Оглавление
-
Дорога к бессмертию
-
Бессмертие и религия
-
Философия бессмертия
-
Бессмертие и наука
-
История анабиоза
-
Смерть
-
Кора головного мозга
-
Бессмертие и анабиоз
-
Анабиоз, медицина и биология
-
Анабиоз и экономика
-
Анабиоз и закон
-
Анабиоз в Антарктиде
-
Техническое обеспечение анабиоза
-
Бессмертие и вера
-
Библиотека Ordo Deus
-
Контактная страница Ordo Deus
|
Олигодендроглиома
Олигодендроглиома (oligodendroglioma; греческий oligos малый -dendron дерево -глиома; синонимы олигодендроцитома) — относительно доброкачественная опухоль, исходящая из клеток олиго дендроглии.
Олигодендроглиома встречается в среднем возрасте, реже в детском. Олигодендроглиома, по данным различных исследователей, наблюдается в 1,3—12,6% случаев внутричерепных опухолей. Локализуется Олигодендроглиома в белом веществе полушарий большого мозга, преимущественно передних его отделов, паравентрикулярной области с врастанием в полость желудочков, реже подкорковых ганглий, мозжечка, ствола мозга и спинного мозга.
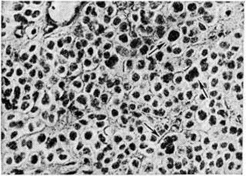
Макроскопически Олигодендроглиома имеет вид узла, чаще нечётко отграниченного от окружающего мозгового вещества (рисунок 1). Ткань опухоли однородного сероватого, серовато-розового, реже красноватого цвета, консистенция либо соответствует мозговому веществу, либо студенистая с наличием мелких кист.
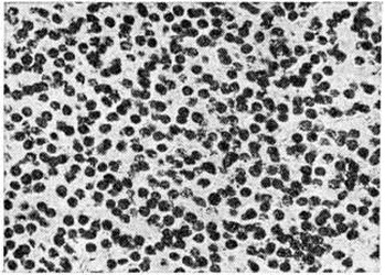
Микроскопически различают Олигодендроглиома типической и атипической структуры. Типические Олигодендроглиома состоят из густо и равномерно расположенных клеток со скудной цитоплазмой и ядрами сферической формы с нежными глыбками хроматина и чётким ядрышком (рисунок 2), напоминающих обычный олигодендроглиоцит. Нередко ткань опухоли приобретает мелкоячеистую (напоминающую соты) структуру, в центре ячейки располагается по нескольку ядер, окружённых светлой неокрашенной зоной (рисунок 3). Иногда в ткани Олигодендроглиома наряду с клетками, напоминающими олигодендроглиоциты, обнаруживают пучки веретенообразных клеток с отростками и ядрами вытянутой формы. В ряде случаев в Олигодендроглиома встречаются участки астроцитомы (смотри полный свод знаний), которая содержит глиальные волокна, импрегнирующиеся методом Рамон-и-Кахаля. Подобные опухоли диагностируются как олигодендроастроцитомы.. В Олигодендроглиома имеется небольшое или умеренное количество мелких сосудов. Характерным является отложение солей извести в ткани опухоли, сосудах и прилежащем мозговом веществе. Нередки мелкие кисты.
Атипические Олигодендроглиома характеризуются умеренным клеточным полиморфизмом, причём дедифференцировка отдельных клеток наблюдается в сторону изменения величины ядра и содержания в нем хроматина, а также увеличения цитоплазматического тела (появляются крупные, даже гигантские, клетки); нарушается равномерность распределения опухолевых клеток, нередко возможна активация и гиперплазия эндотелия сосудов. В случаях дедифференцировки преобладающего числа опухолевых клеток и наличия иных признаков злокачественности опухоли диагностируются как глиобластомы олигодендроглиального происхождения (смотри полный свод знаний Глиобластома).
|
Ультраструктурными органоспецифическими признаками Олигодендроглиома различной степени злокачественности являются плотное расположение темных и светлых клеток, наличие тонких ворсиноподобных клеточных отростков, внутрицитоплазматических концентрических мембранных структур, синаптоподобных образований между телами клеток и их отростками. У большинства клеток глиофибриллы отсутствуют.
Рост Олигодендроглиома инфильтративный, чаще с неглубоким прорастанием прилежащей нервной ткани (0,1—0,5 миллиметров), реже на значительную глубину. Внутри-желудочковые Олигодендроглиома, врастая из вещества мозга в просвет желудочка, могут расти в виде узла либо стелиться по стенкам желудочков. Диффузные Олигодендроглиома встречаются крайне редко. Также редко наблюдается метастазирование по ликворным путям в пределах центральная нервная система
Как и для всей группы доброкачественных внутримозговых опухолей, характерны длительное течение заболевания и очаговая симптоматика, определяющаяся локализацией Олигодендроглиома (смотри полный свод знаний Головной мозг, Спинной мозг).
Лечение оперативное — удаление опухоли. Лучевая терапия не эффективна. Часто через 1 — 2 года после операции наблюдаются рецидивы.
|
Все статьи в полном изложении, Вы можете найти в большой медицинской энциклопедии — Главный редактор: академик АН СССР (РАН) и АМН СССР (РАМН) Б.В. Петровский. — Москва издательство «Советская энциклопедия» 1989г.
|
|
Внимание! Вы находитесь в библиотеке «Ordo Deus». Все книги в электронном варианте, содержащиеся в библиотеке «Ordo Deus», принадлежат их законным владельцам (авторам, переводчикам, издательствам). Все книги и статьи взяты из открытых источников и размещаются здесь только для чтения.
|
|
Вся информация на сайте Ordo Deus находится в свободном доступе. Ordo Deus не предоставляет информацию на платной основе.
|
|
Все авторские права сохраняются за правообладателями. Если Вы являетесь автором данного документа и хотите дополнить его или изменить, уточнить реквизиты автора, опубликовать другие документы или возможно вы не желаете, чтобы какой-то из ваших материалов находился в библиотеке, пожалуйста, свяжитесь с нами по e-mail: info @ ordodeus. ru Формы для прямой связи с нами находятся в нижней части страниц: контакты и устав «Ordo Deus», для перехода на эти страницы воспользуйтесь кнопкой контакты вверху страницы или ссылкой в оглавлении сайта.
|
Вас категорически не устраивает перспектива безвозвратно исчезнуть из этого мира? Вы не желаете закончить свой жизненный путь в виде омерзительной гниющей органической массы пожираемой копошащимися в ней могильными червями? Вы желаете вернувшись в молодость прожить ещё одну жизнь? Начать всё заново? Исправить совершённые ошибки? Осуществить несбывшиеся мечты? Перейдите по ссылке:
«главная страница».
|