Периартериит узелковый

Оглавление

  1. Дорога к бессмертию
  2. Бессмертие и религия
  3. Философия бессмертия
  4. Бессмертие и наука
  5. История анабиоза
  6. Смерть
  7. Кора головного мозга
  8. Бессмертие и анабиоз
  9. Анабиоз, медицина и биология
  10. Анабиоз и экономика
  11. Анабиоз и закон
  12. Анабиоз в Антарктиде
  13. Техническое обеспечение анабиоза
  14. Бессмертие и вера
  15. Библиотека Ordo Deus
  16. Контактная страница Ordo Deus

Периартериит узелковый

Периартериит узелковый (periarteriitis nodosa; греческий peri вокруг, около + артериит; синонимы: болезнь Куссмауля — Майера, узелковый панартериит) — заболевание аллергической природы из группы системных васкулитов с вторичным ангиогенным поражением различных органов и систем и тяжёлыми сосудистыми осложнениями.

Для Периартериит узелковый характерно поражение мелких и средних артерий мышечного типа с образованием сосудистых аневризм («узелков»), благодаря чему заболевание и получило своё название. В связи с тем, что воспалительный процесс не ограничивается наружной оболочкой (адвентицией) сосуда, а захватывает все слои сосудистой стенки, Периартериит узелковый правильнее называть узелковым панартериитом, однако в СССР сохраняется наименование узелковый периартериит, предложенное в 1866 год Куссмаулем и Майером (A. Kussmaul, R. Maier). В России описание двух первых случаев Периартериит узелковый принадлежит А. Перинефрит Ланговому (1883), работавшему в клинике проф. А. А. Остроумова. Прижизненный диагноз Периартериит узелковый впервые в нашей стране поставлен в 1926 год Е. М. Тареевым при биопсии подкожного узелка.

Общепринятой классификации Периартериит узелковый не существует. В классификации ВОЗ (1980) Периартериит узелковый отнесён к системным сосудистым заболеваниям. В США принята классификация Зик (Р. М. Zeek, 1953), в которой выделяют классический Периартериит узелковый, аллергический Периартериит узелковый с бронхиальной астмой и эозинофилией, гиперергический ангиит при лекарственной и сывороточной болезни. Алркон-Сеговия (D. Alrcon-Segovia, 1977) предлагает различать генерализованный классический Периартериит узелковый иммунного генеза, гиперсенситивный ограниченный (кожный, почечный и другие) и аллергический Периартериит узелковый (эозинофильный ангиит).

Периартериит узелковый относят к редким заболеваниям. Энгельберт (О. Engelberth, 1962) на 41 478 вскрытий (1939— 1956) обнаружил Периартериит узелковый в 0,13% случаев. Однако имеется чёткая тенденция к его нарастанию. По секционным материалам больницы Джонса Гопкинса (Балтимор, 1926—1942 годы) на основании данных Рича (A. R. Rich), отмечается учащение Периартериит узелковый с 1 : 1600 до 1 : 137. По данным И. В. Воробьёва и В. Е. Любомудрова, Периартериит узелковый болеют преимущественно мужчины в возрасте 21—60 лет.

Этиология и патогенез. Этиология Периартериит узелковый точно не установлена. Наиболее распространённой и общепризнанной является аллергическая теория, объясняющая происхождение болезни гиперергической реакцией сосудов на различные антигенные воздействия. Особенно часто возникновение Периартериит узелковый связывают с воздействием различных лекарственных средств (сульфаниламидов, пенициллина, тиоурацила, аминазина, препаратов йода, ртути) и введением чужеродных сывороток. Начиная с 1970 год обсуждается вопрос о возможности вирусной этиологии Периартериит узелковый При этом решающее значение придаётся образованию иммунных комплексов, состоящих из поверхностного антигена сывороточного гепатита (HBsAg), антител к нему и комплемента, и отложению их в стенках сосудов. Гоуком (D. J. Gocke) с соавторами, Гербером (Gerber) с соавторами описаны случаи Периартериит узелковый после перенесённого HBsAg-положительного гепатита; при этом наблюдалось персистирование антигена, а иногда обнаруживались иммунные комплексы, содержащие HBsAg, в стенке поражённых артерий или мышцах. По данным Гоука, в 30—40% случаев типичного Периартериит узелковый наблюдается персистирование HBsAg.

Патогенез Периартериит узелковый связывают с иммунопатологическими процессами. Паронетто и Штраусс (F. Paronetto, L. Strauss, 1962), применяя флюоресцентную методику, установили наличие γ-глобулина в артериолах больного узелковым периартериитом. Роже и Мартен (J. Roge, Е. Martin, 1965) путём введения животным сыворотки крови от больных в острой фазе Периартериит узелковый получили у них изменения сосудов, характерные для этого заболевания; подобные изменения отсутствовали при введении животным сыворотки крови реконвалесцентов.

Патологическая анатомия. Воспалительные изменения при Периартериит узелковый обнаруживаются в сосудах разного уровня и различного функциональный назначения — в артериях всех калибров, а также в мелких и крупных венах, что свидетельствует о системном характере процесса.


Вместе с тем ведущим является поражение артерий мышечного и мышечно-эластического типа. Воспалительные изменения в сосудах при Периартериит узелковый представляют собой проявление немедленной или замедленной гиперчувствительности (смотри полный свод знаний Аллергия) с иммунокомплексным или иммуноклеточным механизмами. Нередко имеет место их сочетание, вследствие чего васкулиты приобретают смешанный характер и их морфология отражает всю сложность взаимоотношений гуморальных и клеточных аллергических реакций. Иммунопатологический генез васкулитов при Периартериит узелковый подтверждается иммунофлюоресценцией (смотри полный свод знаний) и электронной микроскопией (смотри полный свод знаний). В частности, при исследовании материала, полученного от больного Периартериит узелковый при биопсии почки, показано, что обострение заболевания сопровождается фиксацией на базальных мембранах сосудистых петель, в мезангии и париетальном листке клубочков почек иммуноглобулинов (IgG, IgA, IgM), СЗ-фракции комплемента и фибрина, дающих крупногранулярное или очагово-линейное свечение. Электронно-микроскопически в почечных клубочках больных Периартериит узелковый обнаруживаются субэндотелиальные, мезангиальные, а изредка и субэпителиальные депозиты иммунных комплексов, в состав которых входит фибрин. В воспалительно-изменённых сосудах при Периартериит узелковый выявляются иммунные комплексы, содержащие наряду с IgG (рисунок 1, а) и комплементом поверхностный антиген вируса гепатита В (рисунок 1, б).

При гистологический и гистохимические изучении биопсийного и аутопсийного материала установлено, что морфологический изменения в артериальных сосудах при Периартериит узелковый развиваются в определённой последовательности: мукоидное набухание стенок сосудов, фибриноидные изменения вплоть до некроза, инфильтративно-пролиферативные явления и склероз поражённых артерий. Мукоидное набухание (смотри полный свод знаний Слизистая дистрофия) обусловливается декомпозицией диссоциирующих белково-полисахаридных комплексов основной субстанции соединительной ткани с высвобождением гликозаминогликанов, что приводит к повышению сосудистой проницаемости и к гидратации основного вещества этой ткани. Фибриноидный некроз (смотри полный свод знаний Фибриноидное превращение) развивается вслед за плазматическим пропитыванием стенок артерий и характеризуется выпадением в них аморфных и нитчатых масс фибрина.

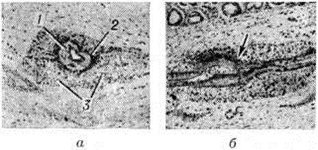
На фоне дезорганизации соединительной ткани возникает воспали-тельная клеточная реакция, характеризующаяся инфильтрацией стенок сосудов и окружающей их соединительной ткани лимфоцитами, макрофагами, нейтрофильными и эозинофильными лейкоцитами (рисунок 2, а) в различных количественных сочетаниях. С большим постоянством среди клеток инфильтрата при таких васкулитах обнаруживаются также тучные клетки. Острые артерииты нередко завершаются формированием аневризм (рисунок 2, б). По мере стихания экссудативных явлений развиваются процессы пролиферации и трансформации недифференцированных клеточных элементов гистиогенного и гематогенного происхождения, в результате чего в стенках поражённых артерий образуется инфильтрат — пролиферат. Наряду с лимфоцитами и макрофагами в инфильтрате выявляются эпителиоидные клетки, фибробласты, плазмоциты. При нарастании процессов репарации преобладающими в инфильтрате становятся клетки фибропластического ряда. В исходе возникают склероз (смотри полный свод знаний) и гиалиноз (смотри полный свод знаний) стенок артерий и артериол.



Информация об Ordo Deus Перейти в оглавление сайта

Рис. 1.
Микропрепараты почки (а) и поджелудочной железы (б) при узелковом периартериите, иммунофлюоресценция по Микалаку (Т. Michalak): а — отложения IgG в стенках артериол (светлые участки); б — отложение поверхностного антигена вируса гепатита В (HBsAg) в стенке поражённой артерии (светлые участки); × 25 5.





Информация об Ordo Deus Перейти в оглавление сайта

Рис. 2.
Микропрепараты стенки мелкой артерии (а) поперечнополосатой мышцы и тонкой кишки (б) при узелковом периартериите: а — фибриноидный некроз (1) стенки мелкой артерии, воспалительная инфильтрация её наружной оболочки (2) и окружающей соединительной ткани (3); б — острый артериит с образованием аневризмы (указано стрелкой); окраска гематоксилин-эозином; × 120.



В зависимости от соотношения в воспалительной реакции альтеративных, экссудативных или пролиферативных изменений артериит может быть деструктивным, деструктивно-продуктивным и продуктивным. Преимущественная локализация патологический процесса в одной из оболочек сосуда даёт основание говорить об эндо-, мезо и периартериите. Однако часто при Периартериит узелковый приходится констатировать поражение всех трёх оболочек; в подобных случаях процесс обозначается как панартериит. Поскольку для заболевания характерно хронический рецидивирующее течение, мукоидное набухание, фибриноидный некроз, инфильтративные и пролиферативные реакции иногда возникают и в склерозированных артериях. Наиболее тяжёлым последствием артериита при Периартериит узелковый является прогрессирующее стенозирование поражённых артерий. Нередко в патологически изменённых сосудах, особенно с аневризмами, обнаруживаются свежие, организующиеся или организованные (канализованные) тромбы (смотри полный свод знаний Тромб).

Васкулит при Периартериит узелковый развивается одновременно или последовательно во многих органах, хотя наиболее часто поражаются сосуды почек, сердца, кишечника, мозга и оболочек нервов. Как следствие артериитов и тромбартериитов в различных органах и тканях возникают местные изменения: геморрагии, дистрофия и атрофия паренхиматозных элементов, очагово-некротические и язвенные процессы, инфаркты и рубцы после них, склеротические и цирротические явления. В периферических нервах вследствие поражения vasa sanguinea nervorum обнаруживаются признаки валлеровской дегенерации с деструкцией аксонов и миелиновых оболочек в комбинации с регенеративными процессами (смотри полный свод знаний Валлера перерождение).

Наряду с описанными выше артериитами важное место в патологии Периартериит узелковый занимает иммунное воспаление сосудов микроциркуляции. Так, аллергические микроваскулиты лежат в основе различных вариантов гломерулонефрита, альвеолита пневмонита), полисерозита. Воспаление сосудов микроциркуляции имеет существенное значение в возникновении некротического энтерита, тяжёлых проявлений миокардита, панкреатита, гепатита и особенно неврита и миозита.

Распространённость васкулитов при Периартериит узелковый и тяжесть обусловленных ими вторичных изменений в органах и тканях значительно варьируют, что обусловливает клинико-анатомический полиморфизм заболевания. В связи с применением для лечения больных Периартериит узелковый глюкокортикостероидов и иммунодепрессантов отмечается преобладание продуктивных форм васкулита.

Клиническая картина. Для Периартериит узелковый характерен чрезвычайный полиморфизм клинические, симптомов, затрудняющий диагностику. Заболевание начинается, как правило, постепенно с общих симптомов. Наиболее характерными для Периартериит узелковый являются лихорадка, прогрессирующее похудание и мышечно-суставные боли. Среди общих симптомов на первом месте по частоте (95—100%) стоит лихорадка (смотри полный свод знаний). У большинства больных лихорадка неправильного типа, температура не снижается при применении антибиотиков, но быстро исчезает под действием глюкокортикостероидных гормонов. Лихорадка в начале заболевания отличается значительным упорством; при появлении органной патологии она, как правило, не возобновляется.

Истощение чрезвычайно характерно, почти патогномонично для Периартериит узелковый

в острой фазе заболевания (хлоротический маразм Куссмауля — Майера). В ряде случаев уменьшение веса тела достигает катастрофических цифр (30—40 килограмм за несколько месяцев), а степень кахексии выше, чем при онкологическое заболеваниях.

Миалгии (смотри полный свод знаний) и в меньшей степени артралгии (смотри полный свод знаний) встречаются у большинства больных в начале заболевания. Характерны боли в икроножных мышцах и крупных суставах. Значительно реже возникают стойкие изменения в суставах, схожие внешне с ревматоидным артритом (смотри полный свод знаний).

К общим проявлениям интоксикации относят такие характерные для Периартериит узелковый симптомы, как тахикардия, не уменьшающаяся при приёме гликозидов, и потливость.

Иногда болезнь начинается с органных поражений, которые появляются за несколько месяцев и даже лет до возникновения системных проявлений. Такими «органными дебютами» Периартериит узелковый могут быть бронхиальная астма, протекающая с гиперэозинофилией, повторные инфаркты миокарда у лиц молодого возраста, приступы болей в животе в сочетании с диспептическими расстройствами.

Среди органной патологии, свойственной Периартериит узелковый, выделяют пять наиболее часто встречающихся синдромов, определяющих специфику клинические, картины заболевания,— почечный, абдоминальный, кардиальный, лёгочный и неврологический.

Почечный синдром встречается у 75—90% больных. Появление клинические, признаков поражения почек свидетельствует обычно о далеко зашедшем процессе. Наиболее типичным признаком поражения почек при Периартериит узелковый является артериальная гипертензия (смотри полный свод знаний Гипертензия артериальная), в большинстве случаев стабильная, имеющая упорное течение, иногда галопирующая, с развитием тяжёлой ретинопатии (смотри полный свод знаний) и с потерей зрения. Наблюдаются умеренная протеинурия (1,0—3,0 грамм в сутки), микрогематурия. Изредка встречается макрогематурия. Развитие нефротического синдрома (протеинурия больше 3,0 грамм в сутки, периферические отеки) встречается чрезвычайно редко. Возможен разрыв аневризматически расширенного сосуда почки с образованием околопочечной гематомы. Прогноз почечного синдрома весьма серьёзен: он может привести к развитию почечной недостаточности в течение 1—3 лет.

Абдоминальный синдром — второй по частоте и прогностической значимости; он нередко наблюдается в начале заболевания. Абдоминальный синдром проявляется болями и диспептическими расстройствами. Боли в животе носят, как правило, разлитой характер, они постоянные, упорные, нарастающие по интенсивности. Из диспептических расстройств наиболее выражена диарея (частота стула до 6—10 раз в сутки); в кале отмечается примесь крови и слизи. Характерна анорексия (смотри полный свод знаний), иногда тошнота, рвота. Нередко развивается перитонит (смотри полный свод знаний) в результате перфорации язв или гангрены кишок, иногда возникает желудочнокишечное кровотечение (смотри полный свод знаний). Поражение печени при Периартериит узелковый наблюдается относительно редко и характеризуется развитием инфарктов и разрывом аневризм внутрипечёночных сосудов. Развитие хронический гепатита или цирроза печени при Периартериит узелковый обусловлено хронический вирусной инфекцией (вирус сывороточного гепатита), что подтверждается данными серологический исследования и прижизненной биопсии органа. Поражения поджелудочной железы и желчного пузыря выявляются чаще при патологоанатомическом исследовании, однако у отдельных больных с системными проявлениями болезни могут обнаруживаться симптомы панкреатита (смотри полный свод знаний) или холецистита (смотри полный свод знаний).

Кардиальный синдром характеризуется преимущественно коронаритом (смотри полный свод знаний) и встречается у 50—70% больных. Клинически иногда трудно разграничить поражение сердца, обусловленное Периартериит узелковый, от вторичных изменений, вызванных тяжёлой артериальной гипертензией. Коронарные нарушения часто протекают бессимптомно, не сопровождаются ангинозными болями даже в случае очаговых поражений миокарда. Мелкоочаговые инфаркты миокарда (смотри полный свод знаний) встречаются чаще, нежели крупноочаговые. Характерно развитие своеобразного ангиогенного поражения сердца по типу быстро прогрессирующего кардиосклероза (смотри полный свод знаний) с нарушением ритма, проводимости и сердечной недостаточностью. Единственной причиной смерти поражение сердца бывает не часто. Возможность поражения эндокарда при И. у. является спорным вопросом.

Лёгочный синдром наблюдается в 30—45% случаев и может проявляться симптомами бронхиальной астмы (смотри полный свод знаний) с гиперэозинофилией, эозинофильными лёгочными инфильтратами типа Леффлера (смотри полный свод знаний Леффлера синдром), сосудистой пневмонии, реже интерстициального лёгочного фиброза (смотри полный свод знаний Пневмосклероз) или инфаркта лёгкого (смотри полный свод знаний). При сосудистой пневмонии кашель сопровождается отделением скудного количества слизистой мокроты, изредка кровохарканьем; отмечаются лихорадка, нарастающие признаки дыхательной недостаточности. Рентгенологически в лёгких — резкое усиление сосудистого рисунка, напоминающее застойное лёгкое, инфильтрация лёгочной ткани преимущественно в прикорневых зонах. Важным диагностическим признаком может служить малая эффективность антибиотиков и высокая — глюкокортикостероидной терапии.

Неврологический синдром (поражение центральной и периферической нервной системы) обусловлен системными воспалительными изменениями стенок сосудов мозга и оболочек нервов. Сосуды центральная нервная система поражаются, по секционным данным, в 70% случаев, а периферической нервной системы — в 12—25% случаев. Тем не менее именно поражение периферической нервной системы является наиболее характерным и диагностически важным симптомом Пиодермия у. Наблюдаются мононевриты и асимметричные невриты (смотри полный свод знаний Невриты, Полиневрит). Изредка отмечается полиневрит по типу восходящего паралича Ландри (смотри полный свод знаний Ландри восходящий паралич). Обычно периферические неврологический нарушения развиваются постепенно: сначала появляются боли и парестезии в дистальных отделах рук и ног, затем присоединяется мышечная слабость. Постоянно наблюдается болезненность мышц, чаще икроножных, расстройства чувствительности по корешковому и полиневритическому типу.

Клинические, картина поражения центральная нервная система полиморфна. Основные проявления могут развиваться остро с возникновением общемозговых и очаговых симптомов по типу инсульта (смотри полный свод знаний). Иногда наряду с очаговыми симптомами наблюдаются эпилептические припадки, изредка эпилептический статус (смотри полный свод знаний Эпилепсия), признаки субарахноидальных и субдуральных кровоизлияний. В ряде случаев поражения нервной системы протекают под видом динамического нарушения мозгового кровообращения (смотри полный свод знаний Кризы) либо напоминают медленно прогрессирующий церебральный атеросклероз с нарастающей деменцией (смотри полный свод знаний Слабоумие). Черепномозговые (черепные, Т.) нервы поражаются относительно редко, преимущественно зрительный и лицевой. Наблюдаются неврит зрительных нервов. преходящее снижение остроты зрения, сужение артерий сетчатки, отёк дисков.

У 15—30% больных Периартериит узелковый встречаются кожные изменения, характеризующиеся наличием узелков по ходу сосудов, различной величины древовидно-ветвящихся петель синюшно-красного цвета без шелушения — livedo racemosa (смотри полный свод знаний Ливедо) или язвенно-некротических изменений. При Периартериит узелковый может наблюдаться гангрена пальцев и конечностей, некроз мягких тканей, которые обусловлены поражением периферических сосудов.

Изменения со стороны глаз при Периартериит узелковый встречаются редко в форме иридоциклита (смотри полный свод знаний) или васкулита сосудов сетчатки с тромбозом или микроаневризмами.

Чаще всего при Периартериит узелковый наблюдаются сочетания следующих синдромов: почечно-полиневритического — поражение почек с высокой артериальной гипертензией в сочетании с асимметричным двигательным полиневритом; почечно-абдоминально-сердечного — поражение почек с высокой артериальной гипертензией, абдоминалгии с диспептическими расстройствами, поражение сердца (коронарит с диффузными и очаговыми изменениями на ЭКГ) с прогрессирующей сердечной недостаточностью ; легочно-сердечно-почечного, часто начинающегося в форме гиперэозинофильной астмы или пневмонита; легочно-полиневритического, начинающегося с бронхиальной астмы с дальнейшим присоединением полиневрита.

Доминирование в клинике Периартериит узелковый одного или нескольких указанных синдромов позволяет выделить ряд клинических вариантов заболевания.

Классический (почечно-полиневритический, или поливисцеральный) вариант начинается, как правило, с лихорадки, мышечно-суставных болей, выраженного похудания. В клинические, картине на первый план выступают поражение почек с артериальной гипертензией, часто злокачественной; коронарит, сочетание которого с артериальной гипертензией приводит к быстрому развитию сердечной недостаточности, а также боли в животе и полиневрит. Поражение лёгких протекает по типу сосудистых пневмоний и встречается не столь часто. В сыворотке крови иногда обнаруживают HBsAg, а при биопсии печени — признаки хронический активного гепатита или цирроза. Возможно присутствие иммунных комплексов в сыворотке крови, органах и тканях.

Астматический, или эозинофильный, вариант за рубежом известен как аллергический гранулематозный ангиит или как синдром Черга — Штраусс (J. Churg, L. Strauss). Чаще болеют женщины. Заболевание начинается с приступов бронхиальной астмы, ему часто предшествуют непереносимость лекарственных средств и другие проявления аллергии. Астма сопровождается высокой эозинофилией (50—85%) при лейкоцитозе 20 000 — 35 000. Возможны лихорадка, ускоренная РОЭ. Через 1—5 лет наступает генерализация процесса с развитием поливисцеральной симптоматики, свойственной классическому варианту Периартериит узелковый В половине случаев заболевание протекает без поражения почек, ограничиваясь периферическими невритами, изменением кожи или нарушениями со стороны желудочно-кишечные тракта. Наряду с симптомами бронхиальной астмы нередко в лёгких наблюдаются эозинофильные инфильтраты.

Кожный вариант узелкового периартериита проявляется поражением кожи с образованием типичных узелков по ходу сосудов размером с просяное зерно и чечевицу, болезненных при пальпации. Кожным проявлениям, как правило, сопутствуют миалгии, лихорадка, ускоренная РОЭ, анемия, лейкоцитоз. В некоторых случаях наряду с узелковыми образованиями появляются ливедо (livedo racemosa), некрозы мягких тканей, слизистых оболочек, а также развивается гангрена конечностей. Кожный Периартериит узелковый редко осложняется поражением внутренних органов.

Моноорганный вариант встречается чрезвычайно редко и проявляется поражением одного органа (почек, аппендикса, желчного пузыря). Диагноз может быть поставлен лишь при гистологический исследовании удалённого органа или при исследовании материала, полученного при биопсии органа.

Диагноз. Характерных лабораторный тестов или патогномоничных симптомов (кроме панваскулита артерий среднего калибра с формированием аневризм, выявляемого при биопсии тканей, например скелетных мышц), позволяющих установить правильный диагноз, не существует. При Периартериит узелковый в крови наблюдаются нейтрофильный лейкоцитоз, ускоренная РОЭ, в некоторых случаях анемия и эозинофилия. Периартериит узелковый свойственны и другие проявления неспецифического воспаления, такие, как диспротеинемия (смотри полный свод знаний Протеинемия), гипергаммаглобулинемия (смотри полный свод знаний Дисгаммаглобулинемия), появление С-реактивного белка (смотри полный свод знаний). Эти показатели отражают главным образом степень активности процесса, диагностическая ценность их обычно невелика. Основным критерием в диагностике является типичная клинические симптоматика. Обращается внимание на преобладание среди заболевших мужчин среднего возраста, типичное острое начало заболевания и сочетание нескольких синдромов. Изменения в гемомикроциркуляции при Периартериит узелковый могут быть выявлены с помощью микроскопического исследования конъюнктивы. В период обострения болезни они проявляются дистонией микрососудов, уменьшением числа функционирующих капилляров, нарушением реологических свойств крови, повышением сосудистой проницаемости. При осмотре сосудов глазного дна могут быть выявлены узелки и аневризмы.

Биопсия кожи или мышечной ткани целесообразна только в случаях выраженных миалгий (в острую фазу болезни) или при изменениях кожи. Отрицательные результаты биопсии не противоречат диагнозу клинически обоснованного Периартериит узелковый, поскольку поражения мышц носят, как правило, очаговый характер. При оценке результатов гистологический исследования обращают внимание на распространённость, глубину и тяжесть васкулитов, поскольку умеренные изменения сосудов встречаются при ряде заболеваний внутренних органов и могут быть обусловлены также глюкокортикостероидной терапией.

В неясных случаях может возникнуть необходимость биопсии какого-либо органа. Вопрос в каждом случае решается индивидуально. Биопсия почки при Периартериит узелковый опасна в связи с возможностью кровотечения (аневризмы сосудов, высокое АД). Биопсия лёгкого не всегда возможна из-за тяжёлого состояния больных. В отдельных случаях целесообразно проведение артериографического исследования с контрастированием сосудов почек, сердца и так далее, позволяющее выявить аневризматически расширенные сосуды, что патогномонично для Периартериит узелковый

Дифференциальный диагноз Периартериит узелковый особенно труден в начале заболевания, когда отсутствует органная патология. Чаще всего больных лечат по поводу предполагаемых инфекционные болезней большими дозами антибиотиков, что ухудшает их состояние. Дифференциальный диагноз следует проводить с некоторыми формами опухолей, например, гипернефромой почки (смотри полный свод знаний), раком поджелудочной железы (смотри полный свод знаний), которые также протекают с лихорадкой, миалгиями или тромбангиитом, похуданием.

В начальном периоде клиническая картина Периартериит узелковый может быть сходна с затяжным септическим эндокардитом (смотри полный свод знаний) или лимфогранулематозом (смотри полный свод знаний). Для Периартериит узелковый не характерны ознобы, как при затяжном септическом эндокардите, или профузные поты и зуд, как у больных лимфогранулематозом.

Больные с абдоминальными формами Периартериит узелковый часто попадают в хирургический или инфекционные стационар с подозрением на острый живот (смотри полный свод знаний), дизентерию (смотри полный свод знаний) или другие инфекционные болезни. В подобных случаях всегда можно выявить, помимо болей в животе, какую-либо другую симптоматику: полиневрит, поражение почек или бронхиальную астму с высокой эозинофилией. Нефриты с артериальной гипертензией и различными сопутствующими заболеваниями нередко принимают за Периартериит узелковый, не учитывая, что на первых этапах Периартериит узелковый, как правило, проявляется лихорадкой, похуданием, миалгиями и изменениями в данных лабораторный исследований, что несвойственно нефриту.

Лечение. До 50-х годы проводилась лишь симптоматическая терапия Периартериит узелковый В 1949 год появилось первое сообщение об успешном применении в лечении заболевания глюкокортикостероидных гормонов. Однако дальнейшие наблюдения показали, что применение глюкокортикостероидных гормонов для лечения больных Периартериит узелковый, протекающим с почечным синдромом, может привести к прогрессированию артериальной гипертензии и развитию сердечной и почечной недостаточности. В связи с этим при Периартериит узелковый с поражением почек глюкокортикостероидные гормоны в средних дозах (преднизолон 30—40 миллиграмм в сутки) целесообразно применять лишь в ранней фазе заболевания, до формирования стойких органных изменений и при отсутствии артериальной гипертензии.

Принимая во внимание иммунный механизм заболевания, применяют сочетанную терапию глюкокортикостероидными гормонами и цитостатиками. Положительный эффект при таком лечении, по литературным данным, достигается в 84% случаев. Показанием к назначению цитостатиков при Периартериит узелковый являются резистентность или ухудшение состояния больного при лечении преднизолоном, варианты болезни с поражением почек. При выборе лечения могут быть использованы препараты из группы антиметаболитов (азатиоприн) или алкилирующих средств (циклофосфан, хлорбутин), в тяжёлых случаях возможно сочетание двух цитостатиков. Чаще применяют азатиоприн в дозе 150—200 миллиграмм в сутки в течение 1—2 месяцев и преднизолон (15—20 миллиграмм в сутки) с переходом в последующем на поддерживающую терапию в амбулаторных условиях (преднизолон 10—15 миллиграмм, азатиоприн 50—100 миллиграмм в сутки). При хорошей переносимости и отсутствии побочных реакций поддерживающую терапию следует проводить длительно, в течение нескольких лет, повышая дозу препаратов до терапевтической в периоды рецидивов заболевания.

При астматическом варианте Периартериит узелковый без поражения почек в острую фазу заболевания назначают более высокие дозы преднизолона (до 40— 50 миллиграмм в сутки), затем дозу снижают до поддерживающей (5—10 миллиграмм в сутки) и применяют в течение нескольких лет.

При Периартериит узелковый без явных признаков поражения внутренних органов преднизолон (15—20 миллиграмм) следует назначать только в острую фазу заболевания на короткий срок (1 — 2 месяцев).

Хорошие результаты даёт лечение бутадионом (0,45 грамм в сутки) или 5% раствором пирабутола (по 1,0 миллилитров внутримышечно в течение 1 — 2 месяцев). При противопоказаниях к лечению цитостатиками бутадион может быть использован и при висцеральных формах Пиодермия у. в сочетании с небольшими дозами глюкокортикостероидных гормонов. При поражении периферических сосудов с развитием гангрены назначают антикоагулянты (гепарин — 20 000 ЕД внутримышечно), спазмолитики. 4-Аминохинолиновые препараты применяются лишь при хронический течении болезни в сочетании с другими препаратами. Лечение заключается, помимо основной терапии, в назначении аденила проведении массажа и ЛФК — сантиметров Полиневрит. Лечение Периартериит узелковый проводится непрерывно и длительно.

Прогноз серьёзен при классическом варианте заболевания, однако в связи с использованием современных методов лечения и рациональной профилактикой сроки жизни больных Периартериит узелковый значительно удлинились. Возможны клинические, ремиссии в течение нескольких лет, однако больные с почечными формами болезни, как правило, остаются нетрудоспособными. Более благоприятен прогноз при астматическом варианте Периартериит узелковый без поражения почек: длительность жизни данной группы больных исчисляется десятилетиями, часть их возвращается к труду. Прогноз при кожном варианте Периартериит узелковый благоприятный.

Профилактика. Специфическая профилактика Периартериит узелковый не разработана. Необходимо помнить, что обострение заболевания .могут вызвать переливания крови и плазмы и их заменителей, вакцинация и введение чужеродных сывороток, физиотерапевтические процедуры, инсоляция.

Особенности узелкового периартериита у детей. У детей Периартериит узелковый развивается реже, чем у взрослых. Болеют дети любого возраста, преимущественно раннего детского и школьного, девочки и мальчики — с одинаковой частотой.

Патологоанатомические особенности обусловлены своеобразием течения у детей воспалительных и аллергических реакций, а также возрастными особенностями строения сосудов и тканей: обилием клеточных элементов и относительной структурной незрелостью сосудистых стенок, богатой васкуляризацией внутренних органов. Характерна яркая картина некротического ангиита — панартериита с развитием множественных аневризм; часты тромбангииты, инфаркты различных органов.

Клиническая картина в основном такая же, как у взрослых. Начало острое, с выраженным гиперергическим компонентом, яркой реакцией иммунокомпетентной системы: отмечается увеличение лимфатических, узлов, а также селезёнки (у 1/3 больных). В активной фазе преобладают общие симптомы: лихорадка неправильного типа, не поддающаяся лечению антибиотиками и жаропонижающими средствами, нарастающая слабость, падение веса. Характерны миалгии и артралгии, реже отмечаются асимметричный полиневрит, артриты. Из кожных поражений наиболее часты ливедо, капилляриты ладоней и подошв, геморрагические высыпания, некрозы кожи, общие и локализованные (преимущественно на конечностях) плотные ангионевротические отеки. Поражения центральная нервная система протекают, как и у взрослых, чаще возникает асептический серозный менингит (без изменений содержания белка и сахара в цереброспинальной жидкости). Лёгочный синдром развивается реже. Абдоминальный синдром наиболее выражен у детей раннего возраста и, как правило, сопровождается кишечным кровотечением. Артериальная гипертензия наблюдается у ¼ больных. Кардиальный, почечный, неврологический синдромы, а также основные лабораторные показатели у детей и у взрослых не имеют принципиальных отличий. Выявляется нормохромная анемия, нейтрофильный лейкоцитоз, эозинофилия и плазматизация костного мозга, диспротеинемия с повышением уровня γ-глобулинов, IgM, IgG, фибриногена.

Клинические варианты Периартериит узелковый у взрослых и детей в основном идентичны. Для детей более типичен классический почечно-полиневритический или поливисцеральный вариант, который, как правило, сопровождается симптомами поражения брыжейки, кишечника, центральная нервная система, почек. Кожный вариант более характерен для детей школьного возраста; в данном случае преобладает изолированное поражение мелких артерий мышечного типа и артериол. Наряду с характерными для Периартериит узелковый общими симптомами в коже и подкожной клетчатке, по ходу сосудов (чаще межрёберных и брюшной стенки) пальпируются множественные болезненные узелки диаметром до 1 сантиметров. У Vs больных преимущественно на нижних конечностях (рисунок 3) появляется livedo racemosa с тенденцией к постепенному распространению на туловище. Возможны трофические нарушения.

Менее свойственны детскому возрасту астматический (эозинофильный) и моноорганный варианты Периартериит узелковый Выделяют особый, младенческий вариант Периартериит узелковый, который протекает с длительной лихорадкой неправильного типа, катаральными изменениями слизистой оболочки верхних дыхательных путей, полиморфными кожными высыпаниями, плотными ангионевротическими отёками, артралгиями, миалгиями, тахикардией, признаками коронарита, повышением АД, болями в животе, рвотой, энтероколитическим стулом (часто с кровью), гепатомегалией, эритроцитурией, Лейкоцитурией, нормохромной анемией, нейтрофильным лейкоцитозом.



Информация об Ordo Deus Перейти в оглавление сайта

Рис. 3.
Нижние конечности девочки 8 лет с узелковым периартериитом (кожный вариант): а — вид спереди; б — вид сзади; выраженная пятнистость кожи, обусловленная васкулитом.



Течение Периартериит узелковый у детей, как правило, прогрессирующее, с поражением внутренних органов — сердца, печени, желудочно-кишечные тракта, почек и другие Богато развитая органная васкуляризация у детей способствует тому, что ангиит с микротромбозами, микроинфарктами некоторых внутренних органов иногда протекает малосимптомно, без болевых ощущений.

Прижизненный диагноз Периартериит узелковый у детей довольно сложен из-за множественности и разнообразия сочетаний поражений различных органов, что создаёт полиморфную клинические, картину.

Подтвердить диагноз Периартериит узелковый у детей, как и у взрослых, помогают данные биопсии мышц, кожи. В ряде случаев проводят селективную артериографию сердца, почек, брыжеечных сосудов.

Дифференциальная диагностика Периартериит узелковый у детей включает широкий круг заболеваний: лимфогранулематоз (смотри полный свод знаний), острый лейкоз (смотри полный свод знаний), сепсис (смотри полный свод знаний), вирусные и бактериальные инфекции, коллагенозы — системная красная волчанка (смотри полный свод знаний), системная склеродермия (смотри полный свод знаний), дерматомиозит (смотри полный свод знаний), а также ревматоидный артрит (смотри полный свод знаний), гранулематоз Вегенера (смотри полный свод знаний Вегенера гранулематоз), заболевания, осложнённые развитием синдрома распространённого внутрисосудистого свёртывания — геморрагический васкулит (смотри полный свод знаний Шенлейна— Геноха болезнь), Мошкович болезнь (смотри полный свод знаний) и другие

Значительные трудности вызывает дифференциальная диагностика абдоминального синдрома при Периартериит узелковый с инвагинацией, синдромом распространённого внутрисосудистого свёртывания с гипоксическим некротическим энтероколитом, кишечными инфекциями, гепатитом.

Лечение у детей и взрослых сходно. Назначается оптимально эффективная доза глюкокортикостероидов (1,5—3 миллиграмм/килограмм), при тромбангиитах — до 5—7 миллиграмм/килограмм в сутки. Спустя 4—6 недель дозу постепенно уменьшают до индивидуальной поддерживающей, которая отменяется лишь в фазе стойкой клинико-лабораторной ремиссии. При абдоминальном, неврологическом, почечном синдроме с гипертензией глюкокортикостероиды малоэффективны. Рекомендуется сочетать их с цитостатическими препаратами (азатиоприн, циклофосфан). В случае изменения реологических свойств крови и наличия гиперкоагуляции назначают гепарин в комбинации с кортикостероидами и спазмолитиками.

Все дети с Периартериит узелковый подлежат диспансерному наблюдению, которое включает контроль ЭКГ, исследование функций почек и другие Прививки, введение сывороток и другие возможные аллергизирующие факторы исключаются. Профилактические мероприятия должны быть направлены на предупреждение развития аллергических реакций, уменьшение частоты и тяжести течения инфекционные болезней.

Прогноз классического варианта Периартериит узелковый у детей остаётся серьёзным. Хронический кожный вариант имеет тенденцию к многолетнему течению.

Смотри полный свод знаний Васкулит.

Левицкая С.В.; Попова Л.М.; Семенкова E.H.; Соломатина О.Г.; Тареев E.М.; Ярыгин Н.Е.

⇐ Перейти на главную страницу сайта

⇑ Вернуться в начало страницы ⇑

Библиотека Ordo Deus ⇒

⇐ Перенашивание беременности

⇓ Полный свод знаний. Том первый А. ⇓

Периартрит ⇒

Все статьи в полном изложении, Вы можете найти в большой медицинской энциклопедии — Главный редактор: академик АН СССР (РАН) и АМН СССР (РАМН) Б.В. Петровский. — Москва издательство «Советская энциклопедия» 1989г.

Внимание! Вы находитесь в библиотеке «Ordo Deus». Все книги в электронном варианте, содержащиеся в библиотеке «Ordo Deus», принадлежат их законным владельцам (авторам, переводчикам, издательствам). Все книги и статьи взяты из открытых источников и размещаются здесь только для чтения.

Вся информация на сайте Ordo Deus находится в свободном доступе. Ordo Deus не предоставляет информацию на платной основе.

Все авторские права сохраняются за правообладателями. Если Вы являетесь автором данного документа и хотите дополнить его или изменить, уточнить реквизиты автора, опубликовать другие документы или возможно вы не желаете, чтобы какой-то из ваших материалов находился в библиотеке, пожалуйста, свяжитесь с нами по e-mail:
info @ ordodeus. ru
Формы для прямой связи с нами находятся в нижней части страниц: контакты и устав «Ordo Deus», для перехода на эти страницы воспользуйтесь кнопкой контакты вверху страницы или ссылкой в оглавлении сайта.

Вас категорически не устраивает перспектива безвозвратно исчезнуть из этого мира? Вы не желаете закончить свой жизненный путь в виде омерзительной гниющей органической массы пожираемой копошащимися в ней могильными червями? Вы желаете вернувшись в молодость прожить ещё одну жизнь? Начать всё заново? Исправить совершённые ошибки? Осуществить несбывшиеся мечты? Перейдите по ссылке: «главная страница».

© Ordo Deus, 2010. При копировании ссылка на сайт http://www.ordo-deus.ru обязательна.