Остит

Оглавление

  1. Дорога к бессмертию
  2. Бессмертие и религия
  3. Философия бессмертия
  4. Бессмертие и наука
  5. История анабиоза
  6. Смерть
  7. Кора головного мозга
  8. Бессмертие и анабиоз
  9. Анабиоз, медицина и биология
  10. Анабиоз и экономика
  11. Анабиоз и закон
  12. Анабиоз в Антарктиде
  13. Техническое обеспечение анабиоза
  14. Бессмертие и вера
  15. Библиотека Ordo Deus
  16. Контактная страница Ordo Deus

Остит

Остит (ostitis, osteitis; греческий osteon кость + -itis) — воспаление кости. Термин применяется редко. Острый и хронический гнойный посттравматический Остит, а также гематогенный Остит, при которых всегда поражается костный мозг, принято называть остеомиелитом (смотри полный свод знаний); Остит с преимущественным поражением надкостницы называют остеопериоститом (смотри полный свод знаний); при распространении патологический процесса на все слои кости говорят о паностите. В некоторых источниках термином «остит» необоснованно обозначают заболевания, не относящиеся к воспалительным (деформирующий остит Педжета, болезнь Реклингхаузена).

Этиология. Чаще всего Остит возникает при травме кости (открытом переломе или после операции по поводу закрытого перелома) вследствие попадания гнойной микрофлоры в рану. Реже Остит вызывается специфической микрофлорой (туберкулёзный, сифилитический Остит). Крайне редко Остит наблюдается при лепре, гонорее, ревматоидном артрите, бруцеллёзе, паратифе.

Патологическая анатомия. При Остит характерно образование в костномозговых полостях грануляционной ткани, сопровождающееся более или менее выраженными явлениями рассасывания костного вещества и реактивного костеобразования. Возможны проявления острого и хронический воспаления кости.



Информация об Ordo Deus Перейти в оглавление сайта

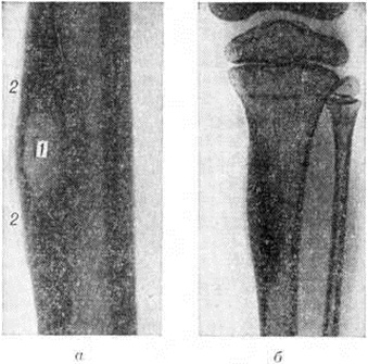
Рис
Рентгенограммы костей нижней конечности при остите: а — рентгенограмма диафиза бедренной кости с костным абсцессом (1 — овальный очаг деструкции в утолщённом корковом веществе кости, 2 — свежие периостальные наложения); б — рентгенограмма костей голени девочки 9 лет с врождённым сифилисом (оссифицирующий остит большеберцовой кости— диафиз утолщён, резко уплотнён, костномозговой канал сужен).



При остром Остит в результате преобладания процессов рассасывания костной ткани над процессами её образования появляются очаги деструкции кости. При хронический Остит грануляционная ткань имеет не гнойно-некротический, а пролиферативный характер. В зависимости от преобладания процессов рассасывания или костеобразования хронический Остит делится на рарефицирующий и оссифицирующий. Этиологического фактором рарефицирующего Остит чаще всего является специфическая инфекция (туберкулёз, сифилис, лепра). При туберкулёзном, сифилитическом и лепрозном Остит грануляционная ткань имеет характерные признаки.


Оссифицирующий Остит, или воспалительный остеосклероз, наблюдается при сифилисе (в третичном периоде приобретённого и поздних случаях врождённого). Часто ему сопутствует остеопериостит.

Клиническая картина, диагноз. Клинические, картина различных форм Остит описана в статьях Остеомиелит (смотри полный свод знаний), Остеопериостит (смотри полный свод знаний). Наиболее часто Остит локализуется в эпифизах, метафизах или диафизе длинных трубчатых костей, реже в позвонках и коротких трубчатых костях.

В диагностике Остит, помимо изучения клинические, симптомов, важное значение имеет рентгенологические исследование соответствующего участка скелета как минимум в двух стандартных (прямой и боковой) проекциях. Основным рентгенологическое признаком Остит является деструкция костного вещества, проявляющаяся на рентгенограммах просветлением его тени. Разрежение костного вещества при Остит носит очаговый характер. Деструктивный очаг медленно увеличивается в размерах (от нескольких миллиметров до нескольких сантиметров); по периферии очага развивается реактивный остеосклероз (смотри полный свод знаний). Для остеомиелита и туберкулёзного Остит характерно образование в деструктивной полости костного секвестра. При томографии (смотри полный свод знаний) иногда обнаруживают невидимые на обычных рентгенограммах мелкие деструктивные очаги или получают более наглядную картину деструкции. Остит вызывает в большинстве случаев продуктивную реакцию надкостницы, а иногда и эндоста. В этом случае воспалительный процесс характеризуется наличием деструктивного дефекта в корковом веществе периостальных наложений, вызывающих утолщение кости (рисунок, а). При оссифицирующем Остит кость на рентгенограмме выглядит уплотнённой и утолщённой (рисунок, б). Такая картина наблюдается при остеомиелите Гарре, сифилисе.

Лечение Остит комплексное и определяется его этиологией. Оно обычно включает оперативные вмешательства: некрэктомию (смотри полный свод знаний), секвестрэктомию (смотри полный свод знаний), продольные и сегментарные резекции костей, вакуумирование и обработку костной полости с помощью ультразвука, постоянное приточно-отсасывающее дренирование; антимикробную терапию (антибиотикотерапию, сульфанил-амидо-терапию, химиотерапию эффективными антисептиками, в том числе специфическими, применяемыми по показаниям внутрисосудисто, внутримышечно, местно и внутрь); широкое использование протеолитических ферментов (химотрипсина, папаина и другие); пассивную и активную иммунизацию; физиотерапию и общеукрепляющее лечение, а также иммобилизацию поражённой конечности (смотри полный свод знаний: Иммобилизация) при инфицированных переломах и ложных суставах.

Общие принципы профилактики часто встречающегося травматического Остит включают в себя прежде всего высококачественную радикальную первичную хирургическую обработку открытых переломов и строжайшее соблюдение асептики при проведении остеосинтеза закрытых переломов. Профилактика специфического Остит состоит в раннем рациональном лечении инфекционные заболеваний.

Смотри полный свод знаний: Кость.

Лаврищева Г.И.; Маркова О.М.; Свиридов С.А.

⇐ Перейти на главную страницу сайта

⇑ Вернуться в начало страницы ⇑

Библиотека Ordo Deus ⇒

⇐ Остеохондропатия

⇓ Полный свод знаний. Том первый А. ⇓

Острый живот ⇒

Все статьи в полном изложении, Вы можете найти в большой медицинской энциклопедии — Главный редактор: академик АН СССР (РАН) и АМН СССР (РАМН) Б.В. Петровский. — Москва издательство «Советская энциклопедия» 1989г.

Внимание! Вы находитесь в библиотеке «Ordo Deus». Все книги в электронном варианте, содержащиеся в библиотеке «Ordo Deus», принадлежат их законным владельцам (авторам, переводчикам, издательствам). Все книги и статьи взяты из открытых источников и размещаются здесь только для чтения.

Вся информация на сайте Ordo Deus находится в свободном доступе. Ordo Deus не предоставляет информацию на платной основе.

Все авторские права сохраняются за правообладателями. Если Вы являетесь автором данного документа и хотите дополнить его или изменить, уточнить реквизиты автора, опубликовать другие документы или возможно вы не желаете, чтобы какой-то из ваших материалов находился в библиотеке, пожалуйста, свяжитесь с нами по e-mail:
info @ ordodeus. ru
Формы для прямой связи с нами находятся в нижней части страниц: контакты и устав «Ordo Deus», для перехода на эти страницы воспользуйтесь кнопкой контакты вверху страницы или ссылкой в оглавлении сайта.

Вас категорически не устраивает перспектива безвозвратно исчезнуть из этого мира? Вы не желаете закончить свой жизненный путь в виде омерзительной гниющей органической массы пожираемой копошащимися в ней могильными червями? Вы желаете вернувшись в молодость прожить ещё одну жизнь? Начать всё заново? Исправить совершённые ошибки? Осуществить несбывшиеся мечты? Перейдите по ссылке: «главная страница».

© Ordo Deus, 2010. При копировании ссылка на сайт http://www.ordo-deus.ru обязательна.