Мезенхимома
Мезенхимома (mesenchymoma; мезенхима + -oma; синонимы: ангиофибролипома, рабдомиофиброангиолипома) — опухоль, состоящая из двух или более тканевых мезенхимальных компонентов, сочетающихся с фиброзной тканью. Термин введён в 1948 год Стаутом (А. P. Stout).
Мезенхимома располагается главным образом в толще мышц конечностей и шеи, реже в забрюшинной клетчатке. Встречается в любом возрасте, чаще у мужчин.
Возникновение Мезенхимома, по мнению некоторых патологоанатомов, происходит из плюрипотентных клеток мезенхимы, по мнению других — из метаплазированных её дериватов.
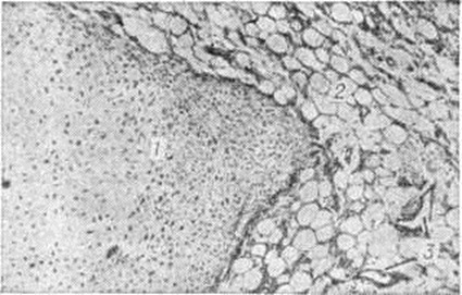
Макроскопически Мезенхимома, как правило, достигает больших размеров, имеет чаще серо-жёлтый цвет, плотноэластическую консистенцию. Микроскопически тканевые компоненты Мезенхимома могут соответствовать зрелым опухолям типа липомы (смотри полный свод знаний), миомы (смотри полный свод знаний), капиллярной ангиомы (смотри полный свод знаний) и другие, иногда могут быть близкими к миосаркоме (смотри полный свод знаний), липосаркоме (смотри полный свод знаний) и некоторым другим опухолям. Наряду с различными сочетаниями жирового, мышечного, хрящевого, костного и других компонентов ткани (рисунок) в Мезенхимома встречаются низкодифференцированные участки эмбрионального вида, построенные из полиморфных клеток овальной, веретенообразной и звездчатой формы, иногда с признаками липобластической дифференцировки, расположенных в миксоматозном основном веществе с небольшим количеством волокон и сосудов капиллярного типа.
Малигнизация Мезенхимома, по данным некоторых патологоанатомов, может наступать за счёт одного или нескольких тканевых компонентов. Метастазирование злокачественных Мезенхимома главным образом гематогенное.
Клинические, картина зависит от локализации опухоли и состава её тканевых компонентов.
Лечение оперативное. Прогноз чаще неблагоприятный, после операции возможны рецидивы.
|