Ормонда болезнь

Оглавление

  1. Дорога к бессмертию
  2. Бессмертие и религия
  3. Философия бессмертия
  4. Бессмертие и наука
  5. История анабиоза
  6. Смерть
  7. Кора головного мозга
  8. Бессмертие и анабиоз
  9. Анабиоз, медицина и биология
  10. Анабиоз и экономика
  11. Анабиоз и закон
  12. Анабиоз в Антарктиде
  13. Техническое обеспечение анабиоза
  14. Бессмертие и вера
  15. Библиотека Ordo Deus
  16. Контактная страница Ordo Deus

Ормонда болезнь

Ормонда болезнь (J. К. Ormond, современный американский уролог; синонимы ретроперитонеальный фиброз) — своеобразный вид мезенхимопатии — неспецифического фибросклеротического процесса, развивающегося в клетчаточных соединительнотканных пространствах, преимущественно в забрюшинном.

Впервые об этом заболевании сообщил И. Альбарран в 1905 год Подробнее его описал Ормонд (1948), и с тех пор оно называется его именем.

Этиология и патогенез. Возникновение и развитие фиброза в забрюшинной клетчатке может быть обусловлено воспалительным процессом, исходящим из прилегающих к забрюшинной клетчатке мочевых и других органов; мочевыми экстравазатами, обусловленными пиелоренальными рефлюксами; травмой, приведшей к забрюшинной гематоме; аутоиммунными процессами; аневризмой брюшной аорты; влиянием некоторых лекарственных препаратов; инфекционной болезнью (токсоплазмоз, бруцеллёз и другие). Среди этиологического факторов значительное место, по данным А. Я. Пытеля, занимает мочевая гранулема, обусловленная интермиттирующими пиело синусными рефлюксами с последующим распространением мочевой инфильтрации по клетчатке забрюшинного пространства.

Установлена патогенетическая связь болезни Ормонда с побочным влиянием некоторых лекарственных средств при длительном их приёме, в частности больших доз некоторых антибиотиков, эрготамина, а-метилдофа. Возникающие в забрюшинной клетчатке экстравазаты мочи, содержащие дериваты некоторых лекарственных средств, способствуют развитию Ормонда болезнь

Чаще наблюдается поражение клетчатки с одной стороны, то есть левого или правого забрюшинного пространства, редко — одновременно обоих. Возможны два варианта течения патологический процесса: трубкообразный, или футлярный, и плоскостной. Первый следует рассматривать как следствие экстравазации мочи в клетчатку, окружающую в виде муфты мочевые пути и крупные забрюшинные сосуды. Второй — как влияние некоторых лекарственных средств при длительном их применении.

Патологическая анатомия. При Ормонда болезнь склеротически изменённая. клетчатка сдавливает и смещает мочеточник, крупные магистральные сосуды, лимфатических, пути, реже — лоханку, почку. Клетчатка — весьма плотная, дольчатая, светло-коричневого или серого цвета, пронизанная желатинообразными прослойками. При далеко зашедшем процессе склеротические изменения в клетчатке приводят к деформации лоханки и её чашечек, смещают мочеточник в медиальную сторону, суживают его просвет. Микроскопически клетчатка состоит из гомогенных масс, содержащих инфильтраты (рисунок 1) с отдельными коллагеновыми волокнами, жировыми и соединительнотканными клетками. В инфильтратах — гиалиновые отложения. Воспалительная реакция незначительна. Среди гомогенных масс, разбросанных в жировой ткани, располагаются макрофаги и фибробласты. Макрофаги содержат гемосидериновые гранулы и капли жира. Чем больше коллагеновых волокон, тем интенсивнее выражено рубцевание, приводящее к стенозу мочеточника, чашечек и лоханок.

Клиническая картина. При Ормонда болезнь медленно наступает сдавление мочеточника и смещение его к позвоночнику, что приводит к гидронефротической трансформации. Сдавление нижней полой вены, брюшной аорты и её крупных ветвей, лимфатических, сосудов и лимфатических, узлов вызывает расстройство крово и лимфообращения. До тех пор пока в клетчатке забрюшинного пространства удовлетворительно функционирует лимфатических, дренаж и венозный коллатеральный отток, фибропластический процесс может длительное время протекать латентно, не нарушая состояния больного. Но как только лимфатических, пути в результате их сдавления и облитерации полностью или частично блокируются, болезнь принимает прогрессирующее течение. У большинства больных превалируют симптомы со стороны мочевых путей и кишечного тракта: периодически почечная колика, гематурия, боль в животе и пояснице, нарушение функции кишечника и другие При Ормонда болезнь часто наблюдается артериальная гипертензия, которая у части больных исчезает после соответствующего лечения. Возможны такие осложнения, как инфаркт яичка, гидроцеле, приапизм, хилёзный асцит, нарушения кровообращения нижних конечностей и другие


Диагноз. Экскреторная урография (смотри полный свод знаний) позволяет диагностировать уростаз в верхних мочевых путях, смещение мочеточника в медиальную сторону к позвоночнику (рисунок 2). Когда вследствие экстрауретерального сдавления мочеточника невозможно произвести ретроградную пиелографию, а экскреторная урография противопоказана, прибегают к антеградной пиелоуретерографии (смотри полный свод знаний Пиелография). Диагностическим подспорьем могут быть лимфография (смотри полный свод знаний) и венокавография (смотри полный свод знаний Кавография), аортография (смотри полный свод знаний). С помощью радиоизотопных методов определяют функциональный состояние почек и мочевых путей. Дифференциальную диагностику проводят с опухолевидными процессами забрюшинного пространства, обструктивными поражениями мочеточника другой этиологии (камни, новообразования, лучевые повреждения, сегментарный неспецифический уретрит и другие), обычными воспалительными процессами забрюшинной клетчатки, последствиями травм верхних мочевых путей и другие



Информация об Ordo Deus Перейти в оглавление сайта

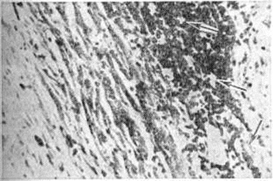
Рис. 1.
Микропрепарат ретроперитонеальной клетчатки при болезни Ормонда: фибросклероз жировой забрюшинной клетчатки вокруг мочеточника; лимфоплазмоцитарные инфильтраты (указаны стрелками).





Информация об Ordo Deus Перейти в оглавление сайта

Рис. 2.
Экскреторная урограмма больного болезнью Ормонда: смещение мочеточников (указаны стрелками) в медиальную сторону к позвоночнику.





Информация об Ordo Deus Перейти в оглавление сайта

Рис. 3.
Схематическое изображение этапов операции уретеролиза с интраперитонизацией мочеточника при болезни Ормонда: а — разрез заднего листка брюшины над мочеточником (линия разреза указана стрелкой); б — брюшина (1) рассечена и выделен мочеточник (2) из склерозированной клетчатки; в — мочеточник (1) перемещён в брюшную полость и под ним зашито отверстие (2) в заднем листке брюшины .



Лечение. В начальных стадиях болезни показано лечение кортикостероидными препаратами — преднизолоном в суточной дозе 40 миллиграмм в течение месяца, а затем в постепенно сниженных дозах в течение 4—5 месяцев; применение тканевой терапии по Филатову (алоэ, взвесь плаценты); рентгенотерапия в небольших противовоспалительных дозах. Терапия кортикостероидами может дать удовлетворительный результат. Большинству больных показано оперативное лечение: а) уретеролиз с интраперитонизацией мочеточника (рисунок 3); б) уретеролиз с окутыванием мочеточника большим сальником, (этот вид вмешательства является у большей части больных операцией выбора, при которой рецидивы отмечены у 10% оперированных); в) резекция сдавленного участка мочеточника с наложением анастомоза конец в конец или замещение суженного сегмента мочеточника отрезком подвздошной кишки на брыжейке; г) аутотрансплантация почки. Послеоперационная летальность достигает 10%.

Прогноз. Больному угрожает медленное, но прогрессирующее сдавление мочеточников, нарушение кровоснабжения кишечника, поскольку в процесс может вовлекаться корень брыжейки. В итоге при отсутствии эффекта от операции больные погибают при явлениях уремии или присоединившейся инфекции в мочевых путях. Общая летальность 15—20%.

Пытель А.Я.

⇐ Перейти на главную страницу сайта

⇑ Вернуться в начало страницы ⇑

Библиотека Ordo Deus ⇒

⇐ Органические психозы

⇓ Полный свод знаний. Том первый А. ⇓

Оспа натуральная ⇒

Все статьи в полном изложении, Вы можете найти в большой медицинской энциклопедии — Главный редактор: академик АН СССР (РАН) и АМН СССР (РАМН) Б.В. Петровский. — Москва издательство «Советская энциклопедия» 1989г.

Внимание! Вы находитесь в библиотеке «Ordo Deus». Все книги в электронном варианте, содержащиеся в библиотеке «Ordo Deus», принадлежат их законным владельцам (авторам, переводчикам, издательствам). Все книги и статьи взяты из открытых источников и размещаются здесь только для чтения.

Вся информация на сайте Ordo Deus находится в свободном доступе. Ordo Deus не предоставляет информацию на платной основе.

Все авторские права сохраняются за правообладателями. Если Вы являетесь автором данного документа и хотите дополнить его или изменить, уточнить реквизиты автора, опубликовать другие документы или возможно вы не желаете, чтобы какой-то из ваших материалов находился в библиотеке, пожалуйста, свяжитесь с нами по e-mail:
info @ ordodeus. ru
Формы для прямой связи с нами находятся в нижней части страниц: контакты и устав «Ordo Deus», для перехода на эти страницы воспользуйтесь кнопкой контакты вверху страницы или ссылкой в оглавлении сайта.

Вас категорически не устраивает перспектива безвозвратно исчезнуть из этого мира? Вы не желаете закончить свой жизненный путь в виде омерзительной гниющей органической массы пожираемой копошащимися в ней могильными червями? Вы желаете вернувшись в молодость прожить ещё одну жизнь? Начать всё заново? Исправить совершённые ошибки? Осуществить несбывшиеся мечты? Перейдите по ссылке: «главная страница».

© Ordo Deus, 2010. При копировании ссылка на сайт http://www.ordo-deus.ru обязательна.