Корь

Оглавление

  1. Дорога к бессмертию
  2. Бессмертие и религия
  3. Философия бессмертия
  4. Бессмертие и наука
  5. История анабиоза
  6. Смерть
  7. Кора головного мозга
  8. Бессмертие и анабиоз
  9. Анабиоз, медицина и биология
  10. Анабиоз и экономика
  11. Анабиоз и закон
  12. Анабиоз в Антарктиде
  13. Техническое обеспечение анабиоза
  14. Бессмертие и вера
  15. Библиотека Ordo Deus
  16. Контактная страница Ordo Deus

Корь

Корь (morbilli) — острая инфекционная болезнь вирусной этиологии, характеризующаяся повышением температуры, интоксикацией, катаром верхних дыхательных путей и слизистых оболочек глаз, а также появлением на коже пятнисто-папулезной сыпи.

Оглавление

Этиология

Эпидемиология

Патологическая анатомия

Патогенез

Иммунитет

Клиническая картина

Осложнения

Диагноз

Лечение

Прогноз

Профилактика

Особенности кори у взрослых

Корь была известна ещё за несколько веков до нашей эры. Во второй половине 17 век Т. Сиденгам и Мортон (R. Morton) дали подробное описание клинические, картины Корь, однако ещё длительное время эту болезнь не дифференцировали от скарлатины и других заболеваний, сопровождающихся сыпью. Как самостоятельная болезнь Корь была выделена только в 18 век; в то время в связи с всеобщей восприимчивостью, высокой заболеваемостью и летальностью она считалась одной из самых грозных инфекций детского возраста.

Основы эпидемиологические. закономерностей при этом заболевании описаны Панумом (P. L. Panum, 1847).

За годы Советской власти в нашей стране достигнуты большие успехи в борьбе с этим заболеванием. Применение серопрофилактики, а также антибактериальных препаратов способствовало более лёгкому течению Корь, снижению осложнений и летальности. Изготовление живой коревой вакцины и массовая вакцинация детей привели к резкому снижению заболеваемости Корь

Большой вклад в изучение болезни внесли отечественные учёные Н. Ф. Филатов, А. И. Доброхотова, М. Г. Данилевич, А. А. Смородинцев, П. Г. Сергиев и другие

Этиология

Вирус Корь от больного впервые выделили Дж. Эндерс и Пиблс (Т. С. Peebles) в 1954 год путём заражения культур почечных клеток человека и обезьяны.

Вирус Корь относится к роду морбилливирусов семейства парамиксовирусов (смотри полный свод знаний). Вирионы округлой формы, диаметром 120—280 нанометров; имеют оболочку толщиной 10—20 нанометров, состоящую из белков, липоидов и углеводов, на поверхности которой расположены ворсинки длиной 10 нанометров. Центральную часть вириона составляет нуклеокапсид толщиной 17,5 нанометров и длиной около 1000—1250 нанометров. Внутри капсида располагается РНК с молекулярный весом 6,4-106. Антигены оболочки обладают комплементсвязывающей, гемагглютинирующей и гемолизирующей активностью и вызывают образование в организме вируснейтрализующих антител. Все известные штаммы вируса содержат однородные антигены.

Вирус агглютинирует эритроциты обезьян. Этот процесс могут вызывать не только вирионы, но и их оболочки, не содержащие нуклеокапсидов, а также фрагменты оболочки, полученные с помощью детергентов (смотри полный свод знаний). Гемолитическое действие обусловливают липопротеидные структуры вириона.

Вирус относительно стабилен при pH 5,0—10,5. В среде без белка вирус инактивируется при t° 4—6° за 2 недель, при t° 22—25° титр его снижается на 60% за 3—5 дней, при t° 37°. период полуинактивации составляет 2 часа, а при t° 56° он погибает за 30 минут.

При наличии в среде белка устойчивость вируса повышается. Вирус плохо переносит замораживание и оттаивание, выдерживает лиофилизацию только в присутствии стабилизаторов (сыворотки, альбумина, лактозы и другие), легко инактивируется эфиром, формалином, дезоксихолатом натрия, β-, γ и УФ-лучами.

Вирус размножается в первичных культурах клеток почек человека, обезьян, морских свинок, собак, хомячков, мышей, эмбрионов кур и японских перепелов, в перевиваемых линиях клеток амниона человека, почки обезьяны и овцы, опухолей человека, штаммах диплоидных клеток лёгких эмбриона человека и крупного рогатого скота и другие Размножение вируса сопровождается слиянием цитоплазмы отдельных клеток с образованием многоядерных клеток (симпластов) и превращением эпителиальных клеток в веретенообразные и звездчатые элементы. В клетках формируются цитоплазматические эозинофильные включения, а на поздних стадиях инфекции также внутриядерные. Вирус вызывает повреждение хромосом.

Эпидемиология

Источником возбудителей инфекции является только больной человек. Наиболее опасен для окружающих больной в катаральный период болезни и в первый день появления сыпи. С 3-го дня появления сыпи контагиозность резко снижается, а после 4-го дня больной считается незаразным. Имеются данные о передаче возбудителей инфекции в последние дни инкубационного периода. Больные митигированной (стёртой формой) Корь также являются источником инфекции.

Распространение возбудителей инфекции происходит воздушно-капельным путём. При кашле, чиханье с капельками слизи вирус Корь выделяется в окружающую среду и с током воздуха может распространяться в соседние комнаты, а через коридоры и лестничные клетки в другие квартиры. Возможен занос Корь с нижнего этажа на верхний по вентиляционной и отопительной системам. Передача через третье лицо встречается редко, так как вирус Корь в окружающей среде очень нестоек и быстро погибает. Корь встречается повсеместно. Периодические подъёмы заболеваемости Корь (каждые 2—4 года) объясняются накоплением достаточного количества детей, восприимчивых к Корь Заболеваемость Корь наблюдается круглый год, но максимальный подъем приходится на осенне-зимний и весенний период.

Корь считается детской инфекцией, однако ею могут болеть люди в любом возрасте. Чаще болеют дети в возрасте от 1 года до 5 лет. Дети до 3 месяцев, как правило, Корь не болеют, что объясняется наличием у них пассивного иммунитета, полученного от матери, в детстве перенёсшей Корь. После 3 месяцев напряжённость пассивного иммунитета резко снижается, а после 9 месяцев он исчезает у всех детей. Если мать не болела Корь, то ребёнок может заболеть с первого дня рождения. Описаны случаи врождённой Корь, когда мать болела ею во время беременности.

Корь очень контагиозна, что объясняется высокой восприимчивостью к ней (контагиозный индекс составляет 95—96%). Практически заболеваемость среди неиммунных групп населения достигает 99—100%; при заносе вируса Корь в места, где долго не было коревых эпидемий, ею переболевает почти все население. Об этом свидетельствовали эпидемии на Фарерских о-вах (1846), о-вах Фиджи (1875), охватившие 96,6% всего населения независимо от возраста. В период первой мировой войны во французский армии заболело 76 тысяч человек, из которых 1470 умерло. Большинство взрослых невосприимчиво к Корь, так как переболело ею в детстве.

Летальность при Корь повсеместно неуклонно снижается. В нашей стране летальность при Корь снизилась в сотни раз. Летальные исходы наблюдаются только от осложнённой Корь и у детей первого года жизни.



Информация об Ordo Deus Перейти в оглавление сайта

Рис. 1. Пятна Вельского—Филатова — Коплика на слизистой оболочке щёк.
Рис. 2. Энантема на мягком небе.
Рис. 3. Коревая сыпь.
Рис. 4. Коревая сыпь с геморрагическим компонентом.
Рис. 5. Макропрепарат гортани при кори, осложнённой вторичной инфекцией; стрелками указаны некротические изменения слизистой оболочки.
Рис. 6. Макропрепарат лёгкого при кори (поперечный срез), видны светлые участки воспалительных очагов (мелкоочаговая пневмония).
Рис. 7. Микропрепарат слизистой оболочки трахеи при кори: выражена метаплазия эпителия (указана стрелками).
Рис. 8. Микропрепарат ткани головного мозга при кори; стрелками указаны круглоклеточные периваскулярные инфильтраты (энцефалит).



Патологическая анатомия

Структурные изменения при неосложнённой Корь возникают прежде всего в органах дыхания, то есть там, где происходит первоначальное размножение вирусов. Эти изменения, появляясь в инкубационном периоде, затем постепенно усиливаются и достигают своего максимума в период высыпания. Поражается мерцательный эпителий слизистой оболочки дыхательных путей (эпителиоциты) и альвеолоциты; отмечаются дистрофические изменения этих клеток (белковая дистрофия и наряду с этим гигантоклеточный метаморфоз). Поражённые клетки резко увеличиваются в размерах (рисунок 1,1). В их цитоплазме появляются включения как вирусные, содержащие РНК, так и оксифильные реактивные. Включения выявляются также в некоторых эпителиоцитах, не подвергшихся гигантоклеточному метаморфозу. Одновременно происходит увеличение числа ядер клетки: их может быть от 2—3 до нескольких десятков. При электронно-микроскопическом исследовании в поражённых клетках выявляются деструктивные изменения ядер. Повреждённые клетки в дальнейшем десквамируются (рисунок 1, 2).

В просвете дыхательных путей и альвеолах иногда, кроме слущённых альвеолоцитов, имеется серозная жидкость с примесью единичных эритроцитов, макрофагов и нейтрофильных лейкоцитов. В слизистой оболочке и подслизистой основе гортани, трахеи и крупных бронхов нередко определяются небольшие лимфогистиоцитарные инфильтраты.

Эндотелий кровеносных сосудов органов дыхания, особенно в межальвеолярных перегородках, набухает, его клетки значительно увеличиваются в объёме. Иногда наблюдается картина фибриноидного набухания стенок сосудов (смотри полный свод знаний Фибриноидное превращение).



Информация об Ordo Deus Перейти в оглавление сайта

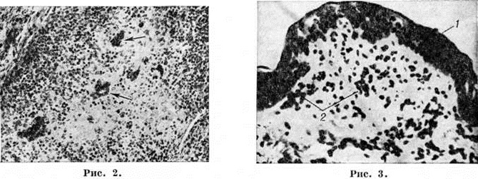
Рис. 2.
Микропрепарат ткани миндалины при кори: гиперплазия лимфоидного фолликула с образованием гигантских многоядерных клеток (указаны стрелками); × 230 Рис. 3. Микропрепарат кожи при кори: 1 — дистрофические изменения эпителия кожи; 2 — инфильтраты в дерме; × 350.



Наряду с поражением органов дыхания наблюдаются изменения лимфоидной системы, в первую очередь регионарных лимфатических, узлов переднего средостения. В фолликулах лимфатических, узлов на ранних стадиях болезни выявляются крупные центры размножения, состоящие из увеличенных ретикулоцитов с фигурами митозов, иногда определяются многоядерные гигантские клетки (смотри полный свод знаний). Эндотелий синусов лимфатических, узлов набухает. Синусы становятся широкими, содержат слущённые эндотелиоциты, серозную жидкость, единичные нейтрофильные лейкоциты и лимфоциты. Позднее в увеличенных центрах размножения фолликулов появляются некротические изменения с мелкоглыбчатым распадом клеток, в первую очередь изменённых ретикулоцитов, пропитыванием ткани белковой жидкостью с последующим обнажением её ретикулиновой основы. Эндотелий кровеносных сосудов лимфатических, узлов набухает. Отмечается плазматизация, особенно в области мозговых тяжей, с преобладанием незрелых форм плазмоцитов.

Сходные изменения отмечаются в других отделах лимфатических, системы — селезёнке, миндалинах (рисунок 2) и лимфоидной ткани. Многослойный плоский эпителий, покрывающий миндалины, а также слизистую оболочку щёк, мягкого и твёрдого неба, местами разрыхляется, в нем происходят дистрофические изменения, прежде всего вакуольная дистрофия (смотри полный свод знаний). В дальнейшем поверхностные слои эпителия слущиваются, а базальные слои инфильтрируются лимфоидными клетками и изредка нейтрофильными лейкоцитами. Отмечается также полнокровие стромы слизистой оболочки и подслизистой основы и небольшая, преимущественно лимфогистиоцитарная, их инфильтрация.

Возможно, по-видимому, поражение слизистой оболочки пищеварительного тракта. Об этом позволяют думать результаты исследований удалённых в продромальном периоде Корь червеобразных отростков, в которых иногда определяется мелкоглыбчатый распад энтероцитов, аналогичный возникающему при острых вирусных респираторных инфекциях. Гигантоклеточного метаморфоза энтероцитов не отмечается.



Информация об Ordo Deus Перейти в оглавление сайта

Рис. 1.
Микропрепараты слизистой оболочки бронха при кори (по И. Г. Штройту): 1—выраженный гигантоклеточный метаморфоз мерцательного эпителия (указан стрелками) × 360; 2—отторжение гигантской клетки (указано стрелкой); × 420.



В коже выявляют очаговые дистрофические изменения эпителия, разрыхление эпителиального слоя и незначительную лимфолейкоцитарную его инфильтрацию; отмечаются полнокровие, отёк и лимфогистиоцитарная инфильтрация дермы, в основном тех её участков, которые прилегают к эпидермису (рисунок 3). Воспалительные инфильтраты располагаются преимущественно вокруг сосудов и в меньшей мере вокруг выводных протоков сальных и потовых желёз. Иногда наблюдается образование гигантских клеток. Вблизи этих участков происходит ускоренное и неправильное ороговение кожи — паракератоз (смотри полный свод знаний). В дальнейшем происходит слущивание поражённого эпителия.

Многоядерные клетки, характерные для Корь, выявляются в миелоидной ткани костного мозга. Этих клеток здесь сравнительно немного, они меньших размеров, чем в органах лимфатических, системы. Их иногда трудно дифференцировать с мегакариоцитами. Гигантские многоядерные клетки, в отличие от мегакариоцитов, окружены в основном недифференцированными клетками преимущественно нейтрофильного ряда.

На фоне введения кортикостероидов иногда отмечается поражение почек с гигантоклеточным превращением нефротелия проксимальных отделов канальцев.

В центральная нервная система преобладает очаговое полнокровие и отёк мозговых оболочек с умеренной круглоклеточной их инфильтрацией. Наряду с этим отмечается периваскулярный отёк, очаговая пролиферация глии, набухание и хроматолиз нервных клеток, очаговое растворение миелиновых волокон. Такого рода изменения, которые можно рассматривать как энцефалит, наблюдаются преимущественно в белом веществе головного мозга (цветной рисунок 8).

Все внелёгочные изменения, являющиеся проявлением генерализации Корь, усиливаются к периоду высыпания; они становятся наиболее выраженными как по распространённости, так и по интенсивности, хотя выявляются в основном микроскопически.

С исчезновением сыпи ликвидируются изменения в различных органах. Гигантоклеточный метаморфоз эпителиоцитов перестаёт отмечаться ещё раньше. Несколько дольше других изменений сохраняется неспецифическая лимфогистиоцитарная инфильтрация во внутренних органах, а также в коже, что указывает на иммуноморфологические сдвиги в организме больного. Кроме того, дыхательные пути могут быть выстланы не мерцательным, а регенерирующим многослойным эпителием (цветной рисунок 7). Иногда происходит даже истинная метаплазия мерцательного эпителия в многослойный плоский с ороговением.

На фоне коревого поражения нередко возникают вторичные инфекционные процессы в результате как общего ослабления организма, так и вследствие нарушения местных защитных механизмов разветвлений бронхов. В связи с этим у больных Корь часто наблюдаются тяжёлые бактериальные пневмонии, которые в прошлые годы являлись непосредственной причиной смерти.

В зависимости от характера наслаивающейся микрофлоры изменения в лёгких больных Корь могут быть различными.

При вторичном развитии стафилококковой или стрептококковой инфекции наблюдаются некротические изменения прежде всего поверхностных слоёв слизистой оболочки дыхательных путей, чаще всего гортани. Слизистая оболочка дыхательных путей становится тусклой, сероватой или желтоватой, иногда она оказывается покрытой рыхлыми массами желтовато-серого цвета (цветной рисунок 5). В случае отторжения некротических масс образуются изъязвления с неровным сероватым дном. Некротический ларингит иногда осложняется гнойным перихондритом. В дистальных отделах дыхательных путей некротический процесс может захватывать всю толщу стенки мелкого бронха. В этом случае пневмония имеет перибронхиальный характер. При длительном течении процесса иногда возникают бронхоэктазы. В дальнейшем на месте некротизированной стенки бронха развивается грануляционная ткань, которая может выполнять просвет бронха. В респираторных отделах лёгких у таких больных возникают более или менее крупные очаги некротизирующей или абсцедирующей пневмонии. Реже развивается очаговая пневмония (цветной рисунок 6).

В случае присоединения пневмококковой инфекции поражения дыхательных путей бывают менее выраженными, но иногда наблюдается фибринозно-гнойное воспаление. В лёгких обнаруживаются очаги воспаления с лейкоцитарным или лейкоцитарно-фибринозным экссудатом. В случае прогрессирования болезни эти очаги сливаются.

В тяжёлых случаях течения Корь, которые стали наблюдаться редко, может развиться осложнение в виде влажной гангрены мягких тканей лица (смотри полный свод знаний Нома).

.

Патогенез

Входными воротами для вируса являются слизистая оболочка верхних дыхательных путей, по данным некоторых авторов — конъюнктива.

Проникая в организм через слизистую оболочку носовой части глотки, вирус попадает в кровь, где его можно обнаружить с первых дней инкубационного периода. Максимальная циркуляция вируса в крови наблюдается в конце катарального периода и в первый день появления сыпи. В эти дни вирус обнаруживается в большом количестве в отделяемом слизистых оболочек верхних дыхательных путей. С третьего дня появления сыпи количество выделяемого вируса резко уменьшается и к пятому дню вирус в крови не обнаруживается. С этого времени в крови начинают обнаруживаться вируснейтрализующие антитела.

По характеру клинические, проявлений и вегетативных сдвигов (катаральные явления, сыпь, лейкопения, снижение артериальное давление, повышение проницаемости сосудов и другие) Корь сходна с инфекционно-аллергическими болезнями. В этом отношении её сравнивают с сывороточной болезнью.

Патоморфологические исследования также подтверждают аллергический характер коревой инфекции. Появление сыпи на коже некоторые авторы рассматривают как аллергическую реакцию. Совпадая с максимальной вирусемией, она является результатом взаимодействия вирусного антигена с антителами, которые в это время уже начинают появляться.

Вирус Корь обладает тропизмом к центральная нервная система, дыхательной и пищеварительной системам.

Поражение слизистой оболочки дыхательных путей проявляется с первых дней болезни в виде катаров слизистых оболочек носа, гортани, трахеи.

Поражение со стороны пищеварительного тракта проявляется изменением слизистой оболочки рта и слизистой оболочки кишечника.

В патогенезе коревого процесса большое значение имеет способность вируса Корь вызывать состояние анергии (смотри полный свод знаний Реактивность организма), снижение общего и местного иммунитета (смотри полный свод знаний).

Иммунитет

Снижение иммунитета и изменение реактивности приводят к снижению сопротивляемости организма, в результате чего создаются благоприятные условия для воздействия как патогенной, так и условно-патогенной микрофлоры (стафилококк, стрептококк, пневмококк, грибки Кандида, патогенные штаммы кишечной палочки и другие). Этому в значительной степени способствует и нарушение витаминного обмена: под влиянием вируса Корь отмечается резкое снижение в организме витаминов С и А. Все это приводит к возникновению различных интеркуррентных заболеваний и развитию осложнений.

Иммунитет после перенесённой Корь довольно стойкий, практически пожизненный, повторные заболевания Корь встречаются очень редко.

Клиническая картина

Инкубационный период 6—17 дней, чаще 10 дней. У детей, получавших с профилактической целью гамма-глобулин, инкубационный период удлиняется до 21 дня, в отдельных случаях до 28 дней. В течении Корь различают три периода: катаральный (продромальный), периоды высыпания и пигментации.

Начало болезни характеризуется повышением температуры до 38,5— 39,0°, воспалением слизистой оболочки верхних дыхательных путей и конъюнктивы. Появляются обильные, вначале слизистые, затем слизисто-гнойные выделения из носа, сухой кашель, голос становится хриплым. Иногда в начале болезни развивается синдром крупа (смотри полный свод знаний). Отмечается светобоязнь, гиперемия конъюнктивы, отёчность век, затем появляется гнойное отделяемое, иногда довольно обильное. Ребёнок становится вялым, плаксивым, плохо ест, нарушается сон. Часто в начале болезни бывают рвота, жидкие испражнения, боли в животе. В более тяжёлых случаях с первых дней могут быть судороги и затемнённое сознание. Характерным для катарального периода являются своеобразные изменения на слизистых оболочках рта: на слизистой оболочке щек, на уровне коренных зубов, появляются высыпания серовато-беловатого цвета величиной с маковое зерно, окружённые красным венчиком. Слизистая оболочка при этом становится рыхлой, шероховатой, гиперемированной. Эти изменения впервые были описаны в 1890 год А. П. Вельским, затем независимо от него в 1895 год Н. Ф. Филатовым, а в 1896 год Копликом (Н. Koplik). В литературе этот симптом известен как пятна Вельского — Филатова — Коплика (цветной таблица, ст. 289, рис. 1). Они появляются за 1 — 2 дня до высыпания на коже, что помогает поставить диагноз Корь до появления сыпи и дифференцировать катаральные явления, наблюдаемые при Корь, от катаров верхних дыхательных путей другой этиологии.

Довольно постоянным симптомом при Корь является энантема — мелкие пятнышки розовато-красного цвета, появляющиеся на мягком небе за 1—2 дня до высыпания на коже (цветной рисунок 2).

Иногда в катаральном периоде на коже появляется мелкоточечная (скарлатиноподобная) или пятнистая сыпь, иногда уртикарная. Продромальная сыпь обычно не обильная и слабо выражена. С появлением коревой сыпи продромальная сыпь исчезает. Катаральный период Корь продолжается 3—4 дня, иногда он удлиняется до 5 и даже 7 дней.

Период высыпания начинается на 4—5-й день болезни и характеризуется появлением пятнисто-папулезной сыпи на неизменённом фоне кожи (цветной таблица, ст. 289, рисунок 3); период высыпания длится 3—4 дня. Первые элементы сыпи появляются за ушами, на спинке носа в виде мелких розовых пятен, которые быстро увеличиваются в размере, имеют неправильную форму, иногда сливаются. Количество пятен увеличивается и к концу первых суток сыпь покрывает все лицо, шею; отдельные пятна появляются на груди и верхней части спины. На 2-е сутки сыпь полностью покрывает туловище и верхнюю часть рук, а на 3-й день она распространяется на ноги и руки. Иногда сыпь имеет -геморрагический характер (цветной рисунок 4).

Типичен вид коревого больного в период высыпания: лицо одутловатое, веки утолщены, нос и верхняя губа отёчны, глаза красные, гноящиеся, наблюдаются обильные выделения из носа.

Температура в первый день высыпания более высокая, чем в катаральном периоде. Иногда за 1 — 2 дня до появления сыпи температура у ребёнка несколько снижается и новый подъем её отмечается в первый день появления сыпи. Температура остаётся повышенной весь период высыпания. При неосложнённом течении она нормализуется на 3—4-й день от начала высыпания. Общее состояние в этот период тяжёлое, отмечается беспокойство, бред, иногда сонливость; часто бывают носовые кровотечения. Тяжесть симптомов общей интоксикации при Корь соответствует форме болезни.

Период пигментации характеризуется изменением цвета сыпи — она начинает темнеть, приобретает коричневый оттенок. Сначала сыпь пигментируется на лице, затем на туловище и на конечностях, то есть пигментация идёт в той же последовательности, что и высыпание. Пигментированная сыпь обычно держится 1 — 1½ недель, иногда дольше. После исчезновения сыпи может быть мелкое отрубевидное шелушение.

В этот период общее состояние медленно улучшается. Катаральные явления постепенно ликвидируются. После перенесённой Корь длительное время остаётся состояние астении (смотри полный свод знаний Астенический синдром) и анергии.

В периферической крови при неосложнённой Корь отмечается лейкопения и лимфоцитоз, при возникновении осложнений — лейкоцитоз нейтрофильного характера со сдвигом влево.

Клинические формы кори. Типичная Корь, при которой имеются все симптомы, свойственные этой болезни, может быть лёгкой, средней тяжести и тяжёлой. Тяжесть определяется степенью интоксикации.

К атипичной Корь относят такие случаи, при которых основные симптомы болезни слабо выражены, стёртые или некоторые из них полностью отсутствуют. Может наблюдаться укорочение периода высыпания, в некоторых случаях отсутствует катаральный период, иногда нарушается этапность высыпания.

Стёртая, очень лёгкая форма Корь называется митигированной. Она наблюдается у детей, получавших в инкубационном периоде гамма-глобулин. Митигированная Корь протекает обычно при нормальной или слегка повышенной температуре, нередко при этом отсутствуют пятна Вельского — Филатова — Коплика. Сыпь бледная, мелкая, необильная (иногда всего несколько элементов), этапность высыпания нарушается. Катаральные явления выражены очень слабо или полностью отсутствуют. Осложнений при митигированной Корь обычно не наблюдается. Стёртая форма Корь нередко наблюдается у детей в возрасте от 3 до 9 месяцев, так как у них заболевание развивается на фоне пассивного иммунитета, полученного от матери.

К атипичным случаям Корь относят очень редкие гипертоксические, геморрагические, злокачественные формы.

Корь у привитых живой коревой вакциной протекает типично и сохраняет все свойственные ей клинические, симптомы.

Осложнения

Осложнения при Корь могут быть ранними и поздними. Ранние осложнения появляются уже в катаральном периоде или в первые дни высыпания, поздние — обычно в периоде пигментации сыпи. Осложнения при Корь в основном связаны с присоединением вторичной микробной флоры; они являются единственной причиной смерти при Корь. Из осложнений чаще всего наблюдаются ларингит, л аринготрахеобронхит, пневмония, отит.

Ларингиты (смотри полный свод знаний) и ларинготрахеиты, появляясь в катаральном периоде, обычно исчезают с появлением сыпи. Ранние ларингиты имеют катаральный характер. Некротические, фибринозно-некротические и язвенные ларингиты и ларинготрахеиты чаще возникают в периоде пигментации сыпи, но иногда могут быть и в начале болезни; они характеризуются длительным, иногда волнообразным течением, сопровождаются афонией (смотри полный свод знаний) и выраженными стенотическими явлениями (смотри полный свод знаний Круп).

Пневмония (смотри полный свод знаний) при Корь может появиться в любом периоде болезни. В патогенезе пневмоний, помимо вируса Корь, большое значение имеет вторичная микробная инфекция. Рано возникшие пневмонии отличаются более тяжёлым течением, сопровождаются выраженной интоксикацией, поражением центральная нервная система и сердечно-сосудистой системы. Физикальные изменения со стороны лёгких nppi этом могут быть выражены нерезко. Ранние пневмонии протекают или в виде бронхопневмоний с наклонностью к слиянию очагов или в виде интерстициальных пневмоний.

Поздние пневмонии при Корь возникают обычно в периоде пигментации сыпи (после 4—5-го дня от начала высыпания). При этом после периода нормальной температуры в течение 1 — 2 дней у ребёнка вновь повышается температура, наступает резкое ухудшение общего состояния. Появляются одышка, цианоз вокруг рта. В лёгких выслушивается большое количество влажных хрипов, определяется тимпанический оттенок перкуторного звука, местами очажки укорочения перкуторного звука.

Пневмония при Корь в прежние годы отличалась медленным течением, наклонностью к абсцедированию. Своевременное применение антибиотиков обеспечивает быстрое разрешение и гладкое течение пневмонии. Эмпиемы плевры и абсцессы лёгкого при Корь встречаются исключительно редко. Наиболее часто возникают и более тяжело протекают пневмонии у детей первых двух лет жизни. Почти все летальные исходы коревых пневмоний отмечаются у детей именно в этом возрасте.

Стоматит (смотри полный свод знаний) при Корь может возникнуть в любом периоде болезни, чаще он имеет катаральную и афтозную форму. Некротический и язвенный стоматиты развиваются только у ослабленных детей с нарушенным питанием и авитаминозом (смотри полный свод знаний Витаминная недостаточность).

Колит (смотри полный свод знаний) и энтероколит (смотри полный свод знаний Энтерит, энтероколит) иногда возникающие в период пигментации обычно вызываются наслоением вторичной микробной флоры, причём это могут быть как патогенные, так и условно-патогенные микробы (дизентерийные микробы, энтеропатогенные штаммы кишечной палочки, грибки Кандида, стафилококки, энтерококки и другие).

Отит (смотри полный свод знаний) является наиболее частым осложнением Корь, возникает, как правило, в период пигментации. Обычно наблюдаются катаральные отиты, гнойные отиты встречаются редко.

Кератит (смотри полный свод знаний) — редкое осложнение Корь, встречается чаще у детей с дистрофией и авитаминозом. Большое значение в его возникновении играет также и плохой уход за глазами ребёнка во время болезни.

Пиодермия (смотри полный свод знаний) наблюдается у детей с хронический нарушением питания, находящихся в плохих санитарно-гигиенических условиях; нередко поражения кожи возникают на фоне осложнений со стороны лёгких.

Осложнениями со стороны нервной системы являются энцефалит (смотри полный свод знаний) и серозный менингит (смотри полный свод знаний). В некоторых случаях может развиться энцефаломиелит (смотри полный свод знаний), сопровождающийся параплегией (смотри полный свод знаний) и другими симптомами поражения спинного мозга.

Коревая энцефалопатия (смотри полный свод знаний) возникает у детей младшего возраста в случае осложнения Корь пневмонией; она отличается бурным развитием очаговых неврологический симптомов и характеризуется склонностью к обратному развитию (кроме случаев тромбоза синусов).

Коревой энцефалит может начаться на любом этапе заболевания, но чаще в период высыпания. На фоне высокой температуры отмечается помрачение сознания, иногда развивается кома с судорогами и менингеальным синдромом, возникают рассеянные очаговые симптомы: гемиплегия (смотри полный свод знаний), атаксия (смотри полный свод знаний), гиперкинезы (смотри полный свод знаний), косоглазие (смотри полный свод знаний), нистагм (смотри полный свод знаний), повышается давление цереброспинальной жидкости, отмечается плеоцитоз до 120—400 клеток в 1 мм³ (норма 0—5 клеток в 1 мм³). Симптомы характеризуются необратимостью, стабильностью. Высокая летальность при коревом энцефалите (по данным некоторых авторов, в среднем 10— 15%), летальность в случае тромбоза синусов при коревой энцефалопатии, тяжёлые органические поражения мозга наблюдаются главным образом среди детей до 5 лет. Гнойный менингит почти не встречается.

Психические расстройства при Корь отмечаются уже в продромальном периоде; у детей возникает астения, сопровождающаяся светобоязнью, гиперакузией, двигательным беспокойством. Позднее может возникнуть делириозный синдром (смотри полный свод знаний): у младших — редуцированный, у старших — более развёрнутый; возможен онейроидный синдром (смотри полный свод знаний). Эти синдромы инфекционные психоза обратимы и после длительной астении проходят бесследно (смотри полный свод знаний Инфекционные психозы).

В случае органического поражения мозга могут развиться слабоумие, эпилепсия (смотри полный свод знаний), эндокринопатии, наблюдаются психоподобное развитие личности, двигательные и речевые дефекты. Остаточные явления компенсируются в разной степени, иногда и полностью. Эти последствия, а также астенические состояния после Корь, протекающей с психическими расстройствами, требуют наблюдения психоневролога, который контролирует режим нагрузки, дополнительные выходные дни школьников, организационную и лечебный помощь страдающим эпилепсией, двигательными и речевыми расстройствами, отбор в санаторные школы и спецшколы.

Диагноз

Диагноз типичной Корь не представляет особых трудностей. Острое начало болезни с постепенно усиливающимися катаральными явлениями со стороны верхних дыхательных путей, наличие конъюнктивита, появление энантемы и пятен Вельского — Филатова — Коплика на слизистой оболочке рта, этапность высыпания пятнисто-папулезной сыпи помогают дифференцировать Корь от других болезней, сопровождающихся сыпью и катаральными явлениями со стороны верхних дыхательных путей. Диагноз подтверждается данными эпидемиологические анамнеза.

Лабораторная диагностика проводится путём выделения вируса от больных с последующей его идентификацией (смотри полный свод знаний Идентификация вирусов) в реакции нейтрализации (смотри полный свод знаний Вирусологические исследования) или иммунофлюоресценции (смотри полный свод знаний), выявления вирусного антигена в осадке мочи больного с помощью реакции иммунофлюоресценции, а также исследования сыворотки на наличие коревых антител в реакциях нейтрализации, реакции связывания комплемента (смотри полный свод знаний), торможения гемагглютипации (смотри полный свод знаний) или торможения гемолиза.

Выделение вируса производят редко ввиду сложности и продолжительности этого метода. Материалом для исследования служит кровь, смывы глотки, секрет конъюнктивы, моча, взятые в продромальном периоде или в первые два дня периода высыпания. Материал транспортируют в охлаждённом состоянии; при невозможности провести исследование немедленно его хранят при температуре не выше — 40°. Из кровяного сгустка готовят 10—20% взвесь, при взятии крови в раствор гепарина (1 : 2000 — 1 миллилитров) используют суспензию лейкоцитов. Материал вносят в однослойную культуру почечных клеток обезьян и человека или клеток амниотической оболочки человека. Культуры наблюдают не менее 30 дней. О наличии вируса судят по появлению многоядерных клеток.

Для выявления коревого антигена в моче применяют прямое иммунофлюоресцентное окрашивание; исследуется осадок мочи. Положительные результаты можно получить за 2 дня до появления сыпи и в течение 5 дней после высыпания. Вирусный антиген обнаруживается в цитоплазме или ядрах эпителиальных клеток.

При исследовании сывороток с целью диагностики Корь первую пробу крови следует брать не позднее 4-го дня с начала заболевания, вторую — в течение 2—3-й недель

Для постановки реакции торможения гемолиза сначала определяют гемолитическую активность вируса. К пробе сыворотки объёмом 1,0 миллилитров прибавляют 0,25 миллилитров 5% взвеси эритроцитов обезьяны. После выдерживания в течение 4 часов при t° 37° эритроциты осаждают центрифугированием и определяют степень гемолиза путём измерения величины экстинкции при длине луча 540 нанометров. За единицу гемолитической активности принимают E540 = 0,03. Далее к двукратным разведениям испытуемой сыворотки в объёме 0,5 миллилитров прибавляют 4 гемолитических единицы вируса в объёме 0,5 миллилитров и 0,25 миллилитров 5% взвеси эритроцитов. Титром сыворотки считают её максимальное разведение, частично предотвращающее гемолиз.

Диагноз Корь считается подтверждённым при условии четырёхкратного нарастания коревых антител в парных сыворотках крови. Наибольшей чувствительностью обладают реакции нейтрализации и торможения гемагглютинации. Меньшее значение имеют реакции связывания комплемента и торможения гемолиза.

Дифференциальный диагноз. В катаральном периоде Корь необходимо дифференцировать с гриппом (смотри полный свод знаний) и другими респираторными вирусными болезнями (смотри полный свод знаний), особенно аденовирусными, при которых наряду с выраженными катаральными явлениями может быть и конъюнктивит. В этих случаях диагноз устанавливают по появлению пятен Вельского — Филатова — Коплика, которые характерны только для Корь При острых респираторных вирусных инфекциях слизистые оболочки щёк остаются чистыми, блестящими.

Корь необходимо дифференцировать со скарлатиной (смотри полный свод знаний). Для скарлатины катаральные явления совершенно нетипичны. Изменения в зеве при Корь (разлитая гиперемия и пятнистость) также резко отличаются от отграниченной гиперемии зева, свойственной скарлатинозной ангине. Появляющаяся в катаральном периоде Корь скарлатиноподобная сыпь обычно равномерно покрывает всю кожу ребёнка, в отличие от характерной для скарлатины локализации сыпи и отсутствии её в области носогубного треугольника. Скарлатиноподобная сыпь держится очень недолго и исчезает перед появлением истинной коревой сыпи.

Определённые трудности представляет дифференциальная диагностика Корь и краснухи (смотри полный свод знаний). При краснухе катаральный период обычно отсутствует, сыпь появляется в первый день болезни и быстро распространяется в течение нескольких часов по туловищу и конечностям. Этапности высыпания, свойственной Корь, при краснухе не наблюдается. Сыпь при краснухе более мелкая и бледная, не имеет тенденции к слиянию, располагается преимущественно на разгибательных поверхностях конечностей, спине, ягодицах; она исчезает через 1—2 дня, не оставляя пигментации. На слизистых оболочках рта (на мягком и твёрдом небе, на щеках) при краснухе может быть энантема, однако слизистые оболочки остаются блестящими, обычной окраски. Катаральные явления при краснухе выражены слабо, температура нормальная или повышена незначительно. Для краснухи характерно увеличение лимф, узлов, особенно затылочных и заушных. Общее состояние при краснухе почти не нарушается. Для краснухи характерны изменения в крови в виде лейкопении с лимфоцитозом и наличие большого количества плазматических клеток. При Корь в период высыпания наблюдается лейкопения с нейтрофилезом. С краснухой чаще приходится дифференцировать митигированную Корь, при к-рой может быть нарушена этапность высыпания, слабо выражены катаральные явления, а также могут отсутствовать и пятна Вельского — Филатова — Коплика. В этих случаях значение имеют данные эпидемиологический анамнеза и сведения о введении гамма-глобулина с целью профилактики Корь

В периоде высыпания Корь иногда приходится дифференцировать с инфекционной эритемой (см. Эритема инфекционная), различными медикаментозными и аллергическими сыпями (см. Крапивница, Лекарственная аллергия). В связи с применением различных медикаментозных средств (чаще всего сульфаниламидов и антибиотиков) может появиться сыпь, похожая на коревую, но наряду с ней могут быть высыпания другого характера (аннулярная и уртикарная сыпь). При этом сыпь чаще бывает на туловище, в области суставов, реже на лице; этапности высыпания, свойственной Корь, не наблюдается, нет катаральных явлений.

При дифференциальной диагностике Корь с сывороточной болезнью (см.) очень важно учитывать данные анамнеза о введении ребёнку чужеродной сыворотки за 7—10 дней до появления сыпи. Высыпания при сывороточной болезни чаще начинаются с места введения сыворотки, элементы сыпи более полиморфны, чем при Корь, сыпь часто имеет уртикарный характер, сопровождается зудом. Катаральные явления могут быть, но очень слабо выражены. Характерным для сывороточной болезни является увеличение периферических лимф, узлов.

Корь необходимо дифференцировать также от энтеровирусных инфекций, протекающих с сыпью (смотри, полный свод знаний Энтеровирусные болезни). Однако при них не бывает этапности высыпания, нет пигментации и пятен Вельского — Филатова — Коплика. Катаральные явления бывают слабо выражены.

Лечение

Лечение проводится обычно в домашних условиях. Госпитализации подлежат дети с тяжёлым течением Корь, при осложнениях, а также в тех случаях, когда домашние условия не позволяют организовать соответствующий уход за ребёнком. Обязательной госпитализации подлежат дети из закрытых детских учреждений; их следует помещать в боксированные палаты на 1—2 человек.

Основное внимание в комплексе лечебный мероприятий должно быть направлено на создание хороших санитарно-гигиенических условий, организацию ухода за больным и правильное питание. Комнату, в которой находится больной, необходимо систематически проветривать, ежедневно делать в ней влажную уборку, она не должна затемняться.

Постельный режим необходимо соблюдать в течение всего лихорадочного периода и первые 2—3 дня после снижения температуры. В дальнейшем, если нет осложнений, ребёнок может переходить постепенно на нормальный для его возраста режим.

Несколько раз в день ребёнку промывают глаза тёплой кипячёной водой или 2% раствором соды. После удаления гноя и гнойных корок в глаза закапывают стерильный рыбий жир по 1—2 капле 3—4 раза в день и р-р витамина А. Это предохраняет склеру от высыхания и предупреждает возникновение кератита. Сухие потрескавшиеся губы смазывают борным вазелином или несолёным сливочным маслом. Нос прочищают ватными тампонами, смоченными тёплым вазелиновым маслом; при образовании корок в нос закапывают вазелиновое масло по 1 — 2 капле 3—4 раза в день. Для предупреждения стоматита после приёма пищи рот поласкают кипячёной водой (для детей более старшего возраста) или дают пить воду.

Питание назначается соответственно возрасту; во время лихорадочного периода желательна молочно-растительная диета. После нормализации температуры следует переходить на полноценную соответствующую возрасту диету. При отсутствии аппетита, особенно во время лихорадочного периода, не следует насильно кормить ребёнка, но необходимо следить за тем, чтобы ребёнок получал достаточное количество жидкости (чай, фруктовые соки, жидкие кисели, компоты).

Назначают витамин С (300—500 миллиграмм в день), витамин А по 10 000 ME в день, в периоде реконвалесценции рыбий жир.

Антибиотики при неосложнённой Корь применять, как правило, не рекомендуется. Детям раннего возраста (до 2 лет), особенно ослабленным предшествующими заболеваниями, при тяжёлом течении Корь, выраженной интоксикации и изменениях в лёгких (одышка, влажные хрипы), когда трудно решить вопрос, есть или нет пневмонии, следует назначать антибиотики. Раннее применение антибиотиков в таких случаях может предупредить развитие пневмонии и других осложнений. Назначают антигистаминные препараты (димедрол, пипольфен, супрастин, тавегил и др.). При инфекционном психозе в зависимости от состояния применяют успокаивающие средства — бромиды, валериану, триоксазин, терален. При повышении внутричерепного давления (если ребёнок пьёт и ест) проводят дегидратационную терапию (смотри, полный свод знаний); при тяжёлых судорожных явлениях назначают хлоралгидрат в клизмах.

При возникновении осложнений лечение проводят в зависимости от их характера и тяжести.

Необходимо учитывать, что у детей, перенёсших Корь, в течение более или менее длительного времени остаётся состояние астении; поэтому надо ограждать их от чрезмерной школьной нагрузки, а в школьные занятия включать постепенно. Дети раннего возраста после перенесённой Корь должны некоторое время находиться на щадящем режиме, который предусматривает удлинённый сон, более длительное пребывание на воздухе, калорийное витаминизированное питание.

Прогноз

Прогноз при своевременно начатом лечении благоприятный.

Профилактика

Заболевший изолируется на срок не менее 5 дней, при осложнении пневмонией — не менее 10 дней от начала высыпания. Большое значение имеет своевременная сигнализация о заболевшем в соответствующие детские учреждения и о детях, имевших контакт с больным корью. Дети, бывшие в контакте с больным Корь, не допускаются в детские учреждения (ясли, детские сады и первые 2 класса школы) в течение 17 дней от момента контакта. Для детей, получавших гамма-глобулин с профилактической целью, срок разобщения удлиняется до 21 дня. Если начало контакта установлено точно, дети могут посещать детские учреждения первые 7 дней инкубационного периода; разобщение начинается с 8-го дня от момента контакта с больным. Учитывая наиболее высокую контагиозность Корь в катаральном периоде, основным мероприятием, способствующим успешной борьбе с распространением её в детском коллективе, является ранняя диагностика Корь и своевременная изоляция больного.

Специфическая профилактика. Метод профилактики Корь человеческой сывороткой был разработан Дегквицем (R. Degkwitz) в 1919 год Он основан на том, что у переболевших Корь коревые антитела сохраняются практически всю жизнь. Введение ребёнку сыворотки, содержащей антитела, в первые дни инкубационного периода предохраняет его от заболевания Корь или облегчает её течение (метод пассивной профилактики кори). Для пассивной профилактики применяется гамма-глобулин, приготовленный из человеческой крови (смотри полный свод знаний Иммуноглобулины, препараты). Гамма-глобулин с профилактической целью вводится детям в возрасте от 3 месяцев до 4 лет, не болевшим корью и имевшим контакт с больным. Доза гамма-глобулина 3 миллилитров. Наибольший профилактический эффект от гамма-глобулина достигается при введении его не позже 5-го дня от момента контакта. Длительность действия гамма-глобулина 3—4 недель. При повторном контакте с больным Корь после этого срока рекомендуется дополнительно ввести гамма-глобулин в половинной дозе.

Детям старше 4 лет, не болевшим Корь и не привитым ранее коревой вакциной, гамма-глобулин при контакте с коревым больным вводят только по медицинский показаниям.

Наиболее перспективным методом является активная профилактика Корь живой коревой вакциной (смотри полный свод знаний Иммунизация).

В нашей стране проводится иммунизация детей вакциной, изготовленной под руководством А. А. Смородинцева в Ленинградском НИИ эпидемиологии и микробиологии имени Пастера из вакцинного штамма Л-16. Введение этой вакцины восприимчивым детям сопровождается ответной иммунологический реакцией, выражающейся в 95—98% случаев появлением специфических коревых антител. Накопление антител начинается через 7 —15 дней после введения вакцины. Наиболее высокий уровень антител устанавливается через 1—2 месяцев. Через 4—6 месяцев титр антител начинает уменьшаться, но защитный уровень антител сохраняется в течение 8—10 лет и более. Окончательно длительность иммунитета, приобретённого в результате активной иммунизации, пока не установлена.

В ответ на введение живой коревой вакцины в период с 6-го по 18-й день могут возникать клинические, проявления вакцинального процесса, характеризующиеся отдельными кореподобными симптомами: повышением температуры, появлением конъюнктивита, катаральными явлениями со стороны слизистых оболочек верхних дыхательных путей, а иногда и сыпи. Вакцинальная реакция продолжается обычно не более 2—3 дней.

Дети с вакцинальными реакциями не опасны для окружающих. Прививки против Корь живой вакциной проводят детям, не болевшим Корь и не имеющим медицинский противопоказаний, в возрасте от 10 месяцев до 8 лет. Вакцину вводят однократно подкожно в дозе 0,5 миллилитров. Дети, временно освобождённые от прививок по состоянию здоровья, подлежат обязательному учёту и вакцинации после снятия противопоказаний.

.

Особенности кори у взрослых

У взрослых, не болевших Корь в детстве, болезнь протекает в типичной, чаще среднетяжёлой форме. Начало острое, нередко с ознобом, повышением температуры до 38—39°. С первого дня возникают катаральные явления со стороны слизистых оболочек дыхательных путей и конъюнктивы, а через 1—2 дня появляется энантема на мягком небе и пятна Вельского — Филатова — Коплика на слизистой оболочке щёк. Период катаральных явлений длится 3—4 дня.

С началом периода высыпания состояние больных ухудшается, температура повышается до 39,5—40,5°. Больных беспокоят сильная головная боль, тошнота, рвота, бессонница, отсутствие аппетита. У лиц старше 20 лет в этом периоде особенно резко выражены явления интоксикации. Сыпь пятнисто-папулезная, сливная, распространяется поэтапно, возникает сначала на лице, постепенно распространяясь на туловище и конечности. После её угасания остаётся бурая пигментация, часто с геморрагиями. Период высыпания длится 3—4 дня.

Тяжёлые формы болезни наблюдаются, по данным ряда авторов, в 4,5—5% случаев. Особенно тяжело протекает Корь у взрослых, живших до заболевания в тех местах, где длительное время эта инфекционные болезнь не регистрировалась, а также у лиц старше 70 лет.

У взрослых, переболевших Корь в детстве, при повторном заболевании Корь болезнь протекает типично, но легче. Инкубационный период нередко более продолжительный, чем у детей. В катаральном периоде температура тела, как правило, не превышает субфебрильных цифр, изменения со стороны слизистых оболочек выражены слабо, продолжительность периода удлиняется до 5 дней. Период высыпания протекает также легче, интоксикация выражена незначительно, пигментация после сыпи слабая, без геморрагий.

Клинические, диагноз как при первичном, так и при более редком повторном заболевании обычно не труден. Картина периферической крови характеризуется лейкопенией, резко выраженным палочкоядерным сдвигом. При возникновении осложнений возможен лейкоцитоз.

Осложнения, по данным ряда авторов, встречаются в 17—20% случаев. Чаще наблюдаются евстахиит (смотри полный свод знаний Тубоотит), отит (смотри полный свод знаний), синусит (смотри полный свод знаний Придаточные пазухи носа), пиелонефрит (смотри полный свод знаний), реже менингоэнцефалит, серозный менингит, пневмония. Осложнения могут протекать очень тяжело, но, как правило, заканчиваются выздоровлением. Резкое повышение летальности наблюдается у лиц в возрасте старше 70 лет.

H.В.; Кудрявцева В.П.; Нисевич H.И.; Пилле Э.Р.; Цинзерлинг А.В.

⇐ Перейти на главную страницу сайта

⇑ Вернуться в начало страницы ⇑

Библиотека Ordo Deus ⇒

⇐ Кортикоэстрома

⇓ Полный свод знаний. Том первый А. ⇓

Косноязычие ⇒

Все статьи в полном изложении, Вы можете найти в большой медицинской энциклопедии — Главный редактор: академик АН СССР (РАН) и АМН СССР (РАМН) Б.В. Петровский. — Москва издательство «Советская энциклопедия» 1989г.

Внимание! Вы находитесь в библиотеке «Ordo Deus». Все книги в электронном варианте, содержащиеся в библиотеке «Ordo Deus», принадлежат их законным владельцам (авторам, переводчикам, издательствам). Все книги и статьи взяты из открытых источников и размещаются здесь только для чтения.

Библиотека «Ordo Deus» не преследует никакой коммерческой выгоды.

Все авторские права сохраняются за правообладателями. Если Вы являетесь автором данного документа и хотите дополнить его или изменить, уточнить реквизиты автора, опубликовать другие документы или возможно вы не желаете, чтобы какой-то из ваших материалов находился в библиотеке, пожалуйста, свяжитесь с нами по e-mail:
info @ ordodeus. ru
Формы для прямой связи с нами находятся в нижней части страниц: контакты и устав «Ordo Deus», для перехода на эти страницы воспользуйтесь кнопкой контакты вверху страницы или ссылкой в оглавлении сайта.

Вас категорически не устраивает перспектива безвозвратно исчезнуть из этого мира? Вы не желаете закончить свой жизненный путь в виде омерзительной гниющей органической массы пожираемой копошащимися в ней могильными червями? Вы желаете вернувшись в молодость прожить ещё одну жизнь? Начать всё заново? Исправить совершённые ошибки? Осуществить несбывшиеся мечты? Перейдите по ссылке: «главная страница».

© Ordo Deus, 2010. При копировании ссылка на сайт http://www.ordo-deus.ru обязательна.