Миокардит

Оглавление

  1. Дорога к бессмертию
  2. Бессмертие и религия
  3. Философия бессмертия
  4. Бессмертие и наука
  5. История анабиоза
  6. Смерть
  7. Кора головного мозга
  8. Бессмертие и анабиоз
  9. Анабиоз, медицина и биология
  10. Анабиоз и экономика
  11. Анабиоз и закон
  12. Анабиоз в Антарктиде
  13. Техническое обеспечение анабиоза
  14. Бессмертие и вера
  15. Библиотека Ordo Deus
  16. Контактная страница Ordo Deus

Миокардит

Миокардит (myocarditis; миокард + -itis) — очаговое или диффузное воспаление миокарда.

Понятие «миокардит» включает группу поражений миокарда, общепатологической основой которых является воспаление в его классической характеристике. В медицинский терминологии понятие «миокардит» является прежде всего морфологическим; оно объединяет разные по этиологии и патогенезу воспаления в миокарде как при изолированном его поражении (так называемый первичные Миокардит), так и в случаях системных патологический процессов, при которых Миокардит составляет лишь часть органных поражений (так называемый вторичные Миокардит). Имеется тенденция к ограничению включения в это понятие воспалительных реакций в миокарде в ответ на первично невоспалительные его повреждения (например, гипоксические некрозы, перифокальное воспаление в зоне инфаркта миокарда). Второе содержание понятия «миокардит» — нозологическое. Оно также относится, по-видимому, не к одной болезни и объединяет разные по этиологии Миокардит, общим для которых является изолированность поражения миокарда, то есть Миокардит представляет собой единственное проявление болезни в связи с избирательной локализацией воспаления только в миокарде.

Оглавление

Классификация

Этиология

Патогенез

Патологическая анатомия

Общие клинические проявления и течение

Отдельные формы миокардита

Миокардит Абрамова—Фидлера

Другие аллергические миокардиты

Миокардиты при вирусных инфекциях

Миокардиты при риккетсиозах

Миокардиты при бактериальных инфекциях

Грибковые миокардиты

Протозойные и паразитарные миокардиты

Диагноз

Лечение

Прогноз

Профилактика

Особенности миокардита у детей

За последнее столетие понятие «миокардит» существенно изменялось по объёму как в морфологическом, так и в нозологическом своём содержании, однако его нельзя считать вполне определённым. До начала 20 век оно трактовалось весьма широко. Им обозначали практически все заболевания сердца, кроме врождённых и приобретённых пороков, а также грудной жабы — патологии, обозначаемой с 60-х годы как ишемическая болезнь сердца. В начале века появилась тенденция к значительному ограничению форм патологии, обозначаемых термином «миокардит», например Бродбент и Бродбент (W. Н. Broadbent, J. F. Н. Broadbent, 1904) относили к Миокардит поражения миокарда только ревматического и сифилитического характера. Введение Г. Ф. Лангом в клинические, практику понятия «дистрофия миокарда» (смотри полный свод знаний Миокардиодистрофия), часто в зарубежной литературе обозначаемого как вторичная кардиомиопатия, также способствовало снижению частоты диагноза Миокардит, который устанавливался почти исключительно при ревматизме и дифтерии. Между тем морфологический исследования, проведённые в середине 20 век, показали, что ревматизм и дифтерия не только не единственные, но даже не самые частые причины Миокардит, который может встречаться практически при всех вирусных, риккетсиозных и бактериальных инфекциях. Однако большинство исследователей, занимавшихся проблемой Миокардит, подчёркивают трудности в отграничении Миокардит от миокардиодистрофии не только по клиническим, но и по морфологический признакам, так как при миокардиодистрофии возможны вторичные воспалительные изменения в миокарде.

Весьма трудным оказалось различение Миокардит с первичными кардиомиопатиями (смотри полный свод знаний), а также идентификация некоторых особых форм поражения миокарда. Так, с начала 70-х годы 20 век идёт дискуссия, следует ли рассматривать миокардит Абрамова—Фидлера как Миокардит в собственном смысле слова или как идиопатическую первичную необструктивную кардиомиопатию с вторичными воспалительными изменениями. Большинство отечественных авторов (Миокардит И. Теодори, А. В. Сумароков и В. С. Моисеев, В. А. Максимов) придерживаются мнения, что миокардит Абрамова — Фидлера следует рассматривать как истинный Миокардит; так называемый застойная кардиомиопатия, по некоторым данным (Н. А. Белоконь), в большом числе случаев морфологически соответствует Миокардит

Статистика Миокардит мало изучена. Данные о заболеваемости Миокардит неоднородны прежде всего в связи с различным содержанием, вкладываемым в понятие «миокардит» разными исследователями. По данным Гора и Сейфира (I. Gore, О. Saphir), основанным на анализе историй болезни 68 000 больных, находившихся в стационарах, прижизненный диагноз Миокардит был поставлен в 0,02% случаев, в то время как при вскрытии погибших от различных инфекционные заболеваний Миокардит был выявлен в 3,5% случаев (1402 из 40 000).

Указываемая в литературе частота обнаружения Миокардит при вскрытиях умерших от неревматических заболеваний сердца колеблется от 0,14% по данным Уайтхеда (R. Whitehead, 1965) до 4—9% по данным Л. В. Иевлевой с соавторами (1975). Леви (G. Levi) и Порто (С. С. Porto) на основании анализа литературы сделали вывод, что частота Миокардит вирусной этиологии составляет примерно 300 случаев на 1 000 000 населения.

Классификация

Общепринятой классификации Миокардит не существует, что связано с отсутствием единства мнений о том, какие поражения миокарда следует рассматривать как Миокардит, а также с рядом вопросов, касающихся этиологии и особенно патогенеза Миокардит Большинство исследователей различают первичные, то есть изолированные, Миокардит и значительно чаще встречающиеся вторичные формы, то есть Миокардит, осложняющие течение инфекционные болезней или аллергических состояний. Различные исследователи кладут в основу предлагаемых ими классификаций разные принципы: Фридберг (С. К. Friedberg, 1959) — этиологический, Я. Л. Рапопорт (1968) и Миокардит И. Теодори (1972) — этиопатогенетический, Кауффман (Kauffman, 1951) — морфологический. Классификация Миокардит по этиологическому, патогенетическому, морфологическому и клиническому признакам, предложенная Йонашем (V. Jonas), более других соответствует практическим целям, однако она не лишена недостатков, так как включает ряд поражений миокарда, отнесение которых к Миокардит спорно или необоснованно (например, Миокардит, возникающие при уремической интоксикации, тиреотоксикозе и тому подобное). Одной из современных является классификация В. А. Максимова (1979), которая в несколько модифицированной форме предполагает следующие принципы разделения Миокардит

По этиологическому признаку: а) ревматические, б) не ревматические (с расшифровкой этиологического агента — вирусы, риккетсии, бактерии, грибки, токсины и аллергены различного, в том числе неустановленного, происхождения).

По патогенетическому признаку: 1. Первично-инфекционные: а) инфекционно-токсические, б) инфекционно-септические; 2. Инфекционно-аллергические; 3. Токсикоаллергические. Каждая из перечисленных форм может протекать как с аутоиммунными реакциями, так и без них.

По морфологическим признакам: 1. В зависимости от преимущественного поражения паренхимы (паренхиматозный Миокардит) или межуточной ткани сердца (интерстициальный Миокардит); 2. В зависимости от распространённости патологический процесса: а) очаговый Миокардит, б) диффузный Миокардит; 3. В зависимости от преимущественного характера воспалительной реакции: а) альтеративный, б) экссудативный, в) продуктивный, г) смешанные варианты; 4. В зависимости от специфичности морфологический картины: а) специфический (в случае ревматизма необходимо указывать преобладание специфичных или неспецифичных для него поражений в миокарде), б) неспецифический Миокардит; 5. В зависимости от распространения воспалительных изменений на прилегающие к миокарду структуры: а) изолированный, б) сочетающийся с эндо или перикардитом.

IV. По клиническим признакам и течению: 1. По ведущим симптомам: а) с сердечной недостаточностью, б) с нарушениями ритма и проводимости, в) с болевым синдромом, г) смешанный вариант, д) клинически бессимптомный вариант; 2. По течению: а) острый, б) подострый,

в) хронический рецидивирующий,

г) хронический прогрессирующий; 3. В зависимости от направленности патологического процесса: а) прогрессирующий, б) стабильный, в) регрессирующий.

Этиология

Возникновение Миокардит может быть обусловлено различными причинами. При этом роль специфичности этиологического фактора нередко существенно уступает по значению изменениям иммунореактивности макроорганизма. Поэтому при многих Миокардит лишь искусственно можно отделить их этиологию от патогенеза болезни в целом.

Для большинства Миокардит установлена этиологического роль повреждающего воздействия на миокард факторов инфекционной, инфекционно-токсической или токсической природы, а для трансплантационного Миокардит — тканевой несовместимости. Выделение сывороточного и лекарственного Миокардит основано на признании этиологического роли сенсибилизации организма и токсико-аллергического характера повреждения миокарда. Причина развития некоторых форм Миокардит все ещё не установлена.

Так называемый вторичные, или симптоматические, Миокардит чаще всего имеют инфекционные этиологию. Большинство известных патогенных микроорганизмов, а также некоторые протозойные и паразитарные инвазии могут вызвать повреждение миокарда с последующей воспалительной реакцией. Однако экспериментальные данные свидетельствуют о том, что внедрение инфекта в миокард не обязательно сопровождается повреждением кардиомиоцитов и воспалением. Кроме того, в зависимости от вида взаимодействия инфекционные агента с макроорганизмом и миокардом (репликация возбудителя в миокарде, токсическое воздействие, сенсибилизация и другие) в миокарде формируются разные патологический процессы — преимущественно дистрофический (особенно при повреждении токсинами), преимущественно инфекционно-воспалительный (например, гнойный Миокардит), инфекционно-аллергический или преимущественно аутоаллергический.

Вирусным инфекциям отводят одно из видных мест в этиологии Миокардит, хотя доказательства прямого действия вирусов на миокард при его поражениях, отмечающихся иногда при гриппе, кори, вирусном гепатите, мононуклеозе, пситтакозе и ряде других вирусных заболеваний, не получены. В эксперименте на животных из ткани сердца удавалось выделить пока лишь вирусы Коксаки, ECHO, некоторые аденовирусы и вирус полиомиелита, что совпадает с большей частотой Миокардит при этих вирусных инфекциях в сравнении с другими. Наибольшая кардиотропность отмечена у вируса Коксаки группы В (типы 3 и 4). Не исключена вирусная природа Миокардит при тех коллагенозах, для которых этиологического роль вирусов доказана или обсуждается, а также поствакцинального Миокардит, развивающегося иногда после введения противооспенной вакцины. Среди бактериальных и кокковых возбудителей инфекционные болезней особое значение в этиологии Миокардит при скарлатине и ревматизме имеют стрептококки группы А. Бактериальный и риккетсиозный Миокардит развиваются иногда при тяжёлом течении соответственно брюшного и сыпного тифа. Поражения миокарда с воспалительной реакцией в нем характерны для дифтерии и отмечены также при пневмококковой, менингококковой инфекциях, при стафилококковом сепсисе (вплоть до гнойного Миокардит). Относительно редко Миокардит этиологически связан с бруцеллезом, туберкулёзом (в случаях милиарной диссеминации), сифилисом, грибковыми инфекциями, токсоплазмозом. Достаточно выраженная кардиотропность отмечена у трипаносом, но Миокардит такой этиологии в СССР казуистичен и регистрируется в основном на юге США и в некоторых странах Южной Америки.

Вторичные Миокардит развиваются также при некоторых системных заболеваниях с неизученной этиологией, к которым, кроме заболеваний из группы коллагенозов, относятся системные васкулиты, некоторые гранулематозы, в частности саркоидоз.

Из неинфекционных этиологического факторов, играющих роль в возникновении Миокардит, известны некоторые токсические химический вещества (например, четыреххлористый углерод) и различные иммунопатогенные агенты, в том числе сыворотки, лекарственные препараты (цитостатики, сульфаниламиды и другие), воздействие больших доз ионизирующего излучения. А. В. Сумароков и В. С. Моисеев (1978) считают, что из Миокардит, расцениваемых как инфекционно-аллергические, многие имеют не столько инфекционную, сколько лекарственную этиологию.

Не изучена этиология наиболее тяжело протекающих изолированных Миокардит, обычно обозначаемых как идиопатический Миокардит или миокардит Абрамова — Фидлера. Предполагают, что при этих Миокардит, развивающихся по типу аллергической реакции замедленного типа, установление этиологического фактора затруднено большим разрывом во времени между первичным повреждением миокарда и клинические, проявлениями Миокардит

В развитии неспецифического интерстициального Миокардит у плода и детей раннего возраста предполагается роль трансплацентарной передачи плоду от матери повреждающего агента или антител к миокарду.

Патогенез

Последовательность и преобладающее значение отдельных звеньев патогенеза в разных случаях Миокардит не одинаковы и определяются в значительной мере этиологией. При инфекционных Миокардит, обусловленных внедрением в миокард инфекта (бактерий, риккетсий, грибков), патогенез Миокардит в общих чертах совпадает с патогенезом инфекционные воспаления любой другой локализации (смотри полный свод знаний Воспаление) и имеет лишь особенности, связанные со специфичностью возбудителя и состоянием иммунной системы макроорганизма.

При ряде инфекционные заболеваний возникновение Миокардит связано с токсическим действием выделяемых микроорганизмами биологический веществ, в частности протеолитических ферментов (например, многие виды стрептококков выделяют протеинкиназу). Микробные ферменты вызывают повышение проницаемости клеточных мембран, что ведёт к альтерации клеток различных органов и тканей, в том числе миокарда. Некоторые инфекционные Миокардит удаётся воспроизвести в эксперименте, не прибегая к заражению животных,— введением им внутривенно микробных токсинов, например, р-гемолитического стрептококкового или стафилококкового.

Для некоторых инфекционно-токсических форм Миокардит установлена патогенетическая роль повреждения интракардиального нервного аппарата. Экспериментально установлено, что при дифтерийном Миокардит изменения нервных структур предшествуют развитию признаков воспалительной реакции в миокарде. Предполагается, что тяжёлая дистрофия кардиомиоцитов, обусловленная грубым поражением нервных структур миокарда, ведёт к развитию в нем некробиотических изменений.

Рассматривая инфекционные заболевание как стресс, Г. Селье (1958) полагает, что ряд форм Миокардит, вт. частей дифтерийный и Абрамова — Фидлера, развивается по типу электролитно-стероидной кардиомиопатии (тяжёлой дистрофии миокарда, сопровождающейся некробиотическими и воспалительными изменениями). Подобные изменения были получены Г. Селье в эксперименте при введении животным некоторых кортикостероидов в сочетании с фосфатами и другими солями натрия. Эта гипотеза не получила распространения, но ряд авторов считает, что в генезе многих форм Миокардит реакциям системы гипофиз — кора надпочечников принадлежит немаловажная роль.

Ведущая роль в патогенезе большинства форм Миокардит как инфекционной, так и неинфекционной природы принадлежит различным аллергическим и аутоаллергическим реакциям (смотри полный свод знаний Аллергия, Аутоаллергия). Впервые такой механизм развития Миокардит при сывороточной аллергии экспериментально показал Клинге (F. Klinge, 1933). В дальнейшем Я. Л. Рапопортом (1937, 1940) была усовершенствована возможность воспроизведения Миокардит при введении самых различных антигенов: чужеродных белков и их сочетаний с живыми и убитыми бактериями или токсинами, вытяжек из низших грибов и тому подобное По данным П. Н. Юренева и другие (1968), чаще наблюдаются реакции сверхчувствительности замедленного типа. Роль аллергии в генезе многих форм Миокардит, связанных с инфекционные заболеванием, подчёркивается рядом обстоятельств. Во-первых, признаки Миокардит часто выявляются не в первые дни заболевания, а через 2—3 недель (время, необходимое для развития отсроченной аллергической реакции); во-вторых, часто выявляются (хотя и реже, чем при ревматическом Миокардит, инфекционно-аллергический генез которого доказан) такие характерные для аллергии изменения, как эозинофилия и гипергаммаглобулинемия; в-третьих, во многих случаях отчётливый лечебный эффект при Миокардит оказывают глюкокортикоиды.

На основе изучения иммунологических сдвигов при Миокардит создан ряд гипотез о механизмах развития Миокардит Так, предполагают, что при ряде вирусных инфекций возбудитель, проникая в кардиомиоциты, ведёт к их деструкции, в результате чего в кровь попадают обломки белковых молекул, приобретающие свойства антигенов от собственных конформационных изменений или вследствие образования комплексов с микробными токсинами или другими повреждающими факторами (сыворотками, некоторыми лекарственными средствами и тому подобное). Под влиянием аутоантигенов вырабатываются согласно общим законам иммунологии аутоантитела, обладающие свойствами агрессоров по отношению к интактным тканям миокарда (аутоаллергия). Высказывается предположение, что одной из причин образования аутоантигенов является «обнажение» под действием повреждающих факторов (например, выделяемых некоторыми микроорганизмами протеолитических ферментов) клеточных элементов, к которым в организме отсутствует иммунологическая толерантность (смотри полный свод знаний Толерантность иммунологическая) .

Аутоантитела в плазме крови человека были обнаружены при различных формах Миокардит, но отмечалось, что при неспецифическом инфекционно-аллергическом Миокардит они встречаются реже, чем при ревматическом Миокардит, патогенез которого считают прототипом патогенеза неспецифического инфекционно-аллергического Миокардит При не ревматическом Миокардит отсутствует строгая специфичность аутоантител; встречаются перекрёстные формы, чаще обладающие способностью реагировать не только с тканями сердца, но и со скелетными мышцами. Это объясняют меньшей, чем при ревматизме, кардиотропностыо возбудителей неспецифического миокардита. В эксперименте образование аутоантител чаще наблюдают при смешанной инфекции (например, сочетание вируса гриппа со стафилококком); при этом отмечено и более тяжёлое течение заболевания. Значительно чаще, чем при обычном инфекционно-аллергическом Миокардит, удаётся обнаружить фиксированные на миокарде аутоантитела при миокардите Абрамова—Фидлера, который В. А. Максимов, B. C. Моисеев, А. В. Сумароков, Миокардит И. Теодори рассматривают как крайнюю степень неспецифического инфекционно или токсико-аллергического Миокардит

Имеются указания на роль в патогенезе Миокардит нарушений микроциркуляции (смотри полный свод знаний), возникающих в результате воздействия повреждающих агентов на стенку сосудов сердца. Некоторые формы Миокардит, в частности сыпнотифозный Миокардит, сопровождаются васкулитами в миокарде, которые многие исследователи считают первичными по отношению к Миокардит При нарушениях микроциркуляции иммунные комплексы откладываются на стенках сосудов, что может обусловить дистрофические изменения кардиомиоцитов.

Взаимосвязь отдельных патогенетических звеньев наиболее полно изучена при ревматическом Миокардит (смотри полный свод знаний Ревмокардит).

Экспериментальный миокардит. Различные экспериментальные модели Миокардит на мелких и крупных лабораторных животных создавались с целью изучения этиологического факторов, патогенеза заболевания, особенностей его течения и для оценки действия различных лекарственных средств.

Впервые воспалительный процесс в миокарде был воспроизведён у кроликов в 1891 год Уэлшем (W. Н. Welch) и С. Флекснером с целью изучения дифтерийного миокардита. В 1912 год С. С. Абрамов описал детальную патогистологическую картину при этой форме Миокардит В начале 20 век А. А. Левицким (1904), Пирсом (R. Миокардит Pearce, 1906), Флейшером и Лебом (Миокардит Fleisher, L. Loeb, 1909) был получен экспериментальный Миокардит у кроликов, собак и кошек при внутривенном введении им дигиталиса, адреналина и спартеина. Н. Н. Аничков (1912) посвятил свою докторскую диссертацию изучению гистологический изменений в миокарде экспериментальных животных. Он воспроизводил экспериментальный Миокардит у кроликов, прошивая их сердце нитью, пропитанной целлоидином, и вводя им в ушную вену дифтерийный токсин или адреналин. В 1902 год С. И. Метальников, развивая учение И. И. Мечникова, впервые обратил внимание на роль иммунных, цитотоксических факторов в генезе экспериментального миокардита. В 1924 год Миллер (С. P. Miller) описал спонтанные интерстициальные Миокардит у кроликов. В дальнейшем экспериментальные Миокардит были получены у различных видов животных при действии разнообразных экзогенных и эндогенных факторов, повреждающих сердце и способных вызвать воспаление в миокарде. Развитие патологический процессов в миокарде экспериментально изучалось при ожогах, гипертермии, введении сывороток и некоторых лекарственных средств (антибиотиков, сульфаниламидов, фенотиазинов, адреноблокаторов и другие), воспроизведении бериллиоза, действии ионизирующего излучения, при моделировании различных эндокринопатий, гельминтозов и протозоонозов, бактериозов, риккетсиозов, глубоких висцеральных микозов и некоторых вирусемий. При повторном введении лабораторный животным гемолитического стрептококка, бледных трепонем и ослабленных штаммов микобактерий туберкулёза удавалось воспроизвести модели специфического Миокардит— ревматического, сифилитического, туберкулёзного. При введении животным гомогената сердечной ткани или отдельных его фракций, так называемый кардиоцитотоксической сыворотки, а также при трансплантации им гетеро и гомологичных сердец у реципиентов на фоне реакции отторжения наблюдалось развитие кардиоцитотоксического или трансплантационного экспериментального Миокардит Кардиотропность вирусов гриппа, ECHO, ЕМС и энтеровирусов Коксаки (групп А и В) была показана на экспериментальных моделях вирусного Миокардит, при изучении патогенеза которых было уточнено, что инвазия вируса в геномы кардиомиоцитов сопровождается не только альтеративно-пролиферативными, но и аутоиммунными реакциями в остром, подостром и хронический вариантах. Несомненная выраженность иммунологический реакций, отмеченная на самых разных экспериментальных моделях Миокардит, подтверждает предположение о ведущей роли иммунологический нарушений в патогенезе Миокардит разной этиологии.



Информация об Ordo Deus Перейти в оглавление сайта

Рис. 1.
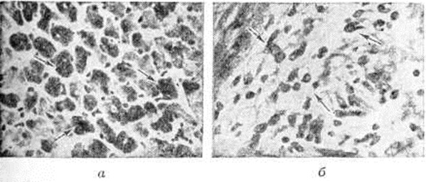
Микропрепараты миокарда животного при экспериментальном миокардите: а — очаговый кардиомиоцитолиз; стрелками указаны кардиомиоциты, подвергшиеся лизису; окраска железным гематоксилином по Гейденгайну, × 125; б — лимфогиетиоцитарный инфильтрат в интерстиции и отёк (указан стрелками); окраска гематоксилин-эозином, × 312.



При экспериментальном Миокардит установлены нарушения окислительно-восстановительных и энергетических процессов в миокарде. Метаболические нарушения сопровождаются очаговыми и диффузными морфологический реакциями, которые дают возможность выделить паренхиматозный, воспалительно-инфильтративный, некротический, гигантоклеточный и смешанный варианты экспериментального Миокардит Наряду с очаговым кардиомиоцитолизом (рисунок 1, а), отёком и лимфогистиоцитарными инфильтратами в интерстиции (рисунок 1, б) наблюдается выраженная реакция антиген—антитело и с помощью меток выявляются В-лимфоциты и фиксированные антитела. Подострый и хронический варианты экспериментального Миокардит морфологически характеризуются мозаичностью и сочетанием воспалительных изменений с атрофией, гипертрофией и склерозом в миокарде. В эксперименте показана обратимость острого и подострого вариантов Миокардит, особенно под влиянием экспериментальной фармакотерапии. На моделях экспериментального Миокардит апробирован ряд средств, оказавшихся эффективными для лечения Миокардит у людей: противовирусные препараты (интерферон, кутизон, ремантадин), антибиотики, вакцины и сыворотки (противодифтерийная, противоменингококковая, противогриппозная), иммуно депрессоры (имуран), ненаркотические анальгетики (бруфен, индометацин), гипосенсибилизирующие и противовоспалительные препараты, анаболические средства.

Данные, полученные при изучении экспериментального Миокардит, оказались в значительной мере адекватными его клинические, вариантам, а выявление латентного бактерио и вирусоносительства, изменение патоморфоза и уточнение клиники абортивных и стёртых форм Миокардит подтверждают необходимость его дальнейшего изучения в эксперименте. Экспериментальная апробация требуется также для ряда новых средств регулирования иммунологический гомеостаза, например, для анти-иммуноглобулинов, анти лимфоцитарной сыворотки, тимозина, антитрансферринового фактора, сингенных лимфоцитов от молодых особей животных.

Генез основных клинических симптомов миокардита. Основные клинические, проявления Миокардит— сердечная недостаточность, нарушения ритма и проводимости, болевые ощущения в прекардиальной области, изменение размеров сердца и аускультативных признаков его деятельности — определяются главным образом локализацией и распространённостью воспалительного процесса в миокарде.

Наименее ясен вопрос о происхождении боли, часто отмечаемой при Миокардит Миокард лишён чувствительных рецепторов, поэтому ранее считали, что боль при Миокардит всегда обусловлена одновременным наличием перикардита. Однако при Миокардит он выявляется реже, чем болевой симптом. Полагают, что боль является следствием поражения интракардиальных нервов. Резко усиленная афферентная импульсация при этом иррадиирует на чувствительные (болевые) нервные образования на уровне шейных и грудных сегментов спинного мозга. Причиной боли может быть раздражение рецепторов миокарда продуктами деструкции клеток или длительное воздействие на них гипоксии при нарушении микроциркуляции. При ряде форм Миокардит появление боли связано с сопутствующим васкулитом или коронаритом; подобные боли носят истинный ангинозный характер. В любом случае болевой синдром формируется по типу висцеросенсорного рефлекса.

Наличие и выраженность сердечной недостаточности (смотри полный свод знаний) зависит прежде всего от массы поражённого миокарда и степени его поражения. При очаговых Миокардит сердечная недостаточность, как правило, не развивается, если очаги воспаления не принимают сливного характера. При диффузных Миокардит, в частности при миокардите Абрамова—Фидлера, сердечная недостаточность обычно выявляется. Одной из причин гемодинамических нарушений при Миокардит считали растяжение клапанного фиброзного кольца (вследствие миогенной дилатации миокарда), ведущее к регургитации крови в предсердия. Однако установлено, что для расширения фиброзного кольца необходимо многолетнее течение заболевания или непосредственное поражение соединительной ткани кольца, что наблюдается редко. Эхокардиографически показано, что причиной регургитации крови в предсердия при Миокардит чаще бывает воспалительное поражение сосочковых мышц, ведущее к нарушению их сократимости и пролабированию (выпячиванию) створки митрального клапана в полость левого предсердия. Этот же механизм часто лежит в основе систолического шума и ослабления I тона сердца при Миокардит Глухость сердечных тонов при Миокардит связана главным образом с ослаблением сократительной функции миокарда. Этот аускультативный признак обычно сочетается с миогенной дилатацией желудочков сердца и уменьшением фракции систолического выброса крови.

Альтерация клеток специфической проводящей ткани миокарда и сопутствующие воспалению электролитные сдвиги являются причиной часто наблюдающихся при Миокардит разнообразных нарушений ритма сердца и проводимости. Неглубокие дистрофические изменения ведут к развитию блокад на разных уровнях проводящей системы с односторонним проведением возбуждения, то есть создают предпосылки для повторного входа возбуждения и развития мерцательной аритмии (смотри полный свод знаний). Более выраженные изменения являются причиной нарушений проводимости, проявляющихся атриовентрикулярной блокадой и блокадой отдельных пучков внутрижелудочковой проводящей системы (смотри полный свод знаний Блокада сердца).

.

Патологическая анатомия

Морфологически идентификация Миокардит имеет ряд условных ограничений в связи с неполным совпадением нозологического содержания понятия «миокардит» с морфологическими критериями воспаления в миокарде. По этой причине к Миокардит не относят перифокальное демаркационное воспаление, развивающееся вокруг зоны инфаркта миокарда. Не свидетельствуют о Миокардит скопления лимфоидных клеток в интерстиции гипертрофированного сердца: они являются реакцией стромальных клеток на особенности метаболизма в миокарде при его гипертрофии. Не трактуются как Миокардит и единичные бессимптомные очаги полиморфного клеточного инфильтрата с наличием лимфоцитов, обнаруживаемые иногда в миокарде людей, погибших от различных заболеваний, и образующиеся в терминальном периоде. По-видимому, количественный гистологический фактор тоже играет роль в идентификации Миокардит

Не следует относить к Миокардит катехоламиновые некрозы миокарда, наблюдающиеся при опухолях адреналовой системы, а также при лечебном применении адреномиметических средств. Мелкие фокусы некроза и дистрофические изменения миокарда, не относящиеся к Миокардит, наблюдаются иногда при выраженной внутричерепной гипертензии и при гипокалиемии.

Макроскопическая картина сердца при Миокардит зависит от длительности воспаления, стадии его в момент смерти, особенностей агонального периода и реанимационных мероприятий, выраженности тех или иных компонентов воспаления. В некоторых случаях макроскопически могут быть обнаружены признаки, специфичные для Миокардит Так, при гнойном Миокардит, развивающемся, как правило, на фоне септикопиемии, миокард пронизан мелкими абсцессами, иногда сливающимися в более крупные очаги; при весьма редком сифилитическом Миокардит в стенке сердца может быть обнаружена гумма.

Общим для всех стадий, форм и морфологический разновидностей Миокардит является дряблость миокарда, охватывающая все его отделы, пестрота рисунка на разрезе, обусловленная скоплениями воспалительного инфильтрата, инъекцией терминального сосудистого русла, тяжами грануляционной и фиброзной ткани при хронический течении Миокардит В расширенных полостях сердца обнаруживаются сгустки крови, а при длительном течении Миокардит нередко пристеночные тромбы (рисунок 2). Такие тромбы особенно характерны для миокардита Абрамова — Фидлера.

Описанные изменения при длительном течении Миокардит дополняются гипертрофией миокарда, выраженной в стенках обоих желудочков, особенно левого.

Макроскопические изменения дают основание только для предварительного заключения о Миокардит; они всегда должны быть подтверждены гистологический исследованием разных участков миокарда. Учитывая частую мозаичность распространения воспалительного процесса в сердце, из передней и задней стенки обоих желудочков и межжелудочковой перегородки (с включением сосочковых мышц) вырезают не менее 6—8 кусочков размером 1,5—2 × 0,5 сантиметров.

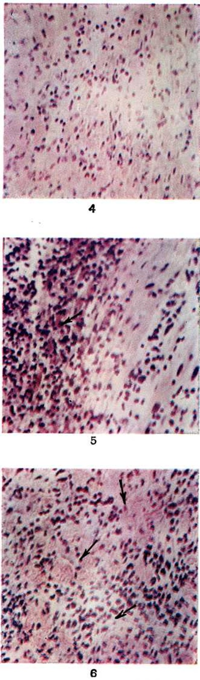
Гистологический картина Миокардит отражает особенности его природы и стадию процесса. Систематизация по преобладающим гистологический проявлениям позволяет выделить 5 вариантов Миокардит: паренхиматозный, дистрофический, обозначавшийся как аллергическая дистрофия миокарда; воспалительно-инфильтративный; некротический, или деструктивный; гигантоклеточный; смешанный (цветной рисунок 4, 5, 6). В особую разновидность выделена так называемый васкулярная форма Миокардит, клинически проявляющаяся симптомами коронарной недостаточности, а морфологически — преобладанием картины васкулита (смотри полный свод знаний). С учётом относительной специфичности некоторых гисто л. изменений Миокардит подразделяют на 3 основные формы: неспецифический, гранулематозный (специфический) и гигантоклеточный Миокардит



Информация об Ordo Deus Перейти в оглавление сайта

Рис. 2.
Макропрепарат сердца при подостром септическом миокардите: левый желудочек вскрыт, резко расширен, в области верхушки виден пристеночный тромб (указан стрелкой).





Информация об Ordo Deus Перейти в оглавление сайта

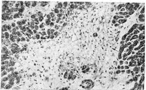
Рис. 3.
Микропрепарат миокарда при неспецифическом миокардите: стрелками указан обширный очаг кардиомиоцитолиза; × 100.



Неспецифический миокардит — наиболее частая форма, обычно характеризующаяся смешанным типом морфологический изменений, при котором одновременно выявляются различные варианты гисто л. картины воспаления. Морфологически проявления варьируют в зависимости от особенностей и соотношения каждого из основных компонентов воспаления — дистрофического, пролиферативного (воспалительно-инфильтративного) и экссудативного, а также от стадии и длительности течения Миокардит

Дистрофический компонент воспаления, под которым имеется в виду морфологический отражение нарушений обмена в миокарде (а не сами эти нарушения, то есть миокардиодистрофия в понимании Г. Ф. Ланга), объединяет все формы дистрофических, некробиотических и некротических процессов, которые развиваются в миокарде при различных обстоятельствах, не имеющие какой-либо специфики при включении их в воспалительный комплекс: белковую (паренхиматозную), липидную, водяночно-вакуольную дистрофию (смотри полный свод знаний Дистрофия клеток и тканей). Гистохимические и электронно-микроскопические исследования не выявляют каких-либо особенностей дистрофического компонента воспаления, отличных от известных форм и стадий дистрофии миокарда различного происхождения. Распространённый очаговый кардиомиоцитолиз приводит к опустошению более или менее обширных участков миокарда (рисунок 3), их депаренхиматизации, при которой в этих участках от сократительного миокарда остаётся только аргентофильная строма с сохранившимися в ней остатками кардиомиоцитов и мелкими глыбками бурого пигмента. Эти процессы могут сопровождаться лишь незначительной клеточной реакцией в строме миокарда. В дальнейшем происходит сближение мышечных волокон по периферии депаренхиматизированных гнёзд с последующим замещением их грануляционной и зрелой рубцовой тканью, то есть наблюдается исход в кардиосклероз. Выраженный некробиоз, переходящий в некроз, характеризуется мелко и крупно-глыбчатым распадом цитоплазмы кардиомиоцитов; при этом возможно длительное сохранение сарколеммы и ядер. Интенсивность дистрофических процессов варьирует в широких пределах в зависимости от интенсивности патогенного воздействия, его преимущественной паренхимотропности. Некробиотические процессы приводят к развитию обширных участков некроза миокарда с превращением этих участков в мелкозернистый эозинофильный детрит, окаймлённый зоной лимфогистиоцитарного инфильтрата. Подобные морфологические изменения могут напоминать феномен Артюса (смотри полный свод знаний Артюса феномен) .

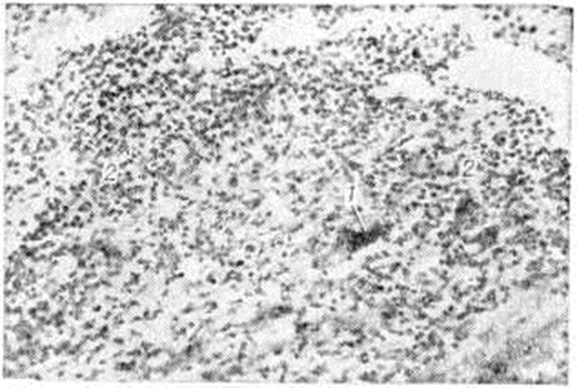
По характеру воспалительной инфильтрации (пролиферативный компонент воспаления) при интерстициальном (межуточном) Миокардит различают очаговый и диффузный варианты. При первом варианте клетки воспалительного инфильтрата располагаются в виде более или менее крупных, но ограниченных гнёзд (рисунок 4). При втором варианте клетки воспалительного инфильтрата диффузно пронизывают межуточную ткань миокарда, раздвигая сердечные мышечные волокна (рисунок 5), располагаясь вдоль них и охватывая различные по протяжённости участки миокарда. При диффузном Миокардит не обязательно тотальное поражение, охват воспалением всей массы миокарда, что бывает при острейшем, бурно развивающемся Миокардит Большей частью воспаление, даже диффузное, имеет мозаичный характер, поражая иногда избирательно или преимущественно субэндокардиальные слои миокарда. Можно предположить, что в начале развития такого Миокардит наблюдается расстройство микроциркуляции и проницаемости в терминальном сосудистом русле. Этот период, по-видимому, не бывает длительным и сменяется нарастающими экссудативными и пролиферативными процессами в строме миокарда.



Информация об Ordo Deus Перейти в оглавление сайта

Рис. 4.
Микропрепарат миокарда при очаговом интерстициальном миокардите: между пучками волокон миокарда виден ограниченный клеточный инфильтрат (указан стрелкой); × 37.





Информация об Ordo Deus Перейти в оглавление сайта

Рис. 5.
Микропрепарат миокарда при диффузном интерстициальном миокардите: клеточный инфильтрат (указан стрелками) в межуточной ткани миокарда, раздвигающий мышечные волокна; × 200



Экссудативный компонент представлен жидкой частью крови и её форменными элементами в различных соотношениях. Преобладание серозного экссудата с небольшим количеством лейкоцитов приводит к развитию острого серозного Миокардит, встречающегося при токсико-инфекционных поражениях миокарда различной этиологии. При этом пучки мышечных волокон раздвинуты серозным экссудатом, содержащим небольшое количество клеток крови, чаще всего — сегментоядерные лейкоциты. Наблюдаются случаи экссудативного Миокардит с преобладанием эозинофилов в экссудате и инфильтратах. Эозинофильный Миокардит нередко является частью синдрома Леффлера и сопровождается эозинофилией и эозинофильной инфильтрацией органов — лёгких, селезёнки и другие (смотри полный свод знаний Леффлера синдром). К клеткам экссудата иногда присоединяются клетки лимфогистиоцитарного инфильтрата из межуточной ткани сердца. Клетки инфильтрата частично трансформируются в клетки плазмоцитарного ряда, и иногда инфильтрат состоит (в основном) из плазматических клеток (смотри полный свод знаний); в этих случаях можно говорить о плазмоцитарном Миокардит (рисунок 6). При длительном течении Миокардит нарастают процессы фиброплазии за счёт размножения фибробластов межуточной ткани сердца и фиброцитарного превращения гистиоцитов. В результате очаг воспаления замещается рубцовой тканью и развивается миокардитический кардиосклероз.

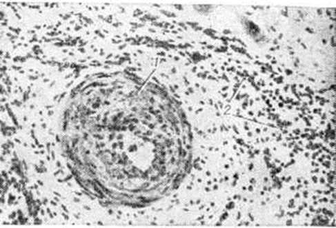
Обычно при Миокардит выявляются изменения внутримиокардиальных кровеносных сосудов по типу гиперергического васкулита. Обнаруживаются все стадии васкулита — от фибриноидного некроза до склероза сосудистой стенки с частичной или полной облитерацией просвета сосуда (рисунок 7). Последовательность, при которой пролиферативные процессы следуют за начальными экссудативными, вовсе не является обязательной схемой. Лимфогистиоцитарная инфильтрация может развиваться с первых моментов воспалительной реакции, которая течёт по типу острого пролиферативного воспаления. Как видно из изложенного, при неспецифическом Миокардит отсутствует какая-либо специфика, позволяющая судить об его этиологии. Неспецифическими являются многие Миокардит при инфекционные заболеваниях, тонзиллогенный, лекарственный, поствакцинальный Миокардит, а также Миокардит при миастении, миокардит Абрамова—Фидлера.

Миокардит Абрамов а— Фидлера (идиопатпческий Миокардит) в соответствии с клинические, вариантами течения (от латентных форм до злокачественных с быстрым смертельным исходом) имеет широкий диапазон морфологический проявлений— от умеренно выраженного очагового или диффузного неспецифического интерстициального Миокардит до тяжёлых разрушительных процессов в миокарде с обширными участками дистрофии, некроза и воспалительно-клеточной инфильтрации с наличием или отсутствием гигантских клеток. При этом иногда последовательного и синхронного параллелизма интенсивности и распространённости воспалительного процесса и его клинические, проявлений не отмечается.



Информация об Ordo Deus Перейти в оглавление сайта

Рис. 6.
Микропрепарат миокарда при плазмоцитарном миокардите: видны плазматические клетки (1), располагающиеся в фиброзной ткани (2); × 400.





Информация об Ordo Deus Перейти в оглавление сайта

Рис. 7.
Микропрепарат миокарда при подостром септическом миокардите: склероз интрамиокардиальной артерии (1) с резкой облитерацией её просвета, периваскулярный склероз и воспалительная инфильтрация (2); × 100.



Изучение материала, полученного с помощью эндомиокардиальных биопсий у детей с клинические, диагнозом миокардиопатии, показало, что в большинстве случаев гисто л. картина соответствует этой форме Миокардит Морфологически — это неспецифический интерстициальный Миокардит с лимфогистиоцитарным инфильтратом, параллельно протекающими процессами его резорбции и фиброзного превращения, нерезко выраженным дистрофическим компонентом. Скудность клеточной инфильтрации в большинстве исследованных биоптатов свидетельствует о затухающем или медленно прогрессирующем Миокардит, и идентификация его требует особо тщательного гистологический анализа. В случаях, когда клеточная инфильтрация практически не определяется, перенесённое воспаление подтверждается только наличием полей кардиосклероза. Длительность процесса оценивается по степени развития кардиосклероза. Фоном воспалительной инфильтрации и кардиосклероза служит гипертрофия миокарда, которая отличается некоторой мозаичностью, неравномерностью в распределении гипертрофированных пучков мышечных волокон. Приведённые материалы оправдывают допущение, что Миокардит взрослых в части случаев, возможно, связан с Миокардит детского возраста.

Трансплантационный миокардит в морфологическом отношении является также неспецифическим — это реакция отторжения пересаженного сердца. Отнесение этой реакции к миокардитам продиктовано не только морфодинамикой процесса, повторяющей морфодинамику диффузного интерстициального Миокардит в его существенных чертах, но и адекватным отображением в данных электрокардиографии. В гистологический картине доминирует инфильтрация миокарда клетками лимфоидного типа и гистиоцитами. Характерная особенность этого Миокардит— выраженный плазмоцитогенез в клетках инфильтрата с нарастанием числа зрелых плазматических клеток.

Гранулематозный (специфический) миокардит характеризуется наличием гранулемы (смотри полный свод знаний) в миокарде (рисунок 8). Он различен по происхождению, но чаще имеет инфекционную этиологию. Наиболее известны туберкулёзный, сифилитический, ревматический и грибковый гранулематозные Миокардит, а также Миокардит при саркоидозе.

Гранулематозные элементы туберкулёзного Миокардит могут быть в форме милиарных узелков или солитарных туберкулом с центральным казеозом. При гистологический дифференциальной диагностике следует иметь в виду сходство туберкулёзных гранулем с гранулемами при Миокардит другой этиологии — при криптококкозе, кокцидиоидозе, гистоплазмозе.

Многие грибковые Миокардит могут развиваться при лучевой терапии по поводу лейкозов и злокачественных опухолей. Грибковый Миокардит чаще развивается на фоне иммунологической подавленности, а также при грибковом эндокардите у больных с протезами клапанов сердца.

Морфологически грибковый Миокардит характеризуется милиарными гранулемами, в центре которых обнаруживают нити грибка.

Сифилитическое поражение миокарда в форме диффузного Миокардит и гумм встречается чрезвычайно редко.

К гранулематозному Миокардит можно отнести и поражения миокарда в некоторых случаях подострого септического эндокардита с развитием в миокарде так называемый узелков Брахта — Вехтера — мелких гнёзд ишемического некроза миокарда в различной стадии организации. Они являются следствием микроэмболии мелких артериальных веточек миокарда из поражённого эндокардитом аортального клапана или васкулита этих веточек. Узелки Брахта — Вехтера иногда ошибочно принимают за ревматические гранулемы.

Саркоидоз миокарда характеризуется образованием в миокарде узелков из клеток эпителиоидного типа и гигантских клеток. Узелки развиваются на фоне диффузного неспецифического хронического воспалительно-инфильтративного Миокардит с гигантскими клетками в составе инфильтрата. В последующем узелки претерпевают рубцовое превращение.



Информация об Ordo Deus Перейти в оглавление сайта

Рис. 8.
Микропрепарат миокарда при гранулематозном миокардите (саркоидоз): видна гранулема с гигантской клеткой (1) и густым лимфогистиоцитарным инфильтратом (2); × 100.





Информация об Ordo Deus Перейти в оглавление сайта

Рис. 9.
Микропрепарат миокарда при гигантоклеточном миокардите: видны многоядерные гигантские клетки (I) и лимфогистиоцитарный инфильтрат (2); × 200.



Гигантоклеточный миокардит гистологически характеризуется диффузным Миокардит с распространенными крупными очагами некроза, окаймлёнными клеточным инфильтратом с множеством гигантских клеток миогенного и гистиогенного происхождения (рисунок 9). Подобный по морфологический картине Миокардит описан при тимомах, протекающих с миастеническими кризами, при гранулематозе Вегенера, генерализованном саркоидозе. Гигантоклеточный Миокардит ранее ошибочно рассматривали как диффузный туберкулёзный Миокардит

Общие клинические проявления и течение

Одна из наиболее частых жалоб больных Миокардит — жалоба на боль в области сердца. В. А. Максимов (1979) отметил её у 169 из 280 больных неревматическими, преимущественно неспецифическими инфекционно-аллергическими, Миокардит (60,3% случаев); по данным А. Н. Сененко (1973), при тонзиллогенном Миокардит на такую боль жалуются 93% больных.

Обычно поражения перикарда отсутствуют; в этих случаях боль может напоминать ангинозную, наблюдающуюся при затяжном приступе стенокардии (смотри полный свод знаний), или по длительности и отсутствию эффекта от приёма нитроглицерина — боль при инфаркте миокарда (смотри полный свод знаний). По иррадиации боль также может напоминать боль, наблюдающуюся при стенокардии и инфаркте миокарда (иррадиирует в руки, преимущественно в левую, в левое плечо, шею, иногда в меж лопаточную область).

Боль чаще локализуется не за грудиной, как при инфаркте миокарда, а слева от нее. Обычно она возникает или усиливается при физической нагрузке, но возможна и в покое. Длительность её достигает нескольких часов. Она может многократно повторяться в течение дня, иногда ощущается больным почти постоянно. Однако боль подобного характера наблюдается сравнительно редко; значительно чаще она носит колющий или ноющий характер, иррадиация её при этом отсутствует. Нередко боль, напоминающая ангинозную, чередуется с колющими, режущими или ноющими болями в области верхушки сердца или прекордиальной области. В редких случаях боль связана с сопутствующим перикардитом (смотри полный свод знаний).

Жалобы на одышку предъявляет примерно половина больных. Как правило, одышка связана с физическим напряжением, даже незначительным. Тяжёлое течение Миокардит может сопровождаться появлением одышки в покое и приступами удушья по ночам (смотри полный свод знаний Сердечная астма).

Одна из частых жалоб — ощущение «перебоев» в работе сердца, «замирания» сердца, а также на сердцебиение (обычно при физической нагрузке). Менее характерны жалобы на сердцебиение в покое. Начало и прекращение сердцебиения, как правило, постепенные, но могут быть и мгновенными (пароксизмальная тахикардия). Жалобы на хаотическое сердцебиение, что характерно для мерцательной аритмии, встречаются редко. Ещё реже больные жалуются на резкое замедление работы сердца (смотри полный свод знаний Аритмии сердца). Часты жалобы на слабость, потливость. Иногда больные жалуются на головную боль, головокружение и наклонность к обморокам, что позволяет думать о тяжёлых нарушениях проводимости или значительном угнетении функции синусно-предсердного узла. Другая возможная причина обмороков и головокружений — сопутствующая сосудистая недостаточность (смотри полный свод знаний). При неспецифических инфекционно и токсико-аллергических Миокардит изредка отмечаются артралгии (смотри полный свод знаний).

К жалобам общего характера относятся часто отмечаемая больными слабость и повышенная утомляемость, что далеко не всегда связано с сердечной недостаточностью. В редких случаях заболевание выявляется при случайном врачебном осмотре, электрокардиографическом или рентгенологическое исследовании.

Высокая лихорадка при Миокардит наблюдается редко; во многих случаях она связана не с самим Миокардит, а с лежащим в его основе заболеванием. Субфебрилитет выявляется весьма часто, по данным некоторых исследователей, примерно у половины больных.

Внешний вид большинства больных Миокардит не изменён. Иногда отмечается бледность, при наличии сердечной недостаточности (смотри полный свод знаний) может быть выявлен акроцианоз, иногда тахипноэ, в тяжёлых случаях — вынужденное сидячее положение (ортопноэ), а также пастозность или отеки ног. Проявления правожелудочковой недостаточности очень редко достигают степени анасарки.

Основные характеристики пульса непостоянны: чаще всего наблюдается тахикардия, но частота сердечных сокращений может быть и нормальной, и пониженной (при поражении патологический процессом синусно-предсердного узла или при выраженных нарушениях синоатриальной либо атриовентрикулярной проводимости). У многих больных выявляется экстрасистолия; констатировать такие нарушения ритма сердца, как мерцательная аритмия и особенно пароксизмальная тахикардия, удаётся лишь в единичных случаях, обычно при тяжёлом течении Миокардит При тяжёлой сердечной недостаточности пульс может быть пониженного наполнения, мягким, в исключительных случаях, в терминальной стадии заболевания,— нитевидным.

АД обычно несколько снижено, однако при не тяжело протекающем Миокардит возможно нормальное, а в ряде случаев даже повышенное АД, что не связано с Миокардит Лишь при Миокардит, обусловленном системным заболеванием, этиопатогенетическии фактор Миокардит и артериальной гипертензии может быть общим (волчаночный Миокардит, волчаночный нефрит с симптоматической артериальной гипертензией). Снижение АД может быть обусловлено как снижением сократимости сердца, так и сопутствующей сосудистой недостаточностью. Коллапс развивается при тяжёлом токсическом поражении сосудов или в момент возникновения выраженных нарушений атриовентрикулярной проводимости (предсердно-желудочковая блокада II —IV степени).

Определяемые перкуторно размеры сердца (смотри полный свод знаний) прямо зависят от тяжести течения Миокардит Чаще обнаруживается смещение левой границы сердца кнаружи, реже сердце увеличивается в обе стороны или только вправо. Верхушечный толчок обычно ослаблен или не пальпируется; при значительном увеличении сердца он имеет разлитой мягкий характер.

Тоны сердца (смотри полный свод знаний), как правило, приглушены или даже глухие, что связано с уменьшением скорости сокращения поражённого миокарда. При тяжёлом Миокардит нередко наблюдаются маятникообразный ритм (первый тон становится неотличимым от второго, а длительность систолы и диастолы почти уравниваются), диастолический ритм галопа (смотри полный свод знаний Галопа ритм), которые являются симптомами выраженной сердечной недостаточности. Расщепление или раздвоение тонов может наблюдаться при внутри-желудочковых блокадах. Появление систолического шума на верхушке сердца отмечается почти у половины больных. При наиболее тяжёлом варианте неспецифического Миокардит— миокардите Абрамова — Фидлера — иногда определяются диастолические шумы (описан, в частности, пресистолический шум, имитирующий шум митрального стеноза). Диастолические шумы предположительно связывают с резкой дилатацией желудочков при отсутствии растяжения фиброзного клапанного кольца или при некоторых формах Миокардите одновременным поражением клапанного аппарата (аортальная недостаточность при септическом эндокардите в сочетании с Миокардит, сифилитический мезаортит, осложнённый аортальной недостаточностью, в сочетании с гуммозным Миокардит). Шум трения перикарда определяется очень редко, менее чем у 1% больных.

Неревматический Миокардит протекает в острой, подострой, хронической прогрессирующей и хронической рецидивирующей форме (чередование латентного течения с периодами обострений). Острое течение характерно для некоторых Миокардит инфекционной этиологии (особенно при вирусных инфекциях, дифтерии, сыпном тифе и другие, когда отмечается непосредственное воздействие возбудителя или его токсинов на миокард) и Миокардит, связанных с химио-токсическим и лучевым поражением миокарда. Течение инфекционно и токсико-аллергических Миокардит весьма вариабельно — от острейших до медленно текущих хронический форм; хронический формы могут быть прогрессирующими или рецидивирующими. В случае рецидивирующего Миокардит в периоды ремиссии обнаруживаются те или иные признаки миокардитического кардиосклероза (смотри полный свод знаний), а симптомы рецидива Миокардит возникают при обострении инфекции или при воздействии неспецифических патогенных агентов (переохлаждения, интеркуррентного заболевания, стресса и другие).

Отдельные формы миокардита

Особенности морфологии, клинические, проявлений и течения разных форм Миокардит определяются гл. об р. их этиологией. При этом миокардит Абрамова — Фидлера выделяется как особая форма среди других аллергических Миокардит; проявления вторичных Миокардит имеют некоторую общность внутри определённых этиологического групп — вирусных, риккетсиозных, бактериальных, протозойных и паразитарных Миокардит, в рамках которых целесообразно рассмотрение отдельных форм.

Миокардит Абрамова — Фидлера (идиопатический Миокардит, идиопатический злокачественный Миокардит, острый изолированный интерстициальный Миокардит) описан С. С. Абрамовым в 1897 год, выделен в отдельную форму Фидлером (С. L. A. Fiedler) в 1899 год

И. Абрикосов (1940) и Я. Л. Рапопорт (1940) обосновали аллергический генез заболевания. Большинство отечественных авторов (В. А. Максимов, В. С. Моисеев, Я. Л. Рапопорт, А. В. Сумароков, Миокардит И. Теодори и другие) поддерживают точку зрения, что данная форма является крайним вариантом неспецифического инфекционно или токсико-аллергического миокардита. Многие зарубежные патологоанатомы и клиницисты склонны отождествлять её с застойной (конгестивной) кардиомиопатией. Выдвигались предположения о вирусной природе заболевания. Отмечают частую связь возникновения этой формы Миокардит с перенесённым незадолго до того заболеванием неидентифицированной (грипп) или установленной вирусной этиологии, бактериальной инфекцией, обострением хронический тонзиллита, а также с введением вакцин, сывороток, неупорядоченным приёмом лекарственных средств, особенно антибиотиков и сульфаниламидных препаратов. А. В. Сумароков и

С. Моисеев допускают возможное неспецифическое влияние этих патогенных воздействий на иммунный статус организма, причём поражение сердца носит аутоиммунный характер; аналогичной точки зрения придерживаются и многие другие отечественные исследователи.

Миокардит Абрамова—Фидлера

Миокардит Абрамова — Фидлера считали большой редкостью, но в последние годы его регистрируют чаще. Полагают, что это связано с действительным ростом заболеваемости, обусловленным увеличением числа аллергизирующих факторов.

Течение заболевания острое, прогрессирующее; однако с появлением новых возможностей в лечении стали отмечаться случаи подострого и хронический течения. Клинические, картина характеризуется всеми основными симптомами Миокардит: болью в области сердца, увеличением сердца, глухостью его тонов, нередко ритмом галопа, систолическим шумом (диастолические шумы выслушиваются редко), сердечной недостаточностью, нарушением ритма сердца и проводимости. Все симптомы могут достигать крайней степени выраженности (значительная кардиомегалия, острая левожелудочковая недостаточность в форме сердечной астмы и отёка лёгких, правожелудочковая недостаточность III степени, тяжёлые аритмии вплоть до фибрилляции желудочков, нарушения проводимости вплоть до полной атриовентрикулярной блокады, обычно трифасцикулярной). Сердечная недостаточность, как правило, рефрактерна к лекарственным средствам. Нередко наблюдается картина инфаркта миокарда, что связывают с распространением патологический процесса на крупные сосуды или поражением мелких сосудов с восходящим тромбозом. Крупные рубцовые поля могут иметь характер миокардитического или постинфарктного кардиосклероза. В некоторых случаях наблюдают тромбоэмболию в сосуды большого и малого кругов кровообращения, что связано с образованием в полостях сердца и последующим отрывом пристеночных тромбов (смотри полный свод знаний Тромбоэмболия), хотя патологический процесс довольно редко распространяется на эндокард. Возможно различное сочетание симптомов болезни. Это дало основание ряду исследователей классифицировать миокардит Абрамова — Фидлера по ведущему клинические признаку. Так, Миокардит И. Теодори (1956) выделяет асистолический (протекающий с выраженной сердечной недостаточностью), тромбоэмболический, аритмический и псевдокоронарный варианты заболевания; сходную классификацию предложил Н. Р. Палеев. Миокардит А. Гуревич (1968) описывает 6 клинические, вариантов: декомпенсированный, а ритмический, инфарктоподобный, тромбоэмболический, псевдоклапанный и смешанный. Все эти классификации довольно условны; нередко встречаются смешанные формы заболевания, при которых трудно определить ведущий клинические, синдром.

Миокардит Абрамова — Фидлера по своей клинические, картине практически неотличим от идиопатической застойной кардиомиопатии (смотри полный свод знаний), а нередко и от идиопатической гипертрофии миокарда, в частности от субаортального стеноза. В пользу Миокардит говорит связь начала или обострения заболевания с инфекцией (чаще вирусной), приёмом лекарственных средств и другими аллергизирующими факторами. Наличие признаков воспаления и аллергии, особенно обнаружение в крови антител к миокарду, делают диагноз миокардита Абрамова — Фидлера более достоверным, хотя отсутствие их не исключает его возможности. Течение миокардита Абрамова — Фидлера более острое (недели, месяцы), кардиомиопатий — более затяжное (годы и даже десятилетия), хотя в результате разработки методов лечения появились подострые и хронический формы миокардита Абрамова — Фидлера. При дифференциальной диагностике с субаортальным стенозом ведущую роль играют данные рентгенологическое исследования (рисунок 10), особенно вентрикулографии, а также эхокардиографии (наличие асимметрической гипертрофии межжелудочковой перегородки). Миокардит Абрамова — Фидлера, в клинические, картине которого преобладает болевой синдром, нередко приходится дифференцировать с острым инфарктом миокарда при ишемической болезни сердца; вместе с тем боль при Миокардит может быть действительно связана с некрозом миокарда, характерным для этой формы.



Информация об Ordo Deus Перейти в оглавление сайта

Рис. 10.
Рентгенограммы органов грудной клетки (прямая проекция): а — больного миокардитом Абрамова — Фидлера; тень сердца значительно увеличена в поперечнике, верхушка заострена (указано стрелкой), сердце как бы распластано на диафрагме; б — больного с субаортальный стенозом; тень сердца резко увеличена, верхушка закруглена (указано стрелкой).



Инфаркт миокарда протекает более остро, чем миокардит Абрамова — Фидлера; у больных инфарктом миокарда, переживших первые дни заболевания, симптоматика обычно имеет тенденцию к обратному развитию, тогда как миокардит Абрамова — Фидлера имеет прогрессирующее течение. Сердечная недостаточность, нарушения ритма и проводимости, тромбоэмболия до возникновения болевого синдрома — веский довод в пользу диагноза Миокардит

Частое рецидивирование болей (несколько раз в день или ежедневно), не сопровождающееся выраженным повышением активности ферментов, в сочетании с симптомами диффузного поражения миокарда также говорит о миокардите. В ряде случаев приходится проводить дифференциальный диагноз между миокардитом Абрамова — Фидлера и пороком сердца, осложнённым мерцательной тахиаритмией и сердечной недостаточностью.

Мерцательная тахиаритмия может в значительной степени затушевать характерную аускультативную картину порока сердца. Поэтому в дифференциальной диагностике приобретает большое значение анамнез (указания на ревматизм или порок сердца, даже предположительные, до развития сердечной недостаточности). Большое значение имеют рентгенологическое данные: для различных пороков характерны своеобразная конфигурация контуров сердца (выраженная сердечная недостаточность может в известной степени сгладить типичные рентгенологическое признаки порока). Клапанные поражения выявляются также с помощью эхокардиографии.

Прогноз миокардита Абрамова — Фидлера в общем неблагоприятный, хотя в результате лечения удаётся в ряде случаев достичь длительной клинические, ремиссии, при которой, однако, сохраняются выраженные изменения со стороны сердца, в том числе и сердечная недостаточность, требующая постоянного лечения.

Другие аллергические миокардиты

Другие аллергические миокардиты. Лекарственный миокардит может наблюдаться при аллергии к различным лекарственным средствам, однако, по-видимому, наиболее часто к антибиотикам и сульфаниламидам. Возможная причина — образование комплексных антигенов из лекарственного препарата и продуктов деструкции миокарда инфекционные процессом, по поводу которого эти препараты применяются. Случаев возникновения лекарственного Миокардит при использовании сульфаниламидных препаратов в качестве мочегонных средств (гипотиазид) и антидиабетических (бутамид) не описано. Морфологически при лекарственном Миокардит обнаруживаются множественные некрозы миокарда небольшой величины и различной локализации. Течение заболевания острое. Встречаются все характерные признаки Миокардит; чаще, чем при других формах, наблюдается мерцательная аритмия, что связано с локализацией воспалительного процесса, как правило, в миокарде предсердий. Нередко у больных выявляются другие проявления аллергии — крапивница, зуд, отёк Квинке (смотри полный свод знаний Квинке отёк), сыпь на коже и так далее При установлении диагноза имеет значение более частое, чем при других формах Миокардит (у ½ и даже у 3/4 больных), повышение в крови титров антикардиальных антител. Исход в кардиосклероз отмечается редко.

Сывороточный миокардит может возникнуть через несколько часов или 1—2 дня после введения сыворотки. Морфологически выявляются распространённые коронариты (смотри полный свод знаний), которые могут быть причиной некрозов миокарда (вплоть до обширного инфаркта), а также воспалительная инфильтрация интерстициальной ткани. Течение заболевания острое. Если Миокардит носит очаговый характер, он проявляется прежде всего болью, нарушениями ритма и проводимости; на ЭКГ часто регистрируются признаки очаговости. При диффузном характере поражения миокарда отмечается значительное увеличение сердца, снижение звучности тонов, появление систолического шума и ритма галопа, развитие сердечной недостаточности. Нередко наблюдается исход в кардиосклероз; возможен смертельный исход в остром периоде заболевания.

Аллергический эозинофильный миокардит обычно наблюдается как составная часть синдрома Леффлера. Характеризуется «летучими» эозинофильными инфильтратами в миокарде. Течение заболевания острое. Основные клинические, признаки Миокардит выражены нерезко: отмечается субфебрильная температура, тахикардия. Увеличение сердца и существенные изменения аускультативной картины не характерны. Возможно появление преходящей экстрасистол пи. Для установления диагноза имеет значение частое появление признаков нарушения внутрижелудочковой проводимости на ЭКГ и высокая эозинофилия крови (до 50%). Обычно все признаки Миокардит исчезают менее чем за 3 недель, особенно при проведении гипосенсибилизирующей терапии.

Миокардит при остром диффузном гломерулонефрите носит инфекционно-аллергический характер. По данным Гора и Сейфира (I. Gore, О. Saphir, 1947), воспалительные изменения в миокарде были обнаружены у 16 из 160 умерших от острого нефрита. Морфологически наблюдается воспалительная реакция интерстиция; отмечаются дистрофические изменения кардиомиоцитов. Течение заболевания острое. Наблюдаются формы с выраженной сердечной недостаточностью, которая может возникнуть раньше, чем развилась симптоматика нефрита. Нередко отмечаются нарушения ритма сердца и проводимости в сочетании с неспецифическими изменениями на ЭКГ. В связи с тем, что левожелудочковая недостаточность нередко возникает при нефрите в связи с невоспалительными изменениями в миокарде (отёк, электролитные сдвиги) и артериальной гипертензией, диагностика Миокардит представляет значительные трудности. Сохранение признаков сердечной недостаточности, а также аритмий и нарушений проводимости после схождения отёков и нормализации АД свидетельствует в пользу диагноза Миокардит Продолжительность течения этой формы Миокардит обычно не превышает 2 месяцев

Миокардиты при вирусных инфекциях

Миокардиты при вирусных инфекциях. Кардиотропность разных патогенных вирусов неодинакова, поэтому частота Миокардит вирусной этиологии не пропорциональна частоте вирусных инфекций.

Миокардит при гриппе встречается редко. Жалобы на слабость и одышку при физической нагрузке чаще связаны с постгриппозной астенией. Течение Миокардит острое; он возникает в разгар основного заболевания или в начале реконвалесценции. Диагноз можно считать доказанным при развитии увеличения сердца, появлении систолического шума на верхушке сердца, признаков сердечной недостаточности, а также нарушений ритма и проводимости. Обычно Миокардит при гриппе заканчивается выздоровлением в течение 2—3 недель

Коксаки-вирусный миокардит наблюдается относительно часто, так как вирусы Коксаки (особенно группы В) обладают наибольшей кардиотропностью из всех известных вирусов. Особенно часто заболевают дети младшего возраста. Гистологически Миокардит имеет очаговый интерстициальный характер и нередко сочетается с вальвулитом (смотри полный свод знаний Эндокардит), ведущим к склерозу митрального клапана. Нередко развивается коронарит. Миокардит возникает в разгар заболевания. Течение Миокардит обычно острое, в редких случаях затяжное, до 1 года. Клинические, признаки Миокардит (прогрессирующее увеличение сердца, появление систолического шума на верхушке и изменения конечной части желудочкового комплекса или появление признаков очаговости на ЭКГ) выявляются лишь у единичных больных. Часто Миокардит сочетается с перикардитом, с характерным для него болевым синдромом и другими клиническими, а также электрокардиографическими признаками. Отмечается умеренный нейтрофильный лейкоцитоз, ускоренная РОЭ.

В установлении диагноза большое значение имеет определение активности ряда ферментов; особенно характерно повышение сердечных изоэнзимов лактатдегидрогеназы (изоэнзим 1) и креатинфосфокиназы MB.

В связи с небольшим размером очагов деструкции миокарда активность аспартатаминотрансферазы повышается редко. Если возбудителем Миокардит является вирус Коксаки группы А, лабораторный данные носят более неопределённый характер. Поскольку возможно вирусоносительство, то результаты вирусологического исследования крови, кала, смывов с носовой части глотки, а также нарастание противовирусных антител не имеют решающего значения для постановки диагноза, хотя при Миокардит указанные тесты бывают положительными в 5 —10 раз чаще, чем у здоровых лиц.

ЕСНО-вирусный миокардит протекает сходно с Миокардит, вызванным вирусом Коксаки группы А.

Коревой миокардит обычно протекает бессимптомно, обнаруживаясь только на вскрытии в редких случаях смерти от кори. Увеличение размеров сердца и сердечная недостаточность встречаются в виде исключения; более характерны нарушения ритма сердца и проводимости, а также неспецифические изменения на ЭКГ. Однако, по мнению А. В. Сумарокова и B. C. Моисеева (1978), только тяжёлые аритмии и нарушения проводимости могут быть достаточным обоснованием диагноза коревого Миокардит Выздоровление от Миокардит происходит одновременно с выздоровлением от кори; длительное существование аритмий и нарушений проводимости свидетельствует о возможности развития миокардитического кардиосклероза.

Миокардит при краснухе встречается крайне редко, протекает остро с возможным исходом в миокардиосклероз. Проявляется развитием стойких нарушений предсердно-желудочковой проводимости (полная атриовентрикулярная блокада). Сердце плода может поражаться при развитии краснухи у матери в первые три месяца беременности.

Миокардит при полиомиелите связан с репликацией вируса полиомиелита в миокарде. Морфологически признаки Миокардит (инфильтративное воспаление периваскулярных и межуточной тканей) удаётся выявить у большинства умерших от полиомиелита. Клинические, картина характеризуется сочетанием острой сердечной и острой сосудистой недостаточности (коллапс), развивающихся одновременно с возникновением бульбарного паралича или на следующий день. Возможен отёк лёгких. Если удаётся ликвидировать явления острой сердечно-сосудистой недостаточности, то в последующем чаще всего стабилизируется застойная сердечная недостаточность преимущественно левожелудочкового типа. Нарушения ритма и проводимости относительно редки. Электрокардиографические изменения неспецифичны и отражают диффузный характер патологический процесса в миокарде. В случае выздоровления от острого Миокардит возможно развитие кардиосклероза.

Миокардит при вирусном гепатите, мононуклеозе, ветряной оспе. О его возникновении позволяет предположительно судить появление неспецифических изменений на ЭКГ. Клинические, проявления, как правило, отсутствуют.

Поствакцинальный миокардит является редким осложнением противооспенной вакцинации. Морфологически он имеет межуточный инфильтративный характер. Протекает остро. Проявления его могут колебаться от клинически бессимптомного течения (появление неспецифических изменений на ЭКГ) до форм, протекающих с расширением сердца, характерной для Миокардит аускультативной картиной, развитием сердечной недостаточности и аритмий.

Миокардиты при риккетсиозах

Миокардиты при риккетсиозах. Сыпнотифозный миокардит первично развивается как васкулит миокарда (наряду с поражением других сосудов). Риккетсии размножаются в эндотелии сосудов. Одновременно у ряда больных развивается интерстициальный Миокардит с расширением сердца, ослаблением I тона, появлением на верхушке сердца систолического шума, развитием сердечной недостаточности и нарушений ритма сердца, реже проводимости. Наблюдающиеся у некоторых больных коллаптоидные состояния обычно связаны не с Миокардит, а с поражением сосудов. Выздоровление от Миокардит совпадает с выздоровлением от основного заболевания; возможен исход в кардиосклероз.

Ряд риккетсиозов, сопровождающихся Миокардит, редко встречается в СССР (Ку-лихорадка, пятнистая лихорадка Скалистых гор, цуцугамуши). Миокардит при них имеет сходную картину с Миокардит при сыпном тифе.

Миокардиты при бактериальных инфекциях

Миокардиты при бактериальных инфекциях. Бактерии могут играть роль возбудителей воспаления в миокарде, а также роль инфекционно-токсических и сенсибилизирующих факторов.

Скарлатинозный миокардит может быть обусловлен непосредственным поражением миокарда токсином -гемолитического стрептококка группы А. Течение обычно нетяжёлое, о поражении миокарда свидетельствуют главным образом неспецифические изменения на ЭКГ. Реже возникает Миокардит, протекающий по типу инфекционно-аллергического: признаки поражения сердца выявляются на 3—4-й неделе заболевания. Возможно развитие эндокардита; у отдельных больных формируется порок сердца: стеноз левого предсердно-желудочкового отверстия.

Менингококковый миокардит развивается в результате проникновения менингококка в миокард, что вызывает образование в нем очагов периваскулярной и интерстициальной инфильтрации. В связи с тяжёлым и острым течением основного заболевания симптомы Миокардит, как правило, отступают на второй план. При развитии менингококковой септицемии и гнойничкового (апостематозного) Миокардит может наблюдаться развёрнутая картина Миокардит с явлениями расширения сердца, характерной аускультативной картиной, нарушениями ритма и проводимости.

Брюшнотифозный миокардит наблюдается редко; изменения, обнаруживаемые в миокарде в острый период заболевания, обычно имеют характер дистрофии, и лишь в единичных случаях патологоанатомически обнаруживается инфильтрация межуточной ткани миокарда круглыми и полиморфно-ядерными клетками. Миокардит имеет очаговый характер. Прижизненно о его развитии чаще всего можно предположить по изменениям на ЭКГ. Клинические признаки Миокардит обнаруживаются редко.

Сходные поражения миокарда наблюдаются при паратифах, а также сальмонеллёзе, при котором описаны случаи развития стойкой атриовентрикулярной блокады, что свидетельствует о возможности развития миокардитического кардиосклероза. Выздоровление от Миокардит по времени совпадает с выздоровлением от основного заболевания.

Дифтерийный миокардит встречается сравнительно часто (1/5—1/4 всех больных дифтерией), причём более чем у половины умерших от дифтерии причиной смерти является Миокардит Возбудителя дифтерии — Corynebacterium diphtheriae — обнаруживают в миокарде в виде исключения; установлено, что причиной воспалительных изменений является воздействие на миокард дифтерийного токсина. Морфологически Миокардит проявляется дистрофическими изменениями нервных интракардиальных структур, которые, вероятно, поражаются первично по отношению к поражению миокарда. В дальнейшем развиваются альтерация кардиомиоцитов (миолиз, жировая дистрофия) и интерстициальное воспаление. Изменения могут иметь как очаговый, так и диффузный характер; затем формируются гранулемы, и к концу 3-й недели очаги воспаления замещаются рубцовой тканью. Течение Миокардит острое.

Падение АД, тахикардия, цианоз и одышка в первые дни заболевания связаны с токсическим поражением сосудов и дыхательной недостаточностью, обусловленной поражением дыхательных путей. Симптомы Миокардит выявляются на 2—4-й неделе, иногда даже на 7-й неделе заболевания. Возможно развитие всех характерных симптомов Миокардит: увеличение сердца, появление систолического шума в сочетании с ослаблением I тона сердца. Сердечная недостаточность обычно характеризуется острым началом: развивается коллапс, связанный как со снижением сердечного выброса, так и с поражением сосудов; если больного удаётся вывести из этого состояния, в дальнейшем, как правило, признаки сердечной недостаточности постепенно исчезают. Весьма характерны нарушения внутрижелудочковой проводимости, которые могут привести к полной поперечной блокаде (трифасцикулярный блок). Значительно реже наблюдаются тяжёлые аритмии. Все эти симптомы обычно исчезают с выздоровлением от Миокардит, однако нарушения проводимости и ритма сердца могут сохраниться на всю жизнь, что свидетельствует о развитии миокардитического кардиосклероза.

Бруцеллезный миокардит. Поражение миокарда возбудителем бруцеллёза наблюдается в виде исключения. Морфологически Миокардит характеризуется очаговыми полиморфно-клеточными инфильтратами и образованием гранулем в миокарде. Клинические, симптомы, как правило, отсутствуют; о распространении поражения на сердце свидетельствует появление неспецифических изменений на ЭКГ; изменения конфигурации конечной части желудочкового комплекса в виде уплощения и инверсии зубца Т. Иногда наблюдаются аритмии, главным образом экстрасистолия.

Туберкулёзный миокардит встречается редко и возникает или при распространении патологический процесса через средостение и перикард, или при гематогенной диссеминации туберкулёза. Морфологически выявляется туберкулёзная инфильтрация, образование специфических или неспецифических (при туберкулёзной интоксикации) гранулем. Иногда специфические гранулемы достигают значительных размеров (с куриное яйцо), при этом в них может развиться характерный для туберкулёза казеозный некроз. Возможен прорыв казеозного содержимого гранулемы в полости сердца и просвет сосудов. Клинические, симптомы Миокардит зависят от характера и тяжести поражения миокарда; при наличии неспецифических гранулем прижизненные. проявления ограничиваются изменениями на ЭКГ (уплощение и инверсия зубца Т). При Миокардит, обусловленном распространением патологический процесса на миокард (диффузная инфильтрация) или гематогенной диссеминацией, возможно возникновение всех симптомов Миокардит, вплоть до тяжёлой сердечной недостаточности и угрожающих нарушений ритма сердца и проводимости. В редких случаях крупная гранулема создаёт механическое препятствие кровотоку в том или ином отделе сердца, что может способствовать развитию тяжёлой лево или правожелудочковой недостаточности. Течение Миокардит хроническое.

Сифилитический миокардит характеризуется либо образованием гуммы в миокарде (иногда гуммы могут быть множественными), либо (иногда и одновременно) развитием диффузного продуктивного воспаления миокарда. Характерно появление нарушений проводимости, соответствующих локализации гумм (обычно страдает внутри-желудочковая проводимость). При диффузном Миокардит возможна развёрнутая симптоматика. Сочетание Миокардит с сифилитическим мезаортитом и коронаритом наблюдается редко.

Миокардит при сепсисе встречается в двух формах: гнойничковый (апостематозный) Миокардит, связанный с гематогенной диссеминацией возбудителя сепсиса (смотри полный свод знаний) и характеризующийся формированием в миокарде множественных микроабсцессов, и неспецифический инфекционно-аллергический Миокардит Несмотря на различие в этиопатогенетических механизмах, клинические, картина Миокардит в обоих случаях весьма сходна и характеризуется всеми типичными признаками Миокардит

Миокардит при подостром септическом эндокардите встречается, по данным ряда исследователей [А. А. Кедров, 1963; Йонаш (V. Ionas, 1963); Миокардит И. Теодори, 1972, и другие], в 90— 100% случаев, то есть чаще, чем принято было считать до появления терапии антибиотиками. Морфологически, как правило, обнаруживаются неревматические воспалительные изменения в интерстиции и кардиомиоцитах, а также в сосудах сердца; если подострый септический эндокардит возник на фоне ревматического поражения сердца, наряду с этими изменениями обнаруживают изменения, характерные для ревматизма. О наличии Миокардит при подостром септическом эндокардите позволяет думать в первую очередь развитие сердечной недостаточности, особенно правожелудочковой, а также желудочковых (редко суправентрикулярных) аритмий и нарушений проводимости. Развивается Миокардит одновременно с основным заболеванием.

.

Грибковые миокардиты

Грибковые миокардиты. Миокардит при актиномикозе возникает в результате гематогенной диссеминации грибков рода Actinomyces или при распространении патологический процесса из лёгких через средостение и перикард на миокард. Морфологически в миокарде обнаруживают множественные микроабсцессы, содержащие друзы грибка, иногда гигантоклеточные гранулемы, воспалительную инфильтрацию интерстиция. На фоне тяжёлого течения основного заболевания симптоматика Миокардит может отступать на второй план, хотя возможно развитие всех характерных для него симптомов. Предположение о развитии Миокардит чаще всего возникает в связи с изменениями на ЭКГ в динамике.

Миокардит при кокцидиоидозе наблюдается в редких случаях хронический течения заболевания, сопровождающегося гематогенной диссеминацией процесса. В миокарде обнаруживают гранулемы, содержащие возбудителей, либо асептическое воспаление интерстициальной ткани. Гранулемы образованы лимфоцитами, плазматическими, эпителиоидными и гигантскими клетками. Возможен прорыв содержимого гранулем в полости сердца и просвет сосудов. Тяжесть клинические, картины и выраженность симптомов зависят от распространённости патологический процесса п локализации гранулем. Течение Миокардит хроническое прогрессирующее.

Миокардит при гистоплазмозе встречается ещё реже, чем при кокцидиоидозе. По морфологический картине, клинике и течению Миокардит сходен с Миокардит при кокцидиоидозе.

Протозойные и паразитарные миокардиты

Протозойные и паразитарные миокардиты относятся к наиболее редким этиологического формам в СССР.

Миокардит при трипаносомозе. В некоторых странах Южной и Центральной Америки одной из частых причин Миокардит является трипаносомоз (болезнь Шагаса). Заболевают преимущественно дети. Примерно у х/з умерших в сердце удаётся обнаружить простейшие Trypanosoma cruzi. Морфологически для этой формы Миокардит характерна воспалительная инфильтрация межуточной ткани миокарда мононуклеарами, интерстициальный фиброз. Поражаются преимущественно правые отделы сердца. Наблюдаются все клинические, симптомы Миокардит Сердечная недостаточность чаще носит правожелудочковый характер. Особенностью этой формы Миокардит является частое распространение патологический процесса на эндокард, что ведёт к образованию пристеночных тромбов и к тромбоэмболическим осложнениям. Нередко наблюдаются нарушения внутрижелудочковой проводимости, в особенности блокада правой ножки предсердно-желудочкового пучка (пучка Гиса), а также аритмии (обычно экстрасистолия, в отдельных случаях желудочковая тахикардия).

Миокардит при токсоплазмозе наблюдается примерно у 50% больных в острой фазе заболевания, протекающего в форме атипичной пневмонии или напоминающей тифозную инфекцию с высокой температурой и макулопапулезной сыпью, покрывающей все тело, кроме лица, ладоней и подошв. Возбудители (Toxoplasma gondii) внедряются в кардиомиоциты, вызывая их некроз; одновременно в интерстициальной ткани сердца развивается воспалительная инфильтративная реакция, которая может иметь как очаговый, так и диффузный характер. В клинические, картине преобладает кардиомегалия, нарушения ритма и проводимости, сердечная недостаточность встречается реже. Миокардит может протекать остро, подостро и хронически; возможен исход воспалительных изменений в кардиосклероз.

Миокардит при ряде гельминтозов — аскаридозе, эхинококкозе, трихинеллёзе или имеет характер воспалительной реакции на инвазию возбудителей, или протекает по типу интерстициального Миокардит, если вызван действием токсических веществ, выделяемых гельминтами (при трихинеллёзе).

Диагноз

Диагноз Миокардит основывается в первую очередь на анамнезе и правильной интерпретации клинические, симптомов. В анамнезе нередко удаётся выявить указания на инфекционные болезнь (грипп, ангину и другие) перенесённую за 2—4 недель до возникновения признаков Миокардит, если только он не развивается в ходе этой болезни (при гриппе, аденовирусных инфекциях, дифтерии, сыпном тифе и других инфекционные болезнях, особенно вирусной этиологии). У многих больных неспецифическим инфекционно-аллергическим Миокардит отмечаются повторные ангины или повышенная склонность к острым респираторным заболеваниям. Выявить действие таких патогенных факторов, как химический агенты (хлороформ, четыреххлористый углерод и другие) и ионизирующее излучение, обычно несложно. Собирая анамнез, необходимо обратить внимание, не вводились ли больному в недалёком прошлом вакцины или сыворотки, не получал ли он лекарственных препаратов, в особенности сульфаниламидов и антибиотиков, насколько упорядоченным было лечение этими препаратами и получал ли их больной в прошлом. Имеет значение общий аллергологический анамнез (указание на крапивницу, отёк Квинке, сенную лихорадку, бронхиальную астму и другие) Одним из признаков Миокардит часто служит относительная тахикардия, не соответствующая температуре тела больного. При появлении тахикардии и боли в области сердца во время острой инфекционные болезни или через 2—3 недель после её окончания, а также на фоне лечения, особенно антибиотиками и сульфаниламидными препаратами, или вскоре после введения вакцин и сывороток внимание врача должно быть направлено на своевременное распознавание возможного Миокардит, хотя указанные симптомы и нельзя считать патогномоничными. В типичных случаях динамическое наблюдение позволяет выявить увеличение сердца, появление глухости тонов и систолического шума с максимумом громкости на верхушке сердца. Все эти симптомы, особенно при наличии изменений на ЭКГ в динамике, дают основание со значительной степенью достоверности поставить диагноз Миокардит Появление ритма галопа, развитие сердечной недостаточности, нарушений ритма сердца и проводимости делают диагноз ещё более убедительным.



Информация об Ordo Deus Перейти в оглавление сайта

Рис. 11.
Электрокардиограмма в 12 общепринятых отведениях: А — здорового человека, Б и В — больного гриппозным миокардитом; Б — ЭКГ на 3-й день болезни: мерцательная тахиаритмия с частотой сердечных сокращений около 100 в 1 минут (зубец Р отсутствует), на фоне учащения сердечных сокращений (отведение II) появляется функциональная внутри-желудочковая блокада с аберрантным проведением импульса, в связи с чем все комплексы QRS имеют разную форму; имеются признаки блокады передне-верхней ветви левой ножки пучка Гиса — низкие зубцы R (г) и глубокие S в отведениях III и aVF; В — ЭКГ на 17-й день болезни: восстановился синусовый ритм, перед всеми желудочковыми комплексами QRS виден зубец Р; интервал Р — Q равен 0,2 секунд Выраженная синусовая брадикардия и синусовая аритмия (частота сердечных сокращений колеблется от 34 до 54 в 1 минут) свидетельствуют о снижении функции синусового узла.



Рентгенологическое исследование сердца выявляет так называемый мышечные изменения: наблюдается диффузное увеличение тени сердца при отсутствии признаков его гипертрофии (в случаях острого и подострого Миокардит). Иногда преобладает дилатация левых, реже правых отделов сердца. Отмечается вялая пульсация его контуров со сниженной амплитудой. В связи с понижением тонуса миокарда при исследовании больного в положении стоя сердце как бы распластано на диафрагме. При субаортальном стенозе преобладают признаки гипертрофии сердца. На рентгенокимограмме (смотри полный свод знаний Рентгенокимография) при диффузном Миокардит по всему контуру сердца, а при очаговом Миокардит неравномерно (на его участках) зубцы имеют сниженную амплитуду, вершины их закруглены. Крупноочаговый кардиосклероз, характерный для миокардита Абрамова — Фидлера, сывороточного Миокардит, а также иногда встречающийся при других формах Миокардит, проявляется «немыми зонами» (отсутствием зубцов на определённых участках контура сердца) или парадоксальной пульсацией (направление зубцов по контуру поражённой зоны противоположно направлению зубцов по контуру интактного миокарда в связи с тем, что поражённый участок западает в фазе диастолы и выпячивается в фазе систолы).

Радиологическая визуализация очагов поражения с помощью введения в кровяное русло определённых индикаторов (таллий и другие) и последующего сканирования сердца не отвечает на вопрос о характере поражения миокарда и не находит пока широкого применения в клинические, практике.

Электрокардиографическое исследование. Данные электрокардиографии также малоспецифичны, тем не менее обнаружение изменений на ЭКГ (смотри, полный свод знаний Электрокардиография), особенно в начальных стадиях заболевания, должно направить внимание врача на возможное развитие Миокардит В каждом случае необходимо сравнить первую ЭКГ, на которой зарегистрированы какие-либо изменения, с ЭКГ, записанными до заболевания (при возможности), а также провести электрокардиографическое исследование в динамике, поскольку при Миокардит изменения на ЭКГ происходят сравнительно быстро (рисунок И). При Миокардит на ЭКГ чаще отмечают снижение вольтажа зубцов желудочкового комплекса, главным образом зубца R,— во всех отведениях при диффузном и мелкоочаговом Миокардит или в определённых отведениях при крупноочаговом поражении, иногда напоминающем картину инфаркта миокарда; характерны изменения конечной части желудочкового комплекса: уплощение и инверсия зубца РР, удлинение интервала Q — Т, депрессия сегмента S —Г; другие изменения на ЭКГ отражают нарушения проводимости: внутрипредсердной (уширение и деформация зубца Р), предсердно-желудочковой и внутрижелудочковой (рисунок 12). Нарушения внутрижелудочковой проводимости могут иметь типичную картину моно-, би и трифасцикулярных блокад, но чаще проявляются неспецифическим уширением и зазубренностью комплекса QRS) в редких случаях тяжёлого диффузного Миокардит наблюдается арборизационный блок. Частое электрокардиографическое исследование позволяет уловить нарушения ритма, которые могут носить самый разнообразный характер (желудочковая экстрасистолия, реже желудочковая тахикардия и нарушения ритма наджелудочкового происхождения: мерцание и трепетание предсердий, миграция водителя ритма, суправентрикулярная тахикардия и другие). Многочасовая и суточная запись ЭКГ с помощью портативных кардиомониторов (смотри полный свод знаний Мониторное наблюдение) позволяет выявить нарушения ритма сердца значительно чаще, чем обычное электрокардиографическое исследование.

Эхокардиограммрафическое исследование даёт возможность судить о наличии, но не о характере поражения миокарда (смотри полный свод знаний Эхокардиография). Выявляется расширение полостей сердца, особенно левого желудочка. Для острого Миокардит характерно отсутствие гипертрофии миокарда (миогенная дилатация). При очаговом Миокардит удаётся обнаружить зоны дискинезии, а в тяжёлых случаях (сывороточный Миокардит, миокардит Абрамова — Фидлера и другие формы, протекающие с крупноочаговыми поражениями миокарда) и зоны акинезии. Нередко наблюдается дисфункция сосочковых мышц, лежащая в основе «относительной» митральной недостаточности; иногда удаётся обнаружить связанное с нарушением функции сосочковых мышц пролабирование створок митрального клапана (чаще задней) в полость левого предсердия. Компенсаторная гипертрофия Миокардит обнаруживается при хронический формах, в частности при миокардите Абрамова — Фидлера, при котором в ряде случаев удаётся выявить внутриполостные тромбы.



Информация об Ordo Deus Перейти в оглавление сайта

Рис. 12.
Электрокардиограммы в 12 общепринятых отведениях: А — здорового человека; Б — больного миокардитом Абрамова — Фидлера с инфарктоподобными изменениями: в отведении I отмечается депрессия сегмента S — Т, зубец Т отрицательный, в отведениях У\ — Vз зубец R отсутствует, желудочковый комплекс имеет форму QS, сегмент S — Т приподнят над изоэлектрической линией; конфигурация зубцов Р в отведениях I, 11 и приближается к митральной (высокий зубец Р в отведении I, высокий и заострённый Р в отведении II, двухфазный Р в отведении Ft), что свидетельствует о перегрузке левого предсердия; блокада передневерхней ветви левой ножки пучка Гиса — низкий зубец R (г) и глубокий S в отведениях III и aVF, В — больного миокардитом Абрамова — Фидлера с нарушениями ритма и проводимости: синусовая тахикардия (частота сердечных сокращений 100 в 1 минут); атриовентрикулярная блокада I степени (продолжительность интервала Р — Q равна 0,24 секунд при норме до 0,20 секунд); комплекс QRS расширен до 0,16 секунд (при норме до 0,9 секунд), при этом в отведении Vt регистрируется высокий зубец R, а в отведении F6 — глубокий зубец S, что свидетельствует о блокаде правой ножки пучка Гиса; отклонение электрической оси сердца вправо (высокий зубец R в отведении III) в сочетании с атриовентрикулярной блокадой I степени позволяет предполагать блокаду задненижней ветви левой ножки пучка Гиса (бифасцикулярная блокада).



Фонокардиографическое исследование уточняет данные аускультации и фазовую структуру сердечного цикла (смотри полный свод знаний Фонокардиография). Систолический шум над верхушкой сердца регистрируется у половины больных, значительное снижение амплитуды I тона — у трети больных. При выраженной сердечной недостаточности III тон сердца становится высокоамплитудным и продолжительным, что соответствует аускультативным проявлениям ритма галопа. Фазовый анализ часто обнаруживает удлинение фазы трансформации (интервал Q—I тон), что наблюдается у половины больных. Этот признак непатогномоничен для Миокардит и наблюдается при многих других заболеваниях миокарда, а также при митральном стенозе. Удлинение фазы трансформации отражает снижение сократимости миокарда.

Лабораторные исследования ориентированы на диагностику активности Миокардит и в ряде случаев помогают установить его природу. По мнению Шапелля и Коссманна (Миокардит Chapelle, Ch. Е. Kossmann, 1954), при общем анализе крови выявляются изменения, которые чаще связаны с основным заболеванием, чем с Миокардит Однако В. А. Максимов отмечает, что лейкоцитоз и ускоренная РОЭ, всегда наблюдаемые у незначительной части больных, появляются на 3-й неделе заболевания, что позволяет связать их с Миокардит Из изменений в крови чаще всего встречается моноцитоз и эозинофилия, но и эти сдвиги констатируются менее чем у половины больных.

Содержание сиаловой кислоты в крови, отражающее активность воспалительного процесса (дифениламиновая реакция и другие методы определения), у большинства больных неревматическими Миокардит нормальное. Увеличение содержания сиаловой кислоты (смотри полный свод знаний) отмечается при тяжёлом течении Миокардит и имеет диагностическое значение лишь при отсутствии сопутствующей инфекции, в том числе и очаговой. Сказанное в равной мере относится и к С-реактивному белку (смотри полный свод знаний) как неспецифическому показателю воспалительного процесса.

Данные о белковом составе крови при Миокардит противоречивы. П. Н. Юренев (1968) указывает на отсутствие при аллергических Миокардит существенных сдвигов в белковом составе крови, а Боллингер (Bollinger) и соавторами (1963) считают изменения в количественном соотношении белковых фракций одним из важных критериев диагноза Миокардит

С целью этиологической диагностики проводят вирусологические, серологические Исследования, кожные диагностическое пробы, ряд специальных исследований (определение «волчаночных клеток» в крови, исследование пунктата лимфатических, узлов и другие).



Информация об Ordo Deus Перейти в оглавление сайта

Рис. 4. Микропрепарат миокарда при паренхиматозном миокардите: мышечные волокна в состоянии набухания и глыбчатого распада, в межуточной ткани инфильтрация из лимфоидных клеток и полиморфно-ядерных лейкоцитов.
Рис. 5. Микропрепарат миокарда при гнойном миокардите; слева в поле зрения воспалительные инфильтраты (указано стрелкой).
Рис. 6. Микропрепарат миокарда при продуктивном миокардите: на фоне дистрофических изменений мышечных волокон и воспалительных инфильтратов из полиморфно-ядерных лейкоцитов и гистиоцитов, очаговое разрастание фиброзной ткани (указано стрелками).



По мнению В. А. Максимова (1979), в довольно большом проценте случаев неревматического Миокардит содержание в белке плазмы фракций α2 и γ-глобулинов (смотри полный свод знаний Иммуноглобулины) повышено.

Активность аспартатаминотрансферазы (глютамино-щавелево-уксусной трансаминазы), отражающая наличие и степень деструкции кардиомиоцитов, по Лa Дю, Вроблевскому (J. S. La Due, Wroblewsky, 1963), — более специфичный признак активности Миокардит Ещё более чувствительна в этом отношении активность первой фракции лактатдегидрогеназы и фракции MB креатинфосфокиназы. Повышение активности этих ферментов, как правило, ниже при Миокардит, чем при остром инфаркте миокарда, но сохраняется в течение более длительного времени.

Серьёзным доводом в пользу диагноза Миокардит служит обнаружение противокардиальных антител в сыворотке крови больных, что, однако, встречается преимущественно при тяжёлом течении Миокардит Так, Миокардит И. Теодори (1972) отмечал, что у значительной части больных миокардитом Абрамова — Фидлера противокардиальные антитела обнаруживаются в сыворотке крови в высоком титре. В. А. Максимов выявил их в диагностически значимых титрах у 22 из 104 больных Миокардит неревматической этиологии (21,15%).

Зондирование сердца и непрямые методы исследования кардиодинамики (методы разведения индикаторов, тетраполярная реография, баллистокардиография) имеют малое значение для диагностики Миокардит, так как изменения, выявляемые с их помощью, совершенно непатогномоничны для Миокардит и встречаются при многих заболеваниях сердца.

Трансвазальная биопсия сердца применяется пока ограниченно. Ряд исследователей (Н. А. Белоконь, Я. Л. Рапопорт, 10. С. Петросян, 1976) указывает на обнадёживающие результаты этого метода. Метод технически сложен: для получения биоптатов из левого желудочка необходимо вводить биотом через сонную артерию. При очаговом Миокардит может быть случайно получен кусочек интактной ткани. Тем не менее в диагностически сложных случаях применение биопсии сердца с гистологическим и электронно-микроскопическим исследованием биоптатов целесообразно Таким образом, все инструментальные и лабораторный методы позволяют подтвердить, но не установить диагноз Миокардит Изменения сердца, выявляемые с их помощью в остром периоде инфекционные болезни, могут быть следствием метаболических нарушений в миокарде и при отсутствии достоверной клинические, симптоматики не дают оснований для диагноза Миокардит С другой стороны, признаки Миокардит нередко находят у умерших от инфекционные болезней, у которых при жизни не отмечалось ни клинических, ни электрокардиографических признаков Миокардит Поэтому Миокардит не всегда удаётся диагностировать при жизни. Однако даже минимальные клинические, проявления, такие как незначительное расширение сердца, приглушённость тонов, слабый систолический шум на фоне инфекционные болезни, должны быть поводом для всестороннего комплексного обследования, позволяющего своевременно подтвердить подозрение на Миокардит

Дифференциальный диагноз. Отличить Миокардит от других заболеваний сердца в ряде случаев бывает чрезвычайно трудно. Особенно сложно разграничение Миокардит с нечётко выраженной симптоматикой миокардиодистрофии (смотри полный свод знаний) различного происхождения. Установлено, что даже в случае смерти от инфекций морфологический изменения сердца далеко не всегда говорят о воспалении: нередко наблюдаются различные формы дистрофии миокарда. Так как воспалительные изменения в одних участках миокарда нередко сочетаются с дистрофическими в других, то правомерно предположение, что дистрофия и воспаление миокарда при инфекционные болезнях являются разными стадиями одного процесса. Строгие клинические, критерии, позволяющие отличить выраженную миокардиодистрофию от Миокардит со сглаженными клинические, симптомами, отсутствуют. Признаки деструкции кардиомпоцитов (повышение активности ферментов, обнаружение в крови антител к миокарду), свидетельствующие в пользу Миокардит, встречаются сравнительно редко. Тем не менее клинические, диагноз дистрофии миокарда при острой инфекционные болезни должен ставиться с большой осторожностью. Выявление даже умеренного увеличения сердца, уменьшения звучности тонов, относительной тахикардии и других начальных признаков сердечной недостаточности, а также нарушений ритма сердца и проводимости даёт основание диагностировать Миокардит Этими же признаками следует руководствоваться при проведении дифференциального диагноза между неспецифическим инфекционно-аллергическим Миокардит при тонзиллите и тонзиллогенной дистрофией миокарда, объединяемыми многими авторами нечётким понятием тонзиллокардиального синдрома (смотри полный свод знаний). Можно считать установленным, что имеется по крайней мере две стадии изменения сердца при хронический тонзиллите: 1) дистрофия миокарда, обусловленная перевозбуждением симпатических ганглиев (висцеро-висцеральный рефлекс) и токсическим влиянием локализованного в миндалинах инфекционные агента; она носит обратимый характер и исчезает после тонзиллэктомии; 2) неспецифический инфекционно-аллергический тонзиллогенный миокардит хронического рецидивирующего течения. В первой стадии клинические, картина ограничивается атипичными болями в области сердца, тахикардией (скорее симпатико-адреналового характера), иногда незначительными изменениями на ЭКГ; в редких случаях регистрируются единичные экстрасистолы; нарушения проводимости не характерны. Во второй стадии могут быть представлены все клинические, симптомы Миокардит: увеличение сердца, уменьшение звучности тонов, появление систолического шума на верхушке сердца и признаков сердечной недостаточности, а также различные нарушения ритма сердца и проводимости. Иногда все эти признаки достигают крайней степени выраженности; как правило, они не исчезают и даже на время обостряются после тонзиллэктомии; обострения возникают также при различных интеркуррентных инфекциях.

Значительные трудности представляет дифференциальная диагностика инфекционно-аллергического и токсико-аллергического Миокардит с ревматическим Миокардит (смотри полный свод знаний Ревмокардит). Анамнез имеет относительное значение, так как далеко не всегда ревматизм проявляется характерными синдромами, в частности суставной формой. Ведущую роль играет исключительная редкость изолированного поражения миокарда при ревматизме, тогда как для неспецифического Миокардит оно является правилом. Формирование клапанных поражений делает диагноз неспецифического инфекционно-аллергического Миокардит весьма маловероятным. Другие признаки не имеют абсолютного значения. Изменения крови (лейкоцитоз, ускоренная РОЭ, повышение уровня сиаловой кислоты, положительная реакция на С-реактивный белок, повышенное содержание в плазме α2 и γ-глобулинов, выявление антител к ткани миокарда) при ревмокардите наблюдаются чаще.

Сравнительно редко приходится проводить дифференциальный диагноз между Миокардит и тиреотоксическим сердцем (дистрофия миокарда при диффузном токсическом зобе). Необходимость в этом возникает при сглаженной общей симптоматике диффузного токсического зоба (смотри полный свод знаний Зоб диффузный токсический) в сочетании с субфебрильной температурой, тахикардией или мерцательной тахиаритмией и сердечной недостаточностью, рефрактерной к препаратам наперстянки. Такие симптомы, как снижение веса тела, выраженная нервозность больного, требуют исследования функции щитовидной железы. Наиболее точные данные получают при определении гормонов щитовидной железы в крови радиоиммунным методом; поглощение щитовидной железой радиоактивного 131I при отсутствии контакта с йодом и бромом в течение 2 месяцев до исследования также даёт достаточно надёжные результаты. Достоверное повышение функции щитовидной железы уменьшает вероятность Миокардит Имеют значение данные сократительной функции сердца: для тиреотоксического сердца характерны признаки гипердинамии, для Миокардит— гиподинамии миокарда.

Тяжело протекающие Миокардит, сопровождающиеся сердечной недостаточностью и мерцательной аритмией, нередко приходится дифференцировать с пороками сердца, чаще всего с ревматическим митральным пороком (смотри полный свод знаний Пороки сердца приобретённые). Это представляет значительные трудности, если имеется мерцательная тахиаритмия, при которой характерная для пороков сердца мелодия может значительно изменяться: исчезает пресистолический шум митрального стеноза и ослабляются шумы других пороков, ритм сердца нередко становится многочленным. Уточнению диагноза способствуют данные рентгенографии, хотя при выраженной сердечной недостаточности рентгенологическое картина не всегда достаточно отчётлива. Мерцательная тахиаритмия в известной степени затрудняет выявление клапанных поражений с помощью эхокардиографии. В связи с этим приходится тщательно учитывать данные анамнеза (большинство больных пороками сердца знают о своём заболевании до появления мерцательной аритмии и сердечной недостаточности), а также характер течения заболевания (Миокардит протекает более остро, а развивающаяся при нем сердечная недостаточность более рефрактерна к лечению).

Миокардит, протекающие с выраженным болевым синдромом, а также с признаками обширных (иногда трансмуральных) очаговых изменений на ЭКГ, приходится иногда дифференцировать с различными формами ишемической болезни сердца, обычно с инфарктом миокарда (смотри полный свод знаний), для которого характерны более острое начало, часто — ангинозный статус с типичной локализацией болей за грудиной, типичные изменения ЭКГ и динамики лабораторных показателей (лейкоцитоз, РОЭ, повышение активности ферментов— аспартатаминотрансферазы, первой фракции лактатдегидрогеназы, фракции MB креатинфосфокиназы). Истинный кардиогенный шок часто развивается при инфаркте миокарда, причём, как правило, в начале заболевания и исключительно редко при Миокардит (как правило, в разгар болезни). Для инфекционных Миокардит более характерно развитие сосудистого коллапса, при котором уменьшение сердечного выброса имеет меньшее значение, чем сосудистая недостаточность. Симптоматика инфаркта миокарда у больных, перенёсших первые часы и дни заболевания, обычно постепенно сглаживается; при Миокардит наблюдается более стабильная клинические, картина. Большое значение имеет анамнез: Миокардит, как правило, развивается на фоне острой инфекционные болезни или через 2— 3 недель после неё, а также после введения вакцин, сывороток и тому подобное Следует помнить, однако, о возможности развития инфаркта миокарда у больных Миокардит на почве коронарита.

Лечение

Лечение Миокардит в полном объёме — этиологическое, патогенетическое и симптоматическое — возможно не во всех случаях. Этиотропное лечение антибиотиками и химиопрепаратами проводят лишь при острых инфекционных Миокардит, вызванных бактериями, некоторыми видами простейших и грибков; специфическая терапия вирусных инфекций не разработана. При аллергических лекарственных Миокардит необходимо прекратить применение препарата и даже исключить контакт с ним. Симптоматическое лечение проявлений Миокардит должно сочетаться с лечением основного заболевания.

Всем больным Миокардит необходим постельный режим с первого дня заболевания даже при отсутствии признаков сердечной недостаточности как профилактическая мера, препятствующая её развитию.

В связи с тем, что в подавляющем большинстве случаев патогенез Миокардит связан с аллергией, широко применяют гипосенсибилизацию. Выбор препаратов наиболее обоснованно можно провести, базируясь на результатах определения в крови больных антител к миокарду. Если это невозможно, то при подборе терапии ориентируются на тяжесть течения Миокардит, склонность его к рецидивированию или прогрессированию. Наиболее мощными гипосенсибилизирующими свойствами обладают глюкокортикоиды (преднизолон, триамцинолон, дексаметазон и другие) Известно, однако, что в высоких дозах эти препараты могут вести к генерализации очаговой инфекции. Тем не менее длительный опыт показывает возможность применения при бактериальных инфекциях гормонов коры надпочечников в средних дозах под прикрытием антибиотиков. Применение глюкокортикоидов, по-видимому, не обостряет течения вирусной инфекции. Появившиеся в 60-е годы сообщения об опасности использования преднизолона при Миокардит, вызванном вирусами Коксаки, в дальнейшем не подтвердились. Многие исследователи [А. В. Виноградов, 1968, Миокардит И. Теодори, 1972, В. А. Максимов, 1979; Шапелль, Коссманн (Миокардит Shapelle, Ch. Е. Kossmann, 1954, и другие)] сообщают о положительном опыте применения глюкокортикоидов при Миокардит различной этиологии, особенно тяжело протекающих, и в частности при миокардите Абрамова — Фидлера. Суточная доза глюкокортикоидов в расчёте на преднизолон обычно не превышает 30 миллиграмм, в ходе лечения дозу препарата постепенно снижают. В менее тяжёлых случаях, а также при затяжном или рецидивирующем течении Миокардит находят применение салицилаты (ацетилсалициловая кислота по 2—3 грамм в сутки, метиндол по 0,45—0,9 грамм в сутки), а также амидопирин (до 2 грамм в сутки), бутадион (по 0,15 грамм 4 раза в день), бруфен, производные аминохинолина: хингамин (делагил) и плаквенил (гидроксихлорохин). Примерная схема лечения делагилом: в течение 10 дней по 1 таблетке (0,25 грамм) три раза в день; следующие 10 дней — по 1 таблетке 2 раза в день, в дальнейшем длительно по 1 таблетке в день. Антигистаминные препараты (димедрол, пипольфен, тавегил, супрастин и другие) малоэффективны. Не оправдали надежд, по данным Е. И. Чазова (1978), и так называемый трофические средства: кокарбоксилаза и АТФ. Имеются указания на то, что сама кокарбоксилаза обладает выраженным аллергизирующим действием.

Препараты салицилового ряда, а также бруфен, амидопирин и бутадион оказывают положительное действие при Миокардит, протекающем с выраженным болевым синдромом. При упорной боли, напоминающей ангинозную, хороших результатов нередко удаётся достичь назначением блокаторов (β-адренергических рецепторов (например, анаприлина по 0,01—0,02 грамм 3—4 раза в день), однако следует помнить, что большие дозы могут способствовать развитию сердечной недостаточности.

Лечение сердечной недостаточности (смотри полный свод знаний) проводится по общим принципам, но имеет и некоторые особенности. При выявлении сердечной недостаточности постельный режим назначают на время, необходимое для её ликвидации или достижения стабильного течения с минимальными клинические, проявлениями (недели, а иногда и месяцы). Давно отмечено, что препараты группы дигиталиса малоэффективны при сердечной недостаточности, возникшей вследствие Миокардит, и особенно легко вызывают интоксикацию. Эта закономерность проявляется тем отчётливее, чем в более тяжёлой форме протекает миокардит, и наиболее выражена при миокардите Абрамова — Фидлера. Повышению толерантности к токсическому действию препаратов группы наперстянки способствует оксигенотерапия (кислородная палатка, вдыхание кислорода через носовой катетер, гипербарическая оксигенация). Результаты терапии сердечными гликозидами несколько улучшаются, если она проводится на фоне энергичного патогенетического лечения Миокардит Тем не менее до последнего времени лечение сердечной недостаточности при Миокардит базировалось в первую очередь на применении мочегонных средств. Однако намечаются и другие подходы к лечению рефрактерной сердечной недостаточности при Миокардит: применение глюкагона, обладающего положительным инотропным действием, а также периферических вазодилататоров (в частности, нитропруссида натрия), под влиянием которых снижается периферическое сопротивление кровотоку, то есть уменьшается нагрузка на сердце. Изучается эффект таких периферических вазодилататоров, как фентоламин и салбутамол, обладающих также и положительным инотропным действием на сердце.

С учётом повышенной при Миокардит чувствительности сердца к катехоламинам осуществлены успешные попытки лечения рефрактерной сердечной недостаточности с помощью блокаторов p-адренергических рецепторов (пропранолол), особенно при исходной тахикардии. Лечение требует осторожности; даже на небольших дозах возможно неадекватное снижение АД, поэтому терапию начинают с малых доз (по 10 миллиграмм пропранолола 3—4 раза в день), постепенно увеличивая их до 20 миллиграмм 4 раза в день. Целесообразно сочетать блокаторы β-адренергических рецепторов с сердечными гликозидами. Нарушения ритма сердца и проводимости лечат в соответствии с общими принципами (смотри полный свод знаний Блокада сердца, Мерцательная аритмия, Пароксизмальная тахикардия, Экстрасистолия), однако учитывают, что новокаинамид обладает способностью вызывать люпоидную реакцию (смотри полный свод знаний Красная волчанка), в связи с чем длительное его применение у больных Миокардит, по-видимому, нежелательно.

Прогноз

При острых и подострых Миокардит различной этиологии чаще всего наблюдается выздоровление, которое может быть полным или частичным (исход в кардиосклероз). Давно дискутировавшийся вопрос о возможности перехода острого или подострого Миокардит в хронический формы не решён пока окончательно, однако большинство исследователей признает такую возможность. При этом выделяют хронический прогрессирующие и хронический рецидивирующие формы. Смертельный исход наблюдается редко. Но данным Миокардит А. Васильева, основанным на наблюдении 465 больных неревматическими Миокардит различной этиологии, выздоровление или значительное улучшение было отмечено к моменту выписки из стационара у 95,5% больных: умер 21 больной (4,5%), в том числе 7 больных с миокардитом Абрамова — Фидлера, 8 — с Миокардит септического происхождения, 2 — с Миокардит, осложнившим подострый септический эндокардит, у остальных Миокардит был вызван гриппом, вирусом Коксаки, фридлендеровской пневмонией и туберкулёзом. При длительном наблюдении 161 больного (срок наблюдения в среднем 5 лет) Миокардит А. Васильев констатировал у 30% больных полное выздоровление; у 50% отмечалось выздоровление «с дефектом» (незначительные жалобы, неотчётливые изменения на ЭКГ, в ряде случаев — умеренное повышение содержания сиаловой кислоты, α2 и γ-глобулинов), после случайных инфекций у этих больных появились отчётливые симптомы обострения Миокардит, что свидетельствовало о переходе заболевания в хроническую рецидивирующую форму; наконец, у 20% больных отмечался исход заболевания в кардиосклероз. За время наблюдения умерли 5 больных с подострой и хронический формами миокардита Абрамова — Фидлера. Таким образом, можно сделать вывод, что прогноз зависит от ряда моментов, и в первую очередь от формы Миокардит Наиболее неблагоприятен прогноз при остром течении миокардита Абрамова — Фидлера, хотя и в этих случаях иногда удаётся добиться стабилизации процесса. Тяжёлым остаётся прогноз и при Миокардит септического происхождения, а также при редко встречающемся в последнее время дифтерийном Миокардит В остальных случаях прогноз в отношении жизни благоприятный, но полное выздоровление наблюдается не всегда: у значительной части больных развивается кардиосклероз; нередко наблюдается также переход заболевания в хроническую рецидивирующую и в очень редких случаях в хроническую прогрессирующую форму. Несмотря на то, что трудоспособность большинства больных восстанавливается сразу после выписки их из стационара или после непродолжительного долечивания в амбулаторных условиях, в ряде случаев больные становятся стойкими инвалидами в связи с развитием недостаточности кровообращения, вызванной миокардитическим кардиосклерозом. Больные, перенёсшие острый или подострый Миокардит, требуют длительного наблюдения в кардиологических кабинетах; только после того, как в течение года у них не будет отмечено клинические, симптомов Миокардит или кардиосклероза, больных можно считать полностью выздоровевшими.

Профилактика

Профилактика вторичных Миокардит совпадает с профилактикой тех заболеваний, при которых развивается Миокардит, прежде всего вирусных и бактериальных инфекций. При наличии очагов хронический инфекции они должны быть санированы. Удаление кариозных зубов, тонзиллэктомия и так далее производят под прикрытием гипосенсибилизирующей и антибактериальной терапии, которую начинают за неделю до операции и продолжают в течение 2—3 недель после неё. При подготовке к операции не используют глюкокортикоиды (в связи с возможностью генерализации инфекции) и ацетилсалициловую кислоту, а также другие салицилаты, создающие предпосылки для послеоперационных кровотечений.

Предупреждение сывороточного и лекарственных Миокардит предусматривает рациональное и строго обоснованное применение сывороток и лекарственных средств с соблюдением правил их дозирования и своевременной отменой, а также с учётом аллергологического анамнеза пациента.

Особенности миокардита у детей

Теоретические аспекты проблемы Миокардит являются общими для взрослых и детей; как и у взрослых, у детей Миокардит может быть обусловлен внедрением инфекционные агентов непосредственно в миокард, но чаще имеет инфекционно-аллергический или инфекционно-токсический генез. Истинная заболеваемость Миокардит у детей не изучена.

Ведущим этиологического фактором, способствующим развитию Миокардит, особенно в ранних возрастных группах, являются энтеровирусы типа Коксаки А13, А18, В2,3,4; вирусы ECHO, реже респираторные pi другие вирусы. Нередко Миокардит у детей наблюдается при различных вариантах сепсиса, при остром септическом эндокардите, коллагенозах. Встречаются протозойные, паразитарные формы Миокардит, а также неинфекционные — токсические, аллергические (поствакцинальные, лекарственные и другие). Тифы, туберкулёз, скарлатина, дифтерия реже сопровождаются Миокардит в связи с возможностью ранней их диагностики, эффективной терапии и профилактики.

Классификации Миокардит, предложенные Фрейндлих (Е. Freundlich) с сотрудники (1964), А. В. Мазуриным с сотрудники.

(1974), П. А. Белоконь (1977), А. И. Сукачевой (1978), не имеют принципиальных отличий от принятых в клинике взрослых. Особенностью их является выделение врождённых Миокардит, возникающих внутриутробно в результате развития у матери в различные сроки беременности бактериальной, энтеровирусной инфекции, краснухи, паразитарных и других заболеваний.

По данным Н. А. Белоконь (1977), Нетца и Раутенберга (Н. Netz, Н. Rautenburg, 1977), у 1/3 детей раннего возраста, заболевших Миокардит неревматической природы, выявляются сопутствующие поражения перикарда и эндокарда.

В детском возрасте чаще, чем у взрослых, поражения миокарда сочетаются с патологией центральная нервная система, в частности при вирусном энцефаломиокардите, врождённом токсоплазмозе, генерализованной цитомегалии.

Клиническая картина. У новорожденных и детей раннего возраста Миокардит наблюдается чаще и протекает тяжелее; начало болезни острое или подострое.

Клинические, проявления внутриутробного поражения могут быть обнаружены уже в период новорожденности. Постнатальный Миокардит возникает, как правило, на фоне или после перенесённой инфекции (чаще вирусной). При нормальной, субфебрильной, реже при более высокой температуре заметно ухудшается общее состояние ребёнка: наблюдаются бледность, серовато-цианотический оттенок кожных покровов, отсутствие интереса к окружающему. Ребёнок быстро устаёт при сосании и отказывается брать грудь, теряет в весе, беспокоен, вял, адинамичен.

Объективно отмечается расширение границ сердца (больше влево), подтверждаемое рентгенологически. Сердечный толчок ослабленный, разлитой. Тоны значительно приглушены или глухие, часто определяется ритм галопа с патологическим III тоном, иногда четырёхчленный ритм («суммационный галоп»). Характерна тахикардия (иногда эктопическая), эмбриокардия; может наблюдаться брадикардия за счёт нарушений проводимости. Поражение зоны синусового узла сопровождается значительной брадиаритмией или синдромом перемежающейся брадии тахикардии, периодами «отказа» синусно-предсердного узла.

Систолический шум при изолированном Миокардит непродолжительный, мягкого тембра, непостоянный. Усиление шума может быть связано с относительной недостаточностью митрального или трёхстворчатого клапанов, дисфункцией сосочковых мышц, пролабированием створок, в редких случаях с воспалительным поражением клапанов.

Уменьшение сердечного выброса, а также присоединение сосудистой и надпочечниковой недостаточности может приводить к коллапсу или хронический коллаптоидному состоянию.

При тяжёлом Миокардит быстро развивается сердечная недостаточность, обычно смешанного характера, имеющая определённые особенности у грудных детей: в ранних стадиях выражены бледность, беспокойство, потливость, ухудшение сна, анорексия; отмечается покашливание, одышка при напряжении (во время кормления, купания, пеленания ребёнка, при дефекации). В более тяжёлых случаях значительная одышка и тахикардия наблюдаются в покое. При преобладании правожелудочковой недостаточности характерны общая пастозность, отёчность в области кистей, стоп, брюшной стенки, лобка, периорбитальный отёк; быстрое нарастание веса (за счёт отёков), олигурия (симптом сухих пелёнок); увеличивается печень, нередко и селезёнка, возможны протеинурия и появление форменных элементов крови в моче.

Застойные явления в малом круге кровообращения определяются вначале только рентгенологически. При тяжёлом Миокардит с преобладанием левожелудочковой недостаточности развивается лёгочная гипертензия с интерстициальным отёком, лимфостазом, периодическими признаками альвеолярного отёка (появление влажных хрипов с обеих сторон, усиление одышки и цианоза). Возможны приступы острого отёка лёгких (смотри полный свод знаний) с тяжёлым исходом.

У детей дошкольного и школьного возраста также может наблюдаться тяжёлый Миокардит с острым, подострым или хронический рецидивирующим течением, но чаще процесс имеет более доброкачественный характер. После предшествующего инфекционного заболевания прослеживается «светлый промежуток» от нескольких дней до 2—3 недель Начало Миокардит обычно постепенное, малоспецифичное по проявлениям на фоне имеющейся у многих больных хронический очаговой инфекции, склонности к аллергическим реакциям. Отмечаются общая астенизация, бледность, быстрая утомляемость, нередко похудание ребёнка; температура тела нормальная или субфебрильная. Возможны головные боли, головокружения, иногда боли в области живота, миалгии, артралгии. Часто дети жалуются на сердцебиение и боли в области сердца — в 18% случаев, по данным А. В. Долгополовой с сотрудники (1978), в 82% случаев, по данным B. C. Приходько с сотрудники (1978). Болевая форма Миокардит у детей не выделяется, поскольку кардиалгии обычно малоинтенсивны, хотя они могут быть длительными, не всегда купируются анальгетиками и антиспастическими средствами.

Симптомы недостаточности кровообращения, в том числе одышка и цианоз, выражены нерезко; в начальном периоде они отмечаются в основном лишь после физической нагрузки. Сравнительно редко отмечается расширение границ относительной сердечной тупости, приглушение тонов, тахикардия. В то же время часто наблюдаются нарушения сердечного ритма, особенно экстрасистолия; может наблюдаться узловой или мигрирующий ритм, не тяжёлые варианты «синдрома слабости синусно-предсердного узла» (смотри полный свод знаний Сердце), а также умеренные изменения биоэлектрических процессов и сократительной функции миокарда (по данным функциональных методов исследования). Указанные особенности клинические, течения соответствуют представлениям об очаговой форме Миокардит, которая выделяется не всеми авторами (прижизненная биопсия чаще свидетельствует о более распространённых поражениях сократительного миокарда).

Прогноз. У новорожденных и детей раннего возраста часто наблюдается неблагоприятное течение Миокардит с летальным исходом или формированием хронического рецидивирующего и хронического прогрессирующего процесса. Характерной особенностью этой возрастной группы является то, что на фоне воспалительных поражений миокарда развивается не только кардиосклероз, но гл. об р. эластофиброз и фиброэластоз.

У детей дошкольного и школьного возраста Миокардит чаще заканчивается выздоровлением, однако возможны стойкие нарушения сердечного ритма без нарушений кровообращения за счёт очагового кардиосклероза.

Лечение и профилактика принципиально такие же, как при Миокардит у взрослых. Предупреждение Миокардит, развивающихся внутриутробно, требует особого внимания к профилактике инфекционные заболеваний у беременных и воздержания, по возможности, от назначения беременным лекарственных средств, особенно в первые месяцы беременности.

Богословский В.А.; Гасилин В.С.; Рапопорт Я.Л.; Рыфф И.М. Соломатина О.Г.

⇐ Перейти на главную страницу сайта

⇑ Вернуться в начало страницы ⇑

Библиотека Ordo Deus ⇒

⇐ Миокардиодистрофия

⇓ Полный свод знаний. Том первый А. ⇓

Миоклонус ⇒

Все статьи в полном изложении, Вы можете найти в большой медицинской энциклопедии — Главный редактор: академик АН СССР (РАН) и АМН СССР (РАМН) Б.В. Петровский. — Москва издательство «Советская энциклопедия» 1989г.

Внимание! Вы находитесь в библиотеке «Ordo Deus». Все книги в электронном варианте, содержащиеся в библиотеке «Ordo Deus», принадлежат их законным владельцам (авторам, переводчикам, издательствам). Все книги и статьи взяты из открытых источников и размещаются здесь только для чтения.

Вся информация на сайте Ordo Deus находится в свободном доступе. Ordo Deus не предоставляет информацию на платной основе.

Все авторские права сохраняются за правообладателями. Если Вы являетесь автором данного документа и хотите дополнить его или изменить, уточнить реквизиты автора, опубликовать другие документы или возможно вы не желаете, чтобы какой-то из ваших материалов находился в библиотеке, пожалуйста, свяжитесь с нами по e-mail:
info @ ordodeus. ru
Формы для прямой связи с нами находятся в нижней части страниц: контакты и устав «Ordo Deus», для перехода на эти страницы воспользуйтесь кнопкой контакты вверху страницы или ссылкой в оглавлении сайта.

Вас категорически не устраивает перспектива безвозвратно исчезнуть из этого мира? Вы не желаете закончить свой жизненный путь в виде омерзительной гниющей органической массы пожираемой копошащимися в ней могильными червями? Вы желаете вернувшись в молодость прожить ещё одну жизнь? Начать всё заново? Исправить совершённые ошибки? Осуществить несбывшиеся мечты? Перейдите по ссылке: «главная страница».

© Ordo Deus, 2010. При копировании ссылка на сайт http://www.ordo-deus.ru обязательна.