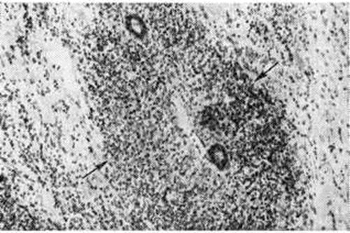
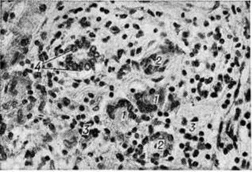
Однако все факты, приводившиеся в разное время в доказательство туберкулёзной природы Саркоидоз, оказались несостоятельными. Не подтвердились сообщения о якобы высокой частоте контактов больных Саркоидоз с бациллоносителями туберкулёза, сочетании Саркоидоз и туберкулёза у одного и того же больного, обнаружении возбудителей туберкулёза в органах, поражённых Саркоидоз Представлению о туберкулёзной природе Саркоидоз противоречат и другие данные. Так, в отличие от туберкулёза, Саркоидоз редко наблюдается у детей, сравнительно редко поражает серозные оболочки и, по-видимому, никогда не поражает надпочечники; кроме того, на фоне отчётливого снижения заболеваемости туберкулёзом в экономически развитых странах уменьшения заболеваемости Саркоидоз не отмечается. Малоубедительны и ссылки на сходство гистологический строения гранулемы при этих заболеваниях, поскольку аналогичная морфологический картина обнаруживается и при других нозологических формах, например, бериллиозе. Важно и то обстоятельство, что при Саркоидоз оказались неэффективными самые мощные противотуберкулёзные средства при несомненной эффективности глюкокортикоидных гормонов. Некоторые исследователи считают Саркоидоз болезнью изменённой реактивности, то есть полиэтиологическим заболеванием, в основе которого лежит особая, возможно генетически детерминированная, реакция на самые различные факторы: бытовые, профессиональные и так далее, что не получило ещё, однако, убедительных доказательств. Не подтвердилось и предполагавшееся значение воздействия сосновой пыльцы, атипичных микобактерий, грибков. Обсуждается вирусное происхождение Саркоидоз, однако предполагаемый вирус не идентифицирован. Патогенез Саркоидоз также не ясен. Представляется несомненным значение изменённой иммунологический реактивности и прежде всего резкого снижения реакций гиперчувствительности замедленного типа, что, в частности, подтверждается анергией больных Саркоидоз к туберкулину. С помощью иммуноморфологические исследования клеток саркоидозной гранулемы выявлено наличие на их поверхности фиксированных иммуноглобулинов (смотри полный свод знаний) и комплемента (смотри полный свод знаний), рассматриваемых как клеточные фиксированные антитела. При электронно-микроскопическом исследовании клеток саркоидозной гранулемы обнаружены выраженные признаки белкового синтеза и активация секреторной функции эпителиоидных клеток, что также свидетельствует об образовании антител. При электронной микроскопии эпителиоидных клеток установлена их способность к коллагенообразованию и возможность трансформации в фибробласты. Данные о непосредственном повреждающем действии клеток саркоидозной гранулемы на окружающую ткань подтверждают участие в патогенезе Саркоидоз иммунных факторов. Патологическая анатомия. Патоморфологически Саркоидоз проявляется образованием эпителиоидно-клеточных саркоидозных гранулем, развитие которых сопровождается дистрофическими и некротическими изменениями окружающих тканей и процессами рубцевания. Саркоидозная гранулема (смотри полный свод знаний) имеет своеобразное строение. В её центре (рисунок 1) располагаются эпителиоидные клетки (смотри полный свод знаний), гигантские клетки (смотри полный свод знаний), макрофаги (смотри полный свод знаний). Иногда между ними выявляется небольшое количество гомогенных эозинофильных масс. Нередко в центре саркоидозной гранулемы формируются капилляры, эндотелиальные клетки которых являются, по-видимому, источником образования эпителиоидных клеток. Гигантские клетки бывают двух типов: с центральным (типа клеток инородных тел) и периферическим (типа клеток Лангханса) расположением ядер. В цитоплазме некоторых гигантских клеток можно обнаружить астероидные или сферические тельца — включения Шауманна. Периферическая часть гранулем образована лимфоидными клетками и фибробластами, количественные соотношения между которыми бывают различными. Нередко между клетками периферической части гранулемы видны коллагеновые волокна, разделяющие клеточные элементы и подчёркивающие слоистость строения гранулемы. Можно выделить два типа гранулем. Первый тип — так называемый штампованные, или склерозирующиеся, гранулемы (рисунок 2) — небольшие гранулемы, чётко отграниченные от окружающих тканей; по их периферии выражена фибробластическая реакция и признаки коллагенообразования. Второй тип — гранулемы больших размеров, нередко без чётких границ за счёт распространяющейся по соединительной ткани лимфоидно-клеточной инфильтрации; по периферии этих гранулем преобладают круглоклеточные элементы. Саркоидозная гранулема по своему строению сходна с гранулемами при туберкулёзе, бериллиозе, а также при ряде других заболеваний (смотри полный свод знаний: Гранулематозы), при которых может развиться саркоидоподобная реакция. Отличить саркоидозную гранулему от туберкулёзной не всегда просто. Основными дифференциально диагностическими морфологический признаками являются отсутствие в саркоидозной гранулеме казеозного некроза и бактерий и наличие капилляров. Ряд особенностей саркоидозной гранулемы, выявляемых с помощью гистохимических методов исследования (значительное содержание в клетках РНК и отсутствие кислых гликозаминогликанов), имеет для дифференциальной диагностики меньшее значение.
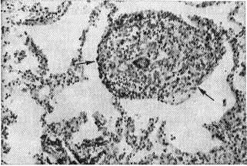
Параллельно с гранулематозным процессом происходит повреждение окружающих тканей, что проявляется развитием в них дистрофических и некротических изменений. В дальнейшем наступает лизис некротизированных элементов с замещением их сначала лимфоидными клетками, которые при благоприятном течении заболевания вытесняются фибробластами и рубцовой тканью. Интенсивность дистрофических и некротических изменений в тканях зависит от характера гранулематозного процесса. При преобладании фиброзирующихся небольших гранулем дистрофические изменения в окружающих тканях обычно незначительны. При преобладании обширных гранулем с диффузной лимфоидноклеточной инфильтрацией межуточной ткани выражены некротические изменения. При этом в процесс вовлекаются мелкие сосуды с развитием в них васкулита (смотри полный свод знаний) и фибриноидного некроза стенки. Как и при других системных заболеваниях, при Саркоидоз выявляют изменения в различных органах. Во внутренних органах поражения локализуются преимущественно в лёгких и бронхах, а также в печени, сердце, почках. При длительном хронический течении Саркоидоз поражение лёгких нередко заканчивается фиброзом межальвеолярных перегородок и перестройкой сосудов, свидетельствующей о развитии лёгочной гипертензии. В редких случаях острого течения Саркоидоз обнаруживается тяжёлое поражение лёгких с развитием гранулем в межальвеолярных перегородках и явлениями гранулематозного васкулита. Так называемый гранулематозный гепатит проявляется развитием характерных гранулем в паренхиме и междольковых прослойках печени. Поражение сердца встречается довольно редко, оно может обусловливать тяжёлое клинические, течение болезни и быть причиной внезапной смерти. При морфологический исследовании в этих случаях выявляют гранулематозный миокардит (рисунок 3), деструкцию сосудов, повреждение кардиомиоцитов. В почках гранулемы чаще локализуются в корковом веществе. При этом в капиллярах почечных клубочков патологический процесс развивается по типу гранулематозного гломерулонефрита. При поражении глаз гранулемы образуются в тканях сосудистой оболочки, сетчатки, зрительного нерва, наблюдается картина узелкового иридоциклита (смотри полный свод знаний) и хориоретинита (смотри полный свод знаний: Хориоидит). Нередко обнаруживается ретинальный перифлебит, отмечается гнойное воспаление цилиарного (ресничного) тела с экссудатом вокруг его отростков и абсцессом в стекловидном теле. При Саркоидоз кожи гранулемы обычно располагаются в средних и глубоких слоях дермы. Поражения центральная нервная система, костей, суставов и скелетных мышц описаны ниже, в клинические, картине заболевания. Клиническая картина. В СССР получила распространение классификация Саркоидоз, предложенная А. Е. Рябухиным и соавторами (1975), в которой учтены достоинства ряда других классификаций, прежде всего широко принятой за рубежом классификации Вурма — Рейнделля — Гейльмейера. По классификации А. Е. Рабухина различают 3 формы Саркоидоз: внутригрудную, внегрудную и генерализованную, при которой торакальные проявления заболевания сочетаются с поражением других органов. В рамках наиболее распространённых (90—98% всех случаев Саркоидоз) генерализованной и внутригрудной форм в зависимости от выраженности и характера рентгеноморфологическое изменений выделяют I, II и III стадии заболевания. I стадия характеризуется поражением лимфатических, узлов грудной полости при отсутствии изменений в лёгких, II и III — поражением ткани лёгких. При этом различают следующие рентгеноморфологическое варианты поражения лёгких. Во II стадии: IIа — интерстициальные изменения, IIб — мелкоочаговые изменения, IIв — средне и крупноочаговые изменения, IIг — конгломерирующие изменения (без фиброза). В III стадии: IIIа — конгломерирующие изменения при наличии фиброза, IIIб — массивный очаговый или диффузный фиброз. Таким образом, II стадия Саркоидоз лёгких отличается от III стадии отсутствием выраженного лёгочного фиброза. Для оценки течения Саркоидоз рекомендуются (независимо от формы заболевания) следующие качественные характеристики: затихание, излечение, обострение, прогрессирование. Кроме того, необходимо учитывать осложнения заболевания как со стороны лёгких, так и других поражённых органов. Некоторые учёные не прибегают к столь детальной классификации рентгеноморфологическое изменений, ограничиваясь выделением внутригрудной лимфожелезистой (I), медиастинально-лёгочной (II) и лёгочной (III) стадий Саркоидоз Клинические, картина Саркоидоз характеризуется значительным разнообразием клинические, проявлений в зависимости от того, какие органы и в какой степени вовлечены в патологический процесс. Кроме того, важное значение имеют возникающие при Саркоидоз спонтанные ремиссии, обострения, а также возможность в части случаев самопроизвольного излечения. Внутригрудная форма Саркоидоз, то есть поражение лимфатических, узлов средостения, бронхов, лёгких, нередко протекает бессимптомно, особенно в начале заболевания, когда лишь случайное рентгенологическое обследование позволяет обнаружить патологический изменения. Клинические, признаки в начальных стадиях заболевания неспецифичны. Больные жалуются на общую слабость, недомогание, плохой аппетит, потливость, похудание, боли в мышцах или суставах. Примерно в 5% случаев Саркоидоз начинается остро, протекает с высокой лихорадкой, выраженной артралгией (смотри полный свод знаний), а иногда и полиартритом (смотри полный свод знаний), узловатой эритемой (смотри полный свод знаний: Лефгрена синдром). На бронхолёгочную локализацию поражения в этой стадии чаще всего указывают сухой кашель и боли в грудной клетке, в тяжёлых случаях возможно раннее появление одышки. Прогрессирование лёгочного процесса ведёт к развитию вентиляционных нарушений, как правило, рестриктивного типа, что проявляется нарастающей одышкой при физической нагрузке, затем цианозом; кашель, как правило, усиливается, появляется мокрота. Перкуторно определяется высокое стояние нижней границы лёгких; при аускультации — однородные влажные звонкие хрипы в проекции нижних долей лёгких, реже — сухие хрипы над отдельными участками. Жизненная ёмкость лёгких (смотри полный свод знаний) снижена. Постепенно формируется синдром хронического лёгочного сердца (смотри полный свод знаний). Внегрудные проявления Саркоидоз характеризуются большой полиморфностью. В патологический процесс может вовлекаться любой орган, за исключением надпочечников. Чаще всего отмечается поражение периферических лимфатических, узлов, обычно шейных и надключичных, реже подмышечных, паховых, локтевых. Они несколько увеличены, плотноэластической консистенции, безболезненны, не спаяны с окружающей клетчаткой; размягчения лимфатических, узлов и образования свищей не отмечается. При поражении костей чаще всего страдают дистальные фаланги пальцев кистей и стоп. В одних случаях гранулематозная инфильтрация приводит к диффузному остеопорозу (смотри полный свод знаний) и истончению коркового вещества кости, в других — в костях образуются единичные или множественные округлые кисты. Поражение суставов протекает в форме умеренно выраженных артритов (смотри полный свод знаний) на кистях рук, а также лучезапястных и коленных суставов. Синовит (смотри полный свод знаний) при этом носит доброкачественный характер (не наблюдается разрушение хряща). Описаны саркоидозные гранулемы в скелетных мышцах (икроножных, грудных, мышцах верхних конечностей) и сухожилиях, что проявляется мышечной слабостью, реже миалгиями. Печень и селезёнка, по данным пункционной биопсии, поражаются при Саркоидоз более чем в половине случаев. Однако клинически это очень редко сопровождается существенным нарушением функции печени (смотри полный свод знаний) или симптомами гиперспленизма (смотри полный свод знаний: Селезёнка). Из слюнных желёз чаще страдают околоушные. Они обычно увеличены, но безболезненны. Иногда их поражение сочетается с увеитом и лихорадкой — увеопаротидная лихорадка Хеерфордта (смотри полный свод знаний: Увеопаротит). Поражение миокарда — саркоидозный миокардит — редко распознается при жизни больных. Он может проявляться расстройствами сердечного ритма и проводимости, развитием застойной сердечной недостаточности (смотри полный свод знаний), в отдельных случаях имитирует картину острого инфаркта миокарда и бывает иногда причиной внезапной смерти. Саркоидоз почек редко проявляется клинически умеренной протеинурией (смотри полный свод знаний), природу которой трудно оценить, если имеется и застойная сердечная недостаточность. Исключительно редко наблюдается почечная недостаточность, заставляющая предполагать, кроме саркоидозного гломерулонефрита, наличие нефрокальциноза, связанного с гиперкальциемией и гиперкальциурией. Считают, что при Саркоидоз имеется повышенная чувствительность к витамину D, что приводит к избыточному всасыванию солей кальция в кишечнике. Иногда гиперкальциемия проявляется периодическим возникновением тошноты, жажды, полиурии, слабости, рвоты, запоров. Поражение нервной системы при Саркоидоз протекает в форме периферических невритов (смотри полный свод знаний) и невритов черепно-мозговых (черепных нервов (лицевого, зрительного, слухового, глазодвигательного, тройничного и другие). Крайне тяжело протекают саркоидозный менингит и менингоэнцефалит, нередко распознаваемые только на вскрытии. При саркоидозном менингите наблюдается множественное поражение черепномозговых нервов, саркоидозный менингоэнцефалит может проявляться неврологический симптоматикой различного характера (нарушения речи, эпилептические припадки, гемиплегия, расстройства чувствительности). Есть сообщения о саркоидозном поражении гипоталамуса, проявляющемся, в частности, несахарным диабетом и пангипопитуитаризмом. Саркоидоз глаза обычно протекает в виде двустороннего вялотекущего иридоциклита, нередко с вовлечением в процесс зрительного нерва, сетчатки и хориоидеи (собственно сосудистой оболочки). Клинические, проявления многообразны. Обычно имеются слабо выраженная перикорнеальная инъекция, мелкие преципитаты и запылённость на задней поверхности роговицы, круговые задние синехии; выявляются очаговые инфильтраты в зрачковой зоне и на передней поверхности радужки; наблюдается постепенная атрофия стромы и пигментного эпителия с новообразованными мелкими сосудами. В стекловидном теле — утолщение волокон с образованием тяжистых грубых помутнений. На глазном дне — картина очагового ретинохориоидита и неврита зрительного нерва. Кожные проявления Саркоидоз (саркоиды Бека, люпоиды) сочетаются с поражением других тканей и органов, но бывают также и изолированными. Различают саркоиды, локализующиеся в собственно коже (мелкоузелковый, крупноузелковый и диффузно-инфильтративный) и в подкожной клетчатке (смотри полный свод знаний: Дарье—Русси саркоид), а также атипичные формы. Мелкоузелковый саркоид проявляется чётко очерченными красновато-синюшными или коричневыми (размером от булавочной головки до горошины) узелками с гладкой, реже незначительно шелушащейся поверхностью (рисунок 4). Узелки плотноватые или твёрдые на ощупь, безболезненные, локализуются на лице, верхней части туловища (в виде пелерины) и разгибательных поверхностях верхних конечностей. При диаскопии (витропрессии) узелков (смотри полный свод знаний: Дермоскопия) в их области выявляются мелкие желтоватые пятна. Узелков бывает от нескольких десятков до сотен и тысяч, в последнем случае в процесс может вовлекаться почти весь кожный покров, кроме ладоней и подошв. Высыпания могут быть рассеянными, сгруппированными и сливными; появляются они приступообразно, между приступами могут проходить месяцы и годы. Со временем узелки уплощаются, на их месте остаётся пигментация или поверхностная атрофия с пигментированным ободком и телеангиэктазии (смотри полный свод знаний). Крупноузелковый саркоид проявляется немногочисленными (от 1 до 10), выступающими над кожей чётко очерченными узелками (размером от крупной горошины до лесного ореха) синюшного или красно-коричневого цвета, локализующимися на коже лица, шеи, реже верхних конечностей, в области лобкового симфиза, очень редко на нижних конечностях. На поверхности узелков нередко имеются милиумы (смотри полный свод знаний) и телеангиэктазии. Кожа, покрывающая узелки, чаще гладкая, реже наблюдается незначительное шелушение. Узелки плотные или пастозные на ощупь, безболезненные, при диаскопии в их области обнаруживаются мелкие желтоватые пятна. Высыпания могут годами оставаться без изменений, затем их центральная часть постепенно западает, становится атрофичной, пигментированной или депигментированной, выявляются телеангиэктазии. Периферическая зона остаётся несколько приподнятой и буроватой, при диаскопии в её области отмечаются мелкие жёлтые пятна. Во время рецидивов вокруг ранее возникших высыпаний могут появляться мелкие узелки. Иногда крупноузелковый саркоид протекает в виде одиночных бляшек мягкой консистенции с большим количеством телеангиэктазий (смотри полный свод знаний: Ангиолюпоид). Диффузно-инфильтративный саркоид часто сочетается с другими саркоидами и поражением внутренних органов или костей. Проявляется нерезко отграниченными коричневато-синюшными очагами, главным образом на носу, щеках (рисунок 5) и тыле пальцев, реже на других участках тела, очень редко на ладонях, подошвах и волосистой части головы. При диаскопии очагов в их области выявляются мелкие жёлтые пятна. Эволюция высыпаний медленная (месяцы, годы), приводящая к атрофии, пигментации и телеангиэктазиям. В некоторых случаях картина диффузно-инфильтративного саркоида напоминает озноблённую волчанку (смотри полный свод знаний). Из атипичных форм Саркоидоз кожи наиболее известны лихеноидная и кольцевидная. Первая из них — вариант мелкоузелкового саркоида — проявляется плоскими блестящими, напоминающими высыпания красного плоского лишая, папулами размером от булавочной головки до просяного зерна, желтовато-коричневого цвета с красным или синюшным оттенком; высыпания могут быть рассеянными и сгруппированными. Кольцевидная форма возникает в результате центрального разрешения сгруппированных узелков при мелкоузелковом саркоиде, либо бляшек при крупноузелковом, реже диффузно-инфильтративном саркоиде. Редко встречаются атипичные формы Саркоидоз кожи, протекающие остро, с изъязвлениями, лимфостазом и в форме эритродермии. Неспецифические изменения кожи при Саркоидоз соответствуют клинические, проявлениям синдрома Лефгрена (смотри полный свод знаний: Лефгрена синдром).
Поражение слизистых оболочек может быть изолированным, но чаще сочетается с саркоидами кожи. На миндалинах, мягком и твёрдом небе, языке обнаруживаются плотные опаловые узелки, окружённые гиперемическим ободком, или бледно-жёлтые бляшки, иногда гипертрофированные или изъязвлённые. Осложнения обычно связаны с прогрессированием лёгочного процесса — развитием бронхообтурационного синдрома, эмфиземы лёгких (смотри полный свод знаний), дыхательной недостаточности (смотри полный свод знаний), лёгочного сердца (смотри полный свод знаний), сердечной недостаточности (смотри полный свод знаний), реже с возникновением хронический почечной недостаточности (смотри полный свод знаний). Поражение глаз может привести к вторичной глаукоме (смотри полный свод знаний), катаракте (смотри полный свод знаний), снижению зрения вплоть до полной слепоты. Диагноз ставят на основании тщательного анализа анамнестических и клинико-рентгенол. данных, результатов поиска микобактерий туберкулёза, определения уровня кальциемии и кальциурии, отрицательных результатов реакции на туберкулин, а также других иммуно л. тестов, выявляющих угнетение клеточного иммунитета: реакции бластотрансформации лимфоцитов (смотри полный свод знаний) с фитогемагглютинином, спонтанного розеткообразования (смотри полный свод знаний: Розеткообразования тесты), торможения миграции лейкоцитов (эти реакции изучают также после подкожного введения туберкулина). Важное значение в диагностике Саркоидоз имеет гистологический или цитологический исследование поражённых тканей. Объектом для такого исследования может быть кожа, увеличенный лимфатических, узел, ткань лёгкого. Материал для биопсии (смотри полный свод знаний) получают при медиастиноскопии, бронхоскопии с трансбронхиальной пункцией узла, реже приходится прибегать к закрытой или открытой пункции лёгкого. Определённую помощь в диагностике Саркоидоз может оказать проба Квейма, которая, по некоторым данным, оказывается положительной в большинстве случаев Саркоидоз, по другим — у 50— 70% больных. Пробу выполняют путём внутрикожного введения 0,1 — 0,2 миллилитров специфического антигена, полученного из саркоидной ткани больного. Через 2—3 недель на месте инъекции появляется багрово-красный узелок, который ещё через 2—3 недель подвергают биопсии. Пробу считают положительной, если в биопсийном материале обнаруживают изменения, характерные для Саркоидоз Использование пробы ограничено из-за отсутствия стандартного антигена (отсюда, повидимому, и противоречия в оценке её диагностической ценности), а также отсроченности её результатов. Такие изменения, как моноцитоз, умеренная лейкопения, лимфопения, палочкоядерный сдвиг, ускорение РОЭ, имеют значение в оценке активности процесса. Для диагностики Саркоидоз глаза проводят многостороннее офтальмологический обследование больного с учётом признаков поражения других органов и систем. Диагноз Саркоидоз кожи ставят на основании исследования высыпаний, результатов диаскопии и гистологический исследования. Диагностика внутригрудного Саркоидоз в ряде случаев весьма затруднена и иногда требует пункционной биопсии лёгкого, чаще трансбронхиальной биопсии лёгкого (смотри полный свод знаний: Бронхоскопия, Бронхофиброскопия). В случае Саркоидоз бронхов бронхоскопия может иметь решающее значение для постановки диагноза. Рентгенодиагностика имеет особенно важное значение для распознавания внутригрудных форм Саркоидоз (нередко определяя первичный диагноз ещё до появления явных клинические, симптомов) и помогает при установлении диагноза в случае характерных поражений костной системы. При обследовании больных, помимо обзорной рентгенографии, используют томографию лёгких и средостения (смотри полный свод знаний: Томография)i; по показаниям применяют бронхографию (смотри полный свод знаний) и пневмомедиастинографию (смотри полный свод знаний). При I стадии Саркоидоз органов дыхания рентгенологически определяется расширение корней лёгких и средостения за счёт опухолевидного увеличения всех групп лимфатических, узлов грудной полости, преимущественно лимфатических узлов корней лёгких. Очертания корней лёгких и средостения имеют полициклический характер, тени передних и задних групп лимфатических, узлов средостения, накладываясь друг на друга, создают симптом «кулис», увеличение лимфатических, узлов средостения из-за суммации теней придаёт сердцу митральную конфигурацию (рисунок 6). На томограммах выявляется, что увеличенные лимфатических, узлы располагаются по окружности крупных бронхов в области их деления на долевые, сегментарные и субсегментарные ветви. Иногда лимфатических, узлы образуют дугообразные вдавления стенок бронхов, в ряде случаев ведут к нарушениям бронхиальной проходимости — образуются участки гиповентиляции, ателектаза. Для II стадии характерна картина очаговой диссеминации: определяется избыточный, петлистый рисунок в прикорневых и нижних отделах лёгких (стадия IIа), образование мелких (милиарных) очагов (стадия IIб), появление более крупных очагов диаметром 3 — 5 миллиметров (стадия IIв), формирование крупных очагов диаметром более 6 миллиметров (стадия IIг). Наиболее постоянным является сочетание интерстициальных изменений с очаговыми, занимающими преимущественно прикорневые отделы средних и нижних лёгочных полей (рисунок 7). III стадия характеризуется наличием распространённого фиброза, участков цирроза лёгких (рисунок 8). В некоторых случаях встречаются атипичные проявления Саркоидоз: одностороннее увеличение лимфатических, узлов, односторонняя диссеминация, наличие в лёгких одиночных или нескольких фокусов уплотнений, локализованное скопление очагов в пределах одного сегмента лёгкого. К атипичным относится также преимущественно верхушечная локализация очагов, более характерная для туберкулёза. Облегчить диагностику Саркоидоз может рентгенологическое обнаружение характерных изменений в скелете. В эпифизах фаланг кистей рук и в костях, образующих лучезапястные и коленные суставы, определяются одиночные или множественные округлые просветления диаметром 4 — 10 миллиметров со склеротическим ободком; реже костные изменения имеют разлитой характер. Дифференциальную диагностику до обнаружения характерных для Саркоидоз гранулем в биопсийном материале приходится проводить с многими заболеваниями, особенно системного характера. Внутригрудную форму Саркоидоз в I стадии процесса приходится дифференцировать с туберкулёзом внутригрудных лимфатических, узлов, медиастинальной формой лимфогранулематоза, во II — III стадиях — с диссеминированным туберкулёзом лёгких (смотри полный свод знаний: Туберкулёз органов дыхания), карциноматозом, хронический воспалительными лёгочными заболеваниями, пневмокониозами (смотри полный свод знаний), реже другими лёгочными диссеминированными поражениями. Рентгенологически при туберкулёзном бронхадените (смотри полный свод знаний) в отличие от Саркоидоз наблюдается преимущественно одностороннее увеличение лимфатических, узлов, они спаяны, очертания корня лёгкого бугристые. При лимфогранулематозе (смотри полный свод знаний) увеличение лимфатических, узлов достигает значительной степени, имеет асимметричный характер, часто преобладает увеличение лимфатических узлов средостения. Саркоидоз глаза дифференцируют с вялотекущими формами иридоциклита (смотри полный свод знаний) туберкулёзной или герпетической этиологии. Саркоидоз кожи дифференцируют с кольцевидной гранулемой (смотри полный свод знаний: Гранулема кольцевидная), лимфоцитомой кожи (смотри полный свод знаний), туберкулёзом кожи (смотри полный свод знаний: Туберкулёз внелёгочный), красными угрями (смотри полный свод знаний: Угри), гранулемой лица с эозинофилией (смотри полный свод знаний: Гранулема лица), красным плоским лишаем (смотри полный свод знаний: Лишай красный плоский), гемодермиями (смотри полный свод знаний). Лечение саркоидоза в случае развития осложнений комплексное, включает различные симптоматические средства и методы вплоть до оперативного лечения осложнений (при Саркоидоз глаза) в сочетании с патогенетической терапией глюкокортикоидами. По данным З. И. Костиной с соавторами (1981), на фоне лечения глюкокортикоидными гормонами (смотри полный свод знаний) прогрессирование заболевания и его рецидивы наблюдаются в 3 раза реже, чем без лечения. Поэтому глюкокортикоидная терапия считается целесообразной при всех формах и стадиях Саркоидоз, если на протяжении 3—5 месяцев динамического наблюдения не обнаруживается тенденции к спонтанной регрессии процесса. Если же заболевание отчётливо прогрессирует, лечение следует начинать незамедлительно. А. Е. Рабухин и соавторами (1975) рекомендуют следующую схему гормональной терапии: преднизолон в суточной дозе 30 миллиграмм в течение 1-го месяца, в дозе 25 миллиграмм на протяжении 2-го месяца, в дозе 20 миллиграмм в течение 3-го, а затем каждые 2— 3 недель дозу снижают на 2,5 миллиграмм. В поддерживающей дозе 7,5—5 миллиграмм терапию продолжают 6 месяцев и более. Можно применять другие глюкокортикоидные гормоны в эквивалентных дозах. При саркоидозе глаза преднизолон или дексаметазон назначают местно в виде подконъюнктивальных или ретробульбарных инъекций. Некоторые специалисты рекомендуют сочетать гормональную терапию с назначением противотуберкулёзных средств (смотри полный свод знаний), например, тубазида в дозе 10 миллиграмм, в тех случаях, когда у больного имеются остаточные изменения после перенесённого ранее туберкулёза (кальцинаты во внутригрудных лимфатических, узлах, плотные очаги в лёгких), а также при положительных туберкулиновых пробах. При наличии противопоказаний к назначению глюкокортикоидов можно использовать делагил (по 0,25 грамм 2 раза в день в течение 2—4 месяцев). На фоне лечения глюкокортикоидами или делагилом З. И. Костина (1977) рекомендует назначать витамин Е до 600 миллиграмм в день в течение 2— 6 месяцев Предпринимаются попытки лечить саркоидоз хлорбутином, азотиаприном, D-пеницилламином, а также левамизолом, однако результаты их применения ещё не получили всесторонней оценки. Лечение и диспансеризацию больных Саркоидоз проводят в специализированных противотуберкулёзных или пульмонологический учреждениях. Возникновение рецидива является показанием к проведению повторного курса лечения. Прогноз в большинстве случаев благоприятный; в ранних стадиях Саркоидоз возможно выздоровление, больные, как правило, сохраняют трудоспособность. Рецидивы заболевания в течение первых 2—5 лет после лечения возникают в 4% случаев. В связи с этим все больные подлежат диспансерному наблюдению по меньшей мере на протяжении 2 лет после клинического излечения. При внутригрудных формах Саркоидоз прогноз ухудшается по мере прогрессирования болезни. В III стадии терапия может привести лишь к временному улучшению или временной стабилизации процесса; трудоспособность больных в этой стадии утрачивается. Летальность при Саркоидоз — около 3—5%. Наиболее частые причины смерти — легочно-сердечная недостаточность и уремия. Профилактика сводится к предупреждению осложнений путём своевременного лечения Саркоидоз Меры первичной профилактики Саркоидоз не разработаны.
Вас категорически не устраивает перспектива безвозвратно исчезнуть из этого мира? Вы не желаете закончить свой жизненный путь в виде омерзительной гниющей органической массы пожираемой копошащимися в ней могильными червями? Вы желаете вернувшись в молодость прожить ещё одну жизнь? Начать всё заново? Исправить совершённые ошибки? Осуществить несбывшиеся мечты? Перейдите по ссылке: «главная страница».
|
||||||||||||||||||||||||||||||||||||||||||||||||||||||||||||||||||