Нейробластома

Оглавление

  1. Дорога к бессмертию
  2. Бессмертие и религия
  3. Философия бессмертия
  4. Бессмертие и наука
  5. История анабиоза
  6. Смерть
  7. Кора головного мозга
  8. Бессмертие и анабиоз
  9. Анабиоз, медицина и биология
  10. Анабиоз и экономика
  11. Анабиоз и закон
  12. Анабиоз в Антарктиде
  13. Техническое обеспечение анабиоза
  14. Бессмертие и вера
  15. Библиотека Ordo Deus
  16. Контактная страница Ordo Deus

Нейробластома

Нейробластома (neuroblastoma; греческий neuron нерв + blastos росток -oma) — злокачественная дизонтогенетическая опухоль, состоящая из незрелых клеток ганглиозно-клеточного ряда. Классификация ганглиозно-клеточных опухолей трудна, так как в одной и той же опухоли нередко определяются элементы различной степени зрелости. В связи с этим Уиллис (R. Willis) предлагает пользоваться термином «Нейробластома» как обобщающим и наиболее простым.

Нейробластома встречаются редко, преимущественно в детском и юношеском возрасте. По локализации различают Нейробластома головного мозга и Нейробластома, исходящие из элементов симпатической части высшая нервная система

Патологическая анатомия. Из Нейробластома головного мозга описаны Нейробластома области серого бугра и третьего желудочка, белого вещества полушарий большого мозга, мозжечка. Макроскопически опухоль имеет вид узла серо-розового цвета диаметром от 1 до 1,5 сантиметров на разрезе ткань опухоли пористая, нередко с кистами. Микроскопически Нейробластома состоит из довольно плотно примыкающих друг к другу клеток, местами с образованием розеток, состоящих из безотростчатых аполярных нейробластов, выявляемых при импрегнации по Бильшовскому — Грос — Лаврентьеву. Опухолевые клетки представлены нейробластами различной степени зрелости, вплоть до зрелых ганглиозных клеток с нисслевской зернистостью в цитоплазме. Ядра опухолевых клеток пузырьковидные, различны по величине, с чётким темно-окрашенным ядрышком (рисунок 1). Соединительнотканная строма развита слабо. В ткани опухоли встречаются митозы, некрозы. Рост Нейробластома инфильтративный с неглубоким прорастанием окружающей ткани.

Нейробластома симпатической части век н. с. исходят из крупных симпатических узлов и мелких интрамуральных ганглиев внутренних органов, а также из мозгового слоя надпочечников. Макроскопически они имеют вид узлов различной величины и окраски. В ткани опухоли встречаются очаги некроза. По степени зрелости среди Нейробластома симпатической части век н. с. различают симпатогониомы и симпатобластомы.

Симпатогониома — наиболее злокачественная, незрелая, примитивная опухоль; встречается у новорожденных и в раннем детском возрасте. Опухолевые клетки — со скудной цитоплазмой и округлым темным ядром, напоминающим лимфоцит. Иногда встречаются псевдорозетки (рисунок 2). Эти клетки происходят из примитивных клеток — симпатогоний, отсюда термин «симпатогониома».

Симпатобластома — более дифференцированная опухоль. Она содержит отростчатые нейробласты с крупными телами овальной, вытянутой иди полигональной формы, с пузырьковидным ядром, содержащим глыбки хроматина в виде спиц в колесе. Располагаются клетки плотно, иногда в виде тяжей, колонн, пучков. В ряде случаев встречаются ложные или истинные розетки (рисунок 3), некротические очаги. Разграничить симпатогониомы и симпатобластомы не всегда удаётся: такие опухоли, согласно номенклатуре ВОЗ, обозначают как нейробластомы.

Клиническая картина. Нейробластома— злокачественные опухоли, дающие метастазы в пределах центральная нервная система и за её пределами, размеры метастазов нередко превышают размеры основного опухолевого узла. Эти опухоли часто рецидивируют.

Клинические, картина Нейробластома головного мозга зависит от локализации опухоли и характера метастазирования (смотри полный свод знаний Головной мозг, опухоли).

Нейробластома симпатической части век н. с. резко злокачественны, дают метастазы во внутренние органы и кости грудной клетки, черепа (симпатогониомы в 80% случаев). Клинические, картина весьма разнообразна. В частности, описаны две своеобразные формы симпатогониомы, происходящей из мозгового вещества надпочечников, известные как синдром Пеппера и синдром Гетчинсона. При синдроме Пеппера (описан в 1901 г.) опухоль метастазирует по лимфатических, путям преимущественно в органы брюшной полости. В раннем детском или грудном возрасте, иногда с рождения, отмечается резко прогрессирующая гепатомегалия, прощупываются подкожные узелки метастазов. Быстро наступают анемия, кахексия, резко ускоряется РОЭ. Течение характеризуется обострениями с периодами лихорадки. При синдроме Гетчинсона (описан в 1907 г.) опухоль метастазирует преимущественно в кости (основание черепа, длинные трубчатые кости).

Синдром возникает в раннем детстве, вначале проявляется болями в костях, недомоганием, повышением температуры, малокровием, ускорением РОЭ. Вследствие развития метастазов в костях черепа появляется экзофтальм (смотри полный свод знаний), смещение глазных яблок (косоглазие), экхимозы.



Информация об Ordo Deus Перейти в оглавление сайта

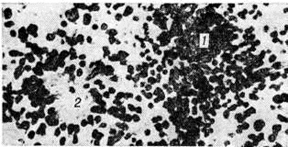
Рис. 1.
Микропрепарат нейробластомы головного мозга: среди нейробластов с пузырьковидными ядрами видны конгломераты сосудов с активацией и гиперплазией эндотелия (указаны стрелками); окраска гематоксилин-эозином; × 450





Информация об Ordo Deus Перейти в оглавление сайта

Рис. 2.
Микропрепарат симпатогониомы: видны скопление гиперхромных лимфоцитоподобных клеток (1) и псевдорозетка (2); окраска гематоксилин-эозином; × 450.





Информация об Ordo Deus Перейти в оглавление сайта

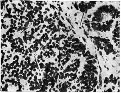
Рис. 3.
Микропрепарат симпатобластомы: среди опухолевых клеток видны истинные (1) и ложные (2) розетки; окраска гематоксилин-эозином; × 450.



Диагноз ставится на основании клинические, картины, рентгенологическое исследования и данных биопсии. При рентгенографии обнаруживаются множественные костные метастазы с деструкцией костей.

Лечение комбинированное (оперативное и лучевое).

Прогноз неблагоприятный. Он зависит в основном от наличия или отсутствия метастазов и степени инфильтрации окружающих тканей.

И. А. Бродская.

⇐ Перейти на главную страницу сайта

⇑ Вернуться в начало страницы ⇑

Библиотека Ordo Deus ⇒

⇐ Нейроахилический синдром

⇓ Полный свод знаний. Том первый А. ⇓

Нейровирусные болезни ⇒

Все статьи в полном изложении, Вы можете найти в большой медицинской энциклопедии — Главный редактор: академик АН СССР (РАН) и АМН СССР (РАМН) Б.В. Петровский. — Москва издательство «Советская энциклопедия» 1989г.

Внимание! Вы находитесь в библиотеке «Ordo Deus». Все книги в электронном варианте, содержащиеся в библиотеке «Ordo Deus», принадлежат их законным владельцам (авторам, переводчикам, издательствам). Все книги и статьи взяты из открытых источников и размещаются здесь только для чтения.

Вся информация на сайте Ordo Deus находится в свободном доступе. Ordo Deus не предоставляет информацию на платной основе.

Все авторские права сохраняются за правообладателями. Если Вы являетесь автором данного документа и хотите дополнить его или изменить, уточнить реквизиты автора, опубликовать другие документы или возможно вы не желаете, чтобы какой-то из ваших материалов находился в библиотеке, пожалуйста, свяжитесь с нами по e-mail:
info @ ordodeus. ru
Формы для прямой связи с нами находятся в нижней части страниц: контакты и устав «Ordo Deus», для перехода на эти страницы воспользуйтесь кнопкой контакты вверху страницы или ссылкой в оглавлении сайта.

Вас категорически не устраивает перспектива безвозвратно исчезнуть из этого мира? Вы не желаете закончить свой жизненный путь в виде омерзительной гниющей органической массы пожираемой копошащимися в ней могильными червями? Вы желаете вернувшись в молодость прожить ещё одну жизнь? Начать всё заново? Исправить совершённые ошибки? Осуществить несбывшиеся мечты? Перейдите по ссылке: «главная страница».

© Ordo Deus, 2010. При копировании ссылка на сайт http://www.ordo-deus.ru обязательна.