Паростальная саркома

Оглавление

  1. Дорога к бессмертию
  2. Бессмертие и религия
  3. Философия бессмертия
  4. Бессмертие и наука
  5. История анабиоза
  6. Смерть
  7. Кора головного мозга
  8. Бессмертие и анабиоз
  9. Анабиоз, медицина и биология
  10. Анабиоз и экономика
  11. Анабиоз и закон
  12. Анабиоз в Антарктиде
  13. Техническое обеспечение анабиоза
  14. Бессмертие и вера
  15. Библиотека Ordo Deus
  16. Контактная страница Ordo Deus

Паростальная саркома

Паростальная саркома (греческий para около + osteon кость; саркома; синонимы: оссифицирующая паростальная остеома, параоссальная саркома, паростальная остеобластическая саркома, паростальная остеогенная саркома, юкстакортикальная остеогенная саркома) — злокачественная остеогенная опухоль, развивающаяся из камбиального слоя надкостницы. Выделена из группы остеогенных сарком в 1951 год Гешиктером и Коуплендом (Ch. F. Geschickter, М. М. Copeland). Паростальная саркома встречается относительно редко, преимущественно в возрасте 30— 50 лет, несколько чаще у женщин, составляет до 3—6% всех первичных костных сарком. Опухоль чаще поражает диафизы длинных трубчатых костей, особенно часто — дистальный диафиз бедренной кости.

Макроскопически образована плотными костными массами и отдельными мягкими узлами, связанными с периостом и не поражающими корковое вещество кости. По гистологический строению напоминает компактную остеому (смотри полный свод знаний), но в Паростальная саркома пространства между костными перекладинами обычно заполнены опухолевой остеогенной тканью с анаплазией различной степени. Иногда эта ткань приобретает сходство с тканью фибромы или фибросаркомы; часто в ней встречаются островки, напоминающие хондросаркому. Костное вещество опухоли имеет относительно зрелую структуру, но отличается беспорядочным расположением костных перекладин (рисунок 1).

В клинические, картине многие исследователи выделяют первоначальную фазу, в течение которой опухоль медленно растёт без выраженных проявлений. Боль, как правило, отсутствует или бывает умеренной. Когда опухоль достигает значительных размеров, появляются симптомы, связанные со сдавлением нервных стволов и кровеносных сосудов, появляются боли, которые усиливаются и становятся постоянными. Рентгенологические картина в начальных стадиях развития опухоли характеризуется наличием в мягких тканях вблизи кости солитарного, грибовидной формы, чётко отграниченного плотного опухолевого образования (рисунок 2). У его полюсов между опухолью и корковым веществом подлежащей кости видна линия просветления. В дальнейшем кость окутывают наподобие муфты опухолевые массы с отчётливыми очертаниями, состоящие как бы из сливающихся шаров и полушарий различных размеров. Структура опухоли в центральной её части плотнее, однороднее, чем в периферической. Периостальной реакции не наблюдается. Паростальная саркома метастазирует гематогенно в лёгкие, где метастазы могут быть обнаружены при рентгенологическое исследовании.



Информация об Ordo Deus Перейти в оглавление сайта

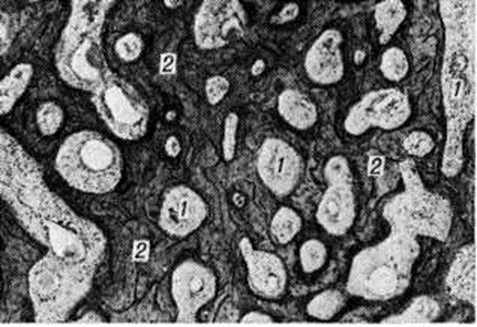
Рис. 1.
Микропрепарат паростальной саркомы: видны беспорядочно расположенные костные перекладины (2) и фиброзная остеогенная ткань между ними (1); окраска гематоксилин-эозином, × 80.





Информация об Ordo Deus Перейти в оглавление сайта

Рис. 2.
Рентгенограмма дистальной части бедренной кости и коленного сустава (боковая проекция) при паростальной саркоме: стрелками указана плотная тень прилежащего к кости опухолевого образования; периостальная реакция не определяется.



Лечение оперативное. Проводят сегментарную резекцию поражённой кости с ауто или аллопластикой дефекта, ампутацию или экзартикуляцию конечности.

Прогноз относительно благоприятный: по данным Г. Р. Цихисети (1979), 5-летняя выживаемость после радикального лечения Паростальная саркома составляет 60—70%, 10-летняя — 40— 50%.

Трапезников H.H.

⇐ Перейти на главную страницу сайта

⇑ Вернуться в начало страницы ⇑

Библиотека Ordo Deus ⇒

⇐ Паронхия

⇓ Полный свод знаний. Том первый А. ⇓

Паротит ⇒

Все статьи в полном изложении, Вы можете найти в большой медицинской энциклопедии — Главный редактор: академик АН СССР (РАН) и АМН СССР (РАМН) Б.В. Петровский. — Москва издательство «Советская энциклопедия» 1989г.

Внимание! Вы находитесь в библиотеке «Ordo Deus». Все книги в электронном варианте, содержащиеся в библиотеке «Ordo Deus», принадлежат их законным владельцам (авторам, переводчикам, издательствам). Все книги и статьи взяты из открытых источников и размещаются здесь только для чтения.

Вся информация на сайте Ordo Deus находится в свободном доступе. Ordo Deus не предоставляет информацию на платной основе.

Все авторские права сохраняются за правообладателями. Если Вы являетесь автором данного документа и хотите дополнить его или изменить, уточнить реквизиты автора, опубликовать другие документы или возможно вы не желаете, чтобы какой-то из ваших материалов находился в библиотеке, пожалуйста, свяжитесь с нами по e-mail:
info @ ordodeus. ru
Формы для прямой связи с нами находятся в нижней части страниц: контакты и устав «Ordo Deus», для перехода на эти страницы воспользуйтесь кнопкой контакты вверху страницы или ссылкой в оглавлении сайта.

Вас категорически не устраивает перспектива безвозвратно исчезнуть из этого мира? Вы не желаете закончить свой жизненный путь в виде омерзительной гниющей органической массы пожираемой копошащимися в ней могильными червями? Вы желаете вернувшись в молодость прожить ещё одну жизнь? Начать всё заново? Исправить совершённые ошибки? Осуществить несбывшиеся мечты? Перейдите по ссылке: «главная страница».

© Ordo Deus, 2010. При копировании ссылка на сайт http://www.ordo-deus.ru обязательна.