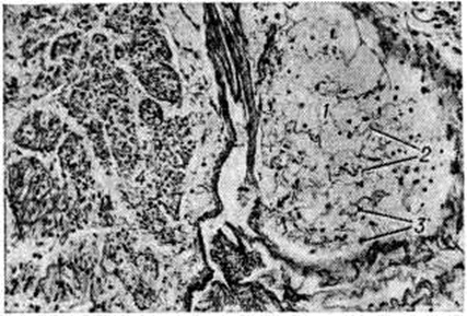
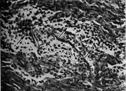
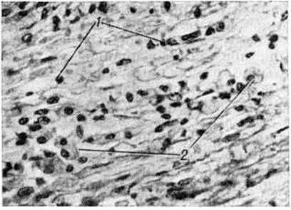
Воспалительную инфильтрацию, по их мнению, следует рассматривать как реактивный процесс на первичные изменения в миелиновой оболочке. Миелинотоксические факторы вызывают разрушение миелина в органотипических культурах ткани периферической нервной системы и имеют диагностическое значение. Эта модель используется для изучения иммунологический реакций замедленного и немедленного типа в развитии экспериментального аллергического Полиневрит Введение животным в инкубационном периоде заболевания ряда препаратов (АКТГ, циклофосфамида, антилимфоцитарной сыворотки) подавляет развитие процесса. Лечебный действием обладает невритогенный основной белок миелина, используемый в смеси с неполным стимулятором Фрейнда. Патологическая анатомия. В патоморфологические отношении Полиневрит разделяют на паренхиматозные и интерстициальные. Среди паренхиматозных Полиневрит различают формы с преимущественным изменением миелина и леммоцитов (периаксональные Полиневрит) и формы с преобладанием поражения аксона (аксональные Полиневрит). Интерстициальные Полиневрит характеризуются изменениями в оболочках и сосудах периферических нервов. Формы с вовлечением корешков и спинномозговых ганглиев называют полирадикулоневритами. В зависимости от этиологии процесса патоморфологические картина имеет ряд отличий. При острых первичных Полиневрит инфекционно-аллергического генеза, клинически протекающих по типу восходящего паралича Ландри (смотри полный свод знаний: Ландри восходящий паралич) или синдрома Гийена — Барре — Штроля, наблюдается преимущественное поражение миелиновых оболочек. На ранних стадиях этих заболеваний наблюдается скопление мононуклеаров вблизи миелиновых оболочек, которые подвергаются распаду. Одновременно происходит пролиферация леммоцитов, и их число увеличивается в 8—14 раз. Миелиновые оболочки набухают, приобретают сотовидное строение, происходит образование миелиновых шаров и местами — растворение миелина. В очагах демиелинизации, особенно расположенных перивенозно, формируются очаговые некрозы (рисунок 1) со скоплением макрофагов, содержащих жир. Воспалительные перивенозные и перикапиллярные инфильтраты состоят из лимфоидных клеток, полиморфных мононуклеаров, макрофагов (рисунок 2). Аксон увеличивается в размерах, происходит его лентовидное набухание, по ходу аксона формируются чёткообразные вздутия, наступают лизис волоконец и пролиферация леммоцитов (рисунок 3). Гибель нервных волокон приводит к развитию валлеровской дегенерации (смотри полный свод знаний: Валлера перерождение). Вследствие разрушения миелина эндоневральные промежутки сближены, а периневральные пространства расширены и инфильтрированы лимфоидными элементами. Воспалительный и демиелинизирующий процесс при первичных И. является обратимым. Ремиелинизация наступает на 2—3-й недель от начала болезни, как правило, сопровождается регенерацией нервных волокон. В редких случаях аксоны погибают и на их месте формируются коллагеновые фибриллы и аморфное вещество эндоневрия. При гиповитаминозных, диабетических, токсических, порфириновых, алкогольных Полиневрит наблюдается преимущественно аксональное поражение, которое сопровождается дегенерацией аксонов, пролиферацией леммоцитов, набуханием двигательных моторных концевых бляшек. В нервных волокнах прослеживаются различные стадии гибели аксонов, вплоть до полного их исчезновения. На месте погибших нервных волокон остаются беспорядочно расположенные волокна эндоневрия, макрофаги (рисунок 4). Одновременно с дегенерацией аксона можно проследить процессы регенерации, когда на месте погибших волокон происходит образование новых мелких волоконец. В поздних стадиях регенерации в миелиновых нервных волокнах отдельные аксоны достигают нормальной величины, большая часть их остаётся атрофичной. Аксональная невропатия сопровождается дегенерацией миелина, чаще в форме сегментарной демиелинизации. Такая смешанная патология объясняется вовлечением в процесс леммоцитов и нарушением процесса миелинообразования. При ультраструктурном исследовании нарушение метаболических процессов в аксонах проявляется истончением аксоплазматических органелл, вакуолизацией и редукцией диаметра аксона, скоплением гликогена в леммоцитах. Интерстициальные Полиневрит наблюдаются при общих инфекциях: вирусном гепатите, лепре, опоясывающем лишае (смотри полный свод знаний: Герпес) и другие, а также при артериитах, ревматоидных артритах, ишемии, амилоидозе и других заболеваниях. Патологический процесс при этом характеризуется увеличением эндоневрального коллагена с формированием воспалительных изменений в интерстициальной ткани периферических нервов. Отмечается умеренная пролиферация леммоцитов.
Морфологически дифференциация различных форм Полиневрит представляет значительные трудности и должна дополняться электронно-микроскопическими исследованиями материала, взятого путём биопсии кожных нервов (например, икроножного нерва), с определением характера изменений в аксоне, леммоцитах и миелиновых оболочках. Важное значение приобретает определение калибра и плотности волокон, длины их между перехватами Ранвье, а также морфометрическая оценка нервных волокон, лишённых миелина. Клиническая картина. Начало заболевания чаще постепенное. В отдельных случаях развитию Полиневрит предшествует различной степени выраженности лихорадка, но нередко болезнь развивается на фоне кажущегося благополучия. В течение нескольких дней, иногда недель у больного отмечаются симметрично нарастающие парезы мышц дистальных отделов конечностей с понижением тонуса и атрофией (смотри полный свод знаний: Атрофия мышечная), со снижением или угасанием сухожильных рефлексов (смотри полный свод знаний). В отдельных случаях может отмечаться преимущественное поражение мышц проксимальных отделов конечностей. Степень выраженности двигательных расстройств различна — от лёгких парезов до параличей (смотри полный свод знаний: Параличи, парезы). Иногда возможно развитие мышечных контрактур (смотри полный свод знаний) даже на ранних стадиях болезни. Нередко развитию двигательных расстройств предшествуют различные нарушения чувствительности по периферическому типу в виде парестезий (смотри полный свод знаний), болей по ходу нервных стволов, снижения чувствительности, иногда гиперестезий (смотри полный свод знаний: Чувствительность). Расстройства чувствительности имеют характерное дистальное распространение в виде «носков» и «перчаток». В ряде случаев в области кистей и стоп отмечаются различные трофические и вегетативные нарушения в виде сухости и истончения кожи, шелушения эпидермиса, акрогипергидроза (смотри полный свод знаний: Гипергидроз), ломкости ногтей. Функция тазовых органов обычно не страдает; в отдельных случаях в течение первых двух-трех дней болезни может наблюдаться задержка мочи и стула. В цереброспинальной жидкости (смотри полный свод знаний) патологический изменения, как правило, не наблюдаются. Не отмечается также каких-либо специфических изменений и при исследовании крови, хотя в отдельных случаях может быть невысокий лейкоцитоз. При исследовании электровозбудимости выявляется частичная или полная реакция перерождения и различно выраженное снижение скорости проведения импульса по нервным стволам (смотри полный свод знаний: Электромиография). По мере восстановления двигательных функций данные электрофизиологические исследований постепенно нормализуются. Течение заболеваний характеризуется значительным разнообразием. В большинстве случаев начиная с конца 2—3-й недель болезни наступает медленное обратное развитие парезов, начинающееся чаще с отделов, вовлечённых в процесс последними. Восстановление чувствительности обычно начинается раньше и происходит быстрее. Значительно дольше остаются атрофии и вегетативные нарушения. Длительность восстановительного периода иногда затягивается до полугода и более. Иногда восстановление неполное, отмечаются стойкие остаточные явления и контрактуры, больше выраженные в дистальных отделах конечностей, приводящие к инвалидности. Возможно и рецидивирующее течение с периодическим обострением и повторным нарастанием симптомов болезни. Особой формой является Полиневрит, развёртывающийся по типу восходящего паралича Ландри (смотри полный свод знаний: Ландри восходящий паралич). При этом процесс протекает очень остро, вызывает паралич ног, затем туловища, рук, захватывая и черепные нервы. Чаще симметрично поражается лицевой нерв (смотри полный свод знаний), нередко блуждающий нерв (смотри полный свод знаний), языкоглоточный нерв (смотри полный свод знаний) и другие Восходящее распространение процесса может сопровождаться тяжёлыми нарушениями дыхания, требующими экстренных реанимационных мероприятий. Разновидностью первичного Полиневрит, при которой поражаются не только периферические нервы, но и спинномозговые корешки, является клинические, синдром, впервые описанный в 1916 год Гийеном (G. Guillain) и Барре (J. А. Barre), а в 1917 год— Штролем (A. Strohl) и названный ими полирадикулоневритом с белково-клеточной диссоциацией в цереброспинальной жидкости. Характерными для этого синдрома являются вялые параличи верхних и нижних конечностей с преимущественным поражением проксимальных групп мышц, меньшей выраженностью амиотрофии и чувствительных расстройств. В тяжёлых случаях могут поражаться мышцы туловища и шеи, что приводит иногда к нарушению дыхания. Относительно обособленную группу составляют так называемый вегетативные Полиневрит, характеризующиеся резким преобладанием трофических и вегетативных нарушений, обычно более отчётливо выраженных в верхних конечностях. Эти нарушения проявляются цианозом кистей и стоп, краевой гиперемией ладоней, атрофией и истончением кожи или гиперкератозом её, сухостью или повышенной потливостью кожи, отёчностью кончиков пальцев, истончением их кожи, на которой могут наблюдаться трещины. В отдельных случаях отмечается атрофия межкостных мышц кистей. Раймон (F. Raymond) описал своеобразное алкогольное поражение периферических нервов, обозначенное как «кахектическая форма полиневрита» (сочетание Полиневрит с быстро прогрессирующим общим истощением организма) и получившее название болезни Раймона. При хронический алкоголизме иногда наблюдается сочетание Полиневрит с поражением печени и корсаковским синдромом (смотри полный свод знаний) — синдром Клиппеля. Диагноз устанавливают на основании клинические, симптоматики, данных анамнеза и специальных исследований. Дифференциальную диагностику проводят с миелитом (смотри полный свод знаний), острым эпидемическим полиомиелитом (смотри полный свод знаний), клещевым энцефалитом (смотри полный свод знаний: Энцефалиты клещевые вирусные), невральной амиотрофией Шарко — Мари (смотри полный свод знаний: Амиотрофия), миозитом (смотри полный свод знаний), гипертрофическим невритом Дежерина — Сотта (смотри полный свод знаний: Дежерина — Сотта гипертрофический неврит). При дифференциальной диагностике следует учитывать, что, несмотря на определённую общность клинические, проявлений, при некоторых формах Полиневрит поражаются определённые нервы. Так, например, Полиневрит, возникающий при дифтерии (смотри полный свод знаний), характеризуется преимущественным поражением каудальной группы черепных нервов, при ботулизме (смотри полный свод знаний) чаще страдает глазодвигательный нерв, при отравлении мышьяком и свинцом чаще поражаются лучевой и малоберцовый нервы. Лечение во всех случаях комплексное, основанное на проведении патогенетической и этиотропной терапии. Так как в патогенезе Полиневрит ведущая роль принадлежит аутоиммунным механизмам, в возможно более ранние сроки назначают глюкокортикоиды (преднизолон из расчёта 1 —1,5 миллиграмм на 1 килограмм веса больного в течение 7— 14 дней с последующим постепенным медленным снижением дозировки на 5 миллиграмм каждые 3 дня). Одновременно назначают соли калия, белковую диету, большие дозы витаминов группы В (В1 В2, В3, В6, В12, B15), а также аскорбиновую кислоту. Применяются антигистаминные препараты и препараты, улучшающие нервно-мышечную проводимость (например, прозерин, галантамин и другие) Проводят дезинтоксикационную терапию (смотри полный свод знаний) — дегидратацию в сочетании с гидратацией, вводят гемодез, назначают кокарбоксилазу, АТФ. При вегетативной форме Полиневрит показаны ганглиоблокирующие средства. При необходимости проводят лечение антибиотиками. При восходящих формах Полиневрит, сопровождающихся тяжёлым нарушением дыхания, показано проведение реанимации (смотри полный свод знаний: Искусственное дыхание). При параличах важное значение придаётся своевременной функциональной укладке конечностей, применению массажа и ЛФК (смотри полный свод знаний: Параличи, парезы, лечение). На всех этапах восстановительной терапии широко применяют методы физиобальнеотерапии. С целью уменьшения болей местно применяют соллюкс (смотри полный свод знаний: Светолечение), новокаин-электрофорез (смотри полный свод знаний: Электрофорез), индуктотермию (смотри полный свод знаний). В дальнейшем назначают электрофорез других лекарственных средств (прозерина, галантамина, йода, витамина B1), проводят прозерин-диадинамофорез в сочетании с электростимуляцией (смотри полный свод знаний) поражённых мышц. Широко используют парафинолечение (смотри полный свод знаний), озокеритолечение (смотри полный свод знаний) и грязелечение (смотри полный свод знаний), а также камерные гидрогальванические ванны (смотри полный свод знаний: Гальванизация). Больным с преобладанием трофических расстройств прописывают общие или местные сульфидные ванны, а при наличии болевого синдрома и расстройств чувствительности — радоновые ванны (смотри полный свод знаний: Ванны). В необходимых случаях проводится санитарный-кур. лечение. Прогноз в большинстве случаев благоприятный. Однако иногда при затяжном течении болезни возможны стойкие парезы и контрактуры мышц конечностей, приводящие к инвалидности. В случаях, протекающих по типу восходящего паралича Ландри, возможен летальный исход. Профилактика. Полиэтиологичность Полиневрит не позволяет разработать общие рекомендации по их профилактике; она осуществляется с учётом особенностей конкретного этиологического фактора, обусловливающего развитие Полиневрит Смотри полный свод знаний: Невриты, Невропатия в неврологии.
Вас категорически не устраивает перспектива безвозвратно исчезнуть из этого мира? Вы не желаете закончить свой жизненный путь в виде омерзительной гниющей органической массы пожираемой копошащимися в ней могильными червями? Вы желаете вернувшись в молодость прожить ещё одну жизнь? Начать всё заново? Исправить совершённые ошибки? Осуществить несбывшиеся мечты? Перейдите по ссылке: «главная страница».
|
||||||||||||||||||||||||||||||||||||||||||||||||