Лимфоэпителиома
Лимфоэпителиома (lymphoepithelioma; латинское lympha чистая вода, влага + эпителиома; синонимы: опухоль Шминке, синцитиальная карцинома, переходно-клеточный рак) — злокачественная опухоль глотки, разновидность плоскоклеточного рака. Впервые Лимфоэпителиома описана в 1921 год Шминке (A. Schmincke) в Германии, Ревершоном и Кутаром (L. Reverchon, Н. Coutard) во Франции. Одни авторы относят Лимфоэпителиома к опухолям кроветворной ткани, другие — рассматривают её как анаплазированный рак, третьи — как переходно-клеточный рак. Распространённый термин «лимфоэпителиома» не отражает сущности патологический процесса, так как даёт ошибочное представление о возникновении опухоли из лимфоидной и эпителиальной ткани.
Как правило, Лимфоэпителиома возникает в ротовой и носовой частях глотки, богатых лимфоидной тканью. Она встречается чаще в возрасте 30—40 лет, но может быть и у детей.
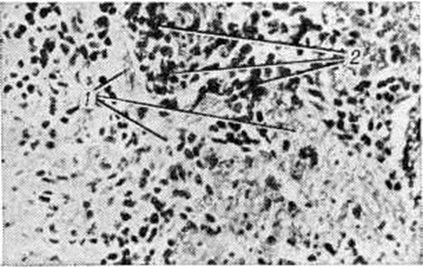
Макроскопически Лимфоэпителиома имеет форму узла или крупнобугристого образования плотноэластической консистенции покрытого первоначально неизменённой слизистой оболочкой, бледно-серого цвета на разрезе. Микроскопически Лимфоэпителиома построена из крупных пластинчатых клеток, лежащих разрозненно или образующих компактные гнезда и рыхло связанные тяжи (рисунок, 1). Опухолевые клетки имеют различную форму, контуры их неотчётливы; цитоплазма бледная, иногда отростчатая; ядра крупные, светлые, обычно округлой или овальной формы, с фуксинофильными ядрышками. В ткани Лимфоэпителиома иногда встречаются очаги плоскоклеточной дифференциации вплоть до ороговения отдельных клеток и образования так называемый раковых жемчужин. Строма опухоли состоит из нежно-волокнистой соединительной ткани, инфильтрированной лимфоидными клетками (рисунок, 2) и пронизанной многочисленными капиллярами. Выделяют так называемый тип Шминке, характеризующийся ретикулярным расположением эпителиальных и обилием лимфоидных клеток, и тип Рего с компактным размещением эпителиальных клеток и небольшим количеством лимфоцитов в виде отдельных очагов. Клинические, течение Лимфоэпителиома обусловлено инфильтративным характером роста опухоли, склонностью к раннему метастазированию в глубокие лимфатических, узлы шеи и быстрой генерализацией процесса. Особенности клинические, симптоматики зависят от локализации и распространённости Лимфоэпителиома (например, начальный симптом Лимфоэпителиома в носовой части глотки — затруднённое носовое дыхание; при поражении трубной миндалины — понижение слуха; при Лимфоэпителиома задней поверхности мягкого неба — затруднённое глотание и изменение тембра голоса). С помощью обычной задней риноскопии или фиброриноскопии чаще на боковой стенке носовой части глотки или в её своде определяется крупнобугристое образование плотноэластической консистенции (в отличие от мягких аденоидных разрастаний). По мере роста опухоль выпячивает мягкое небо, может распространяться в полость носа, околоносовые пазухи и глазницу. Иногда Лимфоэпителиома прорастает кости основания черепа и инфильтрирует среднюю черепную ямку, поражая при этом многие черепные нервы.
При локализации опухоли в области ротовой части глотки, главным образом нёбных миндалин, первыми симптомами являются ощущение инородного тела и небольшая боль при глотании. Нёбная миндалина увеличена в размерах, уплотнена; слизистая оболочка растянута и гиперемирована, устья лакун почти не видны. Прорастание Лимфоэпителиома в ткани глотки и корень языка сопровождается изъязвлением. При этом усиливается боль, появляется слюнотечение, гнилостный запах изо рта, затрудняется жевание, дыхание и нарастает истощение. По данным различных авторов, метастазы Лимфоэпителиома в регионарные лимфатических, узлы (чаще верхние отделы шеи) наблюдаются в 80—95% случаев; в 20—25% случаев увеличение лимфатических, узлов шеи является первым симптомом Лимфоэпителиома, и рост метастазов в последующем может значительно опережать развитие первичной опухоли. Двусторонняя локализация метастазов под верхнюю треть грудино-ключично-сосцевидной мышцы характерна для Лимфоэпителиома носовой части глотки; расположение метастатических узлов позади и ниже угла нижней челюсти — для Лимфоэпителиома ротовой части глотки. Отдалённые метастазы развиваются рано, обнаруживаются в лимфатических, узлах различных областей, в лёгких, печени, желудочно-кишечные тракте.
|