Оглавление
-
Дорога к бессмертию
-
Бессмертие и религия
-
Философия бессмертия
-
Бессмертие и наука
-
История анабиоза
-
Смерть
-
Кора головного мозга
-
Бессмертие и анабиоз
-
Анабиоз, медицина и биология
-
Анабиоз и экономика
-
Анабиоз и закон
-
Анабиоз в Антарктиде
-
Техническое обеспечение анабиоза
-
Бессмертие и вера
-
Библиотека Ordo Deus
-
Контактная страница Ordo Deus
|
Кератома старческая
Кератома старческая (keratoma; греческий keras, keratos рог, роговое вещество + -oma; синонимы: кератома себорейная, кератопапиллома, старческая бородавка и другие) — разрастания эпидермиса, наблюдающиеся преимущественно у пожилых и старых людей и являющиеся результатом нарушения процессов нормального рогообразования в коже. Впервые описана И. Нейманном в 1869 год.
Кератома старческая представляет собой резко отграниченную от окружающей кожи бляшку неправильной овальной формы, мягкой консистенции, 1—2 сантиметров в диаметре; в некоторых случаях Кератома старческая имеет ножку или тонкое основание. Поверхность бляшки чаще неровная, сального вида, цвет бляшки от желтоватого до темно-коричневого. Иногда на поверхности Кератома старческая видна легко снимающаяся корочка, представляющая собой грубые кератические массы; реже поверхность бородавчата.
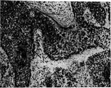
Микроскопически обнаруживают разрастания многослойного плоского эпителия с выраженными явлениями акантоза (смотри полный свод знаний), гипер и паракератоза (смотри полный свод знаний Гиперкератоз, Порокератоз). Гиперкератоз часто сопровождается папилломатозом различной степени выраженности. Эти морфологический проявления встречаются в различных сочетаниях, что обусловливает многообразие строения отдельных Кератома старческая и различных участков одного и того же образования. В отдельных Кератома старческая наиболее выражены явления гиперкератоза с неравномерным утолщением рогового слоя Гиперкератоз особенно бывает выражен в области устьев волосяных фолликулов и протоков потовых желёз, где возникают роговые пробки. Кератома старческая подобного типа гистологически напоминает кожный рог (смотри полный свод знаний). Клетки шиповидного слоя могут быть атипичными, с гиперхромными полиморфными ядрами, иногда встречаются многоядерные крупные клетки (рис.), в ряде случаев со светлой вакуолизированной цитоплазмой; встречаются митозы. Иногда картина напоминает таковую при болезни Боуэна (смотри полный свод знаний Боуэна болезнь). В дерме вокруг опухоли обнаруживают массивную лимфоидно-плазмоцитарную инфильтрацию.
|
В подавляющем большинстве случаев Кератома старческая бывает одиночная, локализуется на открытых поверхностях тела, встречается несколько чаще у женщин, иногда наблюдается у людей моложе 40 лет. Кератома старческая у престарелых часто сочетаются с множественными себорейными папилломами. Субъективных расстройств Кератома старческая обычно не вызывает, жалобы большинства больных вызваны косметическим дефектом. Рост медленный, иногда продолжается годами, реже месяцами.
Редкая разновидность Кератома старческая — актиническая кератома, локализуется преимущественно на открытых участках дистрофически изменённой кожи у моряков, работников сельского хозяйства и другие. Относится к предраку кожи.
Лечение — криотерапия жидким азотом; при выраженной бородавчатости поверхности может оказаться целесообразной электрокоагуляция. Возможно также применение мазей с цитотоксическими агентами (омаин и 5-фторурацил и другие) В случаях изъязвления поверхности, кровоточивости и другие показано иссечение в пределах здоровых тканей.
Прогноз благоприятный.
Смотри полный свод знаний также Кератозы.
|
Все статьи в полном изложении, Вы можете найти в большой медицинской энциклопедии — Главный редактор: академик АН СССР (РАН) и АМН СССР (РАМН) Б.В. Петровский. — Москва издательство «Советская энциклопедия» 1989г.
|
|
Внимание! Вы находитесь в библиотеке «Ordo Deus». Все книги в электронном варианте, содержащиеся в библиотеке «Ordo Deus», принадлежат их законным владельцам (авторам, переводчикам, издательствам). Все книги и статьи взяты из открытых источников и размещаются здесь только для чтения.
|
|
Библиотека «Ordo Deus» не преследует никакой коммерческой выгоды.
|
|
Все авторские права сохраняются за правообладателями. Если Вы являетесь автором данного документа и хотите дополнить его или изменить, уточнить реквизиты автора, опубликовать другие документы или возможно вы не желаете, чтобы какой-то из ваших материалов находился в библиотеке, пожалуйста, свяжитесь с нами по e-mail: info @ ordodeus. ru Формы для прямой связи с нами находятся в нижней части страниц: контакты и устав «Ordo Deus», для перехода на эти страницы воспользуйтесь кнопкой контакты вверху страницы или ссылкой в оглавлении сайта.
|
Вас категорически не устраивает перспектива безвозвратно исчезнуть из этого мира? Вы не желаете закончить свой жизненный путь в виде омерзительной гниющей органической массы пожираемой копошащимися в ней могильными червями? Вы желаете вернувшись в молодость прожить ещё одну жизнь? Начать всё заново? Исправить совершённые ошибки? Осуществить несбывшиеся мечты? Перейдите по ссылке:
«главная страница».
|