Невриты

Оглавление

  1. Дорога к бессмертию
  2. Бессмертие и религия
  3. Философия бессмертия
  4. Бессмертие и наука
  5. История анабиоза
  6. Смерть
  7. Кора головного мозга
  8. Бессмертие и анабиоз
  9. Анабиоз, медицина и биология
  10. Анабиоз и экономика
  11. Анабиоз и закон
  12. Анабиоз в Антарктиде
  13. Техническое обеспечение анабиоза
  14. Бессмертие и вера
  15. Библиотека Ordo Deus
  16. Контактная страница Ordo Deus

Невриты

Невриты (neuritis, единственное число; греческий neuron нерв + -itis) — поражения отдельных периферических нервов, обусловленные воздействием различных этиологических факторов. В отличие от невралгии (смотри полный свод знаний) Невриты характеризуется изменениями в нерве, захватывающими не только его оболочки, но и осевой цилиндр.

История. После работ Б. Евстахия (1564), И. Прохаски (1779), Д. И. Иванова (1780) по анатомии периферической нервной системы появились первые клинические, наблюдения поражения отдельных нервов. Значительная часть учёных рассматривала Невриты как вторичное заболевание, обусловленное сдавлением нервного ствола при травме или изменениями в спинном мозге. Считалось, что в периферических нервах сосуды отсутствуют, поэтому воспалительный процесс в них не может развиться. Прогресс в учении о болезнях периферической нервной системы связан со значительным обновлением и углублением представлений о строении нервного волокна, закономерностях его перерождения и восстановления при повреждении. В 1864 год Дюмениль (Dumenil) описал воспалительные изменения в нервах и тем самым положил начало изучению клинико-морфологической картины Невриты В дальнейшем большой вклад в разработку этой проблемы внесли Ж. Шарко, Ж. Дежерин, В. К. Рот, М. И. Аствацатуров, М. С. Маргулис, Д. А. Шамбуров, Б. С. Дойников и другие

Классификация. Общепринятая классификация Невриты основана на анатомическом принципе. Выделяют Невриты отдельных периферических нервов (зрительного, лицевого, срединного, малоберцового и тому подобное) — мононевриты и полиневриты (смотри полный свод знаний). По темпу развития симптомов Невриты подразделяют на острые, подострые и хронические, по этиологии — на инфекционные, токсические, травматические, авитаминозно-дистрофические, ишемические, аллергические и обусловленные охлаждением.

Этиология и патогенез. Этиологического факторы Невриты разнообразны: бактериальные и вирусные инфекции, экзогенные и эндогенные интоксикации, охлаждение, сосудистые и обменные нарушения, травма, авитаминозы и так далее Среди возбудителей инфекционные Невриты наибольшую роль играют вирусы герпеса, кори, гриппа, энтеровирусы, аденовирусы. Вместе с тем Невриты зрительного, глазодвигательного, преддверно-улиткового, тройничного е} других нервов могут быть осложнением бруцеллёза, дифтерии, малярии, лепры, тифов, ревматизма, сифилиса и других заболеваний бактериальной и паразитарной природы. Определённую роль могут играть экзогенные интоксикации (алкоголем, мышьяком, ртутью, свинцом, трикрезилфосфатом, таллием, хромом, марганцем и так далее) и эндогенные (диабет, гипертиреоз, болезни печени, почек и другие).

Одна из причин заболевания — узость костных каналов, через которые проходят нервы, а также компрессия корешков нерва остеофитом или грыжей межпозвонкового диска. Невриты срединного и большеберцового нервов могут развиться вследствие сдавления ствола нерва связками и сухожилиями мышц в каналах запястья и предплюсны. Определённая роль в развитии Невриты принадлежит травме. Так, например, Невриты добавочного нерва может развиться в результате ношения тяжёлого груза на лямках, подмышечного — при пользовании костылём лучевого — при сдавлении нерва во сне, во время операции, малоберцового — в результате работы в неудобной позе (на корточках) и тому подобное.

В странах Азии, Африки, Латинской Америки нередко встречаются Невриты авитаминозно-дистрофического происхождения, а в развитых капиталистических странах (США, Канада, Франция, Швеция, Великобритания и другие) — Невриты, связанные с бесконтрольным применением лекарственных средств (нейролептиков, снотворных). Факторами риска для развития Невриты считают артериальную гипертензию, атеросклероз, нейроциркуляторную дистонию. Чаще всего Невриты развиваются при сочетании нескольких причин (инфекция или охлаждение на фоне узости костного канала или атеросклероза и тому подобное).

Патогенез Невриты сложен и обусловлен главным образом токсическими, обменными и сосудистыми изменениями в нерве, компрессией нерва или образующих его корешков. При инфекциях, интоксикациях, авитаминозах, дистрофиях и тому подобное развиваются обменные нарушения в периферических нервных волокнах. В артериях, артериолах и капиллярах, питающих тот или иной нерв, появляются вазомоторные расстройства, что приводит к отеку окружающей ткани.

Развитие в периферических нервах воспалительного процесса отмечается иногда при сифилисе, лепре, бруцеллёзе. Наблюдаемое в некоторых случаях избирательное поражение вегетативных, двигательных или чувствительных волокон нерва объясняется тем, что эти волокна в онто и филогенезе приобрели известные отличия в строении и течении обменных процессов.



Информация об Ordo Deus Перейти в оглавление сайта

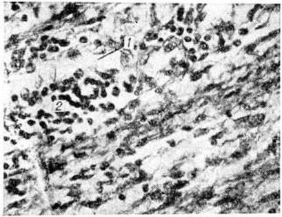
Рис. 1.
Микропрепарат нерва при остром паренхиматозном полирадикулоневрите (аксональная невропатия): веретенообразные вздутия (1) аксонов, вакуолизация отдельных волокон (2). Импрегнация серебром, × 600.



Патологическая анатомия. Морф, критерии воспаления часто не совпадают с клинические, представлениями о Невриты как о воспалительном процессе в нерве. Отдельные формы Невриты протекают без признаков воспаления и обозначаются как невропатии (смотри полный свод знаний Невропатия в неврологии) и полиневропатии. Морфологически различают паренхиматозные (дегенеративные) и интерстициальные Невриты При паренхиматозных Невриты наблюдается дегенерация нервных волокон, миелиновых оболочек и леммоцитов. Различают два типа дегенерации нервных волокон — аксональный и сегментарный (смотри полный свод знаний Нервные волокна). При большинстве невропатий и невритов отмечается смешанный тип дегенерации, но при некоторых болезнях (например, при сахарном диабете) преобладает сегментарная демиелинизация (рисунок 1), а при порфирии — аксональная невропатия (рисунок 2).

При интерстициальных Невриты воспалительный процесс локализуется в соединительной ткани нерва. В эндо и периневрии обнаруживается васкулит (смотри полный свод знаний). Отмечается набухание эндотелия сосудов нерва, в интра и периваскулярных пространствах — отёк, инфильтрация лимфоидными клетками и сегментоядерными лимфоцитами, которые могут скапливаться в эндо и периневрии (рисунок 3). Воспалительный процесс в эндоневрии сопровождается пропотеванием мукоидной субстанции и вторичным местным вспучиванием нервных волокон с последующей валлеровской дегенерацией (смотри полный свод знаний Валлера перерождение) и сегментарной демиелинизацией.



Информация об Ordo Deus Перейти в оглавление сайта

Рис. 2.
Микропрепарат нерва при постинфекционной паренхиматозной невропатии (сегментарная демиелинизация): распад миелина с формированием шаров (1), местами с полным исчезновением миелина (2). Окраска по Шпильмейеру, × 400.





Информация об Ordo Deus Перейти в оглавление сайта

Рис. 3.
Микропрепарат нерва при интерстициальном неврите после кори: эндотелий сосудов нерва набухший (1), перикапиллярные и периадвентициальные инфильтраты из лимфоидных элементов (2) окраска пикрофуксином, × 400.



Интерстициальные Невриты могут отмечаться при таких заболеваниях, как лепрозный Невриты, семейный амилоидоз, метахроматическая лейкодистрофия, синдром Гийена — Барре — Штроля (смотри полный свод знаний Полиневрит), узелковый периартериит.

При инфекционных Невриты отмечается сочетание патологический изменений, характерных для паренхиматозного и интерстициального Невриты Такие Невриты встречаются при дифтерии, бруцеллёзе, ботулизме, инфекционном гепатите, ветрянке, кори, стрептококковой инфекции, мононуклеозе, лептоспирозах, малярии.

Туберкулёзные Невриты протекают по типу паренхиматозных. Они возникают по соседству с поражёнными туберкулёзным процессом лимфатических, узлами, холодными абсцессами. Межрёберные нервы, плечевое сплетение поражаются при туберкулёзных плевритах. Изредка в периферических нервах и корешках обнаруживают туберкулёзные гранулемы.

Невриты при сифилисе встречаются редко. При этом нервные волокна поражаются, как правило, вторично, например, в связи с сифилитическим гиперостозом. В редких случаях, например, при так называемый склерогуммальном Невриты локтевого нерва в периферических нервах обнаруживают гуммы.

При диабетических Невриты отмечаются ранние патологический изменения в виде сегментарной демиелинизации, при тяжёлых формах — в виде аксональной дегенерации. В мелких сосудах эндоневрия появляется гиперплазия внутренней и средней оболочек, утолщение основной мембраны капилляров, скопление PAS-положительного вещества в стенках сосудов, облитерация их просветов с развитием многочисленных мелких инфарктов нерва. При длительно протекающей диабетической невропатии наблюдается луковицеобразное расщепление миелиновых оболочек, что указывает на хронический рецидивирующую сегментарную демиелинизацию.

При профессиональных Невриты в нервных стволах развиваются ишемические процессы, характерны растягивание нервов, разрывы периневрия с формированием невром (смотри полный свод знаний), сегментарная демиелинизация и валлеровская дегенерация.

Клиническая картина. Симптоматика поражения того или другого периферического нерва зависит от функций, которые этот нерв выполняет. Поскольку большинство из них имеют в своём составе двигательные, чувствительные и вегетативные волокна, то при Невриты отмечается сочетание парезов и атрофий, выпадений поверхностной и глубокой чувствительности (в автономной зоне) и вазомоторно-трофических расстройств, хотя возможно и избирательное поражение определённого типа волокон с соответствующими клиническими проявлениями.

Невриты начинается чаще всего с болей и парестезий (смотри полный свод знаний). Выпадает поверхностная чувствительность, реже глубокая. Заболевание может ограничиваться небольшими сенсорными расстройствами (невралгическая форма). Такое течение, в частности, характерно для эпиневрита — варианта заболевания с преимущественным поражением общей соединительнотканной оболочки, окутывающей нервный ствол. Расстройства в двигательной сфере проявляются парезами или параличами отдельных мышц или мышечных групп (смотри полный свод знаний Параличи, парезы), снижением или выпадением рефлексов (смотри полный свод знаний Рефлекс). Объективизировать двигательные нарушения помогают данные хронаксиметрии (смотри полный свод знаний), электромиографии (смотри полный свод знаний). Трофические расстройства заключаются в атрофии кожи, подкожной клетчатки и мышц, локальных отёках, депигментации или гиперпигментации и тому подобное

Вегетативная форма Невриты проявляется главным образом вазомоторными нарушениями (цианоз, мраморность кожи, отеки), гипергидрозом (смотри полный свод знаний), выпадением волос и тому подобное

Клинические, картина Невриты зависит и от особенностей этиологии и патогенеза заболевания.

Аллергические Невриты развиваются на фоне других проявлений сывороточной болезни (высыпания, отеки, боли в суставах). Течение нередко рецидивирующее. Инфекционные Невриты встречаются как при острых, так и хронический инфекциях. Каких-либо специфических черт они не имеют, хотя отмечено, что при сифилисе (вторичном или третичном) встречаются чаще Невриты зрительного и преддверно-улиткового нервов. При ревматизме Невриты развиваются в период обострения заболевания и сочетаются с другими симптомами поражения нервной системы, например, хореиформным гиперкинезом. Токсические Невриты при экзогенных и эндогенных интоксикациях протекают наиболее тяжело, причём существует некоторая избирательность поражения нервов в зависимости от характера интоксикации. Так, отравление метиловым спиртом сопровождается поражением зрительного нерва, отравление свинцом и мышьяком — лучевого и малоберцового. При ботулизме чаще страдают глазодвигательный, отводящий, языкоглоточный и блуждающий нервы, при диабете — глазодвигательный, отводящий, лицевой, лучевой, малоберцовый. При травматическом Невриты вскоре после травмы нарушается функция повреждённого нерва, появляются боли, которые через 2—3 недель иногда (главным образом при поражении срединного и седалищного нервов) приобретают характер каузалгических (смотри полный свод знаний Каузалгия).



Информация об Ordo Deus Перейти в оглавление сайта

Рис. 1. Термограмма нижних конечностей здорового человека: температурные поля симметричны.
Рис. 2. Термограмма нижних конечностей при травматическом неврите седалищного нерва слева: отмечается резкое снижение термогенной активности в проекции левой конечности.
Рис. 3. Термограмма нижних конечностей этого же больного в обратном цветном изображении.
Рис. 4. Термограмма нижних конечностей при неврите малоберцового и большеберцового нервов справа: отмечается резкое снижение температуры голени и стопы (симптом «ампутации»).



Невриты отдельных нервов проявляются следующими симптомами: обонятельного нерва (смотри полный свод знаний) — односторонней аносмией; зрительного нерва (смотри полный свод знаний) — снижением остроты и изменением полей зрения; глазодвигательного нерва (смотри полный свод знаний) — опущением века (птозом), ограничением движения глазного яблока кнутри, вверх и частично вниз, расширением зрачка, диплопией; блокового нерва (смотри полный свод знаний) — ограничением подвижности глазного яблока вниз и в небольшой степени кнаружи; отводящего нерва (смотри полный свод знаний) — невозможностью отвести глаз кнаружи; лицевого нерва (смотри полный свод знаний) — парезом или параличом всех мимических мышц половины лица; пред дверно-улиткового нерва (смотри полный свод знаний) — снижением слуха, вестибулярными расстройствами; языкоглоточного нерва (смотри полный свод знаний) и блуждающего нерва (смотри полный свод знаний) — гипестезией и расстройством вкуса на задней трети языка, болями в ухе, нарушением глотания и речи (на стороне поражения мягкое небо опущено, язычок отклонён в здоровую сторону, глоточный рефлекс отсутствует); тройничного нерва (смотри полный свод знаний) — болями и потерей чувствительности в половине лица, слабостью и атрофией жевательной мускулатуры на стороне поражения; добавочного нерва (смотри полный свод знаний) — ограничением поворота головы в здоровую сторону (голова несколько приведена в сторону поражённого нерва, плечо опущено); подъязычного нерва (смотри полный свод знаний) — отклонением языка в сторону поражённого нерва, атрофией и фибриллярными подёргиваниями на этой же половине языка; диафрагмального нерва — болями в подреберье с иррадиацией в шею и плечо, ощущением нехватки воздуха, одышкой, икотой; подмышечного нерва — болями в области плечевого сустава, затруднением поднимания плеча до горизонтального уровня, атрофией и снижением чувствительности в области наружно-верхней части плеча; срединного нерва (смотри полный свод знаний) — нарушением сгибания кисти и I, II, III пальцев, а также чувствительности на лучевой стороне ладони и на трёх с половиной пальцах (если поражение нерва обусловлено сдавлением его ствола в пястном канале, то отмечается симптом Тинеля — при поколачивании по этой области возникают боли и парестезии в первых трёх пальцах); локтевого нерва (смотри полный свод знаний) — слабостью сгибателей IV, V, отчасти III пальцев, затруднением их приведения, атрофией межкостных мышц («когтистая лапа»), нарушениями чувствительности на локтевой половине ладони и на её тыле; лучевого нерва (смотри полный свод знаний) — нарушением разгибания кисти и пальцев, в результате чего рука приобретает характерную позу («висячая кисть»), нарушением чувствительности на лучевой половине тыла кисти; бедренного нерва (смотри полный свод знаний) — нарушением разгибания голени в коленном суставе и сгибания бедра, атрофией мышц; седалищного нерва (смотри полный свод знаний) — болями по задней поверхности бедра и заднелатеральной поверхности голени, слабостью сгибателей и разгибателей стопы, дряблостью ягодичных мышц и опущением ягодичной складки на стороне поражения (чувствительность нарушена на голени и стопе).

Диагноз ставят на основании клинические, симптоматики и данных анамнеза. В нем принято отражать остроту процесса, этиологию, уровень поражения и степень нарушения функций. Необходимо учитывать возможность вторичного поражения периферических нервов, причиной которого являются опухоли (меланома, невринома, саркома), туберкулёз, некоторые хронический прогрессирующие заболевания нервной системы. Например, Невриты малоберцового нерва может быть одним из симптомов невральной амиотрофии, Невриты зрительного нерва — рассеянного склероза, блуждающего — аневризмы аорты или туберкулёза шейных лимфатических, узлов и другие

Лечение проводится с учётом этиологии, патогенеза и клинические, особенностей Невриты При Невриты бактериальной этиологии применяют антибиотики и сульфаниламиды, при Невриты вирусной этиологии — интерферон, специфические сыворотки, гамма-глобулин, при токсических Невриты— реополиглюкин, унитиол, гипосульфит натрия, специфические антидоты, при ишемических Невриты— сосудорасширяющие средства (стугерон, компламин, эуфиллин) и тому подобное В остром периоде травматического Невриты рекомендуется иммобилизация конечности. С первых дней заболевания широко применяют противовоспалительные, аналгезирующие и дегидратационные средства (ацетилсалициловую кислоту, амидопирин, бруфен, индоцид, бутадион, диакарб, лазикс, урегит), витамины группы В (В1, В3, В6, В12), С, Е. Через 2—2½ недель проводят курс лечения антихолинэстеразными препаратами (прозерином, нивалином) или биогенными стимуляторами (алоэ, ФИБС). Хорошие результаты лечения инфекционно-аллергических Невриты даёт использование кортикостероидных препаратов (преднизолона, дексаметазона).

Травматический Невриты, а также Невриты лицевого нерва лечат и оперативным путём, если консервативная терапия в течение 3—4 месяцев не приводит к восстановлению функций. Производят ревизию места травмы, рассекают спайки, производят невролиз (смотри полный свод знаний), сшивают нерв, замещают дефект аллотрансплантатом и так далее; больным с Невриты лицевого нерва вскрывают лицевой канал (фаллопиев канал), иногда накладывают анастомоз между лицевым, подъязычным и добавочным нервами. Результат операции зависит от её своевременности: если она произведена в первые 3—5 месяцев после травмы, выздоровление или значительное улучшение наступает почти у 90% больных, если спустя 1—2 года — только у 30— 40%. При неэффективности оперативного вмешательства на периферическом нерве можно прибегнуть к ортопедической операции (пересадке или ушиванию сухожилий и другие) с целью устранения контрактур.

Лечебная физкультура в комплексном лечении Невриты способствует восстановлению проводимости нерва, улучшению регионарного кровообращения, обмена и трофических процессов в окружающих тканях, стимулирует процессы регенерации. Упражнения лечебный гимнастики предупреждают образование вторичных деформаций, стимулируют функцию нервно-мышечной системы в целом. При необратимых поражениях периферических нервов специальные упражнения лечебный гимнастики обеспечивают формирование двигательных компенсаций.

ЛФК применяют как при травмах периферических нервов, так и при воспалительных процессах в них после окончания острого периода. В период остро выраженного болевого синдрома, при общем тяжёлом состоянии больного лечебный физкультура противопоказана.

При постельном режиме в комплекс лечебный гимнастики включаются пассивные движения (медленные, с небольшой амплитудой и ограниченным числом повторений), упражнения, предусматривающие напряжение несокращающихся мышц, и другие Например, при поражении лучевого нерва показано пассивное разгибание руки в локтевом суставе, разгибание кисти и пальцев, отведение большого пальца. Некоторые специальные упражнения рекомендуется выполнять несколько раз в течение дня самостоятельно. Для предупреждения контрактур и деформаций, помимо лечебный гимнастики, необходимо постоянно следить за положением конечности и периодически его изменять. В частности, стопы следует фиксировать повязками или гипсовыми лонгетами под прямым углом к голени. При параличах упражнения рационально сочетать с электрогимнастикой.

Как только больной получает возможность выполнять активные движения в тазобедренных и коленных суставах, ЛФК начинают проводить в положении больного сидя, потом стоя, затем обучают его ходьбе. Особое внимание необходимо уделять восстановлению движений в суставах кистей, пальцев и стоп при полиневритах. Для восстановления движений пальцев рук выполняют упражнения с мелкими предметами и такие приёмы, как перекладывание спичек, застёгивание пуговиц, шитье, вязание, игра на музыкальных инструментах и так далее, для укрепления силы мышц сжимают резиновый мяч, пружинный эспандер и другие Для восстановления функций дистальных отделов нижних конечностей показаны активные движения в голеностопных суставах в положении лёжа, сидя и стоя: сведение и разведение носков, вставание на пятки и на носки с опорой руками о спинку кровати, катание по полу набивного мяча и другие Широко применяют упражнения с отягощением и сопротивлением. ЛФК необходимо сочетать с массажем. Массируют всю конечность и избирательно поражённые мышцы. Массаж может предшествовать физическим упражнениям или применяться после них (для снятия утомления).

Физиотерапия. Основные задачи физиотерапии — ликвидировать боль, стимулировать регенерацию нерва, предупредить образование грубых рубцов, контрактур и деформаций конечности, улучшить питание и тонус парализованных мышц. Из этих задач вытекают и основные принципы физиотерапии невритов.

1. Используются такие физические факторы, которые способствуют ликвидации болевого синдрома и восстановлению функции нерва. Так, для обезболивания применяют ультразвук, фоно и электрофорез обезболивающих средств, электрическое поле УВЧ, импульсные токи; для стимуляции регенерации нерва — ультразвук, индуктотермию, постоянный ток, бальнеотерапию; для нормализации тонуса мышц — импульсные токи; для предупреждения образования грубых рубцов — ультразвук, фоно и электрофорез рассасывающих средств, теплолечение.

При проведении физиотерапии учитываются общие закономерности и периоды восстановительного процесса. В раннем периоде, когда преобладают местные изменения (отёк, боль, нарушение кровообращения в конечности и другие), непосредственно воздействуют на зону поражения электрическим полем УВЧ, ультразвуком, применяют электрофорез анальгина, новокаина, кальция, йода, лидазы, парафиновые аппликации и индуктотермию. По мере нормализации состояния поражённых тканей для стимуляции регенерации и улучшения проводимости нерва воздействуют на сегментарную зону. Применяют ультразвук, фонофорез гидрокортизона, эуфиллина, индукто и электрофорез фосфора, нивалина, прозерина, камерные гидрогальванические ванны, электростимуляцию мышц импульсными токами, параметры которых подбирают с учётом состояния электровозбудимости нервно-мышечного аппарата.

При замедленном восстановлении функции нерва в целях дальнейшей стимуляции регенерации и использования компенсаторных возможностей организма используют лечебный средства, вызывающие выраженные общие реакции организма,— грязелечение, общие минеральные (сульфидные, радоновые, хлоридные натриевые) ванны, общие УФ-облучения, подводный душ-массаж, климатолечебные процедуры. Бальнео и климато-лечение в этот период может проводиться на курорте (Сочи Мацеста, Пятигорск, Кемери, Цхалтубо, Хмельник и другие).

Для повышения эффективности физиотерапии выбор методик и дозирование процедур проводят с учётом этиологии Невриты Так, при травматических Невриты вследствие закрытых повреждений местные методики применяют не только в раннем, но и в более позднем периодах. При открытых повреждениях и после невролиза лечение проводят преимущественно по местным методикам в целях предупреждения образования грубых рубцов. При этом используют ультразвук, фонофорез, электрофорез рассасывающих веществ (лидазы, йода), назначая их сразу после снятия швов. После сшивания нерва или пересадки аллотрансплантата чаще используют продольные методики гальванизации и электрофореза (кальция, нивалина) и сегментарные методики ультразвука в импульсном режиме малой интенсивности. При травме нерва и переломе костей в раннем периоде — электрическое поле УВЧ, электрофорез кальция и фосфора, ультразвук, электростимуляцию мышц, после прекращения иммобилизации назначают УФ-облучения, соляно-хвойные, хлоридные натриевые, азотные ванны по общим методикам.

При инфекционных и токсических Невриты в раннем периоде используют продольные и сегментарные методики воздействия; по мере выявления локализации и уровня поражения в лечебный комплекс включают местные методики. Физиотерапию назначают при нормальной температуре тела, используют электрическое поле, УВЧ, электрофорез кальция, фосфора, йода, местные световые и тёплые ванны из пресной воды. Позже, чем при травматических Невриты, назначают электростимуляцию мышц (на 3—4-й недель) и бальнеотерапию (не ранее чем через 1 — 1½ месяцев). Используют щадящие методики воздействия, так как у больных этой группы нередко имеет место поражение сердечно-сосудистой системы.

При Невриты сосудистого генеза (ишемические Невриты) уже в раннем периоде для улучшения кровоснабжения конечности наряду с местными методиками назначают воздействия на зону проекции симпатических ганглиев, иннервирующих сосуды поражённой конечности. При этом применяют электрическое поле УВЧ, импульсные токи, микроволны по щадящим методикам, электрофорез сосудорасширяющих веществ (эуфиллина, но-шпы, магния, никотиновой кислоты). Широко используют сульфидные ванны, оказывающие выраженное сосудорасширяющее действие на периферические сосуды.

При Невриты лицевого нерва любого генеза физиотерапевтическая тактика определяется состоянием электровозбудимости поражённого нерва и наличием ранних электродиагностических признаков контрактуры мимических мышц.

Прогноз определяется формой, этиологией и тяжестью Невриты, а также своевременностью и объёмом проведённых лечебный мероприятий. У значительного большинства больных отмечается полное или почти полное восстановление функции пострадавшего нерва. Случаи частичного или плохого восстановления функций, которые могут приводить к длительной нетрудоспособности, а иногда и к инвалидности, наблюдаются при Невриты лицевого нерва, травматических, токсических и авитаминозно-дистрофических Невриты срединного, локтевого, малоберцового и .некоторых других нервов.

Профилактика основана на ранней диагностике и лечении общих инфекций, интоксикаций, авитаминозов, защите от охлаждений и травм и тому подобное

Экспериментальные невриты моделируются на лабораторных животных с целью изучения патогенеза Невриты у человека, их клиники и лечения. Экспериментальные Невриты— это целенаправленно вызванные у животных альтеративно-воспалительные изменения в нервных волокнах и соединительной ткани нервного ствола, сопровождающиеся локальными и общими патофизиологические и морфологический изменениями, присущими Невриты человека.

У животных экспериментальные Невриты воспроизводятся путём воздействия физическими факторами (травматические, холодовые и так далее), химическими (введение в нервный ствол различных раздражителей — скипидара, формалина, кротонового масла и так далее), бактериальными нейротоксинами и другими ядами, инфекционные агентами, а также при различных авитаминозах. Различают ишемические, аллергические и цитотоксические экспериментальные Невриты Аналогично Невриты, встречающимся в клинические, практике, экспериментальные Н« могут характеризоваться явлениями инфильтрации и экссудации преимущественно в соединительной ткани нервного ствола (интерстициальный Невриты) или развитием дегенеративных процессов в нервных волокнах (паренхиматозный Невриты).

Экспериментальные Невриты бывают простые, когда поражаются один или несколько соседних нервных стволов, и множественные (полиневрит).

В основе патофизиологические изменений, развивающихся при Невриты, лежат как местные проявления (нарушение микроциркуляции, развитие гипоксического очага, нарушение кислотно-щелочного равновесия и ионноосмотического гомеостаза собственно в стволах нервов), так и общие, связанные с феноменом денервации и нарушением обмена веществ.

В морфологический картине экспериментальных Невриты выделяют несколько стадий. В раннем периоде при ненарушенной целостности аксонов отмечается набухание ядер леммоцитов с разрастанием их цитоплазмы, обнаруживаются изменения в кровеносных сосудах эпиневрия. На следующей стадии развития сосудисто-экссудативные процессы усиливаются, появляется валлеровское перерождение отдельных мякотных волокон. Если течение экспериментального Невриты благоприятное, то наступает стадия восстановления с уменьшением отёка нервной ткани, разрастанием соединительнотканных оболочек, регенерацией аксонов. При травматических экспериментальных Невриты в проксимальном отрезке нерва отмечаются ретроградные изменения нервных волокон, которые появляются почти сразу же после травмы нерва. Характер и степень ретроградных изменений зависят от многих причин: обширности повреждения, близости места травмы к нервным центрам и другие

В случае неблагоприятного течения экспериментальных Невриты регенерация нерва замедляется и возникают резкие нарушения функции тканей, характерные для денервации.

В патологический процесс при экспериментальных Невриты могут быть вовлечены и вегетативные нервные волокна. Механическое повреждение или воздействие химический раздражителями и патогенными агентами на смешанные нервы, в составе которых имеются вегетативные волокна, и на симпатические и парасимпатические элементы век н. с., вызывают разнообразные трофические нарушения в костях, мышцах, коже или изменения функции сердечно-сосудистой и дыхательной систем.

Антонов И.П.; Антропова М.И.; Илларионов В.П.; Мартынов Ю.С.; Попова Л.М.

⇐ Перейти на главную страницу сайта

⇑ Вернуться в начало страницы ⇑

Библиотека Ordo Deus ⇒

⇐ Невринома

⇓ Полный свод знаний. Том первый А. ⇓

Неврозы ⇒

Все статьи в полном изложении, Вы можете найти в большой медицинской энциклопедии — Главный редактор: академик АН СССР (РАН) и АМН СССР (РАМН) Б.В. Петровский. — Москва издательство «Советская энциклопедия» 1989г.

Внимание! Вы находитесь в библиотеке «Ordo Deus». Все книги в электронном варианте, содержащиеся в библиотеке «Ordo Deus», принадлежат их законным владельцам (авторам, переводчикам, издательствам). Все книги и статьи взяты из открытых источников и размещаются здесь только для чтения.

Вся информация на сайте Ordo Deus находится в свободном доступе. Ordo Deus не предоставляет информацию на платной основе.

Все авторские права сохраняются за правообладателями. Если Вы являетесь автором данного документа и хотите дополнить его или изменить, уточнить реквизиты автора, опубликовать другие документы или возможно вы не желаете, чтобы какой-то из ваших материалов находился в библиотеке, пожалуйста, свяжитесь с нами по e-mail:
info @ ordodeus. ru
Формы для прямой связи с нами находятся в нижней части страниц: контакты и устав «Ordo Deus», для перехода на эти страницы воспользуйтесь кнопкой контакты вверху страницы или ссылкой в оглавлении сайта.

Вас категорически не устраивает перспектива безвозвратно исчезнуть из этого мира? Вы не желаете закончить свой жизненный путь в виде омерзительной гниющей органической массы пожираемой копошащимися в ней могильными червями? Вы желаете вернувшись в молодость прожить ещё одну жизнь? Начать всё заново? Исправить совершённые ошибки? Осуществить несбывшиеся мечты? Перейдите по ссылке: «главная страница».

© Ordo Deus, 2010. При копировании ссылка на сайт http://www.ordo-deus.ru обязательна.