Лимфангиома
Лимфангиома (lymphangioma; латинское lympha чистая вода, влага + греческий angeion сосуд + -oma) — доброкачественная опухоль, развивающаяся из лимфатических сосудов. В большинстве случаев Лимфангиом обнаруживается у детей в первый год жизни, но может встречаться в любом возрасте. По мнению многих авторов, она занимает промежуточное положение между опухолью и пороком развития. Лимфангиом обладает ограниченным ростом, не подвергается малигнизации.
Преимущественная локализация Лимфангиом — кожа, подкожная клетчатка. В отдельных случаях Лимфангиом может развиться в тканях языка, печени, селезёнки, почек, а также в клетчатке средостения и забрюшинного пространства.
По строению Лимфангиом делят на капиллярные, кавернозные и кистозные.
Капиллярная Лимфангиом чаще располагается на лице (верхняя губа и щеки). Внешне она представляет собой припухлость, покрытую неизменённой кожей; граница Лимфангиом трудно определима, консистенция более эластичная, чем окружающая клетчатка. В диаметре капиллярная Лимфангиом редко превышает 2—3 сантиметров
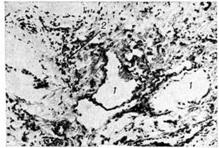
При микроскопическом исследовании капиллярная Лимфангиом представляет собой сеть расширенных и извитых лимфатических, капилляров, выстланных эндотелием (рисунок). Строма опухоли состоит из фиброзной ткани, которая иногда содержит скопления лимфоидных клеток.
Кавернозная (пещеристая) Лимфангиом имеет вид мягких на ощупь опухолевых узлов, покрытых неизменённой кожей и вызывающих резкую деформацию поражённых участков. В отдельных случаях Лимфангиом прорастает кожу, образуя на её поверхности тонкостенные пузырьки диаметром до 0,5 сантиметров, наполненные лимфой. На лице кавернозная Лимфангиом поражает щеки и околоушную область; на туловище она располагается в подкожной клетчатке, преимущественно боковой и переднебоковой поверхности грудной клетки. На верхних и нижних конечностях кавернозная Лимфангиом имеет тенденцию к росту, направленному по длине конечности. Микроскопически кавернозная Лимфангиом состоит из мелких полостей, сообщающихся между собой и выстланных эндотелием; встречаются и отдельные крупные полости, в которых обнаруживается белковая масса с единичными форменными элементами крови. Прослойки соединительной ткани, составляя как бы каркас опухоли, располагаются между полостями и почти всегда содержат отдельные очаги инфильтрации лимфоидными клетками. Кистозная Лимфангиом, по данным различных авторов, составляет 60% всех Лимфангиом и встречается преимущественно в местах расположения лимфатических, узлов. Более чем в половине случаев кистозная Лимфангиом располагается в области внутренних и наружных треугольников шеи. Второй по частоте поражения является подмышечная область. Кистозная Лимфангиом представляет собой мягкое полусферическое безболезненное образование больших размеров, как правило, не спаянное с кожей. Окраска кожи над опухолью обычно не изменена и лишь в отдельных случаях слегка синюшна. Кистозная Лимфангиом состоит иногда из одной, чаще из нескольких сообщающихся или изолированных крупных полостей. Внутренняя их поверхность выстлана эндотелием, просвет заполнен молочного вида содержимым или прозрачной серозной жидкостью с примесью детрита. В стенках полостей, толщина которых в отдельных случаях доходит до 1—3 миллиметров, встречаются остатки жировой и гладкомышечной ткани с очагами инфильтрации лимфоидными клетками, а также кровеносные сосуды и нервы. При пункции и удалении содержимого опухоль уменьшается в объёме, однако в дальнейшем вновь приобретает прежнюю форму и размеры за счёт накопления жидкости.
При воспалении пальпация опухоли болезненна; в отдельных случаях возможно нагноение кистозных полостей.
Быстрое увеличение в размерах кистозной Лимфангиом, особенно при расположении на шее и в средостении, у новорождённых детей приводит к резкому затруднению дыхания и глотания. Диагноз кистозной Лимфангиом в типичных случаях не вызывает затруднений. При дифференциальном диагнозе с другими мягкотканными опухолями производят её пункцию. При расположении Лимфангиом в средостении, забрюшинном пространстве и в подкожной клетчатке применяют рентгенологическое исследование: опухоль имеет неправильную, так называемый облаковидную форму, чёткие контуры и неоднородную структуру; составляющие её полости сообщаются между собой каналами различного калибра.
|