Поликистозная дисплазия почек

Оглавление

  1. Дорога к бессмертию
  2. Бессмертие и религия
  3. Философия бессмертия
  4. Бессмертие и наука
  5. История анабиоза
  6. Смерть
  7. Кора головного мозга
  8. Бессмертие и анабиоз
  9. Анабиоз, медицина и биология
  10. Анабиоз и экономика
  11. Анабиоз и закон
  12. Анабиоз в Антарктиде
  13. Техническое обеспечение анабиоза
  14. Бессмертие и вера
  15. Библиотека Ordo Deus
  16. Контактная страница Ordo Deus

Поликистозная дисплазия почек

Поликистозная дисплазия почек (греческий poly много + kystis пузырь; дисплазия) — нарушение развития почечной паренхимы, приводящее к появлению кист, сочетающееся с экстраренальными аномалиями и патологией мочевыводящей системы. Выделяют поликистоз, мультикистоз и микрокистоз почек.

Поликистозная дисплазия почек распознается значительно чаще у детей, чем у взрослых, наблюдается в виде самостоятельной формы патологии или при ряде пороков развития, в том числе при туберозном склерозе (смотри полный свод знаний), болезни Гиппеля — Линдау (смотри полный свод знаний: Гиппеля — Линдау болезнь) у нефронофтизе Фанкони (смотри полный свод знаний: Фанкони нефронофтиз). Приобретённая кистозная трансформация почек наблюдается у больных после гемодиализа (смотри полный свод знаний).

В эксперименте Поликистозная дисплазия почек получена у лабораторных животных при введении преднизолона, дифениламина и других нефротоксических веществ. В развитии Поликистозная дисплазия почек важное значение имеет состояние наружных цитомембран и десмосом канальцевого эпителия, а также его сосочковая гиперплазия, создающая микрообструкции.

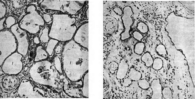
Поликистоз (поликистозная болезнь почек) — наследственно обусловленная нефропатия с двусторонним кистозом части относительно развившейся паренхимы — собирательных трубочек и канальцев нефрона (рисунок, а). Выделяют поликистоз в детском возрасте, который наследуется по аутосомнорецессивному типу (имеет различные проявления у детей разного возраста), и поликистоз у взрослых (смотри полный свод знаний: Почки), наследуемый по аутосомнодоминантному типу.

При поликистозе почек у новорождённых пальпируются увеличенные почки, наблюдается частая рвота, ребёнок не прибавляет в весе. Концентрационная способность почек снижена (смотри полный свод знаний: Почки), в крови — повышенное содержание мочевины (смотри полный свод знаний) и остаточного азота (смотри полный свод знаний: Азот остаточный). Возможно повышение АД. Почечная недостаточность (смотри полный свод знаний) нарастает, и 80% детей умирает в течение первых 4 недель жизни, остальные — в возрасте до года.

При секционном исследовании почки большого размера с множеством кист, окаймлённых плоским или кубическим эпителием, кистоз охватывает около 90% паренхимы, главным образом собирательные трубочки обеих почек, а также часто наблюдается в печени, лёгких, поджелудочной и вилочковой железах.

Поликистоз почек у детей раннего и старшего возраста принципиально сходен с поликистозом новорождённых по характеру морфологический изменений, но в почках сохраняется от 40 до 75% неповреждённой паренхимы, чем и объясняют значительно менее тяжёлые проявления заболевания и длительность его до нескольких лет. Однако в дальнейшем размеры почек уменьшаются за счёт интерстициального склероза (смотри полный свод знаний). Почечная недостаточность прогрессирует, одновременно нарастают нарушения функции печени.

При поликистозе почек у подростков кисты занимают примерно 10% объёма паренхимы почки, на первый план в клинические, картине заболевания выступают нарушения функции печени и портальная гипертензия (смотри полный свод знаний), обусловленная перипортальным фиброзом. В дальнейшем наблюдается прогрессирование изменений почечной паренхимы вследствие кистозной дилатации функционирующих нефронов, компрессия и склероз почечной ткани. Клубочки могут быть гипертрофированы, но по мере прогрессирования нарушений ткани, окружающей кисты, развивается гиалиноз (смотри полный свод знаний). Все это обусловливает позднее развитие хронической почечной недостаточности.

Мультикистоз (кистозная дисплазия почек) — врождённый порок развития почек, чаще всего односторонний (у новорождённых — чаще двусторонний) и сегментарный, обусловленный задержкой формирования, кистозом и склерозом паренхимы вторичной почки плода; обычно связан с патологией мочевыводящих путей. Дисплазия почек объясняется эмбриофетопатией, но она также бывает вариантом семейных и наследственных синдромов множественных пороков развития (смотри полный свод знаний).



При одностороннем мультикистозе почечная паренхима развита недостаточно, почка маленькая (апластическая, гипопластическая); однако чаще всего почка объёмистая, в ней имеются кисты различной величины, разделённые слоями и тяжами соединительной ткани (рисунок, б). Деление паренхимы на слои стёрто, в ней резко уменьшено количество нефронов. Гистологический маркерами дисплазии служат примитивные протоки, канальцы и клубочки фетального типа, реже обнаруживаются очажки метапластического хряща. Почечные кисты обычно не сообщаются с мочевыводящими путями.

В клинической картине доминируют различные симптомы порока развития почек и мочевыводящих путей. Заболевание нередко выявляется при инфицировании мочевыводящих путей, проведении урографии (смотри полный свод знаний), ангиографии (смотри полный свод знаний: Почечная ангиография), ренографии (смотри полный свод знаний: Ренография радиоизотопная), сканировании почек (смотри полный свод знаний: Сканирование).

При своевременном удалении поражённой почки прогноз благоприятный, он ухудшается при присоединении артериальной гипертензии.

Микрокистоз (врождённый нефротический синдром) — особая наследственная кистозная трансформация развившейся паренхимы обеих почек, обусловленная дилатацией и дисфункцией проксимальной части канальцев нефрона, часто на фоне иммунологический конфликта между организмом матери и плода. Заболевание встречается у детей первого года жизни (смотри полный свод знаний: Нефротический синдром).



Информация об Ordo Deus Перейти в оглавление сайта

Рис
Микропрепараты почек при поликистозной дисплазии: а — поликистоз паренхимы почки (1 — кисты, разделённые слабо выраженными прослойками соединительной ткани); б — мультикистоз паренхимы почки (1 — кисты, 2 — чётко выраженная соединительная ткань, разделяющая кисты); окраска гематоксилин-эозином, × 60.



Прогноз серьёзный, применение иммунодепрессантов замедляет прогрессирование заболевания.

Диагноз. Основными методами диагностики всех форм Поликистозная дисплазия почек являются рентгенорадиологические и функционально-биохимические. Обнаруживается снижение функций почек по тубулярному типу, деформация чашечно-лоханочных полостей, изменения размеров и конфигурации почек, а также заполнение кист контрастным веществом (при поликистозе) или кажущееся отсутствие почки (при мультикистозе).

Лечение Поликистозная дисплазия почек симптоматическое и хирургическое; при хронической почечной недостаточности проводят гемодиализ (смотри полный свод знаний), в дальнейшем показана пересадка почки (смотри полный свод знаний).

Клембовский А.И.

⇐ Перейти на главную страницу сайта

⇑ Вернуться в начало страницы ⇑

Библиотека Ordo Deus ⇒

⇐ Полидипсия

⇓ Полный свод знаний. Том первый А. ⇓

Полимиалгия ревматическая ⇒

Все статьи в полном изложении, Вы можете найти в большой медицинской энциклопедии — Главный редактор: академик АН СССР (РАН) и АМН СССР (РАМН) Б.В. Петровский. — Москва издательство «Советская энциклопедия» 1989г.

Внимание! Вы находитесь в библиотеке «Ordo Deus». Все книги в электронном варианте, содержащиеся в библиотеке «Ordo Deus», принадлежат их законным владельцам (авторам, переводчикам, издательствам). Все книги и статьи взяты из открытых источников и размещаются здесь только для чтения.

Вся информация на сайте Ordo Deus находится в свободном доступе. Ordo Deus не предоставляет информацию на платной основе.

Все авторские права сохраняются за правообладателями. Если Вы являетесь автором данного документа и хотите дополнить его или изменить, уточнить реквизиты автора, опубликовать другие документы или возможно вы не желаете, чтобы какой-то из ваших материалов находился в библиотеке, пожалуйста, свяжитесь с нами по e-mail:
info @ ordodeus. ru
Формы для прямой связи с нами находятся в нижней части страниц: контакты и устав «Ordo Deus», для перехода на эти страницы воспользуйтесь кнопкой контакты вверху страницы или ссылкой в оглавлении сайта.

Вас категорически не устраивает перспектива безвозвратно исчезнуть из этого мира? Вы не желаете закончить свой жизненный путь в виде омерзительной гниющей органической массы пожираемой копошащимися в ней могильными червями? Вы желаете вернувшись в молодость прожить ещё одну жизнь? Начать всё заново? Исправить совершённые ошибки? Осуществить несбывшиеся мечты? Перейдите по ссылке: «главная страница».

© Ordo Deus, 2010. При копировании ссылка на сайт http://www.ordo-deus.ru обязательна.