Коли–инфекция

Оглавление

  1. Дорога к бессмертию
  2. Бессмертие и религия
  3. Философия бессмертия
  4. Бессмертие и наука
  5. История анабиоза
  6. Смерть
  7. Кора головного мозга
  8. Бессмертие и анабиоз
  9. Анабиоз, медицина и биология
  10. Анабиоз и экономика
  11. Анабиоз и закон
  12. Анабиоз в Антарктиде
  13. Техническое обеспечение анабиоза
  14. Бессмертие и вера
  15. Библиотека Ordo Deus
  16. Контактная страница Ordo Deus

Коли–инфекция

Коли–инфекция ([Escherichia] coli + инфекция; синонимы: коли-бактериоз, эшерихиоз) — группа инфекционных болезней, вызываемая условно-патогенными и патогенными серотипами кишечной палочки, характеризующаяся локализацией патологического процесса преимущественно в кишечнике, реже в мочевыводящих, желчевыводящих путях, лёгких; возможна генерализация инфекции и развитие сепсиса. Встречается чаще у детей раннего возраста.

Кишечная палочка (Escherichia coli), открытая в 1885 год Т. Эшерихом, является постоянным обитателем толстой кишки человека и многих животных, одним из представителей нормальной кишечной флоры (смотри полный свод знаний Кишечник, микрофлора).

Кишечная коли-инфекция (синонимы: коли-энтерит, колидиспепсия). Поражаются преимущественно дети первого года жизни (особенно первых 3—5 месяцев). Дети старшего возраста и взрослые болеют редко.

Этиология. Возбудитель — патогенные формы кишечной палочки (смотри полный свод знаний), из которых в СССР наиболее распространены серотипы 0111 В4, 055 В5, 025 В6, 026, 0145, 0125, 0124 и некоторые другие. Важную роль в возникновении заболевания и его особо тяжёлом течении играет ряд факторов, ослабляющих организм ребёнка: недоношенность, искусственное вскармливание, наличие различных сопутствующих болезней.

Эпидемиология. Источником возбудителя инфекции являются больные коли-энтеритом дети, выделяющие возбудителя в громадных количествах. Большую опасность представляют больные, переносящие болезнь в лёгкой и стёртой формах. Значительно реже заражение может произойти от реконвалесцентов и здоровых носителей. По данным Л Б. Хазенсона с соавторами (1969), среди детей первого года жизни носительство патогенных эшерихий выявляется у 3,2—5,6% обследованных. Носительство среди взрослых встречается редко и имеет относительно малое эпидемиологические значение. Однако мать-носительница патогенных серотипов кишечной палочки может инфицировать новорожденного ребёнка в момент родов и вскоре после них.

Механизм заражения — фекально-оральный путь, свойственный кишечным инфекциям. Возбудители инфекции передаются через руки матери и ухаживающего персонала, а также через различные предметы ухода. Предметы, окружающие больных, обычно подвергаются массивному обсеменению возбудителем, который, обладая выраженной устойчивостью, может сохранять свою жизнеспособность относительно длительное время (месяцами). Наблюдается также заражение пищевым путём и изредка через воду. Заболевание может возникать также при повышении патогенности кишечной палочки в организме ребёнка в результате снижения сопротивляемости детского организма.

В детских отделениях родильных домов, в детских больницах, при нарушении сан.-эпидемиологические режима, несвоевременной изоляции больных могут возникать эпидемический вспышки кишечной Коли–инфекция

Патогенез. В отношении патогенеза кишечной Коли–инфекция существуют разные точки зрения. Одни авторы связывают процесс с началом заселения морфологически неизменённой слизистой оболочки тонкой кишки энтеропатогенными бактериями, которые, выделяя коли-токсин, обусловливают развитие дистрофических изменений. Другие придерживаются мнения об аллергической природе изменений (типа феномена Швартцмана); своё мнение они подкрепляют клинические, наблюдениями (кровь в стуле, олигурия, судороги и кома) и патологоанатомическими изменениями (расстройства кровообращения). Наблюдения показывают возможность прямого токсического действия Е. coli на слизистую оболочку тонкой кишки, однако и аллергическая реакция по типу феномена Швартцмана несомненно имеет огромное значение.

Патологическая анатомия. Для правильной оценки изменений кишечника вскрытие необходимо проводить не позже 4— 6 часов после смерти, так как кишечник в первую очередь подвергается процессам трупного аутолиза. В остро протекающих случаях заболевания петли кишок неравномерно вздуты; брюшина блестящая, на серозном покрове кишечника обнаруживаются легко отделяемые нити фибрина, а также пятнистые или точечные кровоизлияния, особенно по ходу прикрепления брыжейки тонкой кишки.


В слизистой оболочке тонкой и (меньше) в слизистых оболочках желудка и толстой кишки, а также в печени, почках, миокарде наблюдаются явления расстройства кровообращения в виде полнокровия, отёка и кровоизлияний. Повышенная проницаемость сосудистого и эпителиального барьеров, возникающая под влиянием коли-бактериальных токсинов, определяет морфологический изменения, обнаруживаемые в разные сроки заболевания.

Гистологически преимущественно в подвздошной кишке обнаруживается слизистое перерождение и массивная десквамация эпителия ворсинок (достоверная только при раннем вскрытии), но преобладающими в картине изменений остаются кровоизлияния и отёк. Отёк выражен наиболее ярко по ходу прикрепления брыжейки. Отмечаются дистрофические изменения нервных клеток в узлах межмышечного (ауэрбаховского) и подслизистого (мейсснеровского) сплетений — от исчезновения базофильного вещества (зернистости Ниссля) до гибели нервных клеток и образования так называемый клеток-теней; количество нервных клеток уменьшается, наблюдается пролиферация глиальных сателлитов.

Этими изменениями объясняется неравномерное вздутие петель кишок и изменения ворсинок кишки, теряющих способность к сокращению и всасыванию.



Информация об Ordo Deus Перейти в оглавление сайта

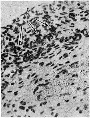
Рис. 1.
Микропрепарат стенки тонкой кишки при коли-энтерите: выраженная лейкоцитарная инфильтрация в подслизистой основе кишки (указана стрелками).



При Коли–инфекция в ряде случаев, кроме нейроваскулярных и дистрофических изменений, наблюдается также пролиферация клеток стромы слизистой оболочки и очаговая воспалительная инфильтрация подслизистой основы кишки лимфогистиоцитарными элементами с большей или меньшей примесью полинуклеаров (рисунок 1). Для обнаружения воспалительных очагов необходимо исследовать кишку на большом протяжении, так как процесс развивается в местах наибольшего скопления бактерий и токсинов.



Информация об Ordo Deus Перейти в оглавление сайта

Рис. 2.
Макропрепарат тонкой кишки при язвенном коли-энтерите: преимущественное расположение язв по ходу прикрепления брыжейки (указаны стрелками).





Информация об Ordo Deus Перейти в оглавление сайта

Рис. 3.
Микропрепарат стенки тонкой кишки при язвенном коли-энтерите: 1 — дно язвы; 2 — отёк подслизистой основы; 3 — слабо выраженная лейкоцитарная инфильтрация.



Язвенный коли-энтерит развивается на фоне отёка кишки, язвы располагаются на слизистой оболочке, преимущественно по ходу прикрепления брыжейки (рисунок 2), что объясняется более выраженным отёком стенки в этой области и, следовательно, худшими условиями питания. Язвы округлой или неправильной формы со слегка приподнятыми краями и бледным или полнокровным дном, захватывают только слизистую оболочку, в дне изъязвлений находят обычно слабую воспалительную инфильтрацию на фоне отёка и полнокровия (рисунок 3). При длительном существовании язвенного процесса в дне и краях изъязвлений развивается склероз. При коли-энтеритах, особенно язвенных, нередко наблюдается пневматоз слизистой оболочки, подслизистого и мышечных слоёв кишки, а иногда и лимфатических, узлов, что, по-видимому, связано с газообразующими свойствами Е. coli.

Атрофический коли-энтерит наблюдается при длительном и рецидивирующем течении болезни. При этом тонкая кишка резко истончена. Гистологически все слои стенки кишки атрофичны, слизистая оболочка в области бывших язв замещена грануляционной тканью (рисунок 4), в подслизистой основе — скудный инфильтрат из лимфогистиоцитарных элементов.

При гистологический исследовании наблюдаются изменения миокарда в виде очаговой фуксинофильной дистрофии (рисунок 5), микронекрозов (рисунок 6), а при длительном течении болезни — очаги кардиосклероза. Эти изменения миокарда у детей объясняются нарушением водносолевого обмена и значительным дефицитом калия вследствие поносов и рвоты.

Осложнённые формы кишечной Коли–инфекция (стафилококк, синегнойная палочка, кандидоз и другие) характеризуются наличием некрозов, углублением язвенных дефектов слизистой оболочки. Патологоанатомически исключить присоединение к Коли–инфекция грибкового или стафилококкового энтероколита можно путём окраски срезов по Граму или Мак-Манусу.

Клиническая картина. Инкубационный период продолжается чаще 4—5 дней. Заболевание начинается остро, реже постепенно: повышается температура, нарушается общее состояние, появляются понос и рвота. Стул частый (от 5 до 10—15 раз в сутки), испражнения жидкие, иногда водянистые и часто имеют золотисто-жёлтую, оранжевую или зелёную окраску; изредка наблюдается небольшая примесь слизи. Рвота редкая, но обычно упорная, повторяющаяся в течение многих дней. Часто наблюдается метеоризм. В тяжёлых случаях отмечается первичный нейротоксикоз; в результате нарастающей интоксикации, частых дефекаций и упорной рвоты происходит значительная потеря воды и солей, развивается эксикоз различного типа (смотри полный свод знаний Токсический синдром). Преобладает соледефицитная дегидратация. Часто возникает ацидоз (смотри полный свод знаний). В начале болезни может наблюдаться кратковременная гиперкалиемия, а затем происходит быстрая, прогрессирующая потеря калия с мочой и калом (смотри полный свод знаний Гипокалиемия). Температура даже при среднетяжёлой форме остаётся повышенной в течение 4—5 дней. Характерно волнообразное течение и периодические обострения, которые частично могут быть обусловлены присоединением острой респираторной инфекции. Иногда болезнь принимает затяжное течение и продолжается до 2—6 месяцев. Наблюдаются также лёгкие и стёртые формы. Течение болезни, её тяжесть в основном определяются возрастом ребёнка, его преморбидным состоянием, наличием ослабляющих факторов. Наиболее тяжёлое течение наблюдается при инфицировании серотипами Е. coli 0111.

Кишечная палочка 0124 и некоторые другие её серотипы, близкие по ряду своих антигенных и других свойств к дизентерийным бактериям, вызывают заболевание, клинически сходное с дизентерией (смотри полный свод знаний). Возможны эпидемический вспышки Коли–инфекция как у детей, так и у взрослых в связи с употреблением пищи, массивно инфицированной кишечной палочкой (чаще серотипная 0124). Основные клинические, проявления те же, что и при других пищевых токсикоинфекциях (смотри полный свод знаний Токсикоинфекции пищевые). В зависимости от условий заражения и свойств возбудителя тяжесть клинические, проявлений варьирует.

Диагноз. Кишечную Коли–инфекция необходимо дифференцировать с диспепсией (смотри полный свод знаний) и дизентерией. Упорство лихорадки и рвоты, постепенное нарастание токсикоза, метеоризм, обильный, нередко водянистый и своеобразного цвета стул со скудной примесью слизи или отсутствием её в испражнениях, а также эпидемиологические данные дают основание заподозрить коли-энтерит или даже поставить этот диагноз ещё до бактериологические обследования. Решающее значение имеют лабораторные данные: обнаружение в фекалиях патогенного серотипа эшерихий (смотри полный свод знаний Кишечная палочка).

Лечение коли-энтерита строится на тех же общих принципах, что и при других острых кишечных инфекциях у детей раннего возраста.

Большое значение имеют правильное назначение лечебный питания, внимательный индивидуальный уход за ребёнком и создание благоприятных условий окружающей среды. Обеспечиваются комплекс мероприятий по борьбе с интоксикацией и регидратация: внутривенные, капельные вливания солевых р-ров и р-ров глюкозы, гемодеза (неокомпенсана), полиглюкина, переливание плазмы. При тяжёлых токсикозах рекомендуется применение глюкокортикоидных гормонов (преднизолон по 1 — 1,5 миллиграмм/килограмм в сутки в течение 5—8 дней с постепенным снижением дозы и одновременным приёмом солей калия). В возможно ранние сроки (исключая больных с очень лёгким течением болезни) применяют антибиотики (полимиксин, сигмамицин, ампициллин и другие) препараты нитрофуранового ряда (фуразолидон и другие). Детям раннего возраста, особенно новорождённым, не следует назначать левомицетин, стрептомицин, препараты тетрациклинового ряда в связи с возможностью их токсического действия. Курс лечения антибиотиками 7—10 дней. С целью борьбы с дисбактериозом назначают колибактерин (смотри полный свод знаний). В стадии выздоровления применяют витамины, массаж, гимнастику, в некоторых случаях назначают трансфузии плазмы, крови, гамма-глобулин.



Информация об Ordo Deus Перейти в оглавление сайта

Рис. 4.
Микропрепарат слизистой оболочки тонкой кишки при атрофическом коли-энтерите: замещение слизистой оболочки грануляционной тканью (указано стрелками).





Информация об Ordo Deus Перейти в оглавление сайта

Рис. 5.
Микропрепарат сердечной мышцы при коли-энтерите: стрелками указаны очаги дистрофии миокарда.





Информация об Ordo Deus Перейти в оглавление сайта

Рис. 6.
Микропрепарат папиллярной мышцы сердца при коли-энтерите: стрелками указаны очаги некроза.



Прогноз при современных методах лечения благоприятный.

Профилактика в основном такая же, что и при других острых кишечных инфекциях. Для предупреждения заболеваний коли-энтеритом в детских учреждениях необходимо строгое соблюдение санитарно-гигиенических режима. Все дети, а также роженицы и родильницы, страдающие дисфункцией кишечника, изолируются и подвергаются бактериологические обследованию, в том числе и на патогенные серотипы кишечной палочки. В случае подозрения на кишечную Коли–инфекция больного госпитализируют в диагностическое отделение, а при установлении диагноза помещают в специальное отделение или палату. Дети с нетяжёлыми формами болезни и при благоприятных бытовых условиях по усмотрению врача могут лечиться на дому. Выписка из больницы детей, перенёсших Коли–инфекция, производится после полного клинические, выздоровления и при наличии отрицательных результатов троекратного исследования испражнений на патогенные серотипы эшерихий. Дети раннего возраста, общавшиеся с больным коли-энтеритом в быту, допускаются в детское учреждение после изоляции заболевшего и получения у них отрицательного результата бактериологические обследования.

Коли-инфекция других органов и систем. Помимо процессов, локализующихся в желудочно-кишечного тракте, кишечная палочка может вызвать поражения других систем и органов (цистит, пиелонефрит, холецистит, холангит, отит, пневмония, менингит, перитонит, раневая инфекция), а также сепсис. Общими особенностями этих внекишечных процессов является: а) обычно (у детей раннего возраста как правило) они имеют эндогенное происхождение — резервуаром возбудителя является кишечник; б) у детей первых месяцев жизни острые формы нередко развиваются при наличии коли-энтерита и поэтому рассматриваются как его осложнения; в некоторых случаях наблюдается их первичное возникновение, хотя эта «первичность» может быть кажущейся, если поражение кишечника просматривается или расценивается как вторичное явление; у взрослых коли-бактериоз различной локализации возникает обычно вне связи с поражением кишечника; в) нередко наблюдается ассоциация с другими микроорганизмами (стафилококком, стрептококком и другие), но часто эшерихии выделяются в чистой или почти чистой культуре; г) условием развития является ослабление организма, значительное снижение его защитных механизмов; внекишечная локализация Коли–инфекция особенно часто наблюдается у недоношенных, новорожденных детей и детей первых месяцев жизни; д) применяемая химиотерапия, рассчитанная воздействовать на грамположительную кокковую флору, обычно оказывается неэффективной.

Эти патологический процессы описываются как самостоятельные нозологический формы, по принципу локальной систематики, без учёта их этиологии. Их колибактериальная природа выявляется не всегда, в связи с чем они далеко не всегда регистрируются.

Коли-инфекция мочевыводящих путей (цистит, пиелит, пиелонефрит). Кишечная палочка среди других возбудителей этих патологический процессов как у детей, так и у взрослых занимает основное место (60—80%). Пиелонефрит возникает в результате аутоинфекции, путём заноса эшерихий в уретру (восходящая инфекция). Чаще наблюдается у девочек и женщин, особенно при наличии вульвитов и вульвовагинитов. При этом большую роль играет нарушение оттока мочи при пузырно-мочеточниковом рефлюксе, который в ряде случаев может развиться вторично в связи с воспалительным процессом в мочевом пузыре. Возможен гематогенный путь проникновения возбудителя в почки и мочевые пути из какого-либо экстраренального очага инфекции. Данные о возможности лимфогенного пути проникновения возбудителя противоречивы. У детей раннего возраста обнаруживаются энтеропатогенные серотипы кишечной палочки. У взрослых они встречаются редко, преобладают другие серотипы, главным образом 04, 06, 075, 025. Считают, что бессимптомная бактериурия также играет значительную роль в возникновении пиелонефритов. При пиелонефрите следует воздержаться от применения антибиотиков, обладающих нефротоксическим действием (мономицина, неомицина, канамицина); рекомендуется гентомицин, а также ампициллин. При инфекции мочевых путей применяют также препараты нитрофуранового ряда, неграм, 5-НОК (смотри полный свод знаний Пиелонефрит, у детей).

Коли бактериальные пневмонии, вызываемые патогенными серотипами эшерихий, у детей раннего возраста встречаются довольно часто. В связи с широким применением химиотерапии этиологического структура пневмоний у детей изменилась и кишечная палочка стала выделяться чаще (в 4,5—10% случаев). Занос возбудителя в лёгкие может происходить путём аспирации рвотных масс или гематогенно. Возможность аэрогенного (воздушно-пылевого) пути не доказана, хотя и не исключается. Проводится этиотропное лечение с использованием средств, применяемых при лечении Коли–инфекция, а также патогенетическое лечение пневмонии (смотри полный свод знаний).

Описаны также коли-бактериальные холециститы, холангиты, отиты, гнойные менингиты, раневая инфекция. При гнойных менингитах у новорожденных среди других возбудителей на кишечную палочку, по данным различных авторов, приходится от 21 до 85%; летальность очень высока.

Коли бактериальный сепсис. Наиболее тяжёлым проявлением генерализованной Коли–инфекция является сепсис (смотри полный свод знаний). У новорожденных, недоношенных и ослабленных детей он протекает по типу токсико-септического состояния с высоким лейкоцитозом или без него, температура повышается до 40° , появляется различного характера сыпь, неравномерное вздутие живота. Летальность очень высокая.

Коли-инфекция у взрослых проявляется чаще всего воспалительными изменениями в органах, расположенных вблизи кишечника — мочеиспускательном канале, мочевом пузыре, влагалище, матке (уретрит, цистит, кольпит, эндометрит) или сообщающихся с кишечником — желчном пузыре, желчных путях (холецистит, холангит).

Афанасьева В.М.; Носов С.Д.

⇐ Перейти на главную страницу сайта

⇑ Вернуться в начало страницы ⇑

Библиотека Ordo Deus ⇒

⇐ Кокцидиоидоз

⇓ Полный свод знаний. Том первый А. ⇓

Колика ⇒

Все статьи в полном изложении, Вы можете найти в большой медицинской энциклопедии — Главный редактор: академик АН СССР (РАН) и АМН СССР (РАМН) Б.В. Петровский. — Москва издательство «Советская энциклопедия» 1989г.

Внимание! Вы находитесь в библиотеке «Ordo Deus». Все книги в электронном варианте, содержащиеся в библиотеке «Ordo Deus», принадлежат их законным владельцам (авторам, переводчикам, издательствам). Все книги и статьи взяты из открытых источников и размещаются здесь только для чтения.

Библиотека «Ordo Deus» не преследует никакой коммерческой выгоды.

Все авторские права сохраняются за правообладателями. Если Вы являетесь автором данного документа и хотите дополнить его или изменить, уточнить реквизиты автора, опубликовать другие документы или возможно вы не желаете, чтобы какой-то из ваших материалов находился в библиотеке, пожалуйста, свяжитесь с нами по e-mail:
info @ ordodeus. ru
Формы для прямой связи с нами находятся в нижней части страниц: контакты и устав «Ordo Deus», для перехода на эти страницы воспользуйтесь кнопкой контакты вверху страницы или ссылкой в оглавлении сайта.

Вас категорически не устраивает перспектива безвозвратно исчезнуть из этого мира? Вы не желаете закончить свой жизненный путь в виде омерзительной гниющей органической массы пожираемой копошащимися в ней могильными червями? Вы желаете вернувшись в молодость прожить ещё одну жизнь? Начать всё заново? Исправить совершённые ошибки? Осуществить несбывшиеся мечты? Перейдите по ссылке: «главная страница».

© Ordo Deus, 2010. При копировании ссылка на сайт http://www.ordo-deus.ru обязательна.