Меланоз

Оглавление

  1. Дорога к бессмертию
  2. Бессмертие и религия
  3. Философия бессмертия
  4. Бессмертие и наука
  5. История анабиоза
  6. Смерть
  7. Кора головного мозга
  8. Бессмертие и анабиоз
  9. Анабиоз, медицина и биология
  10. Анабиоз и экономика
  11. Анабиоз и закон
  12. Анабиоз в Антарктиде
  13. Техническое обеспечение анабиоза
  14. Бессмертие и вера
  15. Библиотека Ordo Deus
  16. Контактная страница Ordo Deus

Меланоз

Меланоз (греческий melas, melanos чёрный, тёмный + -osis; синонимы меланопатия) — очаговое или диффузное накопление в органах или тканях пигмента меланина. Различают физиологический Меланоз, наблюдающийся в норме у некоторых рас, и патологический, который может быть врождённым и приобретённым. Патологический Меланоз может наблюдаться в органах, которые и в норме содержат меланин (например, кожа, глаза), а также в тканях, обычно лишённых включений меланина, например, в слизистой оболочке пищевода (цветной таблица, т. 15, рисунок 1), кишечника. К патологическому врождённому Меланоз относят пигментные пятна, пигментные невусы кожи и невусно-меланозные синдромы.

Образование скоплений меланоцитов в дерме и подслизистой основе, проникание меланина (смотри полный свод знаний) из базального слоя эпидермиса приводят к появлению пигментных пятен кожи и слизистых оболочек, например при синдроме Пейтца—Егерса (смотри полный свод знаний Пейтца—Егерса синдром), пигментной ксеродерме (смотри полный свод знаний Ксеродерма пигментная) и другие

К врождённому Меланоз относят гигантские пигментные невусы (смотри полный свод знаний Неву с), которые в связи с особенностями их локализации и вида различные авторы образно сравнивают, например, с купальником («bathing trunk»), жилеткой, воротником и другие У некоторых представителей азиатских народов, через 1—2 дня после рождения на коже возникают участки серо-синего или аспидного цвета— так называемый монгольские пятна, которые располагаются обычно в крестцовой области, на конечностях, реже на слизистых оболочках и к 3— 4 летнему возрасту, как правило, исчезают.

Нейродермальный и окулодермальный невусно-меланозные синдромы характеризуются накоплением меланина в коже, а также в других органах и тканях.

Нейродермальный Меланоз (синонимы: эксцессивный меланобластоз, врождённый нейрокутанный меланобластоз) описан в 1941 год Туреном (A. Touraine); он характеризуется избыточной пигментацией кожи, мягкой мозговой оболочки и мозга, наследуется по доминантному типу и нередко развивается сразу после рождения. При этом на коже могут быть гигантские невусы или множественные мелкие родимые пятна, в мягкой оболочке мозга происходит пролиферация невусных клеток с образованием меланина, в веществе мозга (в оливах, на основании мозга, в таламусе, гиппокампе и другие) имеются периваскулярные скопления меланофоров. На фоне нейродермального Меланоз может развиться злокачественная меланома (смотри полный свод знаний); описано сочетание нейродермального Меланоз с нейрофиброматозом (смотри полный свод знаний), мышечной атрофией, spina bifida (смотри полный свод знаний).

Окулодермальный Меланоз описан в 1938 год Отой и Ито (Меланоз Ota, Ito); он характеризуется пятнистым серовато-синим окрашиванием склер и кожи лица в области разветвления тройничного нерва. Пигментация может распространяться на кожу уха, носа, наружного слухового прохода, нижнечелюстной области, боковых поверхностей шеи, грудной клетки, на слизистую оболочку полости рта, носа, тимпанической полости, а также на конъюнктиву, роговицу, глазное дно, зрительный сосок, зрительный нерв. Окулодермальный синдром встречается чаще у рас, отличающихся пигментированным цветом кожи, преимущественно у женщин; существует с момента рождения или появляется в периоде полового созревания. На фоне окулодермального Меланоз могут возникать меланомы кожи и головного мозга.

Приобретённый патологический Меланоз обычно связан с нарушением функции желёз внутренней секреции (надпочечников, гипофиза и другие) вегетативной нервной системы и другие Диффузный Меланоз кожи и слизистых оболочек наблюдается при адренокортикальной недостаточности (смотри полный свод знаний Аддисонова болезнь), болезни Иценко—Кушинга (смотри полный свод знаний Иценко—Кушинга болезнь), акромегалии (смотри полный свод знаний), базедовизме, поражении гипоталамуса, при меланоме, в результате хронический интоксикации углеводородами, может появляться при беременности в виде хлоазмы (смотри полный свод знаний).

Встречается пигментация, вызванная интоксикацией, например, сальварсаном, висмутом, препаратами золота, серебра, свинца и другие; её относят к группе ложного Меланоз, или так называемый псевдомеланоза.

Меланоз кожи (синонимы меланодермия) характеризуется первичной диффузной гиперпигментацией кожи, обусловленной отложением меланина.

Выделяют следующие его разновидности: уремический Меланоз кожи, развивающийся при хронический почечной недостаточности; кахектический Меланоз кожи, наблюдающийся, например, при тяжёлых формах туберкулёза; эндокринный Меланоз кожи — при нарушениях функции гипофиза, надпочечников и другие; печёночный Меланоз кожи — при циррозах и других заболеваниях печени; токсический Меланоз кожи (мышьяковый) — при длительном приёме мышьяковистых препаратов; токсический ретикулярный — связанный с интоксикацией углеводородами и фотосенсибилизацией. Токсический ретикулярный Меланоз кожи подразделяют на меланоз Риля, токсический лихеноидный и буллезный Габерманна—Гоффманна, ретикулярную пойкилодермию Сиватта; многие авторы считают эти разновидности Меланоз лишь различными стадиями процесса. Выделяют также Меланоз ногтей — меланонихию, вызванную воздействием, например, дубильных веществ, кислот, а также наблюдающуюся при сахарном диабете, гипертиреозе, беременности и другие Иногда встречается врождённый Меланоз ногтей.

При токсическом ретикулярном Меланоз кожи наибольшее этиологического значение имеют воздействия углеводородов, преимущественно нафтеновых, реже каменноугольных (машинные масла, бензин, керосин, толуол, смолы и другие). В патогенезе Меланоз кожи важную роль играют нарушения функции эндокринных желёз, вегетативные неврозы, неполноценное питание, гиповитаминозы (преимущественно С и группы В), повышенная фоточувствительность.

Токсический ретикулярный Меланоз кожи развивается постепенно: в начале заболевания появляется умеренное покраснение открытых участков кожи (лица, шеи, предплечий), иногда сопровождающееся ощущением жжения, жара или зуда. В дальнейшем появляется гиперпигментация кожи серовато-бурого (аспидного) цвета, вначале сетчатая, а затем диффузная, распространяющаяся и на закрытые участки кожи (плечи, подмышечные впадины, бедра, туловище). Постепенно в зонах поражения появляются фолликулярный гиперкератоз (особенно выраженный на сгибательной поверхности предплечий), участки псевдоатрофии кожи (тонкая складчатость, напоминающая мятую папиросную бумагу), умеренное шелушение, телеангиэктазии. Общими клинические, проявлениями Меланоз кожи могут быть слабость, разбитость, лёгкая утомляемость, потеря аппетита, головокружение, головные боли, брадикардия, гипотензия, потеря веса и другие

Лечение — общеукрепляющее и стимулирующее — проводят витаминами С и комплекса В, преднизолоном, дексаметазоном, триамсиналоном, урбазоном, полькортолоном и другие. Наружно применяют кремы «Мелан», «Ахромин», белую ртутную или салициловую мази. Прогноз благоприятный. Профилактика токсического ретикулярного Меланоз кожи заключается в соблюдении санитарно-гигиенических норм и техники безопасности при работе с углеводородами.

Предраковый меланоз Дюбрея впервые описан в 1890 год Дж. Гетчинсоном. Этиология и патогенез неизвестны. Чаще болеют женщины в возрасте свыше 50 лет.

В начале заболевания на коже чаще всего лица, а также груди, кистей рук, на слизистой оболочке полости рта появляется маленькое неправильной формы коричневое пигментное пятно. Сформировавшийся очаг имеет вид пятна размерами от 2 до 6 сантиметров в диаметре с нечёткими неровными контурами и неравномерно окрашенной поверхностью, с участками коричневого, серого, чёрного, синеватого цвета. Кожный рисунок над поражёнными участками обычно более грубый, эластичность очага понижена.

Гистологически многослойный плоский эпителий утолщён за счёт акантотических разрастаний, в базальном слое располагаются одиночно или группами крупные меланоциты с вакуолизированными ядрами, широкой зоной цитоплазмы, с большим количеством гранул меланина. В дерме отмечается умеренно выраженная лимфоплазмоцитарная инфильтрация.

Дифференциальный диагноз обычно проводят со старческой кератомой (смотри полный свод знаний Кератома старческая) и пигментированной базалиомой (смотри полный свод знаний).



Информация об Ordo Deus Перейти в оглавление сайта

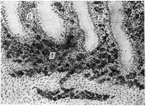
Рис
Микропрепарат слизистой оболочки толстой кишки при меланозе: 1 — скопления макрофагов, содержащих в цитоплазме включения меланина; 2 — кишечные ворсины.





Информация об Ordo Deus Перейти в оглавление сайта

Рис
Макропрепарат части глотки и пищевода при меланозе (просвет глотки и пищевода вскрыт): интенсивные диффузные (1) и очаговые (2) отложения пигмента в слизистой оболочке глотки и пищевода.



Лечение оперативное. Однако при локализации очагов поражения на лице иногда с косметической целью применяют близкофокусную рентгенотерапию (смотри полный свод знаний) и криодеструкцию (смотри полный свод знаний Криохирургия). Прогноз благоприятный при своевременном лечении. В других случаях многие авторы отмечают малигнизацию с развитием примерно в 40% случаев злокачественной меланомы.

Меланоз кишечника — отложение коричневого пигмента в слизистой оболочке кишечника. Впервые описан в 1829 год Ж. Крювелье. Чаще возникает в пожилом возрасте, преимущественно у женщин, при хронический заболеваниях, сопровождающихся запорами. Тяжёлые формы Меланоз кишечника встречаются, по данным некоторых авторов, в 1—3 случаях на 1000 вскрытий. Особенно резко Меланоз кишечника может быть выражен при заболеваниях печени и поджелудочной железы, при раке толстой кишки — в участках её стенки, расположенных проксимальнее опухоли. В некоторых случаях отмечается Меланоз всех отделов толстой кишки, особенно слепой, восходящей и поперечной ободочной кишки, червеобразного отростка. Иногда встречается Меланоз подвздошной кишки и брыжеечных лимфатических, узлов; может встретиться изолированный Меланоз червеобразного отростка.

Макроскопически при Меланоз кишечника наблюдается очаговое или диффузное окрашивание слизистой оболочки толстой кишки в коричневый, а в части случаев в чёрный цвет. При этом групповые (пейеровы бляшки) и солитарные лимф, фолликулы кишечника сохраняют обычную окраску.

Микроскопически в цитоплазме крупных одноядерных макрофагов собственного слоя слизистой оболочки обнаруживают включения меланина (рисунок) светло-жёлтого, коричневого и чёрного цвета, а также липидов и мукополисахаридов. Образование включений меланина, по данным некоторых авторов, связано с гиперпластическими изменениями в энтеро-хромаффинном аппарате толстой кишки. Включения меланина резко аргентофильны, не содержат железа, дают положительные реакции — Шморля и диазониевую, характеризуются повышением активности кислой фосфатазы.

Электронномикроскопически в цитоплазме макрофагов, помимо пигментных гранул, обнаруживают миелиноподобные структуры и лизосомальные плотные тельца. В результате разрушения макрофагов появляются внеклеточные отложения пигмента.

В начальной стадии и при лёгкой степени тяжести Меланоз кишечника макрофаги располагаются главным образом у основания кишечных крипт, при поражении средней степени тяжести — в кишечных ворсинах слизистой оболочки, при тяжёлом поражении— в подслизистой основе и мышечной оболочке кишечника, в брыжеечных лимф, узлах. В слизистой оболочке толстой кишки отмечают гиперпластические изменения с признаками гиперсекреции, а также отёк и плазмоклеточную инфильтрацию её собственного слоя.

Клинические, картина, как правило, обусловлена симптомами основного заболевания.

Диагноз устанавливают при эндоскопическом исследовании.

Лечение симптоматическое.

Прогноз благоприятный.

Смотри полный свод знаний Пигментация.

Антоньев А.А.; Дерижанова И.С.; Паргаикова С.М.

⇐ Перейти на главную страницу сайта

⇑ Вернуться в начало страницы ⇑

Библиотека Ordo Deus ⇒

⇐ Меккеля дивертикул

⇓ Полный свод знаний. Том первый А. ⇓

Меланома ⇒

Все статьи в полном изложении, Вы можете найти в большой медицинской энциклопедии — Главный редактор: академик АН СССР (РАН) и АМН СССР (РАМН) Б.В. Петровский. — Москва издательство «Советская энциклопедия» 1989г.

Внимание! Вы находитесь в библиотеке «Ordo Deus». Все книги в электронном варианте, содержащиеся в библиотеке «Ordo Deus», принадлежат их законным владельцам (авторам, переводчикам, издательствам). Все книги и статьи взяты из открытых источников и размещаются здесь только для чтения.

Вся информация на сайте Ordo Deus находится в свободном доступе. Ordo Deus не предоставляет информацию на платной основе.

Все авторские права сохраняются за правообладателями. Если Вы являетесь автором данного документа и хотите дополнить его или изменить, уточнить реквизиты автора, опубликовать другие документы или возможно вы не желаете, чтобы какой-то из ваших материалов находился в библиотеке, пожалуйста, свяжитесь с нами по e-mail:
info @ ordodeus. ru
Формы для прямой связи с нами находятся в нижней части страниц: контакты и устав «Ordo Deus», для перехода на эти страницы воспользуйтесь кнопкой контакты вверху страницы или ссылкой в оглавлении сайта.

Вас категорически не устраивает перспектива безвозвратно исчезнуть из этого мира? Вы не желаете закончить свой жизненный путь в виде омерзительной гниющей органической массы пожираемой копошащимися в ней могильными червями? Вы желаете вернувшись в молодость прожить ещё одну жизнь? Начать всё заново? Исправить совершённые ошибки? Осуществить несбывшиеся мечты? Перейдите по ссылке: «главная страница».

© Ordo Deus, 2010. При копировании ссылка на сайт http://www.ordo-deus.ru обязательна.