Мукоцеле

Оглавление

  1. Дорога к бессмертию
  2. Бессмертие и религия
  3. Философия бессмертия
  4. Бессмертие и наука
  5. История анабиоза
  6. Смерть
  7. Кора головного мозга
  8. Бессмертие и анабиоз
  9. Анабиоз, медицина и биология
  10. Анабиоз и экономика
  11. Анабиоз и закон
  12. Анабиоз в Антарктиде
  13. Техническое обеспечение анабиоза
  14. Бессмертие и вера
  15. Библиотека Ordo Deus
  16. Контактная страница Ordo Deus

Мукоцеле

Мукоцеле (mucocele; латынь mucus слизь + греческий kele опухоль; синонимы кистовидное растяжение) — ретенционная слизистая киста, чаще всего локализующаяся в придаточных (околоносовых, часть) пазухах носа или червеобразном отростке.

Описание мукоцеле можно встретить в литературе начиная с 17 век.

Мукоцеле придаточных пазух носа обусловлено закрытием их выводных отверстий и последующим растяжением костных стенок пазух накапливающимся содержимым. Нарушение проходимости выводных отверстий чаще всего является следствием травмы костей лица, реже результатом воспалительных изменений слизистой оболочки придаточных пазух с последующей облитерацией их выводных отверстий.

Содержимое кистовидно-растянутых пазух бывает различным. Оно может быть прозрачным или чаще мутным, молочно-белого, светло-жёлтого или шоколадного цвета; по консистенции обычно вязкое, тянется в виде нитей, наподобие яичного белка или мёда. Более темной окраске соответствуют большая плотность и вязкость. Содержимое, как правило, не имеет запаха и, если нет вторичного инфицирования, стерильно.



Информация об Ordo Deus Перейти в оглавление сайта

Рис. 1. Лицо больной с мукоцеле правой лобной пазухи: правый глаз резко смещён книзу.
Рис. 2. Лицо больного с мукоцеле левого решетчатого лабиринта: левый глаз смещён кнаружи.





Информация об Ordo Deus Перейти в оглавление сайта

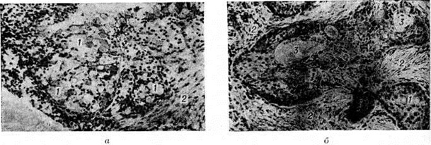
Рис. 3
Микропрепараты мукоэпидермоидных опухолей: а — скопления светлых слизеобразующих клеток (1) в строме (2); б — тяжи клеток плоского эпителия (1), прослойки стромы (2), кистозные полости (3) × 120



Течение заболевания обычно очень медленное, вначале не сопровождается никакими субъективными ощущениями или объективными признаками. От момента травмы или воспалительного процесса до появления первых признаков заболевания проходит 1—2 года, а иногда 15—20 лет. Характерные признаки Мукоцеле— появление эластической припухлости у медиального угла глазницы и постепенное смещение глазного яблока кнаружи и книзу, нередко слезотечение из соответствующего глаза. Поэтому больные Мукоцеле в первую очередь обращаются к окулисту. Припухлость покрыта нормальной кожей, в стадии истончения костных стенок при пальпации иногда определяется характерный пергаментный хруст.

Вследствие увеличивающегося растяжения пазухи смещение глазного яблока усиливается, появляется ограничение его подвижности; зрение обычно не страдает.

Диагностика возможна с момента деформации костных стенок придаточных пазух. Для уточнения диагноза необходимо рентгенологическое исследование в нескольких проекциях. Поражение лобной пазухи встречается чаще (до 75%), чем других придаточных пазух. Первым признаком кистовидного растяжения лобной пазухи является опускание её дна в глазницу, вследствие чего образуется характерное выпячивание в области верхнемедиального угла глазницы — глаз отклоняется кнаружи и книзу (рисунок 1). Дифференциальный диагноз проводят с мозговой грыжей (смотри полный свод знаний Головной мозг, грыжи). Раннюю стадию Мукоцеле можно смешать с опухолью или кистой слёзного мешка. При надавливании на кисту появляется гной из слёзной точки или киста уменьшается за счёт истечения гноя в полость носа.

С целью дифференциальной диагностики проводят рентгенологическое исследование, при котором иногда определяются остеомы, остеосаркомы, карциномы и другие опухоли.

Первым признаком Мукоцеле решетчатого лабиринта является выпячивание бумажной пластинки и слёзной косточки и отклонение глаза кнаружи (рисунок 2). Кистовидное растяжение клиновидной и верхнечелюстной пазух наблюдается редко.

Лечение Мукоцеле придаточных пазух носа оперативное; рекомендуется наружное вскрытие соответствующей придаточной пазухи, так как при эндоназальном подходе при множественном кистозном растяжении можно оставить невскрытыми другие кисты.

Прогноз во всех случаях Мукоцеле, не осложнённого вторичной инфекцией, можно считать благоприятным.

Смотри полный свод знаний Придаточные пазухи носа.

Причиной развития мукоцеле червеобразного отростка является, как правило, облитерация просвета червеобразного отростка на ограниченном участке вследствие перенесённого ранее воспалительного процесса. В образовавшейся замкнутой полости скапливается слизь. Диаметр кисты может быть от 0,5 до 10—12 сантиметров. Иногда полость заполнена белесоватыми шариками слизи. Такой патологический процесс называется миксоглобулёзом (смотри полный свод знаний). В результате растяжения стенки отростка все слои его атрофируются, замещаются соединительной тканью. Обычно Мукоцеле обнаруживают при операциях, предпринимаемых по поводу острого или хронический аппендицита, которые имеют сходную клинические, картину с Мукоцеле червеобразного отростка. Мукоцеле может вести к развитию кишечной непроходимости, возникновению аденокарциномы червеобразного отростка, псевдомиксоматозу брюшины.

Лечение Мукоцеле червеобразного отростка оперативное и должно состоять в его удалении.

Смотри полный свод знаний Аппендикс.

Лихачёв А.Г.; Постолов П.М.

⇐ Перейти на главную страницу сайта

⇑ Вернуться в начало страницы ⇑

Библиотека Ordo Deus ⇒

⇐ Мукополисахаридозы

⇓ Полный свод знаний. Том первый А. ⇓

Мукоэпидермоидные опухоли ⇒

Все статьи в полном изложении, Вы можете найти в большой медицинской энциклопедии — Главный редактор: академик АН СССР (РАН) и АМН СССР (РАМН) Б.В. Петровский. — Москва издательство «Советская энциклопедия» 1989г.

Внимание! Вы находитесь в библиотеке «Ordo Deus». Все книги в электронном варианте, содержащиеся в библиотеке «Ordo Deus», принадлежат их законным владельцам (авторам, переводчикам, издательствам). Все книги и статьи взяты из открытых источников и размещаются здесь только для чтения.

Вся информация на сайте Ordo Deus находится в свободном доступе. Ordo Deus не предоставляет информацию на платной основе.

Все авторские права сохраняются за правообладателями. Если Вы являетесь автором данного документа и хотите дополнить его или изменить, уточнить реквизиты автора, опубликовать другие документы или возможно вы не желаете, чтобы какой-то из ваших материалов находился в библиотеке, пожалуйста, свяжитесь с нами по e-mail:
info @ ordodeus. ru
Формы для прямой связи с нами находятся в нижней части страниц: контакты и устав «Ordo Deus», для перехода на эти страницы воспользуйтесь кнопкой контакты вверху страницы или ссылкой в оглавлении сайта.

Вас категорически не устраивает перспектива безвозвратно исчезнуть из этого мира? Вы не желаете закончить свой жизненный путь в виде омерзительной гниющей органической массы пожираемой копошащимися в ней могильными червями? Вы желаете вернувшись в молодость прожить ещё одну жизнь? Начать всё заново? Исправить совершённые ошибки? Осуществить несбывшиеся мечты? Перейдите по ссылке: «главная страница».

© Ordo Deus, 2010. При копировании ссылка на сайт http://www.ordo-deus.ru обязательна.