Пахименингит

Оглавление

  1. Дорога к бессмертию
  2. Бессмертие и религия
  3. Философия бессмертия
  4. Бессмертие и наука
  5. История анабиоза
  6. Смерть
  7. Кора головного мозга
  8. Бессмертие и анабиоз
  9. Анабиоз, медицина и биология
  10. Анабиоз и экономика
  11. Анабиоз и закон
  12. Анабиоз в Антарктиде
  13. Техническое обеспечение анабиоза
  14. Бессмертие и вера
  15. Библиотека Ordo Deus
  16. Контактная страница Ordo Deus

Пахименингит

Пахименингит (pachymeningitis; греческий pachys толстый, плотный + meninx, meningos оболочка + -itis) — воспаление твёрдой оболочки головного и спинного мозга. Воспалительный процесс твёрдой оболочки головного мозга называют церебральным пахименингитом, а твёрдой оболочки спинного мозга — спинальным пахименингитом. В зависимости от того, какие слои оболочки поражены, различают наружный, внутренний и внутри-оболочечный Пахименингит По характеру воспалительного процесса различают серозный, геморрагический и гнойный Пахименингит, по течению — острый и хронический Пахименингит

Патологоанатомические изменения при серозном Пахименингит характеризуются разрыхлением, отёком и резким полнокровием твёрдой оболочки головного и спинного мозга.

При геморрагическом внутреннем Пахименингит в патологический процесс вовлекается твёрдая оболочка головного мозга, чаще верхнелатеральной поверхности лобной и височной долей полушария головного мозга, иногда обоих полушарий мозжечка, реже области турецкого седла. В твёрдой оболочке спинного мозга геморрагический внутренний Пахименингит встречается крайне редко. При этой форме происходит геморрагическое пропитывание или расслоение твёрдой оболочки головного мозга вследствие разрыва стенок или флебита мозговых вен в зоне впадения их в синусы твёрдой мозговой оболочки. Макроскопически поражённая оболочка имеет пёстрый вид за счёт чередования буровато-коричневых старых очагов и скопления крови в образующихся в результате повторных кровоизлияний полостях (цветной рисунок 4). В дальнейшем содержимое полостей полностью обесцвечивается и образуются так называемый гигромы твёрдой оболочки головного мозга.

Микроскопически при геморрагическом Пахименингит обнаруживаются очаги кровоизлияний разной давности и полости, внутренняя поверхность которых выстлана эндотелием (рисунок 1). Организация геморрагических масс (смотри полный свод знаний: Организация в патологии) происходит путём врастания в них грануляционной ткани с образованием тонкостенных сосудов (рисунок 2). В грануляционной ткани выявляются скопления гемолизированной крови и отложения гемосидерина; в формирующейся фиброзной капсуле отмечается пролиферация макрофагов (рисунок 3). Капсула может быть инфильтрирована лимфоидными и плазматическими клетками. Особенностью геморрагического Пахименингит является медленное развитие процессов организации и недостаточно выраженное свёртывание излившейся крови вследствие малого содержания в ней фибрина или примеси цереброспинальной жидкости. В центральных отделах полостей процессы организации могут развиваться быстрее, что сопровождается в ряде случаев отложением солей кальция или окостенением твёрдой оболочки головного мозга.

При гнойном Пахименингит твёрдая оболочка головного и спинного мозга полнокровна, гнойный или фибринозно-гнойный экссудат располагается на наружной поверхности оболочки или в субдуральном пространстве, постепенно подвергаясь организации и отграничению спайками; при этом образуются экстра или субдуральные абсцессы. Микроскопически в твёрдой оболочке головного и спинного мозга обнаруживаются периваскулярные инфильтраты из сегментоядерных лейкоцитов и грануляционная ткань разной степени зрелости. При стихании процесса развивается фиброз оболочки.

При хронический Пахименингит развивается фиброз твёрдой оболочки головного и спинного мозга и происходит сращение её с окружающими тканями. Распространение процесса по протяжению твёрдой оболочки спинного мозга способствует образованию муфтообразного утолщения с последующим сдавлением корешков спинномозговых нервов и их атрофией. При туберкулёзе, сифилисе, актиномикозе и других хронический инфекциях встречается хронический гиперпластический Пахименингит. Твёрдая оболочка спинного мозга при этом утолщена за счёт пропитывания желатинозным экссудатом, имеет желтовато-серый цвет, может быть сращена с окружающими тканями. Микроскопически обнаруживаются специфические гранулемы, при сифилисе преобладают гуммозные поражения.

Церебральный пахименингит.

Различают несколько форм церебрального Пахименингит: серозный церебральный Пахименингит, геморрагический внутренний и внутридуральный Пахименингит, наружный и внутренний гнойный церебральный Пахименингит

Серозный церебральный пахименингит может возникать при общих инфекциях, интоксикациях, аллергических реакциях. Протекает он, как правило, бессимптомно и поэтому практически не диагностируется.

Геморрагический внутренний и внутридуральный пахименингит может возникнуть при травме, атеросклерозе, декомпенсированных пороках сердца, болезнях крови, повышении внутричерепного давления, инфекционные болезнях и др. Небольшие кровоизлияния в твёрдую мозговую оболочку протекают, как правило, бессимптомно. При обширных кровоизлияниях головная боль, возникшая в остром периоде, постепенно распространяется на всю голову, сопровождается рвотой, иногда потерей сознания. Часто наблюдается снижение памяти, апатия, иногда, наоборот, — психомоторное возбуждение, бред. Очаговые неврологический проявления зависят от локализации кровоизлияния. К ним могут присоединиться симптомы, обусловленные стеканием излившейся крови по субдуральному пространству, а также отёком мозга и нейродинамическими сдвигами. Выявляются слабо выраженные менингеальные симптомы. В некоторых случаях обнаруживаются застойные соски зрительных нервов с кровоизлияниями в сетчатку или неврит зрительного нерва. При спинномозговой пункции цереброспинальная жидкость вытекает под повышенным давлением, в ней иногда отмечается увеличение содержания белка, небольшой плеоцитоз, лёгкая ксантохромия.

Дифференциальный диагноз проводится с церебральным инсультом (смотри полный свод знаний: Инсульт, Мозговое кровообращение), субарахноидальным кровоизлиянием (смотри полный свод знаний: Подоболочечные кровоизлияния), менингитом (смотри полный свод знаний).

Лечение в большинстве случаев оперативное. В ходе операции удаляют гематому и производят перевязку повреждённого сосуда. В лёгких случаях рекомендуется консервативное лечение, направленное прежде всего на основное заболевание, применяют симптоматические и дегидратирующие средства.

Прогноз при своевременном лечении, как правило, благоприятный.



Информация об Ordo Deus Перейти в оглавление сайта

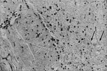
Рис. 1.
Микропрепарат твёрдой мозговой оболочки при геморрагическом пахименингите: в толще оболочки видны кровоизлияния (I) и различной величины полости (2), в части которых видна эндотелиальная выстилка; окраска гематоксилин-эозином; × 200.





Информация об Ordo Deus Перейти в оглавление сайта

Рис. 2.
Микропрепарат твёрдой мозговой оболочки при геморрагическом пахименингите: пролиферация фибробластов (указано стрелками) в зоне кровоизлияния; окраска гематоксилин-эозином; × 200.





Информация об Ordo Deus Перейти в оглавление сайта

Рис. 3.
Микропрепарат твёрдой мозговой оболочки с капсулой гематомы при геморрагическом пахименингите: пролиферация фибробластов (1), скопление макрофагов (2) и лимфоидных элементов (5); окраска толуидиновым синим; × 200.





Информация об Ordo Deus Перейти в оглавление сайта

Рис. 4.
Макропрепарат твёрдой мозговой оболочки при геморрагическом пахименингите: кровоизлияния разной давности с пропитыванием твёрдой мозговой оболочки свежей (красного цвета) и изменённой (бурого цвета) кровью.



Наружный гнойный церебральный пахименингит развивается при проникновении в полость черепа возбудителей инфекции из среднего уха, например, при гнойном среднем отите, придаточных (околоносовых) пазух носа при гнойном синусите, а также из нагноившихся ран, карбункулов, фурункулов головы и других областей тела. Отогенный наружный гнойный церебральный Пахименингит развивается чаще в задней черепной ямке, реже в средней и передней черепной ямке. При отогенном и риногенном Пахименингит возбудители инфекции проникают в полость черепа контактным, гематогенным путями, а также по периневральным пространствам; из отдалённых гнойных очагов —гематогенным и лимфогенным путём. В начальном периоде Пахименингит может наблюдаться обратное развитие процесса, но иногда в результате Пахименингит образуется экстрадуральный абсцесс. Наружный гнойный Пахименингит может осложниться субдуральным или интрацеребральным абсцессом или гнойным менингитом. Переход воспалительного процесса на стенки синусов и вен твёрдой оболочки головного мозга ведёт к синуситу и флебиту с последующим тромбозом (смотри полный свод знаний).

Наружный гнойный церебральный Пахименингит и экстрадуральный абсцесс иногда протекают бессимптомно. В большинстве же случаев в клинические, картине отмечаются локализованная головная боль и местная болезненность при перкуссии черепа соответственно локализации процесса. При Пахименингит и экстрадуральном абсцессе в средней черепной ямке наиболее сильная головная боль локализуется в височной области; выявляется болезненность при перкуссии чешуйчатой части височной кости. Иногда отмечаются афазия, парезы конечностей, эпилептиформные припадки. Воспалительный процесс у верхушки пирамиды височной кости вызывает на стороне поражения сильные боли в лобной, височной областях и глазном яблоке, гиперестезию кожи в зоне иннервации глазного нерва, сочетающиеся с параличом отводящего нерва (смотри полный свод знаний: Градениго синдром). Для абсцесса в задней черепной ямке наиболее характерны болезненность при перкуссии затылочной кости, ограничение движений и вынужденное положение головы. Поражение тройничного нерва при Пахименингит может сочетаться с повреждением лицевого и преддверноулиткового нервов и сопровождаться нистагмом и системным головокружением. Глазное дно при Пахименингит и экстрадуральном абсцессе обычно не изменено. При спинномозговой пункции отмечается повышение давления цереброспинальной жидкости, некоторое увеличение в ней белка и небольшой плеоцитоз.

Диагноз наружного гнойного церебрального Пахименингит труден в связи с малой выраженностью неврологический симптомов. При ото генном наружном гнойном Пахименингит важное диагностическое значение может иметь увеличение гнойного отделяемого из уха. Некоторую помощь в диагностике может оказать рентгенография височной кости и придаточных пазух носа; целесообразно использовать эхоэнцефалографию (смотри полный свод знаний) и пневмоэнцефалографию (смотри полный свод знаний), а также компьютерную томографию головы (смотри полный свод знаний: Томография компьютерная).

Дифференциальный диагноз проводят с опухолью и абсцессом мозга (смотри полный свод знаний: Головной мозг), церебральным арахноидитом (смотри полный свод знаний: Арахноидит).

Лечение в большинстве случаев оперативное с одновременным введением больших доз антибиотиков и сульфаниламидов. Оперативное вмешательство состоит в проведении костно-пластической или резекционной трепанации черепа соответственно локализации экстрадурального абсцесса, опорожнении его содержимого и иссечении стенок абсцесса. После этого в операционную область вводят поливиниловые дренажные трубки с целью местного применения антисептических растворов, антибиотиков. Через эти же трубки происходит отток раневого отделяемого. Одновременно проводится лечение основного заболевания.

Прогноз при своевременном лечении благоприятный.

Внутренний гнойный церебральный пахименингит встречается редко. Он возникает чаще всего как осложнение гнойного синусита, реже наблюдается в виде отогенного и метастатического субдуральных абсцессов. Пахименингит локализуется большей частью на верхнелатеральной поверхности полушарий головного мозга. Возможно сочетание субдурального абсцесса с экстрадуральным или тромбозом синусов твёрдой мозговой оболочки. Иногда течение болезни осложняется гнойным лептоменингитом.

Для клинические, картины характерны повышение температуры до 38—40°, озноб, головная боль, иногда рвота, менингеальные симптомы, сонливость, апатия, иногда бред, выраженный лейкоцитоз, сдвиг формулы крови влево, ускоренная РОЭ. В ряде случаев выявляется застойный сосок зрительного нерва. Нередко наблюдаются судороги, монопарез (или моноплегия), афазия. При спинномозговой пункции цереброспинальная жидкость вытекает под повышенным давлением, количество белка в ней увеличено, количество клеток может быть нормальным, но в большинстве случаев отмечается умеренный плеоцитоз.

Диагноз основывается главным образом на клинические, картине, исследовании глазного дна, цереброспинальной жидкости, степени выраженности менингеальных симптомов и данных эхоэнцефалографии. Дифференциальный диагноз, как и при наружном гнойном церебральном Пахименингит, проводят с опухолью и абсцессом мозга.

Лечение, как правило, консервативное и направлено на основное заболевание с применением противовоспалительных и дегидратирующих средств. При наличии субдурального абсцесса проводится оперативное лечение, как и при экстрадуральном абсцессе.

Прогноз при своевременном лечении, как правило, благоприятный.

Спинальный пахименингит

Спинальный Пахименингит встречается чаще, чем церебральный. В большинстве случаев наблюдается наружный спинальный Пахименингит, при котором воспалительный процесс обычно начинается в эпидуральной жировой клетчатке и затем распространяется на наружный слой твердой оболочки спинного мозга (смотри полный свод знаний: Мозговые оболочки). Часто наружный спинальный Пахименингит называют эпидуритом. Наружный спинальный Пахименингит по течению может быть острым и хроническим, а по характеру процесса серозным, гнойным и хроническим гиперпластическим. Серозный спинальный Пахименингит (серозный эпидурит) нередко протекает латентно и бессимптомно.

Гнойный спинальный пахименингит (гнойный эпидурит) обычно развивается вторично как осложнение гнойных процессов, локализующихся как вблизи эпидурального пространства (остеомиелита позвоночника, паравертебрального абсцесса, заднего медиастинита и др.), так и на значительном расстоянии от него (гнойного тонзиллита, пиелита, фурункулёза, панариция и др.). Гнойный спинальный Пахименингит может быть и при сепсисе. В эпидуральное пространство возбудители инфекции попадают контактным, гематогенным и лимфогенным путём. Гнойное воспаление эпидуральной клетчатки может быть ограниченным в форме эпидурального абсцесса на протяжении трёх-четырёх позвонков или диффузным. Гнойный процесс локализуется чаще в среднем и нижнем грудном отделах позвоночника. При этом спинной мозг и его мягкая оболочка обычно в воспалительный процесс не вовлекаются, но они подвергаются сдавлению эпидуральным абсцессом, воздействию токсинов. Кроме того, поражение их может возникать и в результате нарушения крово и лимфообращения. Только в немногих, наиболее злокачественных, случаях возбудители инфекции могут проникнуть в субарахноидальное пространство и вызвать менингит, миелит.

Гнойный спинальный Пахименингит начинается остро, реже подостро, сопровождается слабостью, недомоганием, головной болью, отсутствием аппетита, гектической лихорадкой, изменениями крови септического характера (высокий лейкоцитоз, сдвиг формулы крови влево, ускоренная РОЭ). На этом фоне появляются неврологический нарушения, вызываемые главным образом сдавлением спинного мозга, его оболочек и корешков спинномозговых нервов эпидуральным гнойным процессом, воспалённой и отёчной твёрдой оболочкой спинного мозга: корешковые боли, парестезии, симптомы натяжения корешков, парезы и параличи конечностей, чаще всего в виде центральной нижней параплегии, расстройства чувствительности проводникового характера, тазовые нарушения. Наряду с этим нередко наблюдаются и корешковые симптомы выпадения: отсутствие или вялость некоторых сухожильных рефлексов, гипестезия, гипотония и атрофия отдельных групп мышц. Нарастание неврологический нарушений происходит довольно быстро; в острых случаях уже через 2—3 суток после появления корешковых болей обнаруживаются центральные парезы (параличи), тазовые нарушения и др.

Дифференциальный диагноз проводят с острым миелитом (смотри полный свод знаний), спондилитом (смотри полный свод знаний), абсцессом и опухолью спинного мозга (смотри полный свод знаний). Особенно важно отдифференцировать гнойный спинальный пахименингит, требующий неотложного оперативного лечения, от острого миелита, который лечат только консервативно. При остром миелите в начале болезни нет ярко выраженного корешкового синдрома, отсутствует болезненность при постукивании по остистым отросткам позвонков и менингеальные симптомы выражены слабо, нет повышения давления цереброспинальной жидкости, быстрее, чем при гнойном спинальном Пахименингит, появляются парезы, параличи, проводниковые расстройства чувствительности, тазовые нарушения, пролежни. Спинномозговую пункцию при гнойном спинальном Пахименингит в связи с опасностью заноса инфекции в субарахноидальное пространство производят с большой осторожностью в зоне, отдалённой от абсцесса. При этом иглу с мандреном вначале вводят в эпидуральное пространство, а затем, если после удаления мандрена из иглы не появится гной, её вместе с мандреном проводят в субарахноидальное пространство. При гнойном спинальном Пахименингит в цереброспинальной жидкости отмечаются ксантохромия, повышенное содержание белка, иногда умеренный плеоцитоз; ликвородинамические пробы (смотри полный свод знаний), как правило, выявляют ликворный блок, который подтверждается с помощью пневмомиелографии.

Лечение больных гнойным спинальным Пахименингит направлено на основное заболевание, при этом применяют большие дозы антибиотиков и сульфаниламидов. При наличии эпидурального абсцесса показано оперативное лечение (после ламинэктомии на соответствующем уровне удаляют гнойное содержимое абсцесса, иссекают его стенки и в последующем дренируют рану).

Прогноз при гнойном спинальном Пахименингит серьёзный. Он зависит не только от тяжести гнойного процесса, своевременности начатого лечения, но также от характера и течения основного заболевания.

Хронический гиперпластический пахименингит (хронический гиперпластический эпидурит) может возникнуть вследствие перенесённой травмы позвоночника, хронический его заболеваний воспалительного и дистрофического характера, например, остеохондроза, спондилёза, а также актиномикоза, бруцеллёза, туберкулёза, сифилиса и другие.

Заболевание начинается большей частью подостро. Возникают сильные корешковые боли, боли в области позвоночника, иногда напоминающие люмбаго и сопровождающиеся напряжением мышц спины. Движения в позвоночнике ограничены из-за болей. За начальным периодом часто следует ремиссия, после которой боли возобновляются, появляются парестезии, гипестезии корешкового характера, нарастают явления спастического нижнего парапареза (реже тетрапареза) и проводниковые расстройства чувствительности. Особенно сильно страдает мышечно-суставное чувство. Иногда наблюдается синдром Броун-Секара (смотри полный свод знаний: Броун-Секара синдром) или только отдельные его симптомы. В цереброспинальной жидкости обычно обнаруживают выраженную белково-клеточную диссоциацию или синдром Нонне — Фруэна (смотри полный свод знаний: Цереброспинальная жидкость). Неврологический симптомы нарастают постепенно, реже, достигнув определённой степени, стабилизируются с небольшими колебаниями выраженности; симптомы поражения головного мозга при этом отсутствуют. Общее состояние больного в большинстве случаев остаётся удовлетворительным.

Диагноз хронический гиперпластического Пахименингит представляет большие трудности. Его следует отличать главным образом от опухоли спинного мозга и арахноидита (смотри полный свод знаний). Большое значение для уточнения диагноза имеют контрастная эпидурография, пневмомиелография, спондилография и исследование цереброспинальной жидкости.

Лечение, как правило, оперативное. В ходе операции удаляют грануляционные разрастания и иссекают значительные фиброзные утолщения твёрдой оболочки спинного мозга. До и после операции назначают антибиотики. В послеоперационном периоде применяют противовоспалительные, рассасывающие лекарственные средства, а также физиотерапию, массаж, ЛФК; проводят реабилитационные мероприятия. При ограниченных гиперпластических Пахименингит средней тяжести нередко выздоровление наступает после проведения консервативного лечения. При дискогенном пояснично-крестцовом гиперпластическом Пахименингит эффективны эпидуральные введения в область очага поражения смеси раствора новокаина, цианокобаламина (витамина В12), лидазы и преднизолона.

Прогноз при своевременном лечении чаще благоприятный.

Отдельными формами хронического гиперпластического Пахименингит являются шейный гипертрофический сифилитический и туберкулёзный спинальный Пахименингит

Шейный гипертрофический сифилитический пахименингит описан в 1873 год Ж. Шарко и Жоффруа (A. Joffroy). Встречается редко, развивается медленно (на протяжении 1½—2 лет). В течении болезни различают три стадии: стадию раздражения корешков спинномозговых нервов, во время которой наблюдаются боли в области затылка, шеи и рук; стадию, характеризующуюся корешковыми симптомами выпадения (вялым парезом рук с атрофией мышц пояса верхних конечностей и мышц кисти, гипестезией в области CVII—ThI); стадию сдавления спинного мозга, сопровождающуюся в некоторых случаях плеоцитозом в цереброспинальной жидкости.

Для установления диагноза важное значение имеют данные анамнеза, положительная реакция Вассермана в цереброспинальной жидкости и другие симптомы сифилитического поражения центральная нервная система

Лечение специфическое консервативное в сочетании с противовоспалительным и применением физио и бальнеотерапии.

Прогноз чаще благоприятный.

Туберкулёзный спинальный пахименингит в большинстве случаев развивается как осложнение туберкулёзного спондилита. Неврологический проявления соответствуют локализации воспалительного процесса.

Для установления диагноза важное значение имеют рентгенография позвоночника, рентгеноскопия органов грудной клетки, постановка реакций Пирке и Манту.

Лечение специфическое противотуберкулёзное (тубазид, фтивазид, стрептомицин, ПАСК) в сочетании с другими средствами и методами, применяемыми при лечении других форм хронический гиперпластического Пахименингит

Смотри полный свод знаний: Менингит.

Зозуля Ю.А.; Сапожникова М.А.; Ходос X.Г.

⇐ Перейти на главную страницу сайта

⇑ Вернуться в начало страницы ⇑

Библиотека Ordo Deus ⇒

⇐ Пахидермия

⇓ Полный свод знаний. Том первый А. ⇓

Педжета болезнь ⇒

Все статьи в полном изложении, Вы можете найти в большой медицинской энциклопедии — Главный редактор: академик АН СССР (РАН) и АМН СССР (РАМН) Б.В. Петровский. — Москва издательство «Советская энциклопедия» 1989г.

Внимание! Вы находитесь в библиотеке «Ordo Deus». Все книги в электронном варианте, содержащиеся в библиотеке «Ordo Deus», принадлежат их законным владельцам (авторам, переводчикам, издательствам). Все книги и статьи взяты из открытых источников и размещаются здесь только для чтения.

Вся информация на сайте Ordo Deus находится в свободном доступе. Ordo Deus не предоставляет информацию на платной основе.

Все авторские права сохраняются за правообладателями. Если Вы являетесь автором данного документа и хотите дополнить его или изменить, уточнить реквизиты автора, опубликовать другие документы или возможно вы не желаете, чтобы какой-то из ваших материалов находился в библиотеке, пожалуйста, свяжитесь с нами по e-mail:
info @ ordodeus. ru
Формы для прямой связи с нами находятся в нижней части страниц: контакты и устав «Ordo Deus», для перехода на эти страницы воспользуйтесь кнопкой контакты вверху страницы или ссылкой в оглавлении сайта.

Вас категорически не устраивает перспектива безвозвратно исчезнуть из этого мира? Вы не желаете закончить свой жизненный путь в виде омерзительной гниющей органической массы пожираемой копошащимися в ней могильными червями? Вы желаете вернувшись в молодость прожить ещё одну жизнь? Начать всё заново? Исправить совершённые ошибки? Осуществить несбывшиеся мечты? Перейдите по ссылке: «главная страница».

© Ordo Deus, 2010. При копировании ссылка на сайт http://www.ordo-deus.ru обязательна.