельных случаях — с поражения внутренних органов (пищеварительной системы, сердца, лёгких). Значительно реже наблюдается острое полисиндромное начало заболевания, нередко с повышением температуры тела до 38° и выше, быстро прогрессирующим течением и генерализацией процесса в первые 3—6 месяцев от начала болезни. Из общих проявлений заболевания наиболее характерна значительная, иногда катастрофическая потеря веса, наблюдающаяся в период генерализации или быстрого прогрессирования болезни. У половины больных отмечается субфебрильная температура.

Одним из важных диагностических признаков системной Склеродермия является характерное поражение кожи, меняющее внешний облик у 80— 90% больных, но в начале заболевания наблюдающееся лишь в 1/3 случаев. Локализуется главным образом на кистях — склеродактилия (цветной рисунок 7), на лице — маскообразность (цветной рисунок 8), верхней половине туловища, стопах; реже (преимущественно при быстром прогрессирующем течении) наблюдается диффузное поражение кожи. Наряду с характерными склеродермическими изменениями кожи, проходящими стадии плотного отёка, индурации (смотри, полный свод знаний:) и атрофии (смотри полный свод знаний), отмечаются гиперпигментация, нередко чередующаяся с участками депигментации (смотри полный свод знаний: Дисхромии кожи), телеангиэктазии (цветной рисунок 9), трофические нарушения (деформация ногтей, облысение). У отдельных больных наблюдается поражение кожи по типу ограниченной Склеродермия Нередко отмечается поражение слизистых оболочек — хронический конъюнктивит (смотри полный свод знаний), атрофический и субатрофический ринит (смотри полный свод знаний), стоматит (смотри полный свод знаний), фарингит (смотри полный свод знаний) и поражение слюнных желёз, в ряде случаев синдром Шегрена (смотри полный свод знаний: Шегрена синдром).

Синдром Рейно — ранний и частый признак системной Склеродермия, встречается, по данным различных исследователей, у 70—90% больных. В отличие от болезни Рейно, синдром Рейно при системной Склеродермия более распространённый: изменение сосудов отмечается на кистях, стопах, иногда в области лица, аналогичные изменения — в лёгких и почках. Нередко синдром Рейно задолго предшествует суставным и кожным проявлениям или развивается одновременно с ними. Такие факторы, как охлаждение, вибрация, эмоциональная лабильность, усугубляют уже имеющиеся нарушения микроциркуляции, способствуют прогрессированию синдрома Рейно и возникновению сосудисто-трофических изменений (цветной рисунок 10) — повторных изъязвлений тканей кончиков пальцев вплоть до развития гангрены (смотри полный свод знаний).

Поражение опорно-двигательного аппарата отмечается у всех больных системной Склеродермия и является одной из причин инвалидности этих больных. Часто наблюдается суставной синдром; он является одним из начальных признаков заболевания. Выделяют три основных его варианта: 1) полиартралгия; 2) полиартрит с преобладанием экссудативно-пролиферативных (ревматоидоподобный) или фиброзно-индуративных изменений; 3) периартрит с деформацией суставов и развитием контрактур, преимущественно за счёт поражения периартикулярных тканей. Поражение мышц при системной Склеродермия проявляется чаще фиброзным интерстициальным миозитом с развитием контрактур, реже — истинным миозитом с прогрессирующей мышечной слабостью и нарушениями движений, как при дерматомиозите (смотри полный свод знаний).

Характерны изменения костей в виде остеолиза (смотри полный свод знаний), чаще дистальных (ногтевых) фаланг, что проявляется клинически в виде укорочения (цветной рисунок 11) и деформации пальцев рук и ног. Для системной Склеродермия характерен кальциноз мягких тканей, известный как синдром Тибьержа — Вейссенбаха. Отложения солей кальция локализуются преимущественно в области пальцев рук и периартикулярно — вокруг локтевых, плечевых и тазобедренных суставов, в подкожной клетчатке, иногда по ходу фасций и сухожилий мышц. Кальцификация тканей развивается постепенно, как правило, не ранее чем через 5 лет от начала болезни. Чаще кальциноз тканей не вызывает неприятных ощущений и выявляется лишь рентгенологически, а при локализации его в пальцах — по деформации последних. При более бурном, чаще по типу отдельных обострений, развитии процесса выявляется инфильтрация тканей с выраженным болевым синдромом, ухудшением общего состояния и иногда лихорадочной реакцией. При поверхностном расположении очаги кальциноза могут вскрываться с выделением белой крошковатой или жидкой массы.

Поражение пищеварительного тракта, особенно пищевода и кишечника, наблюдается в 60—70% случаев и имеет характерную клинико-рентгенологическую картину. Изменения со стороны пищевода могут отмечаться на ранних стадиях заболевания; они проявляются дисфагией (смотри полный свод знаний), ослаблением перистальтики (смотри полный свод знаний), расширением верхней трети и сужением нижней трети пищевода, ригидностью его стенок. Позже присоединяются явления рефлюкс-эзофагита (смотри полный свод знаний: Эзофагит), что сопровождается в ряде случаев развитием пептических язв (смотри полный свод знаний), стриктур, грыжи пищеводного отверстия диафрагмы (смотри полный свод знаний). Склеродермическое поражение кишечника проявляется дилатацией двенадцатиперстной кишки, дуоденитом (смотри полный свод знаний), саккуляцией толстой кишки, синдромом нарушения всасывания (смотри полный свод знаний: Мальабсорбции синдром) и упорными запорами, иногда с явлениями частичной непроходимости кишечника (смотри полный свод знаний).

Поражение печени проявляется её увеличением, в отдельных случаях — кожным зудом, периодически возникающей желтухой, что свидетельствует о хронический гепатите (смотри полный свод знаний) или циррозе. Изменения поджелудочной железы выявляются редко, преимущественно при функциональных исследованиях.

Поражение лёгких наблюдается примерно у 2/3 больных; оно характеризуется постепенным развитием диффузного пневмосклероза (компактного, реже — кистозного) с преимущественной локализацией в базальных отделах, а также наличием спаечного процесса и утолщения (фиброза) плевры. Клинические, признаки пневмосклероза (смотри полный свод знаний) в начальной стадии незначительны или отсутствуют, в то время как функциональные нарушения и рентгенологическое изменения уже имеются. Поэтому рекомендуется использование этих методов исследования для ранней диагностики склеродермического пневмофиброза. Степень выраженности и тяжести пневмофиброза обусловлена, в первую очередь, активностью склеродермического процесса. У больных с подострой Склеродермия наблюдаются интерстициальные пневмонии (смотри полный свод знаний). При выраженном пневмофиброзе развиваются бронхоэктазы, эмфизема, перифокальные пневмонии, явления дыхательной недостаточности.

Поражение сердца, в частности миокарда, ведущий признак поражения внутренних органов при системной Склеродермия как по частоте, так и по значимости, так как в отдельных случаях приводит к смертельному исходу. Для склеродермического кардиосклероза (смотри полный свод знаний), лежащего в основе поражения миокарда, характерно увеличение размеров сердца, нарушение ритма (чаще — экстрасистолия) и проводимости, ослабление сократительной функции с зонами адинамии, выявляемыми при рентгенокимографии (смотри полный свод знаний) и особенно отчётливо при эхокардиографии (смотри полный свод знаний). Крупноочаговый фиброз миокарда сопровождается инфарктоподобными изменениями на ЭКГ и в отдельных случаях может вести к развитию своеобразной «мозолистой» аневризмы сердца. При системной Склеродермия возможно поражение эндокарда клапанов с образованием порока сердца, чаще левого предсердно-желудочкового — митрального (смотри полный свод знаний: Пороки сердца приобретённые), который отличается относительной доброкачественностью течения с редким развитием декомпенсации. Клинические, и рентгенологическое картина порока сердца не всегда отчётлива в связи с одновременным поражением миокарда и перикарда. Склеродермический перикардит (смотри полный свод знаний) носит преимущественно адгезивный характер, хотя на секции довольно часто регистрируется увеличение жидкости в перикардиальной полости (нарушения транссудации).

У 1/3 больных, обычно при подостром и хроническом течении системной Склеродермия, обнаруживаются субклиническая форма поражения почек, выявляемая при проведении функциональных исследований, например, ренографии с использованием 131I гиппурана (смотри полный свод знаний: Ренография радиоизотопная), а также признаки латентного и, сравнительно редко, гипертензивного, нефротического или смешанного типа (при подостром течении) гломерулонефрита (смотри полный свод знаний).

Описана так называемый истинная склеродермическая почка—состояние, характеризующееся катастрофической остротой развития болезни (2—4 недели) и летальным исходом. Для неё характерны протеинурия (смотри полный свод знаний), признаки быстро нарастающей почечной недостаточности (смотри полный свод знаний) — азотемия (смотри полный свод знаний), олигурия (смотри полный свод знаний) и терминальная анурия (смотри полный свод знаний), артериальная гипертензия (смотри полный свод знаний: Гипертензия артериальная), ретинопатия (смотри полный свод знаний) и энцефалопатия (смотри полный свод знаний). Отмечается сходство некоторых патогенетических черт и морфологический признаков истинной склеродермической почки со злокачественной артериальной гипертензией. При тяжёлой артериальной гипертензии обнаруживается высокий уровень ренина в плазме крови. Истинная склеродермическая почка развивается, как правило, при острой быстро прогрессирующей системной Склеродермия и является главной причиной смерти больных при этом варианте течения заболевания.

Поражение нервной системы при системной Склеродермия встречается часто. Ведущим синдромом является нейроциркуляторная дистония (смотри полный свод знаний). Уже на ранних стадиях болезни нарушается секреция потовых желёз: сначала отмечается гипергидроз ладоней и подмышечных областей (смотри полный свод знаний: Гипергидроз), а затем снижение потоотделения в местах атрофии кожи. Вегетососудистые и связанные с ними трофические расстройства проявляются шелушением кожи, гиперкератозом (смотри полный свод знаний), выпадением волос и ресниц, нарушением роста ногтей, повышенной чувствительностью к холоду, снижением кожной температуры на 1—2°, отсутствием местного и рефлекторного дермографизма (смотри полный свод знаний).

При системной Склеродермия нередко встречается полиневропатический синдром (смотри полный свод знаний: Полиневрит). По данным Н. Г. Гусевой, он наблюдается в 1/3 случаев заболевания. В основном полиневропатический синдром проявляется нарушениями чувствительности, больные жалуются на парестезии (смотри полный свод знаний) в руках и ногах, иногда на боли. При исследовании выявляется болезненность по ходу нервных стволов, гиперестезия, а иногда гипестезия или гиперпатия в дистальных отделах конечностей в виде «перчаток» и «носков». Двигательные расстройства при Склеродермия не характерны, хотя, по данным В. В. Михеева, возможно развитие атрофических парезов кистей и параличей стоп. Несмотря на частое отсутствие грубых парезов и расстройств чувствительности, довольно типично раннее угасание сухожильных рефлексов на руках и ногах, вплоть до полной арефлексии (смотри полный свод знаний). Характерно наличие симптомов натяжения Ласега (смотри полный свод знаний: Радикулит).

Поражение центральная нервная система встречается редко. Оно проявляется менингоэнцефалитическим синдромом (смотри полный свод знаний: Энцефалиты) или сосудистыми нарушениями геморрагического или ишемического характера. Острое нарушение мозгового кровообращения (смотри полный свод знаний) может привести к летальному исходу. Менингоэнцефалитический синдром характеризуется головными болями, головокружениями и слабовыраженными очаговыми симптомами. Достаточно типично изменение психики с тревожно-депрессивными реакциями, иногда развитием острого психотического состояния с делирием, слуховыми и обонятельными галлюцинациями, амнезией. Давление цереброспинальной жидкости повышено, в ней увеличено содержание белка. Может развиться отёк соска зрительного нерва (диска зрительного нерва.

Спинной мозг поражается редко, имеются единичные описания развития симптомов миелита (смотри полный свод знаний) и миелополирадикулоневрита (смотри полный свод знаний). Эти явления обусловлены сосудистыми нарушениями, связанными с основным заболеванием.

Различают три основных варианта течения системной Склеродермия: острое (быстро прогрессирующее), подострое и хроническое, которые отличаются друг от друга активностью и быстротой прогрессирования патологический процесса, степенью выраженности и характером периферических (кожных, суставных и тому подобное) и висцеральных проявлений. Для наиболее частого хронический течения характерны прогрессирующие вазомоторные нарушения (синдром Рейно) и обусловленные ими выраженные трофические расстройства. Они нередко бывают единственным проявлением заболевания на протяжении ряда лет и в дальнейшем превалируют в картине болезни. При хронический течении лабораторные тесты остаются обычно в пределах нормы или близки к ним, за исключением умеренной гиперпротеинемии и гипергаммаглобулинемии у 1/3 больных.

Подострое течение характеризуется наличием плотного отёка кожи с последующей её индурацией, рецидивирующего полиартрита (иногда по типу ревматоидного), реже — миозита с миастеническим синдромом, полисерозита (смотри полный свод знаний), висцеральной патологии — интерстициальных пневмоний с последующим развитием пневмосклероза, кардиосклероза, склеродермического эзофагита (смотри полный свод знаний), дуоденита (смотри полный свод знаний), хронический гломерулонефрита, а также вазомоторных и трофических нарушений.

Острое быстро прогрессирующее течение отличается необычайно быстрым (уже в первый год болезни)развитием диффузной Склеродермия, неуклонным прогрессированием поражений внутренних органов, быстро нарастающим фиброзом органов и тканей и тяжёлой сосудистой патологией с нередким поражением почек по типу истинной склеродермической почки.

Диагноз при развёрнутой картине заболевания не вызывает затруднений; он основывается главным образом на клинические, проявлениях Склеродермия в сочетании с лабораторными, рентгенологическими и морфологическими (биопсия кожи) данными.

В соответствии с критериями Американской ревматологической ассоциации (1979) диагноз «определённой» системной Склеродермия может быть установлен при наличии «большого» критерия, каким считаются проксимальные (по отношению к пальцам) склеродермические изменения кожи, или — двух из трёх «малых» критериев — склеродактилия, трофические язвы кончиков пальцев рук, двусторонний базальный лёгочный фиброз.

Ранний диагноз системной Склеродермия основывается на наличии синдрома Рейно в сочетании с упорными артралгиями (реже — артритом) и (или) умеренными сгибательными контрактурами, плотным отёком пальцев рук, лица, реже — характерных поражений внутренних органов (пищевода, лёгких, сердца).

Кровь при системной Склеродермия изменена мало, лишь у отдельных больных отмечается гипохромная анемия (смотри полный свод знаний), лейкопения (смотри полный свод знаний), несколько чаще — лейкоцитоз (смотри полный свод знаний). Ускоренная РОЭ наряду с увеличением содержания фибриногена (смотри полный свод знаний), α2-глобулинов (смотри полный свод знаний: Глобулины), церулоплазмина, появлением С-реактивного белка (смотри полный свод знаний) отражает активность патологический процесса. В красном костном мозге нередко выявляется плазмоцитарная и ретикулоцитарная реакция. Примерно у половины больных системной Склеродермия наблюдается гипергаммаглобулинемия, обусловливающая тенденцию к гиперпротеинемии; в отдельных случаях — моноклональная гаммапатия. По данным различных исследователей, в 40—60% случаев в сыворотке крови больных обнаруживаются ревматоидный фактор (смотри полный свод знаний), антинуклеарные антитела (в 36—91%) и LE-клетки (в 2—7% случаев), что сближает это заболевание с ревматоидным артритом (смотри полный свод знаний) и системной красной волчанкой (смотри полный свод знаний). Для системной Склеродермия характерно наличие особых антинуклеарных антител к так называемый антигену Scleroderma-70 и антицентромерных антител (последние выявляются главным образом при CREST-синдроме, то есть хронический течении заболевания). У части больных отмечается криоглобулинемия. У 40—60% больных системной Склеродермия выявляется увеличение содержания оксипролина в плазме крови и моче, что свидетельствует о выраженных нарушениях метаболизма коллагена.

Рентгенологические исследование при системной Склеродермия имеет важное клинические, значение, так как, уточняя картину заболевания, способствует решению вопроса о диагнозе. Использование различных рентгенологическое методик зависит от того, какие органы и системы подлежат изучению.

Типичными для системной Склеродермия изменениями со стороны мягких тканей, костей и суставов (рисунок 4) являются участки кальциноза (смотри полный свод знаний) в подкожной клетчатке, преимущественно концевых отделов пальцев рук, реже — стоп, области локтевых, коленных и других суставов. Остеолиз (смотри полный свод знаний) наблюдается в ногтевых фалангах пальцев рук, стоп, венечных отростках ветвей нижней челюсти, дистальных отделах лучевой и локтевой костей, задних отделах рёбер и некоторых других костях. Отмечаются околосуставной остеопороз (смотри полный свод знаний), сужение суставных щелей, иногда единичные эрозии на поверхности суставного хряща и костные анкилозы (смотри полный свод знаний), чаще в суставах запястья.

Большое значение для диагностики системной Склеродермия имеет рентгенологическое исследование желудочно-кишечные тракта, поскольку позволяет выявить одни из наиболее специфичных признаков заболевания — снижение тонуса и ослабление перистальтики, что приводит к расширению просвета органа и длительному стазу бариевой взвеси. Наиболее часто такие изменения встречаются в пищеводе, двенадцатиперстной и тощей кишке (рисунок 5), реже — в желудке и толстой кишке.

При поражении лёгких рентгенологически в базальных отделах определяется диффузный и кистозный пневмосклероз (смотри полный свод знаний), часто сочетающийся с умеренной эмфиземой лёгких (смотри полный свод знаний), а также признаки адгезивного (спаечного) плеврита (смотри полный свод знаний).



Информация об Ordo Deus Перейти в оглавление сайта

Рис. 4.
Рентгенограмма кисти при системной склеродермии: 1 — остеолиз ногтевых фаланг I и II пальцев, 2 — умеренный околосуставной остеопороз, 3 — очаги обызвествления в мягких тканях III, IV и V пальцев.





Информация об Ordo Deus Перейти в оглавление сайта

Рис. 5.
Рентгенограмма двенадцатиперстной кишки и начального отдела тощей кишки при системной склеродермии: расширение нижней горизонтальной части двенадцатиперстной кишки и начального отдела тощей кишки, задержка в них бариевой взвеси (указано стрелками) вследствие снижения тонуса стенок кишок и ослабления перистальтики.





Информация об Ordo Deus Перейти в оглавление сайта

Рис. 6.
Рентгенокимограмма сердца больной системной склеродермией: в нижней части контура левых отделов сердца — отсутствие рентгенокимографических зубцов, свидетельствующее о резком снижении амплитуды пульсации (зона адинамии).



Рентгенологические симптомы поражения сердца выявляются почти в 100% наблюдений и характеризуются изменениями его конфигурации за счёт увеличения размеров левого желудочка и правых отделов (вследствие развития пневмосклероза и лёгочной гипертензии). Типичным является уменьшение амплитуды пульсации вплоть до зон адинамии (рисунок 6), хорошо выявляемое при рентгенокимографии (смотри полный свод знаний). Могут наблюдаться признаки поражения клапанного аппарата, преимущественно в виде недостаточности левого предсердно-желудочкового (митрального) клапана, в отдельных случаях— стеноза левого предсердно-желудочкового отверстия и недостаточности клапана аорты (изменения конфигурации, размеров полостей сердца, а также и характера пульсации сердца).

Системную Склеродермия следует дифференцировать с заболеваниями так называемый склеродермической группы (ограниченная Склеродермия, эозинофильный фасциит, склередема Б ушке), с другими диффузными болезнями соединительной ткани, ревматоидным артритом (смотри полный свод знаний), с группой псевдосклеродермических состояний.

Особенности клинические, картины позволяют сравнительно легко разграничить системную и ограниченную Склеродермия, однако следует иметь в виду возможность очагового поражения кожи при системной Склеродермия Дифференциальная диагностика с эозинофильным фасциитом базируется на свойственной последнему (устанавливаемой путём биопсии) диффузной индурации глубоких слоёв фасции и подкожной клетчатки, преимущественно в области предплечий, реже — голеней, туловища, эозинофилии крови и нередко тканей, а также отсутствии при эозинофильном фасциите синдрома Рейно и поражения внутренних органов. При склередеме Бушке в отличие от системной Склеродермия начальная локализация процесса отмечается в области шеи и лица; поражается преимущественно подкожная клетчатка.

При ревматоидном артрите, особенно при ювенильном ревматоидном артрите, возможны возникновение синдрома Рейно, истончение и трофические изменения кожи пальцев рук. С другой стороны, в ряде случаев при системной Склеродермия развивается полиартрит, напоминающий поражение суставов при ревматоидном артрите. Трудности при дифференциальной диагностике в этих случаях могут быть разрешены при учёте характерных симптомов и динамики процесса.

Характер заболевания в целом, а также особенности вазоспастических нарушений и поражения внутренних органов обычно позволяют отличить системную Склеродермия от дерматомиозита (смотри полный свод знаний) и пойкилодерматомиозита (смотри полный свод знаний) даже при наличии сходных черт (сгибательные контрактуры конечностей, маскообразность лица, дисфагия). Полимиозит (смотри полный свод знаний: Миозит) может быть проявлением системной Склеродермия, но в отличие от поражения скелетных мышц при дерматомиозите он редко и лишь короткий срок превалирует в картине болезни. Дифференциальная диагностика с системной красной волчанкой (смотри полный свод знаний) обычно не сложная. Следует учитывать, что антинуклеарный фактор, антитела к ДНК (чаще в небольшом титре), единичные LE-клетки могут наблюдаться при системной Склеродермия чаще подострого течения.

Псевдосклеродермические синдромы при первичном амилоидозе, врождённых нарушениях метаболизма — порфирии (смотри полный свод знаний), фенилкетонурии (смотри полный свод знаний), гепато-церебральной дистрофии (смотри полный свод знаний), при отдельных эндокринопатиях, например, синдроме Вернера (смотри полный свод знаний: Вернера синдром) и паранеопластических синдромах (смотри полный свод знаний), характеризуются главным образом кожно-суставно-мышечной, реже — сосудистой симптоматикой, напоминающей, но не идентичной проявлениям системной Склеродермия Атипизм периферических и отсутствие характерных для Склеродермия поражений внутренних органов, наряду с клинические, особенностями псевдосклеродермических синдромов, являются основой дифференциальной диагностики.

Системную Склеродермия следует дифференцировать с такими дерматол. заболеваниями, как хронический атрофический акродерматит (смотри полный свод знаний) и склероатрофический лихен с преимущественным поражением слизистых оболочек и вторичным прогрессирующим их склерозом, что может сопровождаться сужением просвета пищевода, влагалища. Полное клинические, обследование больного, уточнение характера локального поражения и динамики патологический процесса позволяют разграничить эти заболевания.

Лечение больных системной Склеродермия проводится длительно (годами). При выборе комплекса лечебный мероприятий необходимо учитывать характер течения, активность и стадию заболевания. Из лекарственных средств применяются D-пеницилламин, унитиол, кортикостероиды, аминохинолиновые препараты, иммунодепрессанты, нестероидные противовоспалительные, сосудорасширяющие и дезагрегирующие средства, лидаза, диметилсульфоксид, реже — миорелаксанты центрального действия, колхицин, гепарин, гризеофульвин н другие

D-пеницилламин ингибирует созревание и, частично, биосинтез коллагена. Применяется главным образом при остром и подостром течении заболевания в постепенно возрастающих дозах: начиная с 300 миллиграмм до 1—2 грамм в день с последующем переходом на поддерживающую дозу (300 миллиграмм в день). Лечение проводится длительно — в течение 2—3 лет (иногда до 5). У 1/3 больных наблюдаются побочные реакции: дерматит, диспептические расстройства, потеря вкуса, лихорадка, лейкопения и тромбоцитопения, лекарственная нефропатия. При длительном лечении D-пеницилламином отчётливо уменьшаются индуративные изменения кожи, суставной и сосудистый синдромы. Менее отчётливо влияние препарата на висцеральную патологию. В отдельных наблюдениях под влиянием лечения отмечен переход острого течения в подострое и даже хроническое.

Унитиол, так же как D-пеницилламин, содержит сульфгидрильные группы и оказывает воздействие на метаболизм коллагена; он может применяться в комплексном лечении Склеродермия Назначают повторные курсы лечения унитиолом; вводят по 5 миллилитров 5% раствора внутримышечно, на курс 10—12 инъекций.

Глюкокортикостероиды (преимущественно преднизолон) назначают при наличии клинические, и лабораторный признаков активности патологический процесса, при остром и подостром течении и редко (короткими курсами продолжительностью 1—2 месяцев) при обострении хронической Склеродермия Начальная доза составляет 30—40 миллиграмм в день (в сочетании с. D-пеницилламином — 20 мг); её применяют в течение 1 — 2 месяцев до достижения клинические, эффекта. В последующем, при стабилизации процесса, постепенно дозу препарата снижают до поддерживающей (20— 15 — 10 миллиграмм в день). Глюкокортикостероиды применяют длительно; побочные реакции при этом возникают редко. Глюкокортикостероиды эффективны при суставном, кожном и сосудистом синдромах, некоторых висцеральных проявлениях (миокардите, интерстициальной пневмонии). Они не показаны при развитии истинной склеродермической почки.

Производные аминохинолина (хлорохин, резохин, плаквенил) применяют как основной вид лечения при подостром и особенно хронический течении системной Склеродермия Назначают по 0,25 грамм хлорохина или 0,4 грамм плаквенила в день длительно (2—3 года) под контролем анализов крови и наблюдением окулиста. Эти препараты оказывают положительное воздействие преимущественно при суставном синдроме.

Нестероидные противовоспалительные препараты (ацетилсалициловая кислота, бруфен, вольтарен, индометацин и другие) назначают больным системной Склеродермия чаще всего при суставном синдроме. Цитостатические иммунодепрессанты (азатиоприн, циклофосфамид, хлорбутин и другие) применяют при системной Склеродермия сравнительно редко, главным образом при высокой активности патологический процесса, не поддающегося воздействию кортикостероидов, или в случае противопоказаний к лечению ими. Азатиоприн предпочтителен при поражении почек по типу гломерулонефрита. Его назначают по 1—3 миллиграмм на 1 килограмм веса (массы) тела больного (50—200 миллиграмм в день) в течение 2—3 месяцев под контролем анализов крови. Из вазодилататоров и дезагрегантов при системной Склеродермия применяют компламин, ангинин, андекалин, препараты никотиновой кислоты, гризеофульвин, курантил, низкомолекулярный декстран и другие Улучшают периферическое кровообращение гипер барическая оксигенация (смотри полный свод знаний), бальнеотерапия и физиотерапия.

При полиневропатии, помимо указанных препаратов, назначают витамины группы В и повторные курсы аденила по 1 миллилитров 2 раза в день в течение 1 месяцев, а также массаж и ЛФК.

При развитии истинной склеродермической почки необходима массивная гипотензивная терапия, включающая ингибиторы системы ренин — ангиотензин, повторный гемодиализ (смотри полный свод знаний), в отдельных случаях показана пересадка почки (смотри полный свод знаний).

Лидазу применяют при хронический течении системной Склеродермия повторными курсами в виде подкожных инъекций по 64—128 ЕД (на курс 12—14 инъекций) или электрофореза на поражённые участки кожи.

Диметилсульфоксид назначают в виде аппликаций на поражённые участки кожи, его можно комбинировать с препаратами никотиновой кислоты, трилоном В, анальгетиками.

При наличии кальциноза показано лечение Na2 ЭДТА, обладающего хелатирующим действием.

Санаторно-курортное лечение с применением бальнеотерапии (радоновые, сероводородные, углекислые ванны), грязелечения и другие показано главным образом при хронический течении системной Склеродермия При отсутствии противопоказаний возможно раннее включение в терапевтический комплекс массажа и лечебный физкультуры.

Прогноз определяют характер течения, своевременность диагностики и адекватность терапии. При хронический течении прогноз благоприятный, при подостром — удовлетворительный, при остром — неблагоприятный, особенно в случаях развития истинной склеродермической почки.

Профилактика заключается в устранении внешних факторов, провоцирующих развитие системной Склеродермия у «угрожаемых» в отношении развития заболевания лиц: охлаждения, вибрации, воздействия химический веществ, включая кремниевую пыль, аллергизирующие влияния и другие К группе «угрожаемых» в отношении развития системной Склеродермия относятся лица со склонностью к вазоспастическим реакциям, с ограниченной Склеродермия или рецидивирующими полиартралгиями, родственники больных коллагеновыми болезнями. Вторичная профилактика, рассчитанная на предупреждение обострений и прогрессирования болезни, включает раннюю диагностику и своевременное адекватное лечение обострений заболевания в стационаре и амбулаторных условиях, диспансеризацию, проведение реабилитационных мер, включая этап курортного лечения (преимущественно при хронический течении). Необходимо правильное трудоустройство больных и исключение указанных выше факторов, провоцирующих развитие Склеродермия и её обострений. При остром и подостром течении системной Склеродермия больные, как правило, нетрудоспособны и должны переводиться на инвалидность, а при хроническом — ограниченно трудоспособны.

Правильное своевременное лечение и трудоустройство позволяют улучшить прогноз и сохранить трудоспособность части больных системной Склеродермия

Особенности системной склеродермии у детей. Системная Склеродермия у детей встречается редко. Заболевание начинается обычно в возрасте от 5 до 10 лет. Девочки заболевают в 5 раз чаще. Провоцирующими факторами, помимо тех, которые вызывают заболевание у взрослых, являются острые детские инфекции, введение вакцин и сывороток.

Типичные для системной Склеродермия изменения кожи как первый симптом заболевания отмечаются только у половины больных. Последовательную смену стадий кожных изменений удаётся проследить не всегда. У одного и того же больного возможно сочетание плотного отёка кожи с индурацией, индурации с атрофией или присутствие одновременно всех трёх стадий. Так же как и у взрослых, у детей помимо типичных встречаются изменения кожи в виде ограниченной Склеродермия и трофические расстройства, нарушения пигментации. Телеангиэктазии у детей редки. Сосудистый синдром в виде вазоспастических кризов (синдром Рейно) как первый признак болезни встречается примерно в 3 раза реже, чем у взрослых, но в дальнейшем частота сосудистых проявлений нарастает. При прогрессирующем процессе возможно образование трофических язв (у 20% больных). Суставной синдром аналогичен таковому у взрослых. Уже на ранних этапах болезни нередко появляются тяжёлые суставно-мышечные контрактуры. Клиника мышечных поражений, а также частота истинного миозита такие же, как у взрослых. Остеолиз и кальциноз встречаются в 2 раза реже, чем у взрослых, однако, в отличие от взрослых, у детей возможно их появление в более ранние периоды — на 2—3-м году болезни.

Поражения внутренних органов у детей, как правило, мало выражены, прогрессируют медленно. Однако с помощью инструментальных методов исследования выявляют большую частоту и распространённость висцеральной патологии. Чаще всего наблюдаются изменения со стороны сердца. Миокард поражается у всех больных, перикард — несколько реже, но в 4 раза чаще, чем у взрослых, эндокард — у 1/3 больных детей. Поражение лёгких по частоте стоит на втором месте (примерно у 70% больных). Ранним признаком поражения лёгких являются функциональные нарушения, в частности регионарное снижение жизненной емкости легких, выявляемое с помощью радиопневмографии (смотри, полный свод знаний: Лёгочная вентиляция). Поражение пищевода в виде нарушения моторики диагностируется рентгенологическое методом у половины детей. Поражение почек клинически выявляется примерно у 40% больных и чаще характеризуется слабо выраженными изменениями в моче (преходящая альбуминурия, незначительные изменения осадка).

У детей наблюдаются такие же варианты течения системной Склеродермия, как и у взрослых. Подострое и хроническое течение встречается примерно с одинаковой частотой. Возможно острое течение с летальным исходом в первые три года болезни. Хронический формы болезни, длительно протекающие с изолированным синдромом Рейно, у детей редки.

Осложнения наиболее часто связаны с присоединением вторичной инфекции — инфицирование язв, пиелонефрит (смотри полный свод знаний), реже пневмония {см.), сепсис (смотри полный свод знаний). Как редкое осложнение встречаются патологический переломы костей нижних конечностей, не связанные с гормональным лечением.

Дифференциальный диагноз следует проводить со склередемой (смотри полный свод знаний) и фенилкетонурией (смотри полный свод знаний). Для первой характерны этапность появления индурации, отсутствие фиброза и атрофии мягких тканей, суставных и вазоспастических проявлений; патологический процессы во внутренних органах протекают доброкачественно и стихают по мере исчезновения кожной индурации. При фенилкетонурии, сопровождающейся уплотнением кожи и мышц, отмечается отставание психического и физического развития, а также повышение содержания фенилаланина в крови и обнаружение его в моче.

Принципы терапии системной Склеродермия у детей те же, что и у взрослых.

Прогноз наиболее серьёзен при развитии болезни в раннем возрасте и зависит от быстроты развития и тяжести поражения мышц и суставов, глубины и распространённости сосудистых расстройств, присоединения вторичной инфекции. При прогрессировании висцеральных поражений прогноз отягощается.

Профилактика аналогична профилактике Склеродермия у взрослых; следует проводить тщательное и адекватное лечение детских инфекций, соблюдать правила проведения плановых прививок.

Ограниченная склеродермия (sclerodermia circumscripta; синонимы: очаговая Склеродермия, локализованная Склеродермия, келоидоподобная Склеродермия, келоид Аддисона). Как и при системной Склеродермия, патологический процесс в коже при ограниченной Склеродермия проходит три стадии: плотного отёка, индурации и атрофии. В некоторых случаях помимо кожи поражаются подлежащие мышцы с развитием ограниченного миосклероза. По характеру кожных поражений выделяют несколько вариантов ограниченной Склеродермия

Бляшечная Склеродермия (sclerodermia placata) наблюдается наиболее часто. Она развивается обычно постепенно, без видимых причин, имеет длительное течение с периодами обострений и ремиссий. Характеризуется образованием на боковой поверхности туловища, спине, пояснице или проксимальных отделах конечностей одного или нескольких пятен различной величины, овальной или неправильной формы розоватого цвета с различными оттенками (лиловый, сиреневый). Пятна постепенно увеличиваются в размерах, и через несколько недель в их центральной части развиваются склеротические изменения, вследствие чего образуется гладкая плотная, как картон, блестящая, цвета слоновой кости бляшка, несколько выступающая над уровнем окружающей кожи (цветной рисунок 12). На периферии бляшки имеется фиолетового цвета зона в форме кольца, постепенно переходящая в нормальную кожу. Эта зона свидетельствует о прогрессировании процесса. Сформировавшаяся бляшка медленно увеличивается в размерах, на ней могут образовываться участки пигментации и телеангиэктазии. В редких случаях отмечаются множественные очаги поражения (генерализованная или диссеминированная бляшечная Склеродермия). Через несколько лет очаг поражения незаметно рассасывается и подвергается атрофии, оставляя слегка пигментированное западение кожи. Атрофированная кожа, напоминающая смятую папиросную бумагу, легко собирается в складку. Крайне редко в области бляшек возникают пузыри с геморрагическим содержимым(буллезно-геморрагическая бляшечная Склеродермия) или участки поверхностного изъязвления. Разновидностями бляшечной Склеродермия являются поверхностная ограниченная Склеродермия, при которой на коже развиваются небольшие темно-окрашенные пятна с лиловатым оттенком без признаков уплотнения и инфильтрации, а также узловатая форма (туберозная, келоидоподобная) в виде выступающих узлов. В зоне склеродермических бляшек выпадают волосы, снижается секреция сальных и потовых желёз.

Лентовидная, или полосовидная, Склеродермия (sclerodermia striata) отличается линейной формой очагов поражения кожи и нередко вовлечением в патологический процесс подлежащих тканей (подкожной клетчатки, мышц). Очаги Склеродермия располагаются вдоль одной из конечностей, иногда по ходу нервов (sclerodermia zoniformis) или циркулярно, опоясывая туловище, всю конечность или палец (sclerodermia anularis). При поражении сухожилий, связок и мышц образуются ретракции и контрактуры, ограничивающие объем движений в суставах. Возможна локализация лентовидной Склеродермия на лице (в области переносицы и лба) и волосистой части головы (напоминает рубец от удара саблей). Некоторые исследователи относят к ограниченной Склеродермия прогрессирующую атрофию лица — болезнь Парри — Ромберга (смотри полный свод знаний: Гемиатрофия).

Склеродермия каплевидная характеризуется появлением небольших, несколько миллиметров в диаметре, беловатого цвета пятен, круглой или полигональной формы, иногда окружённых узкой розовой каймой. Пятна нередко располагаются группами, могут сливаться, образуя крупные очаги фестончатых очертаний. Через несколько лет на местах пятен развивается атрофия кожи (смотри полный свод знаний). Высыпания локализуются на шее, верхней части груди или спины, реже на конечностях. Хотя большинство исследователей считает болезнь белых пятен разновидностью ограниченной Склеродермия, существует мнение о её возможной связи с красным плоским лишаем (смотри полный свод знаний: Лишай красный плоский).

Диагноз ставят на основании клинические, данных.

Для лечения ограниченной Склеродермия широко используют лидазу, которую вводят подкожно или внутримышечно по 64 ЕД через день, на курс 12—15 инъекций. Повторные курсы проводят после 2—3-месячного перерыва. Эффективны также электрофорез лидазы и компрессы с ронидазой на очаг поражения кожи. Применяют внутрикожное или подкожное введение в очаги поражения суспензии гидрокортизона по 1—2 миллилитров с 0,25% раствором новокаина, 2 раза в неделю, 6—8 обкалываний; фонофорез суспензии гидрокортизона; смазывание очагов диметилсульфоксидом в чистом виде или обкалывание очагов 1—5% раствором диметилсульфоксида. Улучшение может быть достигнуто также повторными новокаиновыми блокадами узлов симпатического ствола, приёмом ганглиоблокирующих веществ (пахикарпин). Проводится общеукрепляющее лечение (витамины группы В, А, РР, С). В стадии уплотнения кожи эффективны тепловые процедуры (ванны, грязелечение, парафинотерапия), лёгкий массаж, морские и сероводородные ванны (Сочи-Мацеста, Пятигорск), лечебный физкультура.

Прогноз при ограниченной Склеродермия благоприятный, достоверных случаев перехода её в системную Склеродермия не описано.

Больные с ограниченной Склеродермия подлежат диспансерному учёту и наблюдению. При этом проводят санацию очагов хронический инфекции, лечение сопутствующих заболеваний. Больным ограниченной склеродермией противопоказана работа в холодных помещениях, а также работа, связанная с травматизацией кожи, вибрацией.

Гусева H.Г.; Ильина Н.А.; Копьева Т.H.; Михеев В.В.; Уварова Н.Н.; Хомяков Ю.С.; Шапошников О.К.

⇐ Перейти на главную страницу сайта

⇑ Вернуться в начало страницы ⇑

Библиотека Ordo Deus ⇒

⇐ Склерит

⇓ Полный свод знаний. Том первый А. ⇓

Склероз ⇒

Все статьи в полном изложении, Вы можете найти в большой медицинской энциклопедии — Главный редактор: академик АН СССР (РАН) и АМН СССР (РАМН) Б.В. Петровский. — Москва издательство «Советская энциклопедия» 1989г.

Внимание! Вы находитесь в библиотеке «Ordo Deus». Все книги в электронном варианте, содержащиеся в библиотеке «Ordo Deus», принадлежат их законным владельцам (авторам, переводчикам, издательствам). Все книги и статьи взяты из открытых источников и размещаются здесь только для чтения.

Вся информация на сайте Ordo Deus находится в свободном доступе. Ordo Deus не предоставляет информацию на платной основе.

Все авторские права сохраняются за правообладателями. Если Вы являетесь автором данного документа и хотите дополнить его или изменить, уточнить реквизиты автора, опубликовать другие документы или возможно вы не желаете, чтобы какой-то из ваших материалов находился в библиотеке, пожалуйста, свяжитесь с нами по e-mail:
info @ ordodeus. ru
Формы для прямой связи с нами находятся в нижней части страниц: контакты и устав «Ordo Deus», для перехода на эти страницы воспользуйтесь кнопкой контакты вверху страницы или ссылкой в оглавлении сайта.

Вас категорически не устраивает перспектива безвозвратно исчезнуть из этого мира? Вы не желаете закончить свой жизненный путь в виде омерзительной гниющей органической массы пожираемой копошащимися в ней могильными червями? Вы желаете вернувшись в молодость прожить ещё одну жизнь? Начать всё заново? Исправить совершённые ошибки? Осуществить несбывшиеся мечты? Перейдите по ссылке: «главная страница».

© Ordo Deus, 2010. При копировании ссылка на сайт http://www.ordo-deus.ru обязательна.