Лейкоэнцефалит

Оглавление

  1. Дорога к бессмертию
  2. Бессмертие и религия
  3. Философия бессмертия
  4. Бессмертие и наука
  5. История анабиоза
  6. Смерть
  7. Кора головного мозга
  8. Бессмертие и анабиоз
  9. Анабиоз, медицина и биология
  10. Анабиоз и экономика
  11. Анабиоз и закон
  12. Анабиоз в Антарктиде
  13. Техническое обеспечение анабиоза
  14. Бессмертие и вера
  15. Библиотека Ordo Deus
  16. Контактная страница Ordo Deus

Лейкоэнцефалит

Лейкоэнцефалит (leukoencephalitis; греческий leukos белый + enkephalos головной мозг + itis) — воспалительно-дистрофическое поражение белого вещества головного мозга. Лейкоэнцефалит относятся к демиелинизирующим заболеваниям (смотри полный свод знаний).

Впервые заболевание из группы Лейкоэнцефалит описал Дансон (J. Danson) в 1933 год под названием «подострая форма летаргического энцефалита». В 1939 год Петте и Деринг (Н. Pette, G. Doring) сообщили об энцефалите с хронический прогрессирующим течением, несколько отличающимся по клинические, и патоморфологический проявлениям, назвав его узелковым панэнцефалитом. В 1945 год это же заболевание описано Ван-Богартом (L. Van Bogaert) как «подострый склерозирующий лейкоэнцефалит». В дальнейшем Ван-Богарт тщательно изучил клинику и морфологию этой хронический прогрессирующей формы энцефалита. С группой Лейкоэнцефалит также сходны описанный в 1912 год Шильдером (P. F. Schilder) диффузный периаксиальный энцефалит и геморрагический Лейкоэнцефалит, о котором сообщил Херст (Е. W. Hurst)B 1941 год

Этиология и патогенез. Предполагается, что Лейкоэнцефалит являются заболеваниями инфекционно-аллергической природы. Дискутируется роль миксовирусов, вирусов кори, бешенства и Herpes zoster как пусковых факторов гиперергического аутоиммунного процесса.

Классификация. Выделяют следующие клинико-морфологический формы Лейкоэнцефалит: подострый склерозирующий лейкоэнцефалит Ван-Богарта, периаксиальный лейкоэнцефалит Шильдера, острый геморрагический Лейкоэнцефалит. При Лейкоэнцефалит демиелинизирующий процесс обычно сочетается с поражением нейронов в той или иной степени, поэтому для некоторых его форм употребляется также термин «панэнцефалит».

Патологическая анатомия. Макроскопическое исследование мозга при Лейкоэнцефалит выявляет расширение борозд и атрофию извилин. На срезе полушарий определяются различного размера участки деструкции и демиелинизации во всех отделах мозга, преимущественно в белом веществе, но захватывающие различные участки серого вещества коры (рисунок 1). В наиболее поражённых отделах мозг имеет губчатую консистенцию, желудочки мозга умеренно расширены.

Гистологический картина характеризуется диффузной подострой воспалительной реакцией с периваскулярной инфильтрацией лимфоцитами и плазмоцитами и очаговой демиелинизацией (рисунок 2). Воспалительные изменения преимущественно локализованы в белом веществе мозга, иногда в коре, подкорковых ганглиях, мозговых оболочках. Разрушается нормально сформированный миелин (миелинокластический тип поражения). Степень демиелинизации и деструкции нервной ткани варьирует в различных очагах. Отдельные мелкие очаги могут сливаться. У краёв очага демиелинизации олигодендроциты увеличены, содержат амфофильные включения, в более поражённых участках они полностью исчезают. Кроме того, встречается много больших причудливой формы астроцитов с гиперхроматическими многодольчатыми или несколькими ядрами. Аксоны остаются относительно сохранными на ранних стадиях процесса, позднее в них могут быть дистрофические изменения. Нейроны коры полушарий большого мозга могут содержать включения двух типов: сферические частицы диаметром 30—40 микрометров и продолговатые, или тубулярные, структуры несколько меньшего диаметра. Включения чаще встречаются при небольшой длительности заболевания. Гистохимический исследования обнаруживают во включениях большое количество белка. В большинстве случаев находят пролиферативную реакцию глии. Глиоз может быть мелкоузелковый или в виде крупных очагов (псевдоопухоль). Диффузное разрастание волокнистой глии приводит иногда к уплотнению мозгового вещества, так что мозг на разрезе имеет хрящевидную консистенцию. Стенки артерий и вен утолщены, с избытком ретикулярных волокон в адвентиции.

Клиническая картина. Нервно-психические нарушения являются наиболее ранним проявлением заболевания. Вначале отмечаются жалобы на повышенную утомляемость, вялость, раздражительность, неустойчивость настроения. Постепенно круг нервно-психических расстройств расширяется. Появляется злобность, аффективность, жадность, эгоистичность, жестокость, недисциплинированность, инертность мышления. Больные часто совершают немотивированные поступки, теряют навыки опрятности.



Информация об Ordo Deus Перейти в оглавление сайта

Рис. 1.
Фронтальный срез головного мозга больного, умершего от геморрагического лейкоэнцефалита: белое вещество справа более отёчное, усеяно мелкими петехиальными кровоизлияниями (указаны стрелками), прилежащие участки коры нечётко очерчены.





Информация об Ordo Deus Перейти в оглавление сайта

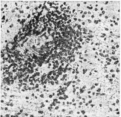
Рис. 2.
Микропрепарат ткани белого вещества мозга больного, умершего от геморрагического лейкоэнцефалита: стенка кровеносного сосуда (1) инфильтрирована и окружающая нервная ткань пропитана полиморфно-ядерными лейкоцитами (2).



На фоне психических нарушений постепенно в течение нескольких недель или месяцев прогрессирует очаговая неврологический симптоматика: апрактические расстройства, приводящие к потере навыков самообслуживания (смотри полный свод знаний Апраксин); гностические нарушения (смотри полный свод знаний Агнозия); возникают расстройства чтения, письма, счета. У некоторых больных наблюдаются зрительные, слуховые галлюцинации. Двигательные нарушения вначале представлены преимущественно экстрапирамидными расстройствами: выявляется ригидность, феномен «зубчатого колеса» (смотри полный свод знаний Дрожательный паралич). Наблюдаются полиморфные гиперкинезы мышц лица, конечностей, туловища — тремор (смотри полный свод знаний Дрожание), торсионный спазм (смотри полный свод знаний Торсионная дистония), Гемибаллизм (смотри полный свод знаний Гиперкинезы), миоклонии (смотри полный свод знаний). Пирамидные нарушения в типичных случаях развиваются на более поздних стадиях в виде моно-, геми или тетрапарезов и параличей (смотри полный свод знаний Параличи, парезы). К часто встречающимся симптомам очагового поражения относятся статическая и локомоторная атаксия (смотри полный свод знаний) мозжечкового или лобного типа. Двустороннее поражение корково-ядерных путей приводит к нарушениям фонации, глотания. Бульбарный паралич развивается довольно редко.

Постоянным признаком заболевания являются судороги (смотри полный свод знаний). Они могут появляться на разных стадиях болезни. Наиболее характерны малые и абортивные судорожные припадки, реже генерализованные большие припадки. В поздней стадии заболевания развиваются трофические и вегетативные расстройства: кахексия, пролежни, нарушения терморегуляции, профузный пот и так далее. В терминальной стадии больные обездвижены, иногда наблюдается децеребрационная ригидность (смотри полный свод знаний).

Течение Лейкоэнцефалит может быть неуклонно прогрессирующим или ремиттирующим. В последнем случае клинические, картина может напоминать рассеянный склероз (смотри полный свод знаний).

При электроэнцефалографии регистрируют периодическую пароксизмальную активность с интервалом 5—15 секунд одновременно в большинстве отведений в виде медленных (1—2 в 1 секунд) высоковольтажных волн.

В крови определяется лейкоцитоз, повышение фракции гамма-глобулина, обычно повышен титр антител к коревому вирусу или к миксовирусам (вирус jc, sv-40).

В цереброспинальной жидкости в большинстве случаев не наблюдается цитоза и увеличения содержания белка. Однако при электрофоретическом исследовании белков обнаруживают, что гамма-глобулин составляет до 40 и более процентов от общего количества белка, а фракция альбумина снижена. Коллоидные реакции дают максимальную флоккуляцию в первых пробирках (паралитический тип реакции Ланге).

Лечение должно быть комплексным. Показана гормональная и симптоматическая терапия. Положительный эффект получают при назначении кортикостероидов. Лечение глюкокортикоидами (преднизолоном) следует начинать в ранней стадии патологический процесса с учётом ритма гормональной деятельности надпочечников. Гормональная терапия дополняется противоаллергическими (димедрол, пипольфен, супрастин, диазолин) и противосудорожными препаратами. Показаны препараты, снижающие мышечный тонус (мидокалм, амедин, мидантан, циклодол и другие), витамины группы В и другие симптоматические средства. Применение активной терапии может задерживать течение болезни и способствовать ремиссиям на несколько лет.

Прогноз. При неуклонно прогрессирующем течении больные погибают через 2—12 месяцев после появления первых симптомов. При ремиттирующем течении заболевание длится до 3 лет и более, а ремиссии могут продолжаться от нескольких месяцев до нескольких лет, в течение которых симптомы заболевания почти или полностью отсутствуют.

Особенности отдельных форм лейкоэнцефалита. Подострый склерозирующий лейкоэнцефалит Ван-Бограммарта. При патоморфологические исследовании мозга больных с этой формой Лейкоэнцефалит, как правило, обнаруживаются внутриклеточные включения. Степень поражения уменьшается в направлении от коры к филогенетически более древним образованиям, но чаще, чем при других формах, поражается ствол и спинной мозг.

Клинические, особенностью этой формы Лейкоэнцефалит является раннее проявление и преобладание экстрапирамидных нарушений (гиперкинетическая форма), к которым лишь на поздних этапах присоединяются пирамидные симптомы. Эпилептические припадки не характерны.

Периаксиальный диффузный лейкоэнцефалит Шильдера. Патоморфологические особенностью по сравнению с другими Лейкоэнцефалит и рассеянным склерозом является относительно ранняя дистрофия аксонов. Эта форма отличается от предыдущей преобладанием пирамидных симптомов и частыми эпилептическими припадками. Обычно наблюдаются большие припадки. Характерно развитие ретробульбарного неврита зрительных нервов или центральной формы слепоты, связанной с демиелинизацией затылочных долей (смотри полный свод знаний Шильдера болезнь).

Острый геморрагический лейкоэнцефалит. По клинические, и патоморфологический признакам эта форма Лейкоэнцефалит сходна с вирусными и поствакцинальными энцефалитами. При патологоанатомическом исследовании выявляют отёк мозга, на срезах в веществе мозга — большие очаги мягкой розовато-серой или желтоватой окраски с множественными точечными кровоизлияниями. Гисто л. картина характеризуется фибринозным некрозом стенок мелких сосудов, в основном венул, окружённых экссудатом фибрина, воспалительными клетками и кольцевидными геморрагическими зонами. В этих же периваскулярных зонах — демиелинизация с умеренной или выраженной деструкцией аксонов. На самых ранних стадиях периваскулярные инфильтраты представлены главным образом нейтрофилами, однако в более старых очагах находят много лимфоцитов и плазмоцитов.

Клиника острого геморрагического Лейкоэнцефалит характеризуется чрезвычайно острым началом, молниеносным нарастанием тяжести симптомов поражения мозга. Заболевают лица обоего пола в возрасте от 20 до 40 лет. Длительность течения от 2 дней до 2 недель Развернутой клинические, картине предшествуют катаральные явления в зеве, лихорадка с лейкоцитозом в периферической крови. Через 2—4 дня появляется головная боль, ригидность мышц шеи, нарушается сознание, иногда развивается кома. Характерны фокальные или генерализованные судороги, двигательные нарушения в виде геми или тетраплегии, псевдобульбарный паралич. На глазном дне — отёк диска (соска) зрительного нерва. Редко наблюдаются подострые и хронический формы. С помощью ЭЭГ и артериографии могут быть обнаружены фокальные изменения. В цереброспинальной жидкости — выраженный плеоцитоз за счёт полиморфно-ядерных лейкоцитов, встречаются также лимфоциты; содержание белка повышено до 1 грамм/литр и более; часто выявляется ксантохромия цереброспинальной жидкости, микроскопически можно обнаружить единичные эритроциты.

Исход обычно летальный.

Бадалян Л.О.

⇐ Перейти на главную страницу сайта

⇑ Вернуться в начало страницы ⇑

Библиотека Ordo Deus ⇒

⇐ Лейкоцитурия

⇓ Полный свод знаний. Том первый А. ⇓

Лейомиома ⇒

Все статьи в полном изложении, Вы можете найти в большой медицинской энциклопедии — Главный редактор: академик АН СССР (РАН) и АМН СССР (РАМН) Б.В. Петровский. — Москва издательство «Советская энциклопедия» 1989г.

Внимание! Вы находитесь в библиотеке «Ordo Deus». Все книги в электронном варианте, содержащиеся в библиотеке «Ordo Deus», принадлежат их законным владельцам (авторам, переводчикам, издательствам). Все книги и статьи взяты из открытых источников и размещаются здесь только для чтения.

Вся информация на сайте Ordo Deus находится в свободном доступе. Ordo Deus не предоставляет информацию на платной основе.

Все авторские права сохраняются за правообладателями. Если Вы являетесь автором данного документа и хотите дополнить его или изменить, уточнить реквизиты автора, опубликовать другие документы или возможно вы не желаете, чтобы какой-то из ваших материалов находился в библиотеке, пожалуйста, свяжитесь с нами по e-mail:
info @ ordodeus. ru
Формы для прямой связи с нами находятся в нижней части страниц: контакты и устав «Ordo Deus», для перехода на эти страницы воспользуйтесь кнопкой контакты вверху страницы или ссылкой в оглавлении сайта.

Вас категорически не устраивает перспектива безвозвратно исчезнуть из этого мира? Вы не желаете закончить свой жизненный путь в виде омерзительной гниющей органической массы пожираемой копошащимися в ней могильными червями? Вы желаете вернувшись в молодость прожить ещё одну жизнь? Начать всё заново? Исправить совершённые ошибки? Осуществить несбывшиеся мечты? Перейдите по ссылке: «главная страница».

© Ordo Deus, 2010. При копировании ссылка на сайт http://www.ordo-deus.ru обязательна.