Лимфогранулематоз паховый

Оглавление

  1. Дорога к бессмертию
  2. Бессмертие и религия
  3. Философия бессмертия
  4. Бессмертие и наука
  5. История анабиоза
  6. Смерть
  7. Кора головного мозга
  8. Бессмертие и анабиоз
  9. Анабиоз, медицина и биология
  10. Анабиоз и экономика
  11. Анабиоз и закон
  12. Анабиоз в Антарктиде
  13. Техническое обеспечение анабиоза
  14. Бессмертие и вера
  15. Библиотека Ordo Deus
  16. Контактная страница Ordo Deus

Лимфогранулематоз паховый

Лимфогранулематоз паховый (lymphogranulomatosis inguinalis; латинское lymphogranuloma, lymphogranulomat[is] + -osis; синонимы: венерическая лимфопатия, четвертая венерическая болезнь, болезнь Никола—Фавра, лимфогранулема паховая, подострый паховый пораденит, паховый гнойный микропораденит) — венерическая болезнь, встречающаяся главным образом в странах с тропическим и субтропическим климатом. Ряд исследователей предложил называть заболевание «венерическая лимфопатия», чтобы исключить термин «гранулема» или «лимфогранулема», из-за которого данную нозологический форму можно спутать с другими заболеваниями, в частности с венерической гранулемой (смотри полный свод знаний Гранулема венерическая).

Заболевание впервые было описано в 1912 год Ростом (G. A. Rost), а как самостоятельная нозологический форма выделена в 1913 год Дюраном, Никола и Фавром (J. Durand, J. Nicolas, М. Favre). В 1923 год Гамна (С. Gamna) открыл цитоплазматические включения в инфицированной клетке, морфологический структура которых была описана позднее Финдли (G. М. Findlay, 1933) и Миягавой (Y. Miyagawa) с сотрудники (1935). В 1930 год Хеллерстрем и Вассен (S. С. A. Hellerstrom, Е. Wassen) установили фильтруемость возбудителя.

Заражение происходит обычно половым путём и значительно реже бытовым; описаны единичные случаи профессионального заражения, в частности хирургов.

Этиология. Возбудитель Лимфогранулематоз паховый определяется как гальпровия или хламидия; синонимы: миягаванелла, бедсония. Он является представителем близкородственной бактериям группы микроорганизмов, ранее рассматриваемой в качестве группы крупных вирусов пситтакоза — венерической лимфогранулемы — трахомы (ПЛТ), отнесённой в системе микромира к самостоятельному порядку Halprowiales (А. А. Шаткин, 1965) или Chlamydiales [Пейдж (L. A. Page), 1966]. Этот порядок объединяет грамотрицательные облигатные паразиты эукариоцитов прокариотной природы.

Возбудитель Лимфогранулематоз паховый обладает сходными с грамотрицательными бактериями структурными и химический свойствами и сложным циклом внутриклеточного развития. Инфекционной формой является округлое элементарное тельце диаметром 0,25—0,3 микрометров, ограниченное клеточной стенкой и цитоплазматической мембраной и содержащее электронно-плотный нуклеоид и рибосомы. Элементарное тельце проникает в цитоплазму клетки в фагоцитарной вакуоле, в которой и происходят последовательные этапы размножения микроорганизма с образованием неинфекционных вегетативных форм — так называемый инициальных (ретикулярных) и промежуточных телец и преобразованием последних в новое поколение инфекционных элементарных телец. Размножающиеся внутри вакуоли возбудители Лимфогранулематоз паховый образуют цитоплазматические включения (рисунок 1 и 2). Цикл развития протекает в течение 48 часов Элементарные тельца окрашиваются по методу Романовского—Гимзы и Маккиавелло в пурпурный цвет, вегетативные формы — в голубой. Все формы содержат ДНК и РНК.

Возбудитель Лимфогранулематоз паховый культивируется в культурах клеток позвоночных, в эпителиальных клетках оболочек желточных мешков развивающихся куриных эмбрионов, в макрофагах, в организме белых мышей при внутримозговом и интраназальном заражении. Обладает патогенностью для морских свинок, обезьян, кошек, собак. Характерно и бессимптомное носительство. Высокочувствителен к высыханию, воздействию УФ-лучей, термолабилен. Инактивируется при t ° 50 ° через 30 минут 0,1% раствором формалина или 0,5% раствором фенола — через 24 часа, эфиром и этанолом— через 30 минут при t ° 18 ° . Длительно сохраняется при t ° —70 ° и после лиофилизации. Размножение подавляется антибиотиками (наиболее эффективны тетрациклины, макролиды) и сульфаниламидами. Микроорганизм содержит группоспецифический для гальпровий (хламидий) липогликопротеиновый антиген, выявляемый в РСК и других серологический реакциях, видо-специфический антиген белковой природы и токсический фактор. Среди циркулирующих в природе штаммов возбудителя Лимфогранулематоз паховый определено 3 серологический варианта. Дифференциация и идентификация осуществляется по биологический характеристикам.

Патогистология. Гистологический картина зависит от периода и клиники заболевания. Первичное поражение — внутри или субэпидермальный пузырёк. Клеточный инфильтрат скапливается в поверхностных слоях кожи, состоит из макрофагов, лимфоцитов с примесью полиморфно-ядерных лейкоцитов.

По мере образования эрозии (смотри полный свод знаний), а затем распадающейся язвы (смотри полный свод знаний) в центре инфильтрата возникает некроз, скопление лимфоцитов и полиморфно-ядерных лейкоцитов с эпителиоидными клетками по периферии. Позже появляются гигантские клетки, склонные к очаговому скоплению по типу инфекционные гранулемы (смотри полный свод знаний).



Информация об Ordo Deus Перейти в оглавление сайта

Рис. 1.
Инфицированная клетка (слева) с цитоплазматическим включением (указано стрелкой), содержащим возбудителя пахового лимфогранулематоза (в световом микроскопе). Окраска по Романовскому — Гимзе; × 2000.





Информация об Ordo Deus Перейти в оглавление сайта

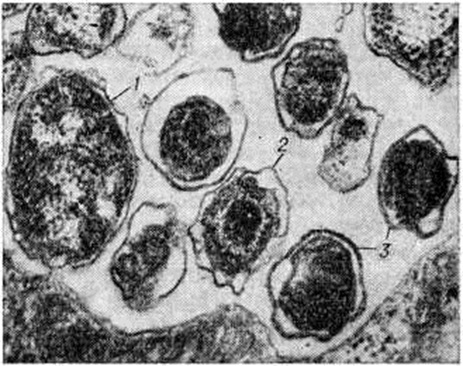
Рис. 2.
Электронограмма морфологических структур возбудителя пахового лимфогранулематоза в цитоплазматическом включении: 1 — инициальное, 2 — промежуточное, 3 — элементарные тельца; × 90 000.



Характерны изменения лимфатических, узлов. Макроскопически они красного с сероватым оттенком цвета, спаяны между собой, на разрезе — мелкие абсцессы, очажки некроза с типичным лучеобразным очертанием. Микроскопическая картина соответствует подострому или хронический лимфадениту со значительным разрушением структуры лимфатических, узлов. В тканях вокруг поражённых лимфатических, узлов — гиалинизация сосудов, множественные тромбы, гиперплазия эндотелия, периваскулярный инфильтрат. При формировании генитоаноректального синдрома характерно развитие грануляционной ткани с инфильтрацией макрофагами, плазматическими клетками, полиморфно-ядерными лейкоцитами.



Информация об Ordo Deus Перейти в оглавление сайта

Рис. 3.
Язва на крайней плоти полового члена при паховом лимфогранулематозе.



Клиническая картина. Инкубационный период 1½ — 2 недели. В типичных случаях заболевания различают три последовательных периода. Первичный (лимфогранулематозный шанкр): на месте внедрения возбудителя, то есть в области половых органов (возможно экстрагенитальное поражение — губы, полость рта, язык и другие), возникает единичный пузырёк (реже папула), быстро трансформирующийся в эрозию, а затем в язву диаметром до 1—3 см неправильных округлых или овальных очертаний, неглубокую, с неровным дном (рисунок 3), покрытую гноем серовато-тусклого, иногда желтовато-зеленоватого оттенка. Типично наличие островоспалительного ободка и отсутствие характерного для твёрдого шанкра (смотри полный свод знаний Сифилис) уплотнения в основании. Обычно через 7—9 дней на фоне намечающейся тенденции язвы к самопроизвольному заживлению наблюдается постепенное увеличение, уплотнение и болезненность регионарных лимфатических, узлов (у мужчин чаще паховых, у женщин — малого таза).

Спустя 1½—2 месяцев после заражения в результате генерализации процесса наступает вторичный период: лимфатических, узлы увеличиваются ещё больше, уплотняются и в результате распространения воспалительного инфильтрата (периаденита) сливаются между собой в массивный с бугристой поверхностью болезненный при пальпации конгломерат. В дальнейшем в толще конгломерата развиваются многочисленные очаги размягчения, свищи и фистулы, из которых выделяется гной, иногда с примесью крови. При торпидном течении процесса выражены склеротические изменения поражённых тканей, формирование спаек и рубцов, что приводит к лимфостазу (смотри полный свод знаний) и Отёкам в области половых органов.

Во вторичном периоде Лимфогранулематоз паховый, кроме поражения регионарных лимфатических, узлов, в патологический процесс могут быть вовлечены глубокие лимфатических, узлы малого таза, возможно метастазирование инфекции из области гениталий в отдаленные от первичного очага поражения участки (метастатические бубоны верхних конечностей), поражение внутренних органов, суставов, вен (флебит бедренных вен), а также эпидидимит, аднексит, ирит, конъюнктивит, кератит и даже менингит. Описаны случаи появления на коже больных Лимфогранулематоз паховый высыпаний аллергического характера, напоминающих крапивницу, узловатую или многоформную экссудативную эритему, сыпь при скарлатине.

Третичный период заболевания обычно проявляется через 1½— 2 года (иногда несколько позже) и выражается главным образом в развитии так называемый генитоаноректального синдрома — тяжёлого фистулезно-спаечного процесса, развивающегося в результате распространения воспалительного процесса на промежность и перианальную область с развитием проктита (смотри полный свод знаний) и парапроктита (смотри полный свод знаний). Наиболее ранний признак генитоаноректального синдрома — тянущие боли в области промежности, скудные сукровично-гнойные выделения из ануса. При ректороманоскопии — отёк и гиперемия, особенно нижнего отдела прямой кишки, эрозии с сукровично-гнойным отделяемым, кровоточивость и болезненность при малейшем растяжении слизистой оболочки. Рубцово-склеротические изменения в прямой кишке приводят к развитию стриктур, охватывающих обычно кольцевидно прямую кишку, что может привести к почти полному закрытию просвета кишки.

Проктит и парапроктит могут сопровождаться абсцедированием с последующим изъязвлением, образованием свищей в области заднего прохода, промежности, половых органов и другие. У женщин язвенный распад и последующее рубцевание очагов поражения нередко приводят к стриктурам влагалища, особенно в области входа, значительным деформациям малых и больших половых губ, клитора.

В третичном, реже во вторичном, периоде заболевания возможны общие явления: слабость, потеря аппетита, головные боли, похудание, а также боли в суставах (поздний лимфогранулематозный полиартрит), ускорение РОЭ, лейкоцитоз анемия.

Диагноз ставится на основании клинические, данных, характерных для каждого периода заболевания. Кроме того, диагноз Лимфогранулематоз паховый может быть подтверждён лабораторный данными: обнаружение возбудителя в мазках-отпечатках содержимого бубонов, выделение его при посевах в развивающихся куриных эмбрионах и культурах клеток, выявление группоспецифических комплементсвязывающих и типоспецифических флюоресцирующих антител, гиперчувствительности замедленного типа с помощью внутрикожной пробы (реакция Фрея). Аллерген для реакции Фрея готовят из гноя бубонов или из желточных культур возбудителя Лимфогранулематоз паховый, очищенных дифференциальным центрифугированием. По 0,1 миллилитров специфического и контрольного (не содержащего возбудителя Лимфогранулематоз паховый) антигенов внутрикожно вводят в сгибательные поверхности предплечий. Результат учитывают через 48 часов Реакцию оценивают как положительную при появлении папулы или уплотнения диаметром 5 миллиметров и более и при отсутствии уплотнения в месте введения контрольного антигена. Размер окружающей эритемы не учитывают. РСК и реакция Фрея при Лимфогранулематоз паховый подтверждает клинические, диагноз до 75% случаев. Формоловая реакция Гате—Папакостаса, ранее применявшаяся для подтверждения клинические, диагноза, не обладает специфичностью. Комплексная лабораторный диагностика позволяет выявить и латентные формы инфекции.

Дифференциальный диагноз проводят с сифилисом (смотри полный свод знаний), мягким шанкром (смотри полный свод знаний), лимфоретикулезом, так называемый болезнью кошачьих царапин (смотри полный свод знаний Фелиноз).

Лечение. Применяют сульфаниламиды (норсульфазол, сульфадимезин и другие) по 1,5 грамм 3 раза в день в течение 2 недель, а затем по 1,0 грамм 3 раза в день в течение 3 недель Курс лечения — 5 недель. При наличии глубоких фиброзных изменений, и в частности стриктур, через 2 недель показано назначение повторного курса лечения. Эффективны антибиотики тетрациклинового ряда (тетрациклин, окситетрациклин), а также эритромицин, олеандомицин и левомицетин. При присоединении вторичной стафилококковой инфекции показаны антибиотики пенициллиновой группы, устойчивые к пенициллазе (оксациллин, метициллин). Если имеются свищи, уродующие рубцы, стриктуры, показано применение алоэ, стекловидного тела, лидазы, бужирование уретры, при отсутствии эффекта — оперативное вмешательство.

Прогноз в отношении жизни обычно благоприятный. Заболевание оставляет стойкий иммунитет и достоверных случаев повторного заражения не описано. В запущенных случаях возможны вторичная анемия, истощение, сепсис с летальным исходом.

Профилактика: раннее выявление и санация источников заражения, контроль за полнотой и качеством лечения; лицам, имевшим половой контакт с больным Лимфогранулематоз паховый, с превентивной целью может быть проведена антибиотикотерапия (тетрациклин в течение 2 недель).

Бабаянц P.С.; Шаткин А.А.

⇐ Перейти на главную страницу сайта

⇑ Вернуться в начало страницы ⇑

Библиотека Ordo Deus ⇒

⇐ Лимфогранулематоз

⇓ Полный свод знаний. Том первый А. ⇓

Лимфома ⇒

Все статьи в полном изложении, Вы можете найти в большой медицинской энциклопедии — Главный редактор: академик АН СССР (РАН) и АМН СССР (РАМН) Б.В. Петровский. — Москва издательство «Советская энциклопедия» 1989г.

Внимание! Вы находитесь в библиотеке «Ordo Deus». Все книги в электронном варианте, содержащиеся в библиотеке «Ordo Deus», принадлежат их законным владельцам (авторам, переводчикам, издательствам). Все книги и статьи взяты из открытых источников и размещаются здесь только для чтения.

Вся информация на сайте Ordo Deus находится в свободном доступе. Ordo Deus не предоставляет информацию на платной основе.

Все авторские права сохраняются за правообладателями. Если Вы являетесь автором данного документа и хотите дополнить его или изменить, уточнить реквизиты автора, опубликовать другие документы или возможно вы не желаете, чтобы какой-то из ваших материалов находился в библиотеке, пожалуйста, свяжитесь с нами по e-mail:
info @ ordodeus. ru
Формы для прямой связи с нами находятся в нижней части страниц: контакты и устав «Ordo Deus», для перехода на эти страницы воспользуйтесь кнопкой контакты вверху страницы или ссылкой в оглавлении сайта.

Вас категорически не устраивает перспектива безвозвратно исчезнуть из этого мира? Вы не желаете закончить свой жизненный путь в виде омерзительной гниющей органической массы пожираемой копошащимися в ней могильными червями? Вы желаете вернувшись в молодость прожить ещё одну жизнь? Начать всё заново? Исправить совершённые ошибки? Осуществить несбывшиеся мечты? Перейдите по ссылке: «главная страница».

© Ordo Deus, 2010. При копировании ссылка на сайт http://www.ordo-deus.ru обязательна.