Лепра

Оглавление

  1. Дорога к бессмертию
  2. Бессмертие и религия
  3. Философия бессмертия
  4. Бессмертие и наука
  5. История анабиоза
  6. Смерть
  7. Кора головного мозга
  8. Бессмертие и анабиоз
  9. Анабиоз, медицина и биология
  10. Анабиоз и экономика
  11. Анабиоз и закон
  12. Анабиоз в Антарктиде
  13. Техническое обеспечение анабиоза
  14. Бессмертие и вера
  15. Библиотека Ordo Deus
  16. Контактная страница Ordo Deus

Лепра

Лепра [греческий lepra; синонимы: болезнь Гансена, гансениаз, ганзеноз; устаревшие названия: проказа, elephantiasis graecorum, lepra arabum, lepra orientalis, финикийская болезнь, satyriasis, leontiasis, скорбная болезнь, скорбь, северная болезнь (якуты), крымская болезнь, крымка, чёрная немочь, лисья короста, ленивая смерть, болезнь Святого Лазаря и другие] — хроническая генерализованная инфекционная болезнь человека, вызываемая микобактериями лепры, характеризующаяся поражением кожи, слизистых оболочек, периферической нервной системы, внутренних органов.

Оглавление

История

Классификация

Статистика и географическое распространение

Этиология и патогенез

Эпидемиология

Патологическая анатомия

Иммунитет

Клиническая картина

Диагноз

Лечение

Физическая и социальная реабилитация

Прогноз

Профилактика

История

Лепра относится к числу древнейших из известных заболеваний человека. Существует мнение, что Лепра входила в группу кожных болезней, описанных в книгах «Rigveda Samhita» и «Sushrutas Ayurvedas» (Индия, 1500 — 1000 лет до нашей эры) под общим названием «kushtha», в папирусе Эберса и Бругша (Египет, 13 00—1000 лет до нашей эры) — под названием «uchedu» и в библии — под названием «zaraath» (проказа). Сравнительно полные описания кожных и неврологический проявлений Лепра встречаются в литературе Индии и Китая, относящейся к 8—5 веков до нашей эры Описания в индийской книге «Sushruta Samhita» (6 век до н. э.) и в китайской книге «Nei Ching Su Wen» (5 век до нашей эры) узлов, изъязвлений, выпадения бровей, мутиляций, поражений глаз, изменений носа, нарушений чувствительности, деформации конечностей и параличей свидетельствуют об умении диагностировать поздние типичные проявления Лепра. К этому же периоду относится разработка профилактических наставлений против распространения Лепра, включая расторжение брака.

В европейских странах Лепра впервые встречается в 5—3 веков до нашей эры, прежде всего в Греции и Италии, куда она была занесена из Египта, Финикии и стран Азии в результате развития торговых связей, войн и других передвижений народов. Распространению Лепра в Европе способствовал массивный занос её в 1 век до н. э. римскими солдатами Помпея, возвращавшимися из длительных походов в страны Юго-Восточной Азии. В Южную и Центральную Америку Лепра была занесена европейцами в 16 —18 веков. В первых упоминаниях о Лепра европейских авторов (Аристотель, 4 век до нашей эры) болезнь называлась satyriasis или leontia (leontiasis). Наиболее полно клинические, симптомы заболевания описаны в Европе во 2 век врачами Аретеем (Агеtaios) и особенно Галеном, который выделял шесть основных признаков Лепра: воспаление кожи, язвы, утолщение нижних конечностей, львиное лицо, выпадение волос и мутиляции. В Европе болезнь длительное время фигурировала под названием «elephantiasis». Только в 3 век христианский богослов Ориген (около 185—254 годы) указал на то, что название «elephantiasis» соответствует библейскому названию «zaraath», а поскольку 70 толковников, переводившие библию в 3 век до нашей эры на греческий язык, перевели термин «zaraath» словом «lepra», болезнь следует называть «лепра».

Первые государственные законодательства, направленные на ограничение распространения Лепра, появляются в Европе в 5—8 веков Пик эндемии Лепра в Европе приходится на 10—13 веков, после чего отмечается постепенное уменьшение заболеваемости и снижение общественного интереса к проблеме Лепра

К началу 19 век в различных европейских странах, в том числе и в России, появляется ряд специальных трудов, посвящённых описанию клинические, проявлений и изучению распространения Лепра. К этому же периоду относится первая диссертация по Лепра, написанная на русском языке Г. Плаховым в 1841 год «О бугорчатой проказе (elephantiasis graecorum) Войска Донского, именуемой на Дону проказою, крымскою болезнью и крымскою проказою». Особо важное значение имели вышедшие в свет в 1847 год труды известных норвежских учёных Даниэльссена (D. С. Danielssen) и Бека (С. W. Воеск) «От spedalskhed.» и «Atlas Colorie de Spedalskhed», которые, по словам Р. Вирхова, положили начало биологическому пониманию Лепра Наиболее значимыми вехами в истории развития учения о Лепра являются: открытие Г. Гансеном возбудителя Лепра, предложение Мицудой (К. Mitsuda, 1919) лепроминовой пробы, установление Фейджетом (G. Н. Faget, 1943) противолепрозной активности препаратов сульфонового ряда, разработка Шепардом (С. С. Shepard, 1960) метода экспериментального заражения мышей Лепра человека.

Важную роль в развитии лепрологии сыграли международные конгрессы по Лепра: I — Германия (Берлин, 1897), II — Норвегия (Берген, 1909), III — Франция (Страсбург, 1923), IV — Египет (Каир, 1938), V — Куба (Гавана, 1948), VI — Испания (Мадрид, 1953), VII — Япония (Токио, 1958), VIII — Бразилия (Рио-де-Жанейро, 1963), IX — Великобритания (Лондон, 1968), X — Норвегия (Берген, 1973), XI — Мексика (Мехико, 1978). В 1931 год была создана Международная ассоциация лепрологов, а в 1953 год— Комитет экспертов ВОЗ по Лепра.

Классификация

Даниэльссен и Бек (1847) выделяли две разновидности Лепра: узловатую и анестетическую. В конце 19 век появляется представление о смешанной, макулоанестетической и вторично-нервной формах Лепра Вопросы классификации заболевания обсуждались на большинстве международных конгрессов по Лепра. По Каирской классификации различали два типа заболевания — лепроматозный и нервный, выделяя в последнем три подтипа: нервнопятнистый простой, нервно-пятнистый туберкулоидный и нервноанестетический. По Гаванской классификации выделяли три типа заболевания: лепроматозный, туберкулоидный и недифференцированный. В 1953 год на Мадридском конгрессе первые два типа были признаны полярными, а вместо недифференцированного типа выделены две группы: недифференцированная и пограничная. Мадридская классификация, основанная, как и все предыдущие, на клинические, признаках, была недостаточно информативной, не учитывала многих особенностей лепрозного процесса и поэтому не могла удовлетворить лепрологов. X Международный конгресс по Лепра рекомендовал применять пятигрупповую классификацию Ридли — Джоплинга, являющуюся дальнейшим развитием Мадридской классификации с учётом новейших достижений иммунологии Лепра Лепрозный процесс рассматривается как непрерывный иммунологический процесс, при этом туберкулоидный и лепроматозный типы Лепра — как полярные группы; кроме того, выделяют три промежуточные (пограничные) группы. Таким образом, классификация включает следующие основные группы Лепра: ТТ — туберкулоидный тип (синонимы: полярный туберкулоид, полярная туберкулоидная группа); ВТ — погранично-туберкулоидная группа (пограничный туберкулоид); ВВ — пограничная Лепра (пограничная группа); BL — погранично-лепроматозная группа (пограничный лепроматоз); LL — лепроматозный тип Лепра (полярный лепроматоз — полярная лепроматозная группа). Все пять групп Лепра отличаются характерными клинические, проявлениями, течением, прогнозом, а также эпидемиологические значимостью. Классификация Ридли—Джоплинга предусматривает также две дополнительные (не основные) группы: субполярный лепроматоз (LLs) и недифференцированную Лепра. Однако в указанную классификацию не укладываются такие разновидности лепроматозного типа Лепра, как лепра Лусио и гистоидная Лепра

Статистика и географическое распространение

По данным ВОЗ, количество зарегистрированных больных Лепра в мире в 70-х годы около 3 миллионов человек, а истинное (расчётное) число больных, но данным Бекелли и Мартинеса Домингеса (L. М. Bechelli, V. Martinez Dominguez, 1973) и Комитета экспертов ВОЗ по Лепра, превышало 10 миллионов человек. В Азии зарегистрировано 1,3 миллионов, в Африке — 1,3 миллионов, в Америке — 0,2 миллионов, Европе — 0,05 миллионов больных Лепра. Из стран Азии Лепра чаще встречается в Индии, Индонезии, Бирме, Таиланде, Южной Корее, где количество больных колеблется от 3 до 30 на 1000 населения. Так, например, в Индии, в Большом Бомбее, при обследовании 50 697 школьников в возрасте 5—16 лет был выявлен 151 больной Лепра (2,97 : 1000) и 100 детей (1,87 : 1000) с подозрением на Лепра В Африке наиболее высокая заболеваемость населения Лепра была зарегистрирована: в Народной республике Конго (116,3 на 1000 населения), Габоне, Верхней Вольте, Кении, Камеруне, на Мадагаскаре,, в Мали, Гвинее, Береге Слоновой Кости, Мозамбике, Сенегале, Танзании, Уганде (от 20 до 55 на 1000 населения). Из стран Южной Америки Лепра чаще всего встречается в Бразилии (8,3 на 1000 населения), Венесуэле (4,7 на 1000), Колумбии (3 на 1000). В Европе Лепра все ещё сохраняется в Испании, Португалии, Греции, а также в Турции (от 0,8 до 3,0 на 1000 населения). Заболеваемость мужчин и женщин одинакова, дети у больных Лепра рождаются здоровыми.

.

Этиология и патогенез

Возбудитель Лепра человека был описан в 1874 год норвежским врачом Г. Гансеном. Он выявил его в соскобе с поверхности разреза узла у больного узловатой Лепра. В 1879 год нем. микробиолог А. Нейссер предложил методы окраски бактерий Лепра Именно поэтому в литературе иногда возбудитель Лепра описывается как микобактерия Гансена — Нейссера. В 1882 год была установлена кислото и спирто-устойчивость возбудителя Лепра. В первые годы после открытия возбудителя Лепра его называли Bacillus leprae, Coccothrix leprae, Streptothrix leprae, дифтероид, затем он был включён как самостоятельный вид в род Mycobacterium Lehmann et Neumann, 1896. Окончательно принадлежность возбудителя Лепра к микобактериям (смотри полный свод знаний) была доказана после обнаружения Дрейпером (P. Draper, 1976) в его составе типичной миколевой кислоты, а также работами по изучению его антигенного состава. Наиболее правильными видовыми названиями возбудителя Лепра являются Mycobacterium leprae, Mycobacterium leprae hominis, Mycobacterium Hanseni. В соответствии с классификацией Берджи род Mycobacterium входит в семейство Mycobacteriaceae, порядок Actinomycetales, класс Schizomycetes.

Возбудитель Лепра, как правило, имеет вид прямой или слегка изогнутой палочки с закруглёнными концами. Размеры микобактерии варьируют: длина от 1,0 до 4,0 — 7,0 микрометров, диаметром 0,2—0,5 микрометров. В лепромах встречаются также зернистые, кокковидные, нитевидные, ветвистые, булавовидные, почкующиеся, гантелевидные формы возбудителя. Как и другие микобактерии, микобактерии Лепра грамположительны, окрашиваются по Цилю — Нельсену в красный цвет; в клетках тканей они выявляются в виде шаровидных плотных скоплений (глоби), в которых отдельные бактерии располагаются параллельно друг другу, что нередко сравнивают с видом сигарет в пачках («сигарные пачки»).

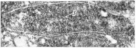
Электронно-микроскопическими исследованиями установлено, что ультраструктура возбудителя Лепра принципиально не отличается от строения других видов грамположительных бактерий. На поверхности микобактерий Лепра выявляется равномерный электроннопроницаемый (осмиофобный) слой толщиной 5—10 нанометров (наружный диффузный слой клеточной стенки). За ним следует осмиофильный слой клеточной стенки толщиной от 3 до 10 нанометров, состоящий из двух очень тонких некоторое, плотно прилегающих друг к другу. Непосредственно к внутренней поверхности клеточной стенки примыкает наружный слой цитоплазматической мембраны (рисунок 1), представляющей собой, как и у других бактерий, трёхслойную мембрану толщиной 7,5—9 нанометров. В бактериальной клетке встречаются 1—2 мезосомы с выраженным полиморфизмом (петлеобразные, везикулярные, трубчатые, пластинчатые, гроздевидные). В цитоплазме выявляется сравнительно небольшое количество рибосом, сферические электронно-плотные включения волютина диаметром 20—50 нанометров, включения, имеющие вид ограниченных мембраной вакуолей (предположительно липоиды), и гомогенные тельца, природа которых остаётся неизвестной. Ядро не имеет определённой формы, расположено в центре клетки вдоль её длинной оси, не ограничено мембраной. Иногда в лизирующихся под воздействием химиотерапии клетках микобактерий Лепра выявляются спороподобные образования (рисунок 2 и 3).



Информация об Ordo Deus Перейти в оглавление сайта

Рис. 1.
Электронограмма микобактерии лепры (продольный срез): 1 — клеточная стенка; 2 — цитоплазматическая мембрана; 3 — мезосома.





Информация об Ordo Deus Перейти в оглавление сайта

Рис. 2.
Электронограмма микобактерий лепры (поперечный срез): 1 — гомогенные и 2 — зернистые (лизированные) микобактерии.





Информация об Ordo Deus Перейти в оглавление сайта

Рис. 3.
Электронограмма фрагмента микобактерии лепры (продольный срез): стрелкой указано спороподобное образование.





Информация об Ordo Deus Перейти в оглавление сайта

Рис. 4.
Электронограмма колоний микобактерий лепры в цитоплазме макрофагальной клетки: 1 — ядро макрофага; 2 — цитоплазма макрофага; 3 — микобактерии.



Основным способом размножения микобактерий Лепра является деление материнской клетки и врастания поперечной перегородки. Микобактерия Лепра является облигатным внутриклеточным паразитом тканевых макрофагов или клеток ретикулоэндотелиальной системы, проявляет выраженный тропизм к коже и периферическим нервам, но на поздних стадиях развития процесса встречается также во многих других клетках и тканях организма. В тканевой клетке микобактерии Лепра размножаются только в цитоплазме (рисунок 4); внутриядерный паразитизм для них нехарактерен. Микобактерии в лепрозных клетках иногда отграничены от цитоплазмы клетки-хозяина фагосомной мембраной. На поздних стадиях инфекции паразитирование возбудителей Лепра человека сопровождается нарушением строения эндоплазматического ретикулума и митохондрий клетки-хозяина.

Попавший в организм возбудитель Лепра, пройдя кожно-слизистые барьеры, проникает в нервные окончания, лимфатических, и кровеносную системы и медленно диссеминирует, не вызывая обычно на месте внедрения видимых изменений.

Многочисленные попытки разработать метод культивирования микобактерий Лепра in vitro не дали положительного результата. Этим объясняется малочисленность и разноречивость опубликованных данных о биологический свойствах микобактерий Лепра, а также трудности в решении важнейших задач практической лепрологии (получение вакцины, испытание in vitro новых лекарственных средств, определение лекарственной устойчивости возбудителя Лепра, получение диагностикумов и так далее). Ещё Г. Гансен предпринимал попытки заразить Лепра различных лабораторный животных, включая обезьян. Однако ни ему, ни его последователям в течение 80 лет не удавалось найти восприимчивое к Лепра экспериментальное животное. С 1902—1903 годы в качестве приближенной экспериментальной модели Лепра человека использовалась Лепра крыс (лепра Стефанского), являющаяся самостоятельным заболеванием грызунов. В 1960 год американский исследователь Шепард (С. С. Shepard) разработал метод получения локального размножения микобактерий Лепра введения их в мякоть подошвы лапки мышей.

Несмотря на недостатки (длительность опыта, трудоёмкость подсчёта микобактерий Лепра в суспензии тканей, сравнительно небольшой выход размножившихся микобактерий Лепра), метод Шепарда сыграл значительную роль в изучении Лепра и широко применяется для экспериментальной проверки активности лечебный и профилактических средств.

Рис (R. J. W. Rees, 1966), Рис и Уэдделл (R. J. W. Rees, A. G. Weddell, 1968) предложили заражать по методу Шепарда предварительно тимэктомированных и субтотально облучённых мышей. Такая модификация метода позволяет получать более высокий «урожай» микобактерий за счёт их гематогенной диссеминации по всему организму. Гистологический изменения в поражённых тканях при этом сходны с картиной, наблюдаемой у человека, больного Лепра Аналогичные результаты получаются и при заражении по методу Шепарда других грызунов (крыс, хомяков). В 1971 год американский исследователи Кирххаймер и Сторрс (W. F. Kirchheimer, Е. Storrs) сообщили об успешном заражении Лепра девяти-поясных броненосцев (Dasypus novemcucinctus). В последующие годы эта модель усиленно изучалась и совершенствовалась. Подтверждено, что при внутривенном заражении большими дозами (до 108) микобактерий Лепра у 60% броненосцев через 18—35 месяцев развивается генерализованный специфический инфекционные процесс с наличием громадного количества микобактерий Лепра — до 6 × 1012-13 в поражённых тканях (печень, селезёнка, лимфатических узлы). Это открывает возможности для более широкого изучения биологии микобактерий Лепра и получения диагностических и вакцинных препаратов в условиях отсутствия методов культивирования возбудителя Лепра. Гистологический, картина поражений органов у броненосца соответствует LL типу Лепра у человека, однако у броненосца в патологический процесс рано вовлекаются ткани лёгкого, что нехарактерно для Лепра человека.

Абе (М. Abe, 1970), проводя иммунохимический исследования экстракта лепромы, выделил два бактериальных антигена Лепра, один из которых является термостабильным полисахаридом. а другой — термолабильным белком, высокоспецифичным для микобактерий Лепра При иммунизации кроликов большими количествами микобактерий Лепра, выделенных из тканей заражённых броненосцев, выявлено более 20 антигенных компонентов микобактерий, только один из которых, по мнению Кронволла (G. Kronvall) с соавторами (1977), является специфичным. Уникальной особенностью антигенных свойств возбудителя Лепра, по сравнению с другими микобактериями, является способность убитых микобактерий усиливать клеточные иммунные реакции без добавления адъювантов.

Прабхакаран (К. Prabhakaran, 1967, 1973) описал специфический для микобактерий Лепра фермент Одифенолоксидазу, который, по-видимому, играет важную роль в размножении микобактерий Лепра Выявление дыхательных ферментов — пероксидазы, цитохром-с-оксидазы, сукцинатдегидрогеназы, дегидрогеназы и других подтвердило наличие у микобактерий Лепра автономных систем аэробного дыхания.

Эпидемиология

Поражённость Лепра населения различных стран зависит прежде всего от социально-экономических факторов, материального уровня жизни, общей и санитарный культуры.

Единственным резервуаром и источником лепрозной инфекции является больной человек. Ещё в конце 19 век Шеффер (I. Schaffer, 1898) установил, что больной туберозной формой Лепра. при кашле, чиханье и даже при разговоре выделяет в окружающее его пространство большое количество микобактерий Лепра.

Большинство исследователей допускают как воздушно-капельный путь передачи Лепра, так и через кожу. Данные эпидемиологические обследований свидетельствуют о преобладающем значении воздушно-капельного пути передачи. Отдельные наблюдения подтверждают возможность заражения Лепра и при проникновении возбудителя через повреждённую кожу (например, случаи заражения при татуировке). Допускается возможность распространения Лепра кровососущими насекомыми.

Высказывается также мнение, что Лепра мало контагиозная инфекция, вероятность заражения которой находится в прямой зависимости от длительности и характера контакта. Из числа лиц, длительно (на протяжении нескольких лет) проживавших совместно с больными, включая и супружеские пары, заболевают, как правило, не более 10—12%. Максимум случаев заболевания лиц, имевших длительный семейный контакт с больными лепроматозным типом Лепра при крайне низком уровне сан. культуры и материального обеспечения, был около 36%.

На основе тщательного изучения заболеваемости многие исследователи, в частности Кокрин (В. G. Cochrane, 1934), В. Ф. Шубин (1970) и другие, пришли к заключению, что это объясняется высокой степенью резистентности населения к лепрозной инфекции. Клинические, разновидности и стадии Лепра не равнозначны по своей эпидемиологические значимости. Так, например, показано, что лица, контактировавшие с больными лепроматозным типом Лепра, подвергаются на 70% большему риску заражения, чем в случае контакта с больными туберкулоидным типом Лепра. В связи с тем, что в большинстве эндемичных по Лепра стран регулярное лечение получает менее половины зарегистрированных больных, поддерживается высокий уровень заболеваемости. Крайне неблагоприятным эпидемиологические показателем является высокая заболеваемость Лепра детей. В угасающих очагах Лепра наибольшие показатели заболеваемости смещаются на более старшие возрастные группы.

Патологическая анатомия

Гистологический исследование биопсийного материала имеет важное значение для установления диагноза и прогноза болезни. Биопсии подвергаются участки поражённой кожи, изредка — поверхностно расположенные нервы. Морфологически изменения при Лепра проявляются в виде гранулем двух полярных типов — лепроматозного (LL) и туберкулоидного (ТТ), а также трёх групп — погранично-туберкулоидной (ВТ), пограничной (ВВ) и погранично-лепроматозной (BL).

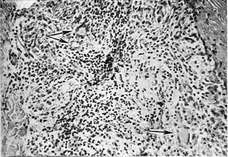
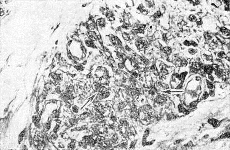
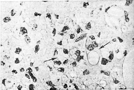
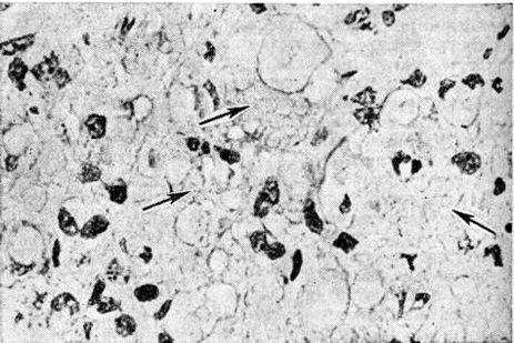
Гистологически лепроматозный тип характеризуется лепроматозной гранулемой кожи, которая представляет инфильтрат, расположенный в сетчатом слое, отделённый от эпидермиса непоражённой зоной коллагеновой ткани. Основными клеточными элементами лепроматозной гранулемы являются лепрозные клетки; кроме того, наблюдаются отдельные плазматические, лимфоидные клетки, единичные фибробласты, многоядерные пенистые клетки (цветной рисунок 1—6). Лепрозные клетки относятся к макрофагам, характеризуются бледным ядром и «пенистой» цитоплазмой (рисунок 5) за счёт содержания липидов. Лепрозный макрофаг на ранних стадиях содержит жирные кислоты, фосфолипиды, ненасыщенные липиды; на стадии развития процесса преобладают нейтральные жиры и кислотные липиды. Большинство исследователей считает, что основная масса липидов представляет собой продукт метаболизма и распада микобактерий Лепра. Наиболее характерная особенность лепрозного макрофага — нахождение и размножение в нем большого количества микобактерий Лепра, то есть явление незавершённого фагоцитоза (смотри полный свод знаний). В цитоплазме лепрозной клетки выявляется высокий уровень окислительно-восстановительных ферментов, кислой фосфатазы, неспецифической эстеразы и не обнаруживается активность липазы. Для гистологический картины LL характерно также наличие капилляров со значительным сужением их просвета за счёт пролиферации и набухания эндотелиальных клеток, содержащих большое количество микобактерий типа «глоби». Кожные нервы пронизаны инфильтратами из микробосодержащих клеток (цветной рисунок 7 и 10). Микобактерии обнаруживаются также в клетках эндоневрия. В лепроматозных поражениях большой давности отмечается частичное или полное разрушение придатков кожи (фолликулов волос, сальных и потовых желёз).



Информация об Ordo Deus Перейти в оглавление сайта

Рис. 5.
Электронограмма макрофага при лепроматозной лепре: 1 — макрофаг; 2 —пенистые структуры, 3— остатки микобактерий лепры; 4 — фаголизосомы; 5 — ядро,





Информация об Ordo Deus Перейти в оглавление сайта

Рис. 6.
Рентгенограмма правой кисти больного лепрой лепроматозного типа: лепрома головки проксимальной фаланги V пальца, дефект коркового вещества проксимальной фаланги II пальца, отсутствие дистальных фаланг I и II пальцев.





Информация об Ordo Deus Перейти в оглавление сайта

Рис. 7.
Рентгенограмма левой стопы больного лепрой туберкулоидного типа: концентрическая атрофия и частичное рассасывание скелета IV пальца, проксимальная фаланга имеет вид шахматной пешки.





Информация об Ordo Deus Перейти в оглавление сайта

Рис. 8.
Рентгенограмма стопы больного недифференцированной формой лепры: обширный остеолиз фаланг и III—V плюсневых костей, атрофия костей, деформация суставов с патологическими подвывихами.



При гистоидной Лепра [атипичный вариант LL, описан Уэйдом (Н. W. Wade, 1963)] инфильтрат представлен множеством тонких веретенообразных клеток, образующих переплетающиеся тяжи и завитки. Количество микобактерий в этих клетках больше, чем при обычных лепроматозных поражениях; бактерии занимают почти всю их цитоплазму. Возможно сочетание гистоидной Лепра с элементами туберкулоидных структур или обычного лепроматозного инфильтрата.

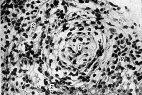
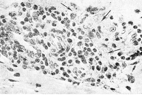
При туберкулоидном типе патологический процесса сформировавшийся инфильтрат может быть массивным, занимающим все слои собственно кожи, или располагаться отдельными очагами. Характерно разрушение субэпидермального слоя коллагеновой ткани с расположением гранулемы непосредственно под эпидермисом с эрозированием последнего. Основную массу гранулемы составляют эпителиоидные клетки (смотри полный свод знаний), расположенные в центре и окружённые по периферии валом из лимфоидных клеток (смотри полный свод знаний Лимфоциты), встречаются гигантские многоядерные клетки типа Лангханса (смотри полный свод знаний Гигантские клетки), в небольшом количестве обнаруживаются плазматические клетки (смотри полный свод знаний), тучные клетки (смотри полный свод знаний), фибробласты. В период обострения в гранулеме наблюдается обилие полиморфно-ядерных лейкоцитов (смотри полный свод знаний). Клеточные элементы не содержат микобактерий и липидов. Характерно утолщение нервных стволов за счёт массивной инфильтрации эпителиоидными клетками.

Морфологически структуры, содержащие элементы, характерные для обоих типов Лепра и являющиеся как бы переходной стадией между полярными типами, характерны для пограничной Лепра При недифференцированной Лепра наблюдается картина банального хронический воспаления (смотри полный свод знаний) без специфических изменений. Основными гистологический критериями, определяющими принадлежность к классификационным группам Ридли — Джоплинга, являются следующие морфологический особенности инфильтрата. 1. Клеточный состав гранулемы. В верхней половине спектра (ТТ, ВТ и ВВ) характерно наличие эпителиоидных клеток (цветной рисунок 8) и для ТТ — многоядерных (гигантских) клеток типа Лангханса (цветной рисунок 9). При ВВ эпителиоидные клетки часто отделены друг от друга отёком. В нижней части спектра (BL и LL) эпителиоидные клетки уступают место макрофагам, цитоплазма которых по мере приближения к типу LL становится более плотной, пенистой и содержит жир. 2. Плотность популяций микобактерий. Количество микобактерий возрастает пропорционально от верхней части спектра к нижней. В числовом выражении показатель бактериальной насыщенности лепроматозного инфильтрата для ТТ, ВТ, ВВ, BL и LL составляет 0/1; 0/2,5; 3/4,5; 4/5,5; 5/6,5 соответственно. 3. Количество и топография лимфоцитов в гранулеме. Для ТТ и ВТ свойственно высокое содержание лимфоцитов, расположенных в виде плотного бордюра вокруг массы эпителиоидных клеток. При ВВ и LL количество лимфоцитов чаще снижено, они рассеяны по гранулеме и не образуют вала. 4. Поражение кожных нервов. Для туберкулоидной части спектра характерно значительное утолщение нерва за счёт массивного инфильтрата (повышение максимального диаметра пучка при ТТ). Для ВВ и BL патогномоничны изменения периневрия в виде луковичной кожуры (onion skin) за счёт расслоения его инфильтратом из лимфоцитов, плазмоцитов (при В В) или бактериосодержащих макрофагов (при BL). 5. Отношение к эпидермису. При ТТ и ВТ гранулема располагается непосредственно под эпидермисом и может эрозировать его. При ВВ, BL и LL между инфильтратом и эпидермисом постоянно остаётся непоражённая зона толщиной 30 — 75 микрометров — так называемый слой Ипа, состоящий из коллагеновой ткани.

Выделенная в классификации субполярно-лепроматозная группа (LLs) расположена между BL и LL. В гранулеме встречаются лимфоциты и плазматические клетки (клеточная мозаичность), большое количество микобактерий Лепра Пенистость цитоплазмы макрофага при LLs менее выражена, чем при LL. Нервные волокна утолщены, без инфильтрации, может наблюдаться расслоение периневрия.

Для Лепра характерно поражение периферической нервной системы. Микобактерии обнаруживаются практически во всех участках нервных волокон. При лепроматозном типе инфильтрат состоит из пенистых макрофагов, при туберкулоидном — из эпителиоидных клеток. Отмечается более быстрое развитие воспаления при туберкулоидном типе, чем объясняется раннее появление неврологический нарушений. При лепроматозном типе Лепра происходит постепенное замещение нервного волокна соединительной тканью. Лепрозный неврит, как правило, имеет восходящий характер. Отмечается наиболее частое поражение чувствительных нервов и выраженный тропизм микобактерий Лепра к леммоцитам (шванновским клеткам).

Поражение внутренних органов наиболее выражено при лепроматозном типе Лепра Специфические изменения в виде гранулем из макрофагов с высоким содержанием микобактерий обнаруживаются в печени (цветной рисунок 11), селезёнке, костном мозге, слизистой оболочке верхних дыхательных путей, яичках, надпочечниках, лимфатических, узлах. В материале, полученном при пункции периферических лимфатических, узлов, обнаруживаются микобактерии Лепра; в паракортикальной области выявляются скопления недифференцированных макрофагов, содержащих большое количество микобактерий; зародышевые центры хорошо развиты, а мозговые тяжи заполнены плазматическими клетками.

В результате глубоких нарушений белкового обмена возможно амилоидное перерождение висцеральных органов. В почках отмечаются явления амилоидно-липоидного нефроза. Возникновению его способствуют длительно протекающие обострения Лепра, а также нередко сопутствующие Лепра длительно не заживающие трофические язвы и хронический остеомиелиты.

При туберкулоидном типе и пограничной Лепра висцеральные поражения менее выражены. В эндокринных органах, а также в головном мозге, почках, лёгких, сердце лепромы не развиваются.

Иммунитет

В естественных условиях Лепра болеет только человек. Из всех изученных видов животных лишь у представителей семейства броненосцев при введении очень больших доз микобактерий Лепра удалось получить генерализованную инфекцию. Активность клеточных реакций иммунного ответа на микобактерии Лепра (по данным реакции бласттрансформации, теста торможения миграции лейкоцитов, лепроминовой пробы и другие) постепенно снижается от туберкулоидного типа (ТТ) к лепроматозному типу (LL), отражая, соответственно, наивысшую и наименьшую степень иммунологический устойчивости к заболеванию.

Одним из первых научных достижений, активизировавших изучение иммунологический основ восприимчивости к Лепра, явилась предложенная в 1919 год японским исследователем Мицуда внутрикожная лепроминовая проба (синонимы реакция Мицуды)

Антигеном для реакции Мицуды является лепромин (антиген Мицуды). Лепромин Мицуды представляет собой автоклавированную суспензию микобактерий Лепра, полученную гомогенизации лепромы и содержащую остатки тканевых клеток; это так называемый интегральный лепромин. За стандартный принят лепромин, содержащий 160 миллионов микобактерий в 1 миллилитров препарата. Были предложены и другие антигены: очищенная от остатков тканевых клеток суспензия микобактерий Лепра — бактериальный лепромин; некоагулированные растворимые белки микобактерий Лепра — лепролины; суспензия обезжиренных и разрушенных микобактерий Лепра— антиген Дхармендры. Чаще всего применяется интегральный лепромин. Проба ставится путём внутрикожного введения 0,1 миллилитров лепромина и относится к реакциям гиперчувствительности замедленного типа. Результаты пробы оцениваются по трёх-плюсовой шкале. Различают раннюю реакцию на лепромин (реакция Фернандеса), учитываемую через 48 часов (гиперемия, небольшая папула), и иозд-тою реакцию (реакция Мицуды), развивающуюся через 2—4 недель (бугорок, узел, иногда с некрозом). Считается, что реакция Фернандеса обусловлена действием водорастворимой фракции лепромина, а реакция Мицуды вызывается корпускулярными антигенами клеток микобактерий Лепра Положительная реакция Мицуды свидетельствует о способности организма к развитию ответной реакции на введение микобактерий Лепра, а не о его инфицировании. Установлено, что реакция Мицуды может изменяться в процессе трансформации типов Лепра, а также под влиянием лечения, вакцинации и других факторов.

Диагностического значения лепроминовая проба не имеет. Она характеризует состояние иммунобиологический реактивности макроорганизма по отношению к возбудителю Лепра и поэтому может быть использована для установления типа Лепра, а главным образом для прогноза.

Оказалось, что у больных LL поздняя лепроминовая реакция всегда отрицательная, у больных ТТ, а также у большинства (80—98%) здоровых людей она положительная, а у больных пограничной Лепра (ВВ) может быть как положительной, так и отрицательной. У больных ТТ во время обострения лепроминовая проба может временно давать отрицательный результат или же становиться устойчиво отрицательной, если происходит трансформация в сторону LL.

Обычно у больных LL реакция на лепромин и до заболевания отрицательная. Учитывая, что в популяции здорового населения отрицательная реакция Мицуды встречается примерно у 10%, резкое преобладание количества больных с ТТ расценивается как неблагоприятный эпидемиологические показатель, свидетельствующий о высокой заражённости, приводящей к заболеванию не только лиц, обладающих предрасположенностью к Лепра, но и более устойчивой к Лепра части населения. У новорождённых и в первые месяцы жизни реакция Мицуды отрицательная. Примерно у 50% детей от 1 года до 3 лет реакция уже слабоположительная. В период от 3 до 10 лет интенсивность положительных реакций постепенно увеличивается и к 15-летнему возрасту у преобладающего большинства (80%) она достигает ++ или + + +.

Установлена прямая зависимость между частотой заболеваний Лепра и показателями реакции на лепромин у жителей эндемичных по Лепра районов.

Решающим фактором формирования типа Лепра и исхода инфекции является напряженность естественного иммунитета против микобактерий Лепра, определяемая с помощью лепроминовой пробы.

У людей с положительной реакцией на лепромин относительный естественный иммунитет к Лепра характеризуется достаточно высокой напряжённостью. У большинства лепроминопозитивных индивидуумов начинающийся процесс ТТ заканчивается самоизлечением, у немногих развивается устойчивый процесс ТТ и лишь у незначительной части больных он может трансформироваться в погранично-туберкулоидную (ВТ) или пограничную (ВВ) лепру. У лиц, не реагирующих на лепромин, заболевание в тех же условиях развивается чаще и по преимуществу в формах LL, погранично-лепроматозной (BL) или ВВ. Следовательно, индивидуумы с отрицательной реакцией Мицуды представляют группу повышенного риска заболевания Лепра

Вирулентность микобактерий Лепра не оказывает сколько-нибудь значительного воздействия на характер заболевания. Это подтверждается тем, что в одной и той же семье при наличии одного и того же источника и одинаковых условий у контактных лиц могут развиться различные типы Лепра с различным исходом.

Иммунитет к Лепра является относительным. При часто повторяющемся массивном суперинфицировании заболевание в любой форме может возникнуть и на фоне существующего естественного и Тяжёлая иммунитета. С другой стороны, в неэндемичных по Лепра зонах встречаются больные, для которых источник инфекции установить не удаётся ввиду кратковременности и случайности контакта и которые, следовательно, должны расцениваться как лица с повышенной восприимчивостью к Лепра.

Относительный естественный иммунитет может быть в определённой мере усилен введением вакцины БЦЖ, то есть путём создания Тяжёлая «инфекционного» аитимикобактериального иммунитета. На этом основании высказывалось предположение, что лица, перенёсшие первичный туберкулёзный комплекс, становятся менее восприимчивыми к лепрозной инфекции.

У нелеченых больных с ВТ, ВВ и BL процесс, как правило, эволюционирует в направлении типа LL, что, по-видимому, свидетельствует об угнетающем действии микобактерий на клеточный иммунитет. Многие сопутствующие заболевания, особенно вирусные, а также психические перенапряжения, переохлаждение организма, недоедание ослабляют напряжённость иммунитета к Лепра и могут способствовать прогрессированию заболевания, трансформации его в направлении типа LL.

Спектр всех иммунологический состояний не укладывается в рамки от ТТ до LL. Лица, не заболевшие Лепра в случае тесного контакта с больным, а также лица, у которых процесс ограничивается субклинической стадией инфекции или самоизлечением на самых ранних стадиях клинические, проявлений ТТ, рассматриваются как группа с наиболее выраженным иммунитетом. Наличие такой группы свидетельствует о том, что у больных ТТ также имеется определённая недостаточность иммунитета к микобактериям Лепра

Изучаемые иммунологический методами особенности больных LL указывают на недостаточность реакций клеточного иммунитета к микобактериям Лепра Лимфоциты от больных LL в присутствии микобактерий Лепра не дают реакции бластотрансформации, а при ТТ она положительная (смотри полный свод знаний Бластотрансформация лимфоцитов), не активируют макрофаги и не тормозят их миграцию. Неактивизированные макрофаги не ограничивают распространение инфекции, так как микобактерии Лепра размножаются именно в макрофагах. Ответ лимфоцитов от нелеченых больных LL на фитогемагглютинин (ФГА) несколько подавлен, тогда как лимфоциты больных ТТ реагируют нормально. Доказано, что у больных LL и в меньшей степени у больных ТТ но сравнению со здоровыми лицами замедлена реакция отторжения аллотрансплантата. По реагированию на химический сенсибилизаторы (динитрохлорбензол) и PPD (туберкулин), а также на приготовленные по типу лепромина взвеси других микобактерий больные Лепра практически не отличаются от здорового населения.

Таким образом, у больных LL выявляется анергия к микобактериям Лепра, не сопровождающаяся отчётливым снижением общей реактивности.

Большинство исследователей считает, что анергия к микобактериям Лепра может быть обусловлена наличием генетического дефекта или развитием толерантности в результате предшествующего контакта с перекрестно-реагирующими микобактериями или с микобактериями Лепра

Причины специфического снижения переваривающей способности макрофагов больных LL по отношению к микобактериям Лепра окончательно не выяснены. Наиболее часто высказывались предположения об отсутствии или недостаточности специфических гидролаз в лизосомах макрофагов. Однако Конвит (J. Convit) с соавторами (1974) показал, что макрофаги больных LL обладают необходимым энзиматическим потенциалом и что введением БЦЖ можно добиться активации макрофагов, которые начинают переваривать микобактерии Лепра

Предпринималось немало попыток связать восприимчивость к Лепра и главным образом развитие LL с определёнными иммуногенетическими показателями. Наиболее широко проводилось изучение генетического полиморфизма больных Лепра по группам крови и изучение антигенов гистосовместимости и исследования на близнецах.

Угнетение клеточных реакций иммунитета при LL сочетается с высокими титрами гуморальных антител, в том числе и антимикобактериальных, которые, по мнению большинства авторов, защитного значения не имеют. При ТТ антитела к микобактериям Лепра не обнаруживаются. Увеличение фракции иммуноглобулинов обусловлено главным образом увеличением количества IgA и IgM.

Наряду с иммуноглобулинами в сыворотке больных LL выявляются различные аутоантитела, включая ревматоидный фактор, антитиреоглобулины, антинуклеарные антитела, криоглобулины, цитотоксические и другие антитела. Сыворотки больных LL нередко дают положительную реакцию Вассермана.

Как правило, увеличено общее содержание сывороточных белков (при снижении количества альбуминов), может быть ускорена РОЭ, повышен титр С-реактивного белка. Особенно выражены эти отклонения в реактивной фазе LL. При этом какой-либо специфической для Лепра серо л. реакции не существует. Реакция иммунофлюоресценции с микобактериями Лепра для выявления антимикобактерий Лепра ввиду трудности получения очищенных от тканей микобактерий Лепра не получила широкого применения.

Клиническая картина

Инкубационный период при Лепра составляет в среднем 3—7 лет. Известны случаи удлинения инкубационного периода до 15—20 и более лет.

Туберкулоидный тип (ТТ) отличается более лёгким по сравнению с лепроматозным типом (LL) течением, лучше поддаётся лечению. Поражаются кожа и периферические нервы, реже некоторые внутренние органы. Микобактерии Лепра выявляются при гистологический исследовании очагов поражения, а в соскобах кожных поражений и слизистой оболочки носа отсутствуют. Лепроминовая проба положительная.

Кожные проявления в зависимости от стадии развития болезни имеют вид одиночных пятен или папулёзных высыпаний, бляшек, бордюрных или саркоидных элементов. Пятна при ранней ТТ гипопигментные или слегка эритематозные, с чётко очерченными краями. В дальнейшем по краю пятен появляются мелкие полигональные красноватосинюшные плоские папулы, они быстро сливаются в сплошные несколько возвышающиеся над уровнем кожи воспалительные бляшки, трансформирующиеся затем в бордюрные элементы. Поверхность бляшек гладкая, иногда шелушится. Наиболее типичным, классическим проявлением развитой ТТ является большая эритематозная бляшка с резко очерченным валикообразно приподнятым краем и склонностью к периферическому росту. По мере увеличения бляшки центральная её часть уплощается с появлением атрофии и гипопигментации. Это приводит к появлению больших кольцевидных сливающихся бордюрных элементов — фигурный туберкулоид (цветной рисунок 20). Ширина бордюра может колебаться от нескольких миллиметров до 2— 3 сантиметров и более. Наружный край его приподнят, внутренний — уплощён. Размеры бляшек и бордюрных элементов могут быть от 10— 15 миллиметров до обширных очагов, захватывающих большую часть спины, груди, поясницы. Расположение высыпаний обычно асимметричное, на любом участке тела.

Одной из разновидностей поражения кожи при этой форме Лепра являются саркоидные (люпоидные) образования размером от 2—3 миллиметров до 2—3 сантиметров красно-бурого цвета с чёткими границами и гладкой поверхностью, склонные к группированию, локализующиеся обычно на лице и конечностях, реже на туловище. При регрессе всех элементов на их месте остаются гипопигментные пятна или участки атрофии кожи (смотри полный свод знаний).

Поражение периферической нервной системы и обусловленные этим сенсорные, трофические и вазомоторные нарушения выявляются очень рано. В очагах поражения отмечается расстройство температурной, болевой и тактильной чувствительности (смотри полный свод знаний), выпадение пушковых волос, изменение пигментации, нарушение салоотделения, потоотделения (смотри полный свод знаний), сухость кожи, иногда гиперкератоз (смотри полный свод знаний). Зона расстройства температурной и болевой чувствительности выходит на 0,5—1,5 сантиметров за видимые границы высыпаний, а нарушение тактильной чувствительности и потоотделения регистрируется только в пределах высыпных элементов. На ранней стадии нередко отмечается диссоциация нарушений чувствительности, в отдельных случаях возможно кратковременное повышение всех видов чувствительности (гиперестезия), за которым непременно следует вначале снижение чувствительности, а затем полная анестезия (смотри полный свод знаний). В дистальных отделах конечностей могут быть нарушены все виды чувствительности. Вокруг бляшек и пятен можно обнаружить утолщённую поверхностную веточку кожного нерва, чего не бывает при LL. Поражение нервных стволов выражается в диффузном или чёткообразном их утолщении, болезненности, а иногда в развитии колликвационного некроза в местах, наиболее уязвимых для микобактерий Лепра (участки предилекции). Обычно вначале поражается нервный ствол, в зоне иннервации которого располагаются бляшки. Без лечения поражение нервов развивается по типу полиневрита (смотри полный свод знаний). В результате поражения крупных стволов периферической нервной системы развиваются парезы и параличи, трофические язвы, контрактуры пальцев, атрофия мелких мышц, изменения ногтей, мутиляции и другие изменения кистей и стоп (цветной 18 и 21). Часто встречается поражение лицевого нерва, что сопровождается лагофтальмом (смотри полный свод знаний) и парезом мышц лица (маскообразное лицо). Другие черепные нервы в процесс вовлекаются редко. В запущенных случаях могут нарушаться рефлексы с пяточных (ахилловых) сухожилий и сухожилия трёхглавой мышцы. Проприоцептивная чувствительность, как правило, не страдает.

Лепроматозный тип (LL) отличается большим разнообразием клинические, проявлений на коже (нечёткие пятна, инфильтраты, бляшки, узлы), ранним вовлечением в процесс слизистых оболочек, внутренних органов и более поздним — нервной системы, труднее поддаётся лечению. Во всех высыпаниях выявляются громадные количества микобактерий Лепра Лепроминовая реакция отрицательная.

Высыпания на коже чаще представлены многочисленными эритематозными или эритематозно-пигментными пятнами, характерными признаками которых являются симметричное расположение, небольшие размеры и отсутствие чётких контуров. Наиболее часто пятна локализуются на лице, разгибательных поверхностях кистей, предплечий и голеней, а также на ягодицах. Поверхность их гладкая, блестящая. Со временем первоначальный красный цвет пятен приобретает бурый или желтоватый (медный, ржавый) оттенок. Чувствительность и потоотделение в пределах пятен не нарушены. В течение длительного времени (месяцы, годы) пятна остаются без изменений, иногда исчезают, но чаще трансформируются в инфильтраты или лепромы (цветной рисунок 15 и 16). При развитии инфильтрата пятна приобретают вид ограниченных бляшек или значительных участков поверхностной инфильтрации кожи без чётких границ, постепенно переходящих во внешне неизменённую кожу. Развитие пареза сосудов и гемосидероза обусловливает бурый или синюшно-бурый цвет инфильтрата (цветной рисунок 13 и 14). Инфильтрация кожи сопровождается усилением функции сальных желёз, в результате чего кожа в местах поражений становится жирной, блестящей, лоснящейся. Расширение фолликулов пушковых волос и выводных протоков потовых желёз придаёт коже вид апельсиновой корки. Потоотделение в области инфильтратов сначала снижается, а в поздних стадиях — полностью прекращается. На ранних стадиях процесса рост пушковых волос не нарушается, в более позднем периоде (3—5 и более лет) наблюдается выпадение бровей (начиная с наружных сторон) и ресниц, а также пушковых волос на участках инфильтрации кожи, возможно выпадение волос бороды, усов. При диффузной инфильтрации кожи лица естественные морщины и складки углубляются, надбровные дуги резко выступают, нос утолщён, щеки, губы и подбородок имеют дольчатый вид — «львиная морда» (facies leonina, (цветной рисунок 19). Волосистая часть головы, внутренние части век, подмышечные ямки, локтевые сгибы и подколенные ямки, как правило, не поражаются (иммунные зоны), но при распространённом процессе в этих зонах выявляются гистопатологические изменения, характерные для LL. В области инфильтратов часто уже на ранних стадиях появляются одиночные или множественные бугорки и узлы (лепромы), размеры которых варьируют от 1 — 2 миллиметров до 2—3 сантиметров Лепромы чаще локализуются на лице (надбровные дуги, лоб, крылья носа, подбородок, щеки), мочках ушных раковин, а также на кистях, предплечьях, голенях, реже — на бёдрах, ягодицах, спине. Они резко отграничены от окружающей кожи, безболезненны, в скарификатах с них при микроскопическом исследовании обнаруживаются микобактерии Лепра (цветной рисунок 12).

Лепромы могут быть дермальными или гиподермальными. Гиподерма л ьные лепромы вначале выявляются пальпаторно, но в дальнейшем они достигают дермы и становятся видимыми. Дермальные лепромы вначале имеют вид овальных папул, постепенно превращаясь в бугорки красновато-ржавого цвета, возвышающиеся в виде полушарий над уровнем кожи. Поверхность их гладкая, лоснится, часто испещрена телеангиэктазиями, иногда шелушится. Из плотновато-эластических они становятся более мягкими, а в редких случаях фиброзного перерождения — очень плотными. Иногда они подвергаются рассасыванию, оставляя после себя пигментированное, несколько запавшее пятно. Наиболее частым исходом лепромы при отсутствии лечения является изъязвление. Процесс развивается вяло, торпидно, без выраженных воспалительных явлений и заканчивается образованием небольшого гипопигментного рубца. Реже наблюдается быстрый распад лепром, начинающийся с поверхности или центра узла, с образованием неглубоких, длительно не заживающих язв, которые могут сливаться, образуя обширные язвенные поверхности. Края язв крутые или подрытые, инфильтрированные, несколько возвышаются над окружающей кожей, могут быть болезненными, впоследствии становятся омозоленными. Дно язв покрыто серовато-жёлтым. налётом. После заживления остаётся ровный, слегка запавший, гипохромический, иногда келоидный рубец. Во всех случаях поражаются слизистые оболочки носа, а в запущенных случаях — слизистые оболочки полости рта, гортани, а также спинка языка и красная кайма губ. Ринит, носовые кровотечения нередко отмечаются ещё до появления кожных поражений. Слизистая оболочка носа гиперемирована, отёчна, с небольшими эрозиями; в дальнейшем появляются лепромы, инфильтрация, массивные корки, резко затрудняющие носовое дыхание. Распад лепром, расположенных на хряще перегородки носа, приводит к её перфорации и деформации носа. В запущенных случаях возможно изъязвление лепром на слизистой оболочке мягкого неба. Поражение области голосовых складок может привести к резкому сужению голосовой щели, афонии.

Специфические поражения органа зрения до лечения сульфоновыми препаратами встречались примерно у 80% больных Лепра При LL поражаются передний отдел глазного яблока и веки, чаще всего встречаются эписклериты (смотри полный свод знаний Склерит), очаговый кератит (смотри полный свод знаний Кератит), иридоциклиты (смотри полный свод знаний Иридоциклит), помутнение хрусталика, а также конъюнктивиты и блефариты. Развитие эписклеритов начинается с появления у лимба роговицы гиперемии, на месте которой образуется диффузный инфильтрат или небольшая (диаметром 2—4 миллиметров) лепрома. В нелеченых случаях эписклеральные лепромы увеличиваются, могут прорастать в радужку и ресничное тело. Кератиты характеризуются появлением мелких белых (просовидных) лепром на фоне очагового помутнения роговицы. В дальнейшем лепромы увеличиваются, изъязвляются, в роговой оболочке появляются сосуды (лепрозный паннус), кератит становится диффузным, распространяется на всю роговицу. В запущенных случаях возможно поражение радужки (гипертрофия пигментного зрачкового ободка, распад пигмента, явления ирита с перикорнеальной инъекцией сосудов, светобоязнью, болями). Появление мелких лепром и отложения фибринозного экссудата в виде белых хлопьев и нитей на поверхности радужки приводят к деформации зрачка и нарушению аккомодации. В прошлом хронический иридоциклиты являлись основной причиной слепоты больных Лепра На веках могут локализоваться диффузные инфильтраты и лепромы, что приводит к выпадению ресниц. Особенностью лепрозного конъюнктивита является отсутствие отделяемого и слабовыраженные явления раздражения.

При LL специфический процесс часто поражает периферическую нервную систему, лимфатических, узлы, печень, стенки большинства кровеносных сосудов, яички. Бедренные, паховые, поднижнечелюстные, подмышечные и другие лимфатических, узлы (кроме грудных и брыжеечных) увеличены, плотной консистенции.

Поражение периферической нервной системы проявляется сравнительно поздно и развивается, как правило, по типу симметричного полиневрита. Нарушения чувствительности в зоне кожных высыпаний долгое время отсутствуют, но со временем они всегда проявляются. Осевые цилиндры нервов сравнительно устойчивы к развитию в них лепрозного инфильтрата, чем объясняется довольно длительное сохранение его функции. Однако в дальнейшем наблюдается инфильтрация лепрозными клетками всего поперечника нервного ствола, по мере развития которой теряется чувствительность до полной анестезии. Поражённые нервные стволы утолщены, плотные, гладкие. На очень поздних стадиях неврита, кроме расстройств чувствительности, развиваются различные трофические и двигательные нарушения (лагофтальм, парез жевательной и мимической мускулатуры, амиотрофии, контрактуры, мутиляции, прободающие и трофические язвы стоп). Глубокие виды чувствительности, а также сухожильные и надкостничные рефлексы обычно сохраняются без нарушений.

Хронический гепатиты выявляются довольно рано, они имеют склонность к обострениям, особенно в период реактивных фаз. Печень может быть увеличена, иногда болезненна, отмечаются различные нечётко выраженные функциональный нарушения (смотри полный свод знаний Гепатит), обусловленные наличием мелких просовидных лепром в парапортальных областях и дольках печени.

Орхит (смотри полный свод знаний) и орхоэпидидимит характеризуются хронический течением с последующим нарушением функции яичек (инфантилизм и гинекомастия). Иногда при распространённой LL наблюдаются нарушения менструального цикла.

При LL, как и при других формах Лепра, наблюдаются изменения ногтей, они становятся тусклыми, сероватыми, утолщёнными, изрезанными продольными бороздками, ломкими, легко отслаиваются, крошатся.

Стёртые и атипичные формы лепроматозного типа. К первым относятся одиночные пятна, инфильтраты и лепромы (абортивное течение), а также очень мелкие лепромы, развившиеся вокруг фолликулов пушковых волос (фолликулярные лепромы). Из атипичных проявлений описаны ихтиозиформные, склеродермоформные, пеллагроидные, эризипелоидные, лихеноидные, герпетиформные, псориазиформные высыпания, гистоидная Лепра и лепра Лусио.

Гистоидная Лепра клинически характеризуется особой чёткостью границ и обрывистыми краями элементов (бляшек и узлов), на которых нередко бывает шелушение, точечные вдавления в центре.

Лепра Лусио (синонимы: лепра Лусио — Альварадо, диффузная LL, диффузная лепра Лусио—Латапи, пятнистая диффузная лепра) впервые описана в Мексике Лусио и Альварадо (R. Lucio, I. Alvarado) в 1852 год и подробно изучена Латапи (F. Latapi, 1938). Это распространяющаяся на всю поверхность тела диффузная LL без отдельных пятен, бляшек и лепром. Кожа становится блестящей и напряжённой, как при склеродермии. Волосяной покров иногда отсутствует. Диффузная инфильтрация лица (лунообразное лицо), хриплый голос, Отёки ног напоминают микседему. Лепра Лусио характеризуется слабо выраженной воспалительной реакцией и Васкулитом, сопровождающимся тромбозом кожных кровеносных сосудов, что приводит к обширным изъязвлениям кожи. Васкулит, встречающийся при других формах Лепра, обычно не сопровождается тромбозом. Лепра Лусио, сопровождаемая обширными изъязвлениями, называется лепрой Святого Лазаря. На поздних стадиях лепры Лусио развивается ихтиоз.

Встречается также так называемый сливная пятнистая LL, при которой едва заметные гипопигментированные или эритематозные пятна, быстро сливаясь, образуют единое пятно, покрывающее всю кожу, за исключением иммунных зон. При этих разновидностях Лепра решающим в диагностике заболевания является бактериоскопическое исследование скарификатов поражений кожи: при LL в них всегда обнаруживается большое количество микобактерий Лепра

Пограничные группы. В клинике других групп лепры (ВТ, ВВ, BL) в той или иной мере выражены признаки обоих полярных типов (пограничные состояния).

Погранично туберкулоидная группа (ВТ). Кожные высыпания при ВТ по внешнему виду, расположению и состоянию чувствительности очень напоминают проявления ТТ. Но при этом пятна и бляшки обычно меньших размеров, множественные, встречаются элементы с нечёткими границами (цветной таблица, ст. 80, рисунок 17). Как правило, имеются утолщения периферических Нервных стволов, нарушения чувствительности, потоотделения и роста пушковых волос, но по сравнению с ТТ все эти проявления менее выражены. Реакция на лепромин слабоположительная или положительная.

Пограничная лепра (ВВ). Кожные проявления, помимо сходства с основными группами, характеризуются типичными, не присущими полярным типам признаками: наряду с многочисленными асимметричными эритематозными пятнами, часто неправильной формы, с нечёткими границами или бляшками с отчётливым пологим краем и более выпуклой центральной частью, как правило, имеются «пробитые», или «штампованные», пятна и бляшки, получившие название дырочек сыра. Это обусловлено появлением в центральной части высыпаний чётко очерченных участков регресса (стихания) с гипопигментированной или нормальной по цвету кожей. При бляшках кожа в участках регресса уплощается, элемент сначала принимает вид «перевёрнутого блюдца», а затем возвышающихся над уровнем кожи округлых или полосовидных бордюрных элементов с чётким обрывистым внутренним краем (в отличие от бордюрных элементов при ТТ, где внутренний край уплощён). Как правило, такие бордюрные проявления приобретают фиолетовую окраску. Поблизости от пятнистых и бордюрных элементов обычно выявляются гроздья мелких высыпаний — сателлитов. Довольно рано развиваются множественные асимметричные поражения периферических нервных стволов. В самих высыпаниях выявляется умеренное нарушение чувствительности. Потоотделение на высыпаниях обычно не нарушено, пушковые волосы частично сохранены. Лепроминовая проба, как правило, отрицательная, реже слабоположительная.

Погранично лепроматозная группа (BL). Как и при LL, основными элементами BL являются не имеющие отчётливых границ пятна, папулы, бляшки, диффузные инфильтраты и узлы. Основной отличительной особенностью BL является наличие «пробитых», «штампованных» высыпаний и округлых или полосовидных бордюрных элементов с приподнятым внутренним краем. Характерно также наличие небольших вдавлений в центре некоторых папул и бляшек. Высыпания не столь множественны, как при LL, нередко располагаются асимметрично. На некоторых элементах уже в ранней стадии выявляется снижение чувствительности. Функция потовых желёз не страдает, чаще не нарушен и рост пушковых волос. Как и в случае пограничной Лепра, при BL обычно выявляется утолщение периферических нервных стволов, что, в отличие от LL, может предшествовать появлению высыпаний на коже.

Не развиваются такие типичные для LL проявления, как выпадение бровей и ресниц, деформация носа, поражение глаз, изъязвление слизистой оболочки носа, facies leonina. Реакция на лепромин всегда отрицательная. При бактериоскопии во всех кожных высыпаниях в большом количестве выявляются микобактерии Лепра

Течение заболевания хроническое. При всех разновидностях Лепра могут наблюдаться острые или подострые активации процесса (реакции, реактивные фазы, обострения). Несмотря на неоднократные попытки унифицировать описания реактивных состояний при Лепра, общепринятой классификации их не существует. Чаще различают два типа реакций: реакции, сопровождающиеся переходом (трансформацией) болезни в другую классификационную группу (так называемый пограничные реакции), и реакции, не сопровождающиеся трансформацией процесса. Пограничные реакции могут развиться у больных ТТ, ВТ, ВВ, BL и субполярным лепроматозом (LLs), кроме LL, и делятся на восходящие (обратные, оборонительные, реверсивные), при которых происходит трансформация в направлении типа ТТ, и на нисходящие, сопровождающиеся сдвигами в направлении LL. Во второй группе реакций выделяется обострение типа лепрозной узловатой эритемы (ЛУЭ), встречаемое только у больных LL и BL. Нередко реакции носят характер рожистого воспаления.

Основными признаками развития пограничной реакции являются быстрое видоизменение некоторых или всех имеющихся кожных высыпаний (покраснение, напряжённость, блеск), местное, а иногда и общее повышение температуры, болезненность нервных стволов или зоны иннервации поражённого нерва, отёк на лице и конечностях. Процесс распространяется также на лимфатических, узлы, слизистые оболочки носа и полости рта, глаза, некоторые внутренние органы. Позже могут развиться изъязвления высыпаний, некроз поражённых нервных стволов. Появление новых высыпании чаще свидетельствует о нисходящем характере обострения. Однако окончательный вывод можно сделать только на основании гистологический исследования. При реверсивной реакции выявляются признаки усиления клеточного иммунитета: увеличение количества лимфоцитов, эпителиопдных и гигантских клеток и уменьшение числа микобактерий Лепра (при нисходящей реакции — наоборот). При ТТ реверсивная реакция может привести к выздоровлению. В соответствии с направлением трансформации при пограничных реакциях показатели лепроминовой пробы изменяются в сторону усиления при реверсивных реакциях и в сторону ослабления — при нисходящих реакциях.

При обострении LL могут появляться новые высыпания, отёчность лица и конечностей, возникают или обостряются невриты, поражения глаз, лимфатических, узлов и внутренних органов, изъязвляются старые лепромы. Иногда в реактивной фазе LL появляются атипичные (уртикарные, лихеноидные, акнеформные, ихтиозиформные, фурункулоидные, розеолезные, пемфигоидные) высыпания. Чаще всего при этом встречается обострение типа лепрозной узловатой эритемы, при котором появляются элементы, типичные для узловатой эритемы. Появившиеся ярко-красные узлы и бляшки могут быть болезненными, бледнеют при надавливании, иногда изъязвляются, температура в них заметно выше, чем в окружающей их коже.

Как правило, обострения LL сопровождаются повышением температуры, болями по ходу нервных стволов, в суставах и костях, расстройствами сна. Появление на высыпаниях шелушения свидетельствует о начале регресса реакций.

Обострение при лепре Лусио проявляется появлением на коже болезненных эритематозных бляшек, в центре которых развивается некроз (иногда перед этим появляется пузырь). В дальнейшем формируется тёмная корка (струп), отпадающая через несколько дней. Особенно выражены изъязвления на ногах.

В основе реактивных состояний при Лепра лежат изменения напряжённости реакций гуморального и клеточного иммунитета. Лепрозная узловатая эритема и другие реакции при LL и BL развиваются по типу феномена Артюса (смотри полный свод знаний Артюса феномен). Наличие в сыворотке больных LL большого количества преципитирующих антител при высокой концентрации в организме антигена приводит к образованию иммунных комплексов антиген—антитело. Откладываясь в стенках сосудов и в тканях, они вызывают развитие ответной аллергической реакции. Нередко при этом выявляется гломерулонефрит иммунного происхождения, а в сыворотке крови — отклонения в содержании комплемента.

Обострения при других видах Лепра (ТТ, ВТ и ВВ) отражают изменения в интенсивности гиперчувствительности замедленного типа. С введением эффективной химиотерапии количество реакций (обострений) увеличилось. Факторами, способствующими развитию реактивных состояний, являются также сопутствующие заболевания, особенно инфекционные, психические перенапряжения, хирургические операции, иммунизации (особенно против оспы), беременность, роды и другие.

Диагноз

Ранняя диагностика Лепра снижает вероятность инфицирования окружающих, сокращает сроки стационарного лечения больных, способствует более успешной медицинский и социальной реабилитации больных.

Основной для диагностики Лепра является клинические, симптоматика. Диагностика поздних стадий Лепра (множественные лепромы, выпадение бровей и ресниц, парезы, параличи, мутиляции, западение носа, «львиная морда») не представляет обычно затруднений, в то время как ранние проявления лепрозного процесса нередко трудно диагностируются, поскольку многие проявления Лепра в этом периоде могут быть стёртыми и атипичными.

Учитывая многообразие ранних дерматол, и неврологический проявлений лепрозного процесса, вполне оправданно во всех случаях высыпаний на коже (эритемы, гиперили гипопигментация, папулы, инфильтраты, бугорки, узлы), не регрессирующих при проведении общепринятой терапии, проводить дополнительное обследование больного с целью исключения Лепра Проявлять настороженность следует также при снижении или исчезновении чувствительности на отдельных участках кожного покрова, появлении парестезий, нерезко выраженных контрактур V, IV и III пальцев рук, снижении мышечной силы, начинающейся атрофии мышц, пастозности кистей и стоп, стойких поражениях слизистой оболочки носа, сопровождаемых носовыми кровотечениями, наличии трофических язв и другие

Для правильной классификации процесса тщательно изучают внешний вид поражений, их число, расположение, степень нарушения чувствительности и состояние роста пушковых волос, наличие в высыпаниях и в соскобах со слизистой оболочки носа микобактерий Лепра, а также результаты реакции на лепро-пробу. Наиболее точно при клинические, обследовании больного диагностируется LL. При установлении остальных групп окончательный диагноз возможен только на основе результатов гистологический исследования. Установлено, что выявляемые гистологически изменения иммунологический реактивности опережают изменения в клинические, картине на недели, месяцы, а иногда и на 1—2 года. При этом необходимо тщательное изучение неврологический статуса, включая состояние болевой, тактильной и температурной чувствительности, бактериоскопическое, гистологический, рентгенологическое исследование, постановка функциональный проб (с гистамином, с никотиновой кислотой, с горчичником, на потоотделение и другие).

Рентгенодиагностика. При Лепра поражаются главным образом кости дистальных отделов конечностей. Для лепроматозного типа (LL) основными рентгенологическое признаками являются единичные или множественные очаги специфической воспалительной деструкции (лепромы) и нервно-трофические изменения, характеризующиеся атрофией, остеопорозом (смотри полный свод знаний) и рассасыванием костной ткани; лепромы чаще локализуются в губчатом веществе, реже в корковом веществе фаланг, пястных и плюсневых костей (рисунок 6). При разрушении ими суставных поверхностей происходит смещение дистально расположенных костей с образованием подвывиха или вывиха.



Информация об Ordo Deus Перейти в оглавление сайта

Рис. 1.
Микроскопическая картина лепроматозной гранулемы в коже: отчётливо видна свободная от инфильтрации субэпидермальная зона. Окраска гематоксилин-эозином; × 80. 1 — •эпидермис, 2 — субэпидермальная зона, 3 — инфильтрат.





Информация об Ordo Deus Перейти в оглавление сайта

Рис. 2.
Микроскопическая картина кожного инфильтрата при лепроматозном типе лепры: стрелками указаны лепрозные клетки Вирхова с «пенистой» цитоплазмой. Окраска гематоксилин-эозином; × 640.





Информация об Ordo Deus Перейти в оглавление сайта

Рис. 3.
Микроскопическая картина кожного инфильтрата при лепроматозном типе лепры: стрелками указаны скопления липидов в цитоплазме лепрозных клеток. Окраска Суданом III; × 500.





Информация об Ordo Deus Перейти в оглавление сайта

Рис. 4.
Микроскопическая картина кожного инфильтрата при лепроматозном типе лепры: стрелками указаны гигантские многоядерные лепрозные клетки. Окраска гематоксилин-эозином; × 640.





Информация об Ordo Deus Перейти в оглавление сайта

Рис. 5.
Микроскопическая картина инфильтрата кожи при лепроматозном типе лепры: скопления микобактерий лепры в клетках указаны стрелками. Окраска по Цилю — Нельсену; × 800.





Информация об Ordo Deus Перейти в оглавление сайта

Рис. 6.
Микроскопическая картина кожного инфильтрата пограничного типа лепры: субэпидермальная зона свободна, инфильтрат состоит из слабо дифференцированных эпителиопдных клеток и лимфоцитов; 1 — эпидермис, 2 — субэпидермальная зона, 3 — инфильтрат. Окраска гематоксилин-эозином; × 120.





Информация об Ordo Deus Перейти в оглавление сайта

Рис. 7.
Микроскопическая картина характерного поражения нерва кожи (расслоение и инфильтрация периневрия) при погранично-лепроматозной лепре: I — нервный стволик, 2 — периневрий. Окраска гематоксилин-эозином; × 300.





Информация об Ordo Deus Перейти в оглавление сайта

Рис. 8.
Микроскопическая картина кожной гранулемы при туберкулоидном типе лепры: поражение субэпидермальной зоны, инфильтрат состоит из эпителиоидных и лимфоидных клеток, 1 — эпидермис, 2 — субэпидермальная зона, 3 — инфильтрат. Окраска гематоксилин-эозином; × 120.





Информация об Ordo Deus Перейти в оглавление сайта

Рис. 9.
Микроскопическая картина инфильтрата кожи при туберкулоидном типе лепры: стрелками указаны гигантские клетки. Окраска гематоксилин-эозином; × 320.





Информация об Ordo Deus Перейти в оглавление сайта

Рис. 10.
Микропрепарат нерва кожи стопы: стрелкой указан лепроматозный инфильтрат. Окраска гематоксилин-эозином; × 80.





Информация об Ordo Deus Перейти в оглавление сайта

Рис. 11.
Микроскопическая картина лепроматозной гранулемы печени (указана стрелкой). Окраска гематоксилин-эозином; × 200.





Информация об Ordo Deus Перейти в оглавление сайта

Рис. 12.
Микропрепарат микобактерий лепры (указаны стрелками) в скарификате кожной лепромы. Окраска по Цилю— Нельсену; × 1600.



При туберкулой дном типе (ТТ) очаговая деструкция костной ткани встречается довольно редко. Явления остеолиза (смотри полный свод знаний) как следствия нервно-трофических и сосудистых нарушений наблюдаются при всех типах Лепра, сопровождающейся полиневритами. Вначале эти изменения проявляются сглаженностью ногтевых отростков, расширением каналов, питающих кость, а в более поздних стадиях — ведут к мутиляции фаланг кистей и стоп. Концентрическая атрофия фаланг, являющаяся одним из характерных признаков Лепра, вызывает своеобразную деформацию костей в виде шахматной пешки (рисунок 7).

Резорбция костей может вести к патологический переломам, подвывихам, вывихам, анкилозам, частичному или полному отторжению костей (рисунок 8). Изменения в костях стоп обычно более выражены вследствие присоединения остеомиелита, вызывающего секвестрацию, деструкцию костей, и ведут к глубокой инвалидности больного. Встречаются также периоститы и гиперостозы плюсневых, метакарпальных, реже длинных трубчатых костей предплечий и голеней.



Информация об Ordo Deus Перейти в оглавление сайта

Рис. 1—6.
Микроскопические картины поражений при различных формах лепры.





Информация об Ordo Deus Перейти в оглавление сайта

Рис. 7—12.
Микроскопические картины поражений при различных формах лепры.





Информация об Ordo Deus Перейти в оглавление сайта

Рис. 13 —14. Лепроматозный тип лепры: рисунок 13 — больная с локализованной инфильтрацией лица, плеч, конечностей и лепромами на плечах; рисунок 14 — распространённые инфильтраты на спине. Рис. 15 —16. Больная с множественными лепромами в разной стадии развития: рисунок 15 — на теле; рисунок 16 — на нижних конечностях. Рис. 17. Погранично-туберкулоидная лепра: инфильтраты и единичные папулы на ягодице. Рис. 18. Контрактуры и мутиляция пальцев кистей, дистрофия ногтевых пластин при лепре. Рис. 19. Facies leoninae (лепроматозный тип лепры). Рис. 20. Туберкулоидный тип лепры: начальная стадия образования кольцевидных элементов на ягодице. Рис. 21. Мутиляция и трофические язвы стопы при лепре.



Функциональные пробы. Фармакодинамические пробы помогают выявить характерные для Лепра очень ранние поражения периферической нервной системы, проявляющиеся, помимо нарушений поверхностных видов чувствительности, различными вазомоторными, секреторными и трофическими расстройствами. Наиболее широко применяется проба с гистамином, морфином или дионином. По одной капле 0,1% водного раствора гистамина (или 1% раствора морфина, 2% раствора дионина) наносят на исследуемый поражённый участок и на внешне не изменённую кожу. Через капли производят лёгкий, не достигающий капилляров укол или делают царапину. Появляющаяся в месте укола ограниченная эритема должна через 1—2 минут смениться рефлекторной эритемой диаметром в несколько сантиметров, в центре которой ещё через несколько минут образуется волдырь или папула. Полностью все три фазы реакции (триада Льюиса) наблюдаются у здоровых людей, на непоражённой коже у больных Лепра и на высыпаниях нелепрозной этиологии. На поражениях лепрозного происхождения, то есть при поражении нервных окончаний, рефлекторная эритема, развивающаяся по принципу аксонрефлекса (смотри полный свод знаний), отсутствует или выражена значительно слабее.

Для выявления малозаметных, сомнительных и даже не видимых ещё при обычном осмотре проявлений лепрозного процесса применяют пробу с никотиновой кислотой, предложенную Н. Ф. Павловым (1949). Через 1—3 минут после внутривенного введения 5—8 миллилитров 1% водного раствора никотиновой кислоты появляется постепенно усиливающаяся эритема всего кожного покрова, которая обычно исчезает через 10—15 минут На месте же поражений лепрозной этиологии, в том числе и невидимых, остаются участки ярко-красного цвета, часто возвышающиеся в виде волдырей (феномен «воспламенения и Отёка» высыпаний, обусловленный нарушением адаптационной способности вазомоторов).

При наличии гипопигментных пятен весьма ценной для выявления вазомоторных нарушений может оказаться проба с горчичником. Горчичник по обычной методике накладывают на границе исследуемого подозрительного участка и окружающей непоражённой кожи. При этом на пятне лепрозной этиологии эритема не развивается или бывает заметно менее выраженной, чем на окружающей его непоражённой коже. Аналогичный эффект наблюдается и при облучении эритемной дозой УФ-лучей.

Характерным для Лепра признаком является нарушение потоотделения. Исследуемый участок кожи смазывают реактивом Минора (йода 2 грамма касторового масла 15 грамм, спирта 98% до 100 миллилитров) или просто 2—5% раствором йода и после подсыхания припудривают крахмалом. Для стимуляции потоотделения больного помещают в суховоздушную ванну или дают выпить горячего чаю. На участках кожи с ненарушенным потоотделением растворенный йод, соединяясь с крахмалом, даёт синюю окраску, тогда как на участках лепрозных поражений синяя окраска не появляется.

Лабораторная диагностика заключается в проведении бактериоскопического и гистологический исследования. Бактериоскопическое исследование имеет решающее значение для ранней диагностики Лепра только при получении положительных результатов и особенно важно при подозрении на LL или BL. При ТТ, ВТ микобактерии могут не выявляться.

Обычно для бактериоскопического исследования берут соскоб со слизистой оболочки носа и скарификаты из поражённого участка кожи, а также кожи надбровных дуг, мочек ушных раковин, подбородка, дистальных отделов конечностей. Для взятия скарификата кожу зажимают двумя пальцами в складку, вдоль которой скальпелем делают небольшой разрез (глубиной 1—2 мм) и соскоб со стенок надреза переносят на предметное стекло; мазки окрашивают по Цилю—Нельсену. При проведении гистологический исследования часть срезов также окрашивают по Цилю—Нельсену для выявления микобактерии.

Дифференциальный диагноз следует проводить со многими заболеваниями кожи и периферической нервной системы. Фейзел (P. Fasal, 1975) называет Лепра «великим имитатором», способным имитировать многие болезни кожи и периферической нервной системы. Из кожных болезней, клинические, проявления которых сходны с Лепра, необходимо прежде всего иметь в виду бугорковый сифилид, сифилитические гуммы (смотри полный свод знаний Сифилис), токсикодермию (смотри полный свод знаний), многоформную экссудативную эритему (смотри полный свод знаний Эритема экссудативная многоформная), красный плоский лишай (смотри полный свод знаний Лишай красный плоский), туберкулёзную волчанку (смотри полный свод знаний Туберкулёз кожи), саркоидоз (смотри полный свод знаний), склеродермию (смотри полный свод знаний), витилиго (смотри полный свод знаний), грибовидный микоз (смотри полный свод знаний Микоз грибовидный), ретикулезы кожи (смотри полный свод знаний), лейшманиоз (смотри полный свод знаний), узловатую эритему (смотри полный свод знаний Эритема узловатая), трофические и прободающие язвы различной этиологии (смотри полный свод знаний Трофические язвы), рожу (смотри полный свод знаний), пеллагру (смотри полный свод знаний), пигментную крапивницу (смотри полный свод знаний Мастоцитоз) и другие.

В странах тропического пояса дифференциальный диагноз Лепра необходимо проводить с такими заболеваниями, как актиномикоз (смотри полный свод знаний), споротрихоз (смотри полный свод знаний), бластомикоз (смотри полный свод знаний), онхоцеркоз (смотри полный свод знаний), пинта (смотри полный свод знаний), фрамбезия (смотри полный свод знаний).

Определённые трудности могут встречаться при дифференциации Лепра и тех поражений периферической нервной системы, при которых имеются нарушения чувствительности, контрактуры, амиотрофии, мутиляции. К ним относятся сирингомиелия (смотри полный свод знаний), травматические невриты (смотри полный свод знаний), миелодисплазии, акроостеолиз, невральная амиотрофия Шарко—Мари (смотри полный свод знаний Амиотрофия), гипертрофический неврит Дежерина—Сотта (смотри полный свод знаний Дежерина—Сотта гипертрофический неврит). При дифференциации с этими болезнями следует принимать во внимание, что у больных Лепра преобладают нарушения поверхностных видов чувствительности, тогда как двигательные функции и глубокая чувствительность сохраняются, поэтому атаксии у них нет. Поражения чувствительности при Лепра никогда не развиваются по сегментарному типу. Не развивается также атрофия мышц плечевого пояса и проксимальных отделов конечностей. Ц. н. с. при Лепра не поражается.

Лечение

Основными противолепрозными средствами являются препараты сульфонового ряда: диафенилсульфон (ДДС, дапсон, авлосульфон), солюсульфон (сульфетрон), диуцифон, диацетил-диамино-дифенилсульфон, наряду с которыми применяют рифампицин, лампрен, протионамид и этионамид. Лечение больных Лепра должно быть комплексным, включая применение одновременно двух-трёх противолепрозных препаратов в сочетании со стимулирующими и общеукрепляющими средствами (гаммаглобулин, пирогенал, метилурацил, гемотрансфузия, витамины, липотропные вещества). Диафенилсульфон применяют внутрь в суточной дозе от 50 до 200 миллиграмм. Масляную суспензию дапсона в соответствующей дозе вводят внутримышечно 2 раза в неделю. Диацетил-диамино-дифенилсульфон (ДАДДС) — сульфон пролонгированного действия — вводят внутримышечно 1 раз в 72 дня по 225 миллиграмм.

Солюсульфон в виде 50% раствора вводят внутримышечно 2 раза в неделю в максимальной дозе 3,5 миллилитров (первая инъекция — 1 миллилитров, вторая — миллилитров, третья — 3 миллилитров, четвертая и последующие — 3,5 миллилитров). Рифампицин (рифадин, бенемицин) назначают внутрь ежедневно по 300— 600 миллиграмм. Протионамид (тревинтикс) — по одной таблетке (0,25 грамм) от 1 до 3-х раз в день через 1 час после еды. Этионамид (трекатор) — по 0,25 грамм 3 раза в день. Лампрен (В 663, клофазимин)— внутрь ежедневно по 100 миллиграмм (одна капсула). Курс лечения противолепрозными препаратами продолжается 6 месяцев. При хорошей их переносимости лечение проводят без перерывов между курсами. Как правило, в комплекс противолепрозных средств включают один из препаратов сульфонового ряда и один-два препарата другой химический структуры. С целью повышения эффективности лечения и предупреждения развития лекарственной устойчивости рекомендуется чередовать препараты и их сочетания через каждые 2 курса лечения. Противопоказанием для проведения комбинированного лечения могут быть лишь тяжёлые заболевания внутренних органов.

При лечении больных Лепра предпринимались попытки усилить реакции клеточного иммунитета путём применения наряду с сульфонами различных иммунных препаратов. Наиболее эффективными оказались многократные инъекции БЦЖ, назначение левамизола, повторные введения лейкоцитарного «фактора переноса», а также взвеси аллогенных лейкоцитов. Гоудел (Т. Godal, 1978) считает все эти методы перспективными, но нуждающимися в более тщательной аргументации, усовершенствовании и изучении возможных побочных действий.

При лечении Лепра нередко нарастают клинические, проявления лепрозного неврита. Это объясняется быстрым замещением гранулем в нервах рубцовой (фиброзной) тканью, что не должно рассматриваться как противопоказание к продолжению лечения. С целью предупреждения развития или прогрессирования невритов, амиотрофий и контрактур в число лечебный мероприятий с самого начала должны включаться физиотерапевтические процедуры, лечебный гимнастика, механотерапия.

В период реактивных фаз, протекающих без выраженного нарушения общего состояния, лечение следует продолжать, не снижая дозы, при путём реакциях — временно отменить, назначая десенсибилизирующие, общеукрепляющие и симптоматические средства.

Эффективность противолепрозного лечения оценивается по скорости регресса клинической проявлений Лепра, по результатам бактериоскопического контроля за динамикой количества возбудителя в очагах поражения и изменением его морфологии, а также по данным гистологический исследования.

Для стандартизации, сравнимости и объективности оценки результатов бактериоскопических исследований разработаны системы их цифровых выражений — бактериоскопические индексы (БИН).

При отсутствии эффекта лечения и в случаях рецидивов заболевания необходимо исключить возможность развития резистентности микобактерий Лепра к проводимой терапии. Для этого используют заражение мышей по методу Шепарда с последующим их лечением, а также хорошо контролируемое лечение больного в условиях стационара. В последнем случае, если у больного в результате 3—6-месячного регулярного лечения не наблюдается регресса клинической, бактериоскопических и гистологический показателей, он расценивается как резистентный к данному противолепрозному препарату или комбинации препаратов.

По данным V Комитета экспертов ВОЗ (1976), при сульфоновой монотерапии ежегодно примерно у 3% больных регистрируются рецидивы заболевания. Рецидивы чаще возникают после прекращения лечения (то есть обусловлены персистирующими микобактериями Лепра), но возможны и на фоне сульфонотерапии (то есть обусловлены резистентностью микобактерий Лепра или индивидуальными особенностями макроорганизма метаболизировать препарат).

Для индивидуального лечения и его контроля разработано несколько методов количественного определения сульфонов в жидкостях и тканях организма (колориметрические, флюорометрические, газохроматографические, хроматоденситометрические и другие). Единственным метаболитом дапсона в крови является моноацетилдапсон. Скорость ацетилирования дапсона у отдельных больных различна и, по данным Элларда (G. A. Ellard, 1974), колеблется от 14 до 53 часов Значительным колебаниям, в зависимости от фенотипа, подвержена также и скорость выведения сульфонов из организма больного. Эти показатели необходимо учитывать при подборе правильного режима лечения.

Как установил Уотерс (М. F. Waters, 1973) с соавторами, даже после многих лет сульфонотерапии и полного регресса кожных проявлений Лепра, жизнеспособные микобактерии Лепра продолжают выявляться в периферических нервах и поперечнополосатых мышцах, хотя дапсон легко проникает в эти ткани. Окончательного объяснения такого персистирования микобактерий Лепра не найдено, но несомненно, что это может быть одной из основных причин рецидивов Лепра. Именно поэтому большинство исследователей считает, что современными противолепрозными средствами больных Лепра (особенно LL, BL и В В) следует лечить на протяжении всей их жизни. Лечение больных ТТ должно продолжаться не менее 3—5 лет.

Физическая и социальная реабилитация

Успехи химиотерапии, обусловившие широкие возможности применения диспансерных методов борьбы с Лепра, придали особую актуальность вопросам физической и социальной реабилитации больных Лепра С целью профилактики мелких травм, потёртостей, ожогов, которые могут привести к появлению труднозаживающих язв, контрактур и других деформаций, очень важно обучить больных с нарушениями чувствительности кистей и стоп пользоваться различными приспособлениями при выполнении механической работы и при пользовании нагревательными приборами, правильно подбирать обувь или пользоваться ортопедической обувью, ежедневно тщательно осматривать кожу кистей и стоп, своевременно лечить любую ранку. Достигнуты определённые успехи в деле предотвращения развития инвалидности и устранения уже развившихся физических недостатков (деформаций конечностей, трофических язв, косметических дефектов, поражения глаз) методами восстановительной хирургии и физиотерапии.

Социально-экономическая реадаптация больных Лепра включает преодоление лепрофобии у здорового населения, психологические реабилитацию самого больного, его трудоустройство, а если требуется — профессиональную переориентацию, что даёт возможность больному чувствовать себя полезным и полноправным членом общества.

Прогноз

Прогноз при Лепра зависит от типа заболевания, стадии процесса в момент начала лечения и правильного подбора лекарственных средств. До применения препаратов сульфонового ряда продолжительность жизни больных лепроматозным типом Лепра (LL), по данным различных авторов, составляла в среднем 12—15 лет со времени появления первых клинические, признаков заболевания. Летальный исход чаще всего наступал от асфиксии, вызванной закупоркой трахеи лепромами, интеркуррентных заболеваний, лепрозной кахексии, а также от уремии, обусловленной амилоидозом почек. Больной к этому времени становится глубоким инвалидом, у которого наблюдаются мутиляции и контрактуры конечностей, множественные трофические язвы, параличи, слепота, деформация носа, поражение внутренних органов. В то же время известны отдельные случаи, когда заболевшие LL жили 30—40 лет. В крайне редких случаях наступало самоизлечение LL, сопровождавшееся выраженной инвалидностью. Больные туберкулоидным типом Лепра (ТТ) и недифференцированной Лепра часто доживали до глубокой старости, а в картине инвалидности преобладали последствия поражения стволов периферических нервов (контрактуры, параличи , мутиляции).

После введения в практику химиотерапии Лепра, в частности препаратов сульфонового ряда, показатели смертности больных Лепра и средний возраст умерших приблизились к показателям умерших от других причин.

В случае ранней диагностики Лепра (через 6 —12 месяцев после появления первых симптомов заболевания) и при условии регулярного эффективного лечения у больного может не остаться никаких инвалидизирующих последствий Лепра. При более позднем начале лечения (через 1 — 3 года после начала болезни) у больных Лепра могут оставаться нарушения чувствительности, амиотрофии, контрактуры пальцев рук, парезы, что влечёт за собой снижение мышечной силы, ограничение работоспособности.

Профилактика

Профилактика при Лепра состоит из индивидуальных и общественных (социальных) предохранительных мероприятий. Особенности профилактики при Лепра обусловливаются длительным инкубационным периодом, то есть невозможностью применения мер, подобных карантину, а также отсутствием вакцины и быстродействующих лекарств. Важнейшее значение в профилактике Лепра имеет проведение общеоздоровительных и санитарно-гигиенических мероприятий: повышение жизненного уровня населения, улучшение условий быта, личная гигиена.

Индивидуальная профилактика заключается в основном в соблюдении мер личной гигиены.

Больной Лепра должен иметь отдельную постель, отдельную посуду, часто и тщательно мыться, часто производить перевязки изъязвившихся лепром и трофических язв, регулярно лечиться. Для членов семьи больного, так же как и для обслуживающего медперсонала, никаких специальных правил поведения, помимо соблюдения общепринятых норм личной гигиены, не требуется. Перчатками медработникам следует пользоваться только при взятии биопсий и хирургических вмешательствах, а маской — при обследовании верхних дыхательных путей или при взятии соскоба со слизистой оболочки носа.

Наиболее древним способом общественной профилактики Лепра в условиях отсутствия эффективного лечения являлась полная изоляция больных в специально предназначенные для этого места — лепрозории (смотри полный свод знаний). Установление инфекционные природы Лепра послужило научным обоснованием необходимости санитарной изоляции больных Лепра В большинстве стран в специализированные противолепрозные учреждения (лепрозории, противолепрозные диспансеры или санатории) госпитализируются только больные — бактериовыделители. В некоторых странах (например, в Англии, Франции и другие) нет специализированных противолепрозных учреждений, и в случае необходимости больных Лепра госпитализируют в специализированные отделения или палаты в госпиталях тропической дерматологии или в инфекционные больницах.

В СССР ведущим в борьбе с Лепра является диспансерный метод, объединяющий в себе комплекс социальных, профилактических и лечебный мероприятий. Возможность изоляции больных Лепра на дому была узаконена постановлением СНК ещё в 1923 год. По действующей «Инструкции по борьбе с лепрой» обязательны регистрация и учёт всех больных этим заболеванием; лечение вновь выявленных больных проводится как в противолепрозных учреждениях, так и амбулаторно по месту жительства. В противолепрозные учреждения госпитализируют для проведения начального этапа лечения (до достижения бактериоскопической негативации) больных «открытыми» формами Лепра: 1) всех больных с лепроматозной, погранично-лепроматозной и пограничной формами Лепра; 2) больных туберкулоидной и погранично-туберкулоидной формами в случае, если у них имеются распространённые кожные высыпания, результаты бактериоскопии положительные, а также если процесс находится в стадии обострения; 3) больных, находящихся на диспансеризации, при возникновении рецидива болезни.

Амбулаторно по месту жительства могут лечиться вновь выявленные больные формами ТТ и ВТ при ограниченных кожных проявлениях и отрицательных результатах бактериоскопии соскобов со слизистой оболочки носа и скарификатов поражённых участков кожи.

Все выписанные из лепрозориев больные при возникновении у них сопутствующих заболеваний (за исключением рецидива Лепра), требующих стационарного лечения, могут госпитализироваться в общие и любые специализированные лечебный учреждения без каких-либо ограничений.

В эндемических по Лепра зонах целесообразно обследовать здоровое население с помощью реакции Мицуды. Лиц с анергией к микобактериям Лепра следует включать в группу повышенного риска заболевания, нуждающуюся в постоянном наблюдении, вакцинации БЦЖ или же в превентивном лечении.

Специфической вакцины против Лепра нет. Начиная с 1974 год под руководством ВОЗ в рамках специальной программы по тропическим болезням разрабатывается программа научных исследований по иммунологии Лепра, конечной целью которой является получение вакцины против Лепра

Усиления противолепрозного иммунитета и перехода отрицательной реакции на лепромин в положительную можно добиться вакцинацией БЦЖ, поэтому она может быть использована для профилактики Лепра. Однако достаточных доказательств специфического профилактического действия БЦЖ при Лепра не получено, так как результаты вакцинации БЦЖ жителей высокоэндемичных по Лепра районов дают неодинаковые результаты.

Необходимо проводить превентивное лечение лиц, имевших длительный семейный контакт с больными Лепра, одним из сульфоновых препаратов, дозировка и схема введения которого такие же, как и при лечении больных Лепра Продолжительность превентивного лечения — от 6 месяцев до 3 лет.

Действующая в СССР «Инструкция по превентивному лечению при лепре» предусматривает проведение химиопрофилактики лицам в возрасте от 2 до 60 лет, проживавшим в одной семье с больными Лепра с формами LL, BL или ВВ. За организацию и контроль проведения превентивного лечения отвечают противолепрозные учреждения, а непосредственное проведение его возлагается как на противолепрозную сеть, так и на кожно-венерологические диспансеры и местные амбулаторно-поликлинические учреждения.

Поскольку больной Лепра является единственным источником заболевания, чрезвычайно важное значение в профилактике Лепра имеет выявление и лечение больных в наиболее ранней стадии болезни. За выявлением больного обязательно должно следовать определение круга лиц, которым он мог передать инфекцию. Для выявления больных в зонах, эндемических по Лепра, должны регулярно проводиться профилактические осмотры. Членов семей больных Лепра берут под диспансерное наблюдение. Медосмотры и, в случае необходимости, лабораторный обследования проводят ежеквартально или не реже одного раза в год. Продолжительность наблюдения в различных странах колеблется от 3 до 10 лет. Если поражённость достигает 1 : 1000, Лепра для данной местности следует считать важной проблемой общественного здравоохранения и рекомендуется, помимо регулярного обследования контактных лиц, проводить ежегодные обследования всех школьников и других групп организованного населения. При распространении заболевания 5 : 1000 ежегодным обследованиям подлежит все население, а при поражённости Лепра 10 : 1000 и более все жители данной местности рассматриваются как контактные.

В большинстве стран больные Лепра не допускаются к работе по профессиям, связанным с непосредственным обслуживанием людей в детских и медицинский учреждениях, на пищевых и коммунальных предприятиях, таких, как бани, парикмахерские и тому подобное. Существуют межгосударственные соглашения, запрещающие въезд больных Лепра в некоторые страны.

Детей, родившихся у больных Лепра в противолепрозных учреждениях, признано возможным оставлять с матерью на период до 2— 3-летнего возраста. Если мать при этом аккуратно лечится и соблюдает необходимые санитарно-гигиенических нормы, потенциальная возможность заболевания ребёнка практически сводится к нулю. Более того, установлено, что с молоком матери выделяется определённое количество сульфонов, и Ребёнок, следовательно, получает превентивное лечение. По достижении 3-летнего возраста Ребёнок, так же как и дети старшего возраста, на период лечения матери в противолепрозном учреждении передаётся или в специальный детский дом для детей, родившихся от больных Лепра родителей, или в детский дом общего типа. Каких-либо ограничений для детей, родившихся от больных Лепра родителей, в посещении школы или других детских коллективов нет. При этом они, как и другие контактные лица, должны в течение установленного срока находиться под постоянным медицинский наблюдением. Не существует также ограничений в выборе профессии лицами, имевшими длительный семейный контакт с больными Лепра В некоторых странах детей, родившихся от больных Лепра родителей, до истечения срока контрольного наблюдения за ними не призывают на военную службу.

Сан.-просвет, работа должна проводиться дифференцированно среди больных Лепра, членов их семей и здорового населения. Во многих странах существует дискриминационное отношение к больным Лепра и членам их семей. Это нередко ведёт к укрывательству больных, самолечению. Давая правильные представления о природе, распространении и профилактике Лепра, а также о важности раннего начала лечения больных и возможности их излечения, санитарный просвещение способствует преодолению лепрофобии и повышению эффективности национальных программ борьбы с Лепра

Вишневецкий Ф.E.; Евстратова В.А.; Ющенко А.А.

⇐ Перейти на главную страницу сайта

⇑ Вернуться в начало страницы ⇑

Библиотека Ordo Deus ⇒

⇐ Леонтиасис осеа

⇓ Полный свод знаний. Том первый А. ⇓

Лепречаунизм ⇒

Все статьи в полном изложении, Вы можете найти в большой медицинской энциклопедии — Главный редактор: академик АН СССР (РАН) и АМН СССР (РАМН) Б.В. Петровский. — Москва издательство «Советская энциклопедия» 1989г.

Внимание! Вы находитесь в библиотеке «Ordo Deus». Все книги в электронном варианте, содержащиеся в библиотеке «Ordo Deus», принадлежат их законным владельцам (авторам, переводчикам, издательствам). Все книги и статьи взяты из открытых источников и размещаются здесь только для чтения.

Вся информация на сайте Ordo Deus находится в свободном доступе. Ordo Deus не предоставляет информацию на платной основе.

Все авторские права сохраняются за правообладателями. Если Вы являетесь автором данного документа и хотите дополнить его или изменить, уточнить реквизиты автора, опубликовать другие документы или возможно вы не желаете, чтобы какой-то из ваших материалов находился в библиотеке, пожалуйста, свяжитесь с нами по e-mail:
info @ ordodeus. ru
Формы для прямой связи с нами находятся в нижней части страниц: контакты и устав «Ordo Deus», для перехода на эти страницы воспользуйтесь кнопкой контакты вверху страницы или ссылкой в оглавлении сайта.

Вас категорически не устраивает перспектива безвозвратно исчезнуть из этого мира? Вы не желаете закончить свой жизненный путь в виде омерзительной гниющей органической массы пожираемой копошащимися в ней могильными червями? Вы желаете вернувшись в молодость прожить ещё одну жизнь? Начать всё заново? Исправить совершённые ошибки? Осуществить несбывшиеся мечты? Перейдите по ссылке: «главная страница».

© Ordo Deus, 2010. При копировании ссылка на сайт http://www.ordo-deus.ru обязательна.