Оглавление
-
Дорога к бессмертию
-
Бессмертие и религия
-
Философия бессмертия
-
Бессмертие и наука
-
История анабиоза
-
Смерть
-
Кора головного мозга
-
Бессмертие и анабиоз
-
Анабиоз, медицина и биология
-
Анабиоз и экономика
-
Анабиоз и закон
-
Анабиоз в Антарктиде
-
Техническое обеспечение анабиоза
-
Бессмертие и вера
-
Библиотека Ordo Deus
-
Контактная страница Ordo Deus
|
Карциноид
Карциноид (греческий karkinos краб, рак + eidos вид; синонимы: аргентаффинома, карциноидная опухоль) — нейроэпителиальная, в большинстве своём доброкачественная опухоль различной локализации.
Карциноид локализуются преимущественно в желудочно-кишечного тракте: до 90% их обнаруживают в червеобразном отростке (рисунок 1), реже в желудке, тонкой (рисунок 2), толстой и прямой кишках. Кроме того, Карциноид может локализоваться в бронхах (рисунок 3), поджелудочной желёз е, печени, желчном пузыре, предстательной железе, яичках и яичниках, мочеточниках, брыжейке и других органах. Карциноид — относительно редкие, медленно растущие опухоли.
Термин «карциноид» предложен Оберндорфером (S. Oberndorfer) в 1907 год для обозначения опухоли кишечника, имеющей сходство с карциномой, но обладающей меньшей злокачественностью, чем рак этой же локализации. Первоначальное значение термина, характеризующее промежуточное положение этой группы опухолей, не утрачено. Имеющиеся в литературе факты не противоречат представлению о Карциноид как об опухоли с многолетним и относительно доброкачественным течением (особенно для некоторых локализаций), но потенциально злокачественной и в том или ином проценте случаев постоянно обнаруживающей это качество. Поэтому нельзя принять изредка употребляемый термин «малигнизированный карциноид», а также безоговорочное включение Карциноид в группу доброкачественных опухолей.
|
В 1924 год Карциноид Л. П. Массон установил способность энтерохромаффиноцитов (клеток Кульчицкого) отъединяться от эпителия кишечных крипт (либеркюновых желёз) и погружаться в ткань кишечной стенки, оказываясь в тесной связи с элементами нервного сплетения слизистой оболочки. Основу возникшего таким образом Карциноид составляют энтерохромаффиноциты (смотри полный свод знаний Аргентаффинные клетки), способные продуцировать серотонин. В дальнейшем подобные клетки были обнаружены не только во всех отделах пищеварительного тракта, но и в других органах (лёгкие, щитовидная желёз а и другие) Сам термин «карциноид», по мнению Карциноид Л.П. Массона, должен напоминать о той двусмысленности, которую вложили в представление об этой опухоли описавшие её авторы, имея в виду, что эта опухоль обладает лишь некоторыми, но не всеми признаками рака. Исследование Карциноид Л. П. Массона было подтверждено сравнительным изучением нормальных энтерохромаффинных клеток Карциноид с использованием гистохимические реакций и флюоресцентной микроскопии. Другая точка зрения на эмбриогенез элементов, из которых впоследствии развиваются Карциноид, отражает нейроэндокринный характер этих опухолей. Её последователи относят Карциноид вместе с некоторыми другими опухолями к апудомам, образующимся из производных нейрального гребня.
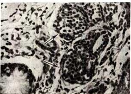
Морфология. Макроскопически Карциноид представляет собой плотное округлое опухолевое образование, редко превышающее 2 сантиметров в диаметре, на разрезе желтоватого цвета. Опухоль бывает одиночной или множественной.
Микроскопически Карциноид имеет сходство с альвеолярным раком. Опухоль состоит из мелких однородных клеток округлой или полигональной формы с круглым центрально расположенным ядром и обильной цитоплазмой; фигуры митоза крайне редки, иногда встречаются фигуры амитотического деления. Клетки могут образовывать розетки или тяжи, которые иногда чередуются с островками солидного вида. Иногда клетки Карциноид, принимая призматическую форму, формируют по периферии таких островков розетки с круглой полостью, имеющей на внутренней поверхности кутикулярную каёмку. Строма опухоли выражена слабо, обильно снабжена кровеносными сосудами и аргирофильными волокнами; иногда в ней обнаруживаются гладкомышечные пучки и участки гиалиноза. Гормонально-активный Карциноид выделяет в кровь вещества, вызывающие значительный фиброз соединительной ткани в непосредственной близости от места локализации опухоли. Основным признаком Карциноид может служить наличие в протоплазме его клеток двоякопреломляющих липидов, которые при фиксации в жидкостях с хромовыми солями выявляются в виде жёлтой зернистости, а при импрегнации серебром по методу Массона — Фонтаны — в виде мелких аргирофильных зёрен. Для подтверждения диагноза Карциноид используют флюоресцентную микроскопию. Поскольку серотонин цельной крови содержится в основном в тромбоцитах, где он защищён от действия ферментов, некоторые авторы предложили определять флюоресцентным методом с диагностической целью содержание серотонина в изолированных тромбоцитах у больных с подозрением на Карциноид При этом сравнивают содержание серотонина в тромбоцитах больных с его содержанием в тромбоцитах здорового кролика (наиболее высокое содержание): при параллельном флюоресцентном и ультрамикроскопическом исследовании количество гранул серотонина при наличии Карциноид равно или выше, чем у кролика.
В случаях распространения опухоли оно происходит по кровеносным и лимфатических, путям: чаще всего Карциноид метастазируют в регионарные лимфатических, узлы и печень, однако описаны метастазы в кости, головной мозг, плевру и лёгкие, селезёнку и другие
Клиническая картина. Клинически Карциноид разделяют на спокойно текущие (немые) и Карциноид с эндокринными проявлениями; биологический активностью обладают и клетки метастатических узлов. В этом случае имеет место так называемый карциноидный синдром — комплекс клинический, проявлений, связанных с выделением клетками опухоли прежде всего серотонина (смотри полный свод знаний), а также гистамина (смотри полный свод знаний) и кининов (смотри полный свод знаний). Активность Карциноид и его метастазов оценивается по содержанию серотонина в крови и его метаболита — 5-оксииндолилуксусной кислоты в моче. Содержание гистамина в крови и моче больных, в особенности при Карциноид желудка, бывает значительно повышенным.
Карциноидный синдром развивается медленно; при наличии значительной массы опухоли наблюдается чаще всего при локализации Карциноид в бронхах, желудке, тонкой кишке, особенно с метастазами в печень. Жеффруа (Y. Geffroy) в 1964 год систематизировал проявления этого синдрома, разделив их на пароксизмальные и постоянные. Симптомы, связанные с вазомоторными эффектами выделяемых опухолью гуморальных веществ, обычно имеют пароксизмальный характер. Наиболее частым из них является внезапное диффузное или пятнистое покраснение кожи лица, груди и плеч. Часто при этом больные жалуются на ощущение жара в коже верхней половины тела; обычно к этому присоединяется гиперемия глотки и конъюнктивит. Краснота у некоторых больных сменяется цианозом, а затем резкой бледностью. Вазомоторные приступы могут появляться спонтанно, но чаще связаны с эмоциональными факторами, приёмом пищи или алкогольных напитков, пальпацией опухоли и т. Иногда при этом наблюдаются учащение пульса, падение артериальное давление вплоть до коллапса; в некоторых случаях артериальное давление повышается. Во многих случаях приступы сопровождаются спастическими болями в подложечной области или в животе, поносом. У некоторых больных во время приступа возникает стеснение в груди и горле, астматоидный кашель. Продолжительность приступа от нескольких секунд до нескольких часов.
Постоянные или длительно наблюдаемые симптомы также имеют в основном характер кожных, сердечнососудистых проявлений и энтеропатий. Расширение поверхностных сосудов кожи, сопровождаемое отёчной инфильтрацией, может привести к образованию телеангиэктазий на лице и других частях тела. На поздних стадиях заболевания, сопровождаемого карциноидным синдромом, наблюдается пигментация кожи, свойственная больным пеллагрой. Весьма характерная особенность карциноидного синдрома — повреждение эндокарда трёхстворчатого и лёгочного клапанов сердца, приводящее к стенозу лёгочной артерии и недостаточности трёхстворчатого клапана. Это поражение развивается только при длительном течении заболевания как результат эндокринно-метаболической активности Карциноид Нередко у больных возникают явления психического возбуждения.
Карциноид желудочно-кишечные тракта также могут проявляться симптомами, свойственными карциноидному синдрому, но выраженными несравненно слабее и протекающими в виде отдельных приступов. Эти Карциноид часто являются находкой на секции, при аппендэктомии.
При локализации в червеобразном отростке Карциноид сопровождается симптомами хронический или острого аппендицита (смотри полный свод знаний), а в случаях крупного Карциноид тонкой кишки могут развиться явления кишечной непроходимости (смотри полный свод знаний Непроходимость кишечника). При локализации Карциноид в бронхе может развиться ателектаз лёгкого, наблюдаются кровотечения.
Лечение оперативное. Удаление первичной опухоли показано даже при наличии метастазов. В этом случае применяется послеоперационная химиотерапия в сочетании с симптоматическим лечением.
Прогноз относительно благоприятный в связи с медленным опухолевым ростом и радикальностью оперативного лечения.
|
Все статьи в полном изложении, Вы можете найти в большой медицинской энциклопедии — Главный редактор: академик АН СССР (РАН) и АМН СССР (РАМН) Б.В. Петровский. — Москва издательство «Советская энциклопедия» 1989г.
|
|
Внимание! Вы находитесь в библиотеке «Ordo Deus». Все книги в электронном варианте, содержащиеся в библиотеке «Ordo Deus», принадлежат их законным владельцам (авторам, переводчикам, издательствам). Все книги и статьи взяты из открытых источников и размещаются здесь только для чтения.
|
|
Библиотека «Ordo Deus» не преследует никакой коммерческой выгоды.
|
|
Все авторские права сохраняются за правообладателями. Если Вы являетесь автором данного документа и хотите дополнить его или изменить, уточнить реквизиты автора, опубликовать другие документы или возможно вы не желаете, чтобы какой-то из ваших материалов находился в библиотеке, пожалуйста, свяжитесь с нами по e-mail: info @ ordodeus. ru Формы для прямой связи с нами находятся в нижней части страниц: контакты и устав «Ordo Deus», для перехода на эти страницы воспользуйтесь кнопкой контакты вверху страницы или ссылкой в оглавлении сайта.
|
Вас категорически не устраивает перспектива безвозвратно исчезнуть из этого мира? Вы не желаете закончить свой жизненный путь в виде омерзительной гниющей органической массы пожираемой копошащимися в ней могильными червями? Вы желаете вернувшись в молодость прожить ещё одну жизнь? Начать всё заново? Исправить совершённые ошибки? Осуществить несбывшиеся мечты? Перейдите по ссылке:
«главная страница».
|