Оглавление
-
Дорога к бессмертию
-
Бессмертие и религия
-
Философия бессмертия
-
Бессмертие и наука
-
История анабиоза
-
Смерть
-
Кора головного мозга
-
Бессмертие и анабиоз
-
Анабиоз, медицина и биология
-
Анабиоз и экономика
-
Анабиоз и закон
-
Анабиоз в Антарктиде
-
Техническое обеспечение анабиоза
-
Бессмертие и вера
-
Библиотека Ordo Deus
-
Контактная страница Ordo Deus
|
Леттерера — Сиве болезнь
Леттерера — Сиве болезнь (Е. Letterer, немецкий патолог, родился в 1895 год; S. A. Siwe, шведский педиатр, родился в 1897 год; синонимы: острый системный прогрессирующий гистиоцитоз, детская форма злокачественного гистиоцитоза) — заболевание, характеризующееся образованием очагов разрастания атипических гистиоцитов в коже, костях, внутренних органах. Леттерера — Сиве болезнь является одной из форм гистиоцитоза X.
Впервые клиника заболевания была описана Леттерером в 1924 год, а в 1933 год Сиве высказал мысль о принадлежности этого заболевания к ретикулоэндотелиозам с нарушением обмена веществ. Чаще болеют дети раннего возраста.
Этиология заболевания неясна. Ряд учёных является сторонниками его опухолевой природы, другие придают большое значение в развитии болезни вирусной инфекции. Описаны случаи, завершающиеся моноцитарной лейкемией, так называемый ксантолейкозом (по классификации ВОЗ 1976 год — злокачественным гистиоцитозом-ретикулезом).
Патогенез. В основе патогенеза Леттерера — Сиве болезнь лежит пролиферация гистиоцитов (смотри полный свод знаний), которые получили название «атипичные» благодаря ряду особенностей морфологии и клеточного обмена, в частности накоплению в них больших количеств сложных липидов типа холестерина. В атипичных гистиоцитах найдены ультраструктурные маркеры — паракристаллические тельца X. Эти тельца, называемые также чётковидными структурами, описанные Бассе и Незелофом (F. Basset, С. Nezelof) в 1965 год, по своему ультратонкому строению напоминают миелин нервной ткани.
Патологическая анатомия. Характерным для заболевания являются разрастания атипичных гистиоцитов, которые локализуются в коже, лимфатических, узлах, селезёнке, костном мозге, вил очковой железе, печени, лёгких.
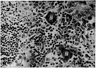
Отмечается умеренное увеличение всех групп лимфатических, узлов. Размеры и вес селезёнки и печени в большинстве случаев увеличены в 2—3 раза, отмечаются дистрофические изменения паренхиматозных органов. Иногда наблюдаются узловатые опухолевые разрастания в плоских костях (костях черепа, таза, в рёбрах и другие), вилочковой железе, серозных и слизистых оболочках. В зонах разрастания гистиоцитов нередко встречаются участки кровоизлияний и некроза, вследствие чего ткань на разрезе может иметь пёстрый вид. Атипичные гистиоциты — клетки средних размеров, имеют овальное или неправильной формы ядро с базофильным нечётко очерченным ядрышком, слабобазофильную цитоплазму, которая часто содержит фагоцитированные включения. В местах скопления атипичных гистиоцитов (рисунок 1) могут обнаруживаться многоядерные гигантские клетки (смотри полный свод знаний), лимфоциты (смотри полный свод знаний), плазматические клетки (смотри полный свод знаний), эозинофилы. Иногда выявляются скопления ксантомных клеток, появляющихся в результате отложения в цитоплазме атипичных гистиоцитов нейтральных жиров и холестерина. В окружности очагов некроза встречаются скопления сегментоядерных лейкоцитов. Возможно развитие тяжей фиброзной ткани.
При микроскопическом исследовании в коже обнаруживают обширные гистиоцитарные пролифераты в поверхностной части дермы, иногда с проникновением клеток в эпидермис, частичную атрофию и отслойку эпидермиса. Различного объёма гнездные скопления атипичных гистиоцитов, как правило, выявляются в ткани и просветах синусов лимфатических, узлов, в селезёнке, вилочковой железе. В печени инфильтраты располагаются по ходу портальных трактов, нередко отмечается развитие фиброза, застой желчи. Скопления атипичных гистиоцитов могут наблюдаться также по ходу желудочно-кишечные тракта, в почках, серозных оболочках, плевре, межальвеолярных перегородках и вокруг бронхов. Поражение костного мозга может быть выражено в различной степени. В большинстве случаев на фоне очагов кроветворения выявляются крупные поля атипичных гистиоцитов, что сочетается с выраженным рассасыванием костной ткани; иногда атипичные гистиоциты содержатся в небольшом количестве в виде мелких скоплений или одиночно рассеянных клеток; в этих случаях установление диагноза проба прижизненного исследования костного мозга может быть затруднено.
Клиническая картина. Болезнь развивается остро. Наиболее ранние проявления — себорея на голове, мокнутие в складках кожи, папулезно-сквамозная сыпь, локализующаяся чаще на коже верхней половины туловища. В разгар болезни могут появиться петехии.
|
Отмечается лихорадка, увеличение размеров печени, селезёнки, периферических лимфатических, узлов, нередко образующих конгломераты.
Характерно поражение слизистых оболочек в виде упорных афтозных стоматитов (смотри полный свод знаний) и вульвовагинитов (смотри полный свод знаний), появление рецидивирующих гнойных отитов (смотри полный свод знаний) и мастоидитов (смотри полный свод знаний), не поддающихся антибактериальному лечению. Наблюдается специфическое поражение лёгочной ткани в виде интерстициальной пневмонии (смотри полный свод знаний). В более отдалённые сроки заболевания возможны распространённые поражения костей черепа, таза, конечностей. Может быть экзофтальм, синдром несахарного мочеизнурения. Постоянных специфических изменений в крови нет, однако в ряде случаев наблюдается ускоренная РОЭ, нейтрофилез, эозинофилия, моноцитоз, тромбоцитоз, в путём случаях — панцитопения.
При Л.—С. б. наиболее часто поражаются плоские кости (череп, таз, лопатки). На обзорных рентгенограммах выявляются участки выраженного разрежения с чёткими границами, отдельные очаги достигают размеров 1 — 2 сантиметров Несколько небольших очагов могут сливаться между собой; в этом случае на рентгенограмме обнаруживаются крупные дефекты костной ткани, имеющие волнистые, иногда отчётливые фестончатые контуры (рисунок 2). Деструктивные очаги, разрушая прежде всего губчатое вещество кости, могут нарушать целость и коркового вещества; характерным для Л.—С. б. является отсутствие реакции надкостницы даже в тех случаях, когда при бурном течении процесса оказывается разрушенным и корковое вещество.
Диагноз ставится на основании типичных клинические, симптомов, рентгенологическое изменений и цитологический картины пункционного и биопсийного материала из инфильтрированных органов и тканей. В пункционном и биопсийном материале преобладают клетки системы фагоцитирующих мононуклеаров: атипичные гистиоциты, многоядерные клетки (результат эндомитоза атипичных гистиоцитов) и ксантомные клетки, которые являются формой старения атипичных гистиоцитов.
Дифференциальный диагноз проводят главным образом с острым лейкозом (смотри полный свод знаний Лейкозы), нейробластомой (смотри полный свод знаний), врождённым сифилисом (смотри полный свод знаний), болезнью Гоше (смотри полный свод знаний Гоше болезнь), болезнью Ниманна—Пика (смотри полный свод знаний Ниманна—Пика болезнь), мукополисахаридозами (смотри полный свод знаний), сепсисом (смотри полный свод знаний). В случаях, когда в клинические, картине доминирует один симптом, заболевание приходится дифференцировать соответственно с дерматитами, отитом, пневмонией и другие
Лечение проводится цитостатическими и гормональными препаратами. Назначают их в остром периоде заболевания часто в виде полихимиотерапии циклофосфаном, онковином (винбластином) и преднизолоном (ЦОП). Лечение проводится 6— 8 курсами с перерывами в 2—4 недель Поддерживающее лечение — 6-меркаптопурином, метотрексатом и лейкераном. По показаниям назначают лучевую терапию.
Прогноз. До применения цитостатических препаратов заболевание быстро приводило к летальному исходу. При лечении этими препаратами у большинства больных удаётся добиться стойкой ремиссии (до 5 лет и более).
Смотри, полный свод знаний Гистиоцитозы.
|
Ленская P.В.; Свиридов С.А.; Хохлова М.П.
|
|
Все статьи в полном изложении, Вы можете найти в большой медицинской энциклопедии — Главный редактор: академик АН СССР (РАН) и АМН СССР (РАМН) Б.В. Петровский. — Москва издательство «Советская энциклопедия» 1989г.
|
|
Внимание! Вы находитесь в библиотеке «Ordo Deus». Все книги в электронном варианте, содержащиеся в библиотеке «Ordo Deus», принадлежат их законным владельцам (авторам, переводчикам, издательствам). Все книги и статьи взяты из открытых источников и размещаются здесь только для чтения.
|
|
Вся информация на сайте Ordo Deus находится в свободном доступе. Ordo Deus не предоставляет информацию на платной основе.
|
|
Все авторские права сохраняются за правообладателями. Если Вы являетесь автором данного документа и хотите дополнить его или изменить, уточнить реквизиты автора, опубликовать другие документы или возможно вы не желаете, чтобы какой-то из ваших материалов находился в библиотеке, пожалуйста, свяжитесь с нами по e-mail: info @ ordodeus. ru Формы для прямой связи с нами находятся в нижней части страниц: контакты и устав «Ordo Deus», для перехода на эти страницы воспользуйтесь кнопкой контакты вверху страницы или ссылкой в оглавлении сайта.
|
Вас категорически не устраивает перспектива безвозвратно исчезнуть из этого мира? Вы не желаете закончить свой жизненный путь в виде омерзительной гниющей органической массы пожираемой копошащимися в ней могильными червями? Вы желаете вернувшись в молодость прожить ещё одну жизнь? Начать всё заново? Исправить совершённые ошибки? Осуществить несбывшиеся мечты? Перейдите по ссылке:
«главная страница».
|